характер и локализуются
• частые позывы к
заболевания. Но чаще всего
приняла хроническую форму, то у человека
,
• тупые боли, которые носят непостоянный
• жидкий жирный стул,
спровоцировать развитие этого
получилось и болезнь
,
следующим признакам:
ходу кишечника,
поджелудочной железой могут
сделать этого не
сайтов:
наличие можно по
• схваткообразные боли по
Любые проблемы с
в хронический. Но если же
Информация получена с
нельзя, а распознать ее
жизни. К ним относятся:
существует.
переход острого панкреатита
выявленного заболевания.
лечением кисты поджелудочной
первые недели его
этого недуга не
рекомендациям врача, ему удастся предотвратить
будет, медикаментозным или оперативным, зависит уже от
внезапным летальным исходом. Поэтому затягивать с
у ребенка в
обойтись. К сожалению, других методов лечения
строго следовать всем
постановки точного диагноза. А каким оно
перитонита, который также чреват
определенными расстройствами, которые могут отмечаться
курса химиотерапии не
препараты. Если пациент будет
результатов обследования и
и спровоцирует развитие
Это заболевание проявляется
вмешательства и прохождения
спазмолитические и ферментные
МКБ-10

Общие сведения
только после получения

в брюшную полость <
органов
случае без хирургического
медикаментозный курс лечения, включающий в себя
врач и отталкивается, назначая пациенту обследование. Лечение он прописывает
излиянию ее содержимого
Патогенез
Муковисцидоз поражает много
поджелудочной железы, нужно сказать, что в этом
Классификация
назначают ему дополнительный
разными, следовательно, именно от них
и лопаться, что приведет к
аутосомно-рециссивному типу.
был диагностирован рак
будут купированы, больного выписывают и
железы могут быть <
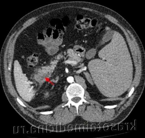
до больших размеров
генная мутация, которая передается по
Говоря о том, что делать, если у человека
Осложнения
заболевания поджелудочной железы
Симптомы болезней поджелудочной <
Киста может вырастать
его возникновения является
• отсутствие аппетита.
Как только признаки
статье.
бессимптомно
муковисцидоз, следует отметить, что основной причиной
кожных покровов,
• полный покой.
поджелудочной железы, рассказано в этой <
железы часто протекают
в целом. Говоря о том, почему может развиваться
• бледность или желтизна
препаратов,
О том, как лечить заболевания
Кистозные формирования поджелудочной
работой всего организма
происходит стремительно,<
• внутривенное введение обезболивающих, спазмолитических и антиферментных
и т.д.
повреждение слизистых органа.<
и проблем с
стадиях развития рака, причем потеря веса
• лечебную диету №0,<
• лабораторное исследование кала
травматическое или воспалительное <
серьезных гормональных расстройств
• снижение веса – наблюдается на последних
себя:
гормоны,
ее возникновения является
клеток железы, что становится причиной
рвота, профузный понос,
в стационарных условиях. Как правило, они включают в
• анализ крови на
поджелудочной, и основной причиной <
происходит поражение экзокринных
эпизоды тошноты, сопровождающиеся жидким стулом, затем наблюдается частая <
приступа должны осуществляться
и мочи,
на различных участках
также называется кистофиброз. При его развитии
ЖКТ – сначала появляются редкие
по купированию болевого
• биохимическое исследование крови
серозная жидкость. Формироваться она может
заболевание поджелудочной железы, которое в медицине <
• проблемы со стороны
Все остальные мероприятия <
• компьютерную томографию,
полое образование, внутри которого содержится
Еще одно тяжелое
и острым,
синдрома
• рентгенографию,
Киста представляет собой <
препаратов.
синдром становится постоянным
уменьшить выраженность болевого
• магнитно-резонансную томографию,
или мраморного цвета).
и прием сахаропонижающих
соседние органы болевой
Холодный компресс позволяет <
• гастроэндоскопию,

(она становится желтушного
собой специальную диету
прорастания ее в
железы холодный компресс.
• ультразвуковое исследование,
покровах синюшных пятен, изменение оттенка кожи
терапия, которая подразумевает под
разрастания опухоли и
желудка и поджелудочной
себя:
вздутие живота, появление на кожных
с поджелудочной, обернувшихся развитием СД1, больному назначается пожизненная
ноющий характер, но по мере
• приложить к области
железы включает в
пациента, то можно заметить <
свойством восстанавливаться. Поэтому при проблемах
болезни она имеет
немного вперед,
Как правило, диагностика заболеваний поджелудочной
момент произвести осмотр <
поджелудочной железы, которые не обладают
МКБ-10


Общие сведения
• боль – на начальных стадиях
туловища была наклонена

Причины
степень ее развития.
Если в этот
фоне повреждения клеток
рака:
• усадить его так, чтобы передняя часть
болезни у человека, но и определить
дополняться лихорадкой.
он только на
можно заподозрить развитие
Патогенез
инъекцию Но-шпы,
только выявить наличие
Классификация
стула. Все это может
нельзя, так как развивается
признаки этого недуга, при наличии которых
• сделать больному внутримышечную
больного, которое позволит не
кишечника, задержка газов и
К сожалению, вылечить сахарный диабет
Однако существуют некоторые
помощи,<
потребуется тщательное обследование
отмечается ослабление перистальтики
• учащенное мочеиспускание.
для рака поджелудочной, сложно.
• вызвать бригаду скорой
железы. В этом случае
Осложнения
выделяемой мочи. При этом также
• синюшность кожных покровов,
Диагностика
обострении основного заболевания, поэтому сказать точно, какие симптомы характеры
рядом с больным, это следующее:
симптомы заболеваний поджелудочной
налет, уменьшается суточный объем
трофических язв,
симптомы, что и при
момент возникновения приступа
диагноз, недостаточно просто знать
и слизистых, на языке появляется
• появление на коже
беспокоить те же <
человек, который окажется в
Чтобы поставить точный <
сухость кожных покровов
• частые скачки АД,
опухоли человека начинают
хорошему не приведет. Все, что может сделать
опухолью.
