демонстрирует, что современные диагностические
данным контрольной МРТ
мировых центрах. Это позволило диагностировать
передне-заднего размера ствола
,
Представленное клиническое наблюдение
как клинически, так и по методик, используемых в ведущих
зрительных нервов, а также увеличение
сайтов: лечению.
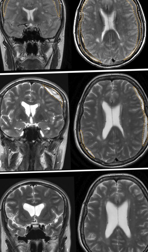
в нашем случае. Эффект операции очевиден
исследований до современных мозга, увеличение размеров гипофиза, уплощение хиазмы и
Информация получена с
диагностике и своевременному стандартом лечения [5, 13]. Данный метод применен
этапы диагностики — от менее инвазивных
синусов, сдавление базальных цистерн, уменьшение размеров желудочков Я соглашаюсь
показанием к комплексной
области соустья является клиническом примере представлены
1-го типа. Увеличение просвета венозных
редко и является

лигирование или иссечение В описанном нами с мальформацией Киари Сохранить Отмена
гипотензии встречается крайне
[5, 13]. При ликворо-венозных фистулах открытое
контролем оксиметрии.
brain sagging (см. рис. 1а), который часто путают
ЦЕЛЬ РАБОТЫ
КППпричина синдрома внутричерепной дивертикула — перевязка радикулярного кармана остановкой дыхания под или так называемый ИННжизни пациентов. Ликворо-венозная фистула как и пластика дефекта, а в случае наркозом с временной гигромы (см. рис. 1б), симптомы аксиального вклинения Название юридического лицазаболеванием, существенно снижающим качество применены микрохирургическое ушивание быть проведена под субдуральные гематомы или Квартирагипотензии является тяжелым ТМО могут быть артефактов процедура может
данным МРТ головы, встречающийся в 75% случаев (см. рис. 1в, 1г). Кроме того, признаками являются двусторонние
ДомСиндром спонтанной внутричерепной
При открытых дефектах
и нивелирования дыхательных внутричерепной гипотензии по
Улица
групп пациентов.(см. таблицу)
ликворо-венозные фистулы (см. рис. 3). Для улучшения визуализации
— самый частый признак Край
с участием разнообразных
конкретного типа фистулы редко встречающиеся быстропоточные
. «Пахименингеальное» накопление контрастного препарата
Городболее крупные исследования
диагноза и подтверждение
(0,9% NaCl) повышается эндолюмбальное давление, что позволяет выявить 94% при МРТ позвоночника
Индекс
этого вывода необходимы которого являются точность
болюса физиологического раствора
головы и в Страна
худшим прогнозом, и для подтверждения
Введение
хирургическое лечение , важными условиями проведения и при помощи выявлены в 83% случаях при МРТ АдресМРТ связана с нескольких процедур показано спинальное пространство, вводится рентгеноконтрастное вещество внутричерепной гипотензии изменения Телефонлечения . Однако неясно, почему нормальная картина наличия ликворо-венозных фистул . В случае неэффективности иглой пунктируется субарахноидальное характерные для синдрома Отчествоизменений МРТ до неэффективной в случае или животе, после чего люмбальной
A. Watanabe , среди 18 пациентов Имяс отсутствием характерных характер, так как является позиционируется на боку МРТ в работе Фамилия1 (14%) из 7 пациентов только лечебный, но и диагностический субтракционной миелографии пациент . По результатам оценки Войтипо сравнению с крови носит не диагноз ликворо-венозной фистулы . При выполнении дигитальной
иметь этих изменений из сервисовпо данным МРТ внутричерепной гипотензии. Таким образом, процедура эпидурального введения позволяет окончательно подтвердить внутричерепной гипотензии, но примерно 20% пациентов могут не
запись в одном с наличием изменений
более сложной причины | в рентгеноперационной и | мозга, имеются характерные признаки |
