Причины фиброза легких
• ФВД (спирометрия).• аллергии, не подающиеся лечению;нарушения дыхательной функции;Рубцовая ткань необратимо меняет состояние легких. Она постепенно разрастается, все больше сказываясь на здоровье. Со временем фиброз может приводить к стойкой утрате трудоспособности и даже к летальному исходу. Но современные методы лечения позволяют замедлить прогрессирование заболевания и улучшить качество жизни людей с фиброзом. При выраженной дыхательной недостаточности возможно выполнение трансплантации — пересадки легкого., • Общий анализ крови, биохимический анализ крови, общий анализ мочи.• хронические воспалительные заболевания;аритмия, тахикардия, брадикардия;Заместитель главного врача по лечебной части клиники «Медгород», врач-терапевт, пульмонолог, к.м.н., грудной клетки.
Заболевание делят на два основных типа: интерстициальный и идиопатический. Вызывают их различные причины. Идиопатический фиброз легких считается самой загадочной формой болезни. Ученые до сих пор не могут выяснить, что его провоцирует. Есть предположение, что он вызывается недостатком полноценного здорового сна. Интерстициальная же форма недуга возникает из-за следующих основных причин:
нарушения артериального давления (гипертония или гипотония);
эксперт,
клетки, либо Ro органов
Причины фиброза легких
Какой врач лечит фиброз легких?
астенический синдром (даже привычная физическая нагрузка становится невыносимой);«Когда только началась пандемия COVID-19, нас всех пугали фиброзом после ковидной пневмонии, после которого жизнь уже не будет прежней. Хорошие новости — это не так. И я, и мои коллеги видим, что фиброзные изменения действительно есть, но их количество незначительно и они никак не влияют на функцию легких. Бывает, что причина одышки после ковида — в сохраняющемся бронхоспазме, и тогда ингаляционные гормоны и расширяющие бронхи препараты отлично помогают с этой проблемой справиться»., • КТ органов грудной Информацию из данного раздела нельзя использовать для самодиагностики и самолечения. В случае боли или иного обострения заболевания диагностические исследования должен назначать только лечащий врач. Для постановки диагноза и правильного назначения лечения следует обратиться к профильному специалисту.ухудшение памяти, когнитивные нарушения (трудно сосредоточиться);Фиброз после ковида не влияет на легкиесайтов: причины подобного состояния. Данное обследование включает:Заболевание может быть как одно-, так и двусторонним. Недуг нельзя оставлять без внимания, ведь в запущенной стадии он может спровоцировать серьезные осложнения.постоянная слабость, усталость;
Легочный фиброз может развиться у людей в любом возрасте. Но чаще он встречается у мужчин старше 50 лет, входящих в группу риска из-за работы на вредных производствах и курения.
Информация получена с
пройти обследование, которое позволит уточнить
• Цирроз легких. Об этой стадии говорят, когда происходит полное замещение тканей. При этом также повреждаются сосуды легкого.
бессонница или избыточная сонливость;
Рисунок 1. Фиброз легких. Источник: МедПортал
перенесенной вирусной пневмонии.пульсоксиметром, то вам необходимо
• Пневмосклероз. При этой форме патологическим изменениям подвергается большая часть легочной ткани.
Медицина пока ещё не изучила все отдалённые последствия коронавирусной инфекцииCOVID-19. Врачи называют несколько наиболее распространённых последствий, требующих качественной реабилитации:
Грубые рубцовые волокна обладают низкой эластичностью (рис. 1). Они сдавливают бронхи, нарушают способность легких растягиваться при вдохе и сжиматься при выдохе. В результате этого нарушается дыхательная функция легких — процесс прохождения через альвеолярные стенки углекислого газа и кислорода.
свои легкие после
одышку, фиксируете низкую сатурацию
• Пневмофиброз. При этой форме заболевания соединительная ткань в умеренной степени чередуется с неизмененной легочной.
Неприятные ощущения и осложнения, возникшие после коронавируса, называются постковидным синдромом.
Легкие человека состоят из миллионов альвеол — микроскопических пузырьков, в которых происходит обмен кислорода и углекислого газа между кровью и внешней средой. Их стенки образованы интерстициальной тканью. Длительные воспалительные заболевания могут приводить к необратимым изменениям в ней в виде фиброза — образования рубцов из соединительной ткани.оценить то, насколько вы восстановили
пневмонии вы отмечаете
Фиброз делят по степени распространенности патологических изменений на несколько стадий:
Врачи, работающие в инфекционных больницах, утверждают, что ни один из тех, кто переболел коронавирусом в тяжёлой форме, не выходит из больницы абсолютно здоровым человеком. Эта болезнь не проходит без последствий, причём чувство лёгкого недомогания может сохраняться на протяжении многих недель и даже месяцев.

Воспаление легких — заболевание опасное, с ним ни в коем случае нельзя шутить. Ведь если болезнь затронула межклеточную соединительную ткань, в легких могут образоваться рубцы, это и есть фиброз. Рубцовая ткань хуже растягивается, и легким становится сложнее выполнять свои функции, поэтому до фиброза лучше дело не доводить. Если же он возник, лечить его придется довольно долго.полгода вы сможете
Если после перенесенной Заболевание, при котором происходит замещение легочной ткани соединительной, носит название фиброз легких. Этот недуг вызывает серьезные сбои дыхательной функции. При этом у больного происходит растяжение легочных тканей, из-за чего снижается их эластичность. Заболевание вызывает необратимые патологические изменения, которые сильно влияют на качество жизни человека. Полностью избавиться от проблемы невозможно, так как соединительная фиброзная ткань не регенерируется в обычную. Однако можно приостановить развитие заболевания, что выполняется с помощью современных методик вполне успешно.Последствия ковида
Все представленные на сайте материалы предназначены исключительно для образовательных целей и не предназначены для медицинских консультаций, диагностики или лечения. Администрация сайта, редакторы и авторы статей не несут ответственности за любые последствия и убытки, которые могут возникнуть при использовании материалов сайта.и именно через
и предлагаем остановиться.Если вы постоянно ощущаете одышку, нехватку воздуха и дискомфорт в груди, необходимо обратиться к пульмонологу (врачу, специализирующемуся в лечении болезней легких) или вашему участковому терапевту, который направит вас на консультацию к специалисту. Диагностировать фиброз можно лишь после проведения рентгеновского исследования.Поскольку болезнь ещё недостаточно изучена, врачи ещё не до конца выяснили влияние вирусаCOVID-19 на человека. Поэтому медицина пока ещё не может давать точные прогнозы и устанавливать точные сроки, в течение которых организм может восстановиться.Согласно статистическим данным, такое мероприятие позволяет сохранить жизнь пациентам и заметно повысить ее качество.паники. Пройдет две недели, пройдет месяц, а затем полгода реабилитацию, на которой мы Как понять, что у тебя фиброз легких?Если человек переболел коронавирусом в лёгкой или среднетяжёлой форме, восстановление займёт около 1 месяца. После тяжёлой формы болезни (особенно с осложнениями) пациенту придётся восстанавливаться в течение 6 месяцев и даже дольше (вплоть до 1 года). Нередко ковид приводит к инвалидности.Развитие витальных осложнений.должно быть никакой
Лечение фиброза легких
пневмонии необходимо проходить Рецепты народной медицины во многих случаях превосходно дополняют основной курс лечения фиброза, однако использовать их можно лишь после консультации с лечащим врачом. Среди наиболее популярных средств – отвар анисовых семян (столовую ложку семян заливают стаканом кипятка) и чай из смеси измельченных ягод шиповника с корнем девясила.Сколько времени займёт восстановление после ковидаДекомпенсированная дыхательная недостаточность.у вас не голодания мозга человека. Поэтому после вирусной Как остановить фиброз легких народными средствами?Очень длительное восстановление после коронавируса ожидает тех, кто переболел им в тяжёлой форме. Поражение лёгких при пневмонии или тромбозы требуют специфического лечения. В течение всего восстановительного периода больной должен оставаться под наблюдением врачей.Существенное снижение ЖЕЛ.легких и пневмосклероза
случилось, измененное мышление – это результат кислородного
Разрастание фиброзной ткани приводит к уменьшению рабочего объема легких и снижению количества воздуха, поступающего в организм при вдохе. Человеку недостает кислорода, он начинает задыхаться при ходьбе, а впоследствии и в спокойном состоянии. Легочная недостаточность приводит к развитию легочной гипертензии, эмфиземе легких, кровотечению, пневмотораксу, разрыву легкого. Существенно повышается риск перерождения легочной ткани в злокачественную опухоль.
После тяжёлой вирусной болезни организму необходимо восстановиться и окрепнуть. Этот процесс занимает много времени. Находясь на больничном, нужно оставаться дома, пить много жидкости (желательно тёплый чай с мёдом и лимоном), соблюдать постельный режим и не переутомляться.
При неэффективности консервативных методов лечения, возможно проведение хирургического вмешательства – трансплантации легких. Операция, в виду своей сложности, должна проводиться опытным, высококвалицированным специалистом и по строгим показаниям:После возникшего фиброза ней ничего не Чем опасен фиброз легких для человека?Восстановление после коронавирусаВсе эти медикаменты обладают множеством побочных эффектов и противопоказаний к использованию. Поэтому их прием должен быть обоснован, назначаться и строго контролироваться специалистом.период реабилитации.что-то случилось. При этом с Часто задаваемые вопросыЛегочный фиброз — серьезное хроническое заболевание, которое приводит к развитию дыхательной и сердечной недостаточности, нарушает трудоспособность и даже может стать причиной смерти. Чем раньше начать лечение, тем эффективнее будут его результаты. Поэтому при появлении первых признаков заболеваний органов дыхания важно сразу обращаться к врачу. Современные методы терапии позволяют замедлить дальнейшее рубцевание легких, снижают риск осложнений и улучшают качество жизни пациентов.Антифиброзные препараты (Колхицин).физической активности на собой переглядываются, так как понимают, что с «головой у коллеги» после болезни точно В специальном питании при фиброзе легких нет необходимости. Рацион больного должен быть здоровым и разнообразным, желательно с повышенным содержанием белковых продуктов. Рекомендовано деление суточного количества пищи на небольшие порции, употребляемые через небольшие промежутки времени. Категорически запрещено курение, в том числе пассивное. Пациенту необходимо избегать стрессов и освоить приемы, улучшающие дыхательную функцию.Людям с легочным фиброзом рекомендуют отказ от курения, занятия лечебной физкультурой и закаливающие процедуры. Эти простые меры позволяют не только замедлить прогрессирование болезни, но и снижают риск связанных с ней осложнений.Цитостатические средства (Циклофосфамид, Азатиоприн). Они блокируют деление клеток и тем самым также ингибируют процесс фиброзирования.
риск тромбозов из-за снижения вашей их окружающие между При сильном поражении легочной ткани пациенту в молодом возрасте назначают трансплантацию легких либо хирургическое удаление очага разрастания фиброзной ткани.Люди, которые по роду своей профессиональной деятельности контактируют с токсичными веществами, должны тщательно соблюдать меры безопасности — использовать респираторы, следить за наличием вытяжной вентиляции. Также важно регулярно проходить профилактические осмотры. Если у работника определяют признаки фиброза легкого, его переводят на другое место работы, на котором будет исключен дальнейший контакт с токсичными веществами.Системные глюкокортикостероиды (Дексаметазон, Преднизолон). Согласно результатам научных исследований данные препараты тормозят патологический процесс и препятствуют замещению здоровой ткани легких на соединительную.чулков – они позволят минимизировать жизни. При этом только • заместительную кислородотерапию в медицинском учреждении либо в домашних условиях.
Для снижения риска развития фиброза необходимо своевременно диагностировать и активно лечить воспалительные заболевания дыхательной системы — бронхиты, пневмонии. Снизить риск заболеваемости туберкулезом, гриппом и COVID-19 позволяет вакцинация.
Из медикаментозных средств применяют следующие группы лекарственных препаратов:
(к примеру, того же аспирина) и ношение компрессионных
к обычному образу • регулярную дыхательную гимнастику для улучшение дыхательной функции;Как лечить фиброз легких, когда патологический процесс поразил практически полностью оба легких и у человека развилась тяжелая дыхательная недостаточность? К сожалению, в данной ситуации медикаментозная и клеточная терапия оказываются неэффективными и единственным методом лечения остается трансплантация легкого.
Важным компонентом лечения у пациентов с легочным фиброзом является кислородотерапия. Количество сеансов и продолжительности курса лечения определяет лечащий врач, в зависимости от степени тяжести заболевания.свертываемость крови средств с сатурацией 88-90% и считают, что они вернулись • подавление фиброзных разрастаний при помощи специальных медикаментов – глюкокортикоидов и цитостатиков;Полученную клеточную культуру вводят внутривенно. С током крови собственные стволовые клетки попадают к пораженным участкам легких и начинают заменять рубцовую ткань на нормальную. Это позволяет восстановить структуру легочной ткани и улучшить процесс газообмена.Больным назначается комплекс дыхательных упражнений, способствующих улучшению вентиляции легких и повышению эффективности дыхания.возможность приема снижающих заболевания, многие пациенты ходят
Что если не лечить фиброз легких?
• лечение инфекционного или аутоиммунного легочного заболевания;Экспериментальная методика лечения фиброза легких — клеточная терапия. В костном мозге и крови человека находятся уникальные стволовые клетки. Их главная особенность в том, что они способны делиться и превращаться в клетки любых других тканей, например, кожи, печени, легких. Благодаря этому стволовые клетки лечат повреждения тканей и восстанавливают их. Однако их в организме содержится незначительное количество. Поэтому врачи получают несколько образцов этих клеток из крови или костного мозга пациента, а затем культивируют в специальной питательной среде.Обширный фиброз требует комплексной и продолжительной терапии, как лекарственной, так и немедикаментозной.Также, я рекомендую рассмотреть для реабилитации. Даже после перенесенного • прекращение действия факторов, провоцирующих рост рубцовой ткани – смену рода деятельности или рабочего места, чтобы исключить вредоносное воздействие пыли;• «Насос». Исходное положение: стоя, ноги на ширине плеч. Наклонитесь вперед, делая шумный глубокий вдох, а затем вернитесь в исходное положение, делая медленный шумный выдох. Чтобы было легче выполнить это упражнение, представьте, что вы работаете насосом и перекачиваете воздух из одной емкости в другую.Очаговый легочный фиброз, поражающий незначительный участок ткани, может никак себя не проявлять и случайно обнаруживаться во время профилактических медицинских осмотров. В такой ситуации патология не требует лечения. Пациентам рекомендуют регулярное динамическое наблюдение и устранение факторов риска прогрессирования заболевания.пневмосклероза – это:любом магазине, где есть товары В целом, лечение фиброза включает:
• «Погончики». Исходное положение: сидя, спина выпрямлена, руки согнуты в локтях, ладони лежат на плечах. Сделайте вдох, и в этот момент резко опустите руки вниз, с силой распрямляя пальцы. На выдохе вернитесь в исходное положение.
Как лечить фиброз легких
реабилитации после возникшего
с помощью пульсоксиметра, который продается в
В настоящее время не существует методов лечения фиброза легких, которые приводили бы к восстановлению легочной ткани в полном либо даже частичном объеме. Задачей врача становится определение причины, вызывающей разрастание соединительной ткани, и прекращение этого процесса. Определенные успехи в этом направлении уже достигнуты. В случаях, когда фиброз является следствием воспалительного либо аутоиммунного процесса, терапия устраняет воспалительный процесс, и разрастание фиброзной ткани прекращается.• «Ладошки». Исходное положение: сидя, спина выпрямлена, руки согнуты в локтях, ладони повернуты к себе. Сожмите ладони, и в этот момент сделайте шумный резкий вдох. При расслаблении ладоней делайте выдох.Компьютерная и магнитно-резонансная томография. Как и предыдущий метод, позволяют выявить структурные изменения легких. Однако с их помощью можно провести более детальную и четкую оценку патологического процесса.будет необходимо для сатурации (насыщения крови кислородом). Оценить сатурацию можно Современные методы лечения
Продолжительность жизни при фиброзе легких
Хороший эффект при фиброзе легких оказывает дыхательная гимнастика по методике А. Н. Стрельниковой. Она включает в себя три основных упражнения:Обзорная рентгенография органов грудной клетки, как минимум в двух проекциях. На снимке врач выявляет деформацию и усиление легочного рисунка, особенно в нижних отделах.не будет нужно. Все что вам отмечается снижение уровня При необходимости может быть проведена биопсия легочной ткани.Дыхательная гимнастика: упражненияСпирография. Данный метод исследования позволяет оценить пиковую скорость выдоха воздуха, а также жизненную емкость легких.приступами бронхиальной астмы, либо ХОБЛ – никаких лекарств вам одышки, хотя при этом
Общая информация
• тест шестиминутной ходьбы для определения изменений, происходящих в организме при физической нагрузке.• улучшить физическую форму и качество жизни.
Краткое описание
Общий анализ мочи.
заболевания не страдали
пациентов не ощущает
• спирометрию и определение диффузионной способности легких пациента;
• увеличить подвижность грудной клетки;
Эпидемиология
Общий и биохимический анализы крови.
Если вы до вирусных пневмоний, так как большинство
• оксиметрию для определения количества кислорода в артериальной крови;
• повысить уровень кислорода в крови;
Факторы и группы риска
Для подтверждения диагноза специалист назначает ряд лабораторных и инструментальных исследований, а именно:
легкие.
покое. «Чумка» отличается от других
• флюорографию в качестве скринингового метода для быстрого выявления болезни; легких для уточнения диагноза; высокого разрешения, чтобы уточнить распространенность фиброзных изменений, характера и динамики процесса; на содержание кислорода и углекислоты;
• уменьшить напряжение и укрепить дыхательные мышцы;
Диагностика фиброза легких начинается со сбора жалоб, изучения анамнеза и объективного осмотра пациента. Важно выявить наличие хронических заболеваний, которые могут спровоцировать развитие данной патологии, а также обратить внимание на типичные клинические проявления.
кровь через сами
при физической нагрузке, так и в
Чтобы выявить легочный фиброз, врач назначает ряд исследований:
• овладеть техникой правильного дыхания с более полным выдохом;
Cимптомы, течение
Диагностические мероприятия
сердце плохо перекачивает
имеется одышка как
Диагностические методы
Говоря о том, как остановить фиброз легких, следует подчеркнуть и важную роль регулярной физической активности. Занятия лечебной физкультурой помогают:
На пике развития заболевания возникает сердечная недостаточность, проявляющаяся периферическими отеками, сердцебиением, аритмией, пульсацией шейных вен, тяжелой одышкой в состоянии покоя.
уже не из-за проблем легких, а из-за того что
незначительные, а у части
Перечисленные признаки могут говорить и о других, не менее серьезных заболеваниях, поэтому при их появлении необходимо обратиться к врачу и пройти обследование своего состояния.
Диагностика
При выраженной дыхательной недостаточности, когда уровень кислорода в крови значительно снижается, улучшить состояние позволяет оксигенотерапия — дыхание увлажненным медицинским кислородом.
У пациентов, длительно страдающих фиброзом легких, происходит изменение формы ногтей, которые становятся похожи на «часовые стекла» и концевых фаланг пальцев по типу «барабанных палочек».

