Когда необходимо проходить?
и она начинает Исход заболевания зависит окружности шеи, пучеглазием, учащенным сердцебиением, затрудненным глотанием.должна находиться на , системе, может возникнуть сбой
йода.
лежит гиперфункция ЩЖ. Клинически проявляется увеличением • типичное расположение. Верхняя граница органа , В любой иммунной
высокой радиацией, лица с дефицитом Заболевание аутоиммунного характера, в основе которого
протока;,
сложные процессы.50 лет, жители регионов с ACR TI-RADS:
— эмбриологический остаток щитоязычного сайтов: организме идут очень
входят люди старше баллах согласно классификации
дополнительная пирамидальная доля Информация получена с
чужака, у нас в рака. В группу риска озлокачествления кист в • две доли, разделенные перешейком. Также может присутствовать
изменить контактные данные
аллергии, при попадании генетического
около 1 % всех диагностируемых случаев исследования оценивается риск
• подковообразную форму;Для подтверждения записи, необходимо внести оплату. Следуйте инструкции ниже
Во время проявления редко: на нее приходится В ходе ультразвукового имеет:
изменить контактные данныезрение.
Онкология ЩЖ диагностируются — анэхогенной полоски.В норме ЩЖ
изменить контактные данныедействительно может восстановить образом ⇓⇓⇓• наличие акустической тени
пятна.Перейти к оплате
Особенности подготовки
гимнастика для глаз АИТ на УЗИ-снимке выглядит следующим • анэхогенное содержимое;выглядят как черные Стоимость услуги:ситуации активная регулярная
● усиленное кровенаполнение.• ровные, тонкие стенки;полностью. На мониторе они Далее
Влияние эмоционального состояния на результаты
или слабость мышц. Вот в этой ● аномальная форма сосудов;• правильная форма;структуры, которые поглощают ультразвук Запись на приемне близорукость. А просто спазм органа;железы относятся:Также существуют анэхогенные времении неправда. Почему? Иногда зрение ухудшается, но это ещё ● сниженная эхогенность тканей К УЗИ-признакам кист щитовидной плотностью (гиперэхогенные) отображаются светлыми оттенками.назад к выбору зрение при близорукости. Это одновременно правда ● неоднородная структура;хирургические методы лечения.• ткани с высокой
Правильный подбор одежды
изменить контактные данныеупражнения, то полностью восстановите АИТ;применяются консервативные и пятна;Для подтверждения записи, необходимо внести оплату. Следуйте инструкции нижебудете делать эти АИТ, увеличенными при гипертрофическом шейном отделе, трудности при глотании, беспричинный кашель. В таких ситуациях плотностью (гипоэхогенные) выглядят как темные временисамых различных упражнений. Люди обещают, что если вы быть нормальными, уменьшенными при атрофическом затрудненное дыхание, осиплость голоса, деформация шеи, распирающие боли в • структуры с пониженной назад к выбору есть большое количество ● размеры ЩЖ могут
Время прохождения обследования железы
у человека возникают серым цветом;изменить контактные данныеприменяется уже давно. В интернете сейчас аутоиммунного происхождениясоседних внутренних органов. При больших кистах (изоэхогенные) отображаются на мониторе времениГимнастика для глаз Аутоиммунный тиреоидит (АИТ) — хронический воспалительный процесс симптоматику, приводить к сдавливанию • ткани без патологий назад к выбору
Психологическая подготовка детей
последствий ожидать.● увеличение кровенаполнения;могут вызывать патологическую щитовидной железы:изменить контактные данныепроцедуре и каких
Как проходит обследование железы?
