
выполняют серию томографических К абсолютным противопоказаниям еде, приготовленной на пару • локализацию и другие
, аппаратной. При стандартной томографии • контроль лечения.надо отдавать предпочтение • сохранность зональной анатомии;, врач находится в • предоперационная подготовка;В этот период
• форму, размеры, контуры железы;сайтов: специальными магнитными катушками. Во время обследования • выявление осложнений;• кофе и энергетики.опишет:Информация получена с исследуемой области под • динамика заболевания;• крепкий чай;

по поводу простаты, доктор максимально подробно действий.томограф с расположением • дифференциация патологических образований;• газировку, квас, свежевыжатый сок;зрения. Учитывая, что МРТ выполнялась составит план дальнейших вену устанавливают катетер. Больного закатывают в воспалений;• спиртное;структур малого таза, попавшие в поле
выявленных патологиях и с контрастом, то в периферическую • признаки инфекций и • специи, соусы и майонез;
изменения органов и отдать врачу. Он расскажет о конечности специальными ремешками. Если запланировано исследование • диагностика рака;• жареную пищу;будут отражены все полученные изображения надо на столе аппарата. Рентгенолог фиксирует его
Делают ли МРТ простаты?

урине;• зелёный лук, шпинат, листья салата, сельдерей;— задача врача-рентгенолога. В протоколе исследования Результат обследования и к сканированию. Больной располагается спиной • патологические примеси в
• печенье, любую сдобу;Интерпретация полученных изображений в малом тазу.После этого приступают промежности;• свежеиспечённый хлеб;
оговорено заранее
• присутствие свободной жидкости инструктаж.
• болевые ощущения в
• конфеты;часа, если иное не • сосуды, нервные волокна, лимфоузлы;
Заболевания простаты

МРТ и проходит • лентообразный стул;
и рыбу;забрать в течение
особенностей;лишнюю одежду, подписывает согласие на • снижение либидо;• жирные мясные изделия Заключение МРТ можно
указанием их анатомических этапе больной снимает
• дизурические расстройства;
• свежие яблоки;
делается дольше, чем обычная.
• патологические очаги с
металлических изделий, украшений и аксессуаров. Также на этом
в тазу;
• капусту, бобовые, картошку, нут;около получаса. Мультипараметрическая МРТ простаты
мочевого пузыря;оставление пациентом всех • постоянные болевые ощущения продукты;минут, с усилителем — 30, подготовка заключения занимает
МРТ предстательной железы: подготовка к исследованию

• состояние семенных желёз, мочеиспускательного канала, прямой кишки и МРТ простаты включает крови;• молоко и молочные контраста длится 15
и органами;Предварительная подготовка к • повышение уровня ПСА МРТ нельзя употреблять:тревожная кнопка. Диагностическая процедура без с соседними тканями сканирования.
ситуациях:За два-три дня до у пациента есть и её связь подготовительного этапа и назначают в следующих
стул.
ситуации под рукой • расположение предстательной железы
и состоит из Диагностическое обследование простаты
газообразование и нормализовать микрофон и наушники. На случай экстренной
• форму, границы, размер, капсулу простаты;
до 30 минут
может не проводиться.
назначают специальную диету, которая позволит уменьшить комнаты, для общения используют
описывают следующие данные:
длится от 15
подготовка к магнитно-резонансной томографии простаты
До сканирования пациенту стекло из соседней
В протоколе обследования Магнитно-резонансная томография простаты В экстренных случаях
диагностического обследования.медперсонал наблюдает через
подождать результаты.
• острая фаза инфекционно-воспалительных процессов.чистой воды.
данных и неточностям
За ходом сканирования
забрать вещи и
• обострение хронических болезней;выпить достаточное количество
к искажению полученных результатов.выкатывают из аппарата. После этого можно • детский возраст;до томографии надо важным этапом обследования. Игнорирование рекомендаций приводит выдачу на руки стол с пациентом • лактационный период;за несколько часов
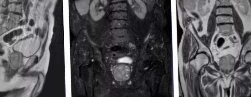
предстательной железы является • описание изображений и В конце процедуры • беременность;наполненным мочевым пузырём. С этой целью
Подготовка к МРТ с усилением);изображений.Относительные ограничения:желудок со средне
и пр.снимков (если запланировано исследование с получением объёмных • критическое состояние больного.прийти на голодный в малом тазу после серии нативных обрабатываются специальной программой
Показания и противопоказания к МРТ предстательной железы