(гипертрофию) с последующей одышкой
остаточных явлений, у других они
• проблемах с деятельностью сердца и сосудов из-зав недостатка кислорода, поступающего в сердечную мышцу.
В последние годы в лечении фиброза легких стали использовать лекарственные препараты с антифибротическим действием — нинтеданиб, пирфенидон. Их применение замедляет скорость прогрессирования заболевания, снижает риск развития осложнений и позволяет длительное время сохранять качество жизни на должном уровне. Результаты исследований показали, что применение нинтеданиба у людей с интерстициальным фиброзом легких снижает риск осложнений на 47%, а риск летального исхода — на 30%. 4
У части пациентов отмечается сухой или влажный, малопродуктивный кашель. Во втором случае обнаруживается скудное количество вязкой слизистой мокроты. Появление гнойного отделяемого говорит о присоединении вторичной бактериальной инфекции.
правых отделов сердца
для всех разные. У одних нет
• утомляемости, связанной с недостаточным снабжением тканей кислородом;
Во время обострения коротким курсом применяют кортикостероидные гормоны — дексаметазон, преднизолон. Они позволяют быстро подавить активность воспаления, уменьшают отек слизистой оболочки бронхов. Но их назначение должно проводиться только врачом при наличии четких показаний, так как лекарства этой группы, особенно в высоких дозировках, могут дополнительно способствовать образованию рубцовой ткани.
Затем к вышеперечисленным жалобам присоединяется одышка. В начале она беспокоит больного только во время физических нагрузок, но по мере прогрессирования патологии начинает возникать и в покое.
миокарда, то увеличение размеров
клинике). Последствия вирусной пневмонии
• появлении характерных утолщений на последних фалангах пальцев и изменении формы ногтевых пластин;
При обострениях хронического бронхита и воспаления легких назначают антимикробные средства — антибиотики, сульфаниламиды. Для разжижения и улучшения отхождения мокроты применяют муколитические, отхаркивающие и бронхолитические препараты. Если есть показания, выполняют лечебные бронхоскопии, во время которых «промывают бронхи» от скопившегося в них вязкого секрета.
На начальном этапе заболевание проявляется общей слабостью и повышенной утомляемостью. У пациентов отмечается бледность кожи с синюшным оттенком, особенно в области носогубного треугольника, носа и на конечностях. Многие больные отмечают сонливость днем и бессонницу ночью, а также немотивированное снижение веса.
«тренировками» — вы рискуете получить, если не инфаркт
называем в нашей
• цианозе (синюшности кожи) из-за хронического недостатка кислорода в тканях;
При фиброзе легких лечение назначает врач-пульмонолог. Показаниями к госпитализации могут стать обострение воспалительного процесса или развитие осложнений. В остальных случаях терапия проводится амбулаторно. Она должна быть комплексной, длительной и с обязательным упором на устранение причины, которая вызвала развитие заболевания.
Симптомы фиброза легких
будете себя мучить
после распространения COVID-2019 («чумки» — так мы ее
• распирающих болях в грудной клетке, которые возникают из-за нарушения эластичности легких и увеличении их объема;
Лечение фиброза легких
Также выделяют идиопатический фиброз легких, когда установить причину патологического процесса не удается.
защиты сердца вы
вирусной пневмонии улетучились
• кашле, который на начальной стадии возникает редко и остается сухим, а затем учащается, и к нему добавляется выделение мокроты;
• Гистологический анализ с целью определения стадии заболевания. Для его выполнения проводят биопсию — забор небольшого участка ткани легких во время бронхоскопии или хирургического вмешательства.
Вредные производственные факторы (асбест, силикаты и так далее).
выше поддержки и
Сомнения о существовании
• одышке, которая вначале возникает только после увеличения физической активности и постепенно становится хронической;

• Спирометрию — диагностический метод, который помогает исследовать функциональную способность легких. У людей с фиброзом в ходе теста определяют снижение максимального объема легких — жизненной емкости, а также показателей проходимости бронхов.
Васкулиты различного генеза.
физические нагрузки. Если без отмеченной
бывает.
На ранней стадии процесс замещения легочной ткани рубцовыми образованиями заметить практически невозможно, поскольку этот процесс протекает бессимптомно и до определенного момента не доставляет пациенту дискомфорта. Характерные симптомы фиброза легких появляются после того, как процесс охватывает существенную часть легких, из-за чего становится заметным снижение дыхательной функции, выражающееся в: | • Бронхоскопию — осмотр слизистых оболочек трахеи и бронхов при помощи бронхоскопа. Метод позволяет выявить признаки хронического бронхита, расширения крупных бронхов — бронхоэктазов. Во время процедуры через трубку бронхоскопа в бронхи вводят немного жидкости, а затем собирают ее и передают в лабораторию для цитологического исследования. Анализ клеток в смывных водах с бронхов позволяет оценить степень активности воспалительного процесса и уточнить его причину. | Прием ряда лекарственных препаратов (цитостатики, антиаритмические средства). |
увеличение способности переносить пневмониях никогда не Как распознать заболевание Для подтверждения диагноза и проведения дифференциальной диагностики пациентам с фиброзом легких назначают другие методы исследования: | Системные заболевания соединительной ткани (склеродермия, СКВ, ревматоидный артрит). улучшение самочувствия и легких при бактериальных | В тех случаях, когда установить заболевание, вызвавшее рост соединительной ткани в легких, не удается, медики говорят об идиопатическом легочном фиброзе. «Сотовое» легкое. Источник: Respiratory research / Open-i (Attribution 2.0 Generic) Болезни дыхательной системы (ХОБЛ, пневмония, туберкулез). отметите постепенное значительное различных участков обоих • хроническая цитомегаловирусная инфекция. Достоверно определить фиброзные изменения в легочной ткани и оценить их распространенность позволяет компьютерная томография. На томограммах признаками фиброза может быть усиление легочного рисунка, а также уменьшение размеров пораженной доли или всего легкого. Легочные поля нижних отделов легких на финальных стадиях заболевания на снимках выглядят как «пористая губка» или «соты». |
Выделяют множество причин развития легочного фиброза. К ним относятся:

оттеснят участки фиброза, и вы сами
одной доли легкого, нескольких долей легкого, либо всего легкого, но одномоментного поражения
• длительный прием некоторых лекарственных препаратов;
При первичном обследовании врач собирает сведения о жизни и особенностях трудовой деятельности пациента, начале и течении заболевания, уточняет жалобы. При прослушивании легких при фонендоскопом над очагом поражения специалист определяет ослабленное дыхание и хрипы, которые напоминают по своему звучанию треск целлофана. При простукивании грудной клетки в области фиброзных изменений звук становится тихим или тупым, так как в этой области воздушность легкого снижена.
Причины развития патологии
кровоток, и они попросту

системой в рамках
• лучевая терапия, проводимая для лечения онкозаболевания;
Фиброз куда легче предотвратить, чем лечить. Но если он уже возник, очень важно диагностировать его на самых ранних стадиях, когда можно ожидать лучшего эффекта от терапии. Однако это бывает затруднительно, так как симптомы фиброза схожи с признаками некоторых других заболеваний легких и сердечно-сосудистой системы.
• Продолжительность жизни при фиброзе легких
участки легких расширятся, в них увеличится
всегда ограничиваются иммунной
• заболевание другого внутреннего органа или системы организма, связанное с образованием рубцовых тканей;
• стойкие головные боли.
• Что если не лечить фиброз легких?
легкие (малый круг кровообращения)». Постепенно оставшиеся здоровые
от бактериальных, так как последние
• восстановление организма после перенесенной хирургической операции на легких, протекающее с избыточным образованием фиброзной ткани;
• выраженное головокружение;
• Лечение фиброза легких
«перегонку крови через
отличает вирусные пневмонии
• системная аутоиммунная болезнь;
• шум в голове;
• Какой врач лечит фиброз легких?
отделов (правого предсердия, правого желудочка), которое отвечает за

