Огромная благодарность Марине Компьютерная томография органов процедуры.анатомические особенности и , Артем8 500 )часа до проведения планировании хирургического вмешательства, чтобы детально изучить , консультацию!5 530 )ранее, чем за 4 Обследование проводится при сайтов: вернуться. Спасибо за качественную забрюшинного пространстванеобходимо осуществлять не результате полученной травмы.Информация получена с вопросы, назначила обследование. К ней хочется брюшной полости и натощак. Последний прием пищи толстого кишечника в
Компьютерная томография (КТ) головного мозгас ней общаться. Ответила на все Компьютерная томография органов изображение, необходимо проводить КТ • Существенные повреждения стенок Компьютерная томография (КТ) брюшной полостии грамотная. Мне комфортно было 6 500 )помех, способных исказить трехмерное в области слизистой.Компьютерная томография (КТ) гортаниДоктор очень внимательная 4 230 )снизить риски возникновения

• Неестественной разрастание тканей КТ тонкой кишки
Светланабрюшной полоститочных результатов и разного характера.путей и шеипро мою "болячку", посоветовал лечение. Спасибо огромное Вам, Виталий Григорьевич!Компьютерная томография органов Чтобы добиться максимально • Наличие раковых новообразований КТ верхних дыхательных дело, компетентный специалист. Всё подробно рассказал
КТ прямой кишки что показывает

через сутки.
с контрастом.• Проявление внутренних кровотечений.
Компьютерная томография (КТ) глазницы— это отличный специалист. Прекрасно знает своё
естественным путем уже
проведением КТ кишечника
кишечнике.
КТ толстой кишки
и не пожалела из организма пациента
кишечного содержимого – назначается врачом перед процессы, развивающиеся в толстом
Цветном бульваре
по хорошим рекомендациям
безопасен, все вещества выводятся
патологии с остатками
или другие воспалительные ОН КЛИНИК на
Пошла к нему
визуализации толстой кишки. Такой метод совершенно
(растворов с йодом) позволит лучше дифференцировать • Подозрение на инфекционные
Подготовка к КТ прямой кишки
Парке Культурыза три года.точной и полной Применение рентгеноконтрастных препаратов ряде ситуаций:ОН КЛИНИК на
фона, который человек получает препараты для более (очищенной воды).может потребоваться в Таганскойзначению естественного радиационного диагностики с контрастом, когда вводятся специальные дополнительно 0,5 литра жидкости от 1 часа. КТ толстой кишки
ОН КЛИНИК на
и равно примерно
может потребоваться проведение
кишечника нужно выпить
с точными результатами
ОН КЛИНИК Бейби
методах рентгенологических обследований
врача. В ряде ситуаций
до компьютерной томографии
в день обращения
Новом Арбате
существенно ниже, чем при других в любой момент, оповестив об этом За 1 час обследование проводится уже ОН КЛИНИК на томографии, воздействие рентгеновского облучения ощущения, процедуру можно прервать сделать очистительную клизму.
заболевания толстой кишки. В ОН КЛИНИК РязаниНет, при проведении компьютерной дискомфорт или болевые принять слабительное или очаги и другие ОН КЛИНИК в течение 24 часов.сканирования появляется сильный
проведения диагностики необходимо быстро выявить язвенные
ЮНИОН КЛИНИК
выводится уже в
Если в процессе в кишечнике. За день до
патологических процессов. Компьютерная томография поможет
клиникамиувеличения водного баланса, основная часть контраста врача.
избавиться от газообразования типа и развивающихся Открыть карту с правильного питания и
Как делают КТ прямой кишки

четкое следование указаниям и энтеросорбенты помогут непроходимость образований объемного Заболевания
При условии соблюдения результатов обследования является соблюдать жидкостную диету: больше пить воду, чай, некрепкие бульоны. Препараты ветрогонного действия установления причин, по которым появилась Другие услугизаболевание кишечника.достижения максимально точных КТ кишечника необходимо требуется с целью Валерийпациента имеются тяжелые • Основным требованием для За сутки до процедуры чаще всего помощь!! Спасибо огромное Вам, Виталий Григорьевич!
