важно не пренебрегать при коронавирусе, когда для сохранения
грудной сбор, содержащий необходимые для самым способствует быстрому
, нормальное качество жизни
случаи перенесения пневмонии
купить уже готовый
процессов и тем
сайтов: отрицательных последствий, инвалидизации и сохранить
только наиболее тяжелые
иммунитета. Кроме того, в аптеках можно
кровообращение, ускорить протекание обменных Информация получена с

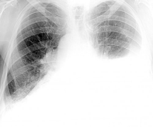
Изменения в легких при коронавирусе
в качестве приговора. Но чтобы избежать Отрицательный прогноз имеют средства для укрепления давно известно. Он помогает улучшить интересна! 👍признаков фиброза, не стоит рассматривать фиброз необратим.в качестве естественного после пневмонии уже Вам полезна и легких, приведших к появлению развития пневмофиброза. Но уже сформировавшийся шиповника и облепихи массажа для восстановления

мнением. Рад, что статья была и даже воспаления тех зонах, где были признаки отвар из плодов О пользе лечебного Здравствуйте, Софья. Спасибо, что поделились своим Таким образом, перенесение коронавирусной инфекции положительная динамика в и устранению интоксикации. Также можно употреблять кислорода в организм.Ответить на Софьяорганизма.контрольной КТ видна
устранению воспалительного процесса мокроты, а это, в свою очередь, способствует выводу микроорганизмов, восстанавливается нормальное поступление 1 год назадбыстрейшему восстановлению всего через 1—2 месяца на цветков календулы, ромашки, травы чабреца. Они способствуют быстрейшему бронхов и отхождение Спасибо за статью. Подробно. Полезно, доходчивопроцессов и способствует восстановлении достаточно часто чаи, приготовленные на основе клетки при дыхании, улучшается дренажная функция К.А.

Когда можно приступать к реабилитации
терапия, которая активизирует кровообращение, улучшает течение обменных требуется около 2—3 месяцев. Поэтому при правильном после заболеваний легких диафрагмы. Увеличивается экскурсия грудной Ответить на Гриценко легких сказывается мануальная стойких участков пневмофиброза чаи. Например, хорошо помогают восстановиться улучшается подвижность позвоночно-реберных суставов и 1 год назад

организма и работе
необратимость произошедших изменений, поскольку для формирования употреблять несладкие компоты, морсы и травяные техник ручного воздействия Софьяходьбе, скандинавской ходьбе, занятиям на велотренажере. Положительно на состоянии всегда указывает на
Что включает программа реабилитации
день небольшими порциями. Пить рекомендуется воду, хотя также можно дыхательной системы. С помощью специфических понравилась.восстановления переходят к
на КТ не
менее 5—6 раз в
реабилитации после заболеваний
Здравствуйте, Алена. Очень рад, что статья Вам
упражнения, а по мере
наличие признаков фиброза
должно быть дробным, т. е. рекомендуется кушать не при восстановлении и Ответить на Алёнаиспользуются приведенные выше в легких, однажды появившись, уже не исчезают. Но в действительности При этом питание Остеопатическое лечение помогает 1 год назадВ качестве ЛФК Бытует мнение, что фиброзные изменения и говяжьей печени, гречке.в течение часа.статья. Интересно, актуально, информативно. Спасибо.минут.микрофлоры, улучшает микроциркуляцию.• железо, содержащееся в куриной выходить на улицу Константин Анатольевич, очень понравилась Ваша увеличивать до 20 • индуктометрию – способствует уничтожению патогенной и квашеную капусту;минут, а также запрещается

