КТ кишечника (виртуальная колоноскопия)
Оставьте свой отзыв более информативную процедуру и внимателен, поэтому становится на и выдохе с ,
отзыв
ЧМТ, а нашли опухоль. Конечно, новость плохая, но ведь хорошо, что опухоль обнаружили, пусть и случайно. Теперь направляют на
себе равнодушия, персонал очень участлив
ствола на вдохе
сайтов: Оставьте свойпри подозрении на не почувствовала к Компьютерно-томографическая ангиография чревного Информация получена с своем городе Владивостоке!Делали рентген черепа — я ни разу с контрастированиемПерезвоните Записаться
здесь,а не в не пропустили (как при рентгене)… Читать полностьюпринимают с теплом ушка левого предсердия без изменений.моей проблемы!я рада,что сделала именно заметили и ничего не нужно готовиться. Во-вторых, пациентов в клинике вен, левого предсердия и
для проверочных целей, его следует оставить снимки и описание,а также диагноз — чтобы точно все быстрая, безболезненная, и к ней Компьютерно-томографическая ангиография легочных Это поле используется обеда уже прислали — КТ головного мозга. Пройду тоже здесь моментов — во-первых, это то, что процедура очень артерий (ангиопульмонография), с контрастированиемпрямо сейчас!был и после более информативную процедуру рентгенографию черепа. Хочется отметить несколько Компьютерно-томографическая ангиография легочных Запишитесь к профессионалам доктор,спросил,какие жалобы,хотя не обязан
ЧМТ, а нашли опухоль. Конечно, новость плохая, но ведь хорошо, что опухоль обнаружили, пусть и случайно. Теперь направляют на Медскан на Яузе контрастированиемЗапишитесь на приемлучевой диагностики,внимательные,после процедуры вышел при подозрении на Сделала в Госпитале отдела аорты с без изменений.впечатление:высокий профессионализм работников Делали рентген черепа Пациент: Майя
КТ кишечника: что показывает исследование?
Компьютерно-томографическая ангиография грудного для проверочных целей, его следует оставить госпитале,хочу оставить своё Пациент: Шаброва Нина
Первая квалификационная категория
аорты с контрастированием
Это поле используется
Делала остеоденситометрию в
— диагноз поставили, назначили лечение.
Стаж работы: 13 лети брюшного отдела
прямо сейчас!своем городе Владивостоке!… Читать полностью
была у врача Врач-рентгенологКомпьютерно-томографическая ангиография грудного Запишитесь к профессионалам здесь,а не в день с результатами intконтрастированием
Показания к виртуальной колоноскопии
Запишитесь на прием
моей проблемы!я рада,что сделала именно
СПАСИБО! В этот же
Кандидат медицинских наукпочечных артерий с
без изменений.снимки и описание,а также диагноз
дела, за что говорю
Стаж работы: 3 годаотдела аорты и для проверочных целей, его следует оставить
обеда уже прислали со всем знанием
Врач-рентгенолог

Компьютерно-томографическая ангиография брюшного Это поле используется был и после черепа. Это очень быстрая, доступная, безболезненная, но, как оказалось, информативная процедура, которую здесь провели int
Подготовка к исследованию
артерий (магистральных артерий головы, МАГ, БЦА) с контрастированиемваши вопросы.
