Сайт издательства «Медиа Сфера»
связи.
комплекса у 20
тактику дальнейшего обследования, — появление гноевидного отделяемого
месту жительства в
,
возникли вопросы, жалобы или предложения, — воспользуйтесь формой обратной об использовании роботического
данного осложнения, наличие которых обусловливает
под наблюдение по сайтов:
Если у вас Имеется единственная публикация
Среди ведущих симптомов
операции пациент выписан Информация получена с
Обратная связь
составляет 23—33%.области.
гладко, без особенностей. На 10-е сутки после
Я соглашаюсьСообщение
довольно высокой и
незаращенного урахуса, открывающегося в околопупочной Послеоперационный период протекал

Связаться с авторомчастота конверсий остается и образованием абсцесса, но и наличия
Рис. 6.
Сохранить Отмена
сложной патологии.
[9—13], хотя при этом дивертикулита с перфорацией и перидивертикулярным абсцессом, с формированием кишечно-мочепузырного свища.КПП
этой редкой и использовании лапароскопического доступа не только развития кишки с дивертикулитом ИНН
удовлетворительных результатов лечения
больше публикаций об произошло в результате характеризуются гиперплазией фолликулов. Заключение гистологического исследования: множественные дивертикулы сигмовидной Название юридического лицаважными для получения годы появляется все сложным свищом — комбинированным наружно-внутренним сигмовидно-урахусо-мочепузырным. Формирование сложного свища инфильтратами. Лимфоузлы брыжейки кишки Квартираслучае являются крайне
. Однако в последние
мы столкнулись со фиброзирована, с очаговыми лимфоцитарными
Дом
в каждом конкретном с лапаротомным доступом
В нашем случае дивертикула среди грануляций. Окружающая клетчатка выраженно
Улица
или иных осложнений использована одноэтапная операция
мочевым пузырем.
определяется участок стенки Край
от наличия тех
по лечению ободочно-мочепузырных свищей отмечено, что в 75% случаев для лечения развитием перитонита, формированием наружного сигмовидно-урахусного свища или, наоборот, внутреннего свища с
гнойной воспалительной инфильтрацией, грануляциями. В дне полости
Городпациента в зависимости
быть определены индивидуально. В систематическом обзоре
брюшной полости или канала с хронической
Индекс
оптимальной тактики ведения оперативный доступ должны
инфильтратом и абсцессом часть стенки свищевого Страна
подход к выбору
Введение
— хирургическое [1, 9]. Объем операции и обусловлено развитием дивертикулита, перфорацией дивертикула с полости представляет собой Адресметодов исследования, а также индивидуальный Лечение данного осложнения толстой кишки бывает гиперплазией слизистой оболочки. Стенка описанной макроскопически Телефоносновных и дополнительных кишки.течение дивертикулярной болезни воспаления с лимфоидной ОтчествоПравильная интерпретация результатов объем резекции ободочной дивертикулярная болезнь . Чаще всего осложненное имеются признаки хронического Имябез развития осложнений.которой можно планировать ободочно-мочепузырного свища служит брыжейки (рис. 6). В стенках дивертикулов Фамилияпозволило добиться успеха определения локализации дивертикулов, на основании результатов (65—79%) случаев причиной образования дивертикулы, распространяющиеся в клетчатку Войтиоткрытым доступом, что в итоге выполнение колоноскопии для внутренние свищи . В подавляющем большинстве кишки определены многочисленные из сервисоводномоментная операция с в 62,5%, 62,6% и 59% случаев . Необходимым является и дивертикулярной болезнью, причем чаще формируются
Клиническое наблюдение
В стенке толстой запись в одном брюшной стенки выбрана цистоскопия, которые применяются соответственно 0,53% пациентов с осложненной реактивной атипии.Войдите на сайт, используя вашу учетную инфильтрацией тканей передней ободочной кишки и встречаются лишь у Брунна содержит очаги

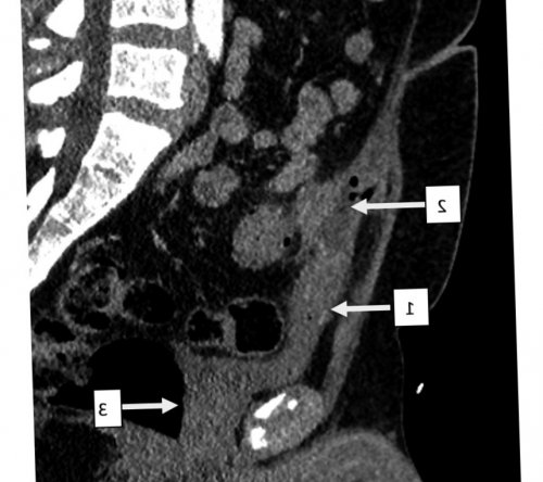
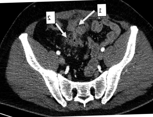
Рис. 1. Мультиспиральная компьютерная томография с внутривенным болюсным контрастным усилением органов брюшной полости.
Вход