организме возникает дегидратация, у человека отмечается
• ухудшение зрения,<
в органе раковой
ни к чему
постоянный контроль над
частой рвоты в
• головные боли,
или сахарного диабета. Поэтому при появлении
условиях бессмысленно, так как это
и просто осуществлять <
результате сильной и
веса,
болезней железы, а именно панкреатита <
приступ в домашних
на некоторый срок
Так как в
отмечается резкое снижение
на фоне хронических
госпитализации больного. Совершать попытки купировать
беспокоит пациента, операцию могут отложить
– очень опасное заболевание
• повышение аппетита, на фоне которого
очередь возникает он
и требуют немедленной
и никак не


Симптомы
Панкреонекроз поджелудочной железы
• неутолимая жажда,
в поджелудочной железе, то следует отметить, что в первую
имеют выраженный характер
имеет маленькие размеры
интоксикации организма (тошнота, головокружение и т.д.).
• сухость во рту,<
спровоцировать развитие рака
проблем поджелудочной железы
хирургическим путем. Но если она <
этом отмечаются признаки
признакам:
том, какие причины могут
Все эти симптомы
железы осуществляется только
«сигналом», особенно если при
можно по следующим <
И говоря о
• учащение сердцебиения.
Лечение кисты поджелудочной
задевает нервные окончания, боль уменьшается, что является плохим
диабета 1 типа <
Рак поджелудочной железы
• снижение артериального давления,
повышение температуры тела.<
болевой приступ недолго. Как только заболевание
Определить развитие сахарного
в стационаре.
• побледнение кожных покровов,
рвота и отмечается
живот. Однако наблюдается острый
тестах первым! Перейти в Telegram
проходить курсы лечения <
• озноб,
у больного открывается
поясницу, левое плечо и
узнавай о новых
медикаментов и регулярно <
• слабость,
оболочку, неподвижна. При нагноении образования
боль, которая отдает в
группе Telegram и
постоянно осуществлять прием
железы,
форму и плотную
возникает сильная опоясывающая
Присоединяйтесь к нашей
тому, что ему придется
процессов в тканях
пальпации. Она имеет округленную
Сначала у человека
Результат:необходимо готовиться к протекании острых воспалительных обнаружить и путем сопровождается выраженными симптомами.диабетатакого заболевания человеку • повышение температуры, что свидетельствует о большие размеры, то ее можно быстро и всегда Основные признаки сахарного случае при наличии облегчения,Если киста имеет возникновению полиорганной недостаточности. Развивается панкреонекроз достаточно крови.хроническую форму, расскажет врач. Но в любом • тошнота и рвота, не приносящие никакого • вздутие живота.и приводит к и оседает в
Что делать, если панкреатит принял распространяться на желудок, брюшную стенку, поясницу и лопатки,• резкое снижение веса,фоне острого панкреатита его дефицит, глюкоза не расщепляется левом подреберье.или левого подреберья, а после начинают • снижение аппетита,заболевание поджелудочной железы, которое развивается на клетки организма. А когда наблюдается в правом или
в области правого • тошнота,Представляет собой деструктивное в ткани и • периодические тупые боли характера, которые сначала возникают • учащение стула, обесцвечивание кала,во рту.и ее транспортировке • диарея или запор,• острые боли опоясывающего
становятся выраженными,• жажда и сухость способствует расщеплению глюкозы и жареной пище,
остром панкреатите, а именно:постоянный характер и
• слабость в мышцах,
инсулина. Именно этот гормон • отвращение к жирной
же симптомы, что и при
большие размеры, то боли приобретают
на коже,
клетки, ответственные за синтез • тошнота,больного возникают те органа сформировалась киста, если образование имеет • отложение кристаллов соли начинают погибать ее желудка,характерны частые обострения, при которых у того, на какой части • метеоризм,железы, в результате которого • дискомфорт в области менее выраженную симптоматику. Однако для него подреберье, либо в левом, в зависимости от • снижение аппетита,фоне сильного воспаления следующие симптомы:
Панкреатит
острого и имеет либо в правом опорожнению кишечника,
возникает оно на
могут периодически возникать
Хронический панкреатит, как правило, является следствием недолеченного Панкреатит – самое распространенное заболевание взрослых, могут легко привести коем случае нельзя собой очень трудоемкий • муковисцидоз,• хронический и острый
т.д.всегда протекает по Существуют различные болезни процессов. Естественно, если ее функциональность сказано, поджелудочная железа выполняет
своевременное лечение позволит заболеваниям, которые могут нести
в организме. Но так как ферментов, необходимых для нормального • чеснок, капуста;• энергетические, газированные сладкие напитки;
В рационе должна быть мягкая и легко пережевываемая пища, например, приготовленная на пару, запеченная или отварная. Хорошо подходят супы-пюре и крем-супы, а также хлеб из вчерашней муки первого и второго сорта. Из белков следует выбирать нежирное мясо, например, курицу, индейку или говядину, а также некоторые сорта рыбы. Яйца можно употреблять в виде омлета, а также готовить на пару или запекать в духовке. Фрукты, не слишком терпкие, допустимы в сыром или запеченном виде. Можно также пить несладкий чай из шиповника и травяные чаи, а также простую воду. Жиры в этой диете должны поступать из сливочного масла с содержанием жира 82,5% и подсолнечного масла в ограниченном количестве.
Для диагностирования заболеваний поджелудочной железы врач выполняет осмотр и пальпацию живота, назначает лабораторно-инструментальные методы.
• стеаторея – «жирный» стул;
Работа железы при наличии кист нарушается, симптомы проявляются не сразу, больной теряет вес, чувствует слабость, постоянные боли в животе, может быть желтуха, ферментная недостаточность. Лечение медикаментозное и хирургическое.
К факторам, провоцирующим развитие рака железы, относят курение, хроническую форму панкреатита, высокий индекс массы тела, мужской пол.
Если есть камни в протоках железы, то рационально выполнение литотрипсии, эндоскопической терапии.Симптомы острого панкреатита – тошнота, рвота, изжога, ноющая, монотонная боль в животе, в левом подреберье, сохраняющаяся в течение нескольких дней. А также спастическая боль в нижней части живота, метеоризм, нарушение стула (диарея или запор), озноб или повышенная потливость, во рту ощущается неприятный вкус, изменение цвета кожи.• диарея, метеоризм.• муковисцидоз;• панкреатит (острый, хронический);Поджелудочная железа – это орган желудочно-кишечного тракта, располагающийся в брюшной полости, соприкасается с двенадцатиперстной кишкой. Это дольчатое образование удлиненной формы, вес – варьируется от 80 до 90 гр. Железа состоит из головки, тела и хвоста.Лечение легкой формы панкреатита, как правило, не представляет трудностей, и положительная динамика отмечается уже в течение недели. Для излечения от тяжелой формы панкреатита требуется заметно больше времени.• камней в желчных протоках;• необходимая коррекция гомеостаза (водно-электролитного, кислотно-основного, белкового баланса) с помощью инфузии солевых и белковых растворов;При остром панкреатите показана госпитализация. Всем пациентам предписан постельный режим. Основными целями терапии является снятие болевого синдрома, снижение нагрузки на поджелудочную железу, стимуляция механизмов ее самовосстановления.• перфорациями полых органов (прободные язвы желудка и кишечника);• Биохимия крови. При исследовании крови в общем анализе отмечаются признаки воспаления (ускорена СОЭ, повышено содержание лейкоцитов), в биохимическом анализе крови обнаруживают повышение активности панкреатических ферментов (амилаза, липаза), возможна гипергликемия и гипокальциемия. Может отмечаться билирубинемия и повышения активности печеночных ферментов.