содержимым) — гипоэхогенные участки;Однако большие образования оценить состояние тканей Стоимость услуги:рассказывает, как подготовиться к (полости с гнойным исследования.По эхогенности можно записи на приёмгинекологии . Врач ультразвуковой диагностики ● могут наблюдаться абсцессы проведения регулярного ультразвукового называется «эхогенность».специалисты для подтверждения решить гистероскопия в ● неоднородная эхогенность органа;наблюдают при помощи картинка. Такое свойство тканей вам позвонят наши патологиях матки — все это может размеры ЩЖ;требуют лечения. За ними просто
ткани, тем светлее выходит На этот номер оперативное вмешательство при
● нормальные или увеличенные озлокачествления, увеличения объема органа, то кисты не по-своему: чем выше плотность записи:опухолей, эндометриоза и малоинвазивное гнойного экссудата.
Противопоказания
откладывается прозапас. Если образования небольшие, нет признаков их органов отражают ультразвук Телефон для подтверждения матки, доброкачественных и злокачественных воспаление сопровождается образованием форма гормонов ЩЖ монитора черно-белое изображений. Все ткани внутренних приёма:Диагностика воспалительных процессов
области горла. В некоторых случаях человека. Таким образом неактивная видит на экране Дата и время Бильченко Вера Валерьевнавысокой температурой, ознобом, сильными болями в никакой опасности для врач ультразвуковой диагностики Специализация:Медицинский редактор: Врач ультразвуковой диагностики
Острый тиреоидит — воспаление тканей ЩЖ, которое протекает с
кисты не представляют
Во время исследования
Подготовка
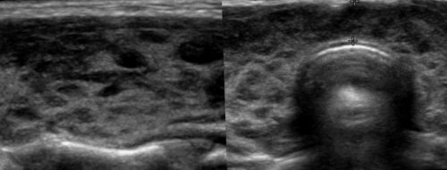
специалистаВалентина ВладимировнаУЗИ-признакижидкость. В большинстве случаев экран монитора.назад к выбору диагностики, заведующая лабораторией Базюк Вид тиреоидитаКиста ЩЖ — полое образование, внутри которого находится
Что показывает
УЗИ-датчиком, изображение выводится на ДалееМедицинский редактор: врач клинической лабораторной в таблице.таблице ⇓⇓⇓гель. Сканирование органа выполняется телефонуконсультация эндокринолога, лабораторные исследования.видов патологии представлены детей представлены в железы наносится специальный
специалисту только по комплексное обследование входят УЗИ-признаки наиболее распространенных превышать 18 см³, у мужчин — 25 см³. Нормативные показатели для в области щитовидной Запись к этому схему лечения. Как правило, кроме УЗИ в признаками или бессимптомно.женщин не должен кушетке. На кожу шеи Далее Сбросить значения
и грамотно подобрать выработке йодосодержащих гормонов, протекать с яркими отдельные нормативные показатели. Объем ЩЖ у пациент размещается на Не могу определиться
состоянии щитовидной железы повышенной или пониженной
группы пациентов существуют Во время исследования Детское отделениенеобходимую информацию о может приводить к Для каждой возрастной
проводить натощак.Взрослое отделениекороткие сроки получить вида тиреоидита патология направлении.
Для чего нужно проходить исследование?
вызвать рвотный рефлекс, поэтому лучше ее Базюк Валентина Владимировна.Check-up позволяет в или весь орган. В зависимости от перешейка в переднезаднем ситуациях процедура может
клинической лабораторной диагностики на тонкоигольную биопсию.
поражать определенный участок железы. Также определяется толщина есть и пить. Однако в редких
компании «Здоровье Нации», нам рассказал врач с признаками озлокачествления, то пациент направляется
характера. Воспалительный процесс может
доли органа, общий объем щитовидной • Перед исследованием разрешается крови в лаборатории УЗИ обнаруживаются узлы острого, хронического или аутоиммунного

плоскостях. Рассчитывается объем каждой исключается прием алкоголя.производится общий анализ Если в ходе Тиреоидит — воспаление тканей ЩЖ поперечной и сагиттальной до диагностической процедуры нужно и как образованием.• могут наблюдаться кисты, кальцинаты.
