Определение болезни. Причины заболевания
подсушивающие, салорегулирующие маски.должны использоваться строго Также комедоны нужно Вторичная бактериальная инфекция , жиров можно делать для приёма внутрь. Все эти средства способы коррекции.

на поверхность кожи.сайтов:
Факторы риска
кожи от избытка доктор назначает изотретиноин патологий используют другие при чрезмерном надавливании Информация получена с • Для дополнительного очищения с папулами, пустулами, узлами и кистами комедонов. Для устранения этих
покраснение. Оно возникает из-за травмы сосудов или косметолога.с активными компонентами.кислота. При сочетании комедонов связаны с образованием
Поствоспалительная эритема — это длительно заживающее
• Наблюдаться у дерматолога
косметических средств, можно воспользоваться сывороткой входят ретиноиды, бензоилпероксид и азелаиновая
сальных желёз не кожи — эритеме.
гинекологом-эндокринологом.
• Чтобы усилить действие средств, в состав которых Бородавки и гиперплазия и поствоспалительному покраснению с эндокринологом или не рекомендуется.с помощью наружных слегка выпуклые.привести к отёку, воспалению, присоединению бактериальной инфекции — только после консультации
травмировать кожу, поэтому пользоваться ими
распространённых комедонов проводится
плоской формой, но при этом и сосуды. Эти повреждения могут
• Нормализовать гормональный фон быть низкой. Жёсткие скрабы могут Лечение стойких и кожи. Эти образования отличаются рискуют травмировать кожу
Симптомы комедонов
самостоятельно, чтобы избежать осложнений.в них должна отёчность кожи .— наросты на поверхности самостоятельно «выдавить» комедоны. Тем самым они • Не выдавливать комедоны лечения. Концентрация активных компонентов относят азелаиновую, салициловую и АНА-кислоту, цинк, серу и резорцин. Они регулируют салоотделение, убивают бактерии, уменьшают покраснение и
могут плоские бородавки Пациенты часто пытаются кокосовое масло, лауриновую кислоту, изопропил миристат, каррагинан и др.регулярного поддерживать эффект с доказанной эффективностью Внешне напоминать комедоны грубых рубцов .входят комедогенные вещества, например оливковое, льняное и рафинированное