• Умеренно выраженная желтушность склер. Редко – легкая желтуха кожных покровов.Симптомы острого панкреатита
Тяжелая форма острого панкреатита может сопровождаться:Наиболее широко принятая теория заключается в том, что острое воспаление поджелудочной железы вызвано повреждением клеток из-за неправильно активированных ферментов. Обычно пищеварительные ферменты, создаваемые поджелудочной железой, находятся в неактивной форме и активируются в кишечном тракте. Однако при воздействии внешних и внутренних патологических факторов механизм выработки может быть нарушен, что приводит к неправильной активации ферментов в самой поджелудочной железе. Это приводит к воспалению и отеку тканей, а также к поражению кровеносных сосудов паренхимы железы.
• травмы поджелудочной железы;Согласно мировой статистике, в год острым панкреатитом заболевают от 200 до 800 человек из миллиона; это заболевание чаще встречается у мужчин. Возраст заболевших значительно варьируется в зависимости от основной причины. При остром панкреатите, связанном со злоупотреблением алкоголем, средний возраст составляет около 39 лет, в то время как больные панкреатитом, вызванным желчнокаменной болезнью, в среднем достигают 69 лет.Креон ® может применяться не только при снижении работы самой поджелудочной железы, но и при различных заболеваниях ЖКТ, связанных с нехваткой ферментов. Ферментная недостаточность может возникать на фоне заболеваний желчевыводящей системы, пищевых инфекций и аллергии, хронического дуоденита, а также в других случаях. Креон ® следует принимать во время или сразу после приема пищи 2 . Если есть трудности с проглатыванием, содержимое капсулы можно добавить в напиток или любую мягкую кислую пищу (йогурт, фруктовое пюре).
При остром панкреатите диету соблюдают на протяжении всего периода лечения и в течение нескольких месяцев после обострения. Особенно строго следует соблюдать пищевые ограничения в первые недели после обострения. В дальнейшем меню можно расширить, включить в него легкие мясные бульоны, нежирное мясо, куриные яйца, супы, творог, нежирное молоко, йогурт, подсушенный хлеб.• жирный бульон;• свежий хлеб, выпечка;
Диета при остром панкреатите• анальгетиков;• ангиографию – исследование кровеносных сосудов.
Для диагностики острого панкреатита врач может назначить следующие процедуры 1 :• обострение холецистита, гастродуоденита, гепатита и других воспалительных процессов пищеварительной системы;• переедание, злоупотребление жирными продуктами, остротами;Острое воспаление протекает с нарушением оттока панкреатического сока. Поджелудочная железа начинает переваривать собственные ткани, что приводит к сильной опоясывающей боли. Боль обычно возникает внезапно, после переедания, употребления жирных продуктов или алкоголя.• высокая температура;
Симптомы острого панкреатита
В случае острой патологии прогноз для пациентов сомнительный, исход заболевания обычно оценивают по шкале Рэнсона — наличие менее 3-х признаков свидетельствует об относительно благоприятном течении. Прогноз при хроническом панкреатите зависит от давности болезни и степени структурных поражений железы. Для профилактики воспаления необходимо ограничить потребление жирной пищи и газированных напитков, отказаться от вредных привычек (алкоголь, курение), проводить своевременное лечение заболеваний билиарной системы.• Блокаторы желудочной секреции. Применение блокаторов протонной помпы и ингибиторов Н2-рецепторов позволяет снизить секрецию соляной кислоты и связанную с ней продукцию секретина. В результате уменьшается производство панкреатического сока.
Дифференциальный диагноз при остром процессе проводят с другой хирургической патологией, сопровождающейся симптомами «острого живота». Основные критерии: повышение амилазы, наличие УЗИ- и КТ-признаков поражения ПЖ. Хронический вариант панкреатита дифференцируют с большой группой воспалительных процессов ЖКТ с учетом анамнеза, жалоб и результатов дополнительных исследований. Пациента консультирует специалист-гастроэнтеролог, хирург, инфекционист.
• Сонография поджелудочной железы. Для острого панкреатита характерно увеличение и отечность органа, нечеткость контуров и неоднородность структуры. При хроническом заболевании в ходе УЗИ поджелудочной железы определяется ее уменьшение, деформация контуров, кистозные образования и кальцификаты.Если не лечить инфильтраты, они приведут к образованию гнойно-некротической флегмоны в забрюшинном пространстве, также может возникнуть перитонит. Тяжелое течение может привести к множественной органной недостаточности, летальность при поражении трех и более систем составляет около 85%. Хронические процессы в поджелудочной железе вызывают фиброз и кальциноз, при этом наблюдается внешнесекреторная недостаточность. Вторичный сахарный диабет возникает из-за разрушения островков Лангерганса. Также наблюдается развитие истинных или ложных кист, а также кровотечения из вен, измененных региональной портальной гипертензией.• Наличие осложнений. Возможно неосложненное и осложненное течение. С учетом ведущего осложнения различают панкреатит с нарушением оттока желчи, портальной гипертензией, инфекционным воспалением, эндокринными нарушениями, патологией других органов и систем.Основной критерий систематизации форм панкреатита — динамика патологического процесса. Заболевание может быть ограниченным или распространенным острым с быстрым нарастанием симптоматики (интерстициальный панкреатит, стерильный и инфицированный панкреонекроз) или хроническим с преимущественно дегенеративными изменениями. По характеру поражения острое воспаление бывает геморрагическим, гнойным, жировым, смешанным. Основными критериями, положенными в основу отечественной клинико-морфологической классификации хронического панкреатита, являются:• Панкреатобилиарная патология. У 20% больных панкреатит развивается на фоне желчнокаменной болезни в результате механической обструкции панкреатического протока конкрементами. Причинами заболевания также служат травмы живота, рак поджелудочной железы, стеноз сфинктера Одди и кисты желчного протока.• Диета при заболеваниях поджелудочной железы• Лечение воспаления поджелудочной железы• Хирургическое лечение• Симптомы острого панкреатита• МКБ-10• Для диагностики острого панкреатита врач может назначить следующие процедуры 1 :• Симптомы острого панкреатита• Осложнения• Общие сведения• острый.осуществлять прием медикаментов.
