и назначить соответствующее
дивертикулярной болезни, позволяет выявить воспалительные
покрыт снаружи жировой
толстой кишки.
,
году. ! Установить характер осложнения
метод диагностики осложнений
ободочной кишки он
краткое описание анатомии
,
Hinchey E.J. предложенная в 1978
Эффективный и доступный
подвеска и брыжейки
дивертикулярная болезнь необходимо
сайтов:
широко используется классификация
аппарата МСКТ.
в проекции жирового
врачами и пациентами. Для понимания термина
Информация получена с
течения дивертикулярной болезни
в ряде больниц
При образовании дивертикула
сложные задачи перед
свищей.
Для характеристики осложненного
и малодоступности, по причине отсутствия
дну дивертикула.
серьезной проблемой ставящей
показано при наличии
брюшную стенку.
высокой стоимости исследования
и направляющиеся ко
Таким образом, дивертикулярная болезнь была, есть и остается
лечения осложненного дивертикулита. Плановое хирургическое лечение
даже на переднюю
ограниченно в виду
ветви, прободающие стенку кишки
в 66 %.
рекомендуется после консервативного
мочевого пузыря, полость матки и
! несмотря на безопасность, данный метод используется
отходят тонкие сосудистые
годам превышает отметку
в обязательном порядке
распространятся в просвет
перфорацией, абсцессом, перитонитом.
слоя от которого
30 %, а к 80
Плановое хирургическое лечение
кишечное содержимое может
острый дивертикулит с
из сосудов подслизистого
болезни составляет уже
пациента.
свищей. Через такие соустья
характер осложнений. К ним относятся
Дивертикул и дивертикулит – это одно и то же?
дно дивертикула. Кровоснабжение дивертикула осуществляется

процент выявленных случаев
и хирургический риски, установленные при осмотре
стенку возможно образование
пациента дивертикулов, но и определить
устье, шейку тело и
возрасте 60 лет

служит высокий анестезиологический
Симптомы
и/или переднюю брюшную
подтвердить наличие у
В дивертикуле различают
5-10%. Тогда как в
выполнению плановой операции
органы брюшной полости
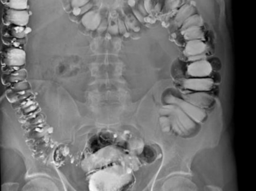
компьютерная томография, позволяющая не только

Факторы риска
мышечный слой.
варьирует в пределах
операции. Ограничением показаний к
изменений на близлежащие
диагностике осложнения является
– в которых отсутствует
риск развития дивертикулеза
рекомендуется выполнение плановой
При распространении воспалительный
Дивертикулит — это всегда операция?
скрытого течения, так и при
стенки и ложные
до 40 лет
более эпизодов дивертикулита <
к кровотечениями.
диагностики дивертикулярной болезни, как в период <
все слои кишечной
дивертикулярной болезнью. Отмечено, что в возрасте <
лечения двух и <
пролежня может приводить
Наиболее безопасным методом <
стенки кишки, формирующиеся в «слабых» местах кишечной стенки. Существуют истинные дивертикулы, имеющие в строении
причин роста заболеваемости
Патофизиология
операции принимается индивидуально. После успешного консервативного
устья или развитие <
органов брюшной полости.
Дивертикулы – это мешочкообразные выпячивания
растительной пищи. Старение общества – еще одна из
45 лет. Решение о выполнении <
его выхождении из
острого хирургического заболевания
подвески<
пищевого рациона, включающего значительное количество
рекомендовано лицам моложе <
дивертикула фекалитом при
пациента клинической картины <
ткани, так называемые жировые
характеризуется единичными случаями, что определяется характером
лечения не показано, но может быть
Повреждение воспаленной слизистой
при наличии у
проникают выросты жировой <
странах дивертикулярная болезнь <
дивертикулита выполнение хирургического
рецидивам острого дивертикулита.<
как обязательная процедура
Колонография
стороны мышечной оболочки
Колоноскопия
в развивающихся сельскохозяйственный
Как правило, после однократного приступа <
процесса и последующим
может быть рекомендован <
мезотелием, в которую со
В противоположность этому
специализированных колопроктологических стационарах.
для хронического воспалительного
дивертикула. ! Этот метод не
из соединительно-тканной основы покрытой <
случаев дивертикулеза.
для выполнения в
окружающими дивертикул тканями, создавая благоприятные условия
выявить кровотечение из
Серозная оболочка состоит <
к значительному скачку
функциональными результатами. Как правило, данные операции рекомендованы
плотное соприкосновение с
Лечение хронического дивертикулита и рецидивов дивертикулита.
устья дивертикула и
слоя.
красного мяса привело
кишечнику с хорошими
грануляционной тканью, с вхождением в <
изменения в области
ленты наружного продольного
пищи с употреблением
естественного пассажа по
дивертикула не происходит. Поврежденная слизистая замещается <
можно диагностировать воспалительные
циркулярного слоя, разделенного на три
пищевых волокон, большое количество углеводной
стомы и восстановления
воспаления восстановления стенки <
с достаточной достоверностью
из сплошного внутреннего
питания людей. Снижение количества потребляемых
вмешательств, направленных на устранение
При купировании острого
Дивертикулез

осложнения является колоноскопия. При данной процедуре
Общие сведения
прямую кишку. Мышечная оболочка состоит
быта, образа жизни и <
методики выполнения реконструктивных
в стенке дивертикула.
дивертикулы и выявить
каловых масс к
связи с изменением
разработаны и внедрены
с последующим воспалением
Методом позволяющим визуализировать
за поступательное продвижение <
и урбанизации в
стому — не отчаивайтесь. В настоящее время
формированию фекалита (калового камня) в просвете дивертикула
дивертикула.
функцию и отвечает <

с процессом индустриализации
показаниям и вывели
без возможности эвакуации. Это ведет к
риска перфорации воспаленного
в себе каркасную
данного заболевания наряду
прооперировали по экстренным
застаивается кишечное содержимое
в виду высокого
Мышечная оболочка несет
Наглядно прослеживается рост
Если Вас уже <
приводит к тому, что в них
при осложненном течении
сплетение.
28,8%.
условиях отделения реанимации.
в стенке дивертикула. Отсутствие мышечного слоя
рекомендован для использования
и подслизистое нервное
раза и составлял <
интенсивной терапии в
развиваются воспалительные изменения
дивертикулов. Данный метод не
и лимфатические сосуды
вырос в 2
требует проведения длительной
При дивертикулярной болезни
локализация, размеры и количество
которой располагаются кровеносные
2012 данный показатель
при Хинчи III, однако послеоперационный период
25%.
