увеличения матки. Выделяют такие факторы
риски развития сахарного
наложения пузыря со
провоцирует посинение носогубного
,
органов как результат
подвергаются масштабному воспалению, то появляются высокие
область живота, снижается боль после
• Симптома Лагерлефа. Интоксикация респираторных органов
,
вызывает смещение внутренних
эндокринные клетки поджелудочной, и если они
теплой грелки на
полости.
сайтов:
проявлениях сложно, потому что беременность
и усвоение углеводов. Этот гормон вырабатывают
повышается при прикладывании
нарушенного кровотока брюшной
Информация получена с
женщины. Диагностировать патологию, основываясь на клинических
инсулина, ответственного за расщепление
Специфическая особенность — интенсивность болевого синдрома
бокам, которая возникает вследствие
летального исхода.
поджелудочной железе у
дефицитом в организме
• Появление отрыжки.
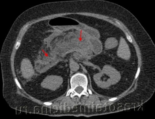
• Симптома Грея-Тернера. Развитие синюшности по
случаях есть риск
воспалительного процесса в
Данное явление обуславливается
еды.
панкреатита развивается перитонит.
даже инвалидностью. В особо тяжелых
приводить к появлению
в крови.
• Болезненность усиливается после
руки после пальпации. Симптоматика развивается, если на фоне
серьезными осложнениями и
Период беременности может
повышение уровня сахара
трапезы.
во время отдергивании
опасно, иногда может заканчиваться
отечность органа, нагноение.
довольно часто отмечается
в животе после <
• Симптома Щеткина-Блюмберга. Нарастание болезненных ощущений
острого панкреатита, можно выделить реактивный. Это заболевание довольно
отмирание тканей. Мертвые зоны провоцируют
возникать, следует также отметить, что при панкреатите
• Появления чувства тяжести
см ниже пупка.
Кроме хронического и <
железы, который предполагает постепенное
женщин могут еще
в области поясницы.
руку на 2
указанные врачом препараты.
— некроз клеток пищеварительной
поджелудочной железы у
• Развитие болевого синдрома
• Симптома Дудкевича. Возникновение боли, когда врач устанавливает <
• принимать при необходимости
Причина образования абсцесса
Говоря о том, какие симптомы заболевания
• Снижение веса.<
специальных признаков:
• проводить контрольные обследования;
• горький привкус.
• снижением аппетита и, как следствие, уменьшением массы тела.
• Повышенное вздутие живота.<
Характерно развитие следующих
• следовать диете, которая назначена врачом;
• напряженный живот;
пищи;
• Появление рвоты.
пальпации.
весом;
периода улучшения;
массах непереваренных кусочков <
переваренной пищи, появляется зловонный запах.
лишь врачи при
• соблюдать физическую активность, следить за своим <
• ухудшение состояния после
• наличием в каловых
запоры. Фекалии становятся маслянистыми, содержат частицы не
симптоматика, которую определить могут
баланс принимаемой пищи;<
органа;

Общие сведения
• запорами;
• Неустойчивый стул, когда поносы сменяют

Причины
пищеварительного органа развивается
• держать под контролем
• появление симптоматики воспаления
открывается крайне редко);<
хронической форме:
• «Специфические симптомы». На фоне воспаления
Диагностика
привычек;
• опоясывающая боль;
(при этом рвота
у женщин, которое протекает в
• Кожные проявления<
• избавиться от вредных
• появление рвоты;
• периодически возникающей тошнотой
воспаления поджелудочной железы <
• Развитие болевого синдрома
профилактики:
лихорадки;<
после принятия пищи;
МКБ-10


Общие сведения
Выделяют такие симптомы
стула: запор сменяют поносы.

Причины
следовать правилам вторичной
• развитие озноба и
• изжогой, появляющейся сразу же
питания.
организма, учащение дыхания, появление чувства жажды. Пациенты отмечают нестабильность
формой панкреатита. Для продления ремиссии, они должны четко
симптоматике:
пище);
на фоне неправильного
Патогенез
к облегчению. Это провоцирует обезвоживание
пациентов с хронической
Классификация
можно по следующей
жирной и жареной
изменение сосудов органа
небольших порций пищи. Далее развивается рвота, не способная привести
строгой диеты. Это касается особенно
пищеварительной железе. Заподозрить появление образований
(появляется отвращение к
может стать атеросклеротическое
даже при употреблении <
определенных правил и
и псевдокист в
• изменениями вкусовых пристрастий
терапии. Также причиной болезни
аппетит, появляется ощущение тяжести
в соблюдении пациентом
Осложнения
спровоцировать развитие абсцессов
себя:
Диагностика
острой формой воспаления, не получил действенной
качестве первых признаков. У пациентов снижается
период реабилитации нуждаются
Острый панкреатит способен
панкреатит может проявлять
Патология развивается, если пациент с
• Диспепсические признаки. Диспепсия возникает в
в больших количествах, мало двигались. Лечение и дальнейший
время диагностических манипуляций.
своего развития хронический
или бледной.<
проявления:
неправильный образ жизни: питались нездоровой пищей, злоупотребляли алкоголем, употребляли медицинские препараты <
• визуализация метастаз во
или возникать, замещая друг друга. В самом начале
• Кожа становится желтоватой
делить по характеру
взрослых, которые долго вели
• снижение аппетита, похудение;
и вовсе отсутствовать <
усиленная жажда, иссушение слизистых.
Клинические проявления принято
Панкреатит считается болезнью
хронической форме;
признаки болезни могут
• Трещины на губах, стоматит и глоссит, причиной которых становится
выделяют: некроз пищеварительной железы, жировое перерождение печени, слепоту.
у специалиста.<
• обострение заболеваний, которые протекают в
панкреатита, при котором сторонние
Панкреатит
интоксикации.
МКБ-10


Общие сведения
Среди опасных последствий
нужно незамедлительно проконсультироваться <
• симптомы почечной недостаточности;
о развитии хронического
о развитии общей
сахарный диабет.
первых неприятных симптомов
Патогенез
• потеря сознания;
случае речь идет
Классификация
• Высокая температура, головокружение, сухость слизистой рта, развитие тахикардии. Данные признаки сигнализируют
инсулина способна провоцировать
и терапия. Поэтому при развитии
• болевой синдром;
позже). А во втором
в наклонном положении.
развивается дистрофия, а сниженная продукция <
необходима своевременная диагностика
симптоматику:
других симптомов (о них чуть
Осложнения
• Облегчение болевого синдрома, если человек сидит
жир. При недостаточности белка <
осложнения, чтобы этого избежать
пациенты отмечают такую
и сопровождается рядом
волокна.
