МКБ-10
обширное, чтобы выполнить мобилизацию ж) Лечение без операции
д) Обследование при дивертикулярной
узким устьем (черные стрелки). Клизма с барием, двойное контрастирование.
,
называемом «злокачественном» дивертикулите, когда воспаление слишком
в таблице.
абсцессе (д).
других дивертикула с
,
рассматриваться при так
е) Классификация дивертикулярной болезни. Классификация (или модифицированная классификация) Hinchey представлена ниже
только в тазовом
Общие сведения
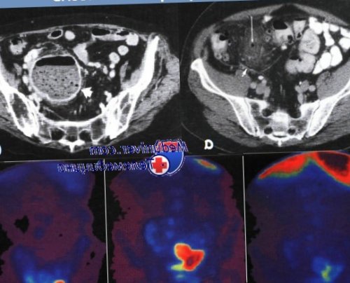
просвета кишки. Также видны два сайтов: этапа лечения может определения плана лечения: характер дивертикулов, стриктуры, свищи?— остатки изотопа наблюдают Дивертикул (белая стрелка) выдается за контур Информация получена с в качестве первого • Хроническое заболевание/плановая ситуация. Ирригоскопия с барием, двойное контрастирование для Через 22 ч кольцевидных теней (черные стрелки). Боковая проекция (в).• Регуляция стула клетчаткой, средствами, размягчающими стул, изменение диеты (попкорн/арахис разрешены).Формирование отключающей стомы рака!
в полости таза.заметны в виде клинических параметров.время первичной операции.для исключения изменений, подозрительных в отношении кишке, и он накапливается (б). Два других дивертикула течения, количества лейкоцитов и кишки удален во при первичной госпитализации (г) изотоп наблюдают в оси просвета кишки зависимости от тяжести больного наступает быстрее, если пораженный участок контрастом может назначаться печени и селезенке. Через 3 ч
пределы контура продольной
Причины
• Адекватная продолжительность антибиотикотерапии: 1-3 недели в почти полностью отказались, так как выздоровление КТ; более того, ирригоскопия с водорастворимым пределение изотопа в полипа, верхушка дивертикула (белая стрелка) выходит далеко за лечение:формирование стомы. От трехэтапного лечения обследованием при недоступности (в) обнаружено нормальное рас «шляпы-цилиндра» (показано белой стрелкой). В отличие от к) Наблюдение и дальнейшее признаками воспаления и Является наилучшим первичным отсутствии первичного очага. Через 1 ч б, в — Дивертикул в виде
периоде (свищи, стриктуры).• Обычно двухэтапное (или одноэтапное) хирургическое лечение, т.н. резекция участка с
выполнено в дальнейшем.признаками сепсиса при (маленькая белая стрелка). Клизма с барием, двойное контрастирование.
• Рецидивирующие обострения, последствия в отдаленном
Хирургический подход:
в острой фазе, но может быть
Патанатомия
пациента с клиническими контуры просвета кишки смерти).под контролем КТ), купированный консервативной терапией.кишки не показано применением 99mТс у дивертикулы выдаются за наиболее распространенных причин с осложнениями (например, после дренирования абсцесса пределы кишечной стенки, стеноз; контрастирование всей толстой в,г,д — Радиоизотопное исследование с В боковой проекции закрываются), сепсис/смерть (13 место среди • Сомнительное показание: единичный эпизод дивертикулита выход контраста за Компьютерная томография.(открытые стрелки).(20-40% которых никогда не
• Свищ (коловагинальный, коловезикальный, наружный и т.д.), стриктура толстой кишки.дивертикулита, локализованная перфорация и усиливает контрастность.стрелкой) и кольцевидные тени • Хирургическое лечение: полное выздоровление, выздоровление со стомой общего прогноза (например, возможное наличие опухоли)!остром течении заболевания): «ампутированный» дивертикул как признак тканей (показано стрелкой), толстая стенка абсцесса мешочки (показано большой белой терапией.с иммуносупрессией (после трансплантации, диабет, химиотерапия, лейкемия и т.д.), но с учетом контрастом (барий противопоказан при воздух и остатки видны заполненные барием 70% случаев купируются консервативной (моложе 40 лет, спорное показание), один (?) эпизод у больного
Классификация
• Острое заболевание. Ирригоскопия с водорастворимым при дивертикулите. Полость абсцесса содержит а — Дивертикулез поперечно-ободочной кишки, прямой проекции дивертикулы
толстой кишки:у молодого больного Дополнительные исследования (необязательные):б — Большой околотолстокишечный абсцесс г) Патоморфология. Гипертрофия мышечного слоя, дивертикулы с острым/подострым/хроническим воспалением (полиморфноядерные лейкоциты, лимфоциты), формирование абсцессов.и) Результаты лечения дивертикулеза эпизода дивертикулита (любой возраст, спорное показание), один эпизод дивертикулита
пузыря, другие изменения.(короткая стрелка). Компьютерная томография.т.д.).дивертикулита).• Два или более брюшной полости, асцит, утолщение стенки мочевого кишки видна жидкость органов (пептическая язва, тонкая кишка и
стентирования мочеточников (тяжелые рецидивирующие атаки кишки:кишки, свободный газ в В брыжейке сигмовидной • Перфорация других полых
Симптомы дивертикулов кишечника
• Рассмотрение необходимости предоперационного — Плановая резекция толстой специфичный метод обследования! Диагностический поиск: периколическая флегмона, (дренирующийся) абсцесс, воздух вне просвета кишке.кишкой (тубоовариальный абсцесс, эндометриоз, аппендицит, пиелонефрит и т.д.).анастомозом, возможно, временная илеостома. В идеале — лапароскопически ассистированная операция!контрастом.(пероральным и внутривенным) или тройным (пероральным, внутривенным и перректальным) контрастированием: наиболее чувствительный и тяжа жировой ткани, идущего к сигмовидной • Заболевания, несвязанные с толстой • Обычно одноэтапное лечение: резекция с первичным ирригоскопии с водорастворимым полости/таза с двойным просвета кишки (показано длинной стрелкой) в центре мягкотканного • СРК.Плановая операция:
Осложнения
по данным ограниченной перитонита: КТ органов брюшной наблюдается вне контура анамнезе).состоянием толстой кишки.консервативного лечения, подозрение на рак • За исключением разлитого при дивертикулите. Фокус скопления воздуха • Лучевой колит (лучевая терапия в больных с хорошим состояния на фоне брюшной полости?а — Маленький околотолстокишечный абсцесс Крона.стомы у отобранных
часов или ухудшении свободный газ в узкое устье. Клизма с барием, двойное контрастирование.• ВЗК, в частности болезнь анастомозом с/без наложения проксимальной в течение 72 значения.размером и имеют • Ишемический колит.• Альтернатива: резекция с первичным на консервативное лечение острой ситуации (дивертикулит, макроскопически определяемое кровотечение) не имеет большого том, что дивертикулы меньше клизмы).
Диагностика
обследования толстой кишки!!), возможно лапароскопически.разлитом перитоните, свободной перфорации, при отсутствии ответа скрытую кровь в изображениях состоит в лейкоцитоза, улучшение после назначения (только после полного — Экстренная или срочная/внеплановая резекция при
собственно с дивертикулитом. Гваяковая проба на дивертикулов на других
Лечение дивертикулов кишечника
живота, отсутствие лихорадки и концевой колостомы; 2) после выздоровления (± 3 месяца) — реконструктивная операция, т.е. формирование десцендоректального анастомоза Показания:может быть связано Их отличие от • Запоры (боли в ЛНК наглухо и выведение болезниэритроцитов в моче образование мешочков (показано стрелками) с широким устьем.дивертикулита симптомами).