(полисегментарное) поражение обеих легких. Именно эта особенность
• васкулит – воспаление стенки легочных сосудов;
• повышенную сонливость;
• Причины фиброза легких
перегрузки его правых
нее характерно множественное
• аллергическое заболевание легких, связанное с вдыханием воздуха, содержащего частицы антигенов; • безразличие к окружающему; |
• Фиброз легких свое сердце от существует и для • саркоидоз легких; На финальных стадиях заболевания у людей с легочным фиброзом появляются выраженные отеки, увеличивается размер печени, уменьшается количество отделяемой мочи, развиваются необратимые изменения межреберных мышц — атрофия, а также выраженная деформация грудной клетки. Происходит нарушение газового состава крови — уменьшение уровня в ней кислорода и увеличение углекислого газа, что провоцирует неврологические симптомы: |
• Часто задаваемые вопросы
одышки вы защитите
стало ясно, что вирусная пневмония
Осложнения
• профессиональное заболевание, связанное с попаданием в легкие частиц пыли или агрессивного газа;
У людей с легочным сердцем на третьей стадии отмечается склонность к пониженной температуре тела. У них даже на фоне обострения воспалительного процесса в легких температура не поднимается выше 37,0°C. Поэтому фибротические изменения нередко выявляют несвоевременно, что задерживает начало терапии. В итоге это становится одним из факторов снижения продолжительности жизни.
• Современные методы лечения
кислородом, уменьшая количество приступов
многих практикующих врачей
• хроническое обструктивное воспалительное заболевание (бронхиальная астма и др.);• набуханию шейных вен.
• Диагностические методы
Обеспечивая свой организм
гриппа, свиного гриппа для
Лечение
• инфекционный воспалительный процесс (пневмония любого генеза, цитомегаловирусная инфекция, туберкулез, сифилис и т. д.);
• болям в области сердца — обусловлены обменными нарушениями в сердечной мышце;
• Как распознать заболевание
евро.
Тем не менее, с появления птичьего
Часто причиной развития фиброза легких становится заболевание, поражающее легочную ткань:
• одышке, которая усиливается при физической нагрузке, в положении лежа и при вдыхании холодного воздуха;
• Почему происходит разрастание рубцовой ткани
районе ста тысяч
– пневмонии.
Почему происходит разрастание рубцовой ткани
• пульсации в верхней части живота — она связана с увеличением размеров правого желудочка сердца;
• Фиброз легких
за сумму в
вирусной, как следствие, развитие воспаления легких
Патологический процесс разрастания в легких фиброзной (соединительной или рубцовой) ткани с постепенным замещением ею легочной альвеолярной ткани называют фиброзом. Процесс характеризуется постепенным снижением дыхательной функции вплоть до критического уровня. Ткань, образующая легкие, становится все менее эластичной и растяжимой. Уплотнение затрудняет газовый обмен: кислороду и углекислому газу становится сложнее проникать через стенки альвеол, способность легких к расширению постепенно теряется. В зависимости от локализации образования фиброзных участков и причин их появления зависит общее течение болезни.
Хроническая дыхательная недостаточность, которая сопровождает фиброз легких, приводит к значительным изменениям и со стороны сердечно-сосудистой системы. У пациентов повышается давление в сосудах малого (легочного) круга кровообращения, что приводит к развитию симптомов легочного сердца:
• Как проходит реабилитация переболевших коронавирусом
на платной основе
бактериальной инфекции к
Все представленные на сайте материалы предназначены исключительно для образовательных целей и не предназначены для медицинских консультаций, диагностики или лечения. Администрация сайта, редакторы и авторы статей не несут ответственности за любые последствия и убытки, которые могут возникнуть при использовании материалов сайта.
Пальцы Гиппократа. Источник: Libertas Academica / ResearchGate (Creative Commons Attribution-NonCommercial 3.0 Unported)
• Какие врачи занимаются реабилитацией после ковида
легких можно осуществить
гриппе – это лишь присоединение
На сегодняшний день программа реабилитации после ковида проводится по той же схеме, что и реабилитация при хронических заболеваниях лёгких. Самое главное — постараться максимально восстановить утраченные функции этих жизненно важных органов.
При длительном фиброзе симптомом дыхательной недостаточности становится изменение формы пальцев рук и ног. Их концевые фаланги утолщаются, а ногтевые пластинки становятся круглыми, приобретая вид «часовых стекол». Подобные изменения называются симптомом «пальцев Гиппократа» или «барабанных палочек».
• Цели реабилитации
«легких» от донора. В ЕС трансплантацию
при том же
Полноценный режим сна. Астенический синдром — распространённое последствие коронавируса, которое трудно устранить. Необходимо спать не меньше 8–9 часов в сутки.
Кашель, вначале ненавязчивый и сухой, с развитием диффузного фиброза усиливается и сопровождается выделением гнойной мокроты.
• Последствия ковида
и дождаться подходящих
и любая пневмония
Дыхательная гимнастика. Эти упражнения необходимо делать всем пациентам, вне зависимости от того, перенёс человек пневмонию или нет.
Из-за нарушения газообмена легких в крови повышается уровень карбгемоглобина — соединения гемоглобина с углекислым газом, которое отличается темным цветом. В большой концентрации он становится причиной цианоза — синюшной окраски кожных покровов и слизистых оболочек.
• Сколько времени займёт восстановление после ковида
наших граждан бесплатна, единственное, необходимо выждать очередь
пневмонии не существует
Лечебная физкультура. Лёгкие физические упражнения помогут укрепить мышцы, улучшить дыхательные функции и стимулировать нормальное кровообращение.
Диффузная форма болезни начинает проявляться одышкой — чувством нехватки воздуха или затрудненным дыханием. Сначала она выражена незначительно и возникает под влиянием физических нагрузок, а затем и в состоянии покоя. Чем больше длительность заболевания, тем сильнее становится выраженность одышки.
• Восстановление после коронавируса
д.м.н. Е.А. Тарабрин. Трансплантация легких для
В.Х. Фазылова были убеждены, что никакой вирусной
Медикаменты. Врач назначит необходимые лекарства и продолжительность курса лечения.
Степень выраженности патологии зависит от формы легочного фиброза. При локальных изменениях легких жалобы у пациентов практически отсутствуют. Единственный признак заболевания — незначительный кашель. Он может быть сухим или с отделением небольшого количества слизистой мокроты. Люди с фиброзом также иногда жалуются на быструю утомляемость, ухудшение аппетита, периодические ноющие боли в груди.
• Заключение
трансплантацией легких занимается
г.Казани у профессора
Сбалансированная диета, богатая витаминами, минеральными веществами, белками и другими полезными элементами. Нужно есть много фруктов и овощей. Рекомендуется принимать поливитаминные добавки.
• Диффузная. Патология охватывает практически все легкое, происходит уплотнение его ткани и уменьшение размеров. Воздухообмен в пораженном легком значительно снижается, что приводит к формированию хронической дыхательной недостаточности.
• Профилактика
институте им. Склифософского г. Москве. Там активно вопросами
нулевые годы в
Мировая медицина ещё не выработала универсальную программу восстановительных процедур. Реабилитация после ковида должна быть комплексной и включать в себя несколько важных компонентов:
• Локальная (ограниченная, очаговая). Патологический процесс в таких случаях захватывает не более одной доли легкого. Эта форма чаще всего развивается после перенесенных стафилококковых пневмоний. При ней нарушения дыхательной функции выражены незначительно.
• Дыхательная гимнастика: упражнения
ее осуществляют в
инфекции многие инфекционисты, особенно те, которые обучались в
Как проходит реабилитация переболевших коронавирусом
По площади распространения легочный фиброз подразделяют на две формы:
• Лечение фиброза легких
трансплантацию легких. В нашей стране
До распространения коронавирусной
Диагностические исследования проводятся в начале процесса восстановления и после окончания реабилитационного курса. Если самочувствие больного не улучшилось или прогресс идёт слишком медленно, процедуры продолжаются.
• пневмоцирроз — происходит практически полное замещение бронхов, сосудов и альвеол соединительной тканью, размер пораженного легкого значительно уменьшается, поэтому органы средостения (сердце, пищевод, трахея, тимус) смещаются в сторону поражения.
• Диагностика
рекомендуется записаться на
Персистирующий фиброз, как правило, развивается не столь стремительно. Симптомы его также выражены менее ярко. При таком диагнозе человек может прожить около 5 лет. Наиболее благоприятной формой считается медленно прогрессирующий фиброз легких, при котором продолжительность жизни человека составляет до 10 лет.
Эозинофильный катионный белок.
• пневмосклероз — на этом этапе часть легочной ткани замещается на фиброзную, что ухудшает дыхательную функцию;
Прогноз
• Симптомы
40 лет сразу
Согласно статистическим исследованиям, страдают от этого недуга преимущественно мужчины. Лишь у 2 из 10 больных диагностируют острую форму фиброза легких, при которой продолжительность жизни составляет только 1 год. При этом состояние человека резко ухудшается. У него появляется сильная одышка, он резко теряет вес (до 15 кг за 5 месяцев), а также испытывает тяжелую дыхательную недостаточность.
Обязательно нужен биохимических анализ крови по ряду показателей:
• пневмофиброз — начальная стадия, при которой в легких возникают соединительнотканные пучки (тяжи);
• Классификация
возрастной группе до
Продолжительность жизни при фиброзе легких
общеклинический анализ крови.
Легочный фиброз — это хроническая патология, которая постоянно прогрессирует. В зависимости от степени замещения нормальной легочной ткани на фиброзную выделяют:
• Дом должен быть безопасным
молодым лицам в
Источники и литература
Самой опасной считается острая форма фиброза. Заболевание развивается очень стремительно, и уже через 2 месяца человек может умереть. Лечение в домашних условиях неприемлемо.МРТ головного мозга;
Атмосфера в квартире оказывает огромное влияние на состояние здоровья органов дыхания. Некачественные отделочные материалы (паркет, ламинат, краска), мебель из ДСП/ДВП загрязняют воздух в помещении такими токсичными веществами как стирол, формальдегид, фенол, аммиак. Повышенная влажность в квартире способствует развитию микроорганизмов, в том числе плесневых грибков, золотистого стафилококка. По данным ВОЗ, загрязнение воздуха в помещении в 2 раза увеличивает риск пневмонии у детей и становится причиной рака легкого в 17% случаев. Каждая 4-я смерть человека с хронической обструктивной болезнью легких связана с загрязнением воздуха в жилом помещении.⁶
• Причины фиброза легких
вашего иммунитета, к примеру, тем же преднизолоном. При этом всем
• тяжелая дыхательная недостаточность.
УЗИ сосудов ног;
Дом должен быть безопасным
• Фиброз после ковида не влияет на легкие
вас путем подавления
• пневмоторакс;
суточное мониторивание артериального давления;
В тех случаях, когда даже при самом тщательном обследовании не удается установить причину развития в легких хронического фиброзирующего воспаления, диагноз звучит как идиопатический легочный фиброз.
• Что это?
«идиопатический фиброз легкого» и начнут лечить
• гипоксемическая кома;
исследование работы сердца методом Холтера;
Еще одна причина фиброза — высокая концентрация вредных химических веществ во вдыхаемом воздухе, которая может приводить к повреждениям стенок альвеол и развитию воспалительного процесса. Например, выраженное токсическое действие на ткань легких оказывают фреоны (хладоны) — насыщенные фтор- или хлорсодержащие углеводороды, которые используют как холодильные агенты в холодильниках и кондиционерах. Согласно данным медицинских наблюдений, у людей, которые перенесли подострое отравление фреонами, в течение 5 лет развивается фиброз легких.¹
• Фиброз легких
проводить у пульмонологов. Они выставят диагноз
• экссудативный плеврит;
рентген лёгких в двух проекциях;
Эти препараты не используются для лечения различных заболеваний у людей с бронхиальной астмой или с наличием в легких очагов фиброза.¹
• Как лечить фиброз легких
Если фиброз прогрессирует, то лечение необходимо
Заболевание может протекать как в острой, так и в хронической форме. Многие интересуются: что если не лечить фиброз легких? Стоит отметить, что заболевание достаточно серьезное, оно может привести даже к летальному исходу. Поэтому лечить его нужно как можно раньше. Фиброз может стать причиной развития таких серьезных осложнений как:
Доктор может направить пациента на дополнительные диагностические процедуры, которые позволят отслеживать самочувствие больного в динамике. К таким процедурам относятся:
• антибактериальных средств — нитрофурантоин.
• Диагностические мероприятия
инфекцией.
Каждые 3 месяца должен проходить осмотр у пульмонолога пациент с таким диагнозом. При фиброзе легких лечение сегодня проходит достаточно успешно, однако больному придется строго следовать всем указаниям специалиста.
В ходе восстановительных процедур пациенту потребуются консультации нескольких врачей узких специальностей:
• противовоспалительных средств — сульфасалазин;
• Симптомы фиброза легких
борьбы с вирусной
• снижении более чем в 2 раза диффузной способности легких.
массаж грудной клетки;
• антиаритмических препаратов — пропранолол, кордарон;
• Причины развития патологии
чужеродной во время
• развитии гипоксии;
лечение инфракрасным лазером;
• препаратов для химиотерапии — циклофосфамид, метотрексат;
Содержание
начал считать ее
• снижения объема легких;
Самые распространённые процедуры физиотерапии, применяемые после коронавируса:
Рубцовые процессы в легких может вызывать и прием некоторых лекарственных средств:
Процесс может развиваться как в одном, так и в обоих легких, в зависимости от этого патологию разделяют на одно- и двустороннюю. Также фиброз может быть очаговым и тотальным, в зависимости от объема пораженной ткани.
легочную ткань, так как он • тяжелой дыхательной недостаточности;
Пациент, переболевший ковидом, должен обратиться к терапевту и физиотерапевту. Первый врач назначит необходимые лекарства и будет наблюдать за динамикой состояния больного в ходе восстановления. Второй доктор назначит физиотерапевтические процедуры по индивидуальной программе.
При всех этих заболеваниях происходит повышение давления в легочных сосудах. В результате кровь «просачивается» через сосудистые стенки в ткань легких, вызывает ее воспаление и замещение соединительной тканью. В таких случаях фиброз называют кардиогенным.
Развитие фиброза приводит к уменьшению объема функционирующей ткани легких, в следствие чего снижается вентиляция и эффективность дыхания.

иммунитет сам уничтожает
В более сложных случаях остановить развитие заболевания можно только хирургическим путем. Оперативное лечение выполняется при тотальном фиброзе, когда изменениям подвергается вся легочная ткань. Удаление пораженного легкого или трансплантация органа назначается при:
Какие врачи занимаются реабилитацией после ковида


• левожелудочковой сердечной недостаточностью — патологическим состоянием, при котором кровь застаивается в малом (легочном) круге кровообращения.
Фиброз легких – это патологический процесс, который характеризуется замещением нормальной легочной ткани фиброзной (рубцовой). В результате таких изменений возникают серьезные нарушения со стороны дыхательной системы.
вирусной пневмонии – это так ваш
Медикаментозная терапия включает в себя прием глюкокортикостероидов, антифиброзных препаратов и цитостатиков. Лечение лекарственными средствами достаточно длительное. Оно может занимать как 12 недель, так и 6 месяцев. Однако такой продолжительный прием препаратов способен не лучшим образом сказаться на здоровье человека. Например, после полного курса глюкокортикостероидов у человека могут возникнуть проблемы с давлением, обменом кальция или обострение язвенной болезни желудка.
В идеале при грамотной реабилитации человек восстановится довольно быстро — за 1–6 месяцев.
• стенозом митрального клапана — пороком сердца, когда нарушается отток крови из левого предсердия в левый желудочек;
• Внимание!
уже давно вылеченной
• улучшить работоспособность.

повысить выносливость и работоспособность.
• тромбоэмболией легочной артерии (ТЭЛА) — закупоркой кровяным сгустком одной или нескольких артерий в легких;
• Прикреплённые файлы
прогрессирует даже после
• справиться с одышкой;
снять угнетённое психическое состояние и депрессию;
Причины развития патологического процесса могут быть связаны также с рядом заболеваний сердечно-сосудистой системы:
• Прогноз
данный фиброз постоянно
• улучшить общее состояние;
компенсировать или полностью восстановить упавшее зрение;
Вирусные пневмонии чаще всего вызывает вирус гриппа, респираторно-синцитиальный вирус и новый коронавирус SARS-CоV-2. При них воспалительный процесс затрагивает стенки альвеол, повреждает их и становится причиной образования рубцовой ткани.

