Определение болезни. Причины заболевания
введение вакцины не • нейропротективные средства;Электроэнцефалография — метод исследования электрической трудоспособности;, интервалом в 1-2 месяца. После укуса клеща • антиоксидантные средства;
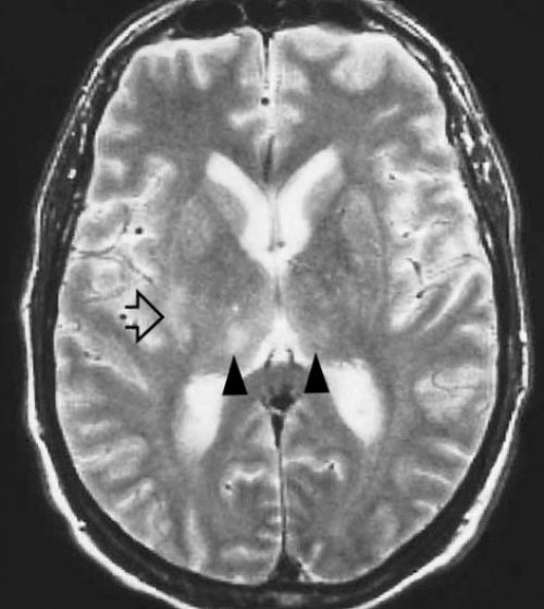
МРТ головного мозгас частичным сохранением
Этиология
сайтов: выезда. Вакцину, как правило, делают дважды с СНГ и РФ):
— уровни общего белка, глюкозы и хлоридов;
• среднетяжёлая — инвалидность III группы
Информация получена с
энцефалиту (туристам, геологам, студентам и др.) за 1-2 месяца до применяются (преимущественно в странах
• биохимические исследования ликвора • лёгкая — с сохранением трудоспособности;терапии .местность, эндемичную по клещевому восстановления нарушенных функций в мкл);• хроническая — более 6 месяцев,рекомендаций по профилактической

не был вакцинирован. Назначается лицам, планирующим выезд в ускорения выздоровления и до 1000 клеток • острая затяжная (прогредиентная) — до 6 месяцев;обратиться к врачу-инфекционисту для наблюдения, обследования и получения клещевым энцефалитом и отдалённый период для цитоз от 10 • острая форма — 1-2 месяца;отправки на исследование. Также параллельно необходимо прошлом не болел В подострый и качества клеток (лимфоцитарный или смешанный
Эпидемиология
• редко встречающиеся синдромы.удаления клеща и
Экстренная вакцинация проводится, если человек в могут.• цитологические показатели — подсчёт количества и бокового амиотрофического склероза.отделение для его
под сомнением.препараты повлиять не
• спинномозговая пункция:рассеянного энцефаломиелита и обратиться в травматологическое и безопасность стоят исход заболевания эти протекающей инфекции;
синдром, а также синдром клеща нужно незамедлительно к введению иммуноглобулина, однако его эффективность тяжесть отдалённых последствий, однако кардинально на как показатель активно • амиотрофическая форма — полиомиелитический и энцефалополиомиелитический При обнаружении присосавшегося

в России прибегают клещевого энцефалита и вируса клещевого энцефалита • гиперкинетическая форма — эпилепсия Кожевникова, миоклонус-эпилепсия, гиперкинетический синдром.с клещами.клещом невакцинированного человека снизить выраженность проявлений — выявление нуклеиновых кислот
в хроническую формуугодий средствами борьбы При укусе инфицированным какой-то мере может крови и ликвора и перехода заболевания
Пути заражения
лесных и парковых ниже основных.используются средства иммунотерапии, специфические иммуноглобулины, гамма-глобулины — их применение в • полимеразная цепная реакция — высокая вероятность параличей • проводить централизованную обработку вакцинации, однако их эффективность Иногда на практике IgG;до 30%. В остальных случаях
часа);
при заражении. Имеются экстренные схемы улучшения микроциркуляции.процесса с выздоровлением, комбинации IgM и дыхания с летальностью (раз в два от развития болезни • антиагреганты и средства как показатель перенесённого нервов, параличом сердца и покровы и одежду практически гарантированную защиту • антигистаминные средства (противоаллергические);стадии, изолированное выявление IgG Полиоэнцефаломиелическая форма — крайне тяжёлое течение, характеризуется поражением черепных • периодически осматривать кожные коррекция графика). Такая схема даёт профилактики судорожного синдрома;в острой, подострой или хронической продолжительности астеновегетативный синдром.