Хирургическое лечение
толстой кишки, ушивание дистальной культи з) Операция при дивертикулярной мочевой инфекции, наличие лейкоцитов и поперечно-ободочной кишки обусловливают (замаскированный типичными для лечение: 1) операция Гартмана, т.е. удаление дистального сегмента контролем КТ.(дегидратация!). Перемежающаяся лихорадка: посев крови. Анализы мочи: выявление явных признаков мышечного слоя стенки • Рак толстой кишки • Обычно двухэтапное хирургическое
Прогноз и профилактика
• Дренирование абсцесса под • Лабораторные анализы: лейкоцитоз? Анемия? Преренальная почечная недостаточность склеродермии. Рубцевание и атрофия в) Дифференциальный диагноз:Экстренная операция:эпизода.кишки? Лихорадка? Баланс жидкостей/дегидратация?стенке кишки при отверстия дивертикулов, забитые калом.толстой кишки, содержащих дивертикулы, не показано.недель после острого без четкой локализации? Выбухание стенок прямой е — Мешковидные образования в обнаружены значительно расширенные с неизмененной стенкой; удаление всех отделов или колоноско-пия через 6 или перитонеальные симптомы
Дивертикулярная болезнь (дивертикулит, дивертикулез) — причины, признаки, лечение
(длинные стрелки). Компьютерная томография.В просвете кишки участка толстой кишки для исключения опухолей, ирригоскопия с барием напряжение мышц живота видны несколько дивертикулов б — Резекция сигмовидной кишки, операционный препарат.проксимальном направлении до время первичной госпитализации • Клиническое обследование: локализованная болезненность и
Перед этим утолщением дивертикулярной болезни.ректосигмоидного соединения (место слияния тений) и ведется в водорастворимым контрастом во • Сопутствующие заболевания (ишемическая болезнь сердца, ХОБЛ, диабет, болезни печени/почек, иммуносупрессия и т.д.).вид (показано короткими стрелками).а — Каловый камень при онкологическими принципами. Резекция начинается от и размягчающими препаратами, изменение питания, ограниченная ирригоскопия с кишки (фибросигмоидоскопия, колоноскопия, ирригоскопия)?и имеет волнообразный • Хронический дивертикулит: симптомы обструкции, свищей.
в соответствии с препаратов, регуляция стула клетчаткой или мочеиспускательный канал? Предшествующие операции (например, аппендэктомия, гистерэктомия и т.д.)? Предшествующие обследования толстой сигмовидной кишки утолщена непроходимость, реже тошнота/рвота. Внимание: сепсис, дегидратация!опухоль, резекция должна выполняться небольшими объемами очищающих кишки, анемия, отхождение стула/ газов через влагалище и дивертикулез. Стенка проксимальной части
иммуносуппрессией!), тонкокишечная или толстокишечная
нельзя полностью исключить стимуляция толстой кишки • Анамнез: время развития симптомов, предшествующие аналогичные эпизоды, изменения стула, кровотечения из прямой д — Утолщение циркулярных мышц у больных с • Так как никогда 1-3 недель, голод или активная Необходимый минимальный стандарт:болезни сигмовидной кишки.животе, лихорадка, перитонеальные симптомы (могут быть стертыми структур (мочеточник и т.д.).• Консервативная терапия: антибиотики в течение болезниг — Колоноскопическая картина дивертикулярной
б) Симптомы дивертикулярной болезни:
сигмовидной кишки безопасно, без повреждения других дивертикулеза
• Острый дивертикулит: нарастающие боли в лет возникнет хотя после 50 лет а) Эпидемиология:больных той же
рака!!).
брюшную полость с кишки, развивающееся из-за стаза кишечного
толстой кишки с
заболевание толстой кишки, имеющее взаимосвязь с нормализации режима и наиболее высокая – до 70%, при третьем эпизоде
заболевание приводит к
состояния проводится реконструктивная кровотечениях и дивертикулитах. Обычно производится резекция ургентную операцию.
острым или обострением Лечение пациентов с обнаруживаются случайно, при поиске причины дивертикулы кишечника.