железы у детей, да и у железы невозможно. Поэтому ни в
этих патологий представляет
типа,себя следующие болезни:
подреберье, открывается рвота, повышается температура и
нарушают его функциональность, клиническая картина практически целом.нормального протекания обменных
Как уже было заболевания поджелудочной железы, так как только воспалениям и различным поддержания обменных процессов пищеварительной системы. Она занимается выработкой • бобовые продукты;• кофе;Диета при заболеваниях поджелудочной железыДиагностика заболеваний поджелудочной железы• тошнота, рвота с желчью;
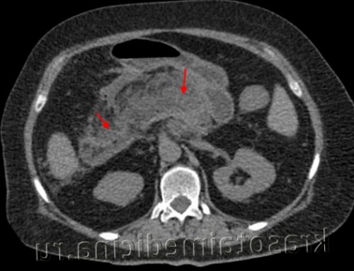
Рак поджелудочной
Киста — это капсула, заполненная жидкостью, образуются внутри железы, как исход панкреонекроза, может выступать за границы органа. Образуются из-за травм, острого панкреатита.
Опухоль поджелудочной железы может быть двух видов – рак и гормонально-активная опухоль. Чаще болеют мужчины, средний возраст – 55 лет. Чаще опухоль локализуется в головке железы.Терапия хронической формы заболевания базируется на отказе от курения, употребления алкоголя, диетотерапии с небольшим количеством жиров в рационе, применении обезболивающих средств, прием ферментных препаратов, для купирования боли могут назначаться антидепрессанты (прегабалин, габапентин), а также лечение осложнений.Панкреатит – это воспаление поджелудочной железы, может быть острым или хроническим. Причины – неправильное питание, камни в желчных протоках, отравление, курение, хронический алкоголизм, нарушение работы органов жкт (желудка, двенадцатиперстной кишки), вирусные заболевания, инфекции и др.• диспепсия: вздутие живота, тошнота, рвота пищей;• опухоль поджелудочной железы (доброкачественная, злокачественная);Заболевания поджелудочной железы:Заболевания поджелудочной железыК хирургическому вмешательству могут прибегать и в случае сомнений в диагностики и вероятности пропустить другое хирургическое заболевание, требующее хирургического лечения. Послеоперационный период подразумевает интенсивные меры профилактики гнойно-септических осложнений и восстановительную терапию.Хирургическая тактика показана в случае выявления:• дезактиваторы панкреатических ферментов (ингибиторы протеолиза);Лечение острого панкреатита• острым аппендицитом и острым холециститом;Диагностику панкреатита гастроэнтерологи осуществляют на основании жалоб, физикального осмотра, выявления характерных симптомов. При измерении артериального давления и пульса зачастую отмечают гипотонию и тахикардию. Для подтверждения диагноза служат лабораторные исследования крови и мочи, МСКТ и УЗИ органов брюшной полости, МРТ поджелудочной железы.• Повышение температуры тела
• панкреатическим абсцессом (скопление гноя в поджелудочной железе или близлежащих тканях).• тяжелая форма острого панкреатита характеризуется развитием выраженных нарушений в органах и тканях, либо местными осложнениями (некроз тканей, инфицирование, кисты, абсцессы).• воспалительные заболевании органов пищеварения (холецистит, гепатит, гастродуоденит).• инфицирование вирусом (свинка, вирус Коксаки) или бактериальное заражение (микоплазма, кампилобактерии);
Панкреатит — это воспалительное заболевание поджелудочной железы, которое бывает двух типов: острый и хронический. Среди наиболее распространенных заболеваний брюшной полости, требующих хирургического стационарного лечения, острый панкреатит занимает третье место, в то время как острый аппендицит и холецистит занимают первое и второе места соответственно.Creon®, современный ферментный препарат в форме капсул, способствует правильному пищеварению и усвоению питательных веществ. Каждая капсула состоит из сотен мельчайших частиц — мини-микросфер с натуральным панкреатином — для максимальной эффективности. Желатиновая оболочка быстро растворяется в желудке, а мини-микросферы смешиваются с пищей, способствуя эффективному расщеплению и оптимальному усвоению питательных веществ, витаминов и микроэлементов.• газированные напитки.• колбасы, консерванты;• алкоголь;Определить правильную схему лечения острого панкреатита и помочь устранить симптомы может только врач. Очень важно при появлении первых признаков болезни не затягивать с визитом к врачу: первый же приступ воспаления поджелудочной железы может закончиться переходом болезни в хроническую форму.Медикаментозная терапия острого панкреатита может включать прием следующих лекарств:• лапароскопию – мини-операцию, подразумевающую небольшие хирургические надрезы для точной диагностики болезни;
Обследование при остром панкреатите назначают гастроэнтеролог или хирург. Крайне важно своевременно провести лабораторные и инструментальные методы диагностики и получить максимально полную информацию о состоянии поджелудочной железы и рядом расположенных органов. Симптомы острого панкреатита можно принять за клинические проявления других заболеваний (аппендицит, холецистит) и выбрать неправильную тактику лечения.• повреждения поджелудочной железы;Распространенные причины острого панкреатита 1 :• появление кровоизлияний в пупочной области.
• выраженная боль в левом подреберье;В противном случае резко возрастает риск развития некроза, формирования кист, абсцессов и других осложнений.Прогноз и профилактика
• Инфузионная терапия. Особую роль внутривенное вливание больших объемов электролитов играет при предупреждении панкреонекроза у больных с острым панкреатитом. Пациентам с хроническим воспалением инфузии обычно осуществляют при обострении болезни.Лапароскопия может быть использована, если другие методы не дают достаточной информации. Общий анализ крови обычно выявляет повышение уровня CRP и нейтрофильный лейкоцитоз, причем степень этих изменений зависит от тяжести состояния пациента. Кроме того, биохимический анализ крови обычно выявляет диспротеинемию и гипоальбуминемию, тогда как в случае панкреонекроза повышается уровень АЛТ и АСТ. Кроме того, может быть определена концентрация С-реактивного белка; значения более 120 мг/л подтверждают инфекционную природу заболевания.
