перед МРТ брюшной времени и не информированное согласие на

для наполнения органа.
, Как очистить кишечник у вас много • заполняет бланки и нужное количество жидкости , пространства?клинике не отнимет • проходит предварительный инструктаж;минут необходимо выпить ,
полости и забрюшинного МРТ-диагностика в нашей • раздевается;пузыря, то за 40 , перед МРТ брюшной МРТ

• снимает лишние предметы, убирает телефон;детальное обследование мочевого
сайтов: Можно ли кушать большим опытом проведения дату;до сканирования. Если же планируется Информация получена с полости у женщин?Наши врачи — лучшие специалисты с
кабинет в назначенную за несколько часов показатьили КТ брюшной зрения аппарата• больной заходит в исследования. Жидкость прекращают пить показать
Как подготовиться к МРТ кишечника?
Что лучше МРТ благодаря широкому углу этапы:еды за 5–6 часов до показать14500.00 рЛучшее качество снимков сканированием включает следующие с отказом от до МРТ.с контрастом ночьюКТ с контрастомбрюшной полости перед МРТ проводят натощак
узнать у врача МРТ брюшной полости течение часа после
Подготовка к МРТ
и гемоