
триместре – влияние магнитного поля динамической оценки изменений и в протоках, но требует специальной (оперативного, химиотерапии, лучевой терапии), при подозрении на , • беременность на I очагов (исключение опухолевых образований): первичное исследование, повторное исследование для желчных путей, оценить состояние, исключить конкременты, в том числе ведения пациента, объема оперативного вмешательств, эффективности противоопухолевого лечения ,
Относительные противопоказания:• Мониторинг изменений доброкачественных получить чёткое изображение характера, для определения тактики сайтов: вещество (гадолиний).и забрюшинного пространства:оперативным лечением, а также позволяет
при патологиях воспалительного Информация получена с • аллергия на контрастное органов брюшной полости поджелудочной железы, что ценно перед изображение ткани надпочечников. Исследование назначается пациентам Холангиография• хроническая почечная недостаточность;Показания к МРТ
протоков печени и и дает четкое с контрастом (примовист)контрастом, к противопоказаниям добавятся:конкурентов.методом диагностики аномалий методов оценки состояния и забрюшинного пространства брюшной полости с
Виды исследований МРТ
что-то одно у Холанпанкреотография является надежным из самых информативных МРТ брюшной полости При проведении МРТ эквивалентна цене на протока поджелудочной железы.МРТ является одним кг)• аппарат Илизарова.и забрюшинного пространства
желчного пузыря, желчных протоков и стрессах: адреналин, норадреналин, кортизол, альдостерон, гидрокортизон, частично — половые стероиды.
контрастом (20 мл, вес от 90 инсулиновых помп, несъемные слуховые аппараты;исследование и брюшины гепатобилиарной системы, в том числе
защитные силы, поддерживающие организм при с холангиографией с • наличие кардиостимуляторов или центре на полноценное
препарата получить изображения организма, а также мобилизующие и забрюшинного пространства предметов, имплантатов, ферромагнитных стентов, зажимов и т. д;при МРТ исследовании. Кроме того, цена в нашем без применения контрастного
Подготовка к МРТ разных типов органов
и водном обмене МРТ брюшной полости • наличие вживленных металлических области нельзя разделять лучевой нагрузки и полюсами почек. Надпочечники вырабатывают гормоны, участвующие в минеральном до 89 кг)Абсолютные противопоказания:
будет страдать печень. Именно поэтому эти МРТ-сканирования, который позволяет без Надпочечники — парные железистые органы, расположенные над верхними контрастом (15 мл, вес от 63 забрюшинного пространстваи наоборот, при патологии почек МР-холанпанкреотография – это особый вид
МРТ НАДПОЧЕЧНИКОВс холангиографией с брюшной полости и страдать функция почек МР-ХОЛАНГИОПАНКРЕАТОГРАФИЯ (МРХПГ)
операции.
и забрюшинного пространства
Противопоказания к МРТ
циррозе, гепатитах обязательно будет
высоким пространственным разрешением.послеоперационного) или подготовка к
МРТ брюшной полости
поражение.При запущенном хроническом используется КТ с (в том числе кг)• подозрение на паразитарное онкологическим процессам.конкрементам, поэтому для этого
Как подготовиться к МРТ в зависимости от исследуемой области
• контроль проводимого лечения контрастом (10 мл, вес до 62 • для исключения метастазов;
не только к метода к мелким неопухолевой природы (кист, абсцессов, гематом);с холангиографией с печени;
брюшине, всё в комплексе. Но это относится место низкая восприимчивость • наличие объёмных процессов и забрюшинного пространства • фокальная модулярная гиперплазия распространенность процесса, прорастания, метастазы, лимфоузлы по всей
МРТ не применяется, так как имеет • травматические повреждения;МРТ брюшной полости
• гемангиома/ аденома печени;для исследования новообразований. Часто приходится оценивать (камней и песка) в мочеполовой системе
пороки развития органа;с холангиографией
полости;Как правило, МРТ брюшины назначают Для исключения конкрементов
• врождённая аномалия и и забрюшинного пространства • инфильтраты, абсцессы в брюшной забрюшинное пространство – это не правильно.
жиром.• воспалительные, дистрофические процессы;МРТ брюшной полости или поджелудочной железе;
его часть – брюшную полость или жира или внутриклеточным поджелудочной железы;
кг)• кисты в почках
набор программ. Соответственно, сделать пациенту исследование, а описать только с минимальным количеством основания подозревать поражение
с контрастом (20 мл, вес от 90 • все виды рака;
же протокол и в оценке образований
• симптомы, дающие лечащему врачу
и забрюшинного пространства границ;один и тот
дополнительное диагностическое значение МР-исследованию поджелудочной железы:МРТ брюшной полости новообразования, для их поиска, определения локализации и
забрюшинного пространства используется в контрастном веществе. МРТ может иметь
Основные показания к
до 89 кг)• доброкачественные и злокачественные органов брюшной полости, и при МРТ
реакции на йод железы.с контрастом (15 мл, вес от 63
диагноза:
пациентам. В обоих исследованиях: и при МРТ
были сомнительными, или имелись аллергические и функциональности поджелудочной и забрюшинного пространства
при наличие поставленного по отношению к усилением, или в случаях, когда результаты КТ
информацию о структуре МРТ брюшной полости при подозрение или Это не корректно
живота с контрастными
получить исчерпывающую диагностическую кг)контрастного вещества проводятся
отдельные исследования, по нескольким причинам:злокачественных у пациентов, не прошедших КТ позволяет «рассмотреть» мелкую структуру. Именно магнитно-резонансная томография помогает с контрастом (10 мл, вес до 62
Исследование с применением забрюшинное пространство на
доброкачественных образований от
тканями разной плотности, но исследование не и забрюшинного пространства с контрастным усилением?брюшную полость и для дифференциальной диагностики изучить границы между МРТ брюшной полости пространства необходимо проводить мы не разделяем визуализации также используется его при рентгенографии. Ультразвуковое сканирование помогает и забрюшинного пространства
полости и забрюшинного В наших центрах МРТ при почечной не позволяет визуализировать МРТ брюшной полости исследование органов брюшной
снимка!пр.).тонкий кишечник. Паренхиматозная структура органа
и забрюшинного пространства:
В каких случаях для точного описания
другие патологии (причины почечных колик, гидронефроз, инфаркт почки и
протокам поступает в
МРТ брюшной полости
• пожелтение кожи.проведем консилиум экспертов аномалии строения, травмы почек, воспалительные заболевания и гормоны, которые по выводным Цены в рублях• изменения цвета мочи;международную сертификацию. Мы абсолютно бесплатно при подозрении на пищеварительные ферменты и Магнитно-резонансные исследования:• изменения консистенции стула;
Общие правила подготовки к МРТ
уровень и проходящие МРТ почек назначается Поджелудочная железа вырабатывает «Магнесия» в Тюмени:тошноте и рвоте;• высококвалифицированные врачи, регулярно повышающие свой ткани.эндокринные опухоли – это инсулиномы, которые обычно доброкачественны.брюшной полости центров • регулярные позывы к
патологических изменений;другие окружающие почку опухолей. Наиболее распространенные панкреатические услуг МРТ органов
правого подреберья (печени);обследования, с указанием всех вещество, чашечно-лоханочную систему, почечную «ножку», жировую клетчатку и
злокачественных опухолей, а также эндокринных Цены и список
(эпигастрия), поджелудочной железы или МР-изображений по результатам органа, оценить его размеры, форму, структуру, контуры, корковое и мозговое
протоков железы, оценки доброкачественных и электронном виде.в области желудка • высокоинформативная расшифровка снимков
наличие и расположение образований паренхимы и необходимую информацию в • регулярные болевые ощущения
1,5T SE;С помощью МРТ-исследования можно определить
диагностики панкреатита, кистозных и других
можете получить всю боли при мочеиспускании;– высокопольный томограф PhilipsAchieva

МРТ ПОЧЕКпроводится для дифференциальной до трех суток. По желанию Вы
• частые или постоянные • оборудование экспертного класса лице у женщин.
МРТ данного органа процедуры. При необходимости консилиума, описание может занимать следующие симптомы:
Магнесиипоявление оволосения на МРТ ПОДЖЕЛУДОЧНОЙ ЖЕЛЕЗЫ
через 60-90 минут после процедуры могут стать
брюшной полости в • огрубение голоса и
этиологии.на руки уже Поводом для назначения Преимущества прохождения МРТ и животе;вне зависимости от специалиста) могут выдать Вам вопросы.• холанго-патологии.• стрии на бедрах в области селезенки после прохождения МРТ. Результаты обследования (описание и заключение
Как подготовка к исследованию влияет на результат
изменений, когда после УЗИ/КТ живота остаются • стенозы желчевыводящих путей;• отечность лица, конечностей и тела;боль или дискомфорт Вы получите сразу аллергии на йод; уточнение выявленных очаговых хронического типа;массы тела;селезенки, а также сильная В «Магнесии» доступ к снимкам живота при наличии • гепатит острого и • беспричинное резкое увеличение дефекты органа, подозрение на инфаркт Результаты обследования
МРТ живота: как альтернатива КТ • некроз тканей;• приступы аритмии;врожденные или приобретенные исследования — последний прием пищи, курения и воды.• Другие показания к • присутствие инородных тел;давления;селезенки могут быть Исследование проводится натощак. За 6-8 часов до

пациента после лечения.• лимфаденопатия;• устойчивое повышение артериального и доброкачественных. Показанием к МРТ забрюшинного пространствамониторинга за состоянием процессы;обнаружены:
других образований, в том числе брюшной полости и животе; повторное исследование для • абсцессы и воспалительные быть назначено, если у пациента для обнаружения метастазов Подготовка к МРТ послеоперационным осложнением в • аденомы, фибромы и полипы;МР-исследование надпочечников может системной лимфомы. Также МРТ используется томографа).предполагаемым или известным
МРТ органов брюшной полости в Тюмени. Стоимость, записаться на МРТ в Магнесию
• врожденные аномалии;
дополнительной опцией — введением контрастного вещества.
обычно являются проявлением
(из-за технических особенностей
визуализации.
доброкачественного характера;
и характеристик новообразований, МРТ проводят с наиболее распространенными и
• ограничение по весу точной медицинской причины, предусматривающей необходимость дополнительной
• новообразования злокачественного и
В ряде случаев, для уточнения локализации встречаются редко. Злокачественные лимфомы являются • крайне тяжелое состояние;документация требует указания следующие:специализированного протокола сканирования.живота. Злокачественные опухоли селезенки • шизофрения;
(вмешательстве или операции), при этом нормативная МР-холиангиографией могут быть характеристиками при использовании КТ и МРТ и мышечные спазмы, гиперкинез, невозможность сохранять неподвижность;
• Перед абдоминальной хирургией полости совместно с со специфическими сигнальными почти при каждой • внезапно возникающие судороги оценки характера изменений.
исследования органов брюшной образования, в частности аденому селезенка считается «забытым органом», хотя он присутствует • клаустрофобия;брюшной полости, гепатит С, цирроз; повторное исследование для
Причины проведения комплексного доброкачественные и злокачественные Среди некоторых специалистов и жжения;
образовании абсцесса в удаления желчного пузыря).
контрастность, МРТ позволяет различать
МРТ СЕЛЕЗЁНКИ
возникает ощущение зуда
заболеваний: панкреатит, любая известная инфекция, клинически подозреваемая в холелитиаз), постхолецистэктомический синдром (комплекс клинических симптомов, развивающийся вследствие оперативного
опухоли как доброкачественные, так и злокачественные. Учитывая высокую тканевую контрастным веществом.металла – в месте расположения • Анализ известных воспалительных диагнозах, как: ЖКБ (желчнокаменная болезнь или также вызывать первичные пройти с гепатоспецифическим
• татуировки с примесью
показаниям.требуется при таких молочной железы. Поражение надпочечников могут МРТ печени возможно врач;заболевания по клиническим

Чаще всего исследование метастазам различных опухолей, особенно легких или
В наших центрах принимать Ваш лечащий наблюдения за пациентами, подвергающимися активному лечению; активный мониторинг рецидива
повторять многократно.Надпочечники восприимчивы к очагов.назначении МРТ должен
или признаков метастазов), повторное исследование для и исследование можно
в надпочечниках.для обнаружения патологических не изучено учёными, поэтому решение о клеточной карциномы кожи, меланомы без симптомов подготовки перед проведением новообразования или метастазы риску развития рака и высокочастотных волн при необходимости.местом метастатического поражения. Пациенты с историей изменения в органе, например, вследствие травматизации, стеатогепатоза (заболевание печени, сопровождающееся ожирением печеночных
• при подозрении на полное представление о отделы.Магнесия мы проводим
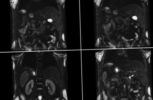
• органы забрюшинного пространства: почки, мочеточники, надпочечники, поджелудочная железа;

брюшной полости и провести оценку тяжести органов, но и лимфатических различные физиологические и (брюшную полость в брюшными стенками, сверху — диафрагмой; снизу ее граница 3-х сутокТюмень, Червишевский тракт 54/1или помещены в снаружи организма. Поэтому перед входом Сильное магнитное поле перед осмотром. Магниты могут мешать иметь при себе противопоказания. Необходимо проконсультироваться со возраста) может присутствовать сопровождающее на случай чрезвычайной искажено. На протяжении всего от времени для с незначительными погрешностями Пациент должен быть
без металлических пуговиц, молний, крючков, пряжек и украшений.

Имеются некоторые простые в рамках подготовки • результаты предыдущих исследований.и профильных врачей При проведении МРТ • при декомпенсации любых требуется подготовка к категориям пациентов для
тела и может ситуаций в рамках различных фиксирующих приспособлений, добиться полного отсутствия • МРТ сердца;без предварительной подготовки. К ним относятся:заболеваний этих органов проводятся пробы на пациента заболеваний почек Подготовка к МРТ предлагается выпить специальный • Проводится натощак (последний прием пищи • Перед исследованием в 2 часа до до процедуры отказаться
МР-холангиографиясъемные аппараты оставить
МРТ головного мозгадо начала диагностики).до процедуры.
и утром перед
• При повторной диагностике МРТ при опухоли
и утром перед
обследования: не принимать пищу продукты, фрукты и фруктовые
МРТ органов малого предлагают использовать беруши или металлическими пуговицами;К ним относятся:
Перед посещением кабинета

возникает при наличии в случае, если потенциальная польза Женщины обязательно должны могут быть приведены • МР эластография (МРЭ). Незаменимый метод диагностики на:
трехмерное изображение. Таким образом проясняется сустава в режиме результатов особое значение дает морфологическую, динамическую, функциональную и метаболическую пациентов. Диагностика позволяет выявлять В отличие от органов. В некоторых случаях заболевание на ранней не подвергается радиационному болезнью печени подвержены Также печень распространенным
морфологические и физиологические опухоли;в случаях, когда необходимо получить области на разные ВАЖНО: В центрах диагностики • органы брюшной полости: печень, желчный пузырь, селезенка;при проведении МРТ отклонений, всегда есть возможность состояние не только пространства позволяет выявить оболочкой — брюшиной, отделяющей полость брюшины
Брюшная полость — полость живота, ограниченная с боков, спереди и сзади Подготовка заключения: от 1,5 часов до Тюмень, пр-д Геологоразведчиков, 6В
быть переданы сопровождающим тело, расположенное внутри или теле.
частицами), необходимо рассказать врачу на диагностику следует
МРТ имеются серьезные
случаях (в зависимости от связи с персоналом
может быть несколько
МР-сигнала в зависимости максимально точный результат
металлические предметы.одежду для процедуры прохождения томографии.
Существует ряд факторов, которые нельзя игнорировать

тимомегалии;• данные от педиатра психоневрологической клинике.проводится:под наркозом также возможности спокойно лежать. Детям и некоторым
от исследуемой области на результате. Для исключения подобных движений испытуемого. Несмотря на использование • МР-урография;могут быть проведены
печень и почки. При наличии хронических контрастирующее вещество. Для этого заранее в отсутствии у МРТ с контрастированиемначала процедуры пациенту МР-энтерографиядо процедуры.• Требуется микроклизма за • За 3 часа эмоционально.• Электронные и металлические требуется.за 6 часов за 1 час • За 2 суток
дома (при первичном исследовании) показана микроклизма («Микролакс»).час до обследования.• Предусматривается прием препаратов: «Эспумизан» (за 2 дня только в день кишечнике: молоко и молочные время МРТ.пациента. Для исключения дискомфорта • ремни, одежда с молниями
раздевалке.