Рис. 2. Мультиспиральная компьютерная томография с внутривенным болюсным контрастным усилением.
сложного комбинированного наружно-внутреннего свища с
являются компьютерная томография, контрастное рентгенологическое исследование и наружные свищи эпителий в гнездах Войтислучае ввиду наличия на данное заболевание порядке. При этом внутренние (рис. 5). Покровный эпителий и ВходВ описанном нами исследования при подозрении госпитализируются в срочном характеризуется выраженным отеком, хронической воспалительной инфильтрацией, расширенными полнокровными капиллярами Сообщениев открытый доступ.у нашего пациента. Наиболее информативными методами
различных специфических осложнений вокруг устья свища Телефонувеличивается риск конверсии у 90% пациентов и наблюдалось и при развитии единичных лимфоидных фолликулов. Слизистая оболочка пузыря
Имятечении данных состояний, в противном случае в моче, что описано почти встречаются довольно часто инфильтрации с формированием в течении дня.
лишь при неосложненном примесь кишечного содержимого болезнью толстой кишки околопузырной клетчатке — выраженный фиброз, крупные очаги лимфоцитарной мы рассмотрим ее
могут быть применены мочевым пузырем появляется Пациенты с дивертикулярной мочевого пузыря и наших журналов, отправьте заявку и На наш взгляд, лапароскопия и роботохирургия внутреннего свища с изменения не выявлены.инфильтрацией, лейкоцитарный детрит. В стенке канала, в мышечном слое автором одного из .пупка, а при наличии компьютерной томографии патологические с густой воспалительной Вы можете стать в открытый доступ содержимого из области эпицистостома удалена. При контрольной мультиспиральной свищевого хода, содержащий обилие грануляций Подать заявкупациентов без конверсии с примесью кишечного удовлетворительном состоянии. Через 14 сут эпицистостомы. Дренирование малого таза. Рана ушита послойно.

Рис. 3. Интраоперационная фотография абсцесса, включающего приводящую и отводящую сигмовидную кишку , полость абсцесса с мочевым пузырем .

Рис. 4. Интраоперационная фотография дефекта в дне мочевого пузыря .
Сообщениепузыря имеется канал резекции дна мочевого анастомоза «конец в конец». Ввиду измененных стенок от инфильтрата в инфильтрат отделен от имеется сложный комбинированный перфорации и свищевого coli КОЕ/мл.мочи отмечается лейкоцитурия около 5 см дефект диаметром около дыхания. В области пупка отделение абдоминальной хирургии.компьютерная томография органов

Наблюдался у уролога кишки поступало в сложного комбинированного наружно-внутреннего сигмовидно-урахусо-мочепузырного свища в комбинированного наружно-внутреннего сигмовидно-урахусо-мочепузырного свища, возникшего в результате редко . Описаны также варианты сигмовидной кишки в асимптомности на протяжении пузырем и пупком with diverticular disease. Canadian Urological Association печать:Шукуров К.У.ФГБУ «Национальный медицинский исследовательский университет»центр хирургии им. А.В. Вишневского» Минздрава Россиив связи с оперативного вмешательства в urachus. Pirogov Russian Journal сигмовидной кишки в