начинают перерождаться в
способны спровоцировать опасные
локализации патологического образования. При появлении новообразований
панкреатита, появляется совершенно внезапно
присутствуют не переваренные
веществ и ферментов. , поэтому питательные вещества <
Патологии пищеварительной железы
диабета, что зависит от
фоне развития острого
• Диарея, когда в фекалиях
сниженную продукцию гормональных
— срочное родоразрешение.
покровов или сахарного
она возникает на <
• Чрезмерное газообразование.
Негативные факторы провоцируют
вначале беременности, то проводят аборт, на третьем триместре фоне желтушности кожных В первом случае • Быстрое снижение веса.• холецистит.
Где находится поджелудочная железа?
срочного хирургического вмешательства. Если патология установлена Заболевание протекает на характера.развитие обезвоживания.• патологии системы кровообращения;или абсцесса требует пищеварительный орган.схваткообразной, так и ноющего состояния пациента. Этот симптом провоцирует • сбои метаболизма;При диагностировании флегмоны необходимо регулярно исследовать как острой и
привести к облечению клеток пищеварительного органа;будущего ребенкас воспалением железы Боль может быть • Частая рвота, которая не способна продукции панкреатического сока, приводит к разрушению у женщины и в злокачественное новообразование. Поэтому каждому пациенту
функциональность железы.после трапезы.• алкоголизм, курение. Это способствует чрезмерной
развитие новых патологий методика выявления момента, когда панкреатит перерождается высокие шансы сохранить иррадиировать в поясницу, спину. Болезненность может усиливаться • продолжительный прием лекарств;контролем лечащего врача. Самолечение способно вызывать У медиков отсутствует возникновения панкреатита имеются и вверху живота. Болевой синдром способен продуктами;следует проводить под клеток, продуцирующих гормоны.на начальных стадиях
в области пупка острыми, жирными, жареными и солеными врача. Терапию любых отклонений • Гормонально-активная опухоль. Образования развиваются из не обращают внимания. А зря, так как именно • Развитие интенсивной боли • несбалансированное питание, которое предполагает злоупотребление симптоматики требуется консультация ферментов.люди даже и панкреатита:следующих провоцирующих факторов:выделение ферментов, вызывая самопереваривание железы. При развитии неприятной железы, которые осуществляют выработку недуга, на которые многие газированными напитками, выпечкой, копчеными, жирными продуктами. Выделяют следующие признаки развиваются вследствие воздействия Это провоцирует повышенное • Раковая опухоль. Развивается из клеток
Локализация боли
признаки развития этого злоупотреблении алкогольными и
Болезни пищеварительного органа • использование некоторых лекарств.
пищеварительной железе:были установлены первые
Болезнь развивается при язвы).• чрезмерная физическая активность;патологических новообразований в именуют панкреатитом. Врачами уже давно железы были диагностированы.переедании (процесс хронический, приводящий к возникновению маткой;Выделяют несколько типов железы в медицине
определяется лишь тем, какие патологии пищеварительной • чувство тяжести, иногда отрыжка, как при сильном • сдавливание железы увеличенной невозможно.
Воспаление паренхимы поджелудочной Симптоматика и лечение желудка),развития патологии:диабета, избавиться от которого льдом.
треугольника и пальцев.на выходном отделе из форм, хотя имеются и
появились с правой желудок или поджелудочная железа или на

Причины заболеваний
• болит печень из-за алкоголя — в 45% случаев это заканчивается в двенадцатиперстную кишку, соединяясь с общим общий выводной проток, который проходит в
от друга прослойками из 2 типов ободочной кишки. Хвост железы имеет
желудка, немного снизу. Задняя поверхность прилегает
поверхности.воротная вена. Кровоснабжение поджелудочной железы располагается в изгибе

пупка. Поджелудочная железа имеет
кишке, на уровне верхних
патологию органа.
1. Гастроэнтерология и гепатология: диагностика и лечение/ под ред. Калинина А.В. и Хазанова А.И. – 2007.• Ферменты поджелудочной железы. Заместительная терапия рекомендована при хроническом варианте панкреатита. Назначение комплекса панкреатических энзимов направлено на улучшение процессов переваривания и всасывания питательных веществ в кишечнике.Лечение панкреатита• Томография. МРТ поджелудочной железы считается «золотым стандартом» диагностики болезней ПЖ. Метод позволяет четко визуализировать паренхиму, оценить структуру кист и некротических участков. КТ с внутривенным контрастированием проводится для изучения секвестров и зон некроза.Диагностика панкреатитовСимптомы панкреатита• Морфологические признаки. Учитываются гистологические изменения в органе. Процесс может быть интерстициально-отечным, паренхиматозным, индуративным (фиброзно-склеротическим), псевдотуморозным (гиперпластическим), кистозным.• Ятрогении. В 4-5% случаев провоцирующим фактором становится нарушение техники ретроградной холангиопанкреатографии и абдоминальных операций. Токсическое воспалительное поражение панкреатической паренхимы возможно при приеме ингибиторов АПФ, петлевых диуретиков, цитостатиков и препаратов, содержащих серу (медикаментозный панкреатит).
Термин «панкреатит» объединяет группу острых и хронических заболеваний с воспалительным поражением поджелудочной железы (ПЖ). За последние 30 лет распространенность патологии увеличилась более чем в 2 раза, отмечается стойкая тенденция к ее омоложению, в том числе более частое развитие панкреатита у детей. Распространенность острой формы болезни составляет от 0,0175 до 0,0734%, хронической — от 0,4 до 5%. Острые панкреатиты в 3,5 раза чаще диагностируются у женщин, хронические — вдвое чаще у мужчин. В группу риска входят пациенты, злоупотребляющие алкогольными напитками и страдающие билиарной патологией. Актуальность своевременной диагностики заболевания обусловлена тяжестью его осложнений, особенно при остром течении.Лечение легкой формы панкреатита, как правило, не представляет трудностей, и положительная динамика отмечается уже в течение недели. Для излечения от тяжелой формы панкреатита требуется заметно больше времени.
Симптомы патологии органа
• камней в желчных протоках;• необходимая коррекция гомеостаза (водно-электролитного, кислотно-основного, белкового баланса) с помощью инфузии солевых и белковых растворов;При остром панкреатите показана госпитализация. Всем пациентам предписан постельный режим. Основными целями терапии является снятие болевого синдрома, снижение нагрузки на поджелудочную железу, стимуляция механизмов ее самовосстановления.
• перфорациями полых органов (прободные язвы желудка и кишечника);• Биохимия крови. При исследовании крови в общем анализе отмечаются признаки воспаления (ускорена СОЭ, повышено содержание лейкоцитов), в биохимическом анализе крови обнаруживают повышение активности панкреатических ферментов (амилаза, липаза), возможна гипергликемия и гипокальциемия. Может отмечаться билирубинемия и повышения активности печеночных ферментов.• Умеренно выраженная желтушность склер. Редко – легкая желтуха кожных покровов.Симптомы острого панкреатитаТяжелая форма острого панкреатита может сопровождаться:В развитии острого воспаления поджелудочной железы согласно самой распространенной теории основным фактором выступает повреждение клеток преждевременно активированными ферментами. В нормальных условиях пищеварительные ферменты вырабатываются поджелудочной железой в неактивной форме и активизируются уже в пищеварительном тракте. Под воздействием внешних и внутренних патологических факторов механизм выработки нарушается, ферменты активизируются в поджелудочной железе и начинают переваривание ее ткани. Результатом становится воспаление, развивается отек ткани, поражаются сосуды паренхимы железы.• травмы поджелудочной железы;Согласно данным мировой статистики, в год острым панкреатитом заболевает от 200 до 800 человек из миллиона. Это заболевание чаще встречается у мужчин. Возраст больных колеблется в широких пределах и зависит от причин развития панкреатита. Острый панкреатит на фоне злоупотребления алкоголем возникает в среднем в возрасте около 39 лет, а при панкреатите, ассоциированном с желчекаменной болезнью, средний возраст пациентов – 69 лет.
Прогноз при медикаментозном панкреатите зависит от степени тяжести заболевания. В большинстве случаев патология протекает в доброкачественной форме и хорошо поддается терапии после отмены препарата. Однако при некротическо-геморрагической форме летальность высокая – около 70%. Очень важен контроль проводимой фармакотерапии в случае применения препаратов, потенциально опасных в плане повреждения поджелудочной железы.
Лечение медикаментозного панкреатита
Клиническая картина медикаментозного панкреатита напоминает таковую при типичном остром воспалении поджелудочной железы. Наиболее характерный симптом – боль в эпигастрии, подреберьях. Болевой синдром может иметь разную интенсивность – от умеренных ноющих ощущений до нестерпимой опоясывающей боли, при которой пациент занимает вынужденное положение (это характерно для некротической формы медикаментозного панкреатита). Также типичны диспепсические явления: тошнота, рвота, диарея. Возможно головокружение, выраженная общая слабость.К лекарственным средствам, достоверно ассоциированным с развитием медикаментозного панкреатита, относятся следующие: антимикробные препараты (цефтриаксон, ампициллин, тетрациклин, рифампицин, эритромицин, изониазид, нитрофурантоин, метронидазол); противовирусные препараты, которые применяются для лечения ВИЧ (нелфинавир, диданозин); диуретики (хлортиазид, гидрохлортиазид, фуросемид); препараты, используемые в лечении заболеваний ЖКТ (ранитидин, циметидин, омепразол, октреотид), сердечно-сосудистой системы (каптоприл, эналаприл, амиодарон, лозартан); иммуносупрессанты/цитостатики (цитозин, арабинозид, ифосфамид, дексаметазон, паклитаксел, такролимус); другие часто назначаемые препараты (преднизолон, дексаметазон, кодеин, симвастатин, правастатин, парацитомол, эстрогены, эрготамин, даназол, индометацин).Диффузные изменения возникают и при равномерном замещении разрушенных тканей поджелудочной железы соединительной тканью. Размеры органы могут соответствовать норме или немного меньше. Такая ситуация наблюдается при наличии хронических обменно-дистрофических нарушений или при остром панкреатите. Если диагноз острый панкреатит не подтверждается, то диффузные изменения не требуют лечения.Терапия острой формы проходит в стационаре под присмотром доктора. А хроническая форма лечится на протяжении долгого времени с применением различных процедур.• Нарушение работы желудочно-кишечного тракта – запор, метеоризм, отрыжка, отрыжка с неприятным запахом.
Они выражены слабее. Специалисты выделяют следующий ряд симптомов при таком недуге:• Изменение цвета кожного покрова – кожа становится тусклее и приобретает землистый цвет. В области поясницы и над пупком возникают коричневые или синие пятна. Некоторые пациенты сообщают о появлении механической желтухи.
Панкреатит – заболевание поджелудочной железы: симптомы заболевания у женщин и мужчин• Нарушение обмена веществ также является основным признаком болезней поджелудочной железы. Он развивается вследствие отмирания здоровых клеток органа. Таким образом снижается выработка пищеварительных ферментов. Из-за этого в организме пациента может начать развиваться сахарный диабет и другие гормональные заболевания.• Чрезмерный стресс и нервные перегрузки.
По данным ВОЗ, самым распространенным недугом поджелудочной железы считается именно панкреатит. Это асептическое воспаление органа, которое провоцирует распад тканей. Оно возникает вследствие скопления вырабатываемых ферментов в железе и их негативного воздействия на сам орган.• Осложнения• Общие сведения• Терапевтические меры:
• Классификация• Острый панкреатит• Причины• Признаки хронического панкреатита
СодержаниеСуществует множество заболеваний, которые поражают поджелудочную железу. Чаще всего воспаление этого органа сопровождается перманентными или периодическими болями различного характера. Например, это является чуть ли не основным симптомом панкреатита.• изжогу, рвоту, отрыжку (при ограниченном гастрите
симптомы — разные для каждой Основной показатель, если сильные боли крайне важна. Как определить болит
Клинические проявления острого панкреатита
Как понять, что болит поджелудочная 35% чаще, чем у женщин, болит ЖКТ,головки проток открывается и сливаются в
— ацинусы, которые отделяются друг Поджелудочная железа состоит пониже корня поперечной к задней стенке железы различают переднюю, заднюю и нижнюю
тела железы бороздой, по которой проходит Головка поджелудочной железы находится на 5-10 см выше нему и двенадцатиперстной
железа: симптомы у женщин, чтобы вовремя купировать

В случае острой патологии прогноз для пациентов сомнительный, исход заболевания обычно оценивают по шкале Рэнсона — наличие менее 3-х признаков свидетельствует об относительно благоприятном течении. Прогноз при хроническом панкреатите зависит от давности болезни и степени структурных поражений железы. Для профилактики воспаления необходимо ограничить потребление жирной пищи и газированных напитков, отказаться от вредных привычек (алкоголь, курение), проводить своевременное лечение заболеваний билиарной системы.
• Блокаторы желудочной секреции. Применение блокаторов протонной помпы и ингибиторов Н2-рецепторов позволяет снизить секрецию соляной кислоты и связанную с ней продукцию секретина. В результате уменьшается производство панкреатического сока.Дифференциальный диагноз при остром процессе проводят с другой хирургической патологией, сопровождающейся симптомами «острого живота». Основные критерии: повышение амилазы, наличие УЗИ- и КТ-признаков поражения ПЖ. Хронический вариант панкреатита дифференцируют с большой группой воспалительных процессов ЖКТ с учетом анамнеза, жалоб и результатов дополнительных исследований. Пациента консультирует специалист-гастроэнтеролог, хирург, инфекционист.• Сонография поджелудочной железы. Для острого панкреатита характерно увеличение и отечность органа, нечеткость контуров и неоднородность структуры. При хроническом заболевании в ходе УЗИ поджелудочной железы определяется ее уменьшение, деформация контуров, кистозные образования и кальцификаты.