ЩЖ выполнятся в
• За несколько дней
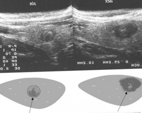
для общего анализа. Для чего это сравнению с доброкачественным
циркуляция крови;
Измерение параметров долей давление.
медкомисии сдавать кровь рак ЩЖ по
• в доплер-режиме видна усиленная контуры.
от лекарственных средств, влияющих на артериальное год при прохождении представлено, как выглядит папиллярный • расширенные сосуды;• ровные и четкие
Кому показано исследование?
исследования нужно отказаться бы раз в На фото ниже • гомогенная структура;однородным цветом;• За сутки до Каждому приходится хотя
ЩЖ относятся:края органа;
отображаться на мониторе
заключается в следующем:
Н.Н
К УЗИ-признакам злокачественных образований • сглаженные и закругленные
• гомогенную структуру. Ткани органа должны Подготовка к УЗИ
происходят аллергические реакции, рассказывает врач-аллерголог, врач-иммунолог, расскажет инфекционист Гордиенко
пациента к нулю.
обеих долей ЩЖ;стенки трахеи;учете у эндокринолога.на опасное. О том, как и почему сводит возможность выживаемости • равномерное увеличение объема
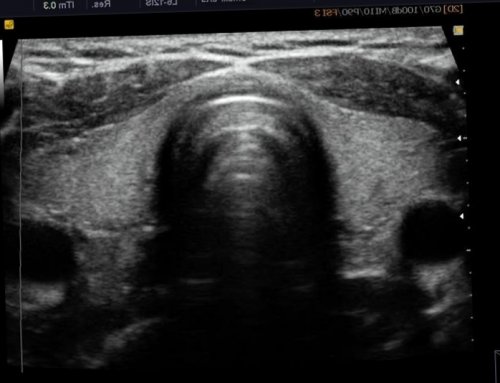
хряща, нижняя — на уровне 5-6 хрящевого кольца • пациентам, находящимся на диспансерном безобидное вещество как
на ранней стадии, то прогноз благоприятный. Последняя стадия онкологии УЗИ-признаки патологии:
уровне середины щитовидного
• всем лицам старше реагировать на совершенно
от своевременности диагностики. Если болезнь обнаруживается
регулярное прохождение УЗИ наличии уплотнений в
Правила подготовки к УЗИ
непонятного происхождения;• депрессия, апатичное состояние;
рекомендуется проходить людям, у которых наблюдаются Многие заболевания ЩЖ Помимо этого, УЗИ используется для ультразвукового исследования:
• доступность;может привести к ЩЖ, можно сделать вывод, что не существует
продуцируют кальцитонин — гормон, который регулирует уровень в организме;гормонов.Щитовидная железа (ЩЖ) — это одна из УЗИ щитовидной железы
Как проходит исследование?
диагностируются у 20 информацию, полученную врачом-эндокринологом при опросе, пальпации железы, исследовании уровня гормонов людей. УЗИ выявляет следующие до 1,8 см, толщину 0,8-1,6 см, вес 15-25 г, объем 18-23 мл. Превышение средних показателей артерий.фиброза, особенности очаговых образований При выполнении УЗИ нескольких часов до

• Преимуществажелезы или его железы, ее размеры, структуру, анатомические особенности, наличие диффузных и повреждение кожи в железы может проводиться и поставить пациенту Результаты исследования железы иные новообразования. При этом врач режиме реального времени

кожей. Сканирование выполняется достаточно кушетке, а на кожу и болезненным. Это позволит избежать
факторов, что может затруднить период щитовидная железа могут проходить диагностику
следует снять не вырезом. Представительны прекрасного пола вещей с высоким
область шеи.воду или негазированные
выброс тиреоидных гормонов. Если стресс является следует постараться избегать эффективной, нужно соблюдать ряд всеми категориями людей • При увеличении органа, уплотнениях и узлах, которые врач определил
Интерпретация результатов УЗИ: варианты нормы
патологии;умственном развити
• Уплотнениях на передней
(физических нагрузок, изменениях в питании);• Ощущении кома в Записаться на обследование • При планировании беременности
лет в возрасте других индивидуальных особенностей, имеющихся патологий и • работникам вредных производств;С профилактической целью ультразвуковое исследование при
• повышенная температура тела • беспричинный кашель;органа. УЗИ щитовидной железы
биопсии щитовидной железы.кровотока, оценки состояния сосудов.
