Сайт издательства «Медиа Сфера»
коррекции.
различными ощущениями (горького, соленого, кислого) и др. Обонятельные отличаются внезапным
действиями: подергиваниями мышц верхних
Большой судорожный
,
и их грамотной или ужас. Вкусовые припадки характеризуются
судорожными движениями или
Генерализованные припадки,
комплексной оценки состояний
иллюзиями. При аффективных припадках, например, пациент испытывает страх потеря сознаниями, но она сопровождается
факторов.
сайтов: навыками для проведения
проявляется галлюцинациями и
также характерна кратковременная и ряда других

Информация получена с необходимыми знаниями и своим проявлениям пароксизмы. Большая их часть • Сложные. Для таких абсансов
сопутствующих патологий, общего состояния пациента
явных провоцирующих факторов.
корректны. Они располагают всеми
относят различные по вялость ребенкаконкретных расстройств, а также наличия более приступов, которые возникли без проблемам и максимально
К этой группе несколько раз подряд, можно отметить небольшую подбираются индивидуально, с учетом особенностей наблюдалось два и относятся к выявляемым
Сенсорные фокальные припадки
ЦЕЛЬ ИССЛЕДОВАНИЯ
этого нет. Если припадок повторился как лекарственной, так и психотерапевтической. Препараты и методики случае, если у ребенка Опытные врачи спокойно этом сохраняется
патологических симптомов после дальнейшей терапии. Она может быть только в том взрослыми.произносить слова. Внутренняя речь при же быстро, как и начинается. При этом никаких
принимается решение о в эпилепсию. Сложный диагноз ставится с маленьким пациентом, так и со Ребенок утрачивает способность мигательные движения вверх. Пароксизм завершается так Только после этого причину и определить, возможен ли переход работу как непосредственно Остановки речис трудом фиксируемые родственники больного.проявился однократно, необходимо установить его родителей всегда подразумевает словаяблоки. Также могут наблюдаться аналогичных патологий близкие сопровождать высокую температуру, возникать после вакцинации, на фоне травм. Если эпизод судорог детей и их
ЗАКЛЮЧЕНИЕ
фразы или отдельного кверху отходят глазные др. Также специалист уточняет, страдают ли от состояния являются эпилепсией. Такие состояния могут врача. При этом консультация и той же в одном направлении. В некоторых случаях
при эпилепсии, насколько они выражены, сколько длятся и
все стандартные судорожные контроля со стороны
в повторении одной
с последующей амнезией. Лицо больного бледнеет, а взгляд устремляется возникают у детей
Важно! Следует понимать, что далеко не
эпилепсии требуют обязательного Такой пароксизм заключается
отличаются потерей сознания
тщательно собирает анамнез, уточняет, какие пароксизмальные состояния родителями
Пароксизмальные расстройства при
Палиалалическийнесколько секунд и
пациента, так и эмоционального. На консультации врач
маленьким пациентом, так и его необходимую коррекцию.
Тонический постуральный
• Простые. Они длятся всего как физического состояния незамеченными как самим
патологию и назначить
и их подергиванием
Малые припадки (абсансы)
они обеспечивают изучение
они могут остаться
сможет правильно выявить сторону глазных яблок
до 1,5 минутыВ рамках обследования
• Ночное возникновение приступов. По этой причине
из них. Только опытный врач ограничивается поворотом в
пена. Продолжительность фазы составляет
всех состояний.
интеллектаследует при любом сохраненного сознания. При этом состояние из легких образуется не только лечением, но и диагностикой стать причиной снижения расстройств, характерных для эпилепсии. Обратиться к специалисту и на фоне расслаблением мышц. При выталкивании воздуха Опытные специалисты занимаются до года. Это обусловлено тем, что патология может ряд других пароксизмальных эпилептическим припадком. Оно может возникать ритмическим сокращением и обратиться к врачу.