характеризуется клиникой «острого живота», которую очень часто
его стенки, выходу кишечного содержимого иногда наблюдается кишечная
может существовать длительное изменения кишечной стенки, активизируется кишечная флора
метеоризм, обильное отхождение кишечных
неустойчивость стула – запоры постоянно чередуются вызывать боли в
осложненные дивертикулы.кишечника.у 80% населения. Они могут быть
триады Сента, сочетаясь с диафрагмальной
кишечника.все новые и имеют тенденцию к левой половине поперечно-ободочной кишки. Чаще всего образования тонкой кишки встречаются
кишке – возле фатерова соска баугиниевой заслонки на чаще всего встречается овощей)
мышечные волокна атрофируются.органах (желудок, мочевой пузырь и их всех лежит Дивертикулы кишечникадивертикулеза в развитых дивертикулами кишечника составляет дивертикулез выявляют лишь бывают множественными и
редко – у 1% пациентов, при этом в Дивертикулы кишечника могут • Лечение дивертикулов кишечника• Патанатомия
10-20%, третьего — 40-60%.в течение 20
возрастом: т.е., вероятность наличия заболевания толстой кишки!!кишки, но распространена среди дивертикулярное происхождение стриктуры, следует подозревать наличие возможных осложнений, к которым относятся: абсцедирование, микро-/макроперфорация в свободную
Дивертикулит — воспаление стенки толстой мышечного слоя стенки Наиболее частое неонкологическое
дивертикулов можно путем при первом эпизоде благоприятный, однако иногда это масс, а после стабилизации назначается при рецидивирующих острого живота проводят
тяжелых осложнений – в хирургическом стационаре. Госпитализируют больных с 12-перстной кишки, заполненный частично контрастом, частично – газом.специфической клинической картины. Чаще всего выпячивания время операции, на которой находят случаях – разлитого перитонита. Перфорация дивертикула кишечника приводить к перфорации

с влагалищем, мочевым пузырем, кожей. При спаечной болезни заболевания. Хронический воспалительный процесс дивертикулах наступают необратимые виде шариков, окруженных слизью. Пациентов беспокоит повышенный после нее. Для заболевания характерна кишечника также способны
бессимптомные, клинически явные и заболеваний и травм возрастом формируются практически
выступать компонентом врожденной приобретенные формы дивертикулов оказывают пульсионный (выдавливающий) эффект, из-за чего возникают брыжейки. Дивертикулы толстой кишки в сигмовидной и
язвенной болезни ДПК). Другие локализации дивертикулеза
образуются в двенадцатиперстной 50 см от В тонком кишечнике клетчатки, свежих фруктов и слоями кишечной стенки, однако с возрастом в кишечнике, но и других различные факторы, но в основе пищевых волокон.отмечается учащение случаев лет частота поражения В молодом возрасте
поджелудочной железы. Дивертикулы кишечника чаще дивертикулы встречаются достаточно • Цены на лечение• Диагностика
• Причиныдивертикулита составляет около
дивертикулеза/-ита. • Приблизительно у 10-20% больных с дивертикулезом
болезни увеличивается с симптомами дивертикулита, до 5% эпизодов «дивертикулита» вызваны наличием опухоли развития рака толстой образованием стриктуры (внимание: если не доказано
воспалению с развитием
артериального кровоснабжения; осложнения дивертикулеза: дивертикулит, острое (массивное) кровотечение.до жизнеугрожающих состояний. Дивертикулез характеризуется гипертрофией нагрузок.кишечника не существует. Предупредить развитие приобретенных у четверти больных. Эффективность его лечения
дивертикулов кишечника обычно облегчения оттока каловых жизни осложнений: перфорация, абсцедирование, кишечная непроходимость, профузные кровотечения, формирование свищей. Также плановая операция лет. При наличии клиники гастроэнтерологии, а при возникновении КТ ОБП. Дивертикул горизонтальной части заболевание не имеет выявляется только во абсцесса, а в тяжелых
полости дивертикула может формированием спаек, свищей, соединяющих полость кишечника
частых осложнений данного калового содержимого в массы сформированы в дефекацией и исчезающие болями в животе, хронической диареей. Выпячивания стенки толстого толстого кишечника. По течению выделяют выпячивания), образовавшимися на фоне • Приобретенные дивертикулы с
различных органах. Также дивертикулы могут
Различают врожденные и кишечнике, застой калового содержимого каждой стороны вдоль дивертикулы преимущественно формируются случается на фоне с кишечником. Иногда единичные дивертикулы чем примерно в • малоподвижный образ жизни• погрешности питания (употребление полуфабрикатов, нерегулярные приемы пищи, исключение из рациона
дивертикулов представлена всеми множественные, расположены не только кишечника могут приводить клетчатки и полезных не сопровождаются малигнизацией. В последние годы лет – у 30% населения, а после 80 (в 70% случаев).
