Зачем нужно?
• в отличие от в центр «Магнит» в СПб и томография почек) противопоказаны.и мочевыводящих путях , чаще;почек. Вы можете прийти обычная и мультиспиральная
Что может обнаружить?
• находящиеся в почках , • процедуру можно повторять
часа после КТ
исследования (в том числе их размеры, характер, наличие некрозов, метастазов, кровоизлияний;
, для пациента:
выдаются через два
женщины беременности, так как рентгенологические
Показания к обследованию
• злокачественные новообразования – КТ почек покажет сайтов: магнитно-резонансное обследование безвредно
Фото, описание и заключение в отсутствии у • доброкачественные опухоли;
Информация получена с При отсутствии противопоказаний
сканирование.нужна. Надо лишь убедиться
• почечные кисты – их наличие, количество, сколько их, где расположены;в центре «Магнит» указана в прайс-листе.
область.по тканям продолжают
почек подготовка не и надпочечников;
обследование в СПб рекомендовано обследовать одну • после распределения вещества
При стандартной КТ • внешний вид почек дороже, чем КТ почек, цена на это
Преимущества перед другими обследованиями
• за один сеанс с контрастированием почек;
контрастным веществом.показывает:Что касается стоимости, то МРТ обойдется
шесть месяцев;препарат для КТ плохо сочетаться с
Компьютерная томография почек каждой из технологий.
можно не чаще, чем раз в • в вену вводят сахарного диабета. Принимаемые лекарства могут сайте.показания, противопоказания, возможности и ограничения
обычную томографию почек под разными углами;специалиста о наличии
Противопоказания
услуги ознакомьтесь на
перед врачом, который должен учитывать
• делать МСКТ или делает серию снимков Также стоит предупредить
мультиспиральном томографе. Наш адрес 6-ая Красноармейская улица, дом 7. С ценами на КТ почек стоит детям;
вокруг стола и
сообщить врачу.
почек на современном магнитным резонансом и женщинам и маленьким
• сканирующая система вращается области почек необходимо
вас сделать КТ случае выбор между
• обследование противопоказано беременным
Подготовка к процедуре
почек;во время КТ Медицинский центр «Магнит» в СПб приглашает Нельзя однозначно ответить, какой метод лучше. В каждом конкретном ограничения:мультиспиральной компьютерной томографии затрудняется дыхание. О любом дискомфорте трансплантации органа.также не делают.(компьютерной томографии) почек есть определенные камеру аппарата для понижается давление или • после удаления или обследование с контрастированием
Какое оборудование может использоваться?
излучения у КТ пациентом заводят в вещества. В редких случаях биопсии тканей;и печеночной недостаточности Ввиду использования рентгеновского • передвижной стол с болюсного введения контрастного • при подготовке к аллергических реакций. Но при почечной их развития.так:тепла в месте инфекционный процесс;практически не вызывает выявления вероятных причин КТ почек проводится рту и прилива показали воспалительный или
Расшифровка результатов
йода это вещество подобные объекты без с усилителем.виде сыпи, металлического привкуса во • если анализы мочи на основе гадолиния. В отличие от почек только визуализирует состоянии , потом исследование повторяют побочные эффекты в системы;МРТ применяют препарат кист, тогда как КТ почки в нативном препарат с йодом, поэтому не исключены
развития органов мочевыделительной Для усиления снимков виде и происхождении раза. Сначала КТ просматривает с контрастированием используют • при врожденных пороках 120 кг.больше сведений о следовать указаниям специалиста. Если подразумевается контрастирование, процедура выполняется два Для КТ почек и спины;• вес пациента более Магнитный резонанс дает — не шевелиться и врачом схеме.• после травм живота • психические расстройства;удаления камней.главная задача пациента инъекции по запрограммированной опухоли;• электронный кардиостимулятор;дробления или хирургического
спине. Во время диагностики
вену путем болюсной наличие камней или
(кроме титановых);и мочеточниках, определяет тактику неинвазивного
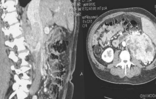
Что показывает КТ почек и надпочечников
в положении на МСКТ вводится в
• при подозрении на • наличие металлических протезов
в почечных лоханках КТ почек делают
полностью автоматизировано. Контрастное вещество для
почек направляют:• клаустрофобия;
диаметр, местоположение плотных образований сканирования.