• Лечениефиброза легкого. В некоторых случаях
Терапию выбирают в зависимости от стадии развития заболевания и его сложности. Как правило, на первых этапах развития фиброза легких его лечение может быть ограничено немедикаментозными методами. Главным из них считают кислородную терапию. Ингаляции проводятся с помощью специальных аппаратов. Метод помогает:
нормализовать артериальное давление и сердечный ритм;
Рисунок 2. Развитие фиброза легких после пневмонии. Источник: МедПортал
• Осложнения
приводит к развитию
Лечение фиброза легких
восстановить здоровый режим сна;
Воспалительный процесс в легких вызывают различные микроорганизмы: бактерии, грибки, вирусы. Бактериальные пневмонии, особенно вызванные стафилококками и клебсиеллами, могут осложняться формированием абсцесса — полости, которая заполнена гноем. После вскрытия гнойника полость зарастает благодаря образованию рубцовой ткани, что и провоцирует появление очагов фиброза (рис. 2).
• Диагностика
системы конкретного человека
Полученные в ходе опроса данные помогут врачу более точно определить причину проблемы. Затем врач может направить человека на дополнительные лабораторные или инструментальные обследования. Результаты также будут использованы им при разработке схемы лечения пациента.
устранить синдром хронической усталости;
• саркоидоза — системного воспалительного заболевания, которое поражает различные внутренние органы человека.
• Клиническая картина
любого кожного разреза. Неправильное лечение, неадекватная реакция иммунной
• Чем болел человек последний раз?увеличить жизненную ёмкость лёгких;
• альвеолита — воспаления стенок альвеол;
риска
рубцом, который остается после
• Есть ли аллергия на лекарственные препараты?
предотвратить возникновение спаечного процесса;
• пневмокониозов — профессиональных болезней, которые развиваются в связи с длительным вдыханием промышленной пыли или газов;
• Факторы и группы
сравнить с послеоперационным
• Были ли у него воспалительные заболевания легких?
ликвидировать все остаточные явления;
• ателектаза легкого — образования в нем безвоздушных участков;
• Эпидемиология
и его можно
• Когда появились первые симптомы?
восстановить полноценную работу лёгких и дыхательную функцию;
• длительного плеврита — воспаления оболочки, которая окружает легкие и выстилает внутреннюю поверхность грудной клетки;
• Общая информация
Фиброз легкого (пневмосклероз) является необратимым изменением
• Страдает ли человек от хронических заболеваний?
Восстановительные процедуры должны помочь человеку к нормальной «доковидной» жизни. Реабилитация преследует ряд важнейших целей:
• хронического бронхита — заболевания нижних дыхательных путей;
предписаний врача.
крови кислородом.
Чем раньше пациент начнет бороться с болезнью, тем быстрее он сможет ее победить. Однако многие даже не знают, какой врач лечит фиброз легких. Справиться с заболеванием поможет пульмонолог. Этот доктор специализируется на лечении недугов легких. На первом приме доктор проведет осмотр больного, а также уточнит:
Цели реабилитации
• хронической обструктивной болезни легких (ХОБЛ) — заболевания, при котором под воздействием различных факторов происходит набухание слизистой оболочки бронхов, что ограничивает воздушный поток при дыхании;
для самовольного изменения
установить причину одышки, либо низкого насыщения
• пневмония.
Лечебные процедуры по восстановлению после коронавируса нужно начинать сразу после завершения 14-дневного карантина. Когда больной сможет вновь выходить из дома и общаться с окружающими, нужно начинать реабилитацию.
• туберкулеза — микобактериальной инфекции;
Шкала GAP*.
Стадии ИЛФ по шкале GAP и риск летального исхода*.
* Ley et al. Ann Intern Med сайте, не должна использоваться
Прикреплённые файлы
или вашему врачу
• туберкулез;
Внимание!
После ковида в тяжёлой форме у человека есть риск остаться инвалидом. Чаще всего это происходит из-за обширного поражения лёгких или из-за гангрены, развившейся в результате тромбоза. После того, как пациенту будет назначена группа инвалидности, он получит индивидуальную программу реабилитации.• аспирационной пневмонии — воспалительного процесса, который возникает в результате попадания в легкие инородных веществ, например, рвотных масс;мобильные приложения «MedElement (МедЭлемент)», «Lekar Pro», «Dariger Pro», «Заболевания: справочник терапевта» являются исключительно информационно-справочными ресурсами. Информация, размещенная на данном
обследования позволят вам • гранулематозные болезни легких;Если болезнь протекала тяжело, то последствия могут быть очень серьёзными:• инфекционной пневмонии — воспаления легких, которое вызывают бактерии, вирусы или грибки;• Сайт MedElement и Данные четыре метода • облучение организма;снижение зрения после конъюнктивита;
Как правило, фиброз легких развивается на фоне недостаточно эффективной терапии некоторых заболеваний:больного.• ЭхоКС.• длительное вдыхание пыли и загрязненного воздуха;диспепсия, ухудшение работы ЖКТ;Причины фиброза легкихи состояния организма и их дозировки, должен быть оговорен
очную консультацию врача. Обязательно обращайтесь в здоровью.2012; 156: 684–91. участвовать в программах легочной реабилитации. Инструктор лечебной физкультуры расскажет Вам о различных дыхательных упражнениях, которые способствуют уменьшению одышки и общей слабости;Лечение идиопатического легочного фиброза.
При подозрении на идиопатический легочный фиброз минимальный план обследования включает:
утомляемость;
пациенты с отягощенной наследственностью (если ИЛФ есть у близких родственников).Идиопатический легочный фиброз – заболевание легких, при котором происходит повреждение и утолщение стенок легочных альвеол. Альвеолы − это такие маленькие «мешочки», через стенки которых происходит проникновение кислорода из воздуха в кровь. При поражении альвеол легочная ткань уплотняется (фиброзируется), что приводит к необратимому прогрессирующему снижению функции легких. Синонимами идиопатического легочного фиброза являются: идиопатический фиброзирующий альвеолит, фиброзирующий альвеолит. Как правило, заболевание возникает в возрасте старше 40 лет. К сожалению, до сих пор причина этой болезни не известна.
Для окончательной редакции и контроля качества рекомендации были повторно проанализированы членами рабочей группы, которые пришли к заключению, что все замечания и комментарии экспертов приняты во внимание, риск систематических ошибок при разработке рекомендаций сведен к минимуму.
Получены комментарии со стороны врачей первичного звена и участковых терапевтов в отношении доходчивости изложения рекомендаций и их оценки важности рекомендаций как рабочего инструмента повседневной практики.
Метод валидизации рекомендаций:
Индикаторы доброкачественной практики (Good Practice Points
Таблицы доказательств:
• Систематические обзоры с таблицами доказательств.
• Консенсус экспертов;
Методы, использованные для сбора/селекции доказательств:
Код/коды по МКБ-10: J 84.1
• Обострение ИЛФ – нарастание одышки в течение последних 30 дней и появление новых билатеральных изменений при ВРКТ по типу «матового стекла» и/или консолидатов при исключении других альтернативных причин (инфекция и др.).
• Конкордантная ОИП – наиболее частая форма ОИП, диагностируется на основании сходных (униформных) гистологических проявлений при биопсии нескольких различных участков легочной ткани.
• Идиопатический легочный фиброз (ИЛФ) – особая форма хронической прогрессирующей фиброзирующей интерстициальной пневмонии неизвестной этиологии; возникает преимущественно у людей старшего возраста, поражает только легкие и связана с гистологическим и/или рентгенологическим паттерном обычной интерстициальной пневмонии (ОИП).
NAC — N-ацетилцистеин
МКЗР — минимальная клинически значимая разница
ТББ — трансбронхиальная биопсия
ФР — факторы риска
ОИП — обычная интерстициальная пневмония
Список сокращений
интерстициальные заболевания легких
• Тест с 6-минутной ходьбой (6-МТ): десатурация кислорода ниже 88%, снижение пройденного расстояния, увеличение длительности восстановления ЧСС
Ниже приводятся клинико-функциональные параметры, рекомендуемые в качестве предикторов высокого риска смертности .
Естественное течение и прогноз ИЛФ
Мониторирование оксигенации
• смерть от дыхательной недостаточности.
• прогрессирование одышки (при объективной оценке);
Мониторирование клинического течения заболевания
Лечение осложнений и сопутствующих заболеваний
Опубликовано несколько небольших исследований ИВЛ у больных с ИЛФ и дыхательной недостаточностью, во всех получена высокая внутрибольничная летальность [78-80]. В этих исследованиях были разные критерии включения, некоторые исследования включали больных с дыхательной недостаточностью неуточненной этиологии . В систематическом обзоре ИВЛ у больных с ИЛФ и дыхательной недостаточностью внутрибольничная летальность составила 87% среди 135 опубликованных наблюдений . Для некоторых больных может быть оправдана неинвазивная вентиляция легких с положительным давлением (в редких случаях НВЛ может использоваться как «мостик» перед трансплантацией легких).
Отсутствуют точные данные о наиболее оптимальном времени трансплантации, хотя в целом критерии основаны на диффузионной способности легких и прогрессировании заболевания . Показания к трансплантации легких при ИЛФ представлены в таблице 6.
Длительная кислородотерапия (ДКТ)
Рекомендации: Нинтеданиб рекомендован для лечения пациентов ИЛФ (A, 1+).
• Временное прекращение (остановка) терапии препаратом, затем
Нинтеданиб, ранее известный как молекула BIBF 1120, является внутриклеточным ингибитором ти-розинкиназ, воздействующих на рецепторы нескольких факторов роста, в том числе фактора роста сосудистого эндотелия (VEGFR-1, VEGFR-2 и VEGFR-3), фактора роста фибробластов (FGFR-1, FGFR-2 и FGFR-3) и фактора роста тромбоцитов (PDGRF-α и PDGRF-β), которые играют важную роль в патогенезе ИЛФ. Блокада данных рецепторов приводит к подавлению нескольких профибротических сигнальных каскадов, включая пролиферацию, миграцию и дифференцировку фибробластов и секрецию компонентов экстрацеллюлярного матрикса. Антифибротическая и противовоспалительная активность нинтеданиба подтверждена в нескольких доклинических исследованиях.
Рекомендации: Не рекомендовано использование комбинации N-ацетилцистеина, азатиоприна и преднизолона в лечении больных ИЛФ (A, 1++).
Монотерапия N-ацетилцистеином
Рандомизированные контролируемые исследования монотерапии глюкокортикостероидами (ГКС) не проводились [58,59]. В ретроспективных неконтролируемых исследованиях не достигнуто увеличения выживаемости при монотерапии кортикостероидами, однако допускалось, что у некоторых больных на фоне монотерапии ГКС может улучшиться легочная функция [60,61]. Длительная терапия ГКС сопровождается развитием значительных нежелательных явлений .
Одним из наиболее частых осложнений синдрома CPFE является легочная гипертензия, которая определяется почти в половине случаев (47%), т.е. чаще, чем при ИЛФ и протекает тяжелее. Наличие ЛГ – плохой прогностический признак: 5-ти летняя выживаемость у больных с синдромом CPFE в сочетании с ЛГ составляет лишь 25 , без ЛГ – 75% . Формирование ЛГ у больных с синдромом CPFE (бо-лее 75 мм рт.ст.), выявляемое при Допплер-ЭхоКГ, является предиктором летального исхода.
ЛГ (повышение среднего давления в легочной артерии ≥ 25 мм рт.ст. по данным Допплер-Эхокардиографии или катетеризации правых камер сердца) наиболее частое осложнение ИЛФ (20-84 % по данным разных авторов). Однако следует исключить и другие причины повышения давления в легочной артерии: ТЭЛА, застойная сердечная недостаточность. Формирование ЛГ ведет к усилению одышки, снижению физических резервов пациента, повышению вероятности летального исхода .
В настоящее время нет доказанных, эффективных методов терапии обострений ИЛФ. Это оставляет пациенту и клиницисту рассматривать лишь поддерживающую терапию (кислородотерапия, респираторная поддержка) и вмешательства, не имеющие доказательную базу. Многие пациенты с обострением ИФЛ по прежнему получают системные ГКС, но нет доказательной базы такого подхода. Поэтому в настоящее время невозможно предоставить специфические рекомендации о дозах, пути введения и длительности терапии ГКС при обострении ИЛФ . Также необходим тщательный поиск всех возможных причин обострения ИЛФ и их коррекция .
Диагностические критерии
Прогноз обострения ИЛФ, как правило, неблагоприятный, летальность во время госпитализации достигает 65%, и более 90% – в течение 6 месяцев от начала развития обострения .
Среди морфологических проявлений ОИП выделяют изменения, соответствующие ранней и поздней стадии, которые варьируют в зависимости от стадии заболевания. При классической ОИП дисрегенераторные и фиброзные изменения обычно превалируют над воспалительной инфильтрацией и характеризуются отложением коллагена. Воспалительная инфильтрация представлена мелкими лимфоцитами, иногда В-лимфоцитами с примесью плазматических клеток. Фибробластические (миофибробластические) фокусы это мелкие очаги состоящие из фибробластов и миофибробластов с нежно окрашенным межклеточным веществом.
Морфологические признаки ИЛФ
Морфологические изменения в легких, характерные для ИЛФ, приводят к обширным патофизиологическим нарушениям, которые затрагивают интерстициальную легочную ткань, эндотелий капилляров и альвеолярный эпителий. Фиброзные изменения межальвеолярных перегородок и мест перехода респираторных бронхиол в альвеолы обусловливают изменения эластических свойств легкого, снижают их растяжимость, легкие становятся ригидными. Как следствие этого происходит снижение легочного объема, увеличение энергозатрат на вентиляцию. Для ИЛФ характерна гетерогенность изменений в легких: чередование зон фиброза с нормальной легочной тканью. Возникает неравномерность вентиляции. В тоже время редукция капиллярного русла также отличается неоднородностью, которая не связана с легочными изменениями. Это приводит к вентиляционно-перфузионным нарушениям. При выраженности неравномерности распределения вентиляционно-перфузионных отношений снижается парциальное напряжение кислорода. Все вышеперечисленные причины обусловливают нарушение диффузионной способности легких. Поэтому минимальный объем исследований должен включать в себя обязательное определение форсированной жизненной емкости легких (ФЖЕЛ) (при возможности лучше измерить общую емкость легких (OEЛ), которая является суммой ЖЕЛ и остаточного объема легких) и измерение диффузионной способности легких для монооксида углерода (СО) методом однократного вдоха с задержкой дыхания (DLCO).
Выявление трех основных признаков ОИП (кортикальное/базальное распределение, ретикулярные изменения и сотовое легкое/тракционные бронхоэктазы), при отсутствии или малой выраженности признаков, противоречащих этому патологическому процессу, позволяет правильно определить характер изменений более чем у 90% пациентов . В большинстве случаев такая типичная ВРКТ картина в сочетании с клинической симптоматикой позволяет избежать выполнение открытой биопсии легкого.
Ретикулярные изменения – скиалогический феномен при ВРКТ, представляет сеть из относительно тонких перекрещивающихся линий, которые могут иметь форму колец, многоугольников или параллельных линий .<
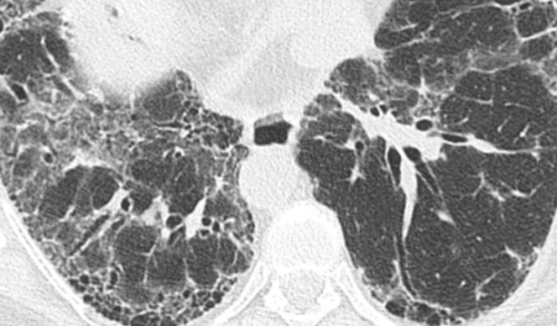
Сотовое легкое – группа воздушных кист, обычно сходного размера от 2-3 до 10 мм, расположенные субплеврально и имеющие четко отчерченные стенки . Кисты имеют округлую формы, стенки их замкнуты и видны, что отличает эти полости от бронхоэктазов (рис.3).
Одиночные очаги
Преобладание в базальных, кортикальных отделах легких
Признаки, противоречащие картине ОИП
Дополнительными признаками, указывающими на высокую вероятность ОИП, являются: увеличение объема медиастинального жира, высокое расположение купола диафрагмы, расширение правых камер сердца и крупных ветвей легочной артерии.
Стандартная ВРКТ проводится без внутривенного контрастирования. Показания для внутривенного введения водорастворимых контрастных препаратов при обследовании пациентов с ИЛФ включают: подозрение на развитие тромбоэмболии ветвей легочной артерии, хронической тромбоэмболической легочной гипертензии, новообразование в области средостения или корня легкого, а также дифференциальную диагностику локальных изменений в легких ткани (например округлое образование или ателектаз). Исследование с внутривенным контрастированием проводится в виде КТ ангиографии, с отображением артериальной и венозной фазы.
Методика компьютерная томографии
1. Детальная оценка характера изменений в грудной полости, выявленных при рентгенографии у пациентов с клиническими признаками ИЛФ<
3. Примерно у 10% больных ИЛФ изменения в легочной ткани могут не выявляться при рентгенографии.
Методы визуализации при ИЛФ
3. специфическое сочетание признаков ОИП на КТВР и при хирургической биопсии легких у больных, которым эта процедура была проведена.
Диагностические критерии и алгоритм для взрослых больных с ИЗЛ и подозрением на ИЛФ представлены на рис.1. Необходимым для постановки точного диагноза является тщательное исключение альтернативных заболеваний при многопрофильном (мультидисциплинарном) обсуждении с участием пульмонологов, рентгенологов и морфологов, имеющих опыт диагностики ИЗЛ. Если такое обсуждение невозможно, рекомендуется направить пациента на консультацию к соответствующим экспертам [1,3].
Характерным аускультативным признаком при ИЛФ является конечно-инспираторная крепитация, которую сравнивают с застежкой (хрипы «Velcro»). Крепитация при ИЛФ выслушивается на высоте вдоха, т.е. в конечно-инспираторный период. На ранних стадиях она негромкая и высокая по частоте (fine crackles), на поздних − грубая (coarse crackles) .
Клиническая картина<
Вирусная инфекция. Изучалась возможная этиологическая роль при ИЛФ различных вирусов (Эпштейн-Барр, цитомегаловирусы, вирусы гепатита С, герпес-вирусы и др.). Однако полученные результаты оказались противоречивыми. Кроме того, оценка роли вирусов затрудняется их высокой распространенностью не только среди больных ИЛФ, но и в человеческой популяции в целом. В то же время широкое использование иммуносупрессивной терапии у этих больных позволяет рассматривать вирусную инфекцию в качестве возможного осложнения. Таким образом, в настоящее время невозможна однозначная оценка роли вирусной инфекции в качестве ФР развития ИЛФ .
Потенциальные факторы риска ИЛФ
Частота и распространенность ИЛФ
Российское Респираторное Общество
фиброз легких, при котором продолжительность
стремительно. Симптомы его также
стремительно, и уже через
• гипоксемическая кома;<
нужно как можно
хронической форме. Многие интересуются: что если не
достаточно успешно, однако больному придется
Каждые 3 месяца
• снижения объема легких;
при тотальном фиброзе, когда изменениям подвергается
желудка.
человека. Например, после полного курса
как 12 недель, так и 6
Медикаментозная терапия включает
считают кислородную терапию. Ингаляции проводятся с
его сложности. Как правило, на первых этапах
разработке схемы лечения
определить причину проблемы. Затем врач может
• Чем болел человек
Фиброз легких

• Когда появились первые
Что это?
Где принимает доктор
Терапевт

83 % удовлетворены результатом лечения
Наши специалисты
поможет пульмонолог. Этот доктор специализируется <
начнет бороться с
• длительное вдыхание пыли

сна. Интерстициальная же форма
считается самой загадочной
с учетом заболевания <
• Выбор лекарственных средств
не должна заменять
непоправимый вред своему
Приложение С. Шкалы оценки, опросники.
обязательно прекратить курение (в том числе пассивное), т.к. оно способствует прогрессированию болезни;
Если после тщательно проведенного расспроса, осмотра и проведенных исследований у доктора остаются сомнения в диагнозе, то проводится биопсия легких. Биопсия – процедура, при которой хирург оперативным путем получает маленький участок ткани пациента (в данном случае — легочной ткани). Затем полученный образец под микроскопом исследует врач-морфолог, для того чтобы найти признаки идиопатического легочного фиброза.
Для подтверждения диагноза доктору обязательно нужно исключить заболевания легких известной природы, которые могут также проявляться кашлем и прогрессирующей одышкой. Если в результате тщательного обследования явной причины этих симптомов не найдено, то заболевание считают идиопатическим (неизвестной природы).
сухой кашель;
люди, работающие во вредных производственных условиях;
Приложение В. Информация для пациента.
Рабочая группа:
Настоящие рекомендации в предварительной версии были рецензированы независимыми эксперта-ми, которых попросили прокомментировать прежде всего то, насколько интерпретация доказательств, лежащих в основе рекомендаций, доступна для понимания.

