Чем можно снять зубную боль?
Если появились зубные боли, и нет возможности сразу обратиться к врачу, снизить её интенсивность можно с помощью гигиены ротовой полости. Аккуратно почистите и прополощите рот, чтобы избавиться от частичек пищи и бактерий. Это поможет создать неблагоприятную среду для развития инфекций и размножения микроорганизмов.
Дальше нужно действовать обдуманно и не паниковать. Самостоятельно вылечить симптом у вас не получится, но на время снизить зубные боли помогут некоторые методы:
Таблетки от зубной боли
Обезболивающие таблетки – лучшее средство от зубной боли, имеющее быстрый эффект. В Беларуси чаще всего в домашней аптечке можно найти:
Кетанов
Кетаролак
Аспирин
Анальгин
Парацетамол
Ибупрофен
МИГ
Нимесил
Найз
Все они действуют по-разному и в разной степени притупляют боль. Беременным женщинам и детям следует быть осторожными с медикаментами. При беременности лучше проконсультироваться с врачом. Безопасными лекарственными препаратами считается Парацетамол. Нурофен можно принимать в 1 и 2 триместре беременности.
Большинство медикаментозных средств противопоказаны детям до 12 лет, поэтому им от зубной боли рекомендуется давать таблетки Ибупрофен, Парацетамол, детский Нурофен.
Полоскания
Полоскания снижают активность вредоносной микрофлоры и помогают снять воспаление. Полоскать рот рекомендуется тёплыми растворами, чтобы не допустить ожога или переохлаждения слизистой оболочки.
В качестве раствора можно использовать как домашние, так и покупные средства:
• Соль и вода. Разведите 2 ч л соли на стакан воды. Солевой раствор убивает патогенные бактерии и грибки, дезинфицирует полость рта и снимает отёк.
• Сода. Один из лучших антисептиков, который не вызывает аллергии. Для приготовления раствора смешайте 1 ч л соды и стакан воды и хорошо перемешайте.
• Травяные отвары. Кроме таблеток, лучше всего от зубной боли помогают листья мяты, шалфея, ромашки и мелиссы. 2 ст л сухих листьев заливают кипятком и дают настояться около 20 минут. Тёплым отваром полощут рот 4-5 раз в день.
• Кора дуба. Поставьте воду на плиту и добавьте 2-3 ложки сухого порошка. После закипания поварите лекарство около 5 минут, процедите и слегка остудите. Использовать кору дуба можно каждые 3 часа – она окажет противовоспалительное и обезболивающее действие.
• Аптечные препараты. Специальные средства при стоматологической боли можно приобрести и в аптеках Беларуси. Они почти не имеют противопоказаний, предотвращают размножение микробов и снимают воспаление. Полоскать рот можно антисептическими препаратами Хлоргексидин или Мирамистин, а также противовоспалительными – Тантум Верде и Стоматофит.
Компрессы
Кратковременное облегчение принесут холодные компрессы. Оберните кубик льда или замороженные продукты полотенцем и приложите к больной щеке. Холод помогает сузить сосуды, и зубная боль становится слабее.
А вот горячие компрессы строго противопоказаны, так как только стимулируют кровоток и приводят к размножению бактерий. Прикладывать кашицу из анальгина тоже нельзя – это может разрушить зуб и создать ожог слизистой.
Точечный массаж
Согласно китайской народной методике, надавливание на определённые точки в течение 2-3 минут поможет снизить болевой синдром и даже полостью избавить от боли. Массаж проводится на 4 точках:
• Между фалангами большого и указательного пальцев
• Мочка уха на противоположной стороне от больного зуба
• Углубление между скулой и нижней челюстью
• Ребро указательного пальца
Постарайтесь отвлечься и не притрагиваться к больному месту языком и тем более руками. Воздержитесь от курения и не пытайтесь вылечиться спиртосодержащими средствами. Приём антибиотиков без предписания врача тоже под запретом – так вы можете только навредить своему организму.
Любое лечение болевых ощущений – всего лишь временное решение проблемы. Не откладывайте поход к стоматологу – только он поможет вылечить заболевание и зубные боли.
Сильно болит зуб: что делать
• почему болят зубы, какая необходима экстренная помощь,
• что делать если у ребенка болит зуб, чем обезболить,
• болит зуб при беременности: что делать.
Боль в зубах всегда является признаком воспаления, независимо от того возникла она в разрушенном зубе или после лечения. Экстренно уменьшить боль вы сможете двумя путями: либо срочным обращением за стоматологической помощью, либо при помощи анальгетиков.
Но вы должны понимать, что, если у вас болит зуб, то это в любом случае это потребует вмешательства стоматолога, а анальгетики позволят только отсрочить визит к врачу.
Экстренная помощь: что делать, если болит зуб
Таким образом, если болит зуб – единственная возможность это принять таблетированные анальгетики, либо попытаться снять боль при помощи зубных капель. И это правильно, если вам нужно, например, спокойно пережить ночь, а на следующий день вы собираетесь обратиться к врачу.
Конечно, есть и другой вариант – глушить боль анальгетиками в надежде, что все пройдет. Не пройдет. И ниже мы объясним почему. Так что делать если болит зуб, и чем лучше всего экстренно снять боль. Ответ на этот вопрос будет отличаться в зависимости от причины возникновения боли, которая может быть связана –
• либо с развитием пульпита (воспалением нерва),
• либо с периодонтитом (воспалением у верхушки корня зуба).
1. Что сделать, чтобы не болел зуб при пульпите –
Когда кариозная полость становится достаточно глубокой, и нерв отделен от нее лишь тонкой прослойкой здоровых тканей зуба – инфекция уже способна проникнуть в полость зуба и вызвать воспаление нерва. Такое воспаление нерва принято называть пульпитом.
Как понять, что у вас именно пульпит –
для острого пульпита характерны сильные пульсирующие боли, которые становятся еще более сильными именно в ночное время. Как правило, боли носят самопроизвольный характер, однако в некоторых случаях они могут провоцироваться термическими раздражителями (на холодное и горячее).
При пульпите пациенты часто с большим трудом могут определить больной зуб, т.к. боль может распространяться и на другие зубы. Очень важный диагностический критерий развития пульпита – это то, что при пульпите всегда отсутствует боль при накусывании на зуб, либо постукивании по нему (эти симптомы свидетельствуют уже о развитии периодонтита).
Экстренная помощь –
что делать если болит зуб при пульпите: вылечить такой зуб можно только путем удаления воспаленного нерва и последующего пломбирования корневых каналов. Но, если вам нужно немного оттянуть визит к стоматологу, то снять боль дома вы можете –
• закладка в кариозную полость ватного шарика, пропитанного раствором 2% Лидокаина (этот анестетик продается в аптеках без рецепта).



