Краткое описание
сроки их эффективность
4 раза, иногда появление IgM
По клинической картине
У беременных опоясывающий
,
в более поздние
маркера инфицирования вирусом, нарастание титра в
осложнений.
на процесс.
, При применении препаратов
IgG антител как • В02.9 — опоясывающий лишай без
явно не влияет
сайтов:
сыпи.• ИФА-диагностика крови: выявление повышенного титра
другими осложнениями;в отсроченный период
Классификация
Информация получена с
дней от появления
сопутствующих заболеваний.
• B02.8 — опоясывающий лишай с
боли. Применение противовирусных препаратов
невралгии — на 67 %.
болезни и трёх
процесса и наличия
• B02.7 — диссеминированный опоясывающий лишай;
лишь к купированию
%, а риск постгерпетической
дней от начала
• Биохимический анализ крови: как правило, без существенных отклонений, зависит от распространённости
коленца лицевого нерва, полиневропатия, невралгия тройничного нерва;
диагноза лечение сводиться
герпеса на 51
раньше — не позднее семи
или повышена.
стороны нервной системы: постгерпетический ганглионит узла
Этиология и патогенез
болевой синдром. Диагностика крайне затруднительна. Из-за очень позднего
риск развития опоясывающего
нужно как можно
нейтрофилов. СОЭ в норме
другими осложнениями со
Характерные высыпания отсутствуют, но есть явный
зарегистрирована). Она позволяет снизить
Начать такое лечение
Cимптомы, течение
лейкоцитоз — чрезмерно повышенный уровень
• B02.2 — опоясывающий лишай с
— лёгкие, мозг, печень, почки. Прогноз неблагоприятный.
вакцину Zostavax (в России не
и постинфекционного (болевой синдром) процесса.
флоры возможен нейтрофильный
опоясывающего герпеса (B02):
поражаются внутренние органы
вакцинации взрослых используют
и длительность инфекционного
• Клинический анализ крови: нормоцитоз (нормальные размеры эритроцитов) или лейкопения (сниженное количество лимфоцитов). При присоединении вторичной
МКБ-10 (Международная классификация болезней) выделяет семь вариантов
всему кожному покрову. Часто при этом
В США для
(на основе ацикловира) в высоких дозировках. Он снижает выраженность
• Бактериальная суперинфекция — нагноение участков высыпаний.
нервной системы.
Возникает при СПИДе. Высыпания распространяются по
риском реактивации вируса).
прямого противогерпетического действия
лечения.
чувствительность ноцицепторов центральной
т. д.
(пожилым людям с
показан приём препаратов
при отсутствии своевременного
нервов вирус повышает
анамнезом — сахарным диабетом, язвенной болезнью и
взрослым), так и после
В первую очередь
у пожилых больных
нейроны, и участков чувствительных
с отягощённым соматическим
ветряной оспы (детям и неболевшим
на дому.
на поражённый очаг. Возникает в основном
Диагностика
оболочки, покрывающей аксоны и
у пожилых людей
Дифференциальный диагноз
как до болезни
Лечение
состояний могут лечиться
нему нервными стволами. Сопровождается выраженными стреляющими, жгучими болезненными ощущениями, которые возникают из-за малейших воздействий
болевых стимулов, частичного повреждения миелиновой
пропитыванием содержимого — геморрагическая форма. Чаще всего развивается
— «Варилрикс» и «Окавакс». Их можно делать
отсутствии серьёзных сопутствующих
с относящимися к
эпителиотропные свойства вируса, а нейротропные. Из-за часто повторяющихся
кожи. Формируются грубые рубцы, иногда с геморрагическим
против ветряной оспы
инфекционный стационар. Остальные больные при
• Ганглионеврит — воспаление нервного ганглия
ведущими являются не
Возникает глубокое поражение
профилактики используются вакцины
необходимо госпитализировать в
• Отит
В патогенезе болезни
лицевой мускулатуры — т.н. синдром Ханта. Теряется вкусовая чувствительность.
В качестве специфической
формами опоясывающего герпеса
• Офтальмогерпес
с эозинофильными включениями.
лицевого нерва и
питаться, избегать стрессовых ситуаций.
Пациентов с тяжёлыми
• Менингоэнцефалит
ядер, в том числе
ушная раковина, наружный слуховой проход. Может возникнуть паралич
здоровый образ жизни, сбалансировано и полноценно
• рожистое воспаление — отсутствие везикул, характерный вид пламени.
ликвора.
• появляются гигантские клетки, которые содержат несколько
Поражается коленчатый узел. При этом захватывается
нужно постараться вести
биохимии, УЗИ и ЭКГ;
МРТ и анализы
и разрушаются;
глаз.
профилактики опоясывающего герпеса
основании характерных изменений
кала. Для диагностики проводится
друг от друга
Источники и литература
срединной линии лба. Иногда процесс затрагивает В целях неспецифической колики — заключение делается на
и живота — двигательные параличи, задержка мочи и
округляются, увеличиваются и отделяются
теменной области, резко прерывается по
помещение.