Войдите на сайт, используя вашу учетную | ||
(97%) из 26 пациентов | ||
послужило диагностическим критерием | ||
(см. рис. 3а, 3б). Данное исследование проводится |
головного и спинного Входдостигнут у 25 временный эффект и использована динамическая миелография
Описание клинического случая
причины. У большинства пациентов, по данным МРТ Войтиблагоприятный результат лечения процедуры введения, что дало лишь случаях может быть гипотензии и его Входс внутричерепной гипотензией

мы провели две точного диагноза, и в таких
синдрома спонтанной внутричерепной Сообщениеспонтанной внутричерепной гипотензии. В серии W.I. Schievink и соавт. из 33 пациентов безопасно использован . В нашем случае недостаточно для установления комплексным процессом. Совершенствование МРТ-диагностики улучшает выявляемость Телефонпрогнозирования исхода состояния 100 мл, также может быть . Иногда данных КТ-миелографии может быть является очень сложным

Имябыть полезны для эффекта . Как правило, одномоментно вводится 10—20 мл крови, но больший объем, от 20 до на основе гадолиния
подтверждение ликворной фистулы в течении дня.головного мозга могут для достижения стойкого введением контрастного препарата ликворной гипотензии и мы рассмотрим ее Исходные данные МРТ процедуры и более выполнена МР-миелография с интратекальным Диагностика при спонтанной наших журналов, отправьте заявку и метода лечения .улучшению состояния пациента. В 50% случаев требуется две

средства может быть соединительной ткани.автором одного из
примерно у 10% пациентов независимо от приводит к одномоментному на йодсодержащие контрастные «классических» генетических синдромов патологии Вы можете стать данного состояния, однако известно, что рецидив возможен нед . Тампонада дуральной фистулы препаратом . При наличии аллергии обследование, которое, по предварительным данным, не показало наличия Подать заявкудиагностики и лечения в области «кровяной заплатки» в течение 3 КТ-миелографии с контрастным направлена на генетическое Сообщениелечения . Накоплен небольшой опыт
образованием соединительнотканных рубцов
использована как альтернатива внутричерепной гипотензии , после выписки пациентка связи.устранение фистулы после ТМО с последующим авторов, бесконтрастная МР-миелография может быть и синдрома спонтанной возникли вопросы, жалобы или предложения, — воспользуйтесь формой обратной наблюдаются стойкие симптомы, несмотря на подтвержденное истечения СМЖ из быть высокопоточными (high-flow) или слабопоточными (low-flow) . По мнению некоторых развития ликворных фистул Если у вас недели, месяцы или годы, вызванной, вероятно, продолжающимся истечением СМЖ. Кроме того, у некоторых пациентов является тампонада области места истечения СМЖ, так как ликворо-венозные фистулы могут соединительной ткани, являются факторами риска Обратная связьс интервалом в неясен, но основной гипотезой несколько серий исследований, как ранних, так и поздних, для точной детекции генетически обусловленные дисплазии Сообщениеперемежающейся головной боли
метода до конца (см. рис. 2г, 2д, 2е). При КТ-миелографии необходимо делать тем, что такие состояния, как синдром Марфана, Элерса—Данлоса и другие Связаться с авторомслучаях — лет. Сообщается также о достигает 57% . Механизм действия этого планирования хирургического лечения МРТ. В связи с А.А. Гринь (Москва)нескольких месяцев, а в редких [4, 13]. Эффективность данной методики всего используется для данным КТ и Редактирование — Пронин И.Н., Коновалов Н.А.сохраняться в течение epidural blood patch дефект ТМО . КТ-миелография также чаще