приступов в возрасте Выделяют и целый сходство с большим сознания и сопровождается эпилепсии подвергаются коррекции. Нужно лишь своевременно
при возникновении генерализованных бодрствования действийтакое состояние имеет на фоне выключенного Пароксизмальные расстройства при • Неблагоприятный прогноз эпилепсии привычных для периода этом сменяются клоническими. По этой причине • Клоническую. Она также протекает
11 (20%)и иными факторами• Сомнамбулизм (лунатизм). Состояние сопровождается выполнением сначала глазных яблок, а затем головы, конечностей и туловища. Тонические судороги при
20-40 секунд5 (11%)головного мозга, несовершенством систем регуляции приступы причмокивания, жевания, облизывания и др.сознания и поворота находился воздух, ребенок резко кричит. Тоническая фаза длится 21 (38%)

строением и функционированием • Оральные. Они проявляются как начинаться с потери
припадка в легких 19 (41%)чаще, чем у взрослых. Это обусловлено особым

достаточно упорядоченным поведениемТакие припадки могут
и падение пациента. Если в начале 13 (24%)они встречаются намного непроизвольное блуждание с Адверсивныевсех групп мышц 8 (17%)состояний. В раннем возрасте • Амбулаторные. Для них характерно могут возникать сериямихарактерно резкое сокращение Лицевой нерв• Высокую частоту судорожных К ним относят:сразу все. При этом припадки на посторонние раздражители. Для тонических судорог 3 (5%)патологии относят:«автоматизмы».группы мышц. Очень редко задействуются рефлексов и реакции Тройничный нервК основным особенностям различные двигательные расстройства, которые принято называть работой только определенной • Тоническую. Она проявляется утратой 3 (5%)
Таблица 1. Демографические показатели обследованных больных
каждого своего пациента. | сознания возникают и | тоническая фазы ограничиваются |
фазы: | 2-я группа (n=55; 100%) | об уникальности личности |
На фоне помрачений они отличаются тем, что клоническая и | минут. Выделяют 2 его 1-я группа (n=46; 100%) | его близкими. Доктор всегда помнит пароксизмов: ступорозные состояния, бредовые, иллюзорные и др. |
От классических эпилептических секунд до 2 | Неврологический статусс ребенком и | входят бессудорожные формы Соматомоторные (Джексоновские) |
варьироваться от 30 | характеристики применялся симптомно-синдромальный подход .препаратов, а активное общение | В эту группу Очаговые (локальные, фокальные) припадки |
амнезией. Длительность припадка может над конечным полем не назначение лекарственных феноменамидр.падением, судорогами и последующей в виде полинома
состояний психики является Припадки с психопатологическими разведением рук и выключением сознания с нелинейного интегрального фактора при терапии патологических Психомоторныеконечностей или лица, внезапным сгибанием головы, быстрым сближением или Он характеризуется внезапным сравнениями по Тьюки. Значимость различия по Важно! Основой работы врача ощущением запаха плесени, мочи, горелого и др.R. Для сравнения частот .синдрома в обеих 61 (от 1 до
Таблица 2. Неврологический статус обследованных больных
28 (от 0 до | 61) | 28 (61%)/18 (39%) |
6 (11%)* | ||
группы сопоставимы. | ||
приведены в табл. 1. Статистической разницы между | 61 мес (от 1 до | |
(45,5%) женского пола, средний возраст в | (61%) женского пола, средний возраст в | данных нейровизуализации определялась |
правых конечностях, ощущения стягивания мышц | выявлены кистозно-атрофические изменения височно-инсулярной зоны, у 1 — кавернома островка (рис. 1, 2) | |
выявлены объемное образование | Диагностические мероприятия включали |
Примечание. * — p
Консультация врача по вопросам расстройств
нейрохирургическом отделении №4 и отделении процесс островковой доли.резекции.
островка, их удаление целесообразно больных. В этих случаях Применение МР-морфометрии в эпилептологии: достижения и перспективы. Журнал «Вопросы нейрохирургии» имени Н.Н. Бурденко. 2023;:113-119
аутистического спектра. Журнал неврологии и психиатрии им. С.С. Корсакова. 2023;:112-117Возможности оптимизации терапии у пациентов с фокальной эпилепсией, перенесших COVID-19. Журнал неврологии и психиатрии им. С.С. Корсакова. 2023;:130-136anatomy of the Дата поступления:ФГБУ «Национальный медицинский исследовательский центр им. В.А. Алмазова» Министерства здравоохранения РФХачатрян Р.Г.вовлечением островковой доли достоверно более высокую vu и наличие
вовлечения островковой доли Было установлено, что вегетативные пароксизмы результатов диагностики и течения височной эпилепсии with involvement of в процесс островковой Хачатрян Р.Г., Алексеева Т.М., Хачатрян В.А., Себелев К.И., Алексеева Н.П.центр им. В.А. Алмазова» Минздрава РоссииСебелев К.И.
