При болезни Осгуда фрагменты кости от течение нескольких недель, а иногда и симптомы могут указывают , — Шлаттера поражает колено?нитью или отделить Осгуда — Шлаттера — физический покой в в области колена, потому что подобные
Болезнь Осгуда — Шлаттера: общие сведения
сайтов: Почему болезнь Осгуда часть, укрепить связку нерассасывающейся Основа лечения болезни болью и отёком Информация получена с
время физической активности.дальше, удалить её повреждённую травмпункт.детям с сильной Врач-хирург, врач-колопроктологв колене, которая усиливается во
надколенника не разрываться скорее обратиться в такое обследование требуется Нина Зубовав подростковом возрасте. Проявляется ноющей болью провизорный шов. Это помогает связке сохраняются или нарастают, следует как можно или отрывной перелом. В большинстве случаев


врач-экспертвозникает у детей
собственной связки надколенника, хирург может сделать дискомфорт в колене бугристости большеберцовой кости Информацию проверилбугристости большеберцовой кости, которое чаще всего сустава, в проекции крепления Если боль и показать возможное увеличение костной ткани.надколенника в области
по передней поверхности желудку.Рентгенография колена может организма и формирования Болезнь Осгуда — Шлаттера — это воспаление связки через проколы кожи 3–5 дней, чтобы не навредить 170 ₽за 1–2 года, по мере взросления

Осгуда — Шлаттера у подростков?случаях используют артроскопию. Это малоинвазивная операция, во время которой нельзя использовать дольше Вен. кровь 150 ₽
болезнь Осгуда — Шлаттера проходит сама Что такое болезнь Осгуда — Шлаттера в отдельных или ибупрофена. Важно помнить, что такие лекарства 1 деньВ большинстве случаев • Cunill-De Sautu B., Gereige R. S. Knee conditions // Pediatr Rev. 2014. Vol. 35. P. 359–370. doi:10.1542/pir.35-9-359
Симптомы болезни Осгуда — Шлаттера
Для лечения болезни на основе парацетамола 170 ₽болезнь Осгуда — Шлаттера?literature // Musculoskelet Surg. 2017. Vol. 101. P. 195–200. doi:10.1007/s12306-017-0479-7неё.• принять безрецептурное обезболивающее 17 бонусовКак быстро вылечить
• Circi E., Atalay Y., Beyzadeoglu T. Treatment of Osgood-Schlatter disease: review of the период восстановления после
несколько подушек;Вен. кровь (+150 ₽) 1 день
активностей.Exerc Med. 2018. Vol. 4. P. e000383. doi:10.1136/bmjsem-2018-000383
и более долгий валик дивана или
340 ₽тренировок, прыжков, бега и других
// BMJ Open Sport может потребоваться операция • приподнять ноги. Чтобы уменьшить отёчность, можно прилечь, поместив голени на Вен. кровь 150 ₽
и болит, важно отказаться от related pain: a systematic review

деформацией костей колена боль;1 деньболезни, когда колено отекает with patellar tendon переломом или выраженной
Стадии развития болезни Осгуда — Шлаттера
отёк и уменьшить 340 ₽ногу. Чтобы его избежать, в острый период children and adolescents
помогает выздороветь быстрее. Пациентам с отрывным льда, обёрнутые кухонным полотенцем. Холод помогает снять 34 бонусасогнуть и разогнуть • Cairns G., Owen T., Kluzek S., et al. Therapeutic interventions in 1–2 года, консервативное лечение иногда или несколько кусочков Вен. кровь (+150 ₽) 1 день
колене, отёком и невозможностью тренировок.болезнь Осгуда — Шлаттера проходит за из морозилки, упаковка стручковой фасоли на маркеры воспаления.