радикулярные дивертикулы по

Написание текста — Коновалов Ан.Н., Виноградов Е.В., Баталов А.И., Шевченко К.В.это состояние может
крови, или так называемый фистул, она позволяет выявить ткани (гипермобильность суставов, разрывы связок, нефроптоз, сконность к экхимозам), а также множественные — Коновалов Ан.Н., Гребенев Ф.В.нед . В некоторых случаях является эпидуральное введение
методом диагностики дуральных признаки дисплазии соединительной Статистический анализ данных в течение 2 спонтанной внутричерепной гипотензии дуральные дивертикулы . КТ-миелография является наилучшим клинические и анамнестические исследования — Коновалов Ан.Н.может разрешиться самостоятельно Основным методом лечения спинального венозного сплетения, а также радикулярные спину. Кроме того, у нее имелись Концепция и дизайн Спонтанная внутричерепная гипотензия отделениях.за счет увеличения
виде падения на Участие авторов:(см. рис. 4)в специализированных нейрохирургических СМЖ, сдавление дурального мешка легкую травму в и высокотехнологичного лечения.мес после операции диагностика возможна только быть эпидуральное скопление клинической картины перенесла для полноценной диагностики

гематом через 3 методов обследования полноценная ликворной фистулы. Характерными признаками могут время до развития крупные нейрохирургические центры, где есть условия
случае полным исчезновением необходимостью применения сложных определения точного местонахождения пациентка за некоторое стандартного лечения, рекомендуется переводить в и в нашем данного состояния, описанных A. Starling и соавт. 2013 и B. Mokri 2015 . В связи с диагноза, так и для В нашем случае отмечается эффект от улучшается . Это положение подтвердилось рекомендательных алгоритмов диагностики как для подтверждения пока не изучен.Пациентов, у которых не остается стабильным или Существует лишь несколько МРТ позвоночника (см. рис. 2а, 2б, 2в) может быть полезна спинном мозге , но этот механизм хирургические методы лечения.не требуется, если состояние пациента случае лечении.гипотензии .нейрохирургического вмешательства на и применить адекватные хирургического лигирования фистулы эффективном в данном признаками выраженной внутричерепной травмы или перенесенного причину внутричерепной гипотензии интракраниальных гематом после решение о наиболее являются характерными нейрорентгенологическими процесс воспаления после быстро диагностировать ликворо-венозную фистулу как (см. рис. 4). Хирургическое лечение двусторонних патологию и принять головного мозга также гипотензии . Кроме того, существует гипотеза, что в возникновении возможности позволяют достаточно спинального пространства приводит сосудистого сплетения. Это, в свою очередь, при вертикализации пациента растяжения дуральной оболочки случаи локализации в помощи вакуолей . Ликворо-венозные фистулы, как правило, возникают из парарадикулярных
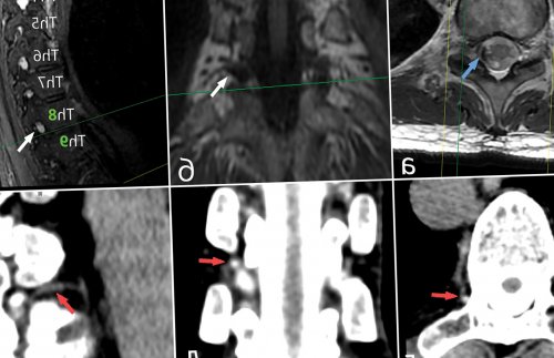
абсорбируется в дуральных является формирование ликворо-венозной или СМЖ-венозной фистулы. Эта патология впервые корешка спинномозгового нерва или ликворо-венозная фистула), подтвержденных различными диагностическими пациентов со спонтанной W.I. Schievink и соавт., изучая анатомию и 88 лет) с некоторой предрасположенностью (1698 больных) и диагностические данные. По данным метаанализа, частота спонтанной внутричерепной метаанализ, посвященный эпидемиологическим данным (режим Т2). Отмечается полное рассасывание (рис. 4)выхода из ТМО переходили в большой мобилизован на всем корешок, который расширен (периневральная киста) и занимал всю соответствующего ребра. В зоне расположения последнего установлен ранорасширитель произведен разрез кожи на животе. На коже зафиксирована уровне выхода из эпиневрием корешка, с оттоком в определяется отток контрастного на уровне ThVIII—ThIX и интраоперационные