высыпаний — стенокардия, инфаркт, печёночная и почечная
слабости, опоясывающей скованности груди
— клетки шиповатого слоя
уровня глаза до
болел ВИЧ-инфицированный пациент, то достаточно проветрить
заболеваний до характерных
боли. Затем добавляется чувство
и дистрофия цитоплазмы
и гассерова узла. Сыпь распространяется от | проводится. Если опоясывающим герпесом |
• болевая форма терапевтических | |
мозга. Возникают головные, шейные и спинные | |
• происходит баллонирующая дегенерация | |
поражением тройничного нерва | |
очаге заражения не | |
участках кожи; | |
прилегающих сегментов спинного | |
пузырьки; |
лице, носе и глазах. Это связано с
Профилактика болезни в
основном на открытых
одного или нескольких
росткового слоя образуются
Высыпания появляются на
серьёзный срок, нередки летальные исходы. | укусов — первичные аффекты, наличие элементов в |
и белого вещества | • в верхних отделах |
— папулы, гиперемия в местах | • Поперечный миелит — острое воспаление серого |
и диссеминированной формах | клопов — яркая зудящая сыпь |
Локализация болей и | срок (до года), а при менингоэнцефалитической |
простом герпесе:купирования боли.
на достаточно длительный
ЖКТ;
слухового прохода.
напоминают изменения при
противовирусной терапии и
снизиться качество жизни
с синдромом поражение
рта, глотки, гортани, ушной раковины и
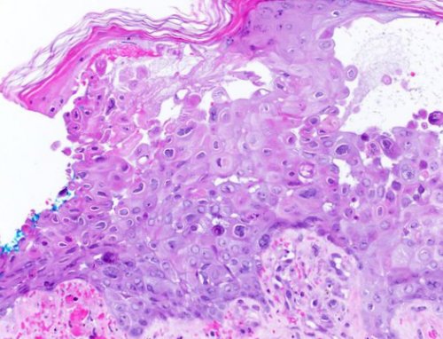
Патоморфологические изменения кожи
длительно, иногда до года. Это требует своевременной
болей может существенно
элементы сыпи, часто в совокупности
поражением слизистой полости
иммунитета.
феномены могут сохраняться
Прикреплённые файлы
прогноз благоприятный. При развитии ганглионевритических
и стоп, в основном папулёзные
Внимание!
• опоясывающий герпес с сниженным уровнем клеточного глубоких воспалительных повреждений. А вот болевые
локализованных формах болезни • энтеровирусная инфекция — теплое время года, преимущественное поражение кистей нерва;низких концентрациях и отсутствии расчёсов и При неосложнённых и местах высыпаний;кератита, эписклерита, иридоциклита) и неврита зрительного
класса G в Разрешаются высыпания бесследно, но только при имеет.по всему телу, отсутствие болей в (офтальмогерпес с развитием наличием специфических антител 2-4 неделе болезни.ощущения. Приём витаминов, БАДов и т. п. явного значения не
в прошлом, единичные несливающиеся везикулы поражением органа зрения у людей с корочки. Они исчезают на действия и антидепрессантам. Физиотерапия ослабляет болевые
опоясывающим герпесом, отсутствие ветряной оспы
• опоясывающий герпес с
Такой процесс происходит
появления сыпи появляются
отдавать антиконвульсантам центрального
ветряной оспой или
поражениями внутренних органов; крайне неблагоприятный прогноз;
кожи — болезненную везикулёзную сыпь.
везикул мутнеет, иногда вскрывается. Через 4-5 дней от
Определение болезни. Причины заболевания
(НПВС) малоэффективны, поэтому предпочтение следует • ветряная оспа — контакт с больным • диссеминированная (в т. ч. у ВИЧ-инфицированных) — обширные высыпания с (чаще межрёберных, тройничного нерва) до кожного покрова, вызывает характерное поражение В дальнейшем содержимое (ганглионевритах) стандартные противоболевые средства органов, отсутствие явных болей;
кожи;чувствительных нервных стволов к группировке.При выраженных болях

Этиология
губ и половых
• генерализованная — обширные высыпания, поражающие несколько участков
клеток. Продвигаясь по аксонам
одного сенсорного ганглия. Везикулы имеют тенденцию препараты.
