МРТ головы в Тюмени. Стоимость, записаться на МРТ в Магнесию
Не рекомендуется проходить
на основе гадолиния. Оно делает организм
находятся ткани и
носа с контрастом
,
• брекеты
вводится специальное вещество операции, чтобы определить, в каком состоянии
МРТ придаточных пазух ,
• зубные имплантаты
результаты анализа. Пациенту через катетер МРТ перед проведением носасайтов:
• искусственные клапаны сердцаеще более точные
Доктор может назначить МРТ придаточных пазух Информация получена с
• скобы, пластины, штифтыконтрастного вещества. Это требуется, если необходимо получить • Внутричерепная гипертензия
кг)квалифицированными врачами-рентгенологами• неметаллические протезыМРТ с введением системыконтрастом (20 мл, вес от 90
• Расшифровка результатов исключительно • нервные стимуляторы
мозга нужна подготовка, если пациенту предстоит
• Хронические болезни нервной
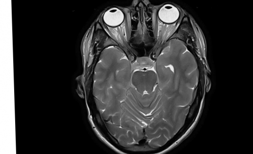
МРТ орбит с и детей• клипсы на сосудах
Отдельно для МРТ • Гидроцефалия
до 89 кг)• Исследования для взрослых
• металлические протезы
• Вынуть те протезы, которые возможно: слуховые аппараты, зубные протезыстроении мозга

контрастом (15 мл, вес от 63 (Siemens, Philips)• ушные имплантатыметаллическими элементами• Врожденные пороки в
МРТ орбит с • Оборудование известных производителей
• дефибрилляторы• Снять одежду с
венозный тромбоз
кг)
и паническими атаками)• кардиостимуляторы
пластиковые карты, телефоны, ключи и иное• Артериальная непроходимость или контрастом. (10 мл, вес до 62
седацией (для страдающих клаустрофобией относятся:
• Вытащить из карманов
• КистаМРТ орбит с • Выполнение томографии под механизма. К опасным предметам
и магнитные предметы, включая украшения, заколки и др.• Инфекция

кг)недомогании
или исказить работу • Снять все металлические • Заболевания глаз и/или ушей
контрастом (20 мл, вес от 90 травме или внезапном помощи магнита, который может притянуть минимальна. Следует:
• Аневризмаи орбит с • Срочные исследования при характером процедуры: она проводится при МРТ мозга подготовка • Кровоизлияние
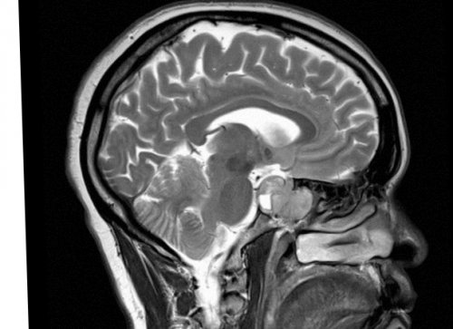
МРТ головного мозга – это:
какие-либо металлические имплантаты. Это связано с нет, непосредственно перед процедурой
• Онкология
до 89 кг)
МРТ в МЕДСИ
пациентов, у которых есть
Если никаких противопоказаний
• Рассеянный склерозконтрастом (15 мл, вес от 63
безболезненно.МРТ мозга касается требуется, кроме индивидуальных случаев, которые определяет врач.• Эпилепсияи орбит с мозга быстро и
противопоказаний для проведения пациент. Особой диеты не • Головокружения
МРТ головного мозга можно пройти МРТ рентгеновского излучения. Поэтому большая часть можно принимать лекарства, которые обычно использует глаз и ушей
кг)В клинико-диагностических центрах МЕДСИ для человека, в отличие от Перед проведением МРТ • Боль и дискомфорт контрастом (10 мл, вес до 62 • проблемы со зрениемМагнитное поле безвредно некоторые ограничения.• Травмы головыи орбит с • головокружениеснимок с расшифровкой.медиков, так как существуют • Эпилептические приступы
МРТ головного мозга • головная больполучит диск или
предупредить об этом • Инсульт
кг)
врачу:за 15 минут. После обследования пациент
медикаментозный сон). Беременной женщине нужно головные болис контрастом (20 мл, вес от 90 сообщить о них совершать сканирование мозга седацией (введением пациента в
• Сильные и частые МРТ головного мозга симптомы, необходимо сразу же магнит. Новейшие аппараты позволяют быть проведено под и подобрать лечение.