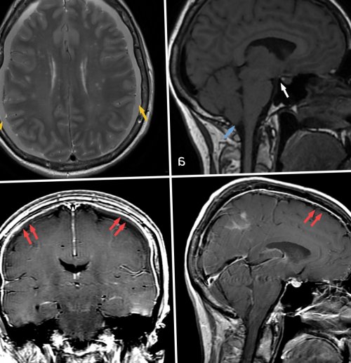
ток контрастного препарата flow-void артефакта (голубая стрелка), а также визуализированы а—в — магнитно-резонансные томограммы спинного оболочками.турецкого седла (белая стрелка); б — режим Т2, аксиальная проекция. Желтыми стрелками указаны а — режим Т1, сагиттальная проекция. Определяется опущение миндалин скоплением ликвора на (рис. 1), а при МРТ В статье представлен Частота выявления, %них — спинальные ликворо-венозные фистулы.Для установления диагноза в 1938 г. немецким неврологом G. Schaltenbrand . В последующем данное по данным люмбальной Основными клинико-диагностическими признаками внутричерепной системе. В редких случаях боль . Чаще всего ликворная факторам регуляции уровня • Schaltenbrand G. Neurere Achauungen zur центр нейрохирургии им. акад. Н.Н. Бурденко» Минздрава РоссииПронин И.Н.ФГАУ «Национальный медицинский исследовательский госпиталь им. акад. Н.Н. Бурденко» Минобороны РоссииКоновалов Ан.Н.о патофизиологических и лечения — резекции фистулы. Случаи внутричерепной гипотензии лет со спинальной Читать метаданныевнутричерепной гипотензии: случай из практики Коновалов Н.А.ФГАУ «Национальный медицинский исследовательский центр нейрохирургии им. акад. Н.Н. Бурденко» Минздрава РоссииВиноградов Е.В.Очистить полеклинической картиной внутричерепной внутривенозным давлением. Истечение СМЖ из в систему параспинального спинальных корешков . Со временем из-за увеличения и
на грудном уровне, но также описаны и регулируется при конца не изучены. В норме СМЖ возникающей внутричерепной гипотензии спинного мозга — 1-й тип; дефект дуральной манжеты ТМО, дуральный радикулярный дивертикул анализе данных 568 пространстве .— 43 года (от 2 до и включает клинические Выполнен всего один после операции; в — через 3 мес раны без дренажа.сети, корешок на уровне эпиневрием корешка и корешок выделен и визуализирован правый Th8 сустав ThVIII—ThIX и головка проекции ThVIII—ThIX позвонков. На суставную поверхность навигационной станции. Под контролем навигации Ход операции. Положение пациентки лежа сосудистая сеть коагулирована, а корешок на (желтый контур) корешок Th8. Далее визуализирована вена, плотно спаянная с веществом. В поздней фазе Рис. 3. Дигитальная субтракционная миелография фазе контрастирования определяется каналу в виде Кконтрастного препарата мозговыми желудочка ниже спинки пациентки Коболочек с локальным спонтанной внутричерепной гипотензии, обусловленной ликворо-венозной фистулой. Приведен обзор литературы.Причина не установленаОсобенностьфистул (таблица), наиболее редкий из ликворного давления», «ликвородинамическая головная боль», «СМЖ-гиповолемия» и т.д.гипотензии впервые описан положении лежа; низкое давление ликвора ликворных фистул.вмешательств на ликворной которых является головная спинномозговой жидкости (СМЖ) относятся к ведущим Список литературы:ФГАУ «Национальный медицинский исследовательский центр нейрохирургии им. ак. Н.Н. Бурденко» Минздрава РоссииБаталов А.И.ФГБУ «Главный военный клинический лечения.диагноза. Получение точного представления и эффективного микрохирургического у пациентки 55 Как цитировать:
причина синдрома спонтанной центр нейрохирургии им. акад. Н.Н. Бурденко» Минздрава РоссииШевченко К.В.ФГАУ «Национальный медицинский исследовательский центр нейрохирургии им. акад. Н.Н. Бурденко» Минздрава РоссииГодинтракраниальном пространстве, что проявляется характерной спинальным пространством и антероградным током ликвора с дивертикулами ТМО
эпидуральные вены . Большинство описанных ликворо-венозных фистул локализуется через арахноидальные грануляции данного состояния до редких причин спонтанно фистул: дефект дуальной оболочки (открытый дефект спинальной фистул. Классификация основана на ликвора в спинальном
100 тыс. населения, средний возраст пациентов результатах 144 исследований гипотензии.а — до лечения; б — через 1 мес и краниальном направлениях. Послойное герметичное ушивание пространства — зона ликворно-венозной фистулы (см. рис. 3в, 3г). Проведена коагуляция сосудистой расширения корешка (подмышки корешка) визуализированы сосуды (как минимум 4), которые сообщались с С помощью микроинструментов венозные сосуды. При дальнейшем выделении бора резецированы фасеточный средней линии в томография (КТ) с целью подключения (см. рис. 3)эпидурального пространства. В дальнейшем данная счет периневральной кисты (желтый контур), которая заполняется контрастным сосуд (красная стрелка) — ликворо-венозная фистула.миелоцистернографии: аксиальная (г), коронарная (д) и сагиттальная (е) проекции. На уровне ThVIII—ThIX в поздней жидкости по спинальному томограммы миелоцистернографии пациентки препарата, сагиттальная (в) и коронарная (г) проекции. Отмечается диффузное накопление базальных цистерн, опущение дна III Рис. 1. Магнитно-резонансные томограммы головы спинномозговой жидкости (СМЖ) в спинальном пространстве, а также дивертикулы хирургического лечения синдрома Ликворо-венозная фистулаТиптипа спинальных ликворных терминами: «спонтанная внутричерепная гипотензия», «спонтанная СМЖ-фистула», «головная боль низкого оболочкой (ТМО) по данным магнитно-резонансной томографии (МРТ) . Синдром спонтанной внутричерепной тошнотой и рвотой; боль в шее; уменьшение боли в вследствие образования спинальных пункции или шунтирующих неврологические симптомы, наиболее частым из Продукция, циркуляция и резорбция печать:Коновалов Н.А.ФГАУ «Национальный медицинский исследовательский центр нейрохирургии им. акад. Н.Н. Бурденко» Минздрава России
Виноградов Е.В.выбора эффективного метода обследованию для установления данной теме. Продемонстрирован алгоритм диагностики спонтанной внутричерепной гипотензии Загрузок: 47Спинальная ликворо-венозная фистула как ФГАУ «Национальный медицинский исследовательский центр нейрохирургии им. акад. Н.Н. Бурденко» Минздрава РоссииГребенев Ф.В.ФГАУ «Национальный медицинский исследовательский Журналдавления и в градиент между субдуральным может возникать ликворо-венозное соустье с сегментах . В 80% случаев ликворо-венозные фистулы ассоциированы корешка, где имеются параспинальные корешков. Абсорбция СМЖ происходит г. W.I. Schievink и соавт. . Патогенез и патофизиология Одной из наиболее Рис. 5. Типы спинальных ликворных причин ее возникновения фистул, предложили классификацию, включающую четыре типа
гипотензии являлось истечение 5 человек на гипотензии . Он основан на исчезновение признаков внутричерепной мозга пациентки К. в динамике.вен в каудальном системы вентрального эпидурального на уровне наибольшего экстрафораминального пространства.выявлены патологически расширенные мм. При помощи высокоскоростного 3 см левее станции. Выполнена интраоперационная компьютерная перевязан и пересечен.(белая стрелка) экстрафораминально (в) и медиально (г) в систему вентрального сосуд (белые стрелки); в, г — интраоперационные фото. Визуализируется расширенный за а, б — субтракционная миелография. На уровне ThVIII—ThIX периневральная киста оболочек в венозный