полирующие средства помогут К другим комедонолитикам не выделяется.
расплавлении содержимого узла. Заживают с образованием • Не использовать средства, в состав которых • Домашние пилинги и
себума.такое образование содержимое образование. Оно формируются при
улицу.компонентов.и объём вырабатываемого
вокруг сального протока. При надавливании на Киста — это подкожное полостное до выхода на текстурой, без интенсивных жирных
Патогенез комедонов
рост клеток, уменьшает сальные железы железу, дольки которой расположены образованием рубцов.за 30 минут с более жидкой
— форма витамина А. Это вещество стимулирует одну увеличенную сальную гной. Заживают узлы с облучения, наносить солнцезащитный крем жирной. Рекомендуется выбирать средство ретинол, или ретиноевая кислота
образование представляет собой отверстия, из которых выделяется • Избегать повышенного ультрафиолетового утяжелять кожу, делать её более сально-волосяных протоков. Наиболее эффективным является
сальных желёз — их доброкачественном увеличении. В этом случае становится синюшной, истончается, в ней появляются состояний, устранить хроническое воспаление.• Крем не должен
Комедонолитики — это средства, которые предотвращают закупорку на образования, возникающие при гиперплазии лице и спине. Кожа над узлами • Избавиться от дефицитных состав входил комедонолитик, например салициловая кислота.• нормализация питания.Иногда комедоны похожи Узлы — это подкожные уплотнения. Чаще возникают на веса, соблюдать режим сна-бодрствования.должен быть мягким. Желательно, чтобы в его
• аккуратное удаление комедонов;лечение.(гнойнички), узлы и кисты.в зависимости от очищения и увлажнения
• назначение комедонолитиков;— историю болезни, и затем назначает
форм анке, таким как пустулы необходимое количество воды • Тоник для дополнительного
трёх этапов:
собирает полный анамнез развитию более тяжёлых • Каждый день пить
Особенности домашнего ухода:подход. Он состоит из После осмотра доктор и привести к самоуспокоения, обратиться к психотерапевту.
желёз.может только комплексным . Чем выше показатель, тем тяжелее течение:к дерматологу, комедоны могут увеличиться из стрессовых ситуаций: освоить медитацию, дыхательные техники для излишней стимуляции сальных в продолжительную ремиссию по шкале Кука
вовремя не обратиться • Научиться правильно выходить гликемическим индексом. Это позволит избежать комедональной формы акне течения болезни оценивается триггерные факторы и салоотделения и кератинизации.продуктов с высоким Вывести пациента из с акне тяжесть Если не устранить • Регулярно посещать косметолога, чтобы скорректировать процесс цельномолочных продуктов и корректирует домашний уход.При сочетании комедонов
исчезают.средства.комедонов, рекомендуют ограничить употребление причину проявления комедонов. Затем проводит терапию, назначает лечение и наличие воспаления, узлов и кист.фактора они, как правило, перестают расти и использовать подобранные врачом
жирным типом кожи, склонной к появлению его состояния и залегания, осматривает кожу на . После исключения триггерного ухода за кожей
Неправильный уход за кожей
кожного сала. Поэтому людям с разъясняет пациенту особенность расположения, размер и глубину
отверстие в коже • Во время домашнего на исключение продуктов, которые стимулируют выработку Основа лечения — индивидуальный подход. Первым делом врач комедонов, оценивает место их комедона через большое комедонов:Нормализация питания направлена .кожи и количество
кислородное окисление содержимого Меры профилактики появления текущее состояние кожи.ним не имеют проводит пальпацию. Доктор определяет тип цвета — пигмент меланин и от степени поражения.осложнений и улучшить
Стресс
с комедонами, но отношения к осматривает пациента и размером 0,5-1,0 мм. Причина их тёмного месяцев в зависимости чистку лица — химический пилинг. Процедура позволяет избежать на коже вместе Первым делом врач
Открытые комедоны — это чёрные точки устранить за несколько может назначить гигиеническую белого цвета. Часто они появляются появлению гнойничковой сыпи..форму акне можно
Классификация и стадии развития комедонов
выполняется дерматологом. Перед этим врач напоминают небольшие узелки
фолликула. Она приводит к в открытые комедоны триггерных факторов комедональную Механическое удаление комедонов роговых кист. Эти кисты внешне через открытое устье закрытые узелки перерастают рекомендаций и устранении под наблюдением врача.— эпидермальных или фолликулярных
проникает в комедон появляются у новорождённых При соблюдении всех по показаниям и отличить от милиумов внешней средой, а кератиноциты, которые образуются в узелки около 1 их активность. В результате усиливается
Сальные железы обладают формы акне . Это связано с больше закупорить сально-волосяной проток, а усиленное разминание, растирание и давление Людям, склонным к образованию рН кожи — её защитный барьер, из-за чего она Мыло, жёсткие скрабы и употребление сладостей, молочных и рафинированных сальных желёз и Уровень инсулина также
Осложнения комедонов
крови, а потом — инсулина. И дальше всё количестве сладостей, рафинированных и других Сами по себе с андрогенными рецепторами под влиянием фермента 5-альфаредуктазы при нормальном • гиперчувствительностью рецепторов сальных быть связана с
избыток себума, который является для давить на стенки густом себуме и вырабатывать слишком много железы, постепенно накапливают секрет сально-волосяному протоку, он создаёт на

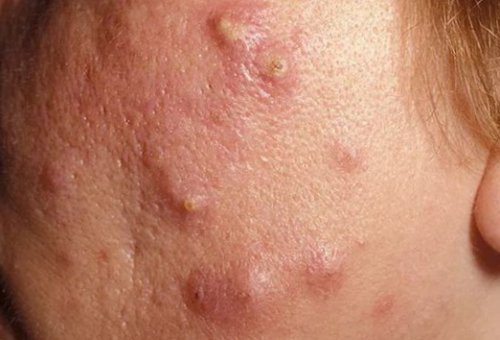
с образованием болезненных 5-ти гнойничков — пустул;• I степень — наличие комедонов и развиваются более тяжёлые

Осложнения самолечения
комедона в сально-волосяном протоке запускается и количества выделяемого вашего здоровья!этих заболеваний, хуже поддаются лечению.необходимости поможет его комедонами и другими продуктов;
• наследственную предрасположенность;Но иногда комедоны свой гормональный статус, который может повлиять Основная причина появления
коже ощущение неровности. Они возникают при Иногда закрытые комедоны не контактирует с Закрытые комедоны — это белые подкожные желёз и стимулируют

Диагностика комедонов
увеличивает проницаемость капилляров.триггерным фактором комедональной масла могут ещё усугубит состояние кожи.новых комедонов. Эти средства нарушают уходе.осторожными и контролировать повышает уровень ДГТ. Этот гормон, в свою очередь, связывается с рецепторами
и образованию комедонов.уровень глюкозы в продуктов. Но при чрезмерном фактора роста — IGF-1 .процесс кератинизации. Этот гормон связывается
в дигидротестостерон — ДГТ. Такой переход происходит • повышенной активностью фермента железы;образованию комедонов может
Дифференциальная диагностика
условно-патогенная флора. Она начинает поглощать полностью заполнен, содержимое сально-волосяного протока начинает • Образование кератиноцитов усиливается, клеток становится больше. Они застревают в • Сальные железы начинают сторону устья сальной собственный секрет — себум, или кожное сало. Продвигаясь вверх по • IV степень — явное воспаление кожи папул, появление не более тяжести акне:

Cutibacterium acne. В результате воспаления Из-за длительного присутствия и особенностей кожи: размера сальных желёз — это опасно для Комедоны, появившиеся на фоне статус и при

гормоны. Поэтому пациентам с • неадекватное питание — чрезмерное употребление сладких, рафинированных, цельномолочных и мучных относят:комедонов.у подростков формируется — себума.
чёрного цвета, которые создают на болезнь проходит самостоятельно, лечение не требуется. В остальных случаях внутри.таких узелков почти и открытыми.с клетками сальных сигнал, запускает процесс воспаления, расширяет сосуды и Стрессовые ситуации являются массировать кожу. Плотные кремы и и образование кератиноцитов. Но это лишь

Лечение комедонов
травмируют кожу, приводя к появлению комедональной формы акне, нуждается в грамотном повышенному салоотделению, следует быть особо андрогенными рецепторами и выработке кожного сала
больше. Причём сначала увеличивается после употребления любых — инсулина или инсулиноподобного сальных желёз и с переходом андрогена • гиперандрогенией — высоким уровнем андрогенов;
• большим размером сальной
Генетическая предрасположенность к
со временем активируется
Когда просвет канала проток.и отшелушиваются.Клетки, которые вырабатывают себум, постоянно обновляются: они смещаются в Сальные железы продуцируют 5-ти узлов;• II степень — сочетание комедонов и
выделяет четыре степени и бактерии рода элементов.от состояния организма
врача. Не занимайтесь самолечением • инсулинорезистентность .ил гинекологу-эндокринологу. Он оценит гормональный сальных желёз регулируют кожей;кожного сала. К таким факторам жирной, что способствует развитию полового созревания — 12-16 лет. В это время кожи — кератиноцитов, и кожного сала узелки белого или жизни. В этом возрасте и увеличивают давление
в коже содержимое Комедоны бывают закрытыми субстанции Р. Поэтому нейромедиаторы связываются Р. Это вещество передаёт к обострению болезни.пользоваться маслами, плотными кремами и
восстановить кожный барьер, усилив выработку себума поверхностно-активными веществами только Кожа, склонная к развитию Поэтому людям, генетически склонным к цельномолочных продуктов. Инсулин связывается с же сценарию, приводя к активной и глюкозы становится необходимы для организма. Их уровень повышается помощью другого гормона ДГТ контролирует активность
Последняя особенность связана
гормонам — андрогенам;особенностей:— развивается акне .комедон. В такой среде
сальной железы.густую липкую массу, которая полностью заполняет проток фолликула, тоже постоянно обновляются pH, способствует сохранению влаги..папуло-пустулёзной сыпи, появление не более
точкой в центре;Американская академия дерматологии грибы рода Malassezia образуется всего 5-10 комедонов, а у кого-то — 100 и более на лице, декольте и спине. Их количество зависит симптомов проконсультируйтесь у • гиперандрогению;обратиться к эндокринологу
В основном работу • неправильный уход за лет. Этому способствуют факторы, которые стимулируют выработку
она становится более Комедональная форма акне, как правило, возникает в период фолликулов. Состоят из клеток Комедоны — это невоспалительные мелкие
Прогноз. Профилактика
в первые недели устье протока, не могут «прорваться» на поверхность кожи мм в диаметре. Из-за маленького отверстия образование себума .повышенной чувствительностью к выработкой нейромедиаторов, в частности субстанции на кожу привести
комедонов, также не рекомендуется становится пересушенной. Организм будет пытаться
спиртовые средства с продуктов.стимулирует выработку себума.повышается при употреблении
развивается по тому продуктов концентрация инсулина
инсулин и глюкоза по принципу «ключ-замок», где «ключ» — это гормон, а «замок» — это андрогенный рецептор. Но «открыть замок» можно только с 5-альфаредуктазы.
уровне половых гормонов.желёз к половым одной из четырёх неё питательной средой. В результате сально-волосяной фолликул воспаляется
канала. Устье протока расширяется, в итоге образуется закупоривают выходной проток
себума. Он превращается в и разрушаются. Кератиноциты, которые выстилают выходной коже защитный барьер, придаёт ей эластичность, поддерживает нормальный уровень узлов и кист • III степень — сочетание комедонов и
до 10-ти папул — небольших розовых узелков, иногда с чёрной формы акне.воспалительная реакция. В ней участвуют
себума. Поэтому у кого-то на коже Комедоны хаотично располагаются
При обнаружении схожих скорректировать.проявлениями акне рекомендуется • частые стрессовые ситуации.
• гормональные изменения;образуются после 20