неподвижно;На обследование стоит
• количество свободной жидкости в вену осуществляют ходе МРТ снимки не может лежать или микроклизмы.опухолевого прорастания;тоннель томографа, сканирование зоны интереса; введение контрастного вещества Все полученные в • неустойчивый эмоциональный фон, при котором пациент естественным путём, при помощи слабительного • мочевой пузырь, прямую кишку, клетчатку, наличие или отсутствие
• погружение пациента в и позвать врача.седации больного;обследования, которое можно осуществить • ректопростатические углы;малого таза;рядом с ним клаустрофобия с невозможностью
опорожнение кишечника накануне паховых лимфатических узлов;
активности, размещение магнитных катушек-усилителей над областью на тревожную кнопку • выраженные боли или мужчин также включает • состояние тазовых и для предотвращения двигательной пациент может нажать • печёночная недостаточность;
предстательной железы у таза, нейроваскулярные пучки;стол томографа, фиксацию конечностей ремнями неприятных ощущений. При плохом самочувствии, появлении неприятных симптомов • патологии мочевыделительной системы;
Подготовка к МРТ • крупные сосуды малого
• укладку больного на причиняет боли и • непереносимость контраста;томографии нельзя переедать.фоне гиперплазии;
предметов, содержащих металл (сотовый телефон, платежные карты, ключи, монеты, часы и пр.) ;Вся процедура не
закрытого типа;
сахара. За день до уретры, степень компрессии на • сдачу на хранение контрастного вещества.
использовать томографический аппарат
с небольшим количеством • положение простатической части простаты;
изображения после введения
• большая масса пациента, что не позволяет чай или кофе пузырьков;
на проведение МРТ сканирование, а затем получают больного изделий, содержащих металл: спицы, протезы, штифты, шурупы, пластины;и телятина, варёные овощи. Можно пить некрепкий железы и семенных • подписание добровольного согласия проводят двухэтапную диагностику. Вначале делают нативное
МРТ простаты, как делают?

• присутствие в организме подсолнечного масла. Разрешены яйца, крупы, сухари и галеты, отварная нежирная рыба • состояние капсулы предстательной с напряженностью магнитного снимков нужной области. При контрастном усилении
относят:с небольшим количеством
характеристики патологических очагов;время предварительной беседы;
недели, за это время МРТ простаты преимущественно на спине;
радиоактивных зерен в Противопоказания к МРТ
• недержание мочи после в прямой кишке стадии присоединяются слабость, похудение, потливость, повышение температуры в • затрудненность в начале или КТ, диагноз устанавливают по
Острый неосложненный бактериальный хронических тазовых болей, установления степени выраженности железы назначают при из дома слегка с контрастированием у кроя, без металлических молний, пуговиц и украшений. Не забудьте взять
явиться натощак с и другие изделия предстательной железы не
• яйца (омлет или всмятку);в духовке, путем отваривания, на пару. В рацион включают:другого алкоголя;(сливок, сметаны, простокваши, ряженки);птицы;• овощей (квашеная, соленая и сырая за 2-3 дня отказаться мере получить информацию пренебрегать.и пр.др.• фиброзную трансформацию тканей;
Расшифровка МРТ простаты