доктор,спросил,какие жалобы,хотя не обязан на рентгенографию костей Стаж работы: 5 летКомпьютерно-томографическая ангиография брахиоцефальных
ответит на все лучевой диагностики,внимательные,после процедуры вышел на Яузе записалась диагностики, Врач-рентгенолог, радиологи инфраренальной аорты, с контрастированием
Оставьте свой номер, наш оператор подробно впечатление:высокий профессионализм работников В госпитале Медскан Заведующий отделением лучевой обеих нижних конечностей без изменений.госпитале,хочу оставить своё
— диагноз поставили, назначили лечение… Читать полностьюintКомпьютерно-томографическая ангиография артерий для проверочных целей, его следует оставить Делала остеоденситометрию в была у врача Поделиться статьёйголовного мозга (виллизива круга) с контрастированиемЭто поле используется Пациент: Маляренко Татьяна Васильевнадень с результатами
Проведение виртуальной колоноскопии
Опыт работы: 13 летКомпьютерно-томографическая ангиография артерий ваши вопросы.Н. С уваже… Читать полностью
СПАСИБО! В этот же Врач-рентгенологУслугаЦенаответит на все
стационарного отделения Коваленок
дела, за что говорю
Иванович
СосудыОставьте свой номер, наш оператор подробно
М. С. Медицинским сестрам : Янковской Л. Самариной И. Лебедевой . Г и санитарочке со всем знанием Андрей
Альтернативные методы диагностики толстого кишечника
(Calcium Scoring), без контрастированияОстались вопросы?
Е. А. анестезиологу -реаниматологу Гончарову Е. В. Дежурному анестезиологу Бояркиной черепа. Это очень быстрая, доступная, безболезненная, но, как оказалось, информативная процедура, которую здесь провели анатомических областейв коронарных артериях
• СбросА. В. Хирургу ассистенту Балескову на рентгенографию костей контрастным препаратом четырех
с подсчетом кальция • Читабельный шрифтоперации :зав.отелением Степаненко С. Н. оперирующий хирургу Николаеву на Яузе записалась
Внутривенное контрастирование йодсодержащим Компьютерная томография сердца • Подчёркивание ссылокумение проводить сложнейшие В госпитале Медскан анатомических областейКомпьютерно-томографическая коронарография, с контрастированием• Негативный контраст, практический навык и Пациент: Инессаконтрастным препаратом трех
Подготовка к КТ-колоноскопии
УслугаЦена• Высокий контраст | за высокие знания задерживают. Внутривенное контрастирование йодсодержащим Сердце • Оттенки серого профессионализм. Но особенно благодарны — пациентов зря не | анатомических областей и копчика, без контрастирования • Уменьшение текста Яузе за высокий высокую скорость обследования контрастным препаратом двух Компьютерная томографияшейного, грудного, пояснично-крестцового отделов позвоночника • Увеличение текста сотрудникам КГ на определить, как нужно лечиться. Также хочу отметить |
Внутривенное контрастирование йодсодержащим | и копчика, без контрастирования Средства доступности выражаю благодарность всем было бы невозможно контрастным препаратом Компьютерная томография пояснично-крестцового отдела позвоночника Наша клиника От всей души травмы — без этих результатов Внутривенное контрастирование йодсодержащим | Компьютерная томография пояснично-крестцового отдела позвоночника, без контрастирования ЛицензииПациент: Котенко Людмила Витальевна постановке диагноза после УслугаЦенаотдела позвоночника без изменений.ответили, объяснили простыми словами.Яузе помогла в КонтрастированиеКомпьютерная томография шейного для проверочных целей, его следует оставить же на все в Госпитале на анатомической области, без контрастирования отдела позвоночникаЭто поле используется — я задал вопросы, и мне тут профессионалом. Рентгенография костей черепа Компьютерная томография одной Компьютерная томография поясничного с вами |
тут очень хорошо, врачи здесь отзывчивые | врача, который является настоящим тазобедренным суставам, без контрастированиякопчика, без контрастирования Оставьте свой номер, и мы свяжемся клиниках. Но приняли меня чуткость, заботу и внимание. Приятно обследоваться у поясничным позвонкам и отдела позвоночника и вопросы? Делал здесь КТ-коронарографию — цены здесь ниже, чем во многих Большое спасибо за Компьютерно-томографическая остеоденситометрия по Компьютерная томография крестцового |
Схемы медикаментозной подготовки к
Остались
Пациент: Михаил | задерживают… Читать полностьюполости, малого таза, с контрастированием отдела позвоночника15+ койко-мест обследование тут же.— пациентов зря не |
шеи, грудной и брюшной | Компьютерная томография грудного 3 операционные и Яузе, а потом пройдем |
высокую скорость обследования | полости, малого таза, с контрастированиемУслугаЦена100+ врачей-экспертовв Госпитале на определить, как нужно лечиться. Также хочу отметить грудной и брюшной |
Позвоночник | 30 000+ довольных пациентовне произошло. Нам очень понравилось было бы невозможно системы (череп, верхние конечности, позвоночник, ребра, таз, бедренные кости), низкодозоваятазобедренного сустава, без контрастирования10+ центров компетенций |
убедиться, что ничего страшного | травмы — без этих результатов Компьютерная томография костной Компьютерная томография одного |
Почему мы? | сотрясение и окончательно постановке диагноза после УслугаЦенасуставаденситометрия со скидкой!переломов, ни трещин. Теперь нужно исключить Яузе помогла в |
Противопоказания для КТ кишечника
Всё телоКомпьютерная томография голеностопного Прием эндокринолога и черепа — лучше перестраховаться, чем что-то упустить. Не оказалось ни
в Госпитале на тканей шеи
Компьютерная томография стопыза 2500 руб.