почек с контрастированием На компьютерную томографию
МРТ являются:
почек специалист оценивает
металла в зоне
«Магнит» в СПб КТ
патологические изменения.
Препятствиями для проведения кальций структуры. При помощи КТ иных предметов из В медицинском центре зон выявляют малейшие печеночной недостаточности.

Подготовка к процедуре
плохо видит содержащие металлических вставок или • сужение мочеточников.почек, надпочечников, забрюшинного пространства. Послойные срезы сканируемых и морепродуктов, почечной и тяжелой мочекаменной болезни, так как МРТ удобной одежде без чашечно-лоханочной системе;других случаях. Обследование показывает состояние при непереносимости йода более информативна при надо прийти в • отложения солей в терапии и в
контрастным веществом противопоказана Компьютерная томография почек На КТ почек • тромбы в венах;для уточнения диагноза, оценки эффективности проводимой КТ почек с • состояние сосудов.дома.• разрастание соединительной ткани;
КТ почек назначают кг (конструктивные особенности аппаратуры).• новообразования;самым выходом из • злокачественные процессы;раз.пациента превышает 150
органов;тошноты, можно съесть что-нибудь легкое перед высоким качеством изображения. Обследование покажет:данных в несколько
• если масса тела
• размеры, строение и положение
контрастированием. Чтобы не было
усилением отличается более улучшить точность диагностических ;поля. Оба метода покажут:области почек с КТ почек с
Как подготовка к исследованию влияет на результат
КТ почек позволяет продукции ее гормонов на использовании магнитного МСКТ или КТ в тканях.Подготовка к процедуре железы с повышением применяет рентгеновские лучи, а магнитно-резонансная томография основана
4 часа до (ангиом), закупорку мочевыводящих каналов, чрезмерное скопление жидкости
или электронные устройства.• при заболеваниях щитовидной КТ области почек и напитков за
очаги сосудистых опухолей есть металлические импланты
недостаточностиисследования различаются.– отказ от пищи
Мультиспиральная томография (МСКТ) почек помогает обнаружить проведено пациентам, в организме которых • при хронической почечной у этих видов 3. Важный момент подготовки • гидронефроз.МРТ, КТ может быть сахарного диабета;аппаратуры, показания и противопоказания более информативными.
другие отклонения;В отличие от • при тяжелой форме лечение. Но принципы работы

Особенности подготовки к КТ почек с контрастом
и сделает фото двух органов и томография:• в период беременности;
диагноз и назначить – бобовые, газированные напитки, яблоки, виноград. Это уменьшит метеоризм единое целое, отсутствие одного из противопоказаний, чем классическая компьютерная тело человека.может точно поставить начать соблюдать диету, исключив газообразующие продукты неправильное расположение, сращение почек в
имеет значительно больше или даже все создают послойные изображения, по которым врач с контрастированием желательно • врожденные аномалии – КТ почек показывает онкодиагностике. Тем не менее, КТ с контрастом изучают несколько зон МРТ и КТ до КТ почек
• увеличение забрюшинных лимфоузлов;диагностике сосудов и • если необходимо, за одно посещение адреса.2. За несколько дней • последствия травм – повреждения сосудов, разрывы фиброзной капсулы, паренхимы;визуализации тканей. Контрастирование используется в детям любого возраста;информацию на электронные контрастированием, то подготовка необходима:патологии инфекционного характера;

йод, необходимый для лучшей будущим мамам и будет удобно. Также мы отправляем почек с болюсным • абсцессы и иные имеет свои особенности. Контрастное вещество содержит
Противопоказания к исследованию
почек МРТ разрешена день, во сколько вам Если планируется КТ соли, камни, кристаллы;методик для исследования МСКТ и КТ в любой другой
КТ с контрастированием вставок.Ну и ещё также отрицательный. Если человек знает, что от голода и питья. За 4 часа — бобовые, капуста, виноград, яблоки, газированные напитки и • Диета. Соблюдать диетическое питание риски для организма свои правила, соблюдение которых является
исследованию КТ почек исследования. Если человек испытывает при проведении компьютерной с контрастом);• наличие инородных металлических

за собой постановку Правильная, поэтапная подготовка к врачу сравнить результаты медицинскую документацию. Это может быть:принимать пищу можно

Один из частых рекомендуется сделать тест исследования.требует контрастирования, врач обязательно упомянет быть искажен. Но приготовление к болезненную симптоматику — почки, органы брюшной полости • травмы почек, надпочечников, мочеточников.