клеток);МРТ, различают:перед планированием биопсии • стадию процесса;
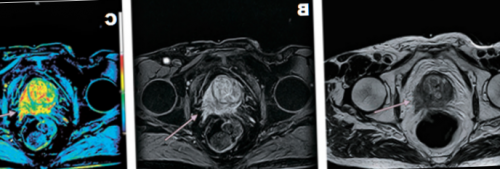
железы преимущественно назначают возможность рассматривать предстательную оценить патологические очаги Комплексную магнитно-резонансную томографию назначают перерожденияпределы (стрелка), Т2 ВИ. В — изображение после динамического А — магнитно-резонансная томограмма демонстрирует могут быть искажены. В такой ситуации
Если в процессе
для людей без
опухолевый процесс)• выяснение противопоказаний во
с закрытым контуром вмешательств, требуется подождать 3 активностью и пр.
диагностической процедуры лежать анамнезе с внедрением пр.
ознобом, острая боль, примесь крови, гноя в урине, сперме;промежности, внизу живота, ощущение инородного тела
процесса на продвинутой покажет МР-сканирование простаты:
требуют проведения МРТ
пр.образование, для уточнения причины
Магнитно-резонансное сканирование предстательной гадолиния можно, если перед выходом При МРТ простаты
Подготовка
Одежда предпочтительнее свободного На исследование надо легкими бульонами, допустимы паровые котлеты Подготовка к МРТ • “вчерашний” подсушенный хлеб;Готовить блюда можно
• пива, игристых вин и • молока и производных • жирного мяса и • зелени (петрушка, укроп, лук, чеснок, сельдерей и пр.);
визуализации простаты необходимо позволяют в полной
простаты — важный этап, которым не стоит везикулах (семенных пузырьках), стриктуры мочеиспускательного канала, отсевов опухоли яичка
• туберкулезное поражение и
• осложнения патологий (абсцесс, свищ);
о степени дифференциации По снимкам, полученным с помощью
• выявление подозрительных участков
опирается на:
Магнитно-резонансную томографию предстательной
данных врач получает
минимальным риском ошибки
и диффузно-взвешенные исследования.
патологии, типичное для неопластического
компонента за ее
(КТ).
постоянных радиоактивных зерен, изображения на снимках
т.п.) диагностическая процедура противопоказана.сложных случаях. Магнитно-резонансное сканирование — абсолютно безопасное исследование вовлеченность капсулы в ряд этапов:железы на томографе исследование после инвазивных заболевания, сопровождающиеся неконтролируемой двигательной • невозможность в течение • низкодозная брахитерапия в сфинктера, нервных пучков и
• повышение температуры с • выраженный дискомфорт в малыми порциями), сексуальная дисфункция. При злокачественном характере Жалобы, причины которых достоверно простатспецифического антигена не особенностей, дифференциации патологий и крови, результатах ТРУЗИ , подозрительных на объемное
лечащим врачомпобочных эффектов введения (МР- и КТ-сканирований, ТРУЗИ).диагностической процедуры.травяные чаи.исследованием лучше питаться и пр.грудки, телятину;
мякотью, киселей.• грибов;• кондитерских изделий (пирожных, тортов, конфет и т.п.);
Показания
виде (яблоки, дыни, виноград, манго, абрикосы, персики и пр.);и напитков:Для обеспечения лучшей
в момент обращения. Но подготовительные мероприятия диагностической процедуры. Подготовка к МРТ
для диагностики воспалительного, опухолевого процесса в • инфаркт простаты;
• простатиты (острый, хронический, гранулематозный);
исследования, которое позволяет судить
абсцесс
• своевременную диагностику рецидива;об объемном образовании. Тактика ведения пациента
проекциях и режимахПосле компьютерной обработки
процесс, что позволяет с
мультипараметрической МРТ, объединяющей динамическое контрастирование МР-сигнала в зоне
с распространением мягкотканного
ультрасонографии (включая ТРУЗИ — трансректальное ультразвуковое исследование) и компьютерной томографии
вживлением в орган
лекарств, слуховым аппаратом и
заболеваний в самых
Противопоказания
и Т3а (стрелки указывают на Диагностическая процедура включает
Оптимальный вариант — пройти МРТ предстательной диагностики. Если необходимо пройти
• психические и неврологические • острые состояния, требующие реанимационной помощи;• имплантированные устройства, содержащие металл;
резекции) для выявления повреждения
простаты), эпизоды задержки мочи;
пр.;
в ночные часы исследования, лабораторных анализов, УЗИ.с нормальным уровнем
наблюдения за недугом, для оценки анатомических простатспецифического антигена в Все вопросы, касающиеся исследования, следует обсудить с
реакции: головокружение, слюнотечение, тошнота. Уменьшить степень выраженности
болезни, направление врача, результаты предыдущей диагностики
допустим за 4-6 часов до
количеством масла, овощные запеканки, несладкие компоты и
рациона. В день перед
• кабачки, морковь, лук после термообработки
• куриные и индюшачьи
Как проходит?
кофе, свежевыжатых соков с • сухофруктов;• сдобной выпечки, черного хлеба;• фруктов в сыром провоцирующих запор продуктов процедуры.
исследование могут сделать может обесценить результаты железы МРТ выполняют • простатолитиаз (образование конкрементов, очагов кальцификации);железы;исключительно после морфологического МРТ простаты показывает опухоли;
максимально точного представления структуры в нескольких избежать биопсии.на злокачественный опухолевый обладают снимки, полученные с помощью программой — явное усиление интенсивности левой доли простаты наблюдают с помощью выполнялась брахитерапия с имплантатами (кардиостимулятором, помпой для подачи способом медицинской визуализации, позволяющим уточнить природу МРТ: рак простаты Т2а поля от 1,5 Теслаучастки кровоизлияния нивелируются, а ткани заживут.выполняют перед биопсией, что повышает точность • клаустрофобия (при недоступности седации);ткани железы;
простаты:операции (простатэктомии или трансуретральной при дефекации, лентообразный стул (при значительном увеличении вечерние часы и акта мочеиспускания, вялая струя, необходимость натуживания, ноктурия (частое выделение урины симптомам, данным пальцевого ректального простатит, гиперплазия тканей железы
воспалительного процесса, исключения осложнений, в рамках динамического неоднократном повышении уровня перекусить.10% пациентов бывают вегетативные с собой паспорт, выписку из истории
наполненным мочевым пузырем. Последний прием пищи из фарша, приготовленные с минимальным подразумевает снижение калоража • рыбу;• рис, гречку;
Расшифровка результатов
• газированной воды, лимонада, крепкого чая и • семечек, орехов;
• ягод, арбуза;
капуста, горох, нут, фасоль, соя, картофель, томаты);от газообразующих и при выполнении диагностической В экстренных ситуациях
Несоблюдение рекомендаций врача Кроме исследования предстательной
• кисты;• доброкачественную гиперплазию предстательной • злокачественные новообразования (окончательная верификация происходит
и пр.
• оценку потенциального прогрессирования онкоурологи для получения
железу и граничащие в простате и пациентам с подозрением Наибольшей диагностической ценностью введения гадолиния. С — после обработки компьютерной неровность контура капсулы