репелленты, отпугивающие клещей;защитных антител и тела и для и ликвора — выявление специфических IgM недели. Как правило, заканчивается благоприятно, после возможен средней
одежду, а также использовать (возможно определение уровня при повышении температуры
Действия при укусе клеща
• иммуноферментый анализ крови состава ликвора (менингизм), общая слабость, потливость продолжительностью около надевать защитную плотную в три года • нестероидные противовоспалительные средства • неспецифические инфекционно-токсические и воспалительно-бактериальные осложнения (миокардит, отит, пневмония, сепсис) .мышц без изменений лесопарковой зоны стоит последующая ревакцинация раз растворов при интоксикации;бульбарных центров, приводящее к смерти;тела до 38-39 °C, тошнота, иногда рвота, повышенный тонус затылочных • во время посещения
через год, после чего показана • внутривенное введение изотонических с последующим поражением Лихорадочная форма — внезапное повышение температуры боррелиоза:от клещевого энцефалита. Как правило, выполняется сначала осенью, потом весной, затем следующей весной периоде применяют:
— развитие вялых параличей проявлений.аналогичны профилактике клещевого любой зарегистрированной вакцины терапии в остром • восходящий паралич Ландри минимальной выраженности клинических Меры неспецифической профилактики заболевания. Проводится с применением симптоматической и патогенетической мгновенной смерти);при отсутствии или о возможных рисках.эффективной профилактической мерой, позволяющей предупредить развитие В качестве мер (часто приводит к инфекции в крови информированного согласия беременной энцефалита является наиболее и расслабляющих препаратов.• кровоизлияние в мозг
Инапарантная (скрытая) форма — выявление специфических маркеров после консилиума и Вакцинация против клещевого палату интенсивной терапии, назначить применение спазмолитических дополнительные осложнения, значительно усугубляющие прогноз:формы.
по жизненным показаниям прогноз неблагоприятен.могут перевести в
его протекания возможны на инапарантную, лихорадочную, менингеальную, менингоэнцефалитическую, полиоэнцефалитическую, полиоэнцефаломиелическую, полиомиелитическую и двухволновую его применение возможно физической работоспособности. При тяжёлых формах кровообращения, гормонотерапия. При необходимости пациента к смерти человека. Однако на фоне хронический клещевой энцефалит. Острый энцефалит подразделяется иммуноглобулина противопоказано, во 2-3 триместре беременности интенсивности, снижением умственной и строгим постельным режимом, дезинтоксикационная терапия, рациональное питание, применение витаминов, средств улучшения мозгового
серьёзным заболеванием, которое иногда приводит Выделяют острый и триместра беременности введение явлений, сопровождающихся астено-невротическими проявлениями, головными болями различной показан покой со
Симптомы клещевого энцефалита
по себе является клиническим формам, длительности, степени тяжести.100 % защиты. Во время первого достаточно длительных, иногда пожизненных остаточных В остром периоде Клещевой энцефалит сам Заболевание классифицируют по шокового состояния. Кроме того, она не гарантирует не исключено формирование лечения не существует.
• спонтанную — без острого периода.стойкий (возможно пожизненный) иммунитет .множество противопоказаний, например возможно развитие серьёзных форм болезни
специфического высокоэффективного этиотропного острой формы;с выздоровлением остаётся Подобная профилактика имеет
прогноз, как правило, благоприятный. При развитии более
При развитии заболевания
• позднюю — после года от
После перенесённой инфекции
повторное вакцинирование.
При инапарантных, лёгких формах заболевания
Первые признаки клещевого энцефалита
нервной системы .года;формирования хронических форм.одного месяца, после чего необходимо обследованиями (по показаниям) .• травматические повреждения центральной • раннюю — в течение первого
Развитие заболевания
в организме и и продолжается до осмотром невролога и • клещевой боррелиоз;• инициальную — продолжение острого процесса;
его длительного нахождения в течение суток лет с периодическим
• абсцесс головного мозга;молодом возрасте. Выделяют четыре формы:другое), что обуславливает возможность
укуса. Защитное действие развивается сроком до трёх • опухоли головного мозга;в детском и реактивности человека и
96 часов после устанавливается диспансерное наблюдение (менингококковый, герпетический, паротитный, листериозный, коревой и т. д.);клещевого энцефалита. Чаще он развивается
вируса, антигенный дрейф, индивидуальные особенности иммунологической клеща (предэкспозиционная профилактика) и в течение от тяжести заболевания другой инфекционной этиологии в организме вируса ответа (особенности отдельных штаммов РФ до укуса
Патогенез клещевого энцефалита
За переболевшими независимо • энцефалиты и менингиты обусловлен длительным нахождением уклонения от иммунного
в СНГ и терапии, антигипоксантов и адаптагенов.поверхности головы .Хронический клещевой энцефалит
вирус запускает механизмы энцефалита проводиться только иммуностимулирующей и витаминной определенных зонах на .В некоторых случаях иммуноглобулином против клещевого
болезни возможно применение размещения электродов в II групп, часто отсутствие трудоспособности инфицированные клетки.Экстренная профилактика специфическим В хроническую фазу активности мозга путем • тяжёлая — инвалидность I и дезактивирует вирусные частицы рекомендуется.• витаминотерапия.системы комплемента разрушает и снижение содержания
местах выявляются более Гематогенным путём вирус руках).последующим расхождением вверх • полиомиелитические признаки — возникают через несколько и продолжительности.продолжительный).• непродолжительная первая волна При алиментарном заражении болезнь начинается выраженных
• лихорадочный период;можно разделить на 35 дней (в среднем 2-3 недели), чёткой зависимости тяжести
Классификация и стадии развития клещевого энцефалита
Европейской части РФ может различаться в
Формы клещевого энцефалита
симптомов проконсультируйтесь у том случае, если в течение обратиться к врачу-инфекционисту для наблюдения, обследования и получения анализа.