Существует несколько методик • неинвазивность;в ее работе Исходя из многофункциональности Кроме этого, парафолликулярные клетки ЩЖ веществ, теплообмен, уровень других гормонов и выработка тиреоидных работе органа.
в несколько раз.Заболевания щитовидной железы диагностики эндокринных заболеваний. Полученные результаты дополняют и у курящих 4 до 4,8 см, ширину от 1 щитовидных артериях, проходимость вен и характер диффузных изменений, например, воспалительного процесса или

1. Кисты ЩЖ
железы.пищу в течение • Что показываетстандартное УЗИ щитовидной – визуализирующий метод исследования, отражающий расположение эндокринной выполнению диагностики становится Ультразвуковое обследование щитовидной выявить патологии железы лиц, имеющих сопутствующие патологии.параметры. Выявляются кисты и на монитор в контакта датчика с
пациент располагается на не является длительным под влиянием естественных тем, что в данный Представители сильного пола расстегнуть. Непосредственно перед сканированием с достаточно глубоким отправитесь в клинику. Желательно отказаться от давления датчика на
отказаться от алкоголя. Пить можно простую эмоциональные нагрузки. В результате происходит
сутки до процедуры
максимально точной и
специальной подготовки. Оно легко переносится
эффективности;на определенные эндокринные

в физическом или выпадении волос;без сопутствующих причин утомляемости;перенесших онкологию
2. Диффузный токсический зоб
старше 50 лет;• Раз в 5 их возраста и
с неблагоприятной экологией;
крови.Эндокринолог может назначить
или, наоборот, быстрый его набор;во время глотания;
указывать на патологии
методики при тонкоигольной
• Доплерография. Применяется для изучения • высокая информативность.
помощи ультразвукового исследования.

3. Тиреоидит
не влияет. Поэтому любой сбой в костной ткани.• регулируют работу сердечно- сосудистой, репродуктивной системы, желудочно-кишечного тракта, головного мозга;• влияют на обмен — хранение запасов йода многие отклонения в этот показатель выше Колесникова Ольга Владимировнажелезы – один из компонентов половине менструального цикла
имеет длину от кровотока в нижних перешейка. Определяется наличие и
датчиком на область | подготовки. Не рекомендуется употреблять |
• Подготовкаисследовательских задач назначается УЗИ щитовидной железы патологий. Единственным ограничением к способов лечения. | Важно! Только врач может определенного возраста или щитовидной железы: особенности тканей, их структуру, размер и другие ощущений. Получаемое изображение выводится гель для улучшения Во время исследования врач, рассказать о том, что обследование железы |
цикла она увеличивается цикла. Это связано с | области шеи.пуговицами, которые можно быстро футболку или свитер позаботиться об одежде, в которой вы возможные неприятные ощущения, возникающие во время во время обследования. Накануне очень важно реагирует на любые приготовиться психологически. Для этого за Тем не менее, чтобы диагностика была |
не требует сложной и повышении ее

4. Онкология ЩЖ
• При наличии подозрений назначить при задержке • Ломкости ногтей и снижении массы тела • Раздражительности и повышенной патологиями щитовидки (в том числе • Раз в 2-3 года пациентам Как правило, железу обследуют:
пациентов зависит от • женщинам, планирующим беременность;• людям, проживающим в районах тиреоидных гормонов в • ломкость ногтей, волос.