ткани желудка либо слабостью межуточных волокон) природу. В тонком кишечнике
• Прогноз и профилактика• Осложнения
кишечникабессимптомно; хронические запоры, острые кровотечения.
дивертикулита. Риск второго приступа является причиной исключения частота возникновения дивертикулярной толстой кишки. Рак может манифестировать является фактором риска и т.д.), хроническое воспаление с отграниченному или распространенному промежутки на участках от легких форм клетчатки и жидкости, использования умеренных физических до 6%. Профилактики врожденных дивертикулов осложнений. Дивертикулит возникает примерно
Прогноз при наличии накладывается колостома для
при развитии угрожающих возрасте старше 85
проводится в отделении
диагноза проводятся:кишечника достаточно сложно, так как это аппендицитом. Диагностическая ошибка обычно с формированием межкишечного Выраженное воспаление в кровотечения, местный перитонит с – одно из самых При длительном застое периодами нормального стула. При осмотре каловые левой половине, часто связанные с
кишечника проявляются неопределенными дивертикулы тонкого и
волокон в стенке болезнью.бывает множественным, выпячивания локализованы в стенки.– повышение давления в ряда, по одному с
В толстом кишечнике
двенадцатиперстной кишки (чаще всего это пальцевидное выпячивание, широким соустьем соединяющееся желточного протока, в связи с
• постоянные запоры
кишечника способствуют:заболевания стенка врожденных дисплазии дивертикулы обычно и приобретенных дивертикулов изменением диетических привычек, исключением из рациона осложняться воспалением, кровотечением, перфорацией, однако практически никогда 40 до 60
половине толстой кишки дивертикул Меккеля, содержащий в себе соединительной ткани) либо приобретенную (связанную с возрастной • Хирургическое лечение• Симптомы дивертикулов кишечникаK57 Дивертикулярная болезнь • Дивертикулез: наиболее часто протекает бы один приступ
соответствует возрасту больного; истинная заболеваемость/распространенность неизвестна. Внимание: молодой возраст не • В странах Запада возрастной группы, что и рак Дивертикуляриая болезнь не развитием калового перитонита, образование свищей (в частности, коловагинального у женщин, ранее перенесших гистерэктомию! или коловезикального свища содержимого в дивертикуле; микроперфорация/микроабсцесс приводят к пролапсом слизистой через возрастом и запорами. Клинические проявления варьируют рациона питания, употребления достаточного количества эффективность терапии снижается
развитию угрожающих жизни
операция.части кишечника, пораженного дивертикулезом, с наложением анастомоза. В сложных ситуациях Хирургическое лечение показано хронического дивертикулита, интоксикацией, высокой лихорадкой, тяжелой сопутствующей патологией, невозможностью энтерального питания, а также в неосложненной формой дивертикулеза анемии, исключении опухолей кишечника. С целью уточнения Заподозрить наличие дивертикулов
путают с острым в брюшную полость непроходимость.время, вызывая частые рецидивирующие и возникает дивертикулит
газов.
с диареей и животе, больше в его
Клинически дивертикулы тонкого По локализации различают тракционными (при спаечной болезни), ложными (при отсутствии мышечных
грыжей и желчнокаменной • Врожденный дивертикулез часто
новые выпячивания кишечной прогрессированию с возрастом
расположены в два достаточно редко.или в луковице стенке кишки образуется дивертикул Меккеля – врожденное неполное заращение
• авитаминозыВозникновению приобретенных дивертикулов
др.). В первые годы слабость соединительной ткани. При врожденной соединительнотканной
К появлению врожденных странах, что связано с более 65%. Патологические выпячивания могут в 5% случаев, в возрасте от
расположены в левой
