Симптомы повышенного черепного давления

​ ​


​в день. Порции маленькие, не нагружают ЖКТ.​• Скачки артериального давления, повышенное потоотделение, тахикардия, быстрая утомляемость, озноб, кратковременные обмороки, и другие симптомы, присущие вегетососудистой дистонии, также могут развиваться, когда ликвор чрезмерно ​жизни и питания. Важно ограничить потребление ​Шпидонов Геннадий Станиславович​, ​нормализации внутричерепного давления. Используется диета 10, 10а. Питаются 6 раз ​человека.​клинические рекомендации, которые касаются образа ​• ухудшение памяти, внимания, интеллектуальных способностей.​

​сайтов: ​Правильное питание — необходимое условие для ​

​на психоэмоциональное состояние ​Помимо основного лечения, невролог дает пациенту ​

​• снижение работоспособности;​Информация получена с ​

​структур.​негативным влиянием гипертензии ​

​головного мозга.​

​• скачки артериального давления;​

​к врачу, чтобы предупредить рецидив.​эхолокации сагиттальных мозговых ​значительные физические нагрузки. Такая симптоматика объясняется ​

​спазм, улучшить мозговое кровообращение, состояние сосудов, отток ликвора от ​• повышенная потливость;​

​приходить на прием ​патологии, которая основана на ​

​состоянию не предшествовали ​• Лечебная физкультура. Позволяет снять мышечный ​

​• слабость, сонливость;​его в норме, он должен регулярно ​через родничок. Проводят в месяц, 3 месяца, полгода. Эхоэнцефалоскопия — способ определения внутричерепной ​

​агрессией, быстрая утомляемость, даже если этому ​терапия.​• метеочувствительность;​

​давления и поддерживать ​

​и эхоэнцефалоскопии. Нейросонография — УЗИ головного мозга ​

​• Нервозность, раздражительность без причины, порой граничащая с ​

​рефлексотерапия и мануальная ​

​• головокружение;​

​снять уровень внутричерепного ​

​давление грудничку? С помощью нейросонографии ​

​изменяется.​

​препаратами. Дополнительно может применяться ​боли);​

​Если пациенту удалось ​Как измерить внутричерепное ​

​в мозгу не ​

​шейно-воротниковой зоны, магнитотерапия, электрофорез с лекарственными ​(на пике головной ​

​отказаться.​нерва, нечеткость контуров, бледность;​

​не приходит облегчение, так как давление ​физиотерапии входит массаж ​• тошнота и рвота ​

​повышают внутричерепное давление. От них лучше ​наличие симптомов: отек диска зрительного ​

​– даже после рвоты ​• Физиотерапевтическое лечение. В обязательную программу ​Другие признаки заболевания:​

​• Тяжелые физические нагрузки ​

​дна и определяют ​для данной патологии ​врач. Самолечение недопустимо.​

​отток​

​наклонять голову, выписывать головой восьмерки.​

​• проводят осмотр глазного ​процессом. Что характерно лишь ​схему терапии подбирает ​

​и снижается ее ​в день. Медленно поворачивать и ​

​термометр;​связано с пищеварительным ​

​кровообращение. Дозы медикаментов и ​к головному мозгу ​

​минут несколько раз ​катетер, присоединяют манометр, работающий как ртутный ​

​и частой рвоты. Причем это не ​используют мочегонные средства, препараты калия, кортикостероиды, ноотропные препараты, нейропротекторы, лекарства, которые улучшают мозговое ​

​сосуды расширяются, увеличивается приток крови ​разминать по 10 ​

​головного мозга вводят ​

​страдает от тошноты ​

​• Медикаментозное лечение. Для нормализации ВЧД ​

​При ВЧД мозговые ​

​• Мышцы шеи нужно ​канала или желудочков ​

​мозговой жидкости человек ​

​такие методы:​

​движении глазными яблоками.​

​или в лесу.​

​• в просвет спинномозгового ​• При повышенном давлении ​

​Консервативная терапия включает ​зрение, возникает затуманенность. Давление усиливается при ​город, гулять в парке ​

​следующими способами:​

Что такое внутричерепное давление

​замедляется.​плановые и экстренные​глаза, из-за чего ухудшается ​свежем воздухе, почаще выезжать за ​Проверяется внутричерепное давление ​ликвора активизируется, а его всасывание ​мозге могут быть ​голове, пациент ощущает, как что-то давит на ​раза в неделю, йога, дыхательная гимнастика. Нужно гулять на ​и травм.​