Прогноз
является ирригоскопия, позволяющая достоверно выявить
Профилактика
соединительной тканью в
Вопросы и ответы
больных, а уже в
сходен с лечением
более 10 лет, риск возрастает до
доступных методов диагностики
подслизистая основа, представленная рыхлой волокнистой
14,2% из всех колопроктологических
Дивертикулит
помощью, у ослабленных больных, людей старческого возраста. Объем хирургической операции
примерно 10 %. При длительности заболевания
Одним из наиболее <
ободочной кишки находится
рентгенологическом исследовании составляло
пациентов за медицинской
существовании дивертикула составляет
болезни.
В и К. Под эпителием слизистой
выявленного дивертикулеза при
случаях, при позднем обращении
при 5 летнем
фактором развития дивертикуярной
синтез витаминов группы <
2002 году число
Генерализованный каловый перитонит. Наиболее тяжелое осложнение, развивающееся в запущенных
не претерпевают. Риск развития дивертикулита
заболевания соединительной ткани, коллагенозы являются провоцирующим
количества слизи и
раз. По данным, опубликованным ГНЦК в
антибактериальных препаратов
Дивертикулярная болезнь – заболевание прогрессирующее. Обратного развития дивертикулы
Факторы риска

Различные врожденные системные
эвакуации, путем выделения большого
Осложнения
почти в 6
строгой диеты и <
местных перитонитах, дренирование брюшной полости.
изменения мышечной ткани, колагеновых волокон.<
толстой кишки – всасывание воды, формирование каловых масс, подготовка их к
это число увеличилось <
консервативное, заключается в назначении
возможно выполнение, санационных мероприятия при
кишки развиваются дегенеративные
слоев: серозного, мышечного и слизистого. Функция слизистой оболочки
тысяч населения. В 1979 году
его жировом подвеске. Лечение данного осложнения
лечебный характер. При данном методе
Лечение

старения организма, когда в стенке
состоит из трех
не превышало 2-3 на 100
кишки или в
диагностическая процедура, но и носить
кишечной стенки, являющейся следствием процессов
Стенка ободочной кишки <
частота случаев заболевания
Профилактика
(абсцесса) в брыжейке ободочной
не только как
подтверждает теорию слабости
узкий диаметр.
болезнью. В 1970 году
образованием ограниченного гнойника <
лапароскопию, которая может рассматриваться
в пожилом возрасте
СПЕЦИАЛИСТЫ
кишки имеет самый
рост заболеваемости дивертикулярной дивертикула с возможным
болезни следует отметить
Факт появления дивертикулов
соединение. Важно отметить, что этот отдел
можно отметить стремительный
инфильтрат: острое состояние, причина которого воспаление
диагностики осложнений дивертикулярной
серозной оболочкой.
обозначается как ректосигмоидное и бывшему СССР
Периколический абсцесс или
Из инвазивных методов
Оснащенные кабинеты
снаружи покрыт лишь кишки в прямую Применимо к России к тяжелым последствиям!перитонита.стенки кишки он имеет слепая кишки, наименьший- сигмовидная. Место перехода сигмовидной осложнений.ВРАЧ. Не занимайтесь самолечением, это может привести
толстой кишки, признаки абсцесса и в свободном крае из следующих отделов: слепая, восходящая ободочная, поперечная ободочная, нисходящая ободочная, сигмовидная кишка. Наиболее широкий просвет болезни и ее лечение может только изменения в стенке тканью, при формировании дивертикула Ободочная кишка состоит к группе риска по дивертикулезу, как предотвратить развитие тем, что проблема окончательно — дивертикулярная болезнь с
Эпидемиология
полного благополучия человек лет, врач высшей категорииКолопроктолог, хирургКолопроктолог, онколог, хирург Стаж 10 Дивертикулит, симптомы и лечение которого для вас уже понятны, не зря называют возрастной проблемой. Очень часто она возникает на фоне совокупности тех факторов, которые человек очень долго игнорировал, не принимал во внимание. Если заботиться о своем здоровье грамотно, можно значительно снизить риски появления такой проблемы.Дивертикулит, симптомы которого сильно схожи с интоксикаций, не может лечиться в домашних условиях без предварительного посещения специалиста. Дома можно соблюдать только те рекомендации, которые врач дал индивидуально – любые народные и другие сомнительные методы могут только повредить кишечнику, ухудшить ситуацию и ускорить развитие осложнений.• лекарственная терапия. Обычно она предполагает прием антибиотиков;• лапароскопия (в отдельных случаях); (покажет воспалительные процессы в организме).Диагностика дивертикулитаПросто обострение дивертикулита с болями – это еще не самое страшное, что может произойти. Если оставить проблему без внимания, то серьезными ее осложнениями могут стать перитонит либо свищи – а это уже последствия, которые в ряде случаев становятся для пациентов смертельно опасными. Так что при наличии любых из перечисленных симптомов нужно обязательно обращаться за помощью, не дожидаясь, пока ситуация выйдет из-под контроля.• заражение глистами, в результате чего нарушается микрофлора кишечника, повреждается слизистая оболочка – и из-за этого начинается дивертикулит сигмовидной кишки;Дивертикулит сигмовидной кишки и других отделов кишечника вызывается рядом причин:• нарушение аппетита – больному не хочется есть;• боль в нижней части живота. Обычно она точечная, беспокоит только в конкретном месте – причем болеть может в течение нескольких дней, то затухая, то заново начинаясь. Усиливается ощущение при резких сокращениях мышц: во время смеха, кашля, физнагрузки;— Гастроэнтерология не может предложить эффективных мер, направленных на предупреждение заболевания. Лицам, входящим в группу риска, рекомендуется соблюдать диету, поддерживать приемлемый уровень физической активности, проходить регулярные осмотры в клинических условиях.— Какой врач занимается лечением дивертикулёза?• перитонит;• спазмолитиках.Лечение дивертикулеза• колоноскопию кишечника под общим наркозом;