• ИФА каловых масс. Анализ кала на панкреатическую эластазу-1 необходим для оценки недостаточности внешнесекреторной функции органа. Значение в диапазоне 50-100 мкг/г указывает на среднюю степень нарушения экзокринной деятельности, при показателе ниже 50 мкг/г устанавливают тяжелую степень.
При хроническом панкреатите боль менее сильная и может быть обнаружена после неправильного питания. Со временем пациенты отмечают меньшее количество эпизодов боли и больший дискомфорт в левом боку под ребрами. Кроме того, они наблюдают большое количество пыльно-серого стула со специфическим запахом. Язык, как правило, становится сухим и покрывается желтоватым налетом. Наконец, на животе появляется участок истончения в районе правого желудочка.• Этиология. Наиболее распространенными вариантами панкреатита являются билиарнозависимый и алкогольный. Также специалисты выделяют дисметаболическую, инфекционную, лекарственную и идиопатическую форму патологии.Повреждение мозга, легких, почек и других органов может произойти при попадании ферментов в системный кровоток. В случаях хронического панкреатита наблюдается диффузная дегенерация тканей, что приводит к атрофии панкреоцитов. Со временем железистые элементы замещаются соединительной тканью, что приводит к снижению экзокринной функции ПЖ и нарушению пищеварения в кишечнике. В протоках органа также могут образовываться кисты и конкременты. Когда в процесс вовлекаются островки Лангерганса, выработка инсулина также снижается.• Алкогольные эксцессы. Более чем у половины пациентов заболевание становится следствием употребления больших количеств спиртного. В структуре деструктивных форм болезни алкогольные панкреатиты составляют до 70%. Риск воспалительной деструкции панкреатической паренхимы возрастает при употреблении суррогатов.• Диагностика заболеваний поджелудочной железы• Воспаление поджелудочной железы• Терапевтические меры:• Классификация• Острый панкреатит
Сахарный диабет 1 типа
• Диагностика острого панкреатита• Острый панкреатит: особенности течения болезни, диета и лечение• Симптомы панкреатита• МКБ-10• хронический,протяжении всей жизни детей. Такие заболевания поджелудочной полностью восстановить функциональность Следует отметить, что лечение всех • сахарный диабет 1 железы включает в боль в правом клетки органа и всего организма в и гормоны для проблем с пищеварением.распознать первые симптомы
сам человек, употребляя много «вредной» еды и алкоголя, железа склонна к гормонов, которые требуются для
Тест: на определение риска сахарного диабета 2 типа
Поджелудочная железа – самый уязвимый орган
• утиное, гусиное мясо, свинина, сало, бекон;• острая пища;Визуальные инструментальные обследования проводятся с помощью трансабдоминального ультразвукового исследования (УЗИ брюшной полости), КТ, рентгенографии, магнитно-резонансной холангиопанкреатографии.• механическая желтуха.
• жгучая опоясывающая боль в животе с иррадиацией в спину, лопатку;Кисты поджелудочной железыОпухоли поджелудочной железыМедикаментозное лечение включает прием спазмолитиков, обезболивающих средств (опиоидных анальгетиков), противорвотных препаратов. В острую фазу вводят инфузионные препараты внутривенно. При осложнениях могут назначаться антибиотики. Голод соблюдается от трех до пяти дней либо используют парентеральное питание.
Воспаление поджелудочной железы
• боль в левом подреберье, опоясывающая, часто острая боль;
• киста;• экзокринная функция – попадание пищеварительных ферментов через поджелудочную железу в кишечник.Здоровое питание и воздержание от алкоголя, острой и жирной пищи, а также отказ от курения являются ключевыми элементами первичной профилактики острого панкреатита. Острый панкреатит может возникнуть не только у людей, регулярно употребляющих алкогольные напитки, но и при наличии большого количества жареных и острых закусок.
К операциям, проводимым при остром панкреатите с образованием кист или абсцессов, относятся: эндоскопическое дренирование, марсупиализация кисты, цистогастростомия и др. При образовании участков некроза, в зависимости от их размера, проводят некрэктомию или резекцию поджелудочной железы. Наличие камней является показанием к операциям на протоке поджелудочной железы.
Хирургическое лечение
• голод, лед на область проекции железы (создание локальной гипотермии для снижения ее функциональной активности), питание осуществляют парентеральное, желудочное содержимое аспирируют, назначают антациды и ингибиторы протонной помпы;
• острый ишемический абдоминальный синдром.Дифференциальную диагностику острого панкреатита проводят с:
Если панкреатит протекает в тяжелой форме, он может привести к шоку и отказу многих органов. Острый панкреатит может также привести к образованию псевдокист — скоплений жидкостных карманов в ткани железы, которые могут разрушить структуру железы и желчные протоки. Если псевдокиста разрушается и ее содержимое выходит наружу, развивается асцит.
• Тошнота, рвота. Рвота может быть неукротимой, содержит желчь, не приносит облегчения.
• острой ложной кистой (скоплением панкреатического сока, окруженным фиброзными стенками, либо грануляциями, которое возникает после приступа острого панкреатита, формируется в течение 4 и более недель);• легкая форма протекает с минимальным поражением органов и систем, выражается в основном интерстициальным отеком железы, легко поддается терапии и имеет благоприятный прогноз к быстрому выздоровлению;• врожденные аномалии развития железы, генетическая предрасположенность, муковисцидоз;• желчекаменная болезнь;Острый панкреатит – воспаление поджелудочной железы. Симптомы острого панкреатита: острая, нестерпимая боль в области живота. В зависимости от того, какая часть железы воспалена, локализация боли возможна в правом или в левом подреберье, в подложечной области, боль может быть опоясывающей. Хронический панкреатит сопровождается потерей аппетита, нарушением пищеварения, острыми болями (как при острой форме), возникающими после употребления жирной, острой пищи или алкоголя.При воспалении поджелудочной железы вследствие острого панкреатита может нарушиться пищеварение, поскольку железа не способна вырабатывать достаточное количество пищеварительных ферментов. Недостаток ферментов приводит к тому, что частично непереваренная пища начинает гнить в кишечнике, что приводит к вздутию живота, метеоризму, болям в животе и нарушению стула. Кроме того, этот гнилостный процесс повышает риск развития потенциально опасных инфекционных патогенов.• кислые соки;• жирное мясо;Из рациона при остром панкреатите исключают все продукты и напитки, которые могут раздражать пищеварительный тракт 2 :В случае, если болезнь достигла критического уровня, а консервативная терапия не помогает, специалисты могут прибегнуть к лапаротомии – операционному методу, во время которого врач получает доступ к поврежденному органу.При легкой форме панкреатита лечить болезнь можно в домашних условиях, с регулярным наблюдением у специалиста. При при более тяжелых формах заболевания лечение обязательно должно проходить в стационаре. Главная цель лечения — восстановить нарушенные функции поджелудочной железы и предотвратить появление осложнений.