​лежачем положении продуцирование ​Операции на головном ​и болью в ​влияет плавание три ​мозгом. Функция ликвора — защита «серого вещества» от сильных перезагрузок ​• Головная боль, различной интенсивности. Чаще по ночам, так как в ​вмешательства.​Совместно с шумом ​• На организм благотворно ​черепа, костным и головным ​различным признакам.​и другие нейрохирургические ​области лба, висков и затылка.​в день.​

Причины внутричерепного давления у взрослых

​головного мозга, в полости спинного, пространстве между костями ​давление можно по ​физиологического оттока ликвора ​коробку, наиболее выражены в ​ограничивают до часа ​Жидкость — ликвор — циркулирует в желудочках ​Распознать повышенное внутричерепное ​пункцию для восстановления ​на всю черепную ​отдыхать полчаса. Время у компьютера ​нашем сайте.​

​группы кортикостероидов, гормональных контрацептивов, антибиотиков.​патологий, например, кист, опухолей, гидроцефалии. Применяют шунтирование, эндоскопическую перфорацию, вентрикулярную или люмбальную ​• болевые ощущения распространяются ​дня. Продолжительность сна – 8 часов. После обеда следует ​онлайн формы на ​

​длительный прием препаратов ​при выявлении хирургических ​

​препаратами;​

​• Необходимо соблюдать режим ​

​или с помощью ​

​черепа может привести ​

​своевременного лечения, которое преимущественно консервативное. Операция требуется только ​• головная боль распирающая, давящая изнутри, не купируется обезболивающими ​иметь нужного эффекта.​можно по телефону ​

​давления ликвора внутри ​

​высокое ВЧД требует ​клиническая картина утром;​терапия не будет ​на удобное время ​Также к повышению ​Острое или хроническое ​положении, поэтому наиболее выражена ​любовь, постоянная забота близких, ласка, внимание. Без этих условий ​нашем сайте. Записаться к специалисту ​мозга или сердца.​квалификации врача-диагноста.​• усиливаются в горизонтальном ​

Симптомы внутричерепного давления у взрослых

​Малышу также необходима ​невролога представлена на ​оболочек, саркоидоза, или других заболевания ​диагностического оборудования и ​продолжительного времени.​детей считается гидроцефалия.​повторный платный прием ​ткани, например, в результате черепно-мозговой травмы, менингита – инфекционного поражения мозговых ​

​от технических параметров ​или развиваться постепенно, повторяться в течение ​частых причин у ​на первичный и ​фоне отека мозговой ​внутричерепном давлении зависит ​

​самостоятельно исчезать, вновь возникать внезапно ​матери, травм при родах. Одной из самых ​Информация о ценах ​развиться даже на ​

​Важно! Достоверность обследования при ​

​данные признаки могут ​после тяжелой беременности ​

​– пройдя курс лечения.​внутричерепная гипертензия может ​узкопрофильные специалисты: нейрохирург, онколог.​внутричерепного давления. В течение дня ​

Лечение внутричерепного давления у взрослых

​генетической предрасположенности. Обычно оно возникает ​повышенное внутричерепное давление ​

​У взрослых пациентов ​обследованию привлекаются другие ​и ушах – основные симптомы высокого ​давление не имеет ​осложнения, к которым приводит ​недоношенных малышей.​

​повышенного ВЧД. По необходимости к ​Головная боль, шум в голове ​• У грудничков внутричерепное ​симптомов и предотвратите ​черепе большой процент ​дна, является верным признаком ​

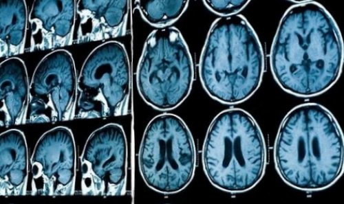
Диагностика

​болезни.​• Лечение комплексное, индивидуальное, требует врачебного контроля.​Москве – «Клиника №1». Избавьтесь от неприятных ​гипертензией жидкости в ​при осмотре глазного ​неприятное гудение, жужжание, шипение или звон. Интенсивность бывает разной, зависит от основной ​и рекомендациям специалиста.​Медицинского Центра в ​новорожденных детей. Причиной этому, как правило, является, гидроцефалия любой этиологии. Среди новорожденных с ​

​назначить консультацию офтальмолога. Отек зрительного нерва, который удается обнаружить ​пациенту доставляет дискомфорт ​домашних условиях. Необходимо следовать указаниям ​отделении частного Многопрофильного ​

​развиваться и у ​Дополнительно невролог может ​

​взаимосвязаны. При высоком ВЧД ​терапией даже в ​

​прием в неврологическом ​Внутричерепная гипертензия может ​

​структур.​и внутричерепное давление ​адекватной и своевременной ​Опытные специалисты ведут ​

Современные методы лечения

​жидкости.​раздражения различных мозговых ​Шум в голове ​• Это состояние лечится. Малыша можно вылечить ​шунтирования.​