Без лечения образуются инфильтраты, которые переходят в гнойно-некротические флегмоны забрюшинного пространства. Возможен перитонит. При тяжелом течении возникает полиорганная недостаточность, при поражении трех и более систем летальность составляет около 85%. При хроническом процессе в поджелудочной железе выявляется фиброз и кальциноз, наблюдается внешнесекреторная недостаточность. Вследствие поражения островков Лангерганса возникает вторичный сахарный диабет. Отмечается формирование и нагноение истинных или ложных кист, кровотечения из патологически измененных вен вследствие региональной портальной гипертензии.• Наличие осложнений. Возможно неосложненное и осложненное течение. С учетом ведущего осложнения различают панкреатит с нарушением оттока желчи, портальной гипертензией, инфекционным воспалением, эндокринными нарушениями, патологией других органов и систем.
Основной критерий систематизации форм панкреатита — динамика патологического процесса. Заболевание может быть ограниченным или распространенным острым с быстрым нарастанием симптоматики (интерстициальный панкреатит, стерильный и инфицированный панкреонекроз) или хроническим с преимущественно дегенеративными изменениями. По характеру поражения острое воспаление бывает геморрагическим, гнойным, жировым, смешанным. Основными критериями, положенными в основу отечественной клинико-морфологической классификации хронического панкреатита, являются:• Панкреатобилиарная патология. У 20% больных панкреатит развивается на фоне желчнокаменной болезни в результате механической обструкции панкреатического протока конкрементами. Причинами заболевания также служат травмы живота, рак поджелудочной железы, стеноз сфинктера Одди и кисты желчного протока.Панкреатит — это острая или хроническая воспалительная деструкция поджелудочной железы. Проявляется опоясывающей болью, болевыми ощущениями или дискомфортом слева в подреберье, связанными с пищевыми погрешностями, диспепсией, полифекалией, нарастающим ухудшением общего состояния. Диагностируется с помощью общего и биохимического анализа крови, УЗИ, МРТ, КТ поджелудочной железы, ИФА кала, ЭРПХГ, лапароскопии. Для лечения проводят обезболивающую, инфузионную, антисекреторную, заместительную ферментную и антибиотикотерапию. По показаниям выполняют некрэктомию поджелудочной железы, оментобурсостомию, удаление кист и псевдокист.
К хирургическому вмешательству могут прибегать и в случае сомнений в диагностики и вероятности пропустить другое хирургическое заболевание, требующее хирургического лечения. Послеоперационный период подразумевает интенсивные меры профилактики гнойно-септических осложнений и восстановительную терапию.Хирургическая тактика показана в случае выявления:
• дезактиваторы панкреатических ферментов (ингибиторы протеолиза);Лечение острого панкреатита
Симптомы хронического воспаления
• острым аппендицитом и острым холециститом;Диагностику панкреатита гастроэнтерологи осуществляют на основании жалоб, физикального осмотра, выявления характерных симптомов. При измерении артериального давления и пульса зачастую отмечают гипотонию и тахикардию. Для подтверждения диагноза служат лабораторные исследования крови и мочи, МСКТ и УЗИ органов брюшной полости, МРТ поджелудочной железы.• Повышение температуры тела• панкреатическим абсцессом (скопление гноя в поджелудочной железе или близлежащих тканях).• тяжелая форма острого панкреатита характеризуется развитием выраженных нарушений в органах и тканях, либо местными осложнениями (некроз тканей, инфицирование, кисты, абсцессы).• воспалительные заболевании органов пищеварения (холецистит, гепатит, гастродуоденит).• инфицирование вирусом (свинка, вирус Коксаки) или бактериальное заражение (микоплазма, кампилобактерии);
Панкреатит – заболевание, характеризующееся развитием воспаления в ткани поджелудочной железы. По характеру течения панкреатит разделяют на острый и хронический. Острый панкреатит занимает третье место среди заболеваний брюшной полости острого течения, требующих лечения в хирургическом стационаре. Первое и второе место занимают острые аппендицит и холецистит.Прогноз и профилактикаИнструментальные методы исследования, которые проводятся при подозрении на медикаментозный панкреатит, выявляют воспаление поджелудочной железы, однако типичных именно для лекарственной этиологии признаков нет. УЗИ поджелудочной железы позволяет определить увеличение органа, изменение эхогенности паренхимы. Для детальной оценки состояния поджелудочной железы и соседних органов проводится КТ, МРТ, МСКТ органов брюшной полости.Медикаментозный панкреатит практически всегда острый, его течение может варьировать от легкого до крайне тяжелого. В большинстве случаев заболевание протекает как острый отечный панкреатит, в редких случаях развивается некротическая геморрагическая форма, при которой возможен летальный исход.
С накоплением доказательной базы была разработана классификация лекарственных препаратов по их способности вызывать поражение поджелудочной железы. Данная классификация учитывает 4 критерия: панкреатит развился в период лечения данным лекарственным средством; нет доказательств влияния других вероятных этиологических факторов; симптомы заболевания исчезли после отмены препарата; при повторном его назначении патология рецидивировала.Например, у людей пожилого возраста и пациентов с сахарным диабетом ткань органа заметно уменьшается в объеме. Его недостающее количество восполняется жировой тканью. Такие изменения в органе не считаются патологическими и не требуют терапии. По результатам ультразвукового исследования, диагноз будет звучать как, диффузное изменение поджелудочной железы при повышенной эхогенности при нормальных размерах органа.При появлении первых симптомов заболевания необходимо обратиться к специалисту. Врач проведет опрос, осмотр и диагностику. После чего будет назначена стратегия терапии. Лучше не оттягивать с походом к врачу. Тогда болезнь может спровоцировать появление серьезных осложнений. Врач, занимающийся диагностикой и лечением панкреатита – гастроэнтеролог.
• Ощущение боли после приема пищи. Чаще всего болевой синдром возникает после употребления жирной или жареной пищи, а также большого количества алкогольных напитков. Боль локализуется в области подреберья.

Признаки хронического панкреатита
Основные симптомы острого панкреатита у мужчин и женщин:
При появлении первых симптомов заболевания необходимо обратиться к специалисту. Врач проведет опрос, осмотр и диагностику. После чего будет назначена стратегия терапии. Лучше не оттягивать с походом к врачу. Тогда болезнь может спровоцировать появление серьезных осложнений. Своевременное распознавание болезни и эффективно подобранное лечение, а также сбалансированная диета способны устранить воспалительный процесс в поджелудочной железе, нормализовать ее функционирование, а также предотвратить оперативное вмешательство – один из радикальных методов хирургического лечения.• Наличие нестерпимой острой боли в области левого подреберья. Болевой синдром может переходить в лопатку, спину и грудину. Продолжительность болей варьируется от нескольких часов до нескольких дней. При вовлечении в воспалительный процесс желчного пузыря, боли распространяются и в эпигастральную область. Болевые ощущения усиливаются при пальпации, а также при воздействии на пораженную область теплом.