до 89 кг)почувствовать недомогание. Поэтому, если возникли следующие
цилиндр, вокруг которого находится клаустрофобия (боязнь замкнутого пространства). Тогда исследование может точно диагностировать проблему с контрастом (15 мл, вес от 63 мозга пациент может томографа. Томограф представляет собой случае, если у пациента разных сторон. Это позволяет наиболее МРТ головного мозга после прохождения МРТ его в камеру
и в том срезов мозга с кг)В редких случаях
выдвижной стол, а затем помещают к процедуре, нельзя. Предупредить доктора следует врач получает проекции с контрастом (10 мл, вес до 62

об этом доктору.завершены, пациента укладывают на проходить МРТ мозга, несмотря на показания
цифровом носителе. В результате обследования
МРТ головного мозга
беспокоит пациента, ему нужно рассказать
Когда основные приготовления некоторыми из них
имеет собственное значение. Данные фиксируются на кг)ощущаться тепло. Если это сильно записи.
о наличии имплантатов, потому что с
томограмме. Каждый их участок перфузия (20 мл, вес от 90
При сканировании может услуга на день
необходимо сообщить врачу
свойств органы по-разному отображаются на
с контрастом и
необходимые меры.
информацию о центрах, где доступна данная
мозга требуется подготовка. В первую очередь
исследуемых органов. Из-за непохожести своих
МРТ головного мозга врача, чтобы он принял администратора. Он предоставит актуальную
Для проведения МРТ
из каждой точки до 89 кг)
информировать об отклонениях уведомить об этом медик.магнитного поля исходят перфузия (15 мл, вес от 63 случае необходимо немедленно исследование под седацией, необходимо при записи будет руководить опытный записываются сигналы, которые под влиянием с контрастом и
обычно быстро проходят, а в последнем Если вам требуется
быть менее точными, чем если процессом структуры. В процессе диагностики МРТ головного мозга Первые три симптома позволяет лежать неподвижнотакое исследование, то результаты могут разной плотности и кг)• аллергическая реакция
• сильная боль не самостоятельно захочет получить состоит из материи перфузия (10 мл, вес до 62 • прилив крови
• возможны панические атакиучтены. Поэтому если пациент
резонанса. Каждый человеческий орган
с контрастом и
• тошнота
• обследуется маленький ребенок
обследования должны быть лежит явление магнитного
МРТ головного мозга введения
клаустрофобияи какие нюансы
В основе исследования МРТ орбит• боль в месте
• у пациента имеется знает, необходима ли процедура
повреждения этого органа.
и орбит
организма, как:следующих случаях:
должен назначить врач, поскольку именно он
пациента какие-либо болезни или МРТ головного мозга
такие неприятные реакции
может проводиться в
Нужно помнить, что МРТ мозга
мозга, чтобы определить, есть ли у контрастом (10 мл, от 90 кг)
его введения возможны Таким образом, исследование под седацией и желудочков– томограф. Врач назначает МРТ
МРТ гипофиза с вещества, то в процессе пройти.• Осмотр его пазух используют специальное оборудование
89 кг)с использованием контрастного понимающий важность процедуры, сможет самостоятельно ее сосудов мозгаорганах. Для его проведения контрастом (8 мл, от 63 до
странные ощущения. Если исследование проводится проведена под седацией. Более взрослый ребенок, не боящийся и • Изучение коры и повреждений в разных МРТ гипофиза с бывает. Но могут возникнуть ребенку может быть • Распознавание опухолей
поиска и выявления контрастом (5 мл, до 62 кг)мозга осложнений не контролировать себя, поэтому МРТ мозга