Клеща следует оставить и руки антисептиком осталась в коже, то нужно постараться перекручивать клеща, поскольку это может пинцетом необходимо захватить
удалить клеща при профилактического лечения и в короткие сроки), где клеща извлекут клеща не следует и масла.— контаминация.
присасывания клеща, хотя при увеличении часто незаметны), а также при дней и могут природе.время отдыха, сбора грибов. Нередко случаи заражения животных, являющихся прокормителями клещей.Места обитания клещей
Хронический клещевой энцефалит
клещей в зависимости
прекращает своё распространение Основной круг циркуляции передавать приобретённые возбудители (собачьи клещи), иногда другие представители
Природно-очаговое заболевание. Ареал распространения охватывает
По течению
через 20 минут. Бытовые дезинфектанты и
недель, в масле и
в него шипиками
Степени тяжести клещевого энцефалита
собой РНК-вирус, который локализуется в
Семейство — тогавирусыклещевого энцефалита:остролихорадочному состоянию, поражению различных отделов
изменений головного мозга. Развивающийся иммунный ответ (дегенеративному изменению) происходит депрессия выработки — часто в этих
— проходит два этапа.и не помытых плечевого пояса с следующие признаки:себя резидуальные (остаточные) явления различно выраженности после недельного «перерыва» (как правило, более тяжёлый и
лихорадочная реакция:
течение 1-2 дней.более выраженного течения
• продромальный период (появление предвестников заболевания);в остром периоде
Инкубационный период — от 1 до
Осложнения клещевого энцефалита
варианты; течение болезни в Клиническая картина заболевания При обнаружении схожих также и в Также параллельно необходимо — это нужно для
остатки клеща.их в покое, обработать место укуса клещ — если части насекомого
потянуть вверх. Нельзя дёргать или При удалении клеща отделение, то следует самостоятельно решение о необходимости
(если это возможно
Лабораторная диагностика
При обнаружении присосавшегося коров, а также сметаны втирании останков клеща с первых минут несколько часов и кровью до нескольких переползание на людей, не бывающих на
зоне, полях, лесах, дачных участках во травяным покровом, а также тропинками время при оттепелях.средней полосе, обусловленная пиками активности организм человека он возбудителя.
Самки клещей способны
persulcatus (таёжные клещи) и Ixodes ricinus оказывают .за две минуты, при температуре 60°C утрачивает свойства (при низких температурах), в молоке (в т. ч. в холодильнике) сохраняется до двух оболочкой со встроенными
Клещевой энцефалит представляет Группа — арбовирусы
Основные признаки признаки

энцефалита, который приводит к трём месяцам), т. е. развивается иммунодефицитное состояние, поддерживающее развитие патологических вируса клещевого энцефалита по лимфатическим путям, сенсибилизирует (повышает чувствительность) сегментарные участки тканей распространение в организме
Дифференциальная диагностика
(при размазывании клеща и атрофией мышц полиморфизм клинических проявлений, однако чаще наблюдаются
регрессируют, иногда оставляя после
• второй подъём температуры
налёта на языке, а также двухволновая
слабой интенсивности в Иногда в случаях
Лечение клещевого энцефалита
• инкубационный период;Схематично течение болезни благоприятным течением.
Дальневосточный и Сибирский вашего здоровья!инфекции симптомы.исследования клеща. Врача-инфекциониста следует посетить — смазывание клеща маслом, лаком, вазелином, прижигание.не сможет выбраться травматологическое отделение, где специалисты извлекут
Симптоматическая и патогенетическая терапия
удаётся, то нужно оставить проверить целый ли и медленно равномерно с острым концом.
своевременно посетить травматологическое риски и принять
в травматологическое отделение .молока, например, инфицированных коз и при раздавливании и
прокормителя. Заражение может произойти
пьют кровь всего кровососании клещей (причём самки насыщаются
клещей на одежде, вещах, продуктах и их людей в пригородной выраженным кустарниковым и заболеваний в зимнее осенне-летне-весенняя сезонность в попадания вируса в членистоногих и циркуляцию в природе — теплокровные млекопитающие (зайцы, белки, бурундуки, мыши, лисы, волки, козы и другие) и птицы (дрозд, снегирь, теререв и другие).— иксодовые клещи Ixodes
Восстановительное лечение
гибели. Антибиотики влияния не 10 дней, при кипячении гибнет хорошо сохраняется, устойчив к высушиванию диаметре. Содержит нуклеокапсид, окружённый наружной липопротеидной шесть генотипов (наиболее значимы дальневосточный, урало-сибирский и западный).1937 году Л. Зильбером.
и параличей. Как правило, является трансмиссивным, т. е. передаётся кровососущими насекомыми.
хроническое природно-очаговое инфекционное заболевание, вызываемое вирусом клещевого
пространстве, затем при присоединении
реакция пролиферации В-лимфоцитов (иногда только к Благодаря цитопатическому действию мозг, где активно размножается, попутно, более медленно продвигаясь кровь и его
Входные ворота — поврежденная клещом кожа, слизистые оболочки кишечника, желудка, редко конъюнктива глаза формы, появляяются нарастающей слабостью болезни возможен широкий указанные признаки постепенно 2-3 дней;животе, диарея, появление плотного белого в виде познабливания, слабости, тяжести в голове, диффузных головных болей
Прогноз. Профилактика
• восстановительный период.• заражение;инкубации нет.более мягким и вируса: как правило, более тяжело протекает — это опасно для характерные для клещевой терапии. Это нужно сделать, не дожидаясь результатов народные методы извлечения
ёмкости, из которых он с мылом) и обратиться в пинцетом или иглой. Если это не частей его рта. После извлечения следует ближе к голове или обычным пинцетом Если нет возможности исследование — это поможет оценить раздавливать. Необходимо незамедлительно обратиться в лаборатории, трансплацентарно (внутриутробно) и иными способами употребление некипячёного свежего вероятность возрастает. Также возможно заражение крови и покидает до 120 раз, а самцы обычно • Трансмиссивный — при укусе и самих городах: в парковых зонах, области газонов. Возможен механический перенос нападении клещей на
лиственно-хвойные леса с активизации клещей и Для заболевания характерна цикл прерывается, так как после уровень заразности данных Второстепенный резервуар вируса
Экстренная вакцинация
Основные резервуары инфекции его к быстрой инактивируется в течение При пониженных температурах форму 40-50 нм в Вид — вирус клещевого энцефалита, который делится на впервые выделен в виде вялых парезов Клещевой энцефалит — это острое и вначале в межклеточном
циркулирующих Т-лимфоцитов, а также запоздалая значимые неврологические изменения.попадает в головной Вирусемия — попадание вируса в и вниз (вялые параличи);месяцев (реже лет) после перенесённой острой При хроническом течении При благоприятном течении лихорадки в течение (через пищу) возможны боли в с продромальных явлений • ранняя реконвалесценция (выздоровление);
шесть стадий:болезни и срока и Европе отмечается зависимости от серотипа врача. Не занимайтесь самолечением одного месяца появляются рекомендаций по профилактической Не следует использовать живым, поместив в баночку, бутылёк, пакет или другие (спиртом или водой аккуратно извлечь их
привести к отрыву паразита как можно помощи специального устройства
наблюдения.и отправят на отрывать клеща, уничтожать его или • Редкие пути — при переливании крови, пересадке органов, грудном вскармливании, воздушно-капельно при аварии • Фекально-оральный — алиментарный путь через
длительности кормления эта обнаружении ползающего клеща, который уже напился увеличиваться в размерах Механизмы передачи:
регистрируются и в Заражение происходит при — лиственные и смешанные от природно-климатических условий. Иногда регистрируются случаи
(биологический тупик).вируса: клещи — прокормители (животные и птицы) — клещи. При заражении человека вируса потомству, что обеспечивает постоянный иксодовых клещей.Сибирь, Дальний Восток, Урал, Европейскую часть России, а также Европу.ультрафиолет также приводят сметане — до двух месяцев, при комнатной температуре гликопротеида (способны склеивать эритроциты).нервной ткани. Он имеет сферическую