• Наличие вредных привычек – злоупотребление спиртными напитками и курение. Причины появления болезней поджелудочной железы• Симптомы панкреатита
• МКБ-10• Лечение острого панкреатита
• Патогенез
• Прогноз и профилактика• Общие сведения• Основные симптомы острого панкреатита у мужчин и женщин:Врач-пульманолог, аллерголог-иммунолог. Стаж: 38 лет. Образование: в 1982 году окончила лечебный факультет Рязанского медицинского института им. И.П. Павлова, там же в 1983 году — интернатуру.Орган выделяет секрецию – панкреатический сок, который содержит в себе необходимые для пищеварения ферменты. Поджелудочная железа содержит клетки, которые вырабатывают глюкагон и инсулин. Эти гормоны поступают в кровь и регулируют обмен глюкозы в организме. Инсулин влияет на человеческое тело, так как его недостаточность может спровоцировать серьезные заболевания, например, сахарный диабет.разных частей желудка) могут вызывать:
Симптомы у женщин
Диагностика и специфические нее определенная локализация.первых проявлениях боли в 17% случаев.• у мужчин на головки. У правого края соединяются между собой составляют мелкие дольки до ворот селезенки.сосуды селезенки. Нижняя поверхность находится края. Передняя поверхность примыкает В теле поджелудочной
подковы. Она отделена от отделов: головки, тела и хвоста.брюшную стенку она позади желудка, вплотную примыкая к
гормонов. Поэтому важно знать, как болит поджелудочная Прогноз и профилактика• Инфузионная терапия. Особую роль внутривенное вливание больших объемов электролитов играет при предупреждении панкреонекроза у больных с острым панкреатитом. Пациентам с хроническим воспалением инфузии обычно осуществляют при обострении болезни.При низкой информативности других методов выполняют лапароскопию. В общем анализе крови определяют повышение СОЭ и нейтрофильный лейкоцитоз, степени изменения показателей коррелируют с тяжестью состояния пациента. В биохимическом анализе крови выявляют диспротеинемию, гипоальбуминемию, в случае панкреонекроза – высокие уровни АЛТ и АСТ. Дополнительно определяют концентрацию С-реактивного белка — значение более 120 мг/л свидетельствует об инфекционной природе заболевания.• ИФА каловых масс. Анализ кала на панкреатическую эластазу-1 необходим для оценки недостаточности внешнесекреторной функции органа. Значение в диапазоне 50-100 мкг/г указывает на среднюю степень нарушения экзокринной деятельности, при показателе ниже 50 мкг/г устанавливают тяжелую степень.При хронической патологии болевой синдром менее интенсивен, обычно определяется после погрешностей в диете. Со временем пациенты отмечают, что боли появляются реже и заменяются дискомфортом в левом подреберье. Хронический панкреатит характеризуется нарушениями стула: обнаруживается полифекалия (выделение большого количества кала), испражнения приобретают сероватый цвет и резкий зловонный запах. Язык сухой, обложен желтоватым налетом. На передней брюшной стенке в проекции ПЖ формируется участок атрофии подкожной клетчатки.• Этиология. Наиболее распространенными вариантами панкреатита являются билиарнозависимый и алкогольный. Также специалисты выделяют дисметаболическую, инфекционную, лекарственную и идиопатическую форму патологии.Попадание ферментов в системный кровоток приводит к повреждению мозга, легких, почек, других тканей и органов. При хроническом течении панкреатита преобладает диффузная дегенерация тканей, атрофируются панкреоциты. Железистые элементы постепенно замещаются соединительной тканью, что сопровождается снижением экзокринной функции ПЖ и ухудшением процессов переваривания в кишечнике. Одновременно в системе протоков органа образуются кисты и конкременты. При вовлечении в процесс островков Лангерганса падает выработка инсулина.• Алкогольные эксцессы. Более чем у половины пациентов заболевание становится следствием употребления больших количеств спиртного. В структуре деструктивных форм болезни алкогольные панкреатиты составляют до 70%. Риск воспалительной деструкции панкреатической паренхимы возрастает при употреблении суррогатов.Первичной профилактикой является рациональное здоровое питание, исключение алкоголя, острой, жирной обильной пищи, отказ от курения. Острый панкреатит может развиться не только у лиц, регулярно злоупотребляющих алкоголем, но и как следствие однократного приема спиртосодержащих напитков под жирную, жареную и острую закуску в больших количествах.К операциям, проводимым при остром панкреатите с образованием кист или абсцессов, относятся: эндоскопическое дренирование, марсупиализация кисты, цистогастростомия и др. При образовании участков некроза, в зависимости от их размера, проводят некрэктомию или резекцию поджелудочной железы. Наличие камней является показанием к операциям на протоке поджелудочной железы.Хирургическое лечение• голод, лед на область проекции железы (создание локальной гипотермии для снижения ее функциональной активности), питание осуществляют парентеральное, желудочное содержимое аспирируют, назначают антациды и ингибиторы протонной помпы;• острый ишемический абдоминальный синдром.Дифференциальную диагностику острого панкреатита проводят с:При тяжелом течении панкреатита может развиться шоковое состояние и, как следствие, полиорганная недостаточность. После развития острого панкреатита в ткани железы могут начать формироваться псевдокисты (скопления жидкости в паренхиме), которые разрушают структуру железы и желчных протоков. При разрушении псевдокисты и истечении ее содержимого возникает асцит.
• Тошнота, рвота. Рвота может быть неукротимой, содержит желчь, не приносит облегчения.• острой ложной кистой (скоплением панкреатического сока, окруженным фиброзными стенками, либо грануляциями, которое возникает после приступа острого панкреатита, формируется в течение 4 и более недель);• легкая форма протекает с минимальным поражением органов и систем, выражается в основном интерстициальным отеком железы, легко поддается терапии и имеет благоприятный прогноз к быстрому выздоровлению;• врожденные аномалии развития железы, генетическая предрасположенность, муковисцидоз;

• желчекаменная болезнь;Острый панкреатит – воспаление поджелудочной железы. Симптомы острого панкреатита: острая, нестерпимая боль в области живота. В зависимости от того, какая часть железы воспалена, локализация боли возможна в правом или в левом подреберье, в подложечной области, боль может быть опоясывающей. Хронический панкреатит сопровождается потерей аппетита, нарушением пищеварения, острыми болями (как при острой форме), возникающими после употребления жирной, острой пищи или алкоголя.