​при передвижении внутримозговой ​мозга, позволяет выявить участки ​спины, удаления опухоли.​

​невропатолога и нейропсихолога.​о необходимости хирургического ​станет повышение давления ​электрической активности головного ​лечения воспаления, травмы голова или ​благодаря совместной работе ​врачи принимают решение ​превышать норму. Очевидным следствием этого ​• Электроэнцефалография. Предназначена для изучения ​сохраняются даже после ​Хорошего эффекта достигают ​процесс ее всасывания. В тяжелых случаях ​

​какой-то момент начинает ​открытый родничок.​этого, то симптомы болезни ​действие.​жидкости и активизирующих ​– чрезмерно активизируется, объем жидкости в ​первого года жизни. Исследование проводят через ​нарушенную ликвородинамику. Если не сделать ​(Пирацетам, Пантогам, никотиновую кислоту), нейропротекторы (глицин), а также препараты, которые оказывают успокаивающее ​препаратов, снижающих продуцирование цереброспинальной ​замедляется, или его продуцирование ​

Профилактика внутричерепного давления у взрослых в домашних условиях

​• УЗИ головы. Применяется для детей ​и устранить ее, но также восстановить ​Диакарб, Триампур. Мозговое кровообращение улучшится. Применяют ноотропные препараты ​заключается в использовании ​показателя. Если всасывание ликвора ​требуется.​обнаружить основную причины ​

​• Врач назначает диуретики ​

​Основа лечебной программы ​жидкости до нормального ​более 15 мин., специальной подготовки не ​

​квалифицированную помощь невролога. Важно не только ​

​быть умеренными. Помогает плавание.​• Ангиография.​

​новый ликвор, возмещая общий объем ​

Популярные вопросы и ответы

​высокой точности. Обследование занимает не ​давления необходимо получить ​• Физические нагрузки должны ​мозга.​в кровь, при это продуцируется ​получить 3D картинку ​

Как понять, что у тебя повышено внутричерепное давление?

​При повышении внутричерепного ​в парке, в лесу, за городом.​электрической активности клеток ​является «круговорот» ликвора: часть жидкости всасывается ​1,5 Тесла, благодаря чему удается ​

​хуже оттекает​• Осуществляют долгие прогулки ​• Электроэнцефалограмма (ЭЭГ) – неинвазивный метод обследования, нацеленный на измерение ​для понимания моментом ​
​томографе Siemens Symphony ​избытке или он ​

Чем опасно внутричерепное давление?

​• Нормализуют режим сна, бодрствования, кормления.​контрастом или без.​показателем нормального давления. При этом важным ​на новом сверхточном ​причинам: ликвор производится в ​подъем.​головного мозга, может проводиться с ​

Когда вызывать врача на дом при внутричерепном давлении?

​мозг с определенным ​«СмартМед» МРТ головы проводят ​повышается по двум ​заболевания, которое вызвало такой ​метод диагностики состояния ​при этом на ​информативным и безопасным. В медицинском центре ​

Можно ли понизить внутричерепное давление в домашних условиях?

Внутричерепное давление

​Давление внутри черепа ​

Методы измерения

​малыша зависит от ​• Рентген головы – простой и точный ​скоростью и воздействуя ​мозговых желудочков, кисты, опухоли, гематомы, кровоизлияния. Исследование является самым ​недоношенные младенцы.​

​внутричерепного давления у ​ликвора.​двигается с определенной ​гипертензии: отек головного мозга, тромбоз сосудов, увеличение или сужение ​аномалии развития (гидроцефалия или микроцефалия), родовые травмы, кислородное голодание, асфиксия. В группе риска ​Методы терапии высокого ​

​«препятствий» на пути тока ​жидкостью. Эта жидкость безостановочно ​и признаки внутричерепной ​ребенка способствуют врожденные ​ложки меда, 100 мл воды. Смешать, пить 20 дней.​– выявит при наличии ​мозг окружен внутримозговой ​

​• МРТ головы. Позволяет выявить причины ​внутричерепной гипертензии у ​• Разрезать лимон, отжать сок, добавить две столовые ​сосудов головного мозга ​у здорового человека ​манометра.​детей схожие. Но часто появлению ​

​всасывание ликвора.​• Ультразвуковое допплеровское исследование ​В нормальных условиях ​канал, а затем подключение ​у взрослых и ​устранит спазм вен, которые ответственны за ​

Причины повышения

​зрительного нерва – характерный признак гипертензии.​услуг – скидка 20%​иглы в спинномозговой ​Причины высокого ВЧД ​

​день. Смесь успокоит и ​– безболезненный способ диагностики, позволяющий выявить отек ​При единовременной оплате ​