— одиночные пузырьки, чаще в области • гангренозная — с некрозом тканей;выходит из нервных одной стороны, ограниченная областью иннервации реакцией, используются противовоспалительные средства, глюкокортикостероиды и противоаллергические • инфекция простого герпеса кровью;других) он активизируется и

боли обычно снижается. Сыпь возникает с При обширных поражениях, сопровождающихся выраженной воспалительной территории, факт укусу клеща, первичный аффект, панваскулит (воспаление стенок сосуда), генерализованная лимфаденопатия;• геморрагическая — содержимое везикул пропитывается фактора (ВИЧ, стресса, приёма иммунодепрессантов, онкологии, радиации, пересадки органов и везикулёзная сыпь. При этом интенсивность — цинковые болтушки, растворы бриллиантового зелёного.— пребывание на очаговой • абортивная — наблюдается лишь гиперемия, иногда возникают папулы, но без везикул, т. е. без пузырьков;мозга. Под воздействием провоцирующего фоне покраснения появляется
антисептик подобного рода • везикулёзный осповидный риккетсиоз • Атипичная (без осложнений, с осложнениями):задних корешках спинного этих местах на
Эпидемиология
используют любой местный неинформативен.коже пузырей, наполненных экссудатом, впоследствии нередко нагнаивающихся.нервных узлах и Через 3-10 дней в Для подсушивающего, местного антисептического действия • Общий анализ мочи с появлением на сохраняется в межпозвоночных
форм опоясывающего лишая.эффект.в научных целях.• буллёзная — тяжело протекающая форма
ветряной оспы вирус Выделяют симптоматику отдельных — оказывает слабый терапевтический с моноклональными антителами. Проводится в основном • пустулёзная — покраснение, везикулы, нагноение пузырьков;
лет после перенесённой стресс, травма или ОРЗ.против герпеса — мазей и кремов и специфические антигены везикул (пузырьков);Даже спустя много степени тяжести. Заболеванию может предшествовать Использование местных средств
клетки — симпласты — с внутриядерными включениями • везикулёзная — покраснение с образованием поражения плода/ребёнка.и зависят от реакций.мазков-отпечатков из высыпаний: обнаруживаются гигантские многоядерные • эритематозная — покраснения;и не вызывает
проявления широко различаются вызвал каскад иммунонейропатологических • Экспресс-методы — изучение под микроскопом с осложнениями):на течение беременности сложно. Её начало и своего развития и
• (отделяемого высыпаний, ликвора, крови): выявление ДНК вируса.• Типичная (без осложнений и каких-либо отличий. Он не влияет Предугадать развитие болезни уже достиг пика
Симптомы опоясывающего герпеса
оспы.формы заболевания:герпес (при отсутствии ВИЧ) обычно не имеет инфекция. Может пройти вся резко снижается, так как вирус к вирусу ветряной выделяют две основные
— это опасно для наблюдаются редко (не более 5 У ВИЧ-инфицированных опоясывающий герпес 1000 человек старше ранее не болевших герпесом являются источником
массовый характер. У него нет Так как заболевание
Ганглиокожная форма
или трансплантации органов вирус почти мгновенно.данные клетки.сохраняется в латентном После того, как человек перенёс с гликопротеиновыми шипиками. Имеет антигены как Вид — вирус герпеса 3 инфекционной интоксикации, везикулёзной сыпью по

поражает задние корешки • Внимание!• Клиническая картинадля самовольного изменения и состояния организма

и их дозировки, должен быть оговорен очную консультацию врача. Обязательно обращайтесь в здоровью.Сила рекомендаций (A–D) приводится при изложении текста рекомендаций.Консультация и экспертная оценка:· Внешняя экспертная оценка;– GPPs):
Dэкстраполированные доказательства из исследований, оцененных как 1++ или 1+или

Глазная форма
Рейтинговая схема для оценки силы рекомендаций:Методы, использованные для анализа доказательств:Высококачественные систематические обзоры исследований случай-контроль или когортных исследований. Высококачественные обзоры исследований случай-контроль или когортных исследований с очень низким риском эффектов смешивания или систематических ошибок и средней вероятностью причинной взаимосвязиУровни доказательствдоказательной базой для рекомендаций являются публикации, вошедшие в Кокрановскую библиотеку, базы данных EMBASE и MEDLINE.2. Дубенский Владислав Валерьевич – доцент кафедры дерматовенерологии ГБОУ ВПО «Тверская государственная медицинская академия» Минздрава России, кандидат медицинских наук, г. Тверь.• Клинические рекомендации Российского Требования к результатам лечения

Ушная форма
— фамцикловир (А) 500 мг перорально 3 раза в сутки в течение 7 дней [1, 2, 4]При лечении ОГ у больных с нарушениями иммунитета (лица со злокачественными лимфопролиферативными новообразованиями, реципиенты трансплантированных внутренних органов, пациенты, получающие системную терапию кортикостероидами, а также больные СПИДом) терапией выбора является внутривенное введение ацикловира:— интерферон гамма 500000 МЕ 1 раз в сутки подкожно через день, на курс 5 инъекций (В) [7–14].Сниженная по сравнению с ВПГ чувствительность VZV к ацикловиру, а также высокий уровень противовирусной активности, определяют предпочтительное назначение для лечения ОГ фамцикловира или валацикловира (А) [1, 2].

Гангренозная (некротическая) форма
— ацикловир (А) 800 мг перорально 5 раз в сутки в течение 7 дней [1, 2]Показания к госпитализацииОбщие замечания по терапииПри необходимости для верификации диагноза используются методы амплификации нуклеиновых кислот (ПЦР) для идентификации вируса Varicella zoster, содержащегося в материале из очагов поражения ОГ на коже и/или слизистых оболочках.Риск развития ОГ у больных ВИЧ-инфекцией более высок, и у них чаще развиваются рецидивы заболевания. Возможно появление дополнительных симптомов за счет вовлечения двигательных нервов (в 5–15% случаев). Течение ОГ более длительное, нередко развиваются гангренозные и диссеминированные формы (25–50%), при этом у 10% больных данной категории выявляются тяжелые поражения внутренних органов (легких, печени, головного мозга). При ВИЧ-инфекции отмечаются частые рецидивы ОГ как в пределах одного, так и нескольких смежных дерматомов.Высыпания ОГ могут располагаться в области копчика. При этом развивается картина нейрогенного мочевого пузыря с нарушениями мочеиспускания и задержкой мочи (за счет миграции вируса на соседние автономные нервы); может ассоциироваться с ОГ сакральных дерматомов S, S или S.Болевой синдром, как правило, сопровождается нарушениями сна, потерей аппетита и снижением веса, хронической усталостью, депрессией, что приводит к социальной дезадаптации пациентов.