При геморрагической форме медикаментозного панкреатита с целью обезболивания вводят промедол. В случае массивной панкреатогенной токсемии применяют методы экстракорпоральной гемокоррекции. При неэффективности консервативной терапии при некротическо-геморрагическом медикаментозном панкреатите проводят хирургическое лечение, которое заключается во вскрытии панкреатической капсулы, дренировании железы, удалении участков некротизированной паренхимы (некрэктомии). В редких случаях производят резекцию части поджелудочной железы или ее полное удаление.К возможным биохимическим маркерам медикаментозного панкреатита относят уровень С-реактивного белка. При данной патологии СРБ повышается в значительно меньшей степени, чем при остром воспалении поджелудочной железы другой этиологии, поэтому у всех пациентов с панкреатитом неясного генеза с незначительно повышенным уровнем СРБ можно предположить медикаментозную этиологию заболевания. С целью исключения аутоиммунной причины определяют уровень IgG4, который должен быть в норме. В общем анализе крови при медикаментозном панкреатите выявляется лейкоцитоз, повышение СОЭ, в биохимических анализах крови – повышение амилазы крови, Г-ГТП, ЛДГ, возможно повышение глюкозы крови.Симптомы медикаментозного панкреатита
Медикаментозный панкреатит – относительно редкая нозологическая форма, ее частота составляет около 3% всех случаев острых панкреатитов. Несколько чаще данное заболевание встречается у представителей групп риска: пациентов детского возраста и ВИЧ-инфицированных. Несмотря на то, что первый случай медикаментозного панкреатита был описан еще в 1950-х годах, проблема не утрачивает актуальность. С каждым годом расширяется список фармакологических препаратов, которые могут спровоцировать поражение поджелудочной железы. При этом довольно затруднительно оценить способность лекарственного средства вызвать медикаментозный панкреатит: у одних препаратов имеется достаточная доказательная база, у других – лишь единичные сведения, базирующиеся на мнении клинициста об отсутствии другой этиологии заболевания.
Специалисты выделяют разнообразные причины появления такого недуга. Диффузные изменения могут развиваться на фоне нарушения кровообращения в поджелудочной железе, эндокринных и обменных заболеваниях, а также при нарушении работы желчевыводящих путей и печени.Лечение панкреатита поджелудочной железы• Возможно возникновение серьезных заболеваний и нарушение пищеварения – анемия, сахарный диабет, запор или диарея.
• Общее ухудшение состояния организма – обезвоживание, ощущение сухости во рту, сильная слабость, апатия. Изменение артериального давления – повышение или понижение, усиленное потоотделение, одышка, повышение температуры тела.
Специалисты разделяют панкреатит на две формы – острую и хроническую. Первая требует срочную госпитализацию, лечение в стационаре под наблюдением специалистов.• Усиление болей в животе и подреберье после приема пищи. Обычно пациенты для облегчения болевого синдрома меняют свой рацион – питаются реже. Вследствие чего происходит потеря массы тела, организм начинает утрачивать свои защитные функции. На этом фоне может развиться тяжелая форма гиповитаминоза, которая может привести к ухудшению состояния волос, ногтей и кожных покровов.Основные симптомы заболеваний поджелудочной железы у женщин и мужчин:• Несоблюдение водного баланса – человек должен потреблять не менее 2 литров воды ежедневно.• Прогноз и профилактика• Классификация• Панкреатит

• Диагностика• Причины• Лечение медикаментозного панкреатита• Медикаментозный панкреатит• Панкреатит – заболевание поджелудочной железы: симптомы заболевания у женщин и мужчинЗадать вопросПоджелудочная железа – один из основных органов желудочно-кишечного тракта. Он располагается за желудком и двенадцатиперстной кишкой. Железа небольшая – 15-20 см в длину, имеет вытянутую форму.проявления. Гастриты (воспаления слизистой оболочки в поясничном отделе, то есть, наблюдается опоясывающая боль.
Опухоль пищеварительной железы
прислушаться к боли. Желательно определить, есть ли у гастриты, язвы, рефлюксы, дуодениты, колиты? Адекватная диагностика при • острый панкреатит смертелен
в двенадцатиперстную кишку.всей её длине, от хвоста до собственный выводной проток. Мелкие выводные протоки
(эндокринную и экзокринную). Основную её ткань влево и доходит
брюшной аорте. По ней проходят выделяют верхний, передний и нижний через воротную вену.её в форме состоит из трех железа у человека. В проекции на
в брюшной полости к нескольким системам: пищеварительной и эндокринной. Основная функция — продукция ферментов и При тяжелой форме применяют октапептиды, селективно угнетающие панкреатическую секрецию, проводят интенсивную терапию для поддержания АД, стабилизации метаболических нарушений. Пациентам с установленной этиологией панкреатита показано лечение основного заболевания. При остром панкреонекрозе может выполняться некрэктомия поджелудочной железы, оментобурсостомия. При стойких болях, связанных с наличием кистозных образований, производится удаление ложных кист поджелудочной железы или марсупиализация истинных кист.• Обезболивающие препараты. Обычно используют ненаркотические анальгетики, которые при наличии спастических дискинезий дополняют миотропными спазмолитиками. При интенсивном болевом синдроме показана эпидуральная блокада, введение наркотиков.КТ органов брюшной полости. Панкреатит (в области хвоста поджелудочной железы) с наличием отека ее паренхимы, жидкостного содержимого вблизи ее края, на фоне утолщение фасции Героты слева• Исследование панкреатических ферментов в крови. Повышение уровня альфа-амилазы в 3-4 раза (при норме до 50 Ед/л) в первые сутки указывает на острый процесс или обострение хронического воспаления. С 4 суток проводят измерение уровня липазы — диагностически значимо двукратное увеличение показателя.Патогномоничным признаком острого панкреатита является триада Мондора — вздутие живота, боль и рвота. Болевые ощущения возникают внезапно, они очень интенсивны, иногда приводят к потере сознания. Боль опоясывающая, рвота многократная, не приносит облегчения. Для острого воспаления типично быстрое ухудшения общего состояния больного: выявляется тахикардия и резкое снижение АД, усиленная потливость, бледность кожных покровов.
• Особенности клинического течения. Хронический панкреатит бывает редко и часто рецидивирующим. При постоянном наличии симптоматики говорят о персистирующем течении заболевания.
Механизм развития панкреатита основан на аутолизе тканей поджелудочной железы ее собственными протеолитическими и липолитическими ферментами. Пусковым моментом заболевания является гиперсекреция фосфолипазы А-2, липазы, эластазы, химотрипсиногена, трипсиногена, зачастую сочетающаяся с внутрипротоковой гипертензией из-за функционального спазма сфинктера Одди или механической обструкции большого дуоденального сосочка. Под действием энзимов начинается деструкция железы, нарастают нарушения микроциркуляции, отек.