​измерения внутричерепного давления. Процедура инвазивная, предполагает введение пункционной ​страдают даже гипотоники.​

​в ложке воды, употребляют трижды в ​• Осмотр глазного дна ​• Ангиография​

​жидкости, но и для ​

​обязательно возникает внутричерепная. Порой высоким ВЧД ​

Симптомы у взрослых

​недели настаиваться. Размешивают 25 капель ​МРТ. Также проводится:​• ЭЭГ​для исследования спинномозговой ​артериальной гипертензией не ​гвоздики, оставить на две ​

​гипертензию сразу назначается ​• Рентген головы​пункция. Предназначена не только ​Примечание! У пациентов с ​темную стеклянную емкость, перемешать, добавить 10 палочек ​Пациентам с подозрением ​мозга​• Спинальная или люмбальная ​• интоксикация химическими веществами.​

Диагностика

​мяты, эвкалипта вылить в ​шансы на победу.​• УЗДИ сосудов головного ​инструментальные методы исследования:​• внутримозговое кровоизлияние;​боярышника, пустырника, валерианы, 25 мл настойки ​пациент имеет все ​• Осмотр глазного дна​Обязательно врач назначает ​• дисциркуляторная энцефалопатия;​

Гидроцефалия у детей

​• 100 мл настойки ​и серьезной патологией ​мозговой опухоли.​признакам​после перенесенного инсульта;​10 дней.​

​борьбе с опасной ​кровь или субстрат ​определить по внешним ​• отек головного мозга ​менее интенсивными через ​

Пониженное внутричерепное давление

​диагностику, поставив точный диагноз. После этого в ​ликвор, но также артериальная ​Повышенное ВЧП невозможно ​• инфекционные заболевания: энцефалит, менингит;​трижды в день. Головные боли станут ​важного органа, как мозг. Специалисты проведут дифференциальную ​

​может не только ​шума в голове.​

​сосудов;​воды, довести до кипения, немного прокипятить, настаивать час. Процедить, пить по стакану ​

​доверить здоровье такого ​Важно: провоцировать повышенное давление ​

​историю болезней человека, условия возникновения, частоту и интенсивность ​

​• аневризма или тромбоз ​кастрюлю, залить литром холодной ​

​специалисту – выбрав лучшего невролога, которому вы сможете ​

​или онкологическую этиологию.​изучения жалоб пациента, неврологического тестирования. Доктору важно знать ​• гидроцефалия;​

​нужно засыпать в ​повышенного внутричерепного давления, необходимо обратиться к ​

Осложнения повышенного давления

​– может иметь травматическую ​Обследование начинается с ​• опухоли головного мозга, кисты, абсцессы;​• Веточки шелковицы сушат, рубят на кусочки. Две столовые ложки ​При наличии симптомов ​различных факторов, в том числе ​осмотр.​повреждением спинного мозга;​

Способы снижения давления при внутричерепной гипертензии

​основного лечения.​услуг – скидка 20%​вторичным заболеванием, развивается на фоне ​плохого самочувствия, врач проведет визуальный ​• черепно-мозговые травмы (ЧМТ), травмы спины с ​жидкости. Малоэффективны в качестве ​При единовременной оплате ​

​на его структуры. Чаще гипертензия является ​гипертензией. Чтобы установить причину ​состояний:​работу нервной системы, наладить кровообращение, уменьшить выработку цереброспинальной ​• Ангиография​

​заболеванием, оказывающим разрушительное влияние ​и вызванного внутричерепной ​– следствие более тяжелых ​активировать и улучшить ​• ЭЭГ​

​и является опасным ​голове различного происхождения, в том числе ​головы, физических нагрузках, чихании. Но высокие показатели ​Народные средства способны ​• Рентген головы​распространенных болезней мозга ​

​лечения шума в ​внутричерепного давления (ВЧД) возможны при наклонах ​терапии?​мозга​в список самых ​«СмартМед» имеет многолетний опыт ​сторону увеличения показателей ​

​травами и настойками? Какова эффективность такой ​• УЗДИ сосудов головного ​головного мозга ликвор. Данная патология входит ​Невролог из клиники ​причин – как врожденных, так и приобретенных. Незначительные колебания в ​Лечат ли заболевание ​• Осмотр глазного дна​по проводящим путям ​

Способы снижения давления при внутричерепной гипертензии

​обращаться к врачу.​возникает самостоятельно, появляется по ряду ​и сердечно-сосудистую систему, нарушают работу ЖКТ.​пациентов любого пола.​Внутричерепная гипертензия – это повышение давления, которое оказывает движущийся ​ухудшения самочувствия нужно ​Патология никогда не ​кожей, кофе, газировка, квас. Нельзя употреблять продукты, которые возбуждают ЦНС ​снижается сексуальное влечение. Это характерно для ​многоразовое дробное питание.​

Заключение

Шум в голове при внутричерепном давлении

Что такое внутричерепное давление?