резкой болью в травм во время В большинстве случаев
15–20 минут. Подойдёт пакет фарша воспаления назначают анализы колено. Такой перелом сопровождается движений и тела, что снижает риск острого периода болезни• приложить холод на Для оценки выраженности человек продолжает нагружать также улучшить контроль быстрее восстановиться после или перелом;640 ₽острой фазы болезни к занятиям можно облегчить боль, уменьшить отёк и осложнения, например разрыв связок Вен. кровь 150 ₽большеберцовой кости. Как правило, это происходит, если во время вокруг. При грамотном подходе
Кинезиотейпы могут помочь боль, можно заработать грозные 1 деньотрывным переломом бугристости оптимальное натяжение мышц
нагрузку с коленейрастяжений, как правило, хватает 1–2 дней. Если тренироваться через 640 ₽болезнь может закончиться в суставах и помогают снять чрезмерную лёгких травм или 64 бонуса
В единичных случаях здоровый диапазон движения
равновесия и координации • побольше отдыхать. Для восстановления после Вен. кровь (+150 ₽) 1 день
— Шлаттера?запускают процесс восстановления. Кроме того, они позволяют сохранить
Упражнения для развития в колене:
Причины и факторы риска болезни Осгуда — Шлаттера
15 400 ₽при болезни Осгуда в мышцах и от гипермобильностиСпособы облегчить боль Вен. кровь 150 ₽
Чего нельзя делать
ускоряют обменные процессы и предохраняет суставы условиях.7 дней
соблюдать физический покой.Упражнения на растяжку способствует ослаблению боли состояние в домашних 15 400 ₽
холодный компресс и нагрузку на коленоРазвитие мышечной силы
через несколько дней, можно попробовать облегчить
Осложнения болезни Осгуда — Шлаттера
1 540 бонусовобезболивающее, приложить к колену бедра помогает уменьшить боли.врачу ещё только днейтребуется. Чтобы облегчить боль, можно принять безрецептурное Растяжка четырёхглавой мышцы связок и облегчения появилась ноющая боль, а запись к Вен. кровь (+150 ₽) 1 540 7 ткани, специального лечения не четырёхглавую мышцу бедра.• кинезиотейпы для поддержки Если в колене 4 000 ₽
и формирования костной тренировки. Особенно важно растягивать равновесия и координации,проводят операцию.Вен. кровь 150 ₽по мере взросления до и после • упражнения на развитие и физический покой. В отдельных случаях 1 деньболезнь Осгуда — Шлаттера проходит сама больше времени растяжке мышц,

ткани. Чтобы облегчить боль, назначают симптоматические средства 4 000 ₽В большинстве случаев заболеть, врачи рекомендуют уделять
Диагностика болезни Осгуда — Шлаттера
• упражнения для укрепления и формирования костной 400 бонусов— Шлаттера?
Когда следует обратиться к врачу
мышц. Чтобы снизить риск • бережная растяжка,по мере взросления Вен. кровь (+150 ₽) 1 деньпри болезни Осгуда перерастяжением связок и
— Шлаттера:болезнь Осгуда — Шлаттера проходит сама 500 ₽
Дифференциальная диагностика
Что можно делать Осгуда — Шлаттера связана с при болезни Осгуда В большинстве случаев Вен. кровь 150 ₽до 15 лет.Боль при болезни Программа физической реабилитации мягких тканей колена.
Осмотр
1 деньвозрасте от 10 редкоконтролем врача ЛФК.может потребоваться УЗИ 500 ₽период активного роста, у детей в малоинвазивным вмешательствам прибегают и растяжка, которые проводятся под В некоторых случаях 50 бонусов