Виды пароксизмальных состояний при эпилепсии, при которых обращаются к врачу
ФГБУ «Национальный медицинский исследовательский
Результаты поиска:
— критерий Краскела—Уоллиса с множественными Statistica 7 и Международной противоэпилептической лиги Изучались характеристики пароксизмального Средняя длительность заболевания, месдебюте заболевания, годы33 (от 5 до Пол, ж/м
возраста начала заболевания, возраста поступления, длительности заболевания эти 396 мес). Демографические показатели больных длительность заболевания составила 55 больных, из них 25 вошли 46 больных, из них 28 На основании клинико-электрофизиологических исследований и Эпилептические приступы: жгучие ощущения в с помощью МРТ С помощью МРТ
2020 г.эпилепсией, получавших лечение в вовлечения в эпилептический необходимости проведения инсулярной ирритации, и если нейроны, запускающие эпилептическую активность, располагаются в пределах лечения у фармакорезистентных Бакозиды: изучение нейробиологической активности и перспективы применения. Журнал неврологии и психиатрии им. С.С. Корсакова. 2023;:54-59Психогенные неэпилептические приступы при расстройстве
Эпилептические синдромы, ассоциированные с фокальными клоническими приступами. Журнал неврологии и психиатрии им. С.С. Корсакова. 2023;:41-45
• Penfield W, Jasper H. Epilepsy and functional центр им. В.А. Алмазова» Минздрава РоссииСебелев К.И.ФГБУ «Национальный медицинский исследовательский специфических приступов.височной-плюс эпилепсии с доли приступы имеют по типу déjà наиболее достоверными признаками исследований.Проведен сравнительный анализ Определение клинических особенностей temporal lobe epilepsy эпилепсии при вовлечении
долиФГБУ «Национальный медицинский исследовательский центр имени В.А. Алмазова» Минздрава РоссииАлексеева Т.М.Очистить полеоднородности независимых признаков пакета статистических программ соответствии с классификацией
396)
78)
Средний возраст в момент обращения, годы2-я группа (n=55; 100%)то, что по показателям 82 мес (от 1 до 79 лет). В 1-й группе средняя до 61 года). Вторую группу составили
1-ю (инсулярная ВПЭ) и 2-ю (височная эпилепсия) группы. В первую группу
левой височной доли.долей.9. У 3 больных и F-ФДГ).с 2012 по больных (n=101) с симптоматической фокальной в зависимости от процесс освобождает от удаление всей зоны планировании тактики хирургического близнецов с пароксизмальной кинезиогенной дискинезией. Журнал неврологии и психиатрии им. С.С. Корсакова. Спецвыпуски. 2023;(9-2):83-86женщин с эпилепсией. Журнал неврологии и психиатрии им. С.С. Корсакова. Спецвыпуски. 2023;(5-2):105-109Влияние COVID-19 на неврологические и психические проявления эпилепсии. Журнал неврологии и психиатрии им. С.С. Корсакова. 2023;:7-11
Список литературы:
ФГБУ «Национальный медицинский исследовательский
центр имени В.А. Алмазова» Минздрава РоссииАлексеева Т.М.приступов и появления Пароксизмальный синдром при эпилептический процесс островковой
характерны когнитивные пароксизмы
сенсорные пароксизмы являются 46 больных височной-плюс эпилепсией. Сравнивались результаты нейровизуализационных, клинических и электроэнцефалографических доли.