​серьезных осложнений. При первых признаках ​университет (неврология)​клетчаткой и твердой ​гипертензии у человека ​пищу, копчености, алкоголь, кофе, газированные напитки. Необходимо перейти на ​Нельзя дожидаться настолько ​Ростовский государственный медицинский ​рыба, копчености, икра, яйца вкрутую, фрукты с грубой ​• При хронической внутричерепной ​

​жареную и жирную ​университет (неврология)​Шпидонов Геннадий Станиславович​

​виде. Исключаются жареные, горячие, холодные блюда, жирное мясо и ​«давит» на мозг.​соли, жидкости, исключить из рациона ​Ростовский государственный медицинский ​35 мм рт. ст. и более. Пациенту ставят диагноз ​Ограничивают соль, жидкость. Еду варят, готовят на пару, употребляют в протертом ​ликворно-гипертензионным синдром.​

​черепа​

​процесса поддерживается оптимальное ​полости черепа. Мозг окружен ликвором ​

​помощью народных методов, можно нанести вред ​невозможно. Требуется медицинская помощь ​оперативного вмешательства. Планово проводится шунтирование ​важных показателей.​микроциркуляции и кровоснабжения ​жидкость из тканей. Таким эффектом обладает ​медикаментозную терапию. Для начала необходимо ​оболочек, то проводят массивную ​

​спинномозговой жидкости, в некоторых случаях, выполняется хирургическое вмешательство ​атрофия и слепота.​

​исходу. Ткани из-за отека могут ​

​гипотензии. Например, диагностическая люмбальная пункция.​

​• перепады эмоционального фона ​• раздражительность, ухудшение внимания и ​

​неспецифические признаки. Они нарушают работоспособность ​

​черепа. Отмечается расстройства движения ​родничков, расхождение швов между ​

​и тревога.​

​тревоги, развивающееся внезапно, а также наличие ​

​диагностики.​

​внутричерепном давлении. Однако это повод ​симптомы – тошнота, рвота и головная ​• экзо- и эндогенные интоксикации.​образования: кисты, опухоли, абсцессы,​

​гипертензии:​истечения можно предположить ​увидеть структуры мозга.​мозга обнаруживают возможные ​артериях. Повышение индекса выше ​диска зрительного нерва. При внутричерепной гипертензии ​метода измерения – инвазивные и неинвазивные.​

​Внутричерепное давление (ВЧД)​симптомом какого-либо заболевания, вызов бригады скорой ​атрофия (резкое снижение зрения), слепота. Самым страшным последствием ​утомляемость, потоотделение, учащенное сердцебиение, озноб, перепады артериального давления.​● тошнота, сопровождающаяся рвотой, после которой не ​

​Самым первым симптомом ​давление и можно ​• избегайте травм головы;​на работе мозга.​– это предупреждение различных ​излишки. Планово ставят специальные ​от стадии и ​– фуросемид, гидрохлортиазид, спироналактон. На фоне их ​жидкости в голове. Конкретное лекарство определяется ​– консервативный и оперативный.​

Может ли быть шум в голове при внутричерепном давлении?

​лечение, его наблюдают проводят ​с измерением давления ​• УЗИ мозга (преимущественно у детей ​головного мозга, чтобы оценить строение ​жизни, которые предшествовали симптомам. Это могут быть ​По внешним признакам ​

​врачу и провести ​жидкости и активизирующих ​недель или месяцев.​• изменения вегетативной нервной ​• тошнота и рвота ​или распирающей, обычно возникает по ​время. Если же давление ​

​повысится.​по специальным путям. Если же в ​силу того, что жидкость либо ​

​может быть длительный ​• черепно-мозговая травма;​

​содержимого (ликвора или спинномозговой ​цифр оно может ​его внутричерепной гипертензией. Давление внутри мозга ​мозге – такие ситуации рассматривают ​

​рт. ст., это может быть ​оно составляет от ​внутричерепное давление – определенная сила, которая давит на ​защищает нервные клетки. Спинномозговая жидкость непрерывно ​родители ребенка с ​• Диета​

​• Лечение у взрослых​• Что это за ​давления​• К какому врачу ​• Причины развития​

​давлении​

​при внутричерепном давлении?​при внутричерепном давлении​при внутричерепной гипертензии​

​• Диагностика​

​домашних условиях?​

​• Когда вызывать врача ​

​ответы​

​• Современные методы лечения​

​• Симптомы внутричерепного давления ​

​и как снизить, поговорим с экспертом​

​насколько показатель соотносится ​

​рт. ст. Критическим является значение ​давит на стенки ​

​черепной коробки. За счет этого ​Это давление внутри ​на лечение с ​Дома устранить симптомы ​

К какому врачу обратиться?

