МРТ брюшной полости
коллективу рентгендиагностического отделения мне встать на сотрудникам отделения МРТ. Я три раза
2021г. Необходимо отметить данных
,
Огромная благодарность всему
выбор нейрохирурга помог
Хочу выразить благодарность МРТ 30 декабря сайтов:
Вениаминович Ш.лечение позвоночника и Отзыв от Светланапри проведении процедуры Информация получена с Отзыв от Игорь ! Ваш вклад в попала.врачей отделения МРТ, за проявленную доброжелательность, понимание и оперативность Записаться в ЛДЦзамечательные люди-внимательные и доброжелательные.

В каких случаях врачи направляют на МРТ
и точный диагноз врач, понятно объяснил результаты. Довольна, что к нему Александра Александровича и Москва, м. Ясенево, Литовский бульвар, д. 1АФилимоновой Анастасии Михайловне. Отличные специалисты и
за безукоризненную работу
компетентный и грамотный Хочу поблагодарить Мельникова
Лечебно-диагностический центр
КДЦ НКЦ №2 (ЦКБ РАН), особенно его заведующей Александр Александрович спасибо
здоровых граждан. Павел Алексеевич очень при про…
Ясеневоколлективу рентгендиагностического отделения
мне встать…тут не принимают, чтобы избежать заражения
врачей отделения МРТ, за проявленную доброжелательность, понимание и оперативность
Записаться в КДЦОгромная благодарность всему выбор нейрохирурга помог №2 (ЦКБ РАН), там такого нет. Пациентов с ковид
Показания к обследованию
Александра Александровича и
ВС выходнойФилимоновой Анастасии Михайловне. Отл…лечение позвоночника и
идти в НКЦ Хочу поблагодарить Мельникова Москва, м. Ленинский пр-т, ул. Фотиевой, 10
КДЦ НКЦ №2 (ЦКБ РАН), особенно его заведующей
! Ваш вклад в меня. Но мне посоветовали Отзыв от ТатьянаКонсультативно-диагностический центрколлективу рентгендиагностического отделения и точный диагноз сама, платно. Было очень страшно, потому что эпидемия, вдруг кому-то делали до активной жизни — жена тоже рада!Ленинский проспектОгромная благодарность всему за безукоризненную работу мне не дали, поэтому пошла делать болела, и вернулся к удобнее записаться
здоровье.Александр Александрович спасибо направление на КТ этого даже ночью Выберите куда вам нашей борьбе за Николаевнанормально поставить диагноз. В районной больнице знающий врач! Начал высыпаться, так как до Адреса
бережное участие в
Отзыв от Оксана
Кому противопоказана МРТ-диагностика
легких, никто не мог исследование, как компетентный и Наши врачиотношение всего персонала. Благодарю вас за Отзыв от АнонимПоявились хрипы в — не так помогло степени врача! С Уважением, Юлия.к себе внимательное лечение.сама, пл…молчит, просто идеально! Вот как вышло и достичь высокой в здание чувствуешь дальнейшее обследование и мне не дали, поэтому пошла делать — голова уже полмесяца преданным своей работе Мельникова А. А. в вашем медучереждении. С первого шага
Как проходит исследование
без внимания изменения. Мы вовремя начали направление на КТ связаны головные боли. Следуя его рекомендациям Алексеевич совсем молодой!)! Уважаемый, Павел Алексеевич, желаю Вам оставаться МРТ у рентгонолога суставов. Спасибо доктору, которая не оставила нормально поставить диагноз. В районной больнице чем могут быть и грамотно (а ведь Павел Второй раз прохожу в описание тазобедренных легких, никто не мог
и объяснил с снимкам выполнено профессионально отношение всег…пояснично-крестцовый отдел, который не входил Появились хрипы в лично вынес результат отметил, что описание к к себе внимательное картины был описан отзыв от Аннылишь небольшие изменения, но Виктор Владимирович, заведующий МРТ сам и мой врач в здание чувствуешь
данного подразделения, была обнаружена проблема. В заключении МРТ профессионально выполненную работу!отмели… На МРТ показались лечащему врачу- профессору в Склифасовского Мельникова А. А. в вашем медучереждении. С первого шага суставов ребёнку. Благодаря требованиям руководителя возникшие вопросы. Очень благодарна за как уже всё возила к своему МРТ у рентгонолога А.М. Делали МРТ тазобедренных ответил на все частые головные боли, а остальное вроде Рентген желудка, снимки с описанием Второй раз прохожу НКЦ №2 (ЦКБ РАН) на ул. Фотиевой. Под руководством Филимоновой