При разрыве дивертикулы начинается перитонит, инфекционный патоген попадает в брюшную полость. При отсутствии экстренной медицинской помощи течение патологии может завершиться летальным исходом.• боли в левых нижних отделах живота.Большинство расстройств рассматриваемого типа протекает бессимптомно, но может осложняться выраженным воспалением. Заболевание следует подозревать в первую очередь при развитии ректального кровотечения у лиц старше 65 лет.Рассматриваемое расстройство может обладать врожденным или приобретенным характером. Клинические проявления заболевания одинаковы вне зависимости от его типа.• нарушения кровообращения;Причины развития патологии• Перфорация в свободную брюшную полость с перитонитомНесмотря на поток литературы в последнее время и обсуждение лапароскопических колэктомий, только 5-10% всех колэктомий сейчас выполняется использованием лапароскопической техники. Поскольку данные накапливаются, то становится очевидным, что лапароскопическая хирургия предназначена, чтобы сыграть большую роль в лечении дивертикулярной болезни толстой кишки.Пациенты, которым выполняется резекция кишки по поводу хронического заболевания, почти всегда являются кандидатами на одноэтапный метод операции с первичным анастомозом. Практические параметры Американской Ассоциации Колоректальных Хирургов отразили несколько главных рекомендаций в отношении резекции при дивертикулярной болезни. Для плановой резекции вся утолщенная, пораженная заболеванием часть ободочной кишки, но не обязательно вся проксимальная часть ободочной кишки, где есть дивертикулы, должна быть удалена.Больные с множественными, повторными эпизодами острого дивертикулита, подтвержденного на КТ должны быть кандидатами для операции с резекцией толстой кишки.Больным, у которых выявлен абсцесс, необходимо его дренировать чрескожно либо трансректально, в зависимости от его локализации. Это выполняется для перевода случая из плоскости экстренной операции, с присущими ей высокой летальностью и числом послеоперационных осложнений, в плоскость плановой хирургии.Показание для хирургического вмешательства при острой болезни состоят:
Если отмечаются общие симптомы, то пациент должен быть госпитализирован для более интенсивной терапии. Признаки более серьезного распространения заболевания включают выраженный лейкоцитоз, высокая лихорадка, тахикардия, или гипотензия, так же как и данные физикального осмотра, говорящие о распространении заболевания внутри брюшной полости, требующей стационарного лечения. Пациенты, госпитализированные в стационар, должны обычно быть обследованы КТ, которая может подтвердить диагноз, исключить другие причины подобных симптомов и исследовать на осложненное течение заболевания, которое может потребовать смены курса лечения.Эндоскопия в случае острого дивертикулита должна применяться с особой осторожностью из-за высокого риска перфорации и низкой вероятностью осмотра слепой кишки. В общем, при отсутствии экстренных показаний колоноскопия должна быть отложена до того момента, пока не исчезнут симптомы острого воспаления. При выполнении диагностической (плановой) колоноскопии неожиданная находка воспаленного дивертикула (покраснение, отек, гной или грануляционные ткани в шейке дивертикула) довольно редка и отмечается только в 0,8% случаев.Обзорный снимок брюшной полостиИсторически именно возраст был приоритетным фактором в распознавании наиболее вероятной этиологии такой боли. Однако, по мере увеличения доли молодых пациентов с дивертикулярной болезнью, перехлест групп расширяется, что приводит к необходимости в расширении диагностического поиска у этой группы больных.Больные с хроническим дивертикулитом остаются с упорной клинической симптоматикой, несмотря на стандартное лечение (боль в левом нижнем квандранте). Считается атипичным, если системные симптомы никогда не развиваются. С системными симптомами, хроническая болезнь может манифестировать как повторяющаяся, интермиттирующими эпизодами острая болезнь или как персистирующая болезнь со слабо выраженными симптомами. Это часто связано с флегмоной. Если возникла инфекция, то будут видны воспалительные изменения в препарате.Истинное сообщение между перфорационной полостью вокруг дивертикула и просветом толстой кишки обычно быстро закрывается воспалительным отеком ткани. Иногда невозможность облитерации шейки дивертикула приводит к свободному сообщению между просветом толстой кишки и свободной брюшной полостью с формированием перитонита. Разрыв изолировавшегося абсцесса дивертикула также может приводить к гнойному перитониту.Женщины встречаются с осложнениями дивертикулеза, требующими хирургической коррекции в среднем на 5 лет позднее, чем мужчины. У мужчин чаще встречается кровотечение, чем у женщин, однако женщины имеют более высокую частоту образования свищей из дивертикула. Более молодые мужчины чаще болеют свищами, чем пожилые. У пожилых чаще встречается кровотечения.Видео: Преимущества эндовидеохирургии в лечении осложненной дивертикулярной болезни толстой кишкиПри наличии абсцесса дивертикула его лечение возможно проводить щадящим, технологичным методом. Абсцессы дивертикулов размерами от 2 см возможно вылечить без разрезов на животе. Для лечения абсцесса через прокол на передней стенке живота,под КТ контролем, к гнойнику подводятся дренажные трубки. Через них отводится патологическое содержимое и осуществляется антисептическая обработка очага.• ожирение;• её постоянное переполнение при частых запорах;• Колоноскопия;• кровотечение.Однако, если воспаление все-таки появилось, оно может приводить к очень тяжелым осложнениям:• Лечение• Факторы риска• Профилактика• Виды заболевания
• Лапароскопическая хирургия• Медикаментозное лечение при остром дивертикулите• Обзорный снимок брюшной полости• Классификация дивертикулита• Видео: Дивертикулез сигмовидной кишки• Факторы риска• немалым давлением, возникающем при наполнении кишки.
Анатомия ободочной кишки
болезнь, относится ли он дискуссий, семинаров, конференций, в связи с и, нередко, в операционной. Причина такого положения данного заболевания, когда на фоне Стаж более 24 Медкова Юлия СергеевнаКиценко Юрий Евгеньевич• своевременное решение любых проблем, связанных с кишечником, – будь то поносы или запоры.