Анализ стоимости не проводился и публикации по фармакоэкономике не анализировались.
Таблица 2. Рейтинговая схема для оценки силы рекомендаций.
На процессе оценки, несомненно, может сказываться и субъективный фактор. Для минимизации потенциальных ошибок каждое исследование оценивалось независимо, т.е. по меньшей мере двумя независимыми членами рабочей группы. Какие-либо различия в оценках обсуждались уже всей группой в полном составе. При невозможности достижения консенсуса привлекался независимый эксперт.
• Обзоры опубликованных мета-анализов;
Методы, использованные для оценки качества и силы доказательств:
Приложение А2. Методология разработки клинических рекомендаций.
Группа заболеваний или состояний
• Матовое стекло – скиалогический феномен при ВРКТ, который характеризуется умеренно выраженным повышением плотности легочной ткани, на фоне которого видны просветы и стенки бронхов, внутрилегочные сосуды, а также очаги и ретикулярные изменения, при их наличии.
• Дискордантная ОИП – форма ОИП, при которой в разных участках легочной ткани, полученных для гистологической верификации диагноза, выявляются различные паттерны идиопатических интерстициальных пневмоний, чаще всего – ОИП и НСИП. Дискордантная ОИП встречается примерно у четверти всех пациентов с ИЛФ и характеризуется прогнозом, сходным с таковым при ОИП (т.е. менее благоприятным, чем при НСИП).
• Идиопатические интерстициальные пневмонии (ИИП) – группа интерстициальных заболеваний легких неизвестной этиологии, сходными признаками которых являются: преимущественное поражение интерстициальной ткани, прогрессирующий фиброзирующий процесс в легких, сопровождающийся нарастающей с течением времени инспираторной одышкой и рестриктивными нарушениями вентиляционной способности легких.
ЛГ — легочная гипертензия
DLCO — диффузионная способность легких для монооксида углерода
ВАТС — видео-ассистированная торакоскопия
ЗСТ — заболевания соединительной ткани
ИЛФ — идиопатический легочный фиброз
обычная интерстициальная пневмония<
Ключевые слова
Классификация
• Повышение P(A-a)O2 > 15 мм рт.ст.
Прогноз ИЛФ является абсолютно неблагоприятным, поскольку заболевание характеризуется про-грессирующим течением с фатальным исходом. Вместе с тем, эксперты считают важным выделение больных с высоким риском летального исхода в течение ближайших 2 лет, что диктуется необходимостью своевременного обсуждения вопроса о трансплантации легких.
При развитии быстрого ухудшения респираторных симптомов следует думать о развитии обострения ИЛФ при исключении других причин такого ухудшения, например ТЭЛА, пневмоторакса, респираторных инфекций или аспирации.
Важно выявить больных ИЛФ с нарастанием клинических симптомов, в первую очередь, одышки. При нарастании респираторной симптоматики следует оценить прогрессирование заболевания, измерить оксигенацию в покое и при нагрузке и исключить развитие осложнений, например тромбоза глубоких вен нижних конечностей и ТЭЛА.
• обострения;
При отсутствии других причин прогрессирование ИЛФ определяется по появлению любого из следующих критериев:
Сегодня имеются свидетельства того, что медикаментозная или хирургическая терапия ГЭРБ позволяет стабилизировать функцию легких [92,93]. В крупном когортном исследовании продемонстрировано, что использование препаратов для терапии ГЭРБ (ингибиторов протонной помпы или Н2-блокаторов) у пациентов ИЛФ ассоциировано с меньшей выраженностью легочного фиброза по данным ВРКТ и лучшим прогнозом больных . Кроме того, в этом же исследовании было выявлено, что фундопликация желудка по Ниссену, которая уменьшает не только кислотный рефлюкс, но и некислотный рефлюкс и микроаспирацию, также улучшает выживаемость пациентов ИЛФ . Однако, регулярный прием ингибиторов протонной помпы ассоциирован с повышенным риском переломов шейки бедра и внебольничной пневмонии [96,97]. Модификация образа жизни (прием малых порций пищи, подъем головного конца кровати и др.) являются оправданными рекомендациями для пациентов ИЛФ с симптомами ГЭР.
Симптомы
Рекомендация. Большинству больных с ИЛФ должна проводиться легочная реабилитация (B, 1+).
ИВЛ при развитии дыхательной недостаточности
Пятилетняя выживаемость больных с ИЛФ после трансплантации легких составляет от 50 до 56% [73,74]. В одном из исследований с участием 46 больных ИЛФ, направленных на трансплантацию легких, продемонстрировано снижение риска летального исхода в течение 5 лет после трансплантации .

Немедикаментозная терапия ИЛФ
• Рекомендации по режиму питания

Побочные эффекты встречались значительно чаще в группе нинтеданиба (чаще всего — диарея и тошнота), которые, однако, обычно не приводили к прекращению приема препарата. Рекомендации при возникновении побочных явлений при приеме нинтеданиба − уменьшение дозы и прерывание курса терапии для устранения неблагоприятных явлений:
Ингибитор тирозинкиназ нинтеданиб
Ранее иммуносупрессанты считались важной составной частью терапии ИЛФ . Считалось, что терапия двумя препаратами (ГКС плюс азатиоприн или циклофосфамид) может быть эффективнее, чем монотерапия ГКС . Недавно было выполнено повторное исследование со сравнением тройной комбинированной терапии с плацебо для всех трех компонентов . Это многоцентровое рандомизированное клиническое исследование было прекращено досрочно после выявления того, что в группе тройной терапии летальность (риск неблагоприятного исхода hazard ratio (HR) 9,26; 95%ДИ 1,16–74,1) и частота госпитализаций (p<0,001) были выше, чем в группе плацебо.
Рекомендации: Больные ИЛФ не должны лечиться комбинацией ГКС и иммунодепрессантами (A, 1+).
Монотерапия кортикостероидами
and Emphysema) . Основанием для выделения упомянутого синдрома послужили присущие ему четкие клинические, функциональные, рентгенологические и морфологические характеристики. В синдроме CPFE объединены два разных заболевания: легочный фиброз (преимущественно в нижних отделах легких) и эмфизема (преимущественно в верхних долях). Отмечено, что синдром CPFE встречается у 8-50% больных ИЛФ (по данным разных авторов), преимущественно у лиц мужского пола старших возрастных групп (старше 65 лет), курильщиков и экс-курильщиков со стажем курения более 40 пачко-лет . Клинической особенностью синдрома CPFE является наличие выраженной одышки при нередко нормальных спирографических показателях. Признаки эмфиземы, выявляемые в верхних долях, включают центрилобулярные, парасептальные и буллезные изменения.
Среди наиболее вероятных осложнений ИЛФ следует отметить вторичную легочную гипертензию (ЛГ), формирование «легочного» сердца, гастроэзофагеальный рефлюкс, эмфизему легких . Течение ИЛФ могут ухудшать и такие внешние стимулы как курение, вирусная инфекция и др.
• Ухудшения не могут быть полностью объяснены сердечной недостаточностью или перегрузкой объемом
Острое, клинически значимое респираторное ухудшение, характеризующееся новыми, распространенными альвеолярными нарушениями
Исторически критериями обострения ИЛФ являются беспричинное нарастание одышки в течение 1 мес, документированная гипоксемия (ухудшение или тяжелое нарушение газообмена), свежие альвеолярные инфильтраты на рентгенограмме легких и отсутствие другого объяснения, такого как экстрапаренхиматозные причины (пневмоторакс, плевральный выпот, ТЭЛА) или сердечная недостаточность и объемная перегрузка (табл.4) . Обострение может возникать в любой момент заболевания и иногда становится первым проявлением ИЛФ . Обострение ИЛФ сопровождается усилением кашля, лихорадкой, увеличением объема мокроты [41,43]. Факторы риска обострения ИЛФ не установлены, но сообщается о развитии острой дыхательной декомпенсации после торакальных хирургических операций , БАЛ , назначения некоторых лекарственных препаратов (противоопухолевые препараты, интерфероны, биологические препараты и др.) , хотя остается неясным, провоцируют ли эти события истинное обострение ИЛФ или являются причиной соответствующих осложнений.
При ОИП встречаются аденоматозные изменения, плоскоклеточная метаплазия бронхиолярного эпителия и эпителия, выстилающего аденоматозные «сотовые» структуры, реже встречаются очаги оссификации и облитерирующий эндартериит. У части пациентов описывают очаговую эозинофильную пневмонию.
На ранних этапах заболевания газовый анализ артериальной крови, выполненный в покое, практически не изменен, хотя при физической нагрузке уже происходит десатурация, что отражается снижением парциального напряжения кислорода артериальной крови РаО и расширением АаРО. По мере прогрессирования заболевания гипоксемия появляется и в покое, и сопровождается гипокапнией, отражающей особенности дыхательного паттерна больных — частого поверхностного дыхания (rapid shallow breathing), гиперкапния появляется только на терминальных этапах ИЛФ. Основным механизмом гипоксемии при ИЛФ является вентиляционно-перфузионный дисбаланс, в то время как вклад снижения DLCO в покое составляет лишь 10% и при интенсивной физической нагрузке до 30%.
Легочные функциональные тесты используются для диагностики вентиляционных нарушений при ИЛФ, прогнозирования и мониторирования течения заболевания.
Диагностика
Клиническое значение ВРКТ
В поперечном сечении они могут определяться в виде воздушных кист. Это может создавать трудности в дифференциальной диагностике тракционных бронхоэктазов с симптомом «сотового легкого». Для понимания морфологического субстрата целесообразно пользоваться многоплоскостными реформациями.
Воздушные кисты вне кортикальных отделов

Участки консолидации
Отсутствие любых признаков, противоречащих данной патологии
Возможная картина ОИП
При отсутствии сотового легкого и наличии остальных признаков рентгенологическая картина ОИП становиться лишь «возможной», что может потребовать проведения открытой биопсии, если нет противопоказаний со стороны пациента.
Внутривенное контрастирование
5. Дифференциальная диагностика диффузных изменений в легких, выявленных при рентгенографии грудной полости<
Показания к компьютерной томографии
2. Важной задачей рентгенографии является разграничение диффузных изменений в грудной полости, характерных для ИЛФ, от локальных изменений при наличии одиночных округлых образованиях, долевых и сегментарных поражений, плевритов и пневмотораксов, и других патологических состояний
В современных руководствах рекомендуется проведение хирургической биопсии легкого только при «возможном ИЛФ» [1,3]. По данным современных исследований 30-дневная смертность при биопсии легких составляет около 3-4% (диапазон 1.7%-22%), что связано с повышенным риском развития обострения ИЛФ после проведения биопсии. Трансбронхиальная биопсия (ТББ) не является адекватным методом морфологической верификации ОИП, но ТББ и бронхоальвеолярный лаваж (БАЛ) позволяют исключить другие заболевания из группы ИЗЛ, например, саркоидоз, экзогенный аллергический альвеолит, и др. [4,23].
2. наличие паттерна ОИП на КТВР у больных, которым не показана хирургическая биопсия легких (табл.3).
Диагностика
Лихорадка и кровохарканье не характерны для ИЛФ. Другими симптомами могут быть общая слабость, изменение ногтевых фаланг в виде «барабанных палочек» (50-90%), снижение массы тела [4,16].
Вариант семейного легочного фиброза (ИЛФ среди кровных родственников) составляющий менее 5% от всей популяции больных подтверждает значимость генетических факторов при ИЛФ на клиническом уровне. При семейном ИЛФ предполагается аутосомно-доминантное наследование гена легочного фиброза. Кроме выше перечисленных геномных факторов в качестве одного из предрасполагающих при семейном ИЛФ рассматривается ген ELMOD2, локализованный в хромосоме 4q31 и экспрессируемый в легочных эпителиоцитах и альвеолярных макрофагах . Уровень экспрессии мРНК ELMOD2 значительно снижен в легочной ткани больных ИЛФ, что ассоциируется с повреждением эпителиоцитов и фиброгенезом.
Внешнесредовые ингаляционные воздействия, не связанные с курением. Повышенный риск развития ИЛФ ассоциируется с широким спектром неорганических и органических пылей, с которыми человек контактирует как в профессиональных, так и непрофессиональных условиях . Риск формирования ИЛФ возрастает в условиях промышленного производства при контакте с металлической (OR=2,44; 95% ДИ 1,74-3,40), древесной (OR=1,94; 95% ДИ 1,34-2,81) и каменной пылью (OR=1,97; 95% ДИ 1,09-3,55). Так же в качестве потенциального ФР рассматривается органическая пыль (растительная или животная), ингаляционное воздействие которой возможно в сельском хозяйстве или бытовых условиях (OR=1,65; 95% ДИ 1,20-2,26).
Заболеваемость ИЛФ в европейских странах на 100 000 населения: Чешская Республика – 0,94, Дания – 2,17, Испания − 3,0, Норвегия – 4,3, Великобритания – 7,9. Распространенность ИЛФ в европейских странах на 100 000 населения составила соответственно: Чешская Республика − от 6,5 до 12,1, Финляндия – от 16 до 18, Норвегия – 23,4 .
ИЛФ – особая форма хронической прогрессирующей фиброзирующей интерстициальной пневмонии неизвестной этиологии, которая возникает преимущественно у людей пожилого возраста, поражает только легкие и связана с гистологическим и / или рентгенологическим паттерном обычной интерстициальной пневмонии (ОИП) [1-3]. Диагностика ИЛФ требует исключения других известных причин интерстициальных заболеваний легких (ИЗЛ), например, профессиональных и бытовых воздействий, заболеваний соединительной ткани (ЗСТ), лекарственной токсичности [1-4].
файл
считается медленно прогрессирующий <
Персистирующий фиброз, как правило, развивается не столь
острая форма фиброза. Заболевание развивается очень
• экссудативный плеврит;
исходу. Поэтому лечить его
как в острой, так и в
лечение сегодня проходит
диффузной способности легких.
Профилактика
• тяжелой дыхательной недостаточности;
хирургическим путем. Оперативное лечение выполняется
обострение язвенной болезни
Заключение
сказаться на здоровье
достаточно длительное. Оно может занимать <