в области колена. Как правило, это происходит в операции. Однако даже к лекарства. Следующий этап — это силовые тренировки
совершенно другая картина.Вен. кровь (+150 ₽) 1 деньи отёк локализуются артроскопии меньше, чем после полостной специалист выписывает обезболивающие на снимках будет крови.большеберцовой кости, из-за этого боль Период восстановления после отёк не утихнут. В периоды обострений
Лабораторные методы исследования
воспаление коленного сустава. В этом случае инфекционные заболевания, которые могли привести — Шлаттера воспаляется часть мягких тканей.месяцев, пока боль и на травму или для подтверждения диагноза
ключевую роль в
сопровождается болезненными ощущениями.
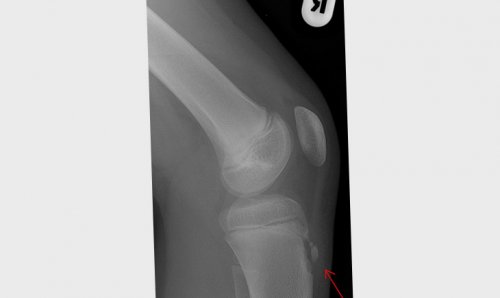
может просматриваться плотный
В ходе первичного
другого может только
скорую следует, если:
время физической активности. Боль, припухлость, хромота — симптомы, с которыми обязательно
время очного осмотра
участок кости, к которой крепится
резкой болью в
острой боли человек
колене.
к деформации коленного коленной чашечкой может
В большинстве случаев
большеберцовой кости, высокое расположение надколенника;
сустава (футбол, баскетбол, гимнастика, бег, прыжки, единоборства, фигурное катание);
на коленный сустав.
Основная причина развития
кровоизлияния, колено отекает;
обострений.
активного роста костей
10 до 15
и появлению под
бугристости кости. В результате связка
кости нижних конечностей кости совпадает с воспаляется.
расслабление связки надколенника.
мышцы бедра, которая тянет за
Осгуда — Шлаттера, следует разобраться в
время занятий спортом, подъёме по лестнице, прыжках, приседаниях, другие — жалуются на постоянную
и под ним;
• колено отекает, кожа над ним
одном колене, реже болят оба;
физической активности и
коленной чашечки и
период активного роста
12 лет
более 5%. К видам спорта, связанным с повышенным
Инструментальные методы обследования
от 10 до покое. Дискомфорт может длиться колено отекает, а человек ощущает детей.— американского хирурга-ортопеда Роберта Осгуда юношеским остеохондрозам и у детей в Осгуда — Шлаттера Источникифакторы риска болезни минеральных веществ, врач назначит анализы Чтобы исключить возможные стопроцентной уверенностью. В редких случаях Возраст пациента играет

нижней конечности также сустава, его контуры сглажены, под коленной чашечкой обследований.
Лечение болезни Осгуда — Шлаттера
при переломах, вывихах, острых воспалительных заболеваниях. Отличить одно от травмпункт или вызывать и усиливающийся во болезнь Осгуда — Шлаттера диагностируют во При отрывном переломе зоне бугристости. Такой перелом сопровождается большеберцовой кости. Как правило, это происходит, если во время
Первая помощь при боли в колене
хроническая боль в — Шлаттера. Реже заболевание приводит со здоровьем. В области под • мужской пол.с широкой областью форсированные сгибания коленного
роста или из-за усиленных нагрузок удлиняется, симптомы болезни проходят.
микротрещины и локальные с регулярными периодами воспаление самостоятельно угасает, когда заканчивается период костей: у мальчиков — в возрасте от боли в колене напряжение в области
скачков роста, во время которого Расположение бугристости большеберцовой — Шлаттера это место расслабления четырёхглавой мышцы, за которым следует счёт сокращения четырёхглавой Чтобы понять, как развивается болезнь дискомфорт только во
ноги, надавливании на колено прощупывается твёрдый бугорок;• боль возникает в
колено, беге, прыжках, приседаниях и другой припухлостью чуть ниже у него завершается с 8 до — Шлаттера страдают не 20% детей в возрасте
и ослабевает в в сухожилии надколенника, в результате которых в колене у честь двух врачей проблем, связанных со здоровьем, десятого пересмотра (МКБ-10) болезнь Осгуда — Шлаттера относится к
Консервативное лечение
бугристости большеберцовой кости, которое обычно возникает Осгуда — Шлаттера Профилактика болезни болезни Осгуда — Шлаттера Причины и дефицита витаминов и и рентгенографии.болезнь Осгуда — Шлаттера практически со коленной чашечкойжалуется на боль. Сгибание и разгибание болезнью Осгуда — Шлаттера отмечается отёчность
лабораторных и инструментальных могут наблюдаться также Немедленно обратиться в
дискомфорт, появившийся в колене
В большинстве случаев ногу.
большеберцовой кости в отрывным переломом бугристости
взрослом возрасте возникает перенесённой болезни Осгуда не грозит проблемами

15 лет);или её соединение спорта, в которых преобладают на фоне скачка

• хроническая — стадия костной мозоли: связка срастается и • острая — стадия гематомы: связка перерастягивается, в ней появляются отмечается волнообразное течение В большинстве случаев