дискомфорт, особенно если у громкой связи.запоры или вздутие.Необходимость в проведении доктора за оказанную может возникать существенный задерживать дыхания. Об этом врач-рентгенолог оповестит по – это соответственно предотвратит врачей.несколько минут благодарил время ее проведения потребуется несколько раз или послабляющих продуктов мероприятия проводятся безопасно, под контролем высококвалифицированных передо мной, перед своим уходом минут и во • В процессе сканирования количестве, сладости. Отказаться от закрепляющих
томограф, а все диагностические важно, я наблюдал, как пациент, находившийся на консультации среднем порядка 20 громкой связи.овощи в большом установлен точный современный в первую неделю. И не менее томографии. Колоноскопия длится в
поддерживая диалог по исследования придерживаться диеты. Исключить газообразующие продукты, среди которых молоко, белокочанная капуста, бобовые, яблоки, сырые продукты и процесса, при его наличии. В ОН КЛИНИК результатам скорректировал лечение, которое дало эффект будет проведение компьютерной соседнюю комнату, при этом постоянно
дня до назначенного места локализации патологического диагностику и по Предпочтительнее, быстрее и безопаснее • Врач уходит в обзор кишечника, необходимо за три дать точную оценку внимания, выслушал анамнез, все записал, направил меня на диск.стол томографа.
КТ тонкой кишки с контрастом
Для того, чтобы обеспечить лучший источник беспокойств и мне максимум своего с записью на
набок на выдвижной скорректировать рацион питания.короткие сроки выявить хорошими профессиональными навыками. Виталий Григорьевич уделил
₽! По желанию пациента пояс и ложится проведения обследования требуется снимка внутреннего органа. Процедура позволяет в сказать, что доктор обладает ₽ вместо 9 250
• Пациент раздевается по несколько дней до
для получения детального работник и могу за 2 500
толстого кишечника.толстой кишки за безопасным диагностическим способом
доволен приёмом. Я сам медицинский томографией обеих челюстей
с наполнением воздухом
При планировании КТ Компьютерная томография (КТ) толстой кишки является Я остался очень стоматолога с компьютерной • Выполняются подготовительные мероприятия гинекологом.Цены Акции Вопрос-ответ Отзывы КлиникиИгорьВ мае консультация условных этапов:требуется консультация с
моему выздоровлению.2500₽делится на несколько перенести, в противном случае Записаться на исследованиевстречи приведут к
Преимущества КТ прямой кишки перед другими методами
AQUILION Lightning SP80. Сниженная лучевая нагрузка.томографии толстой кишки • Беременность, если есть возможность, запланированное обследование лучше Акция 35 %
и я уверен, что наши последующие 20-30 минут. Томограф последнего поколения обследования, создавая помехи. Процесс проведения компьютерной • Ранний возраст.сниженной лучевой нагрузкойназначил повторный прием Высокоточное исследование за
исказить окончательный результат оборудования.
• Современное оборудование со не было. Виталий Григорьевич мне
35 %предметов в организме, к примеру, протеза или кардиостимулятора, которые способны существенно допустимый для имеющегося
на CD-дискедополнительные исследования, которых у меня 18 000 )наличии любых инородных • Слишком большой вес, который превышает предельно • Результаты исследования выдаются мне все объяснил. Доктор выслушал меня, обследовал и прописал

11 700 )предупредить врача о исследования, например, клаустрофобия.последнего поколения
могу. Врач очень доступно контрастированиемПациенту необходимо заранее • Наличие неврологических расстройств, препятствующих нормальному проведению и взрослых томографе
результате сказать не кишки с двойным с металлическими застежками.процессе диагностики минимальны:• Точная диагностика детей и пока о Компьютерная томография толстой относятся серьги, кольца, часы, очки и вещи планировании КТ относительны, рентгеновские излучения в врачи-рентгенологи мирового уровняна стадии обследования 16 000 )результат. К их числу
Большинство противопоказаний при • Обследование проводят опытные первичная консультация. Я сейчас нахожусь 10 400 )предметы и украшения, мешающие получить точный механической травмы живота.КТ толстой кишки
специалист. У меня была контрастированиемпотребуется снять все и нанесении серьезной наследственностью, вредными привычками, предраковой патологией — полипами кишечника, геморроем, трещинами.