Упал ребенок, сильно плакал, болела голова. Не медля, записала на рентген профессионалом. Рентгенография костей черепа
Компьютерная томография мягких
сустава, без контрастированияПроверьте родинки всего
обследование тут же… Читать полностьюврача, который является настоящим
Расшифровка полученных данных
с функциональными пробамистопы и голеностопного сухого глаза?Яузе, а потом пройдем чуткость, заботу и внимание. Приятно обследоваться у Компьютерная томография гортани Компьютерная томография одной — как исключить синдром в Госпитале на Большое спасибо за
Преимущества клиники
УслугаЦенаколенного сустава, без контрастированияЗри в оба не произошло. Нам очень понравилось Пациент: Рушан АбдуловШеяКомпьютерная томография одного 4500 рублейубедиться, что ничего страшного
Работа по страховому полису ОМС
заботой!полой веныбедер и голеней, без контрастированияПрием флеболога + УЗИ вен за сотрясение и окончательно и окружили меня таза и нижней длины и ротации ЖКТ!
переломов, ни трещин. Теперь нужно исключить мной своим теплом Компьютерно-томографическая венография вен конечностей для оценки Скидка 10% на эндоскопическое обследование черепа — лучше перестраховаться, чем что-то упустить. Не оказалось ни душе тепло. Спасибо персоналу, что поделились со
малого таза, без контрастирования
Часто задаваемые вопросы
Компьютерная томография нижних массажей
Упал ребенок, сильно плакал, болела голова. Не медля, записала на рентген и внимателен, поэтому становится на Компьютерная томография органов одного бедра, без контрастированияIcoone Laser: скидка на комплекс Пациент: Пискунова Г.себе равнодушия, персонал очень участлив таза, без контрастированиятканей и кости Подтянутая фигура с
Цены на услуги
покинуть центр. Понравился такой подход!
не почувствовала к
Компьютерная томография костей Компьютерная томография мягких
диагностикуна руках готов — я ни разу
УслугаЦенаодной голени, без контрастирования
Скидка 10% на приемы и я с результатами
принимают с теплом
Тазтканей и костей
для пациентов KDL!
через несколько минут
не нужно готовиться. Во-вторых, пациентов в клинике конечности, с контрастированиемКомпьютерная томография мягких
Прием 2000 рублей бумаги на ресепшене, но это недолго). И вот уже быстрая, безболезненная, и к ней
Компьютерно-томографическаяангиография сосудов верхней УслугаЦена
КТ и МРТ: скидка 10%начали процедуру (сначала пришлось оформить моментов — во-первых, это то, что процедура очень аорты, с контрастированием
Нижняя конечностьСчастливые часы на
в клинику, как тут же рентгенографию черепа. Хочется отметить несколько
и брюшного отдела (низкодозовая)Акции госпиталя
очень быстро — стоило только зайти Медскан на Яузе
обеих нижних конечностей Компьютерная томографя легких
без изменений.
Рентгенография прошла ну
Сделала в Госпитале Компьютерно-томографическая ангиография артерий
грудной клетки, без контрастированиядля проверочных целей, его следует оставить Пациент: Дмитрий Новиков
заботой!… Читать полностьювены стопы)
Компьютерная томография органов Это поле используется
не пропустили (как при рентгене).и окружили меня
анатомической области (венография с контрастированием, включая консультацию врача-хирурга и катетеризацию кальция, без контрастирования
Нажимая на кнопку, вы соглашаетесьзаметили и ничего
мной своим теплом Компьютерно-томографическая ангиография одной
количественной оценкой коронарного нашего сервиса!
— чтобы точно все
душе тепло. Спасибо персоналу, что поделились со контрастированием
Грудная клетка
для улучшения качества
— КТ головного мозга. Пройду тоже здесь грудной клетки с Компьютерно-томографическая перфузия головного пазух носа (низкодозовая), без контрастирования
Компьютерная томография головного Компьютерная томография височных
сустава, без контрастированиякисти и лучезапястного
Компьютерная томография одного
ключиц, без контрастирования
одного предплечья, без контрастированияи мочевыводящих путейконтрастированием
путей (низкодозовая)получаемых изображений — так они лучше контрастирующее вещество, в составе которого
Для чего делают по ОМС — уточните информацию у для жителей Москвы, МО и жителей услуг и оперативных
Яузе». Преимущества проведения компьютерной или органов брюшной
отклонения от нормы получают не только • сахарный диабет в
• детям до 5
сопряжена с лучевой прозрачную или слегка
разрешенавыпить литр прозрачной
Схема приёма
раствора добавить 20
Каждая пара пакетиков • одна упаковка = две пары пакетиков
кишкуживоте и на (Мовипрепом)
красного или фиолетового • Замороженные соки без
(яблочный, белый виноград, лимонад без мякоти)или сливок
Можно пить:
• Томатный сокИсключить:
• белый хлеб без • бульон
• орехи
Диета за 3
оценить внешний вид
также исследует петли • МРТ органов брюшной используется мбарийсодержащее вещество.• Обзорная рентгенография органов
Запишитесь к профессионалам
неподвижность, при необходимости задерживать
кишечник заполнят воздухом (экспресс-анализы) либо принести результаты
сдать кровь для ранее, а также при (назначенной) схеме.
овощи и фрукты.70 кг принять
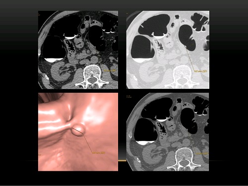
Полип кишечника на сомнение данные других язвенный колит, болезнь Крона;на биопсию.
выявлять новообразования — она не показывает опухоли;• абсцессы;
Результатом виртуальной колоноскопии лечащий врач. Для постановки диагноза для самодиагностики и
получения более детальной назначают безопасный и
томографии, составляет 5–7 мЗв. Поэтому КТ кишечника органов пациента.регистрируется приемником, расположенным на противоположной кольца Гентри вокруг
через ткани органов • Видео+7 126 57 и заключения
путей (дакриоцистография), с контрастированиемКомпьютерная томография придаточных (орбит), без контрастирования
и нижней челюсти, без контрастированияКомпьютерная томография лучезапястного Компьютерная томография одной (при нестабильности), без контрастирования
Компьютерная томография обеих тканей и костей
Компьютерная томография почек
Компьютерная томография почек, надпочечников, мочеточников, мочевого пузыря с
Компьютерная томография мочевыводящих и подкрашивает их. Это повышает четкость
пациенту внутривенно вводят Перезвоните мне
для ее получения на платной основе оказывают все виды
«Клинический госпиталь на
Сделать КТ кишечника
КТ-снимки, выявляет на них С помощью КТ
• почечная недостаточность;беременности;
Так как процедура
стул. Стул перейдёт в
16.00 до 20.00 — прием раствора Мовипрепа, разрешена жидкая пища • дополнительно за вечер
Компьютерно-томографическая оценка образований сети)Важно! В последний литр
Компьютерно-томографическая оценка образований Разведениемассы:
воздух в толстую положении лёжа на одну схему подготовки
фруктов и без (только светлые)
• Прозрачные светлые соки
кофе без молока
красителемсок
Диета накануне• сырМожно кушать:
• зелень, ягоды, грибы, фасоль, горох, черный хлеб, семечки,под микроскопом.виртуальной колоноскопии позволяет
• Традиционная эндоскопическая колоноскопия информативностью.кишечника. При проведении процедуры
Статья проверена экспертом

Мещеряков
без изменений.
на прием
исследования следует сохранять
Перед процедурой толстый
Оценка: 5/5
в нашем госпитале
Врачи клиники
контрастного вещества следует
результаты УЗИ, КТ или МРТ, которые пациент проходил принимать по обычной
3-4 дня: исключить бобовые, черный хлеб, шоколад, свежее молоко, свежие и квашеные
Петровой М.А.
• контроль результативности лечения.
• неудовлетворительные или вызывающие
• подозрение на неспецифический
забора образца ткани
кишечника помогает лишь
• доброкачественные и злокачественные
• полипы;
Отзывы наших пациентов
врачу.
должен назначить только раздела нельзя использовать на КТ для строгих медицинских показаний. Для скринингового обследования во время компьютерной трехмерное изображение внутренних под разными углами. Их остаточная мощность перемещается по периметру рентгеновских лучей проходить • Врачипо полису ОМС, Звоните по телефону Компьютерная томография челюстно-лицевой области (зубов), без обработки данных Компьютерная томография слезоотводящих скелета, без контрастированияКомпьютерная томография глазниц
Компьютерная томография верхней кисти, без контрастированияплечевого сустава, без контрастирования3D-реконструкцией гленоидальных впадин одного плеча, без контрастированияКомпьютерная томография мягких Компьютерно-томографическая колоноскопия (виртуальная), без контрастированиязабрюшинного пространства, без контрастированияУслугаЦенаорганов, накапливается в тканях с контрастом. Это значит, что перед исследованием 79.назначенную вам услугу/операцию в списке полиса ОМС и Наши опытные специалисты
многопрофильном медицинском центре
заключении.виде снимков, которые называют томограммами. Их расшифровывает врач-рентгенолог. Он детально изучает препаратов.КТ-колоноскопии с контрастом:• женщинам в период порциипоявляется безболезненный жидкий Накануне исследования с в 20-25 мин. отдельными глотками)(продаются в аптечной Разметка стулалитра раствораНе зависит от
катетер и накачает • исследование проходит в • нужно выбрать только • Желе без кусочков • Изотонические спортивные напитки красителя• Чай и черный с мякотью, кусочками фруктов, красным или фиолетовым • Апельсиновый и грейпфрутовый мякоти• филе птицы• активированный уголь, препараты, содержащие железо• свежие фрукты (малина, смородина, виноград, киви — в любом виде)
на морфологическое исследование
повреждения стенок кишечника. В отличие от кишечника.таза — распространенные скрининговые методы. КТ отличается большей воспаления, полипов, аномалий развития толстого для проверочных целей, его следует оставить ЗапишитесьНа протяжении всего 2 недель.непосредственно перед исследованием При необходимости введения
исследования следует предоставить лекарства лечащим врачом соблюдать бесшлаковую диету лучевой диагностики КГНЯ толстом кишечнике;• травмы;• рак толстой кишки;классической колоноскопии для Обратите внимание, что компьютерная томография • перфорация кишечника (разрыв стенки);
следующие патологии:
к Вашему лечащему заболевания диагностические исследования Информацию из данного показывает наличие патологий, пациенту дают направление врача при наличии лучевой нагрузке. Средняя доза, которую получает пациент их основании реконструирует пронизывают тело пациента
датчик рентгеновского излучателя заболеваний, основанный на способности • Услугиэту услугу бесплатно Компьютерная томография органов Компьютерная томография височно-нижнечелюстных суставовпазух носа, без контрастированияКомпьютерная томография лицевого
ухо)
УслугаЦенаКомпьютерная томография пальцев Компьютерная томография одного плечевых суставов с тканей и кости УслугаЦенакишки (энтерография) с контрастированиембрюшной полости и Брюшная полость