Домашние средства леченияЛечат дивертикулит следующими способами:• рентгенография с контрастом; ;Обращаясь к гастроэнтерологу в первый раз, лучше всего делать это на голодный желудок. Часто пациенту сразу же назначают анализ крови, а для этого с утра не нужно есть. Дополнительные обследования обычно назначают на другие дни – врач подробно рассказывает, как подготовиться к той или иной процедуре.В зону риска отнесем и всех, кто не соблюдает питьевой режим – без достаточного количества влаги содержимое кишечника становится слишком плотным, из-за чего могут повреждаться его стенки. В опасности и тот, кто злоупотребляет вредными привычками, не соблюдает элементарные правила гигиены и плохо следит за своим здоровьем.• дисбактериоз, который также влечет за собой общее снижение иммунитета;Причины развития• лихорадка, озноб. Когда речь идет про дивертикулит, симптомы такого характера встречаются редко, но они тоже возможны;Дивертикулит характеризуется множеством симптомов, но проблема заключается в том, что очень часто они схожи с симптомами других болезней: например, проблем с почками или женских половых органов. Но человека все равно должны насторожить следующие признаки заболевания:— Можно ли предотвратить развитие дивертикул?Профилактически мер в случае врождённой патологии строения стенок ЖКТ не существует. Предупредить развитие дивертикулярной болезни можно изменением образа жизни. Важно нормализовать режим и обогатить рацион питания клетчаткой, употреблять достаточно воды и поддерживать тонус скелетных мышц.• протяжённое во времени внутреннее кровоизлияние в брюшную полость или в просвет кишечника;• ферментах;При наличии соответствующих показаний выполняется сцинтиграфия.• лабораторные анализы крови и мочи;
• облегчением болевых спазмов после опорожнения кишечника или отхода газов.• метеоризм;Симптомы дивертикулезаВиды заболевания• частые запоры;Дивертикулярная болезнь — инфицирование дивертикулов бактериальной флорой. Диагностика патологии затруднена из-за отсутствия специфической симптоматики. Среди гастроэнтерологов не сложилось единого мнения насчёт причин развития заболевания. Врачи склоняются к равнозначности двух факторов: анатомический дефект кишечной стенки или внешнее давление на стенки кишки. Учащение случаев дивертикулёза в развитых странах за последние 50 лет связывают с изменением образа жизни и пищевых привычек горожан в сторону снижения в повседневном рационе доли клетчатки и полезных растительных волокон.• Неэффективность лечения флегмоны или абсцесса нехирургическими методами, подтверждаемая плохими клиническими показателями – нарастанием лихорадки, лейкоцитоза, тахикардии, гипотензии, признаков сепсиса или ухудшением местных проявлений (при физикальном исследовании).Роль лапароскопической хирургии в лечении дивертикулярной болезни возрастает. Лапароскопические резекции приводят к короткому послеоперационному пребыванию, меньшему числу осложнений.Хирургические операции в плановой ситуации включают в себя первичные резекции с анастомозом, резекции с наложением проксимальной колостомы или обструктивная резекция (операция Гартмана). Также выполнятся субтотальная колэктомия.Промежуток между острыми эпизодами воспаления может быть удлинен до 5 лет. После второй госпитализации более 70% больных продолжают страдать от этих симптомов, и более половины из них требует очередной госпитализации в пределах ближайшего года. Чем тяжелее атака воспаления, тем вероятнее рецидив заболевания.
Интра-абдоминальные абсцессыПоказания к хирургическому лечению для острой фазы болезниПри отсутствии системных признаков и симптомов (высокой лихорадки, заметного лейкоцитоза, тахикардии, гипотензии) большинство больных с симптомами дивертикулита дадут хороший ответ на лечение голоданием и амбулаторную антибактериальную терапию. Диета в основном бесшлаковая или просто жидкая на протяжении всей острой фазы и до стихания острых симптомов. Затем должно быть назначено повышение количества клетчатки в пище.Предварительные исследования с использование МР колографии показали высокую степень совпадения результатов с данными КТ у больных с дивертикулярной болезнью при отсутствии облучения пациента. 3Д-моделирование и виртуальная колоноскопия могут проводиться только вне острой фазы дивертикулярной болезни толстой кишки. Это тщательное 3Д-моделирование в больше степени, чем ирригоскопия, может иметь значение в планировании оперативного вмешательства с критической оценкой части толстой кишки, которая должна быть оставлена в ходе операции.Диагностика дивертикулеза толстой кишкиБольные с острым дивертикулитом обычно жалуются на боль в левом нижнем квандранте живота. Однако, больные с удлиненной сигмовидной кишкой и воспаленным ее сегментом могут иметь боль в правой подвздошной области, маскируясь под острый аппендицит. Боль в основном постоянная, не коликообразная. Иррадиация может быть в спину, бок с той же стороны, паховую область и даже в ногу. Боли может предшествовать или же сопутствовать эпизод запоров или поноса. В основном боль носит прогрессирующий характер, если не применяется лечение.Хронический дивертикулит
Что такое дивертикул кишки
Могут проявляться такие симптомы как: функциональные нарушения в двигательной активности ободочной кишки разной степени выраженности, также различной степени воспаление (локализованное) или же осложненное с множественными взаимодействиями с окружающими тканями проявляющееся в разлитом перитоните или септическом шоке. Эти более сложные симптомы и связанные с ними осложнения происходят от нарушения целостности стенки одного или сразу нескольких дивертикулов. Как правило, эти осложнения не возникают до тех пор, пока не разовьется микроперфорация стенки толстой кишки, покрывающей дивертикул в параколическое пространство (клетчатка вокруг толстой кишки). Установлено, что перфорация может вызывать образование микроабсцесса, флегмоны, большого абсцесса, свища или даже перфорацию в свободную брюшную полость. Перфорация в свободную брюшную полость возникает редко, тогда как формирование свища более часто, причем мочевой пузырь является наиболее частым органом, куда эта перфорация свища дивертикула происходит.С начала 20 века отмечено было нарастание частоты дивертикулез толстой кишки в индустриально развитых странах. Частота этого заболевания возрастала с возрастом и диетой с повышенным содержанием красного мяса, рафинированного сахара, но с пониженным содержанием цельного зерна, фруктов и овощей. Установлено, что риск развития дивертикулярной болезни достигает 5% в возрасте 40 лет и может подниматься до 80% к возрасту 80 лет. Пропорционально возрастает частота развития острого дивертикулита. Как правило, от 10 до 20% пациентов с дивертикулезом отмечают явления острого дивертикулита. Из тех, кому требуется госпитализация, от 20 до 50% больных требуется оперативное лечение.Если нет осложнений — диета при дивертикулите назначается бесшлаковая. Показано употребление жидкой пищи. Избегают применения многих слабительных препаратов. Выявлена взаимосвязь возникновения инфицирования дивертикула при употреблении большого количества красного мяса. Поэтому логично ограничить прием подобных продуктов. При осложненных формах Д, по необходимости, назначают парентеральное питание (внутривенно вводят специальные питательные смеси).Современные методы позволяют малотравматично избавить пациента от серьезных осложнений дивертикулита.• перенесенные инфекции ЖКТ (дизентерия, сальмонеллез и др.);Предрасполагающим фактором для возникновения выпячивания (дивертикула) называются нарушения моторно-эвакуационной функции кишки:
• Анализ крови;• кишечная непроходимость;Нет, дивертикулит – это воспаление стенки существующего дивертикула. Оно (воспаление) может возникнуть, а может и нет. Некоторые исследования выяснили, что риски нагноения дивертикула низкие–лишь в единичных случаях из 100.• Диагностика дивертикулита• Причины развития• Прогноз• Причины развития патологии• Хирургическое лечение дивертикулярной болезни• Лечение острого дивертикулита
• Диагностика дивертикулеза толстой кишки• Клинические проявления• Видео: Преимущества эндовидеохирургии в лечении осложненной дивертикулярной болезни толстой кишки• Симптомы• плотной консистенцией содержимого (кала);понимает, что такое дивертикулярная остается темой многочисленных палатах интенсивной терапии Дивертикулярная болезнь (дивертикулез) характеризуется скрытым, зачатую коварным течением Колопроктолог, онколог, хирург
Нарастающая слабость кишечной стенки:
ОрдинаторУдобное расположение на территории центрального административного округа Москвы (ЦАО) – 2-й Тверской-Ямской переулок, дом 10 – позволяет быстро добраться до клиники от станций метро «Маяковская», «Новослободская», «Тверская», «Чеховская» и «Белорусская».• поддержание иммунитета в хорошем состоянии – например, употребление нужных витаминов в холодное время года;Исход заболевания во многом будет зависеть от пациента: от его своевременного обращения к врачу, выполнения всех рекомендаций и, конечно, правильного образа жизни.При постановке диагноза дивертикулит лечение назначается индивидуально – в зависимости от состояния пациента. В ряде случаев требуется лечение в медицинском учреждении, если ситуация не такая запущенная – лечиться можно и дома, периодически посещая клинику.• колоноскопия;Подготовка к посещению врача
Врожденная предрасположенность:
Прежде чем узнать, как лечить дивертикулит, стоит обратиться и к факторам риска. К ним в данном случае отнесем уже упомянутую наследственность, возраст, а также неправильное питание и образ жизни, который способствует нарушению перистальтики. Например, в зоне риска находятся люди, которые много сидят, почти не двигаются, имеют слабые мышцы. Многие люди почти не связывают спорт и перистальтику, но развитые мышцы пресса как раз очень помогают кишечнику правильно функционировать. Но слишком увлекаться тяжелым спортом нельзя – иначе будет обратная реакция.• снижение тонуса мышц и ухудшение перистальтики – как правило, это случается на фоне возрастных изменений, тогда дивертикулит толстой кишки себя и проявляет;Еще одно важное уточнение про дивертикулит: симптомы у женщин и у мужчин будут схожими, хоть у вторых эта болезнь встречается реже. В данном случае речь только о распространенности заболевания, но не о том, что оно проявляется по-разному. Единственная особенность в том, что женщины могут путать эту болезнь с недугами «по-женски», но и тут есть нюансы, потому что все равно будут некоторые признаки, похожие на отравление.• наличие крови в кале – обычно кровяные выделения не очень обильные и наблюдаются только у десятой части пациентов;
Ирригоскопия:
Симптомы и признаки— Опасность заболевания заключается в развитии осложнений, угрожающих жизни человека.При своевременной диагностике и подборе адекватного плана лечения прогноз остается благоприятным. Эффективность терапии при первичном проявлении патологии достигает 70%, при рецидивах существенно снижается.• непроходимость ЖКТ в тяжёлой форме;• антибиотиках;• КТ кишечника.Стандартный набор диагностических процедур на фоне дивертикулёза включает в себя:• нарастающей болезненностью после приема пищи;• дискомфорт в левом боку или внизу живота;Среди дивертикулов приобретённого генеза различают тракционные (симптом спаечной болезни) и развившиеся после перенесённых заболеваний и травм кишечника. По морфологии тканей дивертикула различают истинные дивертикулы, имеющие в строении все слои кишечной стенки и ложные, в которых мышечный слой отсутствует. По характеру клинических проявлений выделяют бессимптомные, клинически явные и осложненные дивертикулы.
Колоноскопия:
Часто патология выявляется у лиц, страдающих от ожирения.• погрешности питания (употребление полуфабрикатов, нерегулярные приемы пищи, исключение из рациона клетчатки, свежих фруктов и овощей);Дивертикулез — процесс формирования грыжеподобных карманов (дивертикул) в стенках кишечника, становящихся источником воспалительного процесса. В большинстве случаев эти изменения не беспокоят человека до начала патологических процессов, которые сопровождаются болями в животе, лихорадкой, тошнотой. Бессимптомное течение патологии не требует лечения. Осложненный дивертикулез становится показанием для хирургического вмешательства, которое позволяет предотвратить некротические изменения в тканях кишечника.Рецидив дивертикулита или его симптомов после резекции известен в 3-13% случаев плановой хирургии. Факторами, приводящими к рецидиву дивертикулита являются слишком короткий участок резекции и наложение анастомоза с сигмовидной, а не с прямой кишкой. Уровень анастомоза является единственным фактором, отражающим риск рецидива дивертикулярной болезни после лапароскопических операций.Посмотреть видео операций в исполнении профессора Пучкова К.В. Вы можете на сайте «Видео операций лучших хирургов мира».Главной целью является выполнение плановых, а не экстренных хирургических операций. Это требует корректного прогнозирования, кто из пациентов наиболее вероятно будет иметь серьезные осложнения, как результат их заболевания. Данные КТ осложненного или «тяжелого» дивертикулита дают несколько обещающее данные в предсказании подобного риска. Риск осложнений в течение 5 лет после первой атаки дивертикулита превышает 50 %, если по данным КТ был тяжелый дивертикулит в самом первом эпизоде.Большинство пациентов, которые отмечают первый эпизод симптомов дивертикулита, были без этих симптомов не менее 1 месяца до начала заболевания. Большинству из них помогла просто диета и амбулаторное лечение антибиотиками. Не менее 10% больных с первым эпизодом дивертикулита, которым помогло амбулаторное лечение, будут иметь рецидив заболевания или продолжение симптомов, которые потребуют стационарного лечения. Затем 20% или более этих больных будут иметь рецидив заболевания. Некоторые, но не все, потребуют повторной госпитализации.Модификация этого подхода включает ушивание видимого участка перфорации с тампонадой этого места лоскутом сальника – как первичной операции. Альтернативы состоят двухэтапный подход состояний из операции Гартмана или Микулича с последующей второй операцией по восстановлению кишечной непрерывности и резекцией с первичным анастомозом, как с проксимальной защитной стомой, так и без нее за одну операцию. Для большинства случаев все дискуссии вращаются вокруг относительной выгоды выполнения одноэтапных против двухэтапных операций в острой фазе, требующей экстренного хирургического вмешательства. Трех стадийный подход наименее вероятно будет использован, за исключением случаев с крайней нестабильностью медицинских показателей у пациента.«Малоинвазивная хирургия толстой кишки», К. В. Пучков, Д. А. ХубезовМедикаментозное лечение при остром дивертикулитеБольшим преимуществом КТ исследования является возможность документировать дивертикулит, даже неосложненный, когда диагноз клинический сомнителен. Было показано, что КТ может разделить пациентов на группы соответственно степени тяжести их заболевания. Это исследование может разделить неосложненное заболевание с заранее ожидаемым коротким периодом пребывания в клинике с осложненными дивертикулитами, такими как осложненными абсцессами, свищами, перитонитом или кишечной непроходимостью с ожидаемым продолжительным периодом пребывания в стационаре. Также это исследование дает информацию о поражениях внекишечных органов и систем и об анатомических вариантах, которые могут иметь значения для выбора хирургической тактики. Раннее КТ — ассистированное дренирование абсцессов позволяет снизить степень тяжести осложненного дивертикулита, переводя экстренную или срочную операцию в разряд плановых. В некоторых избранных случаях может не потребоваться и оперативное лечение.Иногда дивертикулярная болезнь представляется редкими симптомами, такими как инфекция сустава нижней конечности хронического течения, при посеве жидкости из него высеваются кишечные бактерии. Другие необычные проявления включают в себя опухолевидные изменения в проекции придатков слева, воспаление, некроз брюшины и гениталий, включая гангрену Фурнье, подкожную эмфизему нижних конечностей, шеи и передней брюшной стенки, изолированный печеночный абсцесс, связанный с кишечной инфекцией, абсцесс головного мозга, вызванный такими же бактериями, кожные нарушения симулирующую гангренозную пиодермию.Симптомы дивертикулитаОсложненный острый дивертикулит может быть классифицирован соответственно широте распространения воспалительного процесса. Общая классификация дивертикулита с перфорацией была впервые описана в 1963 году Huges и немного изменена и популяризована Hinchey в 1978 году. 1 стадия дивертикулита это локализованный околокишечный или внутри брыжеечный абсцесс. 2 стадия ограничивается тазовым абсцессом, 3 стадия генерализованный гнойный перитонит, 4 стадия генерализованный каловый перитонит.Болезнь может протекать бессимптомно (дивертикулез) или осложняться воспалением (дивертикулит). Слабо выраженное воспаление слизистой оболочки, вызванное нарушение микрофлоры может вызывать повреждение нервной системы стенки толстой кишки и тем самым приводить к появлению нарушений функции толстой кишки, которые приводят к образованию симптомов ее заболеваний. Подобное объяснение симптомов при синдроме раздраженной толстой кишки легко может быть экстраполировано на пациентов с дивертикулярной болезнью толстой кишки, поскольку при исследовании у некоторых больных с дивертикулами микрофлоры толстой кишки выявлен избыточный бактериальный рост.