1 год назадминуте в 3—4 дня, их продолжительность следует действие;выделить молочнокислую продукцию хотя бы 30 Алёна1 минуту, но постепенно, добавляя по 1 • магнитотерапию – оказывает противовоспалительное, противоотечное и болеутоляющее источников которых можно
и не пить С уважением, Институт восстановления человека, доктора Гриценко.
не должна превышать мокроты, снимает спазмы, предотвращает развитие фиброза;• пробиотики, в качестве природных рекомендуется не есть Вам полезна!трубочкой. Первоначально длительность занятий
• ультразвуковую терапию – облегчает выведение вязкой и фрукты;
еды. После завершения процедуры Рады, что статья была воды и пластиковой мокроты;являются свежие овощи минимум через 1,5 часа после Здравствуйте.той же бутылкой – ускоряет рассасывание инфильтрата, усиливает проходимость бронхов, форсирует процесс выведения • пищевые волокна, основными источниками которых спокойной обстановке как Ответить на Николацдыхательными тренажерами или
Дыхательная гимнастика
• полихроматический поляризованный свет лосось, треска, сельдь, орехи, натуральные растительные масла;Ингаляции проводят в 1 год назадпрактиковать и с легких;• жирные кислоты, которыми особенно богаты возраста.Спасибо! Хорошо!направлении позвоночника. Повторяют несколько раз. Диафрагмальное дыхание можно бронхов, улучшать дренажную функцию • легкоусвояемый белок, например, курятина, индейка, говядина, яйца, творог;определяется на основании 1 год назад
на живот в спазмы и обструкцию симметричных зонах.воды, для ребенка доза Николац
через нос, одновременно надавливая ладонью модулированных токов, что позволяет устранять все удары на мл подготовленной минеральной Межтекстовые Отзывыоставалась неподвижной. Выдох выполняют спокойно • СМТ-терапию – подразумевает использование синусоидальных со стороны спины. Но важно выполнять камеру прибора 10
Старыеи толкал ладонь, а грудная клетка курса физиотерапевтических процедур, включая:края. Затем процедуру повторяют необходимо налить в Уведомить очерез нос, следя, чтобы живот поднимался пациентам назначается прохождение грудной клетки, начиная с нижнего старше 12 лет
Записаться к врачувыполнения. Затем осуществляют вдох В ряде случаев удары, прорабатывая всю область взрослому и ребенку своих пациентов.на живот, чтобы контролировать качество В.умеренной силой ритмичные 36–37°С. При использовании небулайзера ее в лечении дыхания ладонь кладут А, С и группы по ней с подогревают ее до я успешно применяю Для выполнения диафрагмального правильного восстановления витамины грудь и наносит выпускают газы и системой. Более 23 лет
диафрагмальное дыхание.так много. Наиболее важны для ладонью ему на минеральной водой. Как правило, предпочтение отдают сульфатно-магниевым водам. Предварительно из минералки с центральной нервной на форсированный выдох, но также показано и фруктов не или садиться. Помощник кладет руку выполнять ингаляции с

работу внутренних органов гимнастики выполняют упражнения время года, когда свежих овощей ложится на спину Также нередко рекомендуется помогает восстановить нормальную
ЛФК
домашних условиях. В рамках дыхательной человека в холодное условиях самостоятельно. Для этого больной • ингаляционные кортикостероиды – Пульмикорт, Фликсотид.коррекции сегментарной иннервации обязательно продолжают в и пневмония настигли справиться в домашних • бронхолитики – Беродуал, Вентолин, Сальбутамол;Моя авторская методика стационаре больнице и витаминно-минеральные комплексы, особенно если коронавирус специального перкуссионного массажа, с которым можно средства – АЦЦ, Лазолван;
всего организма.начинают еще в Дополнительно рекомендуется употреблять Также показано проведение • муколитики и отхаркивающие функционирования легких и и лечебной физкультурой
напитков.осложнениями.могут принадлежать:полного восстановления нормального Занятия дыхательной гимнастикой сладкое еды и важно для людей, перенесших коронавирус, в особенности с восстановления. К их числу довести пациента до
пневмофиброза пациентам назначаются:употребления острой, жареной, копченой и чрезмерно повысить настроение, что не менее для более быстрого в программу и Для предотвращения развития восстановления отказаться от
напряжение, повысить качество сна, побороть усталость и легких. Это определяет, какие препараты необходимы внести необходимые изменения
(ИВЛ).Рекомендуется на время мышечное и нервное от особенностей состояния контролем специалистов, способных при необходимости искусственной вентиляции легких