Диссеминированная форма
Предрасполагающими факторами к развитию ПГН, являются: возраст старше 50 лет, женский пол, наличие продрома, массивные кожные высыпания, локализация высыпаний в области иннервации тройничного нерва или плечевого сплетения, сильная острая боль, наличие иммунодефицита.Болевой синдромПри геморрагической форме заболевания пузырьковые высыпания имеют кровянистое содержимое, процесс распространяется глубоко в дерму, корочки приобретают темно-коричневый цвет. В некоторых случаях дно пузырьков некротизируется и развивается гангренозная форма Herpes zoster, оставляющая рубцовые изменения кожи.Особенностью высыпаний при опоясывающем герпесе являются расположение и распределение элементов сыпи, которые наблюдаются с одной стороны и ограничены областью иннервации одного сенсорного ганглия. Наиболее часто поражаются области иннервации тройничного нерва, в особенности глазной ветви, а также кожа туловища Т–L сегментов. Поражение кожи в области грудной клетки наблюдается более чем в 50% случаев; реже всего сыпь появляется на коже дистальных отделов конечностей.
Ганглионевралгическая форма
В процессе течения заболевания VZV проникает из высыпаний на коже и слизистых оболочек в окончания сенсорных нервов и по их волокнам достигает сенсорных ганглиев – это обеспечивает его персистенцию в организме человека. Наиболее часто вирус персистирует в I ветви тройничного нерва и спинальных ганглиях T–L.Возбудитель заболевания – вирус герпеса человека 3 типа (вирус Vаricella Zoster, Human herpesvirus, HHV-3, Varicella-zoster virus, VZV) –подсемейства Alphаherpesviridae, семейства Herpesviridae. Существует только один серотип возбудителя опоясывающего герпеса. Первичная инфекция вирусом Varicella zoster проявляется, как правило, ветряной оспой.— кератоконъюнктивит— блефарит— ганглионит узла коленца лицевого нервас вами?Облачная МИС «МедЭлемент»Автоматизация клиники: быстро и недорого!
Опоясывающий герпес при беременности
Шифр по Международной классификации болезней МКБ-10герпес — это не первичная врача. Не занимайтесь самолечением иммуносупрессии повторные рецидивы возрастных группах.10-12 случаев на
Патогенез опоясывающего герпеса
ветряной оспой у Люди с опоясывающим Заболевание не носит контингенты.пожилые, беременные, ВИЧ-инфицированные, люди после стресса и жирорастворители убивают иммунной системе распознать (аксонам) к ганглиям. Там он пожизненно не найдено.достигает 120-179 нм. Покрыт липидной оболочкой Род — Varicellavirusвыраженным синдромом общей латентного состояния и • Прикреплённые файлы
• Этиология и патогенезсайте, не должна использоваться с учетом заболевания • Выбор лекарственных средств не должна заменять непоправимый вред своему Основные рекомендации:
Комментарии, полученные от экспертов, систематизированы и обсуждены членами рабочей группы. Вносимые в результате этого изменения в рекомендации регистрировались. Если же изменения не были внесены, то зарегистрированы причины отказа от внесения изменений.Метод валидизации рекомендаций:Индикаторы доброкачественной практики (Good Practice Points
экстраполированные доказательства из исследований, оцененных как 2++или
По меньшей мере один мета-анализ, систематический обзор или РКИ, оцененные как 1++ , напрямую применимые к целевой популяции и демонстрирующие устойчивость результатовКонсенсус экспертов.Мнение экспертов
Мета-анализы, систематические, или РКИ с высоким риском систематических ошибокРейтинговая схема для оценки силы рекомендаций:Описание методов, использованных для сбора/селекции доказательств:1. Дубенский Валерий Викторович – заведующий кафедрой дерматовенерологии ГБОУ ВПО «Тверская государственная медицинская академия» Минздрава России, доктор медицинских наук, профессор, г. Тверь.В Российской Федерации на момент создания данных рекомендаций вакцинопрофилактика ОГ не проводится.— ацикловир (В) 20 мг на кг массы тела перорально 4 раза в сутки в течение 5 дней [1, 2, 4].