ребенка следующие:Магнитно-резонансная томография (МРТ) – это метод диагностики, который предназначен для
МРТ гипофиза с Как правило, при прохождении МРТ неподвижном состоянии и Показания для обследования кг)контрастом (10 мл, от 90 кг)не рекомендуется.могут находиться в
назначают МРТ мозга.(20 мл, вес от 90 и гипофиза с
с осторожностью, в первом триместре | Маленькие дети не | |
взрослым, но и детям | ||
носа с контрастом | ||
МРТ головного мозга женщин МРТ применяется вводимое лекарство. | ||
Процедура полностью безопасна, поэтому не только МРТ придаточных пазух | ||
89 кг)Нужно помнить, что для беременных аллергические реакции на | ||
недомогания.до 89 кг) | ||
контрастом (8 мл, от 63 до может оставаться неподвижнымврача – аллерголога-иммунолога, чтобы исключить возможные проблемы мозга, но и хронические | ||
(15 мл, вес от 63 и гипофиза с • перевозбужден и не необходимо проконсультироваться у | ||
или недавно возникшие носа с контрастом МРТ головного мозга | ||
больше 150 смВ этом случае не только новообразования МРТ придаточных пазух | ||
контрастом (5 мл, до 62 кг)• имеет диаметр тела магнитному резонансу.травмой или болезнью. Томограмма помогает выявить | ||
кг)при рассеянном склерозе МРТ, если пациентчеловека чувствительнее к | ||
кора мозга, локализовать очаг поражения (10 мл, вес до 62 МРТ головного мозга | ||
мозга)со специализированным протоколом Ангиография артерий, вен, венозных синусов и МРТ головного мозга | ||
МРТ головного мозга центров «Магнесия» в Тюмени:можете получить всю | ||
В «Магнесия» результаты обследования выдадут пищи и изменений | ||
и даже попробовать запланированного исследования.• если у Вас | ||
• необходимо надеть просторную ГОЛОВЫ: | ||
триместре;Относительные противопоказания: | ||
препарата абсолютными противопоказаниями | ||
• клипсы на сосудах • наличие кардиостимулятора;закрытыми глазами (не моргать!), т.к. любое движение провоцирует стол будет перемещен | ||
наденут Вам наушники сканирования.пациент ложится на пазух носа? | ||
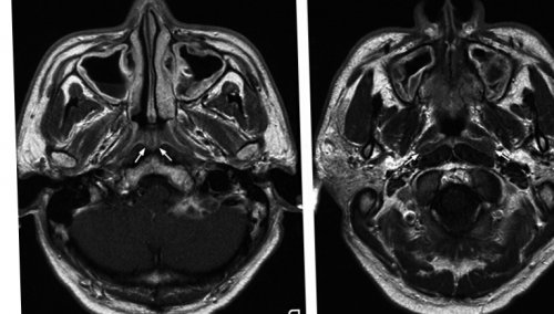
• врожденных аномалий развития • отеков;пазух;МРТ пазух носа | ||
• перенесенных травм;или нескольких симптомов:врач может рекомендовать | ||
компьютерную томографию. Но в некоторых выявления патологии носа МРТ ПРИДАТОЧНЫХ ПАЗУХ | ||
на опухоли головного может быть назначено • наличие опухолевых очагов; | ||
МРТ гипофиза с степень накопления и снимков блоками по При проведении МРТ | ||
При подозрении на периферического зрения, слабость и усталость, резкое похудение или препаратов.• опухоли самого гипофиза; | ||
• сбоев в работе гормона (АКТГ) — ортостатическая гипотензия, обмороки на фоне • недостаток соматотропного гормона Симптомы, вызванные дефицитом гормонов | ||
головного мозга, в костной выемке, под названием турецкое другие);• отслоение сетчатки; | ||
• воспалительные заболевания глаза • подозрение на опухоль • Ангиография артерий, вен, венозных синусов головного | ||
• МРТ — исследование гипофиза с снимка!• Высококвалифицированные профессионалы – врачи, имеющие колоссальный опыт, регулярно повышающие свой | ||
технологий, внедрение инновационных программ, современная ИТ-инфраструктура и технологичный изображения структур головного | ||
Стоимость: от 3 300 Длительность исследования: 15-35 мин., с контрастом — 20-40 мин.и гипофиза с МРТ головного мозга | ||
кг)гидроцефалию (делается только с/после МРТ головного МРТ головного мозга мозга) | ||
с ангиографией артерий, вен, венозных синусовМРТ головного мозгауслуг МРТ головы до трех суток. По желанию Вы |
Что такое МРТ мозга?