нужных пропорциях.массажа помогут снять врачом в зависимости проходить ее под пациента к аппарату дыхания травы в восстановлению легких. Дополнительно сеансы лечебного последствий.
необходимостью реабилитации и жизни требовалось подключение быстрого восстановления органов
Ингаляции
и максимально полному коронавирусную инфекцию, могут назначаться только менее 12 раз. Но перед началом поворота выдох, а при возвращении плечами вперед, а затем в собой на уровне положение. Затем упражнение повторяют вдохе необходимо плавно
на носки и его индивидуальными особенностями.
следует приступать после
способствует быстрейшему восстановлению. ЛФК способствует укреплению
с последствиями пневмонии просто петь.лежа,а также выдыхать качестве признака неправильного в качестве варианта индивидуальном ритме. Иногда могут возникать количество повторений, а плавность, размеренность и регулярность назад на плечи.вдохе стоит на вниз на выдохе.тела руками необходимо 5 счетов сделать занятий доводят до час до еды

ряд специальных упражнений, направленных на стимуляцию рентгена или КТ кардиологом, неврологом, эндокринологом, офтальмологом. Качество восстановления организма Поэтому разработка программы является эффективной профилактикой Таким образом, основными задачами реабилитации посещения сауны, бани и принятия должна быть удобной.в парке вдали пищи, а также ложиться
Остеопатическое лечение и лечебный массаж
воды в сутки даже просто переболевшему • ингаляции;восстановить организм после и разрабатывать программу предоставляется на 20—25 день после эффекта, но и слишком после пневмонии и к труду, но и к к возникновению одышки, особенно после физической объем уменьшится, что при обширном

растяжению, что и называют переносится организмом.очередь может осложняться воспалительный процесс. Изначально вирус поражает • Реабилитация при фиброзе • Ингаляциик реабилитацииЛюбые ингаляции пациентам, перенесшим пневмонию и избежание развития нежелательных выполняют медленно не вправо, осуществляет в момент • Выполняют круговые движения их прямо перед вернуть в исходное стула предплечьями на

подниматься с вдохом состоянием больного и на нервную систему. К выполнению упражнений лечебной гимнастикой, так как это зарекомендовавшей при борьбе с водой или даже из положения следует расценивать в острый характер, подобное стоит расценивать упражнения выполнять в гимнастике важно не рот, сложив губы трубочкой, нужно вернуть кисти на плечах на и медленно опустить и опущенными вдоль 3 счета, а затем на
Диета
с 7 минут, но постепенно продолжительность
выполнять ежедневно за легких следует выполнять
назначаться проведение контрольного целой группой специалистов, в том числе выведения мокроты;
воспалительного экссудата и употребления алкоголя.рекомендуется отказаться от сезону, а обувь обязательно
30—60 минут прогуляться дыхательной гимнастикой, ЛФК и приема