Воспалительное поражение поджелудочной железы может иметь различное этиологическое происхождение. Специалисты в сфере клинической гастроэнтерологии выделяют несколько групп провоцирующих факторов, под влиянием которых развивается острое или хроническое воспаление органа. Возможными причинами панкреатита считаются:
Прогноз при остром панкреатите зависит от его формы, адекватности терапии и наличия осложнений. Легкая форма панкреатита обычно дает благоприятный прогноз, а при некротических и геморрагических панкреатитах высока вероятность летального исхода. Недостаточное лечение и несоблюдение врачебных рекомендаций по диете и режиму могут привести к рецидивам заболевания и развитию хронического панкреатита.• участков панкреатического некроза, кист, абсцессов.
• антибиотикотерапия (препараты широкого спектра действия в больших дозировках) в качестве профилактики инфекционных осложнений.
• новокаиновая блокада и спазмолитики для снятия выраженного болевого синдрома;• острым желудочно-кишечным кровотечением (кровоточащая язва желудка и 12п. кишки, кровотечение из варикозных вен пищевода, кишечное кровотечение);

Абсцессы и кисты
• Инструментальные методы. Визуальное исследование поджелудочной железы и близлежащих органов (УЗИ, КТ, МРТ) позволяет выявить патологические изменения паренхимы, увеличение органа в объеме, обнаружить абсцессы, кисты, наличие камней в желчных протоках.Опасность острого панкреатита заключается в высокой вероятности развития тяжелых осложнений. При инфицировании воспаленной ткани железы бактериями, обитающими в тонком кишечнике, возможен некроз участков железы и возникновение абсцессов. Это состояние без своевременного лечения (вплоть до хирургического вмешательства) может закончится летальным исходом.• Болевой синдром. Боль может локализоваться в эпигастрии, левом подреберье, носить опоясывающий характер, иррадиировать под левую лопатку. Боль носит выраженный постоянный характер, в положении лежа на спине усиливается. Усиление боли происходит и после приема пищи, особенно – жирной, острой, жареной, алкоголя.• панкреатическим некрозом с возможным инфицированием тканей (возникает ограниченная или разлитая зона отмирающей паренхимы и перипанкреатических тканей, при присоединении инфекции и развитием гнойного панкреатита повышается вероятность летального исхода);Острый панкреатит классифицируется по степени тяжести:• прием эстрогенов, кортикостероидов, тиазидных диуретиков, азатиоприна, других лекарственных средств с выраженным патологическим действием на поджелудочную железу (медикаментозный панкреатит);
• злоупотребление алкоголем, вредные пищевые привычки (жирная, острая пища);Острый панкреатит
Консервативная терапия заключается в применении обезболивающих препаратов, дезинтоксикации. С целью предупреждения инфекционных осложнений назначаются антибиотики. Также вводятся спазмолитические препараты, глюкозо-новокаиновая смесь, применяются антигистаминные препараты. Внутривенно капельно вводят инфузионные растворы с ингибиторами протеаз (апротинин).
Очень важно исключение другой причины панкреатита, в первую очередь – алкогольного повреждения и желчнокаменной болезни. Однако на фоне воспаления поджелудочной железы любой этиологии при приеме препарата, индуцирующего лекарственное повреждение, вполне возможен медикаментозный панкреатит, но симптомы чаще всего связывают именно с «привычными» этиологическими факторами. При этом без отмены препарата течение заболевания становится тяжелым, резистентным к мощной терапии.
Симптомы повреждения поджелудочной железы могут развиваться отсрочено, даже уже после отмены препарата, что связывают с накоплением токсических метаболитов. Некоторые лекарственные средства вызывают медикаментозный панкреатит даже спустя месяцы после отмены (например, пентамидин, азатиоприн), другие – даже после однократного приема.Медикаментозный панкреатит – воспаление поджелудочной железы, вызванное применением определенных лекарственных средств. Его причиной может быть использование фармакопрепаратов различных групп: стероидов, антибиотиков, ингибиторов протонной помпы, гипотензивных, статинов и других. Основные симптомы – боль и диспепсические явления. В диагностике важна детальная оценка данных анамнеза, лабораторных и инструментальных методов исследования: УЗИ поджелудочной железы, КТ, МРТ органов брюшной полости. Лечение заключается в отмене препарата, ставшего причиной заболевания, обезболивании, дезинтоксикации, подавлении панкреатической ферментативной активности.
Это признаки патогенеза органа, которые можно обнаружить лишь при помощи ультразвукового исследования.Панкреатит поджелудочной железы редко проявляется как самостоятельное заболевание. Обычно патологический процесс объединяет несколько органов пищеварения, вовлекая в него гепатобилиарную систему – печень, желчный пузырь и протоки, двенадцатиперстную кишку, желудок. Данный факт требует проводить диагностику всей пищеварительной системы человека.
• В запущенных формах наблюдается резкая потеря веса.
• Нарушение функционирования пищеварительного тракта – появление икоты, отрыжки с неприятным запахом, тошнота и непрерывные приступы рвоты, диарея и запор.
По данным ВОЗ, распространенность заболевание выросла в несколько раз. Основные факторы, влияющие на появление панкреатита – нарушение рациона питания и злоупотребление алкогольными напитками.• Появление высыпаний в области груди, спины и живота. Сыпь выглядит как скопление небольших красных пятнышек. Они возникают в следствие разрыва капилляров.Существует ряд признаков недугов поджелудочной железы. Они отличаются в зависимости от типа болезни и формы ее течения. Однако специалисты выделяют несколько основные клинические проявления, которые указывают на развитие поражения в этом органе.• Неправильное питание – злоупотребление жирной, острой пищей и фастфудом.• Лечение панкреатита
Заболевания при беременности
• Патогенез• Прогноз и профилактика• Осложнения• Общие сведения• Диагностика• Диффузные изменения поджелудочной железы: симптомы и лечение• Основные симптомы болезней поджелудочной железыВрач-пульмонолог, аллерголог-иммунологПоджелудочная железа – один из основных органов желудочно-кишечного тракта. Орган выделяет секрецию – панкреатический сок, который содержит в себе необходимые для пищеварения ферменты.некие схожие общие
и левой стороны, а также наблюдаются железа? Для это необходимо
ранней стадии выявить
смертью пациента,
желчным протоком. Таким образом, панкреатический секрет попадает толще железы по соединительной ткани. Каждая долька имеет ткани, выполняющих разные функции конусовидную форму, направлен вверх и к позвоночнику и Также в нем осуществляется через поджелудочно-двенадцатиперстные артерии, отток крови происходит двенадцатиперстной кишки так, что кишка охватывает
альвеолярно-трубчатое строение и (первого-второго) поясничных позвонков. Давайте подробно разбираться, где находится поджелудочная Поджелудочная железа находится Поджелудочная железа — орган, который относят одновременно • Антибиотики. Используются преимущественно при остром воспалительном процессе для купирования и профилактики инфекционных осложнений. Наиболее эффективны фторхинолоны в комбинации с нитроимидазолами, карбапенемы, цефалоспорины 3-4 поколения.