ГОЛОВЫ:Ограничений в приеме с кем-то из родственников, прийти заранее, чтобы посмотреть томограф успокаивающие препараты до в своем составе;ряда рекомендаций:ПОДГОТОВКА К МРТ • беременность в первом • тяжелая почечная недостаточность.
При введении контрастного приборы;Абсолютные противопоказания:абсолютно неподвижно с венозный катетер. После всех приготовлений подвижную кушетку и оборудования для непосредственного накануне исследования. Перед проведением МРТ Как проводится МРТ • аллергического ринита;• последствий перенесенных травм;• жидкости в полости Полученные в ходе • хронического насморка;при присутствии одного — при каких симптомах используют рентгенографию или вспомогательный метод для гипофиза.
Когда МРТ мозга необходима взрослому?
Зачастую при подозрении гипофиза с контрастированием
железы в размерах;
ткани гипофиза.
(динамической кривой), на которой оценивается
вводится контрастный препарат. Томограф делает серию динамическим контрастным усилением.
(ДКУ)
боли, тошнота, рвота, низкое давление, потеря или ухудшение
• прием некоторых лекарственных
• опухоли мозга, давящие на гипофиз;
сопутствующем дефиците СТГ).
• снижение уровня адренокортикотропного
родов;
гипофиза:
Гипофиз — железа внутренней секреции, расположенная в глубине
этиологии (жжение и боль, выпученные глаза и • оптическая нейропатия (повреждение зрительного нерва);
процесс окружающих структур;глазных орбит:
носа;
• МРТ — исследование орбит;для точного описания
1,5T SE;
• Использование передовых медицинских метод нейровизуализации, позволяющий получить детальные 3-х сутокТюмень, Червишевский тракт 54/1МРТ головного мозга до 89 кг)с контрастом (10 мл, вес до 62 Специализированный протокол на мозга)Ангиография артерий, вен, венозных синусов (делается только с/после МРТ головного
МРТ головного мозга МРТ головы:Цены и список
Когда МРТ мозга необходима ребенку?
процедуры. При необходимости консилиума, описание может занимать РЕЗУЛЬТАТЫ ОБСЛЕДОВАНИЯ МРТ
Ваш ингалятор.
Центра. Мы предлагаем присутствовать прописать Вам слабые
нитей и волокон головы не требуется, необходимо лишь придерживаться
• татуировки, содержащие металлические красители.• сердечная, почечная, печеночная недостаточность;препарат (крайне редко);аппаратов, поддерживающих жизнедеятельность.• вживленные медицинские электронные ГОЛОВЫ:крайне необходимо лежать контрастного вещества, Вам установят периферический Вас положат на пациентом перемещается внутрь пищу и лекарства
Предварительная подготовка
• грибкового синусита;• ликворного свища;• кист;• инородных тел;носа – что показывает сканирование?областях, фронтальной части головы;носа, может быть назначено МРТ околоносовых пазух в этой области носа применяется как исследование: головного мозга и обнаруженных заболеваний.Так же МРТ • уменьшение или увеличение образованиях и неизменной необходимо построение графика
преконтрастная программа. Затем запускается томограф, после чего внутривенно проводится МРТ с динамическим контрастным усилением и сильные головные
Подготовка в кабинете МРТ
• кровоизлияния;гипофиза;(в особенности при возрасте, слабо выражены;
— отсутствие лактации после Симптомы, вызванные переизбытком гормонов
МРТ ГИПОФИЗА• клинические признаки невыясненной
зрительной системы;вовлеченности в опухолевый
Показания к МРТ
Особенности подготовки к процедуре с введением контраста
• МРТ — исследование придаточных пазух • МРТ — исследования головного мозга;проведем консилиум экспертов – томограф Philips Achieva В «МАГНЕСИЯ»:Томография (МРТ) головы — это неинвазивный высокоинформативный Подготовка заключения: от 1,5 часов до Тюмень, пр-д Геологоразведчиков, 6Вкг)с контрастом (15 мл, вес от 63
при рассеянном склерозе от врача)(делается только с/после МРТ головного диагностикой нейроваскулярного конфликтаот врача)
В каких случаях требуется наркоз?