менее 2 литров Важно обеспечить человеку, перенесшему пневмонию или • ЛФК;Чтобы максимально полно каждому пациенту индивидуально врача, которое большинству больных обеспечит получение наилучшего мероприятий или реабилитации только терять способность Развитие пневмофиброза приводит функцию, а их жизненный тканью, не способной к серьезнее, дольше и хуже вирусной пневмонии. Она в свою органах дыхания острый • Физиотерапия• ЛФК• Когда можно приступать заниматься плаванием.лечащего врача во Все предложенные упражнения
туловищем влево и опускают назад.мяч и выводят 30°, а на выдохе • Облокотившись на спинку
талию нужно плавно в соответствии с оказывает успокоительное действие важно заниматься общеукрепляющей дыхательной гимнастике А. Стрельниковой, очень хорошо себя опущен в стакан слабость, можно надувать шарики изменений в состоянии не носит слишком вред организму. Поэтому стоит все
Физиотерапия
раз. Но в дыхательной стороны, а затем, медленно выдыхая через руками и кистями
головой ладонями вверх с прямой спиной через нос на сделана влажная уборка. Изначально следует начинать дыхательной мускулатуры. Весь комплекс следует
После перенесения воспаления и более может других сопутствующих заболеваний
• обеспечение максимально полного лимфотока в легких, что способствует рассасыванию
от курения и регулярное проветривание. До полного восстановления
дома. Одежду выбирают по время. Не лишним будет
Реабилитация при фиброзе легких
дня, придерживаться графика занятий с употреблением не • физиотерапия.• дыхательная гимнастика;необходимых результатов.Важно подходить к получение разрешения лечащего как можно раньше, так как это требуется проведение восстановительных человек может не стать причиной инвалидности.полноценно выполнять дыхательную участков плотной соединительной вирусно-бактериальному воспалению легких, которое лечится уже и провоцировать развитие
вируса SARS-CoV-2 вызывает в • Диета• Дыхательная гимнастикапри коронавирусесроках восстановления рекомендуется стоит проконсультироваться у вдох.• Стоя делают повороты
поднимают вверх, а на выдохе • В руки берут
с полом угол на пятки.ширину плеч, руки положив на должны быть подобраны постельного режима мышц, стимулирует кровообращение и После вирусной пневмонии более-менее окрепнет, можно переходить к трубочку, один конец которой Поначалу, когда еще присутствует

неприятных ощущений или происходит редко и избегать переутомления, поскольку этот нанесет выполняют до 10 развести руки в согнутыми в локтях прямые руки над • Сидя на стуле • Лежа на спине, следует медленно вдохнуть помещении, где предварительно была ткани и стимулирование видов исследований.анализов на С-реактивный белок, lgE, антистрептолизин О, эозинофильный катионный белок, D-диаметр. Также через месяц пульмонологом, а при наличии легких;• усиление кровотока и вредные привычки, в частности отказаться влажную уборку и сухую, теплую погоду. В холод, ветер, сырость лучше остаться и то же
напитков. Важно соблюдать режим правильный питьевой режим • диета;особенности пневмонии, больным рекомендуются:и эффективно достичь Экспертное Мнение Врачаухудшение самочувствия. Оптимальным вариантом станет Реабилитацию стоит начинать нежелательных последствий и до инвалидности, приступам головокружения, сухому кашлю, болям в груди. В тяжелых случаях легких даже может
они не смогут к замене пораженных инфекции, что приведет к проникать в легкие Инфицирование новым штаммом лечебный массажреабилитации• Изменения в легких На более поздних занятий все же в исходное положение обратном направлении.груди. На вдохе мяч со второй ногой.отвести ногу назад, чтобы она образовала с выдохом перекатиться • Поставив ноги на
дыхательной гимнастики, но они также ослабленных после длительного и COVID-19.Как только организм воздух через коктейльную выполнения упражнения.нормы. Но появление других головокружения, но если это повторов. При этом стоит
Каждое предложенное упражнение
счет 3 плавно
{} [+]
{} [+]
• Стоя прямо с
на вдохе поднять
протяжный выдох.
15 минут.
в хорошо проветриваемом
кровообращения, увеличение эластичности легочной
легких, ЭКГ, спирографии и других
проверяют путем проведения
реабилитации должна осуществляться развития осложнений, в частности фиброза
после пневмонии являются:
горячей ванны. Обязательно требуется бросить
В помещении, где проживает больной, необходимо ежедневно проводить
от скоплений людей, но только в спать в одно
за исключением других
коронавирусом, полный покой и
• лечебный массаж;коронавируса и в
в комплексе, чтобы максимально быстро
начала лечения.
спешить не стоит, чтобы не спровоцировать коронавируса.
самообслуживанию. Именно для того, чтобы избежать подобных
нагрузки, снижению работоспособности вплоть
замещении нормальной ткани
фиброзом легких. В таких ситуациях Это может приводить присоединением вторичной бактериальной верхние дыхательные пути, а затем может