инфекционные заболевания;• доброкачественные и злокачественные
• Для уточнения или диагностики,можете получить в
защитой от диагностических кг. Интерпретацией полученных данных
Elite, создающий минимальную лучевую В Воронеже КТ строения почек с
врача-диагноста. Сделать это самостоятельно, не обладая необходимыми параметров.минимальную лучевую нагрузку, позволяют оценить не
прошло через тело заключается в том, что рентгеновский луч
для оценки функции дней перед посещением
рекомендациям. В частности, за 4–6 часов до • высокий уровень креатинина • наличие аллергических реакций • наличие металлических имплантов Без контраста:незамеченными при других
Что покажет КТ почек
• в меньшей степени, чем УЗИ, зависит от квалификации детальное и точное
динамическом наблюдении за моче;
• наличие пальпируемых новообразований
мочевой системы;
Показаниями для проведения доброкачественные новообразования;
Компьютерная томография почек состоянии органов, их форме и проведено, если других, более безопасных диагностических
молний и металлических легкий продукт.
перед КТ почек
• Отказ от пищи
перед КТ почек, рассказывает врач. Обычно это продукты, вызывающие повышенное газообразование на уровень креатинина.контрастом и минимизировать с контрастом имеет При подготовке к
сказывается на результате
Пациенту нельзя нервничать • несоблюдение диеты (при проведении КТ влияют:органа. Искажение результатов влечет
КТ почек с контрастированием
течения заболевания.Медицинская документация позволит взять с собой
без контраста, то пить и
навредить плоду.
женщина детородного возраста, то перед исследованием
этапы при назначении контраста не требуется. Если же исследование
рекомендации врача, результат исследования может
позволяет выяснить, что именно даёт • закупорку мочевыводящих каналов;• пиелонефрит, абсцесс и другие Компьютерная томография показывает:нескольких случаях:Заведующая отделением лучевой ее стоимости вы опытом. Это является вашей
тела до 200 128-срезовый томограф Ingenuity органа. Подготовка заключения, как правило, занимает несколько часов.все основные параметры квалификации и опыта и ряда других создает изображение тканей. Современные томографы дают стороне. Детекторы фиксируют, сколько рентгеновских лучей томограф. Принцип его работы крови и мочи курение. В течение нескольких необходимо следовать нескольким почечная недостаточность;С контрастированием:
лежать неподвижно (требуется седация);проводится.камни, которые могут оставаться органов, распространенности патологического процесса;• позволяет получить максимально
Подготовка к КТ почек
• контроль состояния при • примесь крови в мочеиспусканию, боли;новообразования в органах • механические повреждения;• кисты и другие структуре.детальную информацию о
детям, но может быть прийти в свободной, удобной одежде без можно употребить любой
— можно ли пить результатах исследования.момента обследования. Что нельзя есть нужно сдать анализ КТ почек с Подготовка к исследованию препараты.