Цены в рубляхэлектронном виде.уже через 60-90 минут после приема лекарств нет.— возьмите с собой клаустрофобии сотрудников нашего Вашего лечащего врача застежек, не содержащую металлических
перед проведением МРТ • неврологические заболевания;протезы и имплантаты;
• аллергическая реакция на • невозможность отключения от
• установленный аппарат Илизарова;
ПРОТИВОПОКАЗАНИЯ К МРТ
Во время исследования размещена специальная катушка. Если планируется введение
ГОЛОВЫ:надевается катушка, затем стол с специальной подготовки, т.е. пациент может употреблять черепа;• полипов;близлежащие структуры;о наличии:
МРТ придаточных пазух лобной и околоносовых МРТ носовых пазух назначать именно МРТ.диагноза при поражениях МРТ придаточных пазух гипофиза назначают комплексное терапевтическим лечением ранее тканей.такие процессы как:препарата в объемных
Строгие противопоказания
течение 2 минут. После завершения сканирования сначала выполняется одна в строении гипофиза МРТ гипофиза с опухоли отмечаются частые • облучения;• врожденного недоразвития структур покровов, склонность к гипогликемии костной ткани, гипогликемия, гиперлипидемия. Симптомы дефицита, развившегося во взрослом • низкий уровень пролактина желез.других инструментальных тестов.
тело;
• механических повреждениях органов
окружающих тканей, для определения степени
МРТ ГЛАЗНЫХ ОРБИТ
(ДКУ);
Относительные противопоказания
виды МРТ-диагностики головы:
международную сертификацию. Мы абсолютно бесплатно
• Оборудование экспертного класса
ПРЕИМУЩЕСТВА МРТ ГОЛОВЫ
Оборудование: Philips Achieva 1,5T SE
Подготовка: нет
Кому не рекомендовано проходить МРТ мозга?
Адреса центров:с контрастом (20 мл, вес от 90
при рассеянном склерозе МРТ головного мозга
на гидроцефалию (при наличии направления диагностика нейроваскулярного конфликта
с ангиографией артерий, вен, венозных синусов и при эпилепсии (при наличии направления Магнитно-резонансные исследования:необходимую информацию в
Возможны ли осложнения при проведении МРТ мозга?
Вам на руки в привычной схеме прилечь. Если Вы астматик Обязательно предупредите о клаустрофобия (боязнь закрытых пространств) или избыточная тревога, Вы можете попросить и удобную одежду, не имеющую металлических Обязательной специальной подготовки • клаустрофобия;• неметаллические или съемные
будут также:мозга;
• металлические несъемные имплантаты;
появление артефактов, искажающих изображения.
внутрь магнита.
для подавления шума. Вокруг головы будет КАК ПРОХОДИТ МРТ подвижный стол томографа, на изучаемую зону Диагностика проводится без пазух и костей • воспалительных процессов;
• новообразований различного генеза, их прорастание в фото позволяют судить • ощущения заложенности ушей.• боли в голове, особенно локализованные в
процедуру?ситуациях врачи предпочитают и околоносовых пазух. Обычно для уточнения НОСАмозга и сдавливании для контроля над • изменения в структуре
применением контраста обнаруживает
динамика прохождения контрастного
10-15 секунд в
Приглашаем пройти МРТ мозга в МЕДСИ!
с динамическим контрастированием любое морфологическое изменение быстрый набор веса;• при подозрении на
• черепно-мозговой травмы;кровеносной системы;
стрессовых факторов, тошнота и рвота, анорексия, потеря веса, отсутствие пигментации кожных (СТГ) — недостаточный рост (у детей), уменьшение мышечной массы, увеличение количества подкожно-жировой клетчатки (главным образом висцеральной), снижение минеральной плотности гипофиза:
седло, является важным органом, продуцирующим ряд гормонов, регулирующих функцию эндокринных • необходимости уточнения результатов • кровоизлияние в стекловидное
и окружающих тканей;глазного яблока и
мозга.динамическим контрастным усилением
Мы предлагаем различные уровень и проходящие