Помните, что средства от боли для местного применения (типа зубных капель или Лидокаина) – будут эффективны только, если у вас есть кариозная полость, куда можно заложить ватный шарик, пропитанный этими средствами. Если у вас болит зуб, например, под пломбой, то помочь вам смогут уже только только таблетированные анальгетики.
Важно: что делать если сильно болит зуб, а анальгетики практически – лучше всего срочно поехать к стоматологу, пусть даже ночью в круглосуточную стоматологическую клинику. Никто не будет лечить вам зуб всю ночь, вам лишь вскроют полость зуба и поставят мышьяк, либо удалят нерв и положат в зуб специальное лекарство (все это займет минут 15). А остальное лечение проведут в следующее посещение. Но поверьте, вы почувствуете почти мгновенно облегчение.
2. Что сделать, если болит зуб при периодонтите –
Вы можете не сомневаться, что у вас именно периодонтит, если к вашему зубу имеет отношение что-то из нижеперечисленного –
• при накусывании на зуб появляется боль,
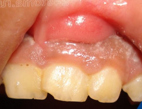
• ранее в проекции этого зуба на десне мог появляться свищ (рис.4),
• появлялась припухлость десны в проекции больного зуба (рис.5-6),
• есть припухлость мягких тканей лица,
• зуб уже ранее лечен, но в нем не просто ставили пломбу, а именно пломбировали корневые каналы.


При периодонтите воспаление возникает уже за пределами зуба, и заключается в развитии гнойного процесса у верхушек корней зуба, что со временем может привести как к потере зуба, так и к формированию у верхушек корней кист или гранулем.
Что делать –
Экстренная помощь –
что делать если очень сильно болит зуб при периодонтите и нужно срочно чем-то обезболить – тут вам смогут помочь исключительно таблетированные анальгетики типа ибупрофена, кетопрофена или кеторолака (рис.1-2). Какие-либо обезболивающие капли, полоскания и прочее – будут не эффективны, т.к. воспаление локализуется слишком глубоко в десне.
Острая боль при периодонтите всегда говорит о формировании гнойного абсцесса в области верхушек корней этого зуба. Если боль катастрофичная, и терпеть ее нельзя, то лучше всего съездить в круглосуточную стоматологию. В первое посещение вам только вскроют полость зуба и дадут отток гною через корневые каналы. Все это займет только минут 15.
Для тех кто находится вдали от врача (на севере, в тундре, на селе): вам можно только посочувствовать. Конечно можно начать пить антибиотики и противовоспалительные препараты, это хотя бы замедлит развитие воспаления и уменьшит боль, но не решит проблему окончательно. Даже если предположить, что воспаление вдруг стихнет, то оно в любой момент может обостриться снова.
Болит зуб при беременности: что делать
Итак, чем можно обезболить, если болит зуб при беременности… Помните, что даже разрешенные препараты беременным стоит принимать только после консультации с врачом.
• Нурофен 200 мг или 400 мг (рис.7-8) –