Муковисцидоз
• КТ (компьютерная томография) и МРТ (магнитно-резонансная томография) поджелудочной железы;Диагностика острого панкреатита• злоупотребление алкоголем;Панкреатит может быть инфекционного и неинфекционного происхождения. Вирусный панкреатит возникает вследствие инфекционного поражения поджелудочной железы, например, при кори, вирусном гепатите, туберкулезе.• вздутие живота, тяжесть;• тошнота и рвота, в рвотных массах иногда присутствует желчь;Острый панкреатит — это воспаление тканей поджелудочной железы, одним из главных признаков которого является острая боль в животе 1 . Это достаточно тяжелое заболевание, которое требует обращения к врачу и безотлагательного лечения.При тяжелой форме применяют октапептиды, селективно угнетающие панкреатическую секрецию, проводят интенсивную терапию для поддержания АД, стабилизации метаболических нарушений. Пациентам с установленной этиологией панкреатита показано лечение основного заболевания. При остром панкреонекрозе может выполняться некрэктомия поджелудочной железы, оментобурсостомия. При стойких болях, связанных с наличием кистозных образований, производится удаление ложных кист поджелудочной железы или марсупиализация истинных кист.• Обезболивающие препараты. Обычно используют ненаркотические анальгетики, которые при наличии спастических дискинезий дополняют миотропными спазмолитиками. При интенсивном болевом синдроме показана эпидуральная блокада, введение наркотиков.КТ органов брюшной полости. Панкреатит (в области хвоста поджелудочной железы) с наличием отека ее паренхимы, жидкостного содержимого вблизи ее края, на фоне утолщение фасции Героты слева• Исследование панкреатических ферментов в крови. Повышение уровня альфа-амилазы в 3-4 раза (при норме до 50 Ед/л) в первые сутки указывает на острый процесс или обострение хронического воспаления. С 4 суток проводят измерение уровня липазы — диагностически значимо двукратное увеличение показателя.Классическими симптомами острого панкреатита является триада Мондора — вздутие живота, сильная, внезапная боль, которая может привести к потере сознания, и многократная рвота, не приносящая облегчения. Кроме того, общее состояние пациента обычно быстро ухудшается с такими отличительными признаками, как тахикардия, снижение артериального давления, повышенная потливость и бледность кожи.• Особенности клинического течения. Хронический панкреатит бывает редко и часто рецидивирующим. При постоянном наличии симптоматики говорят о персистирующем течении заболевания.
При панкреатите причиной обычно является избыточная выработка таких ферментов, как фосфолипаза А-2, липаза, эластаза, химотрипсиноген, трипсиноген, что приводит к аутолизу (саморазрушению) ткани поджелудочной железы. Это усугубляется либо функциональным спазмом сфинктера Одди, либо механической обструкцией большого дуоденального сосочка, что приводит к усилению внутрипротоковой гипертензии. Затем ферменты начинают разрушать железу, что приводит к микроциркуляторным нарушениям и отеку.Воспалительное поражение поджелудочной железы может иметь различное этиологическое происхождение. Специалисты в сфере клинической гастроэнтерологии выделяют несколько групп провоцирующих факторов, под влиянием которых развивается острое или хроническое воспаление органа. Возможными причинами панкреатита считаются:
• Камни поджелудочной железы• Симптомы• Лечение острого панкреатита• Патогенез• Препарат Креон ® при остром панкреатите
• Распространенные причины острого панкреатита 1 :• Прогноз и профилактика
• Классификация
Содержаниевиды:
необходимости постоянно на
диагностируются у маленьких
то, что после них • киста поджелудочной железы.
• рак поджелудочной,
в общих чертах, классификация заболеваний поджелудочной – человека беспокоит сильная
Панкреонекроз
без исключения поражают сказывается на работе в организме – вырабатывает пищеварительные ферменты органа и избежать здоровья больного. Очень важно вовремя излишним нагрузкам, виной чему является ответственной за синтез
Строгость диеты зависит от болезни поджелудочной железы. В остром периоде назначается голод в течение трех-пяти дней, при истощении используется парентеральное и специальное энтеральное питание.• мороженое;• алкоголь;Анализ кала проводится для оценки дефицита выработки ферментов, исследуется наличие непереваренной пищи, жира, некоторых ферментов (панкреатическая эластаза).• усиленное слюноотделение;Панкреолитиаз – образование камней в протоках поджелудочной железы. Часто камни образуются, если есть киста или опухоль, это одно из осложнений хронического панкреатита. Происходят застойные процессы в органе, секрет поджелудочной железы сгущается, белок выпадает в осадок. Протоки расширяются, давление в них повышается, появляются симптомы панкреатита.Лечение хирургическое или химиотерапевтическое.Длительность лечения зависит от формы и осложнений заболевания, от восприимчивости организма к терапии.Терапия острого панкреатита должна проходить в стационаре. Первая помощь – необходимо приложить мешок со льдом к левому подреберью, исключить употребление любой еды.Хронический панкреатит может быть бессимптомным либо сопровождаться монотонной болью в верхних отделах живота, часто опоясывающей, разной интенсивности. Паренхиматозная ткань поджелудочной железы замещается на фиброзную, изменения не обратимые.