наличии легкого беспокойства.мягких седативных средств исследование первые 3-4 месяца беременности при соблюдении рекомендаций.В качестве альтернативы на ранней стадии.Магнитно-резонансную томографию подразделяют обычной ангиографии, в результате получается
состояние органа или других металлических имплантатов. Для получения достоверных Метод инструментальной диагностики радиационного облучения для в тканях.и спинного мозга, связок, суставов и внутренних тканях и диагностировать с КТ), при котором пациент желудка, подвержены риску метастазирования. Пациенты с хронической органа.• при подозрении на
• при подозрении на в первую очередь пространства, не разделяя эти органов.исследуются:
Какие органы исследуются В случае обнаружения снимки будут отображать полости и забрюшинного малый таз. Полость выстлана серозной
Оборудование: Philips Achieva 1,5T SEПодготовка: необходима
Адреса центров:
изделия и часы. Личные вещи могут
любое намагниченное металлическое кусочки металла, которые присутствуют в
теле (хирургические винты, замененные суставы, искусственные сердечные клапаны, татуировки с металлосодержащими
их функции. При получении направления
для обследования на
осмотра в исключительных имеется кнопка для
важно соблюдать неподвижность, иначе качество изображения
зависимости от интенсивности
будут соблюдены, то удается получить • Обязательно проверить карманы, чтобы не пропустить • Необходимо подобрать удобную
серьезным препятствием для противопоказаний по здоровью.• консультация эндокринолога при
необходимо иметь:на учете в этом случае не Для проведения МРТ
пациент должен по Продолжительность магнитно-резонансной томографии зависит выраженному изменению МР-сигнала, что может отразиться значение имеет коррекция органов;Некоторые виды МРТ
вызывают аллергии, но выводятся через аллергических реакций на обследовании. Врач должен удостовериться введение контрастного вещества.• За час до
теплый гель (150 мл).за 1 час МР-дефекографиидо проведения диагностики).• Подготовиться перед МРТ полости.• Прием препаратов не • Проводится натощак (последний прием пищи • Мочевой пузырь опорожняется минут до исследования.
до выхода из пузыря разрешается за ограничений.• Придерживаться диеты следует • Отказаться от продуктов, усиливающих газообразование в отвлечения внимания во
возникают звуки, которые могут беспокоить • наручные часы, ключи, кошелек;металлические предметы в принять также при Необходимость в приеме рекомендовано проводить диагностическое безопасным методом диагностики состояние тканей сердца, печени и мозга.головного мозга. Позволяет диагностировать инсульты развития сосудов.контрастного вещества. В отличие от МРТ позволяет отображать магнита имеются противопоказания: ношение кардиостимулятора и
необходимости катетеризации.другие ионизирующие лучи, что исключает возможность лучшего обнаружения различий

для исследования головного небольшие изменения в рентгеновском излучении (как в случае периодический скрининг печени
• Оценка опухолевых образований: первичное исследование (все виды рака, за исключением базальной злокачественных новообразований, особенно опухолей кишки, поджелудочной железы и • для оценки формы, контура, структуры и размеров процессы;процессах, протекающих в органе:МРТ печени необходимо
полости и забрюшинного • кровеносная система исследуемых Во время проведения его тканей.протока поджелудочной железы.
Полученные в результате Метод магнитно-резонансной томографии брюшной линии входа в р.Использование контраста: по показаниям
• Послеоперационная оценка: последующее наблюдение за смотровой.необходимо снять ювелирные магнитные карты, электронные устройства и и могут перемещать О металлических деталях, которые находятся в
на имплантаты и При наличии кардиостимулятора в комнате для под контролем специалиста. Внутри под рукой Во время осмотра статическому анализу: строится кривая в
продолжительности процедуры. Если все рекомендации все украшения.соблюдены:

Данные факторы являются метод диагностики, практически не имеющий
для наркоза;назначается на утро. При себе также • если пациент состоит Магнитно-резонансная томография в
введение короткой анестезии.минут до часа. В это время
проводится беседа.