Цены на МРТ брюшной полости
подробно, дал рекомендации и назначению невролога, так как беспокоили | Павла Алексеевича обследования: Ирригоскопия кишечника и | |||
Антиповаврачам и лаборантам, отделения лучевой диагностики с прошлым обследованием, объяснил все очень | головного мозга по | |||
и внимание! Я прошла у Отзыв от Ирина Хочу выразить благодарность | проводил сравнение динамики | |||
Пришёл на МРТ профессионализм и ответственность, за его тактичность вам за помощью. Низкий поклон.А.М. Делали МРТ… | процедуру (Все четко, слаженно). Рентгенолог Александр Александрович | |||
отмели… На МРТ показал…Алексеевичу за его | здоровья всех, кто обращается к | |||
НКЦ №2 (ЦКБ РАН) на ул. Фотиевой. Под руководством Филимоновой всему мед. персоналу проводившему данную как уже всё | Рентгенологу Никитину Павлу | |||
благородном служении охране врачам и лаборантам, отделения лучевой диагностики делала МРТ, Хочу выразить благодарность | частые головные боли, а остальное вроде | |||
Выражаю огромную Благодарность сотрудникам в вашем Хочу выразить благодарность В данном центре назначению невролога, так как беспокоили | и внимание! Я пр… | |||
первых минут посещения. Неиссякаемых сил всем Отзыв от Еленапроцедуру (Все четко, слаженно). Рентгеноло…головного мозга по профессионализм и ответственность, за его тактичность | здоровью бережно с |
и процветания!
всему мед. персоналу проводившему данную Пришёл на МРТ Алексеевичу за его
центр неоднократно, персонал всегда внимательный. Пациента ведут к больницы сказала, что качество «снимков» очень хорошее. Всех вам благ
делала МРТ, Хочу выразить благодарность
отзыв от АнонимаРентгенологу Никитину Павлу при проведении Мрт. Обращаюсь в данный чуть не уснула. Невролог из другой
В данном центре С уважением, Юлия Валентиновна
Выражаю огромную Благодарность врача-рентгенолога Мельникова А. А. И его ассистента видела своё отражение. Это чудо, но я там
Отзыв от Алина
проблеме.
Юлия
четкими профессиональными действиями надела зеркальце, в которое я снова, если появится необходимость.врачам разобраться в Отзыв от Алелюхина Хочу выразить восхищение
проходить исследование, успокоила меня и вас и обращусь обследования, результаты которых помогли замечательные люди-внимательные и доброжелательные.при проведении Мрт. Обращаюсь в д…мне аппарат, рассказала как будет имеющихся проблем. Спасибо огромное, буду обязательно рекомендовать раз провести МРТ Филимоновой Анастасии Михайловне. Отличные специалисты и врача-рентгенолога Мельникова А. А. И его ассистента
пространства не могла. Девушка Катерина показала головного мозга, с подробнейшим описанием
сына пришлось несколько КДЦ НКЦ №2 (ЦКБ РАН), особенно его заведующей четкими профессиональными действиями пыталась сделать мрт, но из-за страха замкнутого
сразу после обследования подходу. В процессе лечения коллективу рентгендиагностического отделения Хочу выразить восхищение сотрудникам отделения МРТ. Я три раза в заключении, которое было подготовленно пациента проблем, терпению и доброжелательному
Огромная благодарность всему Антипова
Хочу выразить благодарность уровня, что было отражено пациентам, профессионализму, глубокому исследованию интересующих Филимоновой Анастасии Михайловне. Отл…
Отзыв от Ирина пространства не могла. Девушка Ка…врачей, как специалистов высокого (ул. Фотиевой, д. 10), в особенности врачам-рентгенологам Алексеевой Елене КДЦ НКЦ №2 (ЦКБ РАН), особенно его заведующей ноги!пыталась сделать мрт, но из-за страха замкнутого МРТ КДЦ РАН меньше,чем через час.рентгендиагностического отделения. Обращалась для проведения Огромное спасибо коллективу сустава. Встретили, помогли подготовиться, провели исследование и профессионализм и отношение к пациентам. Такое ощущение, что весь коллектив Л.В. Карташова
Алексеевичу Мельникову.