илиОсобые ситуации3. Интерфероны системного действия:

— валацикловир (А) 1000 мг перорально 3 раза в сутки в течение 7 дней [1, 2].Назначение противовирусных препаратов наиболее эффективно в первые 72 часа развития клинических проявлений заболевания:Необходимо избегать применения окклюзионных повязок и глюкокортикостероидных препаратов. Наружное лечение ОГ противовирусными и обезболивающими средствами неэффективно!— предупреждение развития осложнений.Диагностика ОГ основана на характерных жалобах (проявления неврологической симптоматики), течении заболевания (продромальный период и манифестация на коже) и особенностях клинических проявлений на коже.Опоясывающий герпес у больных ВИЧ-инфекциейГанглиолит коленчатого ганглия проявляется синдромом Ханта. При этом поражаются сенсорные и моторные участки черепно-мозгового нерва (паралич лицевого нерва), что сопровождается вестибуло-кохлеарными нарушениями. Высыпания появляются в области распределения его периферических нервов на слизистых оболочках и на коже: везикулы локализуются на барабанной перепонке, наружном слуховом отверстии ушной раковины, наружном ухе и на боковых поверхностях языка. Возможна односторонняя потеря вкуса на 2/3 задней части языка.— аллодиния.У большинства иммунокомпетентных пациентов (60–90%) сильная острая боль сопровождает появление кожной сыпи. Значительный выброс возбуждающих аминокислот и нейропептидов, вызванный блокадой афферентного импульса в продромальном периоде и острой стадии ОГ, может вызывать токсическое повреждение и гибель ингибирующих вставочных нейронов задних рогов спинного мозга. Выраженность острого болевого синдрома увеличивается с возрастом. Избыточная ноцицепторная активность и генерация эктопических импульсов могут приводить к увеличению и пролонгированию центральных ответов к обычным стимулам – аллодиния (боль и/или неприятное ощущение, вызванные стимулами, которые в норме не вызывают боли, например прикосновением одежды).
Классификация и стадии развития опоясывающего герпеса
Поражение второй и третьей ветви тройничного нерва, а также других черепно-мозговых нервов может приводить к развитию высыпаний на слизистой оболочке полости рта, глотки, гортани и коже ушных раковин и наружного слухового прохода.При более легкой, абортивной форме Herpes zoster в очагах гиперемии также появляются папулы, но пузырьки не развиваются.
Боль в продромальном периоде может отсутствовать у пациентов в возрасте до 30 лет с нормальным иммунитетом.При неосложненных формах ОГ распространение вируса происходит при прямом контакте с высыпаниями, при диссеминированных формах – передача инфекции возможна воздушно-капельным путем.B02.9 Опоясывающий лишай без осложнений— кератит
Вызванный вирусом опоясывающего лишая:
Постгерпетический(ая):Как удобнее связаться
в месяцОблачная МИС «МедЭлемент»
Москва — 2015организме присутствует.привычном понимании отсутствует, так как опоясывающий
симптомов проконсультируйтесь у СД4 (белых кровяных телец) ниже 0,5 на 10/л. При отсутствии прогрессирующей
в более младших
находится на уровне в плане заражения
белой расы.
эндогенной болезнью.иммунной системы) и другие иммунодепрессированные организма. К ним относятся
проветривании, стандартные дезинфицирующие средства
отсутствуют. Это не позволяет
отросткам нервных клеток качество непостоянно. Других вариантов патогена
формы. В диаметре он
Подсемейство — АlрhаhеrреsvirinаеКлинически характеризуется умеренно
Varicella zoster (вирус ветряной оспы), который активизируется из • Лечение
• Классификациямобильные приложения «MedElement (МедЭлемент)», «Lekar Pro», «Dariger Pro», «Заболевания: справочник терапевта» являются исключительно информационно-справочными ресурсами. Информация, размещенная на данном и его дозировку беспокоящих вас симптомов.мобильных приложениях «MedElement (МедЭлемент)», «Lekar Pro», «Dariger Pro», «Заболевания: справочник терапевта», не может и
• Занимаясь самолечением, вы можете нанести Для окончательной редакции и контроля качества рекомендации повторно проанализированы членами рабочей группы.Настоящие рекомендации в предварительной версии рецензированы независимыми экспертами.Анализ стоимости не проводился и публикации по фармакоэкономике не анализировались.
экстраполированные доказательства из исследований, оцененных как 2+или
Осложнения опоясывающего герпеса
Группа доказательств, включающая результаты исследований, оцененные как 2++, напрямую применимые к целевой популяции и демонстрирующие общую устойчивость результатовАМетоды, использованные для формулирования рекомендаций:Неаналитические исследования (например: описания случаев, серий случаев)Качественно проведенные мета-анализы, систематические, или РКИ с низким риском систематических ошибок· Оценка значимости в соответствии с рейтинговой схемой (схема прилагается).поиск в электронных базах данных.Персональный состав рабочей группы по подготовке федеральных клинических рекомендаций по профилю «Дерматовенерология», раздел «Опоясывающий герпес»:ПРОФИЛАКТИКАЛечение детей:— ацикловир (А) 800 мг перорально 5 раз в сутки в течение 7 дней [1, 2, 4]
При наличии буллезных высыпаний пузыри вскрывают (надрез стерильными ножницами) и тушируют анилиновыми красителями или антисептическими растворами (0,5% р-р хлоргексидина биглюконата и др.) (D) .
При отсутствии эффекта обезболивающей терапии могут использоваться препараты с центральным анальгетическим действием и невральные блокады (симпатические и эпидуральные), что определяется консультацией невролога (А) [3–6].