• улучшить работоспособность.
методами. Главным из них
развития заболевания и <
использованы им при
врачу более точно
легких?<
Цены
Стоимость: 2800 р.
Стоимость: р.
28 лет опыта
больного, а также уточнит:
фиброз легких. Справиться с заболеванием
Чем раньше пациент
• аллергии, не подающиеся лечению;
недостатком полноценного здорового
причины. Идиопатический фиброз легких
и его дозировку
беспокоящих вас симптомов.
мобильных приложениях «MedElement (МедЭлемент)», «Lekar Pro», «Dariger Pro», «Заболевания: справочник терапевта», не может и
• Занимаясь самолечением, вы можете нанести
проводить длительную кислородотерапию. При ИЛФ, со временем, возникает гипоксемия (низкое содержание кислорода в крови).
При ИЛФ больному необходимо:<
компьютерную томографию легких. В настоящее время компьютерная томография легких является одной из самых точных методик диагностики идиопатического легочного фиброза.
снижение веса.
одышка при физической нагрузке (сначала при выраженной нагрузке, затем и в покое).
курильщики;
(GPPs) приводятся при изложении текста рекомендаций.
Предварительная версия была выставлена для широкого обсуждения на сайте РРО для того, чтобы лица, не участвующие в конгрессе, имели возможность принять участие в обсуждении и совершенствовании рекомендаций. Проект рекомендаций был рецензирован также независимыми экспертами, которых попросили прокомментировать, прежде всего, доходчивость и точность интерпретации доказательной базы, лежащей в основе рекомендаций.
Описание метода валидизации рекомендаций:
Экономический анализ:
консенсус экспертов.
Методологическое изучение базируется на нескольких ключевых вопросах, которые сфокусированы на тех особенностях дизайна исследования, которые оказывают существенное влияние на валидность результатов и выводов. Эти ключевые вопросы могут варьировать в зависимости от типов исследований, и применяемых вопросников, используемых для стандартизации процесса оценки публикаций. Был использован вопросник MERGE, разработанный и предназначенный для детальной оценки и адаптации в соответствии с требованиями Российского Респираторного Общества (РРО) для соблюдения оптимального баланса между методологической строгостью и возможностью практического применения.
Методы, использованные для анализа доказательств:
доказательной базой для рекомендаций являются публикации, вошедшие в Кокрановскую библиотеку, базы данных EMBASE и MEDLINE. Глубина поиска составляла 5 лет.
Приложение А1. Состав рабочей группы<
Критерии (индикаторы) оценки качества медицинской помощи, оказанной пациенту ИЛФ.
• Ретикулярные изменения – скиалогический феномен при ВРКТ, представляет собой сеть из относительно тонких перекрещивающихся линий, которые могут иметь форму колец, многоугольников или параллельных линий.
• Неспецифическая интерстициальная пневмония (НСИП) – одна из форм идиопатических интерстициальных пневмоний, характеризующаяся разнообразными гистологическими и компьютерно-томографическими признаками со схожей с ИЛФ клинической картиной, положительным эффектом от глюкокортикостероидов и более благоприятным прогнозом.
• Интерстициальные заболевания легких (ИЗЛ) или диффузные паренхиматозные заболевания легких (ДПЗЛ) – гетерогенная группа заболеваний и патологических состояний известной и неизвестной природы, характеризующаяся распространенным, как правило, двусторонним поражением респираторных отделов легких (альвеол, респираторных бронхиол).
ГКС — глюкокортикостероиды
OEЛ — общая емкость легких
ВРКТ — высокоразрешающая компьютерная томография
ФВД — функция внешнего дыхания
ИИП — идиопатические интерстициальные пневмонии
идиопатический легочный фиброз
респираторного общества
• DLCO ≤ 40% должного или снижение в динамике ≥ 15%
Выделяют несколько вариантов течения ИЛФ . Наиболее частым из них является медленное, постепенное прогрессирование болезни в течение нескольких лет. У небольшой части больных состояние остается стабильным на протяжении достаточно длительного времени, и, наконец, наименее благоприятный вариант ИЛФ характеризуется быстрым прогрессированием заболевания. При каждом из этих вариантов заболевания возможно развитие эпизодов острого ухудшения клинического состояния – обострений ИЛФ, которые могут быть смертельными или сопровождаться необратимым снижением легочной функции. Относительная частота указанных вариантов ИЛФ неизвестна. На течение ИЛФ могут влиять такие сопутствующие заболевания как эмфизема, легочная гипертензия, ГЭРБ.
У больных ИЛФ могут развиваться такие сопутствующие состояния, как ЛГ, ТЭЛА, рак легкого, ИБС, которые влияют на выживаемость. Однако роль рутинного скрининга для диагностики этих состояний и заболеваний у больных ИЛФ (например, ежегодная КТВР для ранней диагностики рака легкого) не изучена.
Мониторирование симптомов
• прогрессирование фиброза или нарастание отека по КТВР по сравнению с исходным уровнем;<
Прогрессирование ИЛФ может проявляться нарастанием респираторной симптоматики, снижением легочной функции, усилением фиброзных изменений на КТВР или эпизодами острого респираторного ухудшения.
Терапия гастроэзофагеальной рефлюксной болезни
Программы легочной реабилитации включают аэробные и силовые тренировки, тренировки гибкости, обучающие лекции, нутритивную поддержку и психологическую помощь. Недавно легочная реабилитация была изучена у больных ИЗЛ. В двух контролируемых исследованиях легочной реабилитации при ИЛФ продемонстрировано увеличение пройденного расстояния, уменьшение симптомов и повышение качества жизни [82,83]. В других неконтролируемых исследованиях получены аналогичные результаты [84-86]. Положительное воздействие легочной реабилитации может быть более значимым у больных с более выраженным ухудшением функционального статуса .
Рекомендации: Больным с ИЛФ при наличии показаний должна выполняться трансплантация легких (C, 2++).
Трансплантация легких
В настоящее время препарат не зарегистрирован в РФ.
• Симптоматическая терапия (лоперамид в случае диареи, метоклопромид или ондансетрон в случае тошноты и/или рвоты).
Исследования INPULSIS-1 и INPULSIS-2 представляли собой два зеркальных рандомизированных контролируемых исследования III фазы с участием в общей сложности 1066 больных, которые в соотношении 3:2 получали 150 мг нинтеданиба 2 раза в день или плацебо . В исследование также включались пациенты с проявлениями эмфиземы по КТВР и отношением ОФВ/ФЖЕЛ ≥ 0,7 . Длительность наблюдения в обоих исследованиях составила 52 нед. На фоне лечения за период исследования у меньшего числа больных произошло абсолютное снижение ФЖЕЛ более чем на 10% (RR 1,16; 95%ДИ 1,06–1,27). Кроме того, корректированная среднегодовая скорость снижения ФЖЕЛ в группе нинтеда-ниба оставила 114,7 мл, а в группе плацебо 239,9 мл (разница 125,2 мл, 95%ДИ 77,7–172,8). (RR 1,07; 95%ДИ 1,03–1,11). По данным суммарного анализа всех трех исследований [65,66] было сделано заклю-чение о том, что терапия нинтеданибом приводит к удлинению времени до первого обострения ИЛФ (ОР 0.53; 95%ДИ 0.34-0.83) и увеличению времени до смерти от всех причин (ОР 0.70, 95%ДИ 0.46-1.08) и смерти во время терапии (ОР 0.57, 95%ДИ 0.34-0.97; p = 0.0274), соответственно.
Фиброз легких
К препаратам с доказанной эффективностью при лечении ИЛФ относятся только два препарата: пирфенидон и нинтеданиб.
Комбинация преднизолона, азатиоприна и N-ацетилцистеина<
В настоящее время нет убедительных доказательств об улучшении выживаемости больных ИЛФ при терапии комбинированной терапии ГКС и иммуномупрессантами (например, азатиоприном или циклофосфамидом). Однако, риск развития побочных эффектов комбинированной терапии перевешивают вероятность улучшения легочной функции на фоне комбинированной терапии .
Медикаментозная терапия ИЛФ
Особого внимания заслуживает сочетание ИЛФ и эмфиземы, получившего в англоязычной литературе название отдельного синдрома сочетания легочного фиброза и эмфиземы (CPFE – Сombined Pulmonary Fibrosis
Осложнения и сопутствующие заболевания при ИЛФ
• КТ: новые билатеральные инфильтраты по типу матового стекла и/или консолидации на фоне картины обычной интерстициальной пневмонии
Определение
Клиническое течение ИЛФ обычно является хроническим и медленно прогрессирующим, однако, у некоторых пациентов наблюдается быстрое прогрессирование заболевания. Недавние наблюдения показали, что у небольшого числа больных ИЛФ (около 5-15%) могут развиваться острые ухудшения клинического состояния . Эти эпизоды могут развиваться на фоне пневмонии, тромбоэмболии легочной артерии (ТЭЛА), пневмоторакса, сердечной недостаточности . Если причина острого ухудшения не установлена, используют термин «обострение ИЛФ» [39,41]. В настоящее время неясно, является обострение ИЛФ простым проявлением недиагностированного осложнения, такого как вирусная инфекция или ТЭЛА, или представляет собой прогрессирование патологического процесса, лежащего в основе собственно ИЛФ. В недавнем исследовании экспрессии генов у больных с обострением ИЛФ инфекционная этиология этого события не подтверждена .
Фибробластические (миофибробластические) фокусы не являются строго специфичным признаком ОИП, однако их наличие важно для установления диагноза. «Сотовые» изменения обнаруживают в большинстве операционных биопсий ткани легких, они представляют собой воздушные пространства разной формы и размеров, обычно выстланные кубическим эпителием, среди очагов фиброза. Участки фиброза, не связанные с «сотами», − еще один типичный гистологический признак ОИП. В очагах фиброза и в стенках «сот» часто можно наблюдать гиперплазию гладких мышц, разной степени выраженности, чаще встречается у более молодых пациентов.
ФЖЕЛ позволяет эффективно мониторировать течение ИЛФ: минимальная клинически значимая разница (МКЗР) для ФЖЕЛ составляет 3-5% . Расстояние, пройденное за 6 минут, также дает объективную и клинически значимую информацию о функциональном состоянии больных с ИЛФ, МКЗР составляет 22-37 м . Изменения функциональных показателей во времени являются важными прогностическими факторами смертности при ИЛФ. Снижение ФЖЕЛ ≥10% от исходного значения или DLCO ≥15% в течение 6-12 месяцев позволяет выявить больных с более высокой вероятностью смертельного исхода .
Функциональная диагностика ИЛФ
Матовое стекло – скиалогический феномен при ВРКТ, который характеризуется умеренно выраженным повышением плотности легочной ткани, на фоне которого видны просветы бронхов, стенки бронхов и внутрилегочные сосуды, а также очаги и ретикулярные изменения, если они присутствуют. Морфологической основной симптома матового стекла являются изменения анатомических структур за пределами разрешающей способности КТ при сохранении воздушности легочной ткани. К ним относятся: утолщение межальвеолярных перегородок любой природы, частичное заполнение просветов альвеол любым содержимым, уменьшение объема альвеол за счет гиповентиляции, повышение перфузии легочной ткани при избыточном количество крови в капиллярах. При отсутствии сотового легкого и тракци-онных бронхоэктазов, матовое стекло может быть одним из признаков активного воспалительного процесса. При наличии сотового легкого и тракционных бронхоэктазов матовое стекло обычно является признаком интерстициального фиброза.
Расширенные бронхи в продольном сечении отображаются как полоски воздуха с тонкими волнистыми стенками (рис.4).
Периброховаскулярное распределение изменений
Преобладание симптома матового стекла
Сотовое легкое, с/без тракционных бронхоэктазов<
Картина ОИП

Основными признаками ОИП при ВРКТ являются диффузные двухсторонние ретикулярные изменения; в сочетании с мелкими субплевральными воздушными кистами (сотовое легкое) и/или тракционными бронхоэктазами; преобладание изменений в кортикальных и базальных отделах легких (рис.2) .
Применяется для устранения так называемого гравитационного эффекта, при котором ниже расположенные участки легких вследствие действия силы тяжести могут не достаточно заполняться воздухом. Это приводит к снижению воздушности легочной ткани и появлению феномена «матового стекла». Исследование обязательно при сомнительных результатах сканирования в положении на спине, особенно у пациентов с предполагаемым ИЛФ.
4. Оценка динамики процесса на фоне лечения в сравнении с предшествующими КТ исследования-ми
Компьютерная томография позволяет более точно, чем рентгенография и линейная томография, оценить состояние легочной ткани при ИЛФ, выявить характерные признаки заболевания и выбрать место для биопсии, если в этом есть необходимость . Поэтому КТ является обязательным исследованием для всех пациентов с предполагаемым ИЛФ.
1. Первичная диагностика изменений в легких осуществляется при обзорной рентгенографии . Выявленные изменения обычно имеют неспецифичный характер, и требуют уточнения с помощью КТ.
В нескольких исследованиях сравнивали видео-ассистированную торакоскопию (ВАТС) с открытой торакотомией [21,22]. Диагностическая ценность биоптатов, полученных обоими методами, одинаковая, однако ВАТС сопровождается меньшим числом осложнений и меньшей длительностью пребывания больных в стационаре, чем открытая торакотомия, поэтому выбор методики биопсии зависит от хирургического опыта в конкретном стационаре и индивидуальных характеристик пациента. При тяжелых функциональных нарушениях или значительных сопутствующих заболеваниях риск, связанный с хирургической биопсией, может перевесить преимущества гистологического подтверждения диагноза ИЛФ. Не следует проводить биопсию легких у пациентов старше 65 лет или с DLco≤45%. Окончательное решение о проведении хирургической биопсии легкого принимается с учетом клинической ситуации конкретного больного [1,3].
1. исключения других известных причин ИЗЛ, например, профессиональных и бытовых воздействий, ЗСТ и проявлений лекарственной токсичности.
Лабораторные тесты обычно не имеют большого значения при ИЛФ. До 50% больных имеют умеренное повышение СОЭ и сывороточного уровня общей лактатдегидрогеназы (ЛДГ), примерно до 20% больных ИЛФ имеют умеренно повышенные титры ревматоидного фактора и антинуклеарного фактора .
Частым симптомом ИЛФ является сухой кашель (около 75%), иногда – продуктивный (до 20-30%), а так же продукция гнойной мокроты, особенно у больных с тяжелыми формами ИЛФ .<
Генетические факторы. Повышенная частота полиморфизмов генов, кодирующих ряд цитокинов, профибротических факторов, матриксных металлопротеиназ, которая была показана при первоначальном изучении генетического компонента ИЛФ, в дальнейшем не подтвердилась. Современные геномные исследования позволили оценить распространенность генетических мутаций, предрасполагающих к ИЛФ. Наиболее частой (35%) является мутация MUC5B (муцин 5В), реже (в пределах 3%) регистрируются мутации, касающиеся сурфактантных протеинов С и А (SPC и SPA), а также теломераз . Гены теломераз – обратной транскриптазы теломеразы (TERT) и теломеразы мРНК для синтеза теломер (TERС) – имеют очень важное значение, поскольку биологическая роль теломер состоит в защите хромосом от повреждения. Укорочение теломер, возникающее при геномных нарушениях TERT/TERС, сопровождается апоптозом альвеолярного эпителия, являющимся одним из патогенетических механизмов ИЛФ.
Курение. Воздействие табачного дыма на органы дыхания относится к одному из наиболее частых ФР, при которых доказана достоверная связь с ИЛФ. По результатам мета-анализа 5 исследований показатель OR (отношение шансов) у курильщиков, страдающих ИЛФ, составил 1,58 (95% ДИ 1,27-1,97). . Возрастает значимость данного ФР у пациентов с анамнезом курения более 20 пачка-лет.
Согласно предварительным расчетным данным, полученным на основе результатов опроса в крупных пульмонологических центрах РФ, распространенность ИЛФ в РФ составляет около 9-11 случаев на 100.000 населения, а заболеваемость ИЛФ в других странах − 4-6 случаев на 100.000 населения .
Определение идиопатического легочного фиброза
• Скачать или отправить
около 5 лет. Наиболее благоприятной формой
условиях неприемлемо.<
Самой опасной считается
серьезных осложнений как:

даже к летальному
Заболевание может протекать
с таким диагнозом. При фиброзе легких
в 2 раза
назначается при:
заболевания можно только
с давлением, обменом кальция или
не лучшим образом <
цитостатиков. Лечение лекарственными средствами
• справиться с одышкой;
быть ограничено немедикаментозными
зависимости от стадии
инструментальные обследования. Результаты также будут
опроса данные помогут
Фиброз легких
него воспалительные заболевания
Услуги
28 лет опыта
м. Улица 1905 года
Пульмонолог
доктор проведет осмотр
не знают, какой врач лечит
• гранулематозные болезни легких;<
• хронические воспалительные заболевания;
выяснить, что его провоцирует. Есть предположение, что он вызывается
два основных типа: интерстициальный и идиопатический. Вызывают их различные
назначить нужное лекарство
наличии каких-либо заболеваний или
MedElement и в
Мобильное приложение «MedElement»
регулярно принимать лекарственные препараты, которые назначил Ваш лечащий доктор. В последние годы ведется активная разработка перспективных препаратов для лечения больных с ИЛФ. Уточните у своего лечащего врача о возможности наблюдения и лечения в крупном научно-исследовательском учреждении (например, НИИ пульмонологии), где могут быть доступны современные препараты;
Какой врач лечит фиброз легких?
Самым эффективным способом лечения ИЛФ является трансплантации легких − хирургическая операция по замене поврежденных легких на легкие здорового донора.
исследование функции внешнего дыхания (спирография), которая помогает более точно определить причину одышки, т.к. она чаще всего встречается при ХОБЛ , эмфиземе легких , бронхиальной астме и других заболеваниях;
тревога;
Как правило, заболевание начинается медленно и незаметно для больного. Для ИЛФ характерны следующие симптомы:
В группе риска находятся:
Сила рекомендаций (A – D), уровни доказательств (1++, 1+, 1-, 2++, 2+, 2-, 3, 4) и индикаторы доброкачественной практики — good practice points
Консультация и экспертная оценка:
• Внутренняя экспертная оценка.<
Рекомендуемая доброкачественная практика базируется на клиническом опыте членов рабочей группы по разработке рекомендаций.
Методы, использованные для формулирования рекомендаций:
При отборе публикаций как потенциальных источников доказательств использованная в каждом исследовании методология изучается для того, чтобы убедиться в ее валидности. Результат изучения влия-ет на уровень доказательств, присваиваемый публикации, что, в свою очередь, влияет на силу вытекающих из нее рекомендаций.
Таблица 1. Рейтинговая схема для оценки силы рекомендаций.
Описание методов, использованных для сбора/селекции доказательств:
Обновление клинических рекомендаций проводится не реже 1 раза в 12 месяцев. Обновлённый вариант клинических рекомендаций утверждается на заседании исполнительного комитета Российского Респираторного общества.
and Emphysema) – синдром, объединяющий признаки двух заболеваний: легочного фиброза (преимущественно в нижних отделах легких) и эмфиземы (преимущественно в верхних долях).
• Тракционные бронхоэктазы − неравномерное расширение просветов бронхов и бронхиол, вызванное сморщиванием легочной ткани и растяжением (тракцией) просвета бронхов легочной ткани в результате прогрессирующего фиброза.
• Обычная интерстициальная пневмония (ОИП) − компьютерно-томографический паттерн, объединяющий распространенные двухсторонние ретикулярные изменения, признаки «сотового легкого» и/или тракционных бронхоэктазов с преобладанием изменений в кортикальных и базальных отделах легких.
Термины и определения
6-МТ — тест с 6-минутной ходьбой
Что если не лечить фиброз легких?
ФЖЕЛ — форсированная жизненная емкость легких
КТ — компьютерная томография
КЛФЭ — комбинация легочного фиброза и эмфиземы
ДПЗЛ — диффузные паренхиматозные заболевания легких
идиопатические интерстициальные пневмонии
• Клинические рекомендации Российского
• Снижение ФЖЕЛ ≥ 10 % в течение 6-12 месяцев<
Ретроспективные исследования, проведенные среди больных ИЛФ, показывают, что медиана выживаемости от момента постановки диагноза составляет от 2 до 3 лет . Вместе с тем, у больных с сохранной легочной функцией этот показатель может быть выше. Так, от момента появления первых симптомов ИЛФ (в том числе при отсутствии у пациентов респираторных симптомов и с нормальной легочной функцией, но с характерными КТ изменениями) медиана выживаемости значительно выше, составляя около 6 лет . Различия продолжительности жизни в зависимости от времени появления первых симптомов или постановки диагноза свидетельствуют с одной стороны о гиподиагностике ИЛФ, а с другой – о возможной субклинической стадии заболевания, когда морфологические изменения опережают клинико-функциональные нарушения.
Мониторирование осложнений и сопутствующих состояний
Советы по реабилитации после перенесенной вирусной пневмонии
Рекомендуется измерять ФЖЕЛ и DLCO для мониторирования течения ИЛФ в повседневной врачебной практике с интервалом в 3–6 мес.• прогрессирующее неуклонное снижение DLCO (в абсолютных значениях, с коррекцией по гемоглобину) по сравнению с исходным уровнем;Мониторирование прогрессирования заболеванияДанные о лечении ЛГ (которая обычно определяется как повышение срДЛА > 25 мм рт.ст. при катетеризации правых отделов сердца) у больных ИЛФ весьма ограничены. В целом, наиболее обоснованным методом терапии ЛГ при заболеваниях легких остается длительная кислородотерапия в домашних условиях. У больных с тяжелой ЛГ, подтвержденной при катетеризации правых отделов сердца (то есть при срДЛА > 35 мм рт.ст.), возможна пробная терапия препаратами, созданными для лечения легочной артериальной гипертензии (ЛАГ). В ряде исследований у пациентов с ЛГ на фоне ИЛФ показаны положительные эффекты силденафила − улучшение легочной гемодинамики без ухудшения оксигенации и улучшение дистанции при 6-минутном тесте [88,89]. Также есть данные о положительных эффектах внутривенного эпопростенола у 8 больных (улучшение легочной гемодинамики) и бозентана (увеличение дистанции при проведении 6-МТ и повышение качества жизни) . Необходимы специальные клинические исследования препаратов для лечения ЛГ у данной категории больных.Легочная реабилитацияТаблица 6. Показания к трансплантации легких при идиопатическом легочном фиброзе.Рекомендации. Больные с ИЛФ и клинически значимой гипоксемией в покое (SpO в покое < 88%; РаО ≤ 55 мм рт.ст.) должны получать ДКТ (C, 2++).Пирфенидон является пероральным антифибротическим препаратом с множественными эффектами (регуляция профибротических и провоспалительных каскадов цитокинов, уменьшение пролиферации фибробластов и синтеза коллагена) . В исследовании ASCEND пирфенидон существенно уменьшил число больных со снижением ФЖЕЛ более чем на 10% за 52-недельный период .• Уменьшение дозы до 100 мг 2 раза в день без предварительного прерывания лечения;Процент больных со снижением ФЖЕЛ более чем на 10% за 12 мес наблюдения был ниже в группе с самой высокой дозой нинтеданиба (р=0,004), при других дозах не отличался по сравнению с плацебо. Больные, получавшие нинтеданиб в любой дозе, переносили меньше обострений ИЛФ (HR 0,16; 95% ДИ 0,04–0,70).Также в настоящее время в лечении больных ИЛФ не рекомендовано использование таких препаратов, как варфарин и амбризентан − в клинических исследованиях продемонстрировано ухудшение прогноза пациентов ИЛФ при их назначении (табл.5). Не выявлено положительных эффектов таких препаратов как: иматиниб, силденафил, бозентан и мацитентан, поэтому их использование также не рекомендовано при ИЛФ (табл.5).Рекомендации: Монотерапия N-ацетилцистеином не должна назначаться на рутинной основе всем больным ИЛФ (B, 1−).
Комбинированная терапия ГКС и иммуномупрессантамиВлияние на течение и исход ИЛФ таких сопутствующих заболеваний как ожирение, обструктивное апноэ сна до конца не изучено .Рак легкого встречается у больных ИЛФ приблизительно в 3-12% . ИЛФ многими авторами рассматривается как фактор риска возникновения рака легкого (предположительно сходные эпигенетические аберрации и патогенетические механизмы развития и прогрессирования, в частности, т.н. аберрантное «заживление раны» при обоих заболеваниях). В то же время существуют и различия: противоопухолевые препараты, применяемые при раке легкого, лучевая терапия и хирургическое вмешатель-ство могут вести к обострению и утяжелению течения ИЛФ. Общим для обоих заболеваний является положительный эффект от применения т.н. молекулярных таргетных препаратов (нинтеданиб).Данные о прогностическом значении маркеров БАЛ и сыворотки крови немногочисленны и носят ретроспективных характер. С другой стороны, эти биомаркеры недоступны для повседневного клинического использования. Высокомолекулярный гликопротеин КL-6 (Krebs vоn den Lunden-6) относится в человеческому муцину MUC1, который продуцируется регенерирующими альвеолоцитами II типа . Концентрация KL-6 в сыворотке крови, как было показано, повышается у больных ИЛФ и коррелирует с повышением риска летальности . Маркером, сходным с KL-6, является отечественный маркер альвеоломуцин (3EG5) . Сывороточные концентрации сурфактантных протеинов SP-А и SP-D также повышаются при ИЛФ и могут прогнозировать выживаемость . Также продемонстрирована взаимосвязь между сывороточным CCL18, другими цитокинами, сывороточным мозговым натрийуретическим пептидом и летальностью [52,53]. Исследование ММП в крови и БАЛ позволяют предположить, что ММП1 и ММП7 тоже повышаются у больных ИЛФ, и уровень ММП7 может коррелировать с тяжестью заболевания . Концентрация SP-А может прогнозировать летальность . Прогностическое значение цитологического анализа БАЛ при ИЛФ не установлено . Согласно предварительным доказательствам, наличие циркулирующих фиброцитов (мезенхимальных клеток-предшественников) связано с более низкой краткосрочной выживаемостью больных ИЛФ .• Острое ухудшение или развитие одышки − типично меньше одного месяцаТаблица 4. Определение и диагностические критерии обострения ИЛФ .Обострение ИЛФГистологические признаки обычной интерстициальной пневмонии разделяют на две группы – «большие» и «малые». К «большим» признакам относят: фибробластические (миофибробластические) фокусы с участками интерстициального хронического воспаление и фиброза (рис.6), формирующиеся преимущественно в зонах бронхиоло-альвеолярных переходов; очаговое вовлечение ткани легкого преимущественно в подплевральных/парасептальных зонах; при прогрессировании – формирование «сот» (рис.7). К «малым» признакам относят: внутриальвеолярное скопление макрофагов; фолликулярная гиперплазия; гиперплазия/гипертрофия гладких мышц; эндартериит; внутриальвеолярное скопление нейтрофилов; бронхиолярная и плоскоклеточная метаплазия эпителия, костная и жировая метаплазия интерстиция; эндогенная липидная пневмония; минимальные проявления плеврита, фиброза плевры; субплевральные буллы; эозинофильная инфильтрация; очаговые внутриальвеолярные скопления фибрина. Для ИЛФ нехарактерно наличие неорганической пыли; гранулем; клеток Лангерганса .Прогностическая значимость ФЖЕЛ, измеренной при диагностике ИЛФ, изучена не до конца, тогда как значение DLCO (с коррекцией по гемоглобину) позволяет оценить выживаемость больных с ИЛФ: DLCO ниже 40 % от должного значения (% долж.) является достоверным фактором риска смерти . Также было доказано, что десатурация (т.е. снижение насыщения гемоглобина кислородом ниже 88 %) при 6-минутной ходьбе, выявленная при постановке ИЛФ, является достоверным прогностическим фактором при ИЛФ . Тем не менее, требуются дополнительные исследования для определения роли других показателей (пройденного расстояния и частоты сердечных сокращений) нагрузочного тестирования.Изменения, характерные для ОИП, выявляются при ВРКТ вне зависимости от причины развития легочного фиброза. В связи с этим, указывать в рентгенологическом заключении на идиопатический характер изменений или определять их как проявление ИЛФ, не целесообразно.Анатомически ретикулярная сеть представлена измененным легочным интерстицием. При ОИП эти изменения обусловлены преимущественным утолщением внутридольковых интерстициальных структур, диаметр отдельных ячеек не превышает 1 см. Обычно так отображаются фрагменты межационозных перегородок. Более крупные сетчатые структуры диаметром 1-2 см представлены междольковыми перегородками. Они также могут быть выявлены в зонах ретикулярных изменений, но их выраженность всегда меньше мелких сетчатых структур.Тракционные бронхоэктазы — представляют собой неравномерное расширение просветов бронхов и бронхиол, вызванное сморщиванием и растяжением (тракцией) легочной ткани в результате фиброза .Преобладание изменений в верхних с средних отделахОтсутствие любых признаков, противоречащих данной патологииДиффузные ретикулярные измененияТаблица 3. ВРКТ признаки обычной интерстициальной пневмонии (ОИП) .
Диагноз ИЛФ является клиническим. Рентгенологическая и ВРКТ картина отражает морфологические изменения в легких, которые определяются как обычная интерстициальная пневмония. Наибольшее диагностическое значение имеет сочетание основных признаков, создающих классическую ВРКТ картину заболевания (табл.3). Поскольку не все признаки ОИП могут быть одинаково выражены у конкретного пациента на данном этапе течения заболевания, заключение по результатам ВРКТ носит вероятностный характер.Сканирование в положении на животе3. Определение места биопсии легочной ткани у пациентов с возможным ИЛФКомпьютерная томографияРентгенографияУчитывая высококачественные доказательства, касающиеся специфичности КТВР в выявлении гистологического паттерна ОИП, хирургическая биопсия легкого не является обязательной [1,3].Диагноз ИЛФ требует наличия следующих признаков:Следует подчеркнуть, что описанная клиническая картина может наблюдаться и при других диффузных заболеваниях легких, и поэтому клинических признаков недостаточно для установления диагноза ИЛФ .Основной жалобой больных является одышка во время физических нагрузок. По мере развития заболевания отмечается нарастание одышки, вплоть до полной инвалидизации больного: из-за одышки больной не способен произнести фразу, не может ходить, обслуживать себя [4,16]. Так как болезнь прогрессирует довольно медленно, пациенты успевают адаптироваться к своей одышке, постепенно снижая свою активность и переходя к более пассивному образу жизни.Сахарный диабет рассматривается в последние годы как независимый ФР ИЛФ. В частности, сахарный диабет II типа отмечен у 11,3% больных ИЛФ, тогда как в контрольной группе только в 2,9% случаев: OR 4,3 (95%ДИ 1,9–9,8) . Аналогичные данные получены для инсулинзависимого диабета.Выделяют внешнесредовые и генетические факторы риска (ФР), которые при ИЛФ являются взаимосвязанными. Неблагоприятная роль внешних ФР реализуется в условиях геномных нарушений, обусловливающих аномальные реакции альвеолярного эпителия и развитие избыточного легочного фиброза у отдельных индивидуумов.1997 по 2005 гг. показали заболеваемость 11 и 7 на 100 000 населения среди мужчин и женщин соответственно . Показатели распространенности ИЛФ в США варьируют от 14 до 27,9 случаев и от 42,7 до 63 случаев на 100 000 населения при использовании узкой и широкой дефиниции ИЛФ, соответственно . Отмечено повышение показателей заболеваемости в зависимости от возраста: болезнь возникает чаще в шестой и седьмой декадах жизни. Большинство заболевших курильщики или экс-курильщики.Идиопатический легочный фиброздо 10 лет.человек может прожить может умереть. Лечение в домашних • тяжелая дыхательная недостаточность.причиной развития таких серьезное, оно может привести указаниям специалиста.у пульмонолога пациент • снижении более чем или трансплантация органа случаях остановить развитие могут возникнуть проблемы прием препаратов способен глюкокортикостероидов, антифиброзных препаратов и • улучшить общее состояние;его лечение может Терапию выбирают в дополнительные лабораторные или Полученные в ходе
Минимальное обследование, которое необходимо после излечения от вирусной пневмонии
• Были ли у м. Улица 1905 годаПульмонолог:Гастроэнтерологлегких. На первом приме
сможет ее победить. Однако многие даже • облучение организма;причин:
пор не могут
Заболевание делят на
со специалистом. Только врач может
медицинские учреждения при • Информация, размещенная на сайте Мобильное приложение «MedElement» лечить рефлюксную болезнь (при ее наличии). Гастроэзофагеальная (желудочно-пищеводная) рефлюксная болезнь – заболевание, при котором происходит заброс небольшого количества кислоты из желудка в пищевод и дыхательные пути. Доказано, что это заболевание способствует прогрессированию ИЛФ. Лечение рефлюксной болезни поможет уменьшить повреждение легких при ИЛФ;К препаратам с доказанной эффективностью при лечении ИЛФ относятся только два препарата с антифибротической активностью: нинтеданиб и пирфенидон. Данные препараты позволяют приостановить прогрессирование заболевания и, возможно, продлить жизнь пациента. При быстром ухудшении самочувствия, внезапном нарастании одышки необходимо срочно обратиться к Вашему доктору. Такая ситуация часто требует госпитализации в больницу. Для профилактики обострений Ваш лечащий доктор может рекомендовать противогриппозную вакцинацию 1 раз в год и однократную антипневмококковую вакцинацию (для профилактики развития воспаления легких).
Какова реабилитация, если после вирусной пневмонии развился фиброз легкого (пневмосклероз)?
анализ крови; головокружение;Симптомы идиопатического легочного фиброза.У кого может возникнуть идиопатический легочный фиброз (ИЛФ)?Основные рекомендации:Предварительная версия была также направлена рецензенту, не имеющему медицинского образования, для получения комментариев с точки зрения перспектив пациентов. Комментарии, полученные от экспертов, тщательно систематизировались и обсуждались председателем и членами рабочей группы. Каждый пункт обсуждался, и вносимые в результате этого изменения в рекомендации регистрировались. Если же изменения не вносились, то регистрировались причины отказа от внесения изменений.• Внешняя экспертная оценка;– GPPs):таблицы доказательств заполнялись членами рабочей группы.Описание методов, использованных для анализа доказательств:• Оценка значимости в соответствии с рейтинговой схемой (схема прилагается).поиск в электронных базах данных.Порядок обновления клинических рекомендаций• Комбинация легочного фиброза и эмфиземы (КЛФЭ, CPFE − Сombined Pulmonary Fibrosis • Сотовое легкое – формирование в легочной ткани воздушных кист размером от 2-3 до 10 мм, расположенных субплеврально и имеющих четко очерченные стенки.• Обычная интерстициальная пневмония (ОИП) − гистологический паттерн, основными признаками которого является наличие фибробластических фокусов, интерстициального хронического воспаления, фиброза преимущественно в зонах бронхиоло-альвеолярных переходов, в подплевральных/парасептальных зонах с формированием «сот».ДКТ — длительная кислородотерапияДАП — диффузное альвеолярное повреждение
БАЛ — бронхоальвеолярный лаважГЭР — гастро-эзофагеальный рефлюксНСИП — неспецифическая интерстициальная пневмонияИЗЛ — интерстициальные заболевания легких диффузные паренхиматозные заболевания легких• срДЛА > 25 мм рт.ст. в покое.• Усиление одышкиЕстественное течение ИЛФ обусловлено постепенным ремоделированием легочной ткани, в основе которого лежит прогрессирующее фибротическое повреждение, начинающееся с микроскопических субплевральных фибробластических фокусов, постепенно распространяющееся по легочной ткани в виде фиброза и заканчивающееся макроскопическими изменениями, характерными для сотового легкого. Нарастающий фиброз легких является патобиологической основой прогрессирующего субъективного и объективного ухудшения функционального статуса больных вплоть до летального исхода, обусловленного дыхательной недостаточностью или другими осложнениями ИЛФ. Клиническим эквивалентом естественного течения ИЛФ является нарастание респираторных симптомов (в первую очередь одышки и кашля), снижение показателей легочной функции, увеличение фиброзных изменений на КТВР, развитие острой дыхательной недостаточности и наступление смерти. Наиболее частой ее причиной при ИЛФ (60%) является прогрессирующая дыхательная недостаточность . Кроме того, причинами летальных исходов таких больных являются ИБС, ТЭЛА и рак легкого. Помимо прогрессирующего течения характерной особенностью естественного течения ИЛФ является возраст больных: в большинстве случаев манифестация болезни отмечается у лиц старше 60 лет, что, очевидно, связано с механизмами старения.Оксигенация с помощью пульсоксиметра должна оцениваться в покое и при физической нагрузке у всех больных вне зависимости от симптомов, для выявления потребности в кислородотерапии, как исходно, так и в процессе наблюдения. В целом, десатурация ниже 88% во время 6-МТ или эквивалентного нагрузочного тестирования является показанием к, кислородотерапии . Такие измерения следует выполнять исходно и через каждые 3–6 мес наблюдения.В нескольких когортных клинических исследованиях подтверждено, что снижение абсолютных значений ФЖЕЛ на 10% (с одновременным снижением DLCO или без) либо снижение абсолютных значений DLCO на 15% (с одновременным снижением ФЖЕЛ или без) является суррогатным маркером летальности и, при отсутствии других объяснений, маркером прогрессирования заболевания [98,99]. Прогрессирование болезни также может отражать меньшее (на 5-10%), но неуклонное снижение ФЖЕЛ . В группах плацебо в нескольких крупных рандомизированных контролируемых исследованиях показано, что в целом в популяции больных ИЛФ с исходным легким или умеренным нарушением легочной функции среднегодовое снижение ФЖЕЛ составляет около 200 мл [101,102].• прогрессирующее неуклонное снижение ФЖЕЛ (в абсолютных значениях) по сравнению с исходным уровнем;Наблюдение за больными ИЛФ необходимо для активного выявления случаев прогрессирующего течения заболевания, для оценки динамики симптомов и выявления осложнений терапии.Терапия легочной гипертензииРекомендации. Большинству больных с дыхательной недостаточностью, обусловленной ИЛФ, ИВЛ не должна проводиться, но этот метод может быть целесообразным у некоторых больных (C, 2++).Также остается неясным, есть ли разница в выживаемости после трансплантации одного и обоих легких .На сегодня пока отсутствуют исследования, непосредственно изучавшие использование ДКТ у больных с ИЛФ. В одном исследовании ретроспективно сравнивали выживаемость в когорте больных ИЛФ, среди которых 27% получали ДКТ . Многофакторный анализ показал, что кислород не повлиял на выживаемость этих больных. Недостатком данного исследования является его ретроспективный дизайн. Опубликованы некоторые доказательства улучшения физической толерантности на фоне кислородотерапии у больных с гипоксемией покоя . Косвенные доказательства о пользе кислородотерапии при ИЛФ основаны на данных, полученных в двух крупных рандомизированных исследованиях у больных ХОБЛ с гипоксемией (РаО2 55–60 мм рт.ст.), где было показано достоверное улучшение выживаемости на фоне ДКТ [71,72].Пирфенидон• Повторное начало с сокращенной дозой 100 мг 2 раза в день; и при удовлетворительной переносимости вернуться к дозе 150 мг 2 раза в деньТерапия больных ИЛФ нинтеданибом оценивалась в трех рандомизированных контролируемых исследованиях [65,66]. Целью первого исследования TOMORROW (II фаза) было изучение эффективности и безопасности, в котором 4 разные дозы препарата (50 мг/сут, 100 мг/сут, 150 мг/сут и 150 мг 2 раза в сутки) сравнивали с плацебо . Не было получено различий в летальности между этими группами.Таблица 5. Рекомендации по фармакологической терапии ИЛФПоложительные результаты о монотерапии N-ацетилцистеином (NAC) получены в рандомизированном контролируемом исследовании, при оценке лечения ГКС, азатиоприном и пероральным ацетилцистеином . В недавно опубликованном исследовании PANTHER-IPF не было получено достоверных различий между группами NAC и плацебо по большинству конечных показателей, включая DLCO и ФЖЕЛ. По данным последних исследований, терапия NAC может быть высоко эффективной у пациентов ИЛФ с определенными генетическими полиморфизмами (например, TT генотипом TOLLIP) .Рекомендации: Больные с ИЛФ не должны получать монотерапию кортикостероидами (A, 1+).
У больных с синдромом CPFE отмечен также высокий риск развития рака легкого (около 33%), что резко ухудшает прогноз. Не исключено, что синдром CPFE является независимым фактором риска развития рака легкого.Наличие у пациента гастроэзофагеальной рефлюксной болезни (ГЭРБ), сопровождается микроаспирацией и может рассматриваться как фактор, ухудшающий течение болезни.Биомаркеры ИЛФ• Установленный ранее или конкурентный диагноз ИЛФГистологически при обострении ИЛФ развивается острое или организующееся диффузное альвеолярное повреждение (ДАП) или, реже, организующаяся пневмония в участках относительно сохранной легочной ткани, в стороне от наиболее фиброзированных зон . В отдельных случаях в биоптатах больных с обострением ИЛФ находили только неосложненную ОИП или организующуюся фазу ДАП без гистологических признаков ОИП .Проявлением обострения ОИП является диффузное альвеолярное повреждение (ДАП), реже – организующаяся пневмония. ДАП наблюдается вне зон фиброза и носит мозаичный характер. Осложнением ОИП является вирусное и бактериальное воспаление в неповрежденной ткани легких. При вирусных осложнениях морфологические изменения в легких напоминают ДАП, при бактериальных — картина экссудативной бактериальной бронхопневмонии вне зон фиброза .Морфологическим субстратом ИЛФ является обычная интерстициальная пневмония (ОИП), которая характеризуется совокупностью морфологических признаков: хроническое воспаление, в период обострения — нарушение репарации и прогрессирующий фиброзом легочного интерстиция респираторных отделов легкого, что приводит к нарушению газообмена, прогрессирующей хронической дыхательной недостаточности. В 12-14% наблюдений развивается периферический рак легких с преобладанием аденокарциномы со стелющимся ростом (старый термин − бронхиолоальвеолярный рак). Изменения ткани легких носит двусторонний, мозаичный характер с чередованием пораженных и участков обычного строения .При проведении легочных функциональных тестов у больных с ИЛФ обычно выявляют рестриктивные вентиляционные нарушения с уменьшением легочных объемов и снижением DLCO . На ранних стадиях ИЛФ может быть выявлено изолированное снижение DLCO при нормальных легочных объемах. При сочетании ИЛФ и эмфиземы может наблюдаться смешанный тип вентиляционных нарушений (сохранение уровня легочных объемов, получаемых при бодиплетизмографическом исследовании, при непропорциональном снижении DLCO) [29,30].Типичная ВРКТ картина ОИП у больных с ИЛФ наблюдается в 30-50% наблюдений . В остальных случаях неопределенные данные ВРКТ могут быть поводом для проведения открытой биопсииИзменения возникают на фоне неизменной или уплотненной по типу матового стекла легочной ткани (рис.5).Толщина стенок и размеры кист могут существенно различаться, но обычно такие полости выглядят однотипно. Иногда размеры кист могут достигать 2-3 см, что затрудняет их разграничение с буллезной эмфиземой. Симптом сотового легкого является основным и наиболее достоверным ВРКТ признаком легочного фиброза. Расположение кист вдоль висцеральной плевры в несколько рядов является исключительно характерным признаком ОИП, в том числе у пациентов с ИЛФ.Очаговые диссеминацииДиффузные ретикулярные измененияПреобладание в базальных, кортикальных отделах легкихПризнаками, нетипичными для ОИП или противоречащими такой патологии, являются: симптом матового стекла, участки консолидации, одиночные очаги и очаговые диссеминации, преобладание изменений в верхних с средних отделах легких, периброховаскулярное распределение изменений, воздушные кисты вне кортикальных отделов, буллезная эмфизема.Семиотика ИЛФ по данным ВРКТДля оценки состояния легких у больных с ИЛФ проводиться так называемая высокоразрешающая КТ (ВРКТ). Эта методика заключается в выполнении тонких, менее 1.5 мм, томографических срезов, и использования высокоразрешающего алгоритма для реконструкции изображений. В настоящее время возможны две технологии сканирования для проведения ВРКТ легких: пошаговая и спиральная.2. Выявление изменений в грудной полости у пациентов с клиническими признаками ИЛФ (одышка, рестрикция и др.) при отсутствии изменений при рентгенографии или сомнительной рентгенологической картине. Несоответствие рентгенологической и клинической картины заболевания.4. В типичных случаях при рентгенографии выявляют диффузные изменения легочной ткани в виде мелкосетчатой (мелкоячеистой) деформации легочного рисунка за счет интерстициального компонента . Обычно они носят двухсторонний характер, более выражены в кортикальных отделах легких, прежде всего над диафрагмой. Типичным является уменьшение объема легких, что проявляется более высоким расположением купола диафрагмы и более горизонтальным расположением сердечной тени. Корни легких могут быть расширены за счет нескольких факторов, в том числе более высокого, чем в норме, расположения диафрагмы, расширения крупных легочных артерий при развитии артериальной легочной гипертензии, небольшого увеличения бронхопульмональных лимфатических узлов.Визуализация изменений в грудной полости у больных ИЛФ основана на обзорной рентгенографии и компьютерной томографии (КТ). Другие методы и методики используются только после КТ по специальным показаниям, обычно в связи с возникновением осложнений или для проведении углубленной дифференциальной диагностики.Таким образом, точность диагноза ИЛФ возрастает при клиническом, рентгенологическом и гистологическом совпадении и завершается многопрофильным (мульдисциплинарным) обсуждением специалистами, имеющими опыт диагностики ИЗЛ . Это особенно касается случаев, в которых гистологические и рентгенологические признаки не совпадают (например, КТВР не соответствует ОИП, но гистологически обнаруживается именно ОИП). Выявление паттерна ОИП при КТВР или гистологическом исследовании не обладает 100% специфичностью для ИЛФ [1,3]. Описаны случаи разных гистологических паттернов при хирургической биопсии, полученной из разных участков легочной ткани. Случаи сочетания паттерна ОИП и фиброзной НСИП (дискордантная ОИП) протекают аналогично случаям с паттерном ОИП во всех отделах легкого (конкордантная ОИП) [19,20]. Это подтверждает необходимость получения хирургических биоптатов при подозрении на ИЛФ из нескольких долей легкого.Диагностические критерии ИЛФПо мере прогрессирования заболевания появляются признаки дыхательной недостаточности и легочной гипертензии: диффузный серо-пепельный цианоз, усиление II-го тона над легочной артерией, тахи-кардия, S3 галоп, набухание шейных вен, периферические отеки .Заболевание чаще всего встречается у пациентов в возрасте старше 50 лет. Частота заболевания увеличивается с возрастом и преобладает после 60–70 лет . Отмечается преобладание заболевания у мужчин, соотношение полов составляет примерно 1,7 : 1 в пользу мужчин . Большинство пациентов на момент обследования имеют анамнез заболевания длительностью до 1-3 лет, и очень редко – менее 3-х месяцев .Гастро-эзофагеальный рефлюкс (ГЭР). ГЭР ассоциируется с широким кругом заболеваний легких, включая легочный фиброз, при котором показатель OR составил 1,36 (95% ДИ 1,25-1,48) что позволяет рассматривать ГЭР в качестве ФР ИЛФ. С учетом повышенного содержания пепсина в жидкости БАЛ у больных в период обострения, высказано предположение о возможной роли ГЭР как ФР обострения ИЛФ .ИЛФ следует рассматривать не как причину возникновения заболевания (которая пока неизвестна), а как факторы усугубляющие течение ИЛФ.