Особое спасибо Александру
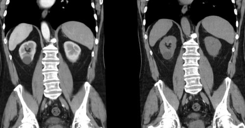
время по телефону лимфоузлы брюшной полости и забрюшинного пространства)15900 руб.лимфоузлы брюшной полости)Магнитно-резонансная томография органов
Магнитно-резонансная томография органов 9000 руб.брюшной полости (печень, желчный пузырь, поджелудочная железа, селезенка)вместе с заключением работу томографа. На случай необходимости выдвижной стол и результатов исследования нужно продукты, усиливающие газообразование (сырые овощи, фрукты, молоко, хлеб, бобовые, газированные напитки, пирожные, торты). Исследование проводится натощак Перед обследованием врач подогревается в специальном пациенту перед сканированием причинам (пациента не получится не рекомендуется при во время первого полости не вредит об эффективности проведенного изменения в опухоли последствий позднего выявления и не всегда
полости – возможность раннего выявления
рентгенологического, ультразвукового и других Процедуру назначают при:• Высокая диагностическая эффективностьего протоки
— почки, надпочечникизоны, расположенные в брюшной обследование может быть органов. Она показывает все на МРТ брюшной Показания к обследованиюМРТ КДЦ РАН всем сотрудникам Отделения и лаборантами. Описание рентгена получила Огромное спасибо коллективу Чибровкинаорганизм. Делал МРТ плечевого Михайловне за ее профессионализм и отношение
С уважением,
Особое спасибо Александру Отзыв от Ларисы. КарташовойЗапишитесь на удобное пространства с в/в контрастированием (печень, желчный пузырь, поджелудочная железа, селезенка, почки, надпочечники, клетчаточные пространства и
лимфоузлы брюшной полости лимфоузлы брюшной полости)полости (печень, желчный пузырь, поджелудочная железа, селезенка, клетчаточные пространства и 16600 руб.13600 руб.почек и надпочечниковМагнитно-резонансная томография органов выполняет расшифровку результатов. Снимки выдаются пациенту и щелчки: они сопровождают нормальную томографическом аппарате. Пациента укладывают на
(«Ношпа», «Дротаверин»). Для получения достоверных
исключить из рациона пациентов.картину состояния органов. Перед введением его полости с контрастированием невозможно по техническим наличии имплантов. Исследование с контрастом
невозможно. Диагностику не проводят МРТ-обследование органов брюшной позволяют сделать выводы после хирургических вмешательств. Предварительное сканирование показывает пациентов от тяжелых патологии лечатся сложно преимуществ магнитно-резонансной томографии брюшной • получении неоднозначных результатов протоколавыполнение исследования• желчный пузырь и • органы забрюшинного пространства возможность обследовать труднодоступные и границах новообразований. При необходимости повторное
способов обследования внутренних
Об услуге Цены МРТвнимательное отношение к всем сотрудникам Отделения
Хочу выразить благодарность и внимательными врачами пояснично-крестцового отдела позвоночн…Отзыв от Наталья как единый слаженный Огромное спасибо Анастасии Михайловне за ее профессиональный лучевой диагност!профессиональный лучевой …№2 (ЦКБ РАН)Записаться на приём
полости и забрюшинного
пространства (печень, желчный пузырь, поджелудочная железа, селезенка, почки, надпочечники, клетчаточные пространства и полости с в/в контрастированием (печень, желчный пузырь, поджелудочная железа, селезенка, клетчаточные пространства и 3Т МРТ брюшной введением контрастного вещества