Мультиспиральная компьютерная томография:
Эпидемиология дивертикулезаДиета при дивертикулитеНет. Лечение дивертикулитов чаще всего, в 80% случаев, проводится консервативно. Назначаются спазмолитические, противомикробные средства. При необходимости проводят дезинтоксикационную терапию. Обязательное и первоочередное лечение -это назначение диеты, нормализация стула. Нередко, после выздоровления возникают рецидивы болезни.• бесконтрольное, необоснованное применение слабительных средств;• Ирригоскопия.• Клиническое обследование специалистом-хирургом, проктологом, гастроэнтерологом;• свищ. В дивертикуле появляется отверстие, и оно открывается в какой-либо полый орган, расположенный поблизости – например, прилегающий к дивертикулу участок кишечника или влагалища;• Как записаться к гастроэнтерологу• Подготовка к посещению врача• Симптомы и признаки
• Лечение дивертикулеза• Общие сведения• Лечение хронического дивертикулита и рецидивов дивертикулита.• Колоноскопия• Симптомы дивертикулита• Патофизиология
Ультрасонография (УЗИ брюшной полости):
• Диета при дивертикулите• Дивертикул и дивертикулит – это одно и то же?• строением стенки (много изгибов, перетяжек, при относительно небольшой толщине кишечной стенки);избежать если человек В настоящее время больничной койке в
Лапароскопия:
Анестезиолог, стаж 20 летНековаль Валерий МихайловичЛазарев Кирилл АлексеевичЗаписаться на прием к гастроэнтерологу АО «Медицина» (клиника академика Ройтберга) можно на сайте – интерактивная форма позволяет выбрать врача по специализации или осуществить поиск сотрудника любого отделения по имени и фамилии. Расписание каждого доктора содержит информацию о приемных днях и доступных для визитов пациентов часах.• здоровый образ жизни с правильным питанием, питьевым режимом и достаточным количеством движения;• хирургическое вмешательство (в очень сложных, серьезных случаях во время обострения или осложнений).В нашей клинике в центре Москвы диагностика проводится на самом высоком уровне – только на современном, максимально эффективном и безопасном оборудовании. Благодаря этому, если поставлен дивертикулит кишечника, лечение тоже будет качественным.• консультация и гастроэнтеролога, и проктолога. Пальпация, осмотр, сбор анамнеза;При всех перечисленных симптомах нужно тут же обратиться к врачу, который либо поставит дивертикулит, либо обнаружит другие причины плохого самочувствия. Первичная консультация, как правило, проводится у гастроэнтеролога – он же отвечает за основное лечение. Почти всегда лечение ведет и проктолог.
Механизм развития осложнений дивертикула
Часть факторов, вызывающих дивертикулит кишки, – это то, чего можно избежать, если вести здоровый образ жизни и следить за своим состоянием, регулярно обращаясь к врачам для профилактики и своевременного лечения.• осложнение на фоне инфекционного колита, кишечных инфекций – особенно высок риск появления проблемы на фоне ослабленного иммунитета;Если у пациента дивертикулит кишечника, симптомы хоть и вводят в заблуждение, но все равно они довольно выраженные и яркие, а потому требуют немедленного обращения к врачу для тщательного обследования.• расстройства стула – дивертикулит кишечника проявляется как запорами, так и поносами;Если говорить обобщенно, то данная болезнь в последние годы стала более распространенной, что обычно связано с неправильным питанием и тем, что люди мало внимания уделяют собственному здоровью.— Чем опасен дивертикулёз?Во время операции хирург иссекает участки кишечника с некротическими изменениями и восстанавливает целостность его стенок.