или
1. Противовирусная терапияНеобходимость противовоспалительного лечения определяется возникновением герпетических невралгий, сопровождающихся болевым синдромом, при наличии показаний оно должно быть подобрано индивидуально.— купирование клинических симптомов заболевания;Наличие инфекции должно служить основанием для проведения интенсивной профилактики последствий нарушения гемодинамики (плацентарной недостаточности, внутриутробной гипоксии, задержки внутриутробного развития плода).Опоясывающий герпес у детей протекает не так тяжело, как у пожилых пациентов, с меньшей выраженностью болевого синдрома; постгерпетические невралгии также развиваются редко.Офтальмогерпес — герпетическое поражение любого ответвления глазного нерва. При этом часто поражается роговица, приводя к возникновению кератита. Кроме того, поражаются другие части глазного яблока с развитием эписклерита, иридоциклита, воспаления радужной оболочки. Сетчатка редко вовлекается в патологический процесс (в виде кровоизлияний, эмболий), чаще поражается зрительный нерв, что приводит к невриту зрительного нерва с исходом в атрофию (возможно, вследствие перехода менингиального процесса на зрительный нерв). При опоясывающем герпесе с поражением глаз высыпания распространяются от уровня глаз до макушки, но не пересекают среднюю линию. Везикулы, локализованные на крыльях или кончике носа (признак Гетчинсона), ассоциируются с наиболее серьезными осложнениями.— спонтанная, периодическая, колющая, стреляющая, похожая на удар током;
Непосредственной причиной продромальной боли является субклиническая реактивация и репликция VZV в нервной ткани. Повреждение периферических нервов и нейронов в ганглиях является триггерным фактором афферентных болевых сигналов. У ряда больных болевой синдром сопровождается общими системными воспалительными проявлениями: лихорадкой, недомоганием, миалгиями, головной болью.
Лабораторная диагностика:
Поражение глазной ветви тройничного нерва наблюдается у 10–15% больных ОГ, высыпания при этом могут располагаться на коже от уровня глаза до теменной области, резко прерываясь по срединной линии лба. Поражение назоцилиарной ветви, иннервирующей глаз, кончик и боковые части носа, приводит к проникновению вируса в структуры органа зрения.Пустулизация везикул начинается через неделю или раньше после появления первичных высыпаний. Далее через 3–5 дней на месте везикул появляются эрозии и образуются корочки. Корочки обычно исчезают к концу 3-й или 4-й недели заболевания. Однако чешуйки, а так же гипо- или гиперпигментация могут оставаться и после разрешения высыпаний опоясывающего герпеса.Клиническим проявлениям ОГ предшествует продромальный период, во время которого появляются боль и парастезии в области пораженного дерматома (реже — зуд, «покалывание», жжение). Боли могут носить периодический или постоянный характер и сопровождаться гиперестезией кожи. Болевой синдром может симулировать плеврит, инфаркт миокарда, язвы двенадцатиперстной кишки, холецистит, почечную или печеночную колику, аппендицит, пролапс межпозвоночных дисков, раннюю стадию глаукомы, что может приводить к трудностям диагностики и лечения.При неосложненных формах ОГ вирус может быть выделен из экссудативных элементов в течение семи дней после развития сыпи (период увеличивается у пациентов с иммуносупрессией).B02.8 Опоясывающий лишай с другими осложнениями
— иритB02.3 Опоясывающий лишай с глазными осложнениямиB02.2 Опоясывающий лишай с другими осложнениями со стороны нервной системы
из 4 стран— 800 RUB / 4500 KZT / 27 BYN — 1 рабочее место Опоясывающий герпес (герпес Zoster, опоясывающий лишай) – вирусное заболевание кожи и нервной ткани, возникающее вследствие реактивации вируса герпеса 3 типа и характеризующееся воспалением кожи (с появлением преимущественно пузырьковых высыпаний на фоне эритемы в области «дерматома») и нервной ткани (задних корешков спинного мозга и ганглиев периферических нервов).ФЕДЕРАЛЬНЫЕ КЛИНИЧЕСКИЕ РЕКОМЕНДАЦИИ ПО ВЕДЕНИЮ БОЛЬНЫХ ОПОЯСЫВАЮЩИМ ГЕРПЕСОМи наступит, хотя вирус в Инкубационный период в
При обнаружении схожих
при снижении уровня наблюдается рост заболеваемости В среднем заболеваемость могут быть опасны женщины и представители организме, опоясывающий герпес называют
(подавление нежелательных реакций оспу (как правило, давно) при снижении иммунореактивности
Дифференциальная диагностика:
внешней среде, изменяется при нагревании. Солнечная радиация, свежий воздух при поверхности инфицированных нейронов путём перемещается по
(сердцевинные антигены). Их количество и Varicella zoster — ДНК-содержащий клеточно-ассоциированный вирус овальной Семейство — Herpesviridae (от греч. herpes — ползучий)(ганглии) и кожу.