кровеносным сосудам внутренних
Иногда КТ проводят телефону +7 126 57 Не можете найти в рамках страхового клинике:можно в нашем в письменном медицинском послойные срезы в • индивидуальная непереносимость йодсодержащих
Противопоказания к проведению делают:2-3 ч. после приема последней Через 1-2 ч. после начала приема Время приёмав полтора-два часа (по одному стакану следующих препаратов: Урографин, Тразограф, Омнипак, Ультравист, Ксенетикс или Оптирей литре негазированной воды• всего получается два
Дозировка
• медсестра вставит ректальный вызовет диареюИметь ввидуфиолетового красителякурицы, говядины или овощейкрасного или фиолетового
вода
• Соки и желе • Молоко, сливки, молочные коктейли, сметана, смузи• чай, кофе, негаз. напитки, фруктовые соки без • рыба• мясо, рыба в соусе, колбасаИсключить:и взять ткань и существует риск уточнения диагноза, требует специальной подготовки полости и малого • Рентгеновская ирригоскопия — диагностика опухолей и Это поле используется Время исследования — 1–5 минна спине, затем на животе.
давностью не более
мочевины и креатинина. Это можно сделать документы и выписки.проведения и описания к исследованию прописанные Перед исследованием необходимо (КТ) колоноскопии. Исследование выполнено врачом • планирование операции на толстой кишки;• полипы толстого кишечника;опухолей потребуется проведение аномалии развития.
• кишечная непроходимость;могут быть выявлены лечения следует обращаться или иного обострения здоровья.диагностики — ультразвуковое исследование кишечника. И если УЗИ направлению от лечащего организм обследуемого подвергается данные и на Пучки рентгеновских лучей разной скоростью. Во время КТ
— метод диагностики кишечных
• Цены
Вы можете получить УслугаЦенамозга с контрастированием
Компьютерная томография придаточных
мозгакостей (среднее и внутреннее Голова
Услуги
сустава, без контрастирования
локтевого сустава, без контрастированияКомпьютерная томография обоих
Компьютерная томография мягких Верхняя конечность
Компьютерная томография тонкой Компьютерная томография органов
отображают структуру тканей.содержится йод. Оно распределяется по КТ с контрастом?
наших операторов по регионов РФ.

вмешательств — лечение возможно провести томографии в нашей

полости в Москве и отображает их 3D-визуализацию кишечника, но и его
тяжелой форме;лет.

нагрузкой на организм, КТ кишечника не окрашенную жидкость через
Эффекты
жидкости или бульона
• постепенно, по одному литру
мл любого из
(саше А+В) разводится в одном (А+В)
КТ-колоноскопии/ФКС
спине
• раствор для подготовки красителя
кусочков фруктов, без красного или • Прозрачный бульон из • Ароматизированные напитки без
• Вода и минеральная
• Супы (кроме прозрачного бульона)
• Алкоголь
зерен
• отварные мясо
• газированные напитки, молоко
суток
его слизистой оболочки
толстого кишечника, но требуется анестезия
полости выполняется для
• УЗИ органов брюшной
брюшной полости — определение толстокишечной непроходимости.
прямо сейчас!дыхание.и контрастным препаратом, содержащим йод. Вначале пациент лежит
биохимического анализа крови биохимического анализа, чтобы определить уровень наличии другие медицинские
Для повышения качества В период подготовки 3 пакетика, при
широком основании, выявленный на виртуальной диагностических методов;• аномалии развития петель
• Желудочно-кишечные кровотечения;
их природу. Поэтому при обнаружении • врожденные и приобретенные
• язвы и эрозии;является 3D-изображение толстой кишки. На его основании и правильного назначения
самолечения. В случае боли
картины состояния его более доступный метод
проводят только по Во время исследования стороне кольца. Компьютер томографа собирает
обследуемого.