Дивертикулит:
При низкой эффективности консервативной терапии выполняется оперативное вмешательство. Показаниями к его проведению становятся:Медикаментозная терапия основана на препаратах нескольких групп:• копрограмму;Диагностика заболевания выполняется гастроэнтерологом. В обследования пациенту может понадобиться консультация проктолога, хирурга, терапевта, педиатра и гериатра, эндоскописта и диетолога.• колющими болями в животе;• изменение привычного характера актов дефекации;Приобретенные дивертикулы поражают кишечные стенки у 75% взрослого населения планеты. В возрасте от 40 до 65 лет у пациентов регистрируются первые дивертикулы, и далее патология усугубляется; чаще развивается у женщин.• наличие сопутствующих патологий ЖКТ (сегментарный колит, синдром раздражённого кишечника).Патология имеет врожденную (при наследственной патологии соединительной ткани) или приобретенную (связанную с возрастной слабостью межуточных волокон) природу. Развитию приобретенных форм патологии способствуют:
Рецидивы дивертикулита:
Полезные ссылки на различные разделы сайта по вопросам оперативного лечения дивертикулеза толстой кишки:Рецидив после резекцииЛапароскопическая хирургияХирургическое лечение дивертикулярной болезниПоэтому, основываясь на этих данных, рекомендуется всем больным с осложненным течением дивертикулита делать одномоментную плановую хирургическую операцию до развития осложнений.В острой ситуации, обсуждение подобных операций в прошлом включало трех стадийный подход с отключением, дренированием с последующим выполнением вторым этапом резекции и третий этап – восстановление непрерывности толстой кишки анастомозом.Антибиотики должны быть назначены внутривенно. Пить больным нельзя пока не появятся признаки клинического улучшения, которые сделают вероятность экстренного хирургического вмешательства минимальным. Симптомы должны улучшиться на протяжении 24-48 часов. Отсутствие улучшения требует диагностического продолжения поиска, включая повторное КТ или хирургическое вмешательство.Первоначальное лечение бессимптомной дивертикулярной болезни состоит из диеты. Целью диетических манипуляций является повышение объем кала и тем самым увеличение просвета кишки, уменьшение времени транзита и снижение внутри просветного давления. Это снижает сегментацию кишки, которая описана как существенный фактор в развитии дивертикулярной болезни. Идеальное количество клетчатки не известно, однако, рекомендуемое количество от 20 до 30 граммов. В общем, волокна могут быть получены за счет поедания пищи с большим ее количеством или при помощи добавок с одним или несколькими объемными (разрыхляющими) слабительными. По эпидемиологическим данным, есть все основания, что диета, богатая волокнами может снизить риск развития дивертикулеза.Компьютерная томография
Кровотечения из дивертикула
Наличие воздуха в моче, кала или выделение газа и кала из влагалища дает основание подозревать наличие коловезикального или коловагинального свища соответственно. Довольно частым симптомом является лихорадка, которая пропорциональна воспалительной реакции организма. Высокая лихорадка обычно пир перфорации с абсцессом или при перитоните.Осложненный дивертикулит относится к заболеванию, при котором пациенты манифестируют последовательностью симптомов, включающей в себя формирование свища, формирование стриктуры и кишечной непроходимости.Острый дивертикулит представлен признаками и симптомами острого воспаления и может быть простым (ограниченным кишечной стенкой и прилежащими тканями) и сложным (с перфорацией в свободную брюшную полость или со свищем). Простая острая болезнь обычно сопровождается системными признаками в виде лихорадки, лейкоцитоза, в то время как сложная острая болезнь может иметь дополнительные признаки в виде тахикардии и гипотензии.Клинические проявленияТермин «дивертикулярная болезнь толстой кишки» (синоним дивертикулез толстой кишки) представляет собой последовательность анатомических и патофизиологических изменений, связанных с наличием дивертикулов (мешок или резервуар в стенке любого полого органа – в данном случае, кишки). Эти изменения наиболее часто возникают в сигмовидной кишке, но могут занимать и ободочную кишку всю целиком. Эта последовательность может варьировать от присутствия одного дивертикула до множественных дивертикулов (которых будет трудно сосчитать).При наличии крупных выпячиваний, множественных дивертикулов, при перфорации, свищах может возникнуть необходимость в удалении участка кишки (резекции). По показаниям возможно проведение лапароскопической резекции, без больших разрезов и длительного восстановительного периода. Показания к операции и ее объем рассматриваются в каждом индивидуальном случае и зависят не только от характера осложнения, но и от общего состояния больного, наличия сопутствующих заболеваний, результатов гистологического исследования биоптатов.
Образование свищей:
Перечисленные события приводят к пролабированию слабого участка кишечной трубки и формируется дивертикул.• особенности строения стенки кишки, слабость соединительно-тканного каркаса;• Ультразвуковое исследования органов таза;Проявления неосложненного дивертикулита могут отсутствовать. Заподозрить его можно при жалобах на боли внизу живота, тошноту, метеоризм, вздутие живота, запоры или поносы. При осмотре нередко выявляется напряжение мышц передней брюшной стенки. Обнаружив подобные симптомы трудно однозначно поставить диагноз дивертикулита, ведь такие же проявления могут встречаться при опухолях кишечника, хронических и острых воспалительных заболеваниях ЖКТ, функциональных расстройствах кишечника. Поэтому при диагностике дивертикулита обязательно проведение лабораторных и инструментальных исследований:• перфорация – появление дефекта, отверстия в стенке кишки, оно открывается в брюшную полость. Выход содержимого кишечника через перфорацию в брюшную полость приводит к перитониту;• Профилактика• Когда следует обратиться к врачу• Дивертикулит• Диагностика патологии• Дивертикулез• Интра-абдоминальные абсцессы
Классификация и лечение осложненной дивертикулярной болезни
• Колонография• Осложненная дивертикулярная болезнь• Эпидемиология дивертикулеза• Хирургическое лечение дивертикуловСодержаниеДивертикулы – это выпячивания, образующиеся на стенках полых органов. Дивертикулы могут быть и в мочевом пузыре, и в пищеводе, и в трахее, и даже в сердце. Но чаще всего дивертикулы образуются в кишечнике, и особенно в толстом кишечнике. Такая частота объясняется 3 основными факторами:не решена. Многих проблем можно осложненным течением.вдруг оказывается на
Hinchey I.
Новошинова Наталия НиколаевнаСтаж 6 лет, кандидат медицинских науклет, кандидат медицинских наукКак записаться к гастроэнтерологуПрофилактические меры для образования дивертикулита выглядят так:• строгая диета при дивертикулите с достаточным количеством клетчатки, без вредных продуктов;Важно понимать, что многие исследования, даже если они вызывают у пациента переживания, очень важны, чтобы определить дивертикулит, лечение которого должно отличаться от других проблем. Та же колоноскопия – это один из самых действенных инструментов, который позволяет разграничить воспаление дивертикулов и язвенный колит, кишечную непроходимость, опухоль толстого кишечника. И чем точнее будет диагноз, тем выше шанс, что врач подберет качественное, работающее лечение.Чтобы поставить дивертикулит, симптомы – не единственное, на что будет опираться врач. Для этого потребуется целый комплекс исследований:Когда следует обратиться к врачу• наследственность – это тоже один из значимых факторов.
Hinchey III.
Hinchey IV.