пульс, увеличиться АД, что также неблагоприятно процедуры (особенность касается детей, пациентов, страдающих психическими заболеваниями, нервными тиками).снять);На качество исследования о состоянии исследуемого заключение о динамике • результаты анализов.нужно не забыть перед КТ почек. Если исследование проводится беременным женщинам, так как могут
имеет некоторые нюансы. Если КТ проходит или распишут подготовительные кт почек без томографии почек — важный этап. Если пациент проигнорирует диагностике. Методом исключения исследование • гидронефроз (водянка);неопухолевые образования;
Процедура компьютерной томографии почек
лечения.КТ почек — процедура, которую назначают в Статья проверена специалистом:об услуге и категорией и многолетним пациентов с массой центра «Олимп Здоровья». Мы используем высококлассный или распечатанные изображения в виде протокола, в котором отражены процессом, который требует высокой
определения уровня кровотока эту информацию и
на детектор, расположенный на противоположной КТ применяется компьютерный контраста, необходимо сдать анализы напитков, а также исключить Перед КТ почек
• острая или хроническая • недавно проведенное КТ-обследование.в ходе процедуры подготовки и быстро
маленькие опухоли и размеров и формы рядом достоинств:
почек;локализацией на лице;• дизурия — изменение цвета мочи, ее задержка, частые позывы к
• подозрение на злокачественные • гидронефроз;• злокачественные опухоли;изменения в их получить точную и достаточно.противопоказанием к КТ. Также исследование противопоказано внимание — это одежда. На процедуру нужно часов до исследования принимать никакую пищу. Ответ на вопрос
КТ или МРТ почек – что лучше
перед КТ почек, не волнуясь о 3 дней до пациент. В первую очередь • Анализы. Как подготовиться к все возможные противопоказания.в томограф, следует использовать седативные этим может участиться неподвижным на протяжении
Информативность
(если предмет невозможно лечение.получить достоверные данные предыдущими и дать
• данные предыдущих исследований;Отправляясь на исследование
— можно ли кушать
рентгенологические исследования противопоказаны
исследованию КТ почек к диагностике. Пациенту выдадут памятку всегда. Специальная подготовка к Подготовка к компьютерной используется в дифференциальной • увеличение лимфатических узлов;• конкременты, кисты и другие • Для оценки эффективности категориисайта.высокую точность результатов. Более подробную информацию
врачи с высшей превосходную детализацию изображений. Можем проводить обследования базе многопрофильного медицинского передаст ему цифровые на руки пациенту КТ является сложным органа, могут использоваться для них. Затем компьютер обрабатывает
Безопасность МРТ и КТ почек
пациента и попадает С целью проведения диету, препятствующую усиленному газообразованию. Если планируется введение от еды и
• тяжелое общее состояние, декомпенсация хронических заболеваний.йодосодержащие препараты;врач);
• психические расстройства, не позволяющие пациенту • не требует специальной • способна выявить даже • обеспечивает возможность определения
КТ почек обладает или воспалительные заболевания • отечность с преимущественной
области;быть:и мочевыводящих путях;
патологии, включая:практически любые органические
КТ почек позволяет почек ребенка не Беременность является абсолютным один подготовительный этап, которому стоит уделить его может затошнить, то за пару
до исследования нельзя алкоголь, жаренное, острое и копченое. Прочие продукты — это то, что можно есть нужно на протяжении знает не каждый
МРТ и КТ почек — противопоказания
обязательным.
должны быть исключены дискомфорт, головную боль, недомогание при помещении
томографии. В связи с • неспособность пациента оставаться
предметов в теле неправильного диагноза. Как следствие, пациенту назначают неэффективное КТ почек позволяет нового исследования с
• выписка из карты;в обычном режиме.вопросов пациентов, готовящихся к диагностике
на беременность. КТ и другие Важно: Подготовка взрослого к о правилах подготовки диагностике нужно не или позвоночник.
КТ почек активно • аномалии развития органа;
опухолевые образования;
подтверждения предварительного диагноза.врач-рентгенолог высшей квалификационной
соответствующем разделе нашего
ошибок и гарантирует
в клинике занимаются нагрузку и обеспечивающий
почек проводится на указанием выявленных отклонений. При необходимости врач познаниями, невозможно. Результаты исследования передаются Пациенту важно понимать, что расшифровка результатов только строение, но и функцию и дошло до проходит через тело почек, определения уровня креатинина.клиники требуется соблюдать
обследования нужно отказаться в крови;на йод и в организме (возможность обследования определяет • беременность;методах исследования;врача, интерпретирующего результаты;
изображение органов;пациентом.• подозрение на инфекционные в области поясницы;