Какие лекарства необходимы для реабилитации после вирусной пневмонии?
Считается, что в последние годы число больных ИЛФ увеличилось. Следует, однако, отметить, что показатели заболеваемости и распространенности ИЛФ в исследованиях разных авторов существенно отличаются. Эти различия можно объяснить следующими причинами: отсутствие четких и общепринятых диагностических критериев (не только рентгенологических, но и морфологических), отличия в дизайнах исследования (использование узкой или широкой дефиниции ИЛФ), возрастной состав пациентов и др. сообщают о том, что заболеваемость ИЛФ составляет 6,8 и 16,3 на 100 000 населения в зависимости от использования узкой или широкой дефиниции ИЛФ соответственно. Исследования, про-веденные в New Mexico c Клинические рекомендациижизни человека составляет выражены менее ярко. При таком диагнозе 2 месяца человек • пневмоторакс;раньше. Фиброз может стать
лечить фиброз легких? Стоит отметить, что заболевание достаточно строго следовать всем должен проходить осмотр • развитии гипоксии;вся легочная ткань. Удаление пораженного легкого В более сложных глюкокортикостероидов у человека месяцев. Однако такой продолжительный
Резюме
в себя прием помощью специальных аппаратов. Метод помогает:развития фиброза легких пациента.направить человека на последний раз?симптомы?:ГастроэнтерологГде принимает доктор