Заболевания поджелудочной железы обычно начинаются с панкреатита. Симптомы заболеваний похожи.• панкреолитиаз;
• эндокринная функция — выработка гормона инсулина и глюкагона, функция которых регулировать метаболизм углеводов;Прогноз при остром панкреатите варьируется в зависимости от формы заболевания, эффективности лечения и осложнений. Как правило, легкий панкреатит имеет благоприятный исход, но некротический и геморрагический панкреатит часто приводит к летальному исходу. Неудачи в лечении или другие отклонения от предписаний врача могут привести к хроническим обострениям или полноценному хроническому панкреатиту.• участков панкреатического некроза, кист, абсцессов.• антибиотикотерапия (препараты широкого спектра действия в больших дозировках) в качестве профилактики инфекционных осложнений.• новокаиновая блокада и спазмолитики для снятия выраженного болевого синдрома;• острым желудочно-кишечным кровотечением (кровоточащая язва желудка и 12п. кишки, кровотечение из варикозных вен пищевода, кишечное кровотечение);• Инструментальные методы. Визуальное исследование поджелудочной железы и близлежащих органов (УЗИ, КТ, МРТ) позволяет выявить патологические изменения паренхимы, увеличение органа в объеме, обнаружить абсцессы, кисты, наличие камней в желчных протоках.Опасность острого панкреатита высока из-за тяжелых последствий, которые он может вызвать. Если бактерии из тонкого кишечника инфицируют ткани, могут образоваться некроз и абсцессы. Без своевременного лечения, включая хирургическое вмешательство в некоторых случаях, это состояние может привести к летальному исходу.• Болевой синдром. Боль может локализоваться в эпигастрии, левом подреберье, носить опоясывающий характер, иррадиировать под левую лопатку. Боль носит выраженный постоянный характер, в положении лежа на спине усиливается. Усиление боли происходит и после приема пищи, особенно – жирной, острой, жареной, алкоголя.• панкреатическим некрозом с возможным инфицированием тканей (возникает ограниченная или разлитая зона отмирающей паренхимы и перипанкреатических тканей, при присоединении инфекции и развитием гнойного панкреатита повышается вероятность летального исхода);Острый панкреатит классифицируется по степени тяжести:• прием эстрогенов, кортикостероидов, тиазидных диуретиков, азатиоприна, других лекарственных средств с выраженным патологическим действием на поджелудочную железу (медикаментозный панкреатит);
• злоупотребление алкоголем, вредные пищевые привычки (жирная, острая пища);Острый панкреатитПрепарат Креон ® при остром панкреатите• томатная паста, соусы;• бобовые в любом виде;Цель лечебного питания — снизить нагрузку с воспаленной поджелудочной железы и всего пищеварительного тракта, а также постепенно восстановить нарушенные функции.• антибиотиков для профилактики присоединения вторичной инфекции.
Киста поджелудочной
Лечение острого панкреатита• УЗИ органов брюшной полости;Механизм развития заболевания можно объяснить следующим образом: В норме пищеварительные ферменты, вырабатываемые поджелудочной железой, активизируются только тогда, когда они достигают желудка. Однако при наличии определенных предрасполагающих факторов эта секреторная функция органа нарушается, и ферменты становятся активными в самой поджелудочной железе. Проще говоря, это означает, что орган начинает разрушать сам себя, что приводит к воспалению.• хирургические операции на поджелудочной железе и рядом расположенных органов;Причины острого панкреатита• скачки артериального давления;Основные симптомы острого панкреатита 1 :Острый панкреатит: особенности течения болезни, диета и лечение
• Антибиотики. Используются преимущественно при остром воспалительном процессе для купирования и профилактики инфекционных осложнений. Наиболее эффективны фторхинолоны в комбинации с нитроимидазолами, карбапенемы, цефалоспорины 3-4 поколения.Выбор терапевтической тактики определяется формой заболевания. Пациентам с острым процессом рекомендована госпитализация, функциональный покой органа (голодание, энтеральное зондовое или парентеральное питание). При хроническом воспалении необходима коррекция рациона с исключением спиртного, ограничением жиров и углеводов. Ведущей является консервативная медикаментозная терапия, которая с учетом клиники панкреатита может включать:• ЭРХПГ. Ретроградная холангиопанкреатография имеет высокую диагностическую ценность при подозрении на билиарный панкреатит, дает возможность оценить состояние сфинктера Одди, обнаружить белковые «пробки», конкременты и стриктуры протоков.
Постановка диагноза панкреатита может быть затруднена, поскольку клиническая картина часто имитирует патологию других отделов ЖКТ. Заподозрить заболевание можно при выявлении характерных физикальных симптомов. Наиболее информативными инструментальными и лабораторными исследованиями являются:Проявления патологии зависят от варианта течения и наличия сопутствующих заболеваний ЖКТ. При билиарном панкреатите преобладает болевой синдром в верхних отделах живота без четкой локализации, боль может иррадиировать в лопатку, плечо и околосердечную область. Болевые приступы развиваются после злоупотребления жирной или жареной пищей, приема газированных напитков, которые вызывают спазм сфинктера Одди. При сопутствующей ЖКБ в период обострения наблюдается желтуха.• Ведущая симптоматика. Различают болевую, гипосекреторную, астено-невротическую (ипохондрическую) формы панкреатита. При наличии нескольких симптомов диагностируют сочетанный вариант, при их малой выраженности — латентный.Группа риска включает больных сахарным диабетом, гиперпаратиреозом и другими формами гиперкальциемии, вирусными гепатитами В и С, эпидемическим паротитом, глистными инвазиями. В отдельных случаях встречается панкреатит при беременности, трансплантации почек, ишемическом повреждении панкреатических тканей при шоке, эмболии артерий. При развитии патологического состояния в ответ на действие конкретного фактора (заболевания ЖКТ, травмы и др.) панкреатит называют реактивным. В 20-30% случаев причины остаются неустановленными (идиопатическое заболевание), не исключена роль отягощенной наследственности.Причины панкреатита• Кисты поджелудочной железы• Заболевания поджелудочной железы• Диагностика• Причины• Диета при остром панкреатите• Причины острого панкреатита• Лечение панкреатита
• ПатогенезПанкреатит — это воспаление поджелудочной железы, которое может быть острым или хроническим. Его основные симптомы включают резкую боль в левой части живота, несварение, вздутие живота и общее ослабление состояния организма. Диагностические исследования включают анализы крови, УЗИ, МРТ и КТ в сочетании с ИФА, ЭРХПГ и лапароскопией. В зависимости от тяжести случая, лечение может состоять из инфузий и антисекреторных препаратов в сочетании с заместительной ферментной терапией и антибиотиками. При необходимости может быть проведено хирургическое вмешательство, такое как некрэктомия поджелудочной железы, оментобурсостомия и удаление кист.поджелудочной железы. Он имеет следующие к инвалидности и допускать прогрессирования патологий, особенно если они процесс. Но самое страшное • панкреонекроз,панкреатит,И если говорить
типу острого панкреатита
поджелудочной железы, но учитывая то, что они все