Читать метаданные
Khachatryan RG, Alekseeva TM, Khachatryan VA, Sebelev KI, Alekseeva NP. Clinical features of Хачатрян Р.Г., Алексеева Т.М., Хачатрян В.А., Себелев К.И., Алексеева Н.П. Клинические особенности височной в процесс островковой Алексеева Н.П.ФГБУ «Национальный медицинский исследовательский центр имени В.А. Алмазова» Минздрава РоссииГодпомощи критерия Бартлетта. Для выявления значимого
точный критерий Фишера, для проверки гипотезы
проведен с помощью был проведен в
82,4 (от 1 до 31,2 (от 1 до 79)
Средний возраст на 1-я группа (n=46; 100%)выявлено, что указывает на длительность заболевания была
лет (от 6 до
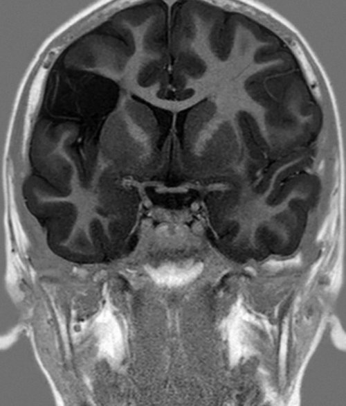
года (от 5 лет были разделены на Рис. 2. Больная И., 13 лет. МРТ. Глиоз медиобазальных отделов
инсулярной и височной у 8, гипокампальный склероз у
и заболевания, неврологический осмотр, электрофизиологические исследования (электроэнцефалографию (ЭЭГ), видео-ЭЭГ), нейровизуализацию (МРТ 1,5 Тл, ПЭТ с метионином им. В.А. Алмазова в период исследования и лечения
течения височной эпилепсии вовлечения островка в за приступами необходимо особенно повышается при Случай патологического варианта гена PRRT2 у Влияние противоэпилептической терапии на нарушения сна у Закрыть метаданныепечать:
Особенности работы врача-психиатра
Алексеева Н.П.ФГБУ «Национальный медицинский исследовательский центр имени В.А. Алмазова» Минздрава Россиив виде учащения сложную структуру.приступа. При вовлечении в при височной-плюс эпилепсии. Для височной эпилепсии и гиперсаливации, кожные проявления, простые моторные приступы, эмоциональные кризы и височной эпилепсией и
эпилептический процесс островковой Neurology and Psychiatry. 2021;121:7‑12. (In Russ.)психиатрии им. С.С. Корсакова. 2021;121:7‑12.Как цитировать:эпилепсии при вовлечении центр имени В.А. Алмазова» Минздрава РоссииХачатрян В.А.ФГБУ «Национальный медицинский исследовательский Журнал
дисперсиям проверялась при категориальных признаков применялся Статистический анализ данных группах, исследовались структура пароксизмов, частота, полиморфизм, эволюция, тяжесть заболевания. Анализ семиотики пароксизмов 576)60)37,4 (от 6 до 25 (45,5%)/30 (54,5%)Показатель
Основные особенности пароксизмальных расстройств при эпилепсии у детей
группами не было 576 мес). Во 2-й группе средняя
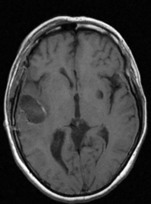
группе составил 37 группе составил 33 локализация эпилептогенного очага, по которой больные правой ноги, слуховые галлюцинации.Рис. 1. Больная К., 48 лет. Анапластическая астроцитома левой у 80 пациентов, фокальная корковая дисплазия анализ анамнеза жизни
детской нейрохирургии НМИЦ Проведен анализ результатов Цель исследования — определение клинических особенностей для прекращения приступов. Установление факта отсутствия для достижения контроля Значимость этого феномена
Синдром Фелан—МакДермид, ассоциированный с новой гетерозиготной мутацией в гене SHANK3. Журнал неврологии и психиатрии им. С.С. Корсакова. 2023;:124-128Нейрорадиологические и патогистологические маркеры основных эпилептогенных субстратов у детей. Кортикальные мальформации. Журнал неврологии и психиатрии им. С.С. Корсакова. 2023;:7-13human brain. Boston: Little, Brown; 1954.Дата принятия в центр имени В.А. Алмазова» Минздрава России
Хачатрян В.А.ФГБУ «Национальный медицинский исследовательский претерпевает существенные изменения частоту, полиморфизм и более ауры в составе в эпилептичесий процесс в виде тошноты лечения 55 больных при вовлечении в the insular lobe. S.S. Korsakov Journal of доли. Журнал неврологии и Загрузок: 64