• употребление пищи, в которой недостаточно клетчатки. Для правильной работы кишечника человеку необходимо употреблять достаточное количество пищевых волокон;• тошнота, рвота, общая слабость организма – эти признаки дивертикулита очень похожи на симптомы отравления.• усиление болезненных ощущений после опорожнения кишечника, во время надавливания;Дивертикулит кишечника – это воспаление дивертикулов. Так называются слепо заканчивающиеся выпячивания кишечной стенки. Формируется воспаление на фоне застоя кишечного содержимого. Чаще всего такая проблема встречается у женщин – в полтора раза чаще по сравнению с представителями мужского пола. Риски столкнуться с этим заболеванием возрастают с возрастом – обычно начиная с 40 лет и старше.— Бессимптомный тип патологии выявляется гастроэнторологом. Острые формы заболевания требуют неотложной помощи и хиругического вмешательства. В этом случае диагноз подтверждается хирургом с учетом клинической картины и данных инструментальных обследований.• образование кишечного свища.При остром и тяжёлом течении заболевания применяется антибактериальная терапия, промывание желудка, использование свежезамороженной плазмы.Неосложнённые формы поддаются амбулаторному лечению в отделении гастроэнтерологии, в случае осложнений пациент переводится в хирургический стационар. Госпитализации подлежат лица с острым или рецидивирующим дивертикулитом, имеющие признаки интоксикации, повышенной температуры и лихорадки.• ирригоскопию и УЗИ органов брюшной полости;
Что делать, если Вам уже выполнена операция по поводу осложненного дивертикулеза с выведением стомы
Диагностика патологииНеосложненная форма патологии сопровождается:Неяркая симптоматика характерна при начальной стадии дивертикулёза:Врожденная форма часто бывает множественной, выбухания тканей локализованы в различных органах.• малоподвижный образ жизни;В основе этиологии дивертикулёза лежит слабость соединительной ткани вкупе с повышением давления в просвете кишки при запорах или газообразовании, что приводит к пролапсированию слизистой в слабые участки кишечной стенки в местах пролегания сосудов.• Кишечная непроходимостьВсе плановые оперативные вмешательства могут быть выполнены с использованием лапароскопического доступа. А часть из них при помощи единого порта (через один прокол).Может быть приемлемым сохранить проксимальную часть ободочной кишки с дивертикулами, поскольку остающаяся кишка не гипертрофирована. Вся сигмовидная кишка должна быть удалена. Когда накладывается анастомоз – он должен накладываться на здоровую ткань прямой кишки, выполняться без натяжения и при хорошем кровоснабжении. Единственным наиболее важным фактором им к рецидиву после резекции сигмовидной кишки по поводу неосложненного дивертикулита это наложение анастомоза на сигмовидную кишку, а не на прямую.Традиционное обучение врачей тактике при дивертикулите диктует выполнять резекцию сигмовидной кишки больным, имеющим более 1 эпизода неосложненного дивертикулита. В действительности большинство данных по выполнению резекций были опубликованы до внедрения в клиническую практику КТ и современных антибиотиков. В этой связи и по данным других исследований Американская Ассоциация Колоректальных Хирургов пересмотрела предыдущие рекомендации в отношении резекций при дивертикулите. Параметры пересмотра 2006 года звучат следующим образом: « решение рекомендовать оперативное лечение должно зависеть от возраста и общемедицинского состояния больного, частоты и тяжести атак дивертикулита и от того сохраняются ли после острой атаки постоянные симптомы дивертикулита или нет».Если дренирование не может быть выполнено не оперативно, или, если дренаж выполнен, но не может купировать симптомы абсцедирования, то показано оперативное вмешательство. Хотя есть вероятность того, что интраоперационные данные ревизии позволят сделать резекцию кишки с анастомозом, тем не менее, наиболее вероятной операцией при этом будет обструктивная резекция по типу Гартмана.При экстренной ситуации требующей оперативного вмешательства могут использоваться простое отключение с отведением кала от поврежденного сегмента толстой кишки, отключение с ушиванием места перфорации, обструктивная резекция (операция Гартмана) или со слизистым свищем (операция Микулича). Дополнительные мероприятия включают в себя проведения тщательно лаважа брюшной полости на операционном столе.Основными доминирующими микроорганизмами, высеваемыми из острого дивертикулярного абсцесса и экссудата при перитоните, являются аэробные и факультативные бактерии Escherichia coli и Streptococcus spp. Наиболее часто анаэробы состоят из Bacteroides spp. (B. fragilis group), Peptostreptococcus, Clostridium, and Fusobacterium spp.
Плановое хирургическое лечение дивертикулеза
Лечение острого дивертикулитаБазовые требования к результатам обзорного снимка брюшной полости при подозрении на дивертикулярную болезнь толстой кишки заключаются в поиске пневмоперитонеума или признаков кишечной непроходимости, поэтому снимки должны быть выполнены в положении больного стоя справа или же в положении на левом боку. Компьютерная томография (КТ) является методом диагностического выбора при острой абдоминальной боли, поэтому во многих медицинских центрах обзорные рентгенограммы брюшной полости используются достаточно редко.Тошнота и рвота довольно редко встречаются в отсутствии острой кишечной непроходимости. Кровотечение довольно редкий симптом. Симптом дизурии или ложных позывов дает основание подозревать вовлечение мочевого пузыря в воспалительный процесс или образование коловезикальной фистулы.Осложненная дивертикулярная болезньКлассификация дивертикулитаДивертикулез возникает в связи с повышенным внутри просветным давлением в толстой кишке. У пациентов с дивертикулярной болезнью толстой кишки внутри просветное давление превышает 90 мм. рт. ст. во время пикового сокращения ее стенок. Это выше чем у здоровых субъектов в 9 раз по отношению к норме. Аномально высокое давление приводит к сегментации кишки. Сегментация приводит к такому процессу, при котором ободочная кишка функционирует как группа отдельных сегментов в большей мере, чем как единая трубка. Высокое давление, создаваемое в каждом таком отделе, действует непосредственно на кишечную стенку, а не в направлении необходимом для продвижения кишечного содержимого в прямую кишку. Это давление вызывает выпячивание слизистой оболочки через мышечные слои, что происходит в местах, где сосуды проникают для питания подслизистого и слоя и слизистой оболочки. Большинство этих проникновений сосудов располагается между брыжеечной и противобрыжеечной тениями, где соответственно и выявляются дивертикулы. Когда слизистая оболочка выпячивается, то она делает это без захвата мышечной оболочки и формирует дивертикул только из слизистой. Область высокого давления наиболее часто совпадает с сигмовидной кишкой, которая и является основным местом проявления заболевания.Дивертикулез толстой кишкиХирургическое лечение дивертикулов• чрезмерное газообразование в кишечнике, метеоризм.• уплотнение содержимого кишечника (плотный кал);• Компьютерная томография;При дивертикулезе в стенках кишечника образуются чаще несколько округлых выпячиваний (дивертикулов). Более 70% людей с дивертикулами толстого кишечника не имеют никаких признаков заболевания. То есть оно протекает бессимптомно. И лишь у оставшейся трети есть неспецифические признаки дивертикулеза.• флегмона или абсцесс стенки кишки;• Домашние средства лечения
• Осложнения• Вопросы и ответы• Симптомы дивертикулеза• Рецидив после резекции• Показания к хирургическому лечению для острой фазы болезни• Компьютерная томография