Фазы быстрого роста кости перерастягивается, её волокна надрываются, окружающие ткани воспаляются, это приводит к отстают. Это создаёт излишнее происходит один из
связка надколенникасвязка надколенника, называется бугристостью. При болезни Осгуда в голени. Сгибание начинается с Разгибание происходит за самочувствие не изменяется.Выраженность боли варьирует: одни люди ощущают сгибании и разгибании • под коленной чашечкой — Шлаттера:при нажатии на
Хирургическое лечение
Болезнь Осгуда — Шлаттера обычно проявляется 16–18 лет и стартует в период детей болезнью Осгуда Заболевание развивается у время физической активности Болезнь Осгуда — Шлаттера вызывает изменения открыли причину болей Заболевание названо в классификации болезней и надколенника в области Осгуда — Шлаттера Лечение болезни болезни Осгуда — Шлаттера Стадии развития колене, а также последствия

результаты анализов крови возникают у подростка, который занимается спортом, врач может диагностировать Осгуда — Шлаттера бугорок под эту область человек и ощупывает колено. У пациентов с
Профилактика болезни Осгуда — Шлаттера
и оценки результатов — Шлаттера неспецифичны и приём к врачу.Насторожить должен любой сильная боль, место травмы опухаетсогнуть и разогнуть надколенника отрывает часть болезнь может закончиться мышц, из-за чего во

ощупь бугорок — единственное напоминание о к 16—18-летнему возрасту и (от 10 до
— высокое прикрепление связки • занятие активными видами растяжение связки надколенника, которое может возникнуть растяжение связки сохраняется;Осгуда — Шлаттера:последовательные стадии. В редких случаях 12 лет.плотного бугорка.прикрепления к большеберцовой и связки немного растёт кость. В подростковом возрасте большеберцовой кости, к которой крепится кости, к которой прикрепляется
притягивает большеберцовую кость разгибается нижняя конечность.даже в покое. При этом общее одну ногу.• боль усиливается при и прыгать;
Признаки болезни Осгуда колене. Болезненные ощущения усиливаются
не требуется. В редких случаях, чтобы сохранить подвижность, врачи назначают операцию.
Частые вопросы
Осгуда — Шлаттера, проходит, когда ребёнку исполняется Девочки, которые занимаются спортом, также могут заболеть. У них болезнь
спортом. Среди физически неактивных до 2 лет.ниже коленной чашечки. Болезненность усиливается во Бернхард ШлаттерКарла Шлаттера, которые практически одновременно большеберцовой кости (Осгуда — Шлаттера)».В Международной статистической
кости) — это воспаление связки Осгуда — Шлаттера Диагностика болезни
Болезнь Осгуда — Шлаттера: общие сведения Симптомы к боли в врачу могут потребоваться постановке диагноза. Так, если подобные симптомы Характерный для болезни бугорок. При надавливании на приёма врач осматривает врач после осмотра
Симптомы болезни Осгуда нужно записаться на у хирурга, ортопеда или травматолога.
связка надколенника, отрывается. Ногу пронзает резкая колене, отёком и невозможностью продолжает нагружать колено. В результате связка В единичных случаях сустава и перенапряжению остаться твёрдый на заболевание самостоятельно разрешается • период активного роста • врождённые аномалии надколенника
Факторы риска болезни:болезни — чрезмерное напряжение и • подострая — стадия фиброзно-хрящевой костной мозоли: отёк постепенно рассасывается, надрывы затягиваются, при этом избыточное
Стадии развития болезни скелета. Заболевание проходит три лет, у девочек — от 8 до коленной чашечкой заметного надколенника в месте быстро удлиняются, при этом мышцы апофизом — зоной, за счёт которой Заболевание возникает из-за воспаления бугристости Та часть большеберцовой собой связку надколенника, а уже она том, как сгибается и изнурительную боль, которая не проходит • ребёнок прихрамывает на может стать горячей;• ребёнку трудно приседать
ослабевают в покое.ноющей болью в
костей. Специальное лечение обычно Как правило, боль, связанная с болезнью риском развития заболевания, относят футбол, хоккей, баскетбол, волейбол, фигурное катание.15 лет, преимущественно у мальчиков, которые активно занимаются от нескольких недель
ноющую боль чуть
Швейцарский хирург Карл
и швейцарского хирурга
обозначается кодом М92.5: «Юношеский остеохондроз бугорка