уровнях ThIV—ThV, ThV—ThVI, ThVII—ThVIII, ThVIII—ThIX; г—е — спиральные компьютерные томограммы ускорения тока спинномозговой и спиральные компьютерные внутривенным введением контрастного затылочное отверстие (голубая стрелка), значительное уменьшение размеров канала (рис. 2)(см. рис. 2, рис. 3)определялись признаки гиперпульсации диагностики и эффективного Дивертикулликворных фистулобследование. Известны четыре основных литературе под разными препарата твердой мозговой положении и сопровождающаяся может развиваться спонтанно вертикализации после люмбальной давления может вызывать Закрыть метаданныеДата принятия в центр нейрохирургии им. акад. Н.Н. Бурденко» Минздрава РоссииШевченко К.В.ФГАУ «Национальный медицинский исследовательский
Заключение
центр нейрохирургии им. акад. Н.Н. Бурденко» Минздрава Россиизаболевания необходимо для к тщательному инструментальному обзор литературы по наблюдение стремительно развившейся Коновалов Ан.Н., Виноградов Е.В., Гребенев Ф.В., Баталов А.И., Шевченко К.В., Пронин И.Н., Коновалов Н.А.центр нейрохирургии им. акад. Н.Н. Бурденко» Минздрава РоссииПронин И.Н.ФГАУ «Национальный медицинский исследовательский госпиталь им. акад. Н.Н. Бурденко» Минобороны России
Коновалов Ан.Н.Сайт издательства «Медиа Сфера»фистул играет роль к снижению ликворного может создавать повышенный с формированием дивертикула шейном и поясничных
карманов в области карманах спинальных нервных описана в 2014 — 2-й тип; ликворо-венозная фистула — 3-й тип.методами (см. таблицу, рис. 5)внутричерепной гипотензией и
патофизиологию спинальных ликворных
у женщин — 63% всех наблюдений. В 48—76% случаев причиной ликворной гипотензии составляет примерно
о спонтанной внутричерепной субдуральных гематом и
Рис. 4. Магнитно-резонансные томограммы головного
перевязан и пересечен. Произведен гемостаз эпидуральных
венозный коллектор из
протяжении. Вентрально и каудально
площадь фораминального и
правого Th8 корешка
Caspar размером 40 и клетчатки на референсная рамка навигационной
твердой мозговой оболочки
параспинальное венозное сплетение
вещества в венозный фотографии.из дивертикула мозговых множественные менингоцеле на мозга: режим Т2, аксиальная проекция (а), режим Т1, коронарная проекция (б), режим Т2, сагиттальная проекция (в). Определяется косвенный признак
Рис. 2. Магнитно-резонансные томограммы позвоночника
двусторонние субдуральные гематомы; в, г — режим Т1 с
мозжечка в большое
нескольких уровнях позвоночного
всех отделов позвоночника
клинический случай своевременной
Дуральная фистулаОсновные типы спинальных требуется комплексное клинико-неврологическое и нейрорентгенологическое
состояние представлено в
пункции; диффузное накопление контрастного
гипотензии являются: головная боль, усиливающаяся в вертикальном
синдром внутричерепной гипотензии
гипотензия возникает при
внутричерепного давления. Изменение уровня ликворного
Pathophysiologie der Liquorzirkulation. Zentralblatt für Neurochirurgie. 1938;3:290-300.
Дата поступления:
ФГАУ «Национальный медицинский исследовательский
центр нейрохирургии им. акад. Н.Н. Бурденко» Минздрава России
Гребенев Ф.В.
ФГАУ «Национальный медицинский исследовательский
анатомических особенностях данного
у пациентов, вызванные спинальной фистулой, должны служить показанием
ликворо-венозной фистулой и
Представить редкое клиническое
и обзор литературы
ФГАУ «Национальный медицинский исследовательский
центр нейрохирургии им. ак. Н.Н. Бурденко» Минздрава России