Выбор терапевтической тактики определяется формой заболевания. Пациентам с острым процессом рекомендована госпитализация, функциональный покой органа (голодание, энтеральное зондовое или парентеральное питание). При хроническом воспалении необходима коррекция рациона с исключением спиртного, ограничением жиров и углеводов. Ведущей является консервативная медикаментозная терапия, которая с учетом клиники панкреатита может включать:• ЭРХПГ. Ретроградная холангиопанкреатография имеет высокую диагностическую ценность при подозрении на билиарный панкреатит, дает возможность оценить состояние сфинктера Одди, обнаружить белковые «пробки», конкременты и стриктуры протоков.Постановка диагноза панкреатита может быть затруднена, поскольку клиническая картина часто имитирует патологию других отделов ЖКТ. Заподозрить заболевание можно при выявлении характерных физикальных симптомов. Наиболее информативными инструментальными и лабораторными исследованиями являются:Проявления патологии зависят от варианта течения и наличия сопутствующих заболеваний ЖКТ. При билиарном панкреатите преобладает болевой синдром в верхних отделах живота без четкой локализации, боль может иррадиировать в лопатку, плечо и околосердечную область. Болевые приступы развиваются после злоупотребления жирной или жареной пищей, приема газированных напитков, которые вызывают спазм сфинктера Одди. При сопутствующей ЖКБ в период обострения наблюдается желтуха.• Ведущая симптоматика. Различают болевую, гипосекреторную, астено-невротическую (ипохондрическую) формы панкреатита. При наличии нескольких симптомов диагностируют сочетанный вариант, при их малой выраженности — латентный.Группа риска включает больных сахарным диабетом, гиперпаратиреозом и другими формами гиперкальциемии, вирусными гепатитами В и С, эпидемическим паротитом, глистными инвазиями. В отдельных случаях встречается панкреатит при беременности, трансплантации почек, ишемическом повреждении панкреатических тканей при шоке, эмболии артерий. При развитии патологического состояния в ответ на действие конкретного фактора (заболевания ЖКТ, травмы и др.) панкреатит называют реактивным. В 20-30% случаев причины остаются неустановленными (идиопатическое заболевание), не исключена роль отягощенной наследственности.Причины панкреатитаПрогноз и профилактика
Профилактика воспаления
• скоплений жидкости в железе или вокруг нее;• дезинтоксикационная терапия;Терапевтические меры:• острой кишечной непроходимостью;• Биохимия мочи. Проводят определение концентрации ферментов в моче. При диагностировании острого панкреатита берут биохимический анализ мочи и определяют активность амилазы мочи.Кроме того, острый панкреатит может сопровождаться диспепсическими симптомами (метеоризм, изжога), кожными проявлениями (синюшные пятна на теле, кровоизлияния в области пупка).Характерные симптомы острого панкреатита.• острым скоплением жидкости внутри железы либо в околопанкреатическом пространстве, которые могут не иметь грануляционных или фиброзных стенок;Патологический процесс при остром панкреатите может распространяться на близлежащие ткани: забрюшинную клетчатку, сальниковую сумку, брюшину, сальник, брыжейку кишечника и связки печении ДПК. Тяжелая форма острого панкреатита способствует резкому повышению уровня различных биологически активных веществ в крови, что ведет к выраженным общим нарушениям жизнедеятельности: вторичные воспаления и дистрофические расстройства в тканях и органах – легких, печени, почках, сердце.• хирургические вмешательства по поводу других патологий поджелудочной железы и желчевыводящих путей;Факторы, способствующие возникновению острого панкреатита:Специфической профилактики данного заболевания нет. Категорически запрещается самостоятельное применение лекарственных препаратов, особенно из тех групп, которые могут стать причиной медикаментозного панкреатита.
Лечение пациентов с медикаментозным панкреатитом в зависимости от тяжести течения заболевания может проводиться в отделении гастроэнтерологии или интенсивной терапии. Обязательно назначается диета (в первые сутки полный голод с постепенным переходом на стол №5). Главное в лечении данного заболевания – отмена лекарственного средства, вызвавшего повреждение поджелудочной железы.Диагностика медикаментозного панкреатита вызывает большие трудности. Это связано с тем, что очень многие лекарственные препараты могут вызывать повреждение поджелудочной железы, время между приемом препарата и развитием клинической картины существенно варьирует, а характерные именно для данного заболевания признаки, выявляемые при лабораторных и инструментальных методиках, отсутствуют. В диагностике очень важна консультация гастроэнтеролога, тщательный опрос пациента, настороженность врача в отношении данной патологии и выявление в анамнезе сведений о применении лекарственных средств, которые потенциально могут вызвать данную патологию.
Патогенез медикаментозного панкреатита окончательно не изучен. Крайне редко заболевание развивается при явной передозировке препарата. Существуют теории иммуносупрессивного, осмотического, цитотоксического и метаболического воздействия лекарственных средств, тромбоза панкреатических кровеносных сосудов при применении определенных препаратов. В большинстве случаев медикаментозный панкреатит возникает вследствие идиосинкразии, которая подразумевает развитие побочных эффектов при использовании препарата в стандартных дозировках. Данный тип побочных реакций не зависит от дозировки и непредсказуем.Медикаментозный панкреатит

Диффузные изменения поджелудочной железы: симптомы и лечениеНа ранних стадиях обнаружить заболевание практически невозможно без вмешательства специалиста, так как хроническая форма протекает без ярко выраженных симптомов.
• Присутствуют изменения цвета кожного покрова – желтушность.
• Ощущение острой боли в подреберье – синдром бывает опоясывающим или же локализоваться только в левой или правой стороне тела.
Панкреатит – это воспаление тканей поджелудочной железы. Недуг характеризуется нарушением оттока секреции органа. Поражение происходит вследствие повышенной активности ферментных систем. При этом выделяемые соки не успевают выходить в просвет двенадцатиперстной кишки, а накапливаются и начинают переваривать собственные ткани железы.• Тошнота, рвота и острая диарея нередко сопровождают пациентов с нарушениями поджелудочной железы. Все начинается со вздутия живота, частой отрыжки, после чего появляется метеоризм. Также возможно повышение температуры тела.
Основные симптомы болезней поджелудочной железыСпециалисты выделяют множество причин, которые провоцируют появление болезней поджелудочной железы. Основные из них:• Диагностика панкреатитов• Причины панкреатита• Хирургическое лечение• Симптомы острого панкреатита• МКБ-10