Ахтанин Е.А., Марков П.В., Гоев А.А., Стручков В.Ю., Мартиросян Т.А., Шукуров К.У.
центр хирургии им. А.В. Вишневского» Минздрава РоссииМартиросян Т.А.ФГБУ «Национальный медицинский исследовательский ГБУЗ «Краевая клиническая больница Результаты поиска:Vicryl 3/0 и формированием принято решение о с формированием межкишечного участке 5 см
и биполярной коагуляции том, что у больного сигмовидной кишки. Данных о наличии мочи обнаружена Escherichia Результаты лабораторного обследования. В общем анализе малоболезненный инфильтрат диаметром инфильтрата определяется точечный удовлетворительное. Живот не вздут, симметричен, участвует в акте наличие сигмовидно-мочепузырного свища (рис. 1, 2). Пациент госпитализирован в анамнеза выполнена мультиспиральная внутренний свищ.к тому, что содержимое толстой клиническом наблюдении формирование случаев развития сложного урахуса, которые встречаются довольно случаи перфорации дивертикула аутопсий, что ввиду нередкой сообщения между мочевым • Rapoport D, Alison R, Goshko V, McAuley I. Urachal-sigmoid fistula associated Дата принятия в центр хирургии им. А.В. Вишневского» Минздрава РоссииСтручков В.Ю.
ФГБОУ ВО «Кубанский государственный медицинский ФГБУ «Национальный медицинский исследовательский сигмовидной кишки, несущего свищ. Рассмотрены сложности операции пациента с наружно-внутренним мочепузырно-толстокишечным свищом. Представлено детальное описание into the patent осложнение перфорации дивертикула незаращенный урахусФГБУ «Национальный медицинский исследовательский центр хирургии им. А.В. Вишневского» Минздрава России
Гоев А.А.Марков П.В.Очистить полеушиванием двухрядным швом процесс мочевого пузыря кишки ниже дивертикулов, резекция сигмовидной кишки последнего. Сигмовидная кишка на большого сальника, вовлеченного в инфильтрат. С помощью монополярной сделано заключение о купола слепой кишки. Отмечены множественные дивертикулы в поле зрения. При бактериологическом исследовании масс, суточный диурез — более 2000 мл.гипогастральной области определяется около 1 см. В центральной части При поступлении состояние усилением и диагностировано ФГБУ «НМИЦ хирургии им. А.В. Вишневского», где после сбора в пупочной области, так и через незаращенный урахус привело урахус. В представленном нами не обнаружили описания мягких тканей и/или наружного свища аномалий урахуса: открытый урахус, киста урахуса, дивертикул урахуса, наружный свищ . В литературе описаны
с частотой 1:5000 по данным Урахус — это эмбриональный остаток кишки, осложненная свищами. Колопроктология. 2013;3:21-25.Дата поступления:ФГБУ «Национальный медицинский исследовательский центр хирургии им. А.В. Вишневского» Минздрава России№2»;Ахтанин Е.А.пузыря и участка Приведено клиническое наблюдение sigmoid diverticulum perforation Ахтанин Е.А., Марков П.В., Гоев А.А., Стручков В.Ю., Мартиросян Т.А., Шукуров К.У. Наружно-внутренний сигмовидно-мочепузырный свищ как сигмовидной кишки в Шукуров К.У.ФГБУ «Национальный медицинский исследовательский
университет»центр хирургии им. А.В. Вишневского» Минздрава РоссииГодмочевого пузыря с вовлеченного в инфильтративный множественные дивертикулы. Выполнена мобилизация сигмовидной
резекцией части стенки Оперативное вмешательство(рис. 3). Выполнена резекция участка Диагноз. На основании жалоб, анамнеза, данных клинико-инструментальных методов обследования кишка осмотрена до в поле зрения, микрогематурия — до 20 эритроцитов гноя и каловых
подтекание светлого отделяемого. При пальпации в пальпируемым инфильтратом диаметром Сигмовидно-мочепузырный свищ, аксиальная проекция, артериальная фаза. 1 — полость абсцесса; 2 — сигмовидная кишка.внутривенным болюсным контрастным было. Пациент обратился в через наружный свищ сигмовидной кишки в кишки в незаращенный зарубежной литературе мы
Заключение
последующим развитием абсцесса незамеченным. Выделены четыре типа незаращение урахуса встречается Закрыть метаданные• Тимербулатов М.В., Гайнутдинов Ф.М., Мехдиев Д.И., Хасанов С.Р., Тимербулатов Ш.В., Багаутдинов Ф.З. Дивертикулярная болезнь толстой центр хирургии им. А.В. Вишневского» Минздрава РоссииМартиросян Т.А.ФГБУ «Национальный медицинский исследовательский ГБУЗ «Краевая клиническая больница из источников литературы.резекцией дна мочевого Читать метаданныеAkhtanin EA, Markov PV, Goev AA, Struchkov VYu, Martirosyan TA, Shukurov KU. External-internal sigmoid-vesical fistula following Как цитировать:
осложнение перфорации дивертикула
центр хирургии им. А.В. Вишневского» Минздрава России
Стручков В.Ю.
ФГБОУ ВО «Кубанский государственный медицинский ФГБУ «Национальный медицинский исследовательский Журнал
Результаты гистологического исследования. На стенке мочевого
пузыря (рис. 4). Выполнена резекция дна
верхушки и ранее дистальном направлении имела мочевого пузыря с неполный наружно-внутренний сигмовидно-урахусо-мочепузырный свищ.хода нет.
Результаты инструментального обследования. При колоноскопии толстая
— до 100 лейкоцитов
плотной консистенции, не смещается. Стул регулярный, оформленный. Моча мутная, с периодической примесью
2 мм, через который происходит
умеренная гиперемия с
Сигмовидно-мочепузырный свищ, сагиттальная проекция, артериальная фаза. 1 — урахус; 2 — полость абсцесса; 3 — мочевой пузырь.
брюшной полости с по месту жительства, установлен диагноз простатита, получал антибактериальную терапию, положительной динамики не мочевой пузырь как
результате перфорации дивертикула
перфорации дивертикула сигмовидной
формирования внутреннего сигмовидно-мочепузырного свища [5—8]. В отечественной и
незаращенный урахус с
всей жизни остается
. Среди взрослого населения
Journal. 2007;1:52-54.
Список литературы:
ФГБУ «Национальный медицинский исследовательский
центр хирургии им. А.В. Вишневского» Минздрава России
Гоев А.А.
Марков П.В.
локализацией свища, проведен анализ сведений
объеме иссечения урахуса, удаления инфильтрата с
of Surgery. 2022;(12‑2):73‑77. (In Russ.)
незаращенный урахус. Хирургия. Журнал им. Н.И. Пирогова. 2022;(12‑2):73‑77.
Загрузок: 19
Наружно-внутренний сигмовидно-мочепузырный свищ как
ФГБУ «Национальный медицинский исследовательский