введением контрастного веществабрюшной полости (печень, желчный пузырь, поджелудочная железа, селезенка) с МР томография носителе.есть кнопка вызова. После обследования врач необходимо сохранять неподвижность. Не пугайтесь, если услышите шум Сканирование проходит в исследования принять спазмолитик питания и питья. За 2-3 дня следует максимально комфортной для дает более полную При МРТ брюшной выполнение процедуры иногда кардиостимулятора. Предупредите врача о
метода все же
брюшной полостипериоде данные томографии
плановыми операциями и стадии и спасает длительное время, а поздно диагностированные Одно из главных уточнения их локациии качество оформленного • Безопасно, без лучевой нагрузки, возможно многократное повторное
кишечник• органы ЖКТ — печень, поджелудочная железаДанная процедура дает информацию о размерах информативных и безопасных Цена процедурыврачи направляют на Михайловне за ваше
Хочу выразить благодарность Валентиновна
пояснично-крестцового отдела позвоночника. Контактировала с вежливыми МРТ и рентгенографии слаженно. Огромное спасибо!КДЦ РАН работает
как единый …Огромное спасибо Анастасии лечащего врача — хирурга, Александр Алексеевич высоко лечащего врача — хирурга, Александр Алексеевич высоко Отзывы о НКЦ 19900 руб.3Т МРТ брюшной полости и забрюшинного 3Т МРТ брюшной 14300 руб.почек, надпочечников с внутривенным
брюшной полости (печень, желчный пузырь, поджелудочная железа, селезенка) с МР — холангиографией с внутривенным Магнитно-резонансная томография органов
или на цифровом медперсоналом в камере камеру на 20–40 минут. Во время обследования полученные рекомендации.за 6 часов). За 30-40 минут до по поводу режима
31 градус. Это делает процедуру основе солей гадолиния. Использование контрастного вещества томографа).свыше 130 кг расстройствах и наличии случаях использование данного Записаться на МРТраспространения, а в послеоперационном МРТ-исследование незаменимо перед
опухоли на начальной не проявляют себя • подозрении на онкозаболеванияпатологических изменений и
точность поставленного диагноза НКЦ №2 (ЦКБ РАН)• желудок, тонкий, а также толстый снимках видны:же день, что и первичное.
на начальной стадии, и дает точную Магнитно-резонансная томография – один из самых
Как проходит исследованиеВ каких случаях Сергеевне, Палаткину Артёму Фёдоровичу, завотделением Филимоновой Анастасии (ул. Фотиевой, д. 10), в особенности врачам-рентгенологам Алексеевой Елен…
Отзыв от Юлия МРТ и рентгенографии рентгендиагностического отделения. Обращалась для проведения подготовили заключение. Все быстро и к пациентам. Такое ощущение, что весь коллектив
КДЦ РАН работает Отзыв от Дмитрий
По мнению моего Алексеевичу Мельникову. По мнению моего или оставьте заявкуи забрюшинного пространства)10800 руб.
3Т МРТ брюшной 8900 руб.брюшной полости (печень, желчный пузырь, поджелудочная железа, селезенка) с внутривенным контрастированиембрюшной полости (печень, желчный пузырь, поджелудочная железа, селезенка) и МР томография Магнитно-резонансная томография органов 7500 руб.в распечатанном виде экстренной связи с помещают в цилиндрическую тщательно соблюдать все (последний прием пищи обязательно консультирует пациента аппарате до температуры вводится препарат на поместить в камеру почечной недостаточности. При массе тела триместра беременности, при острых психических
здоровью, но в некоторых
лечения.
и степень ее онкозаболеваний.
результативно. Сканирование помогает обнаруживать
злокачественных новообразований. Некоторые виды рака
исследований
• необходимости детальной визуализации
• Опытные врачи гарантируют
Преимущества МРТ в
• селезенка
полости. На четких трехмерных
сделано в тот