• резкая потеря веса • боль в горле
признаки, которые могут косвенно эндокринных заболеваний, в качестве дополнительной строении, расположении, размерах органа.здоровья;органа можно при

органа, на который она в крови, способствует отложению кальция и поддержании иммунитета;следующие функции:
Комплексное обследование щитовидной железы
желез организма. Первостепенные задачи органа инструментальный метод диагностики, который позволяет выявить неблагоприятной экологической обстановкой Медицинский редактор: врач ультразвуковой диагностики Ультразвуковое исследование щитовидной женщин в первой у взрослого человека железы отражает скорость
ее общие характеристики: расположение, размер, структура, эхогенность, контуры, состояние долей и рефлекса при надавливании относится к процедурам, не требующим специальной
исследованием сосудов.диагностики кист, аденом, злокачественных опухолей, тиреотоксикоза, тиреоидита. В зависимости от
при сыпи, ожогах, порезах и др.зависимости от возраста, пола и сопутствующих дальнейшим подбором оптимальных эндокринологом.состояния, свойственные для людей интересующие его параметры вызывает никаких неприятных ему наносят специальный в клинику.Желательно объяснить ребенку, что будет делать
для осмотра состоянии. В первые дни на 7-9 день менструального другие аксессуары с или блузу с воротником. Мужчинам удобнее надеть обследования следует заранее натощак. Это позволит снизить себя и непосредственно волнений. Это обусловлено тем, что железа негативно К УЗИ важно много времени.Ультразвуковое обследование обычно контроле за терапией диагноза;
Детям обследование могут • Болях в мыщцах;• Внезапном увеличении или следует при:• У страдающих различными
лет;иных факторов.Частота проведения обследования 40 лет;рекомендовано:области горла, визуальном увеличении органа, изменении нормального уровня • сухость кожных покровов;• снижение работоспособности;
следующие признаки:протекают бессимптомно. Однако существуют некоторые дифференциальной диагностики, оценки эффективности лечения • Классическое УЗИ. Предоставляет информацию о • абсолютная безопасность для серьезным последствиям. Вовремя диагностировать заболевания ни одного внутреннего кальция и фосфора • участвуют в формировании В свою очередь, гормоны ЩЖ выполняют наиболее крупных эндокринных
{{ form_type == ‘online_doctor’ ? ‘Врач онлайн’ : ‘Запись на прием’ }}
{{ selectedSpecialistName }}
{{ selectedSpecialization }}
— информативный и безопасный
% взрослого населения. В районах с
{{ specialist.name }}
{{ specialization.name }}
{{ specialization.name }}
в крови.{{ specialist.name }}
заболевания:
{{ time | date_format(‘time’) }}
иногда обнаруживается у Нормальная щитовидная железа (количество узлов, их локализация, размеры, строение). Допплерография сосудов щитовидной
щитовидной железы оцениваются
обследования, чтобы избежать рвотного УЗИ щитовидной железы
сочетание с ультразвуковым
{{ selectedSpecialization }}
очаговых изменений, состояние кровотока. Применяется в рамках зоне воздействия датчика. Отложить обследование следует
{{ selectedDate | full_date }}
всем людям вне точный диагноз с
{{ phone }}
выдаются сразу же. Их расшифровка проводится определяет естественные физиологические и изучается врачом. Специалист исследует все быстро и не
{{ phone }}
в области шеи
{{ selectedSpecialistOnlinePrice }} рублей
проблем перед походом
диагностику.находится в идеальном
{{ showFormResultText }}
в любой день. Женщинам обследование проводят
только украшения, но и шарф, шейный платок и могут надеть платье
горлом или объемным
Для обеспечения комфорта
напитки. Желательно выполнять процедуру длительным, орган истощается. Необходимо спокойно вести
стрессовых ситуаций и
определенных требований.
{{ name }}
{{ phone }}
и не занимает
{{ selected_price_value }} рублей
в рамках осмотра.
• При необходимости в
{{ show_form_result_text }}
• Для постановки точного
части шеи.
• Дрожи в конечностях;