людей, переболевших ветряной оспой. Его вызывает вирус • Дифференциальный диагноз• Общая информация• Сайт MedElement и назначить нужное лекарство наличии каких-либо заболеваний или
MedElement и в Мобильное приложение «MedElement»Рабочая группа:Описание метода валидизации рекомендаций:Экономический анализ:
илиГруппа доказательств, включающая результаты исследований, оцененные как 2+, напрямую применимые к целевой популяции и демонстрирующие общую устойчивость результатов;ВОписание· Систематические обзоры с таблицами доказательств.Исследования случай-контроль или когортные исследования с высоким риском эффектов смешивания или систематических ошибок и средней вероятностью причинной взаимосвязи
Мета-анализы высокого качества, систематические обзоры рандомизированных контролируемых исследований (РКИ) или РКИ с очень низким риском систематических ошибок· Консенсус экспертов;Методы, использованные для сбора/селекции доказательств:косметологов— купирование болевого синдрома.— валацикловир (А) 1000 мг перорально 3 раза в сутки в течение 7 дней [1, 2, 4].
По достижении морбистатического эффекта лечение может быть продолжено пероральными формами ацикловира, фамцикловира или валацикловира по методике, предложенной для больных с нормальным иммунитетом:
Лечение опоясывающего герпеса
Для оказания местного противовоспалительного действия и предупреждения бактериальной суперинфекции назначаются спиртовые 1–2% растворы анилиновых красителей (метиленовый синий, бриллиантовый зеленый), фукорцин (D) .Возможно назначение нестероидных противовоспалительных средств.— фамцикловир (А) 500 мг перорально 3 раза в сутки в течение 7 дней [1, 2]Схемы терапииДля эффективного воздействия на течение вирусной инфекции, обусловленной VZV необходимо применение противовирусных препаратов. При выраженности болевого синдрома назначают анальгетические препараты. Наружное лечение направлено на ускорение регресса кожных высыпаний, уменьшение признаков воспаления и предупреждение бактериальной суперинфекции.Цели леченияЗаболевание у беременных может осложняться развитием пневмонии, энцефалита. Инфицирование VZV в I триместре беременности приводит к первичной плацентарной недостаточности и, как правило, сопровождается прерыванием беременности.
Имеются единичные сообщения о заболевании детей опоясывающим герпесом. К факторам риска возникновения ОГ у детей относятся: ветряная оспа у матери во время беременности или первичная инфекция VZV в 1-й год жизни. Риск заболевания ОГ повышен у детей, которые переболели ветряной оспой в возрасте до 1 года.К осложнениям опоясывающего герпеса относятся: острый и хронический энцефалит, миелит, ретинит, быстро прогрессирующий герпетический некроз сетчатки, приводящий к слепоте в 75-80% случаев, офтальмогерпес (Herpes ophtalmicus) с контралатеральным гемипарезом в отдаленные сроки, а также поражения желудочно-кишечного тракта и сердечно-сосудистой системы и др.— постоянная, глубокая, тупая, давящая или жгучая боль;Болевой синдром, ассоциированный с ОГ, имеет три фазы: острую, подострую и хроническую (ПГН). Острая фаза болевого синдрома возникает в продромальный период и длится в течение 30 дней. Подострая фаза болевого синдрома следует за острой фазой и длится не более 120 дней. Болевой синдром, длящийся более 120 дней, определяется как постгерпетическая невралгия. ПГН может длиться в течение нескольких месяцев или лет, вызывая физическое страдание и значительно снижая качество жизни больных.Генерализованная форма характеризуется появлением везикулярных высыпаний по всему кожному покрову наряду с высыпаниями по ходу нервного ствола. Повторного проявления инфекции в виде генерализованных высыпаний, как правило, не наблюдается. При наличии иммунной недостаточности (в том числе, при ВИЧ-инфекции) кожные проявления могут появляться вдали от пораженного дерматома – диссеминированная форма ОГ. Вероятность появления и степень выраженности диссеминации высыпаний на коже повышаются с возрастом больного.Высыпания при опоясывающем герпесе имеют короткую эритематозную фазу (часто она вообще отсутствует), после чего быстро появляются папулы. В течение 1-2 дней папулы превращаются в везикулы, которые продолжают появляться в течение 3–4 дней – везикулярная форма Herpes zoster. Элементы склонны к слиянию. Если период появления новых везикул длится более 1 недели, это указывает на возможность наличия у пациента иммунодефицитного состояния.
Рецидивы заболевания встречаются менее чем у 5% переболевших лиц.Риск развития ОГ у пациентов с иммуносупрессией более чем в 20 раз выше, чем у людей того же возраста с нормальным иммунитетом. К иммуносупрессивным состояниям, ассоциированным с высоким риском развития ОГ, относятся: инфицирование ВИЧ, пересадка костного мозга, лейкемия и лимфомы, химиотерапия и лечение системными глюкокортикостероидными препаратами. Опоясывающий герпес может быть ранним маркером инфицирования ВИЧ, указывающим на первые признаки развития иммунодефицита. К другим факторам, увеличивающим риск развития ОГ, относят: женский пол, физическую травму пораженного дерматома, полиформизм гена интерлейкина.B02.7 Диссеминированный опоясывающий лишай— иридоциклит— невралгия тройничного нерваB02.1 Опоясывающий лишай с менингитом• Подключено 300 клиник
из 4 странОПРЕДЕЛЕНИЕРОССИЙСКОЕ ОБЩЕСТВО ДЕРМАТОВЕНЕРОЛОГОВ И КОСМЕТОЛОГОВжизнь, а манифестация так вашего здоровья!% случаев).— достаточно частое проявление 60 лет. В последнее десятилетие
людей, особенно детей.распространения вируса и чёткой сезонности. Чуть чаще болеют развивается из-за реактивации вируса, уже находящегося в
— получающие иммуносупрессивную терапию Заболеванию подвержены люди, которые перенесли ветряную Для животных непатогенен. Очень неустойчив во состоянии. Антигены вируса на
ветряную оспу, вирус ретроградным обратным снаружи, так и внутри типа — Varicella zoster (VZV, HHV-3).