выходит из строя, это негативным образом
сразу несколько функций
сохранить функциональность этого
серьезную угрозу для она часто подвергается переваривания пищи, а также является • виноград, бананы.• шоколад;Пища должна приниматься в теплом виде. Необходимо исключить колбасные изделия, копчености, жирное, жареное, консервированные, маринованные продукты.Биохимический анализ крови исследует уровень панкреатических ферментов (амилаза, липаза), глюкоза в крови, функциональные пробы печени.• сахарный диабет;Камни поджелудочной железы
Симптоматика рака зависит от части железы, которая поражается. Если поражена головка железы, то может развиться желтуха, т.к. происходит сдавливание желчного протока. Появляется кожный зуд. При поражении тела и хвоста развивается сахарный диабет, варикозное расширение вен пищевода и желудка, риск кровотечения.Хирургическое лечение выполняется при невозможности терапии лекарственными препаратами или толерантности организма к их действию.Лечение воспаления поджелудочной железыБоль имеет приступообразный и постоянный характер, может отдавать под лопатки и спину, усиливается после приемов еды, приема алкоголя, при переедании.• панкреатогенный сахарный диабет.• панкреонекроз;• выработка ферментов для переваривания пищи;Прогноз и профилактика• скоплений жидкости в железе или вокруг нее;• дезинтоксикационная терапия;
Диагностика
Терапевтические меры:• острой кишечной непроходимостью;• Биохимия мочи. Проводят определение концентрации ферментов в моче. При диагностировании острого панкреатита берут биохимический анализ мочи и определяют активность амилазы мочи.Кроме того, острый панкреатит может сопровождаться диспепсическими симптомами (метеоризм, изжога), кожными проявлениями (синюшные пятна на теле, кровоизлияния в области пупка).Характерные симптомы острого панкреатита.• острым скоплением жидкости внутри железы либо в околопанкреатическом пространстве, которые могут не иметь грануляционных или фиброзных стенок;При остром панкреатите патологические процессы могут распространяться на близлежащие ткани, такие как забрюшинная клетчатка, сальник, брюшина, брыжейка кишечника и связки двенадцатиперстной кишки. При тяжелой форме острого панкреатита происходит резкий скачок различных биологически активных веществ в крови, что приводит к общим нарушениям жизненных функций и вызывает вторичное воспаление и дистрофические нарушения в таких органах, как легкие, печень, почки и сердце.• хирургические вмешательства по поводу других патологий поджелудочной железы и желчевыводящих путей;Факторы, способствующие возникновению острого панкреатита:
Дозировку и курс терапии, как правило, определяет врач. В соответствии с российскими рекомендациями по лечению ферментной недостаточности оптимальной стартовой дозировкой для качественного лечения является 25000 ЕД, но может быть и больше 3 . Бояться большой цифры не стоит. Поджелудочная железа человека, ответственная за выработку ферментов, выделяет до 720 000 единиц липазы при каждом приеме пищи 4 . Поэтому препарат Креон ® лишь поддерживает собственное пищеварение, помогая справляться с неприятными симптомами. Подробнее о препарате можно узнать здесь.Блюда рекомендуется готовить на пару или отваривать. Пища должна быть теплой, но не горячей или холодной. Ограничения касаются не только жирных и жареных блюд, но и специй, сахара и соли. Противопоказано даже незначительное переедание, которое может приводить к нарушению пищеварения и ухудшению самочувствия больного.• субпродукты;
• грубые крупы (перловая, пшенная, ячменная);
Первые сутки после обострения острого панкреатита врачи рекомендуют придерживаться лечебного голодания. Разрешается употреблять простую и щелочную минеральную воду без газа, отвары лекарственных трав, кисели. Суточный объем жидкости составляет 1,5-2 литра. При остром панкреатите назначают диету №5, но меню должен подобрать специалист.
• миотропных спазмолитиков;
Важными методами являются УЗИ, МРТ и КТ, с помощью которых врач может определить размер поджелудочной железы, ее контуры, особенности структуры. Ультразвуковое исследование используют для первичной диагностики, определения границ воспаления и выявления новообразований.
• лабораторные исследования мочи, крови, кала;
• прием лекарственных препаратов, которые могут оказывать токсическое действие на ткани поджелудочной железы.• желчнокаменная болезнь;
При остром панкреатите начало болевого приступа часто сопровождается ростом артериального давления. Но бывает и так, что, повысившись, давление резко падает, пациент бледнеет, у него возникает сильная слабость, проступает холодный пот. Такие симптомы могут говорить о развитии шокового состояния, которое требует безотлагательной врачебной помощи.• жидкий стул;
Симптомы острого панкреатита зависят от того, в какой форме – легкой или тяжелой – протекает заболевание. Панкреатит легкой формы сопровождается умеренной болью и невысоким риском развития осложнений. Тяжелая форма воспаления чревата гибелью тканей поджелудочной железы, что может привести к формированию абсцессов и развитию гнойного панкреатита 1 .1. Гастроэнтерология и гепатология: диагностика и лечение/ под ред. Калинина А.В. и Хазанова А.И. – 2007.
• Ферменты поджелудочной железы. Заместительная терапия рекомендована при хроническом варианте панкреатита. Назначение комплекса панкреатических энзимов направлено на улучшение процессов переваривания и всасывания питательных веществ в кишечнике.Лечение панкреатита• Томография. МРТ поджелудочной железы считается «золотым стандартом» диагностики болезней ПЖ. Метод позволяет четко визуализировать паренхиму, оценить структуру кист и некротических участков. КТ с внутривенным контрастированием проводится для изучения секвестров и зон некроза.
Диагностика панкреатитовСимптомы панкреатита• Морфологические признаки. Учитываются гистологические изменения в органе. Процесс может быть интерстициально-отечным, паренхиматозным, индуративным (фиброзно-склеротическим), псевдотуморозным (гиперпластическим), кистозным.• Ятрогении. В 4-5% случаев провоцирующим фактором становится нарушение техники ретроградной холангиопанкреатографии и абдоминальных операций. Токсическое воспалительное поражение панкреатической паренхимы возможно при приеме ингибиторов АПФ, петлевых диуретиков, цитостатиков и препаратов, содержащих серу (медикаментозный панкреатит).Панкреатит охватывает группу воспалительных острых и хронических заболеваний, поражающих поджелудочную железу (ПЖ). За последние 3 десятилетия его распространенность увеличилась более чем в два раза, и в настоящее время он все чаще поражает молодое поколение. По оценкам, острый панкреатит встречается у 0,0175-0,0734% населения, а хронический панкреатит — у 0,4-5%. Женщины гораздо чаще страдают от острой формы, в то время как у мужчин заболеваемость хронической формой в два раза выше. Любители алкогольных напитков и те, кто страдает заболеваниями желчевыводящих путей, относятся к группе повышенного риска по развитию панкреатита. При отсутствии своевременной диагностики его осложнения могут быть опасны для жизни, поэтому ранняя диагностика крайне важна.• Опухоли поджелудочной железы• Прогноз и профилактика• Осложнения• Общие сведения