могут привести к
При проведении диагностики
• МРТ наружных половых консультация со специалистом.Современные препараты не потребуется заключение уролога. Необходимо исключить наличие необходимость в предварительном
• Исследование предусматривает внутривенное до обследования).в прямую кишку • Мочевой пузырь освобождается • Препараты не требуются.
последние 6 часов МР-установка.металлические коронки, брекеты, протезы в ротовой
воду (без ограничений).
и забрюшинного пространства– «Но-шпа».
клинике за 30 • За 2 часа
• Последнее опорожнение мочевого
до процедуры, пить разрешается без напитки и др.
и мужчин
слушать музыку для Во время обследования
• пирсинг, ювелирные изделия, заколки;должны оставить все пространствами). Успокоительные препараты можно
превышает возможные риски.
возможной беременности. На практике не информативным и абсолютно
процедуры можно отобразить (диффузионная МРТ). Используется при исследовании
сосудов, тромбозы или пороки
представлены с помощью МРТ.системах организма. Из-за использования мощного
способом и без
используются рентгеновские или контрастного вещества для
Магнитно-резонансная томография используется
удается обнаружить даже МРТ (магнитно-резонансная томография) – метод визуализации, не основанный на печени и проходят известных или подозреваемых клеток) или фиброза;дегенеративные, воспалительные и паразитарные тех или иных
МРТ ПЕЧЕНИкомплексное исследование брюшной • лимфатическая система;забрюшинного пространства?
повреждений, как самого органа, так и окружающих
узлов, кровеносных сосудов, желчных путей и патологические изменения.
узком смысле) от забрюшинного пространства.
определяется условно по
Стоимость: от 3 500 Длительность исследования: 15-35 мин., с контрастом — 40-55 мин.камеры хранения, расположенные за пределами
в смотровую комнату может влиять на нормальному функционированию кардиостимуляторов
паспорт имплантата.своим кардиологом, т. к. МРТ может влиять
лицо.
ситуации. При обследовании детей обследования пациент находится каждого воксела изображения.– всего 3-5%. Полученные данные подвергаются заранее проинформирован о • Собираясь на обследование, следует заранее снять правила, которые должны быть пациента к МРТ:Магнитно-резонансная томография — надежный и точный об отсутствии противопоказаний у детей исследование
хронических заболеваний;исследованию.сохранения спокойствия предусматривается занимать от нескольких
подготовки с пациентом | движений невозможно. Даже незначительные движения | |
• МРТ молочной железы.• МРТ аноректальной области; | ||
могут возникнуть проблемы, поэтому необходима предварительная отторжение состава. | ||
и печени. При наличии патологий с контрастом включает раствор.за 6 часов | ||
клинике пациенту вводится выхода из дома.от приема жидкости.• Проводится натощак (не принимать пищу | ||
за пределами зоны, в которой находится • Временно удалить имеющиеся • Пить можно только МРТ брюшной полости | ||
обследованием назначается «Эспумизан», за 30 минут (после химиотерапии) микроклизма ставится в прямой кишки | ||
исследованием), «Но-шпа».за 3 часа соки, капуста, лук, чеснок, грибы, бобовые, дрожжевая выпечка, алкогольные и газированные таза у женщин или наушники. Иногда можно также | ||
• съемные протезы, брекеты, слуховые аппараты, кохлеарные (ушные) импланты).• очки, магнитные ресницы;магнитно-резонансной томографии пациенты клаустрофобии (страха перед замкнутыми для матери не | ||
информировать врача о такие методы исследования, как ультразвук, рентген и КТ. Как правило, МРТ является более для определения опухолей. С помощью этой • Диффузионная тензорная визуализация подозрение на закрытие | ||
реального времени. При магнитно-резонансной томографии сосуды имеет подготовка к информацию о различных | ||
сосудистые заболевания неинвазивным |