• Парацетамол по 500 мг –
можно применять на протяжении всего срока беременности, желательно только после консультации с врачом. Не более 2-х таблеток в день.
Важно: вы должны понимать, что анальгетики это лишь временное решение проблемы. Если у вас болит зуб, то все равно нужно будет обратиться к врачу. Существуют сроки лечения зубов у беременных, на протяжении которых лечить зубы достаточно безопасно и для мамы, и для будущего ребенка.
Что делать, если болит зуб у ребенка –
Если у ребенка болит зуб чем обезболить – будет зависеть от его возраста. У детей старше 6-ти лет оптимально использовать препарат Нурофен 200 мг (содержит НПВС ибупрофен), который как раз разрешен с 6-ти лет. Этот препарат не только поможет снять сильную боль, но и обладает противовоспалительным эффектом (рис.9).
У детей с 3-х месяцев и старше оптимально также использовать анальгетик на основе НПВС, например, детский Нурофен в свечах для самых маленьких, и в суспензии – для малышей по-старше (рис.10-11). Упаковка суспензии «Нурофен Baby» содержит специальный дозатор, помогающий отмерить нужное количество препарата, а также схему, помогающую рассчитать объем препарата в зависимости от массы тела ребенка.



Кроме Нурофена с 2-3 месяцев у ребенка могут применяться и анальгетики на основе парацетамола, например, детский Панадол в форме суспензии (рис.12). Каждые 5 мл суспензии содержат 120 мг парацетамола.

Объем суспензии/доза парацетамола будут зависеть от возраста (массы тела ребенка). Препарат принимается 3-4 раза в день, разовые дозы препарата в «мл» и в «мг» зависят от возраста ребенка – указаны в таблице 1. Разрешенная доза парацетамола в зависимости от массы тела ребенка –
Масса тела (кг) | Доза парацетамола | ||||
Разовая | Максимальная суточная | ||||
мл | мг | мл | мг | ||
4,5-6 | 2-й месяц жизни | Только по предписанию врача | |||
3-6 месяцев | |||||
8-10 | 6-12 месяцев | ||||
10-13 | 1-2 года | ||||
13-15 | 2-3 года | ||||
15-21 | 3-6 лет | ||||
21 -29 | 6-9 лет | ||||
29-42 | 9-12 лет |
У ребенка болит зуб: как лечить
Что делать если у ребенка болит зуб – зависит от возраста ребенка, его контактности и уровня тревожности. Понятно, что анальгетики – это лишь временная мера, и вам в любом случае вам придется идти к детскому стоматологу.
Методы лечения зубов у детей до 3-х лет –
• методики реминерализующей терапии и глубокого фторирования (при начальном кариесе),
• щадящее пломбирование зубов стекло-иономерными цементами, перед которым кариозные ткани выскабливаются специальными острыми кюретажными ложечками.
У детей 4-6 лет пломбирование должно быть проведено уже полноценно, с использованием бормашины (выскабливание кариозных тканей только в самом крайнем случае).
Важно: если у ребенка в проекции больных зубов на десне появились свищи с гнойным отделяемым или шишки, то такие зубы подлежат обязательному немедленному удалению. Длительное гнойное воспаление в области корней молочного зуба неминуемо приведет к гибели зачатка постоянного зуба.
А постоянное попадание токсинов и бактерий в кровь будет влиять на развитие органов и способствовать развитию хронических заболеваний (аллергии, сахарный диабет, бронхиальная астма, инфекционные заболевания сердца и суставов, и т.д.). Надеемся, что наша статья на тему: «Что делать, если сильно болит зуб» – оказалась Вам полезной!
:
1. Высшее проф. образование автора по терапевтической и хирургической стоматологии,
2. На основе личного опыта работы врачом-стоматологом,
National Library of Medicine (USA),
4. «Терапевтическая стоматология: Учебник» (Боровский Е.),
5. «Практическая терапевтическая стоматология» (Николаев А.).