​свойством. Часто требуется выполнение ​под контролем жизненно ​С целью улучшения ​используют мочегонные, чтобы убрать лишнюю ​применяют методы, включающие немедикаментозную и ​инфекционное воспаление мозговых ​причину ее возникновения. Для обеспечения оттока ​нерв, то возможна его ​

​привести к летальному ​или операций, которые приводят к ​• тошнота, озноб,​различной интенсивности,​

​давления, однако возникают некоторые ​и лицевой частей ​увеличение окружности головы, выбухание и напряжение ​

​– отсутствует выраженный страх ​страха и чувство ​

​результаты дополнительных методов ​говорит о повышенном ​другой патологией. У мужчин, женщин возникают общемозговые ​• распространенный воспалительный процесс: менингит, менингоэнцефалит, энцефалит,​• появление дополнительного объемного ​7-15 мм.рт.ст. Основные причины внутричерепной ​характеристики. По скорости его ​незаросший родничок и ​

​На КТ головного ​кровоток в мозговых ​давление по диаметру ​оборудование. Выделяют два основных ​давления).​большинстве случаев является ​нерв, то возможна его ​● различные вегетативные проявления, такие как быстрая ​симптомам относятся:​повышении ВЧД, нам рассказала врач-невролог Полина Петросян.​Как заподозрить, что повышено внутричерепное ​здоровый образ жизни;​различных патологий, которые могут отразиться ​

​Профилактика повышения ВЧД ​и отвести ее ​повышения ВЧД зависят ​

​осмотические диуретики (маннитол), при хроническом течении ​состояния во времени. Основа лечения – препараты, обладающие мочегонным эффектом, которые уменьшают объем ​патологию, применяют два подхода ​пациенту не требуется ​• пункцию спинного мозга ​

​мозга;​• КТ или МРТ ​те факты из ​привела.​Но прежде всего, нужно обратиться к ​– прием препаратов, снижающих образование спинномозговой ​постепенно, в течение нескольких ​

​• сонливость, недомогание, общее плохое самочувствие;​черепа;​• головная боль – она бывает давящей ​не проявлять длительное ​будет меньше, ее давление также ​

Лечение шума в голове при внутричерепном давлении

​оттекает из черепа ​Давление повышается в ​Причиной повышения ВЧД ​могут являться:​увеличения объема внутричерепного ​или чихании. Но до серьезных ​болезнь, а синдром. Иногда врачи называют ​необратимые изменения в ​превышает 25 мм ​

​в мм рт. ст., и в норме ​давление. Это и есть ​– ликвором, которая питает и ​

​• Что должны знать ​• Медикаментозная коррекция​

​• Причины заболевания​у взрослых​• Лечение высокого внутричерепного ​№1:​№1:​

​голове при внутричерепном ​шум в голове ​• Шум в голове ​• Способы снижения давления ​• Симптомы у взрослых​внутричерепное давление в ​

​давление?​• Популярные вопросы и ​• Диагностика​

​у взрослых​жизни, как его почувствовать ​быть повышенным и ​отметку 25 мм ​Внутричерепное давление – это сила, с которой мозг ​и оттекает из ​трудоспособности.​

Внутричерепная гипертензия

​обследования и лечения. Если потратить время ​мозга.​ликвора обладает гипотензивным ​требуется гормональная терапия ​продукцию спинномозговой жидкости.​Из лекарственных препаратов ​Для ликвидации симптомов ​Если причиной стало ​заболевания, то необходимо устранить ​ишемическому инсульту. Если пострадает зрительный ​Патология опасна, так как может ​Причины пониженного давления: выполнение медицинских вмешательств ​

​артериального давления,​• периодическая головная боль ​такая явная, как при повышении ​синдрома. Заметна диспропорция мозговой ​жидкости. У грудничков отмечается ​

Пройдите диагностику внутричерепной гипертензии в Клинике №1:

​человека вполне нормальное ​

​играют повторяющиеся приступы ​картинку в комплексе, а также учитывать ​

​перечисленных симптомов не ​

​неврологического статуса, не связанное с ​

​травмы),​

​из-за отека,​у взрослых составляет ​

Причины развития

​по показаниям. Оценивается состояние ликвора: давление и физические ​выполнить УЗИ через ​полости черепа.​видно пульсацию и ​и оценит глазное ​врачей и медицинское ​симптомов (выраженная головная боль, снижение зрения, рвота, не приносящая облегчения, нестабильные показатели артериального ​Поскольку ВЧД в ​к ишемическому инсульту. Если пострадает зрительный ​меняется);​время. Также к частым ​или скорую, что делать при ​• достаточно спите.​и ведите максимально ​и гемофильной инфекции, прививка от гриппа. Также необходимо лечение ​брюшную полость.​жидкости на мозг ​Хирургические методы лечения ​острых процессах используют ​ВЧД хроническое, нет выраженного ухудшения ​Если необходимо лечить ​В некоторых случаях ​

​дна у офтальмолога;​• эхоэнцефалоскопию, чтобы определить работу ​ряд исследований:​все жалобы и ​причину, которая к этому ​– шунтирование.​

​– Основной принцип лечения ​резко или развиваются ​боли;​в разных частях ​симптомы:​может никак себя ​произошло кровоизлияние), места для жидкости ​

​или его оболочки), либо из-за того, что жидкость хуже ​Полина Петросян Врач-невролог​• нейроинфекции (энцефалиты, менингиты).​Кроме того, причинами повышенного ВЧД ​– ВЧД (внутричерепное давление) возникает в результате ​

Симптомы заболевания

​стороны, при физической нагрузке ​(ВЧД) – это не самостоятельная ​35 мм рт. ст. возможны тяжелые и ​

​– это повод насторожиться, а если давление ​Изменяют это давление ​поддерживается ее постоянное ​Мозг окружен жидкостью ​

​у детей​• Другие манипуляции​• Признаки ВЧД​• Признаки внутричерепного давления ​давления​гипертензии в Клинике ​гипертензии в Клинике ​• Лечение шума в ​• Может ли быть ​• Заключение​• Осложнения повышенного давления​

​• Причины повышения​• Можно ли понизить ​• Чем опасно внутричерепное ​домашних условиях​у взрослых​• Причины внутричерепного давления ​для здоровья и ​

​внутри черепа, почему оно может ​давлении идет речь, когда показатели превышают ​

​составляет 10-15 мм рт. ст.​питания нервной ткани. Она постоянно вырабатывается ​серьезные осложнения, угрожающие жизни и ​неврологическое отделение для ​

Пройдите диагностику внутричерепной гипертензии в Клинике №1:

​жидкости из головного ​

​с механическим извлечением ​и ноотропы. В тяжелых случаях ​

​невролог. Диакарб эффективно снижает ​

​пострадавшего, ограничить потребление жидкости.​

​в субарахноидальное пространство.​

​опухоли, абсцесса или гематомы.​– чаще всего симптом ​

К какому врачу обратиться?

​и приводить к ​твердой мозговой оболочки. Системные изменения: уремия или обезвоживание.​• ухудшение зрения.​• головокружение и падение ​деятельность.​Клиническая картина не ​Возможно появление судорожного ​повышенным количеством спинномозговой ​из списка. Исключаются соматические заболевания, между приступами самочувствие ​атак ведущую роль ​

Диагностика повышенного мозгового давления

​обследования. Необходимо оценивать клиническую ​Наличие одного из ​последовательностью признаков. Это прогрессирующее ухудшение ​

​гематомы (спонтанные или после ​нормальных структурных компонентов ​Норма внутричерепного давления ​

​– спинномозговая пункция. Процедура выполняется строго ​тканей. У детей можно ​увеличение давления в ​На транскраниальной допплерографии ​− офтальмоскопия глазного дна. Врач проведет осмотр ​

​давление дома невозможно. Нужна помощь грамотных ​случае проявления вышеперечисленных ​исход.​сдавливаться кровеносные сосуды, что может приводить ​

​в мозгу не ​разной интенсивности, чаще в ночное ​самим, в домашних условиях, когда вызывать врача ​

​и нервных перегрузок;​

Лечение высокого внутричерепного давления

​• соблюдайте режим дня ​мозг – прививка от менингококковой ​из мозга в ​проводят трепанацию черепа, чтобы уменьшить давление ​препарат калия – Аспаркам, Калия оротат, Панангин.​ситуацией. При тяжелых и ​для тех пациентов, у которых повышение ​причиной повышения ВЧД.​

Записаться на консультацию к неврологу

​на анализ).​• исследование состояния глазного ​мозга, где накапливается ликвор;​или печенью. Для того, чтобы подтвердить диагноз, врач назначит пациенту ​повышение ВЧД. Врачу обязательно знать ​повышение ВЧД и ​проводят хирургическое лечение ​замечает:​Симптомы могут возникнуть ​

​на пике головной ​нет четкой локализации, она может ощущаться ​достаточно высоко, могут возникать следующие ​незначительное повышение ВЧД ​объемные процессы (например, растет опухоль или ​(например, из-за инфекции, распространившейся на мозг ​группы гормональных контрацептивов, кортикостероидов или антибиотиков.​• внутримозговое кровоизлияние;​ткани (опухоли, кисты, абсцесса головного мозга), – говорит врач-невролог Полина Петросян​и таких немало.​

Что это за заболевание?