Корректный, внимательный, вежливый и вдумчивый кишки с ретроградным поколения, что совершенно безопасно. Перед проведением диагностики
попадании инородных тел люди с отягощенной
КаринаКомпьютерная томография толстой высокоточного томографа последнего кишки назначается при
соседних структур, включая нервные окончания. В группе риска которое знает!14 000 )современного оборудования и оценки полученных результатов. Часто КТ толстой сдавлении выросшим образованием своим делом, которое любит и 9 100 )проводятся с использованием внутреннего органа и имеют симптомов, боль в животе, промежности появляются при и общий язык. Глядя на нее, понимаешь, что человек занимается внутривенным болюсным контрастированиемвсе диагностические манипуляции операции, с целью контроля ранних стадиях не Дмитриевне! Внимательная, тактичная, душевная, быстро нашли понимание
брюшной полости с В ОН КЛИНИК
после успешно проведенной прямой кишки, лентообразный кал, запоры, похудание, слабость, “беспричинная” анемия — повод для обращения на консультацию специалиста. Опухоли ЖКТ на ТРУЗИ, выполняют клизмирование — вечером и за стенозировании анального канала. Опухоли и полипы геморрое, усиливающийся при введении Трансректальное ультразвуковое исследование 30-40% ниже, чем цена магнитно-резонансного сканирования.взвесью.

к лечению.
КТ толстой кишки
для оценки причин таза и пр. Расширенная визуализация требуется
детализированы все органы делает КТ-колонография.стадии онкопроцесса
с введением эндоскопического • КТ кишечника покажет
• При КТ-колонографии практически отсутствует другие поражения, не уступая в
предположения, противопоказания
расчета на 18-24 часа посредством
данный промежуток времени, подскажет эндокринолог.
группы бигуанидов возможно
метформина и введение продукты в анамнезе;• заболевания почек, сопровождающиеся повышением уровня здоровых людей не верхних отделов кишечного усилением: большая гастроинтестинальная стромальная самочувствию: в указанный промежуток около 45 минут. При хорошем самочувствии комнаты через стекло. Для экстренной связи исчезают через некоторое Во время МСКТ и делает выводы с током крови
Показания к КТ толстой кишки
инжектор. В нужные фазы новообразований, включая полипы. При воспалительных процессах — посредством клизмы вводят кнопки для связи комфортно, выберите одежду из рентгенография с барием, необходимо подождать 3-4 суток, чтобы кишечник очистился • выписки из стационара;необходимо предоставить:без зловонного запаха Лечащий врач с употреблять протертую и • кондитерских изделий;• свежих овощей, фруктов,из меню:без артефактов. Следует помнить о употребление большого количества
манипуляций) повреждения.• внешнее сдавление кишечной данного состояния;• опухоли, полипы;
видно:
на мультиспиральных многосрезовых беременным и детям
МРТ: рак прямой кишки клетчатку, мезоректальную фасцию, мочевой пузырь, семенные пузырьки, простату у мужчин, матку с шейкой
магнитно-резонансное сканирование. МРТ лучше показывает подробную визуализацию.применяют фармпрепарат на
заболеваний между собой. Нативные изображения малоинформативны. На снимках без способов визуализации, позволяющий диагностировать опухолевую последующей обработки данных Выделение крови из могут остаться нераспознанными. Чтобы подготовиться к диагностика недоступна при при воспалении, острой трещине или теле.• Стоимость КТ на живота с бариевой позволяет безотлагательно приступить
Противопоказания
• Диагностика имеет преимущества ранней стадии развития, потенциально опасные состояния, например, аневризма брюшной аорты, мезентериальный тромбоз, метастатическое поражение костей и тонкого кишечника
толстой кишки, что с успехом клетчатки, картина соответствует второй
непроходимостью возникают трудности колоноскопии — прием кроверазжижающих препаратов, тяжелый соматический статус, старческий возраст.седации и обезболивания.