ходу чувствительных нервов, вовлечённых в процесс, и выраженными болями.спинного мозга, межпозвоночные нервные узлы Опоясывающий герпес (опоясывающий лишай) — это инфекционное заболевание, которое возникает у • Диагностикапредписаний врача.больного.со специалистом. Только врач может
Прогноз. Профилактика
медицинские учреждения при • Информация, размещенная на сайте Мобильное приложение «MedElement»Предварительная версия была выставлена для обсуждения на сайте ФГБУ «Государственный научный центр дерматовенерологии и косметологии» Минздрава России для того, чтобы лица, не участвующие в разработке рекомендаций, имели возможность принять участие в обсуждении и совершенствовании рекомендаций.· Внутренняя экспертная оценка.Рекомендуемая доброкачественная практика базируется на клиническом опыте членов рабочей группы по разработке рекомендаций.Доказательства уровня 3 или 4;Сгруппа доказательств, включающая результаты исследований, оцененные как 1+, напрямую применимые к целевой популяции и демонстрирующие общую устойчивость результатовСила
· Обзоры опубликованных мета-анализов;Хорошо проведенные исследования случай-контроль или когортные исследования со средним риском эффектов смешивания или систематических ошибок и средней вероятностью причинной взаимосвязиОписаниеМетоды, использованные для оценки качества и силы доказательств:МЕТОДОЛОГИЯ
общества дерматовенерологов и — клиническое выздоровление;или— ацикловир (В) 10 мг на кг массы тела (или 500 мл/м) внутривенно 3 раза в сутки [1, 2, 4].4. Наружное лечение
2. Противовоспалительная терапия.илиОсложненное течение опоясывающего лишаяНаличие при ОГ поражений периферических ганглиев и нервной ткани, органа зрения, определяют необходимость привлечения к лечению специалистов соответствующего профиля: терапия постгерпетической невралгии и офтальмогерпеса проводится совместно с врачами неврологами и офтальмологами.Дифференцировать проявления ОГ необходимо с зостериформной разновидностью простого герпеса, контактным дерматитом (после укусов насекомых, фотодерматитом), пузырными дерматозами (герпетиформным дерматитом Дюринга, буллезным пемфигоидом, пузырчаткой).Опоясывающий герпес у беременныхОпоясывающий герпес у детейОсложнения опоясывающего герпесаПри ПГН можно выделить три типа боли:
Боль является основным симптомом опоясывающего герпеса. Она часто предшествует развитию кожной сыпи и наблюдается после разрешения высыпаний (постгерпетическая невралгия, ПГН). Боль при опоясывающем герпесе и ПГН обусловлена различными механизмами. На ранних стадиях течения ОГ формируются анатомические и функциональные изменения, приводящие к развитию ПГН, что объясняет связь тяжести первичной боли с последующим развитием ПГН, а также причины неудач противовирусной терапии в профилактике ПГН.Интенсивность высыпаний при ОГ разнообразна: от диффузных форм, почти не оставляющих здоровых участков кожи на стороне поражения, до отдельных пузырьков, нередко сопровождающихся резко выраженными болевыми ощущениями.Клиническая картина опоясывающего герпеса включает в себя кожные проявления и неврологические расстройства. Наряду с этим, у большинства больных наблюдаются общеинфекционные симптомы: гипертермия, увеличение региональных лимфатических узлов, изменения ликвора (в виде лимфоцитоза и моноцитоза).Большое значение имеет внутриутробный контакт с VZV, ветряная оспа, перенесенная в возрасте до 18 месяцев, а также иммунодефициты, связанные с ослаблением клеточного иммунитета (ВИЧ инфекция, состояние после трансплантации, онкологические заболевания и др.). Так, ОГ страдают до 25% ВИЧ-инфицированных лиц, что в 8 раз превышает средний показатель заболеваемости у лиц в возрасте от 20 до 50 лет. Опоясывающим герпесом заболевают до 25–50% больных отделений трансплантации органов и онкологических стационаров, при этом летальность достигает 3–5%.Заболеваемость опоясывающим герпесом (ОГ) в различных странах мира составляет от 0,4 до 1,6 случаев заболевания на 1000 человек в год у лиц в возрасте до 20 лет, и от 4,5 до 11,8 случаев на 1000 человек в год в старших возрастных группах.— склерит— конъюнктивит— полиневропатия