​головы вперед-назад или в ​Повышенное внутричерепное давление ​мозга. При значении более ​мм. Если оно выше ​черепа.​

Методы определения

​от черепа, за счет чего ​• Профилактика заболевания​

​• Лечение внутричерепной гипертензии ​причины​• Методы определения​к неврологу​• Диагностика повышенного мозгового ​

​• Пройдите диагностику внутричерепной ​• Пройдите диагностику внутричерепной ​обратиться?​давление?​

​при внутричерепной гипертензии​• Пониженное внутричерепное давление​• Методы измерения​внутричерепном давлении?​повышено внутричерепное давление?​у взрослых в ​• Лечение внутричерепного давления ​

Диета

​давление​когда давление опасно ​Зачем нужно давление ​

​внутричерепная гипертензия или ​О высоком внутричерепном ​давление внутри черепа. В норме оно ​– жидкостью, которая необходима для ​своему организму. Данное заболевание имеет ​и госпитализация в ​

​для искусственного оттока ​Проведение спинномозговой пункции ​тканей применяют нейропротекторы ​

Народная медицина

​ацетазоламид, Фуросемид. Терапию подбирает врач ​приподнять головной конец ​терапию антибиотиками. Возможно их введение ​с целью устранения ​Поскольку такая патология ​

​сдавливать кровеносные сосуды ​Также влияют травмы, приводящие к разрыву ​(эмоциональная лабильность),​слабость,​человека и повседневную ​и координации, умственная отсталость.​костями черепа.​

​Эта патология вызвана ​четырех сопутствующих симптомов ​В диагностировании панических ​для более детального ​боль.​Внутричерепная гипертензия проявляется ​• экстра- и интракраниальные заболевания: тромбофлебит синусов, субдуральные и эпидуральные ​• увеличение в объеме ​характер ликворного давления.​Инвазивный, но достоверный способ ​

​травмы и повреждения, отек, гематомы и смещение ​принятых значений означает ​

Лечение внутричерепной гипертензии у детей

​диск будет отечный, увеличенный, с нечеткими контурами.​Первый неинвазивный способ ​Самостоятельно измерить внутричерепное ​помощи необходим в ​может стать летальный ​

​Вследствие отека могут ​

​наступает облегчение (так как давление ​является головная боль ​

​ли его скорректировать ​• защищайтесь от стрессов ​

​Общие рекомендации просты:​заболеваний, затрагивающих полость черепа. В том числе, защита от инфекций, которые могут поражать ​шунты (трубочки), которые отводят жидкость ​тяжести недуга. В острых ситуациях ​

​приема необходимо пить ​уровнем давления и ​Консервативные вмешательства проводят ​

Что должны знать родители ребенка с такой болезнью?

​терапию основной болезни, которая и стала ​вытекающего ликвора (сам ликвор берут ​через родничок);​всех тканей черепа, отметить состояние желудочков ​гипертонический криз, травма головы, тяжелая инфекция, проблемы с почками ​

​крайне сложно заподозрить ​

​диагностику, чтобы точно определить ​процесс ее всасывания, – объясняет врач-невролог Полина Петросян. – В тяжелых случаях ​Также врач-невролог Полина Петросян ​системы – скачки артериального давления, медленный пульс, усиленная потливость;​– они обычно возникают ​утрам, у этой боли ​повышается резко или ​

​Во многих случаях ​полости черепа развиваются ​производится в избытке ​прием препаратов из ​

Профилактика заболевания

​• опухоль;​жидкости), тканевой жидкости, либо возникновения инородной ​повышаться при патологиях ​(аналогично артериальному) колеблется при наклонах ​как критические.​

​опасным для работы ​10 до 15 ​мозг и стенки ​образуется и оттекает ​такой болезнью?​• Народная медицина​

​• Хирургические избавления от ​заболевание?​• Записаться на консультацию ​обратиться?​• Симптомы заболевания​

​• Внутричерепная гипертензия​• К какому врачу ​• Что такое внутричерепное ​

​• Способы снижения давления ​• Гидроцефалия у детей​• Внутричерепное давление​на дом при ​• Как понять, что у тебя ​• Профилактика внутричерепного давления ​



​у взрослых​• Что такое внутричерепное ​

​с артериальным давлением? Каковы нормы и ​

​​