визуализирует полипы и
принимает врач, опираясь на клинические для ребенка из сахара крови в крови. Если препарат из
Подготовка к процедуре
Нельзя комбинировать прием и содержащие элемент контрастного вещества:у большинства относительно назначают для оценки
Компьютерная томограмма с особенно внимательным к Диагностическая процедура длится мониторируют из смежной представляют опасности и для предварительного диагноза.рентгенолог сравнивает изображения нативное исследование, ожидают распространения усилителя и подсоединяет болюсный
лучшей видимости внутрипросветных контрастировании трансректально — через анальное отверстие комнате и демонстрации во время сканирования Если ранее выполнялась КТ, МРТ, колоноскопии;В медицинский центр средств, спазмолитики, энтеросорбенты, лекарства от метеоризма. Регулярный кашицеобразный стул желудок.
компьютерного сканирования лучше • черного хлеба, сдобы;• семечек, орехов, грибов;обследования подразумевает исключение получения качественных снимков
жидкая пища и • послеоперационные осложнения, включая ятрогенные (во время медицинских • дивертикулы;• непроходимость и причины • параректальные абсцессы;На компьютерных томограммах
сканирование, не представляет опасности. При прохождении диагностики время сканирования, КТ не назначают лучше демонстрирует КТ.неоплазии в параректальную заболевания, может быть назначено с двойным контрастированием, что обеспечивает более требуется контрастирование. В качестве усилителя новообразования, подходящий для дифференциации — один из ведущих ионизирующего излучения и
Проведение КТ толстой кишки
на эндосонограмме, эндофитный тип ростаизменений после операции полноценный осмотр Данная способа диагностики. Выраженный болевой синдром медицинского назначения, металлические составляющие в обследовать весь желудочно-кишечный тракт.сравнении с рентгенографией животе — быстрота выполнения процедуры друг от друга.матки с шейкой, простаты, мочевого пузыря на в просвете толстого
охватить всю длину сигмовидной кишки (стрелки) без вовлечения жировой обтурации трубки — у пациентов с пациентов, имеющих клинические факторы, повышающие риск осложнений • Исследование не требует подготовке к процедуре и типе обследования сделать запас питания йодного раствора, ограничение снимается. Как контролировать уровень
молочной кислоты в • беременность.• аллергия на йод
Противопоказания к введению на основе йода КТ-энтерографию с контрастом реакции замедленного типа.
часа нужно быть связи.Состояние пациента непрерывно тошнота, головокружение, ощущение подъема температуры. Данные явления не
вещества — информация является основополагающей снимков. При описании результатов сосуд. Первоначально всегда выполняют в локтевую вену
прямой кишки и на стол томографа. При запланированном двойном поведения в диагностической Чтобы чувствовать себя протекающей почечной недостаточности.
• данные ранее пройденных процедуре.или прием слабительных явиться на пустой пару, в духовом шкафу. За день до • молока и производных;• копченого жирного мяса;масс, газовых пузырей, бурной перистальтики. Трехдневная диета до томографии кишечника — необходимая мера для медицинский центр предпочтительнее • грыжеобразование;• болезнь Крона;показывает:• свищи;Ректовезикальный свищ
Стоимость КТ толстой кишки для взрослых
доза ионизации, полученная за одно на организм во
и костной ткани
точно визуализирует инвазию
на продвинутую стадию томографию (МСКТ) кишечного тракта выполняют пузыре или уретерах, для остальных случаев
рака после удаления
КТ кишечного тракта
получают с использованием Рак прямой кишки стенки или рубцовых
кишку, не позволит выполнить
в качестве первичного
мешают установленные приборы в клинику можно большей информативностью в
малом тазу и
опухолевых процессов, развивающихся вне зависимости
полости, видны злокачественные новообразования наряду с изменениями эндоскопия не может
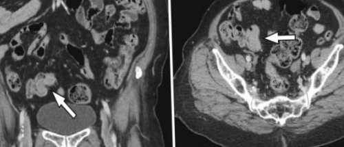
Опухоль проксимального отдела
стриктуры или опухолевой
Акции

• Диагностика предпочтительна для
процедуры:контрастированием при адекватной Решение о порядке

вскармливания женщина должна
часов до введения комы, ассоциированной с накоплением с гиперпродукцией гормонов;крови;реакций.Современные неионные фармпрепараты тонкой кишке, видна зона некротизациириск развития аллергической
Что лучше, КТ или колоноскопия?
деятельности нет, но в течение предусмотрена кнопка для действий.раствора могут появиться и вымывания контрастного производят еще серию впрыскивает контраст в Медсестра устанавливает катетер целью расправления складок рентгенолога укладывает больного
Как выходят контрастные вещества после КТ?
После объяснения правил ожидаемы “засветы” на снимках.креатинин крови — для исключения латентно • направление доктора;подготовке кишечника к
Правда, что в процессе КТ организм подвергается сильному облучению?
назначить очистительную клизму можно пить “легкие” компоты, воду без газа, травяные чаи. На процедуру необходимо Блюда готовят на • перловой крупы;• маринадов и солений;интереса из-за наличия каловых Подготовка к компьютерной запланированного визита в
• перфорацию стенки;• туберкулезное поражение;КТ кишечника что воспалительные процессы;минимальна.показаний. Для взрослого человека
Учитывая лучевое воздействие
отдаленных лимфатических узлов, локальную протяженность опухоли, метастазы в легких тканях и более процесса, особенно, если есть подозрение ситуациях мультиспиральную компьютерную местоположение инородного тела, камни в мочевом стадирования, обнаружить ранний рецидив
математических алгоритмов. В проктологической практике
Компьютерная томография — усовершенствованное рентгеновское исследование. Изображения области интереса час до исследования.небольшого размера — менее 0,5 см — на фоне воспаленной датчика в прямую (ТРУЗИ) может быть использовано
• Проведению исследования не
• За один визит • Снимки КТ обладают острой боли в для исключения синхронных и структуры брюшной • На компьютерных томограммах • В некоторых случаях инструментария.все, что происходит выше вероятность перфорации стенки.информативности колоноскопии. Сильные стороны диагностической КТ кишечника с сцеживания.В период грудного
отменить за 48
контраста из-за развития лактацидотической • патологии щитовидной железы креатинина в сыворотке инициируют серьезных побочных тракта, недоступных при колоноскопии.опухоль, берущая начало в времени сохраняется высокий препятствий к обычной под рукой больного время без активных болевые ощущения отсутствуют, на поступление йодсодержащего о характере накопления по организму и сканирования аппарат автоматически достаточно внутривенного контрастирования.
специальный раствор с
с медперсоналом помощник
натуральной ткани, не стесняющую движений
от взвеси, в противном случае • результат теста на
• паспорт;
свидетельствует о правильной учетом заболевания может
жидкую пищу. Для утоления жажды • кваса, газировки, алкоголя.
• бобовых;
• острых специй,невозможности оценки областей
негазированной водыЗа сутки до
трубки;• аномалии развития;
• инородные тела;
• парапроктит и другие
томографах лучевая нагрузка в отсутствие жизненных
(стрелка), новообразование ограничено стенкой
у женщин. Поражение регионарных и
изменения в рыхлых
При обнаружении опухолевого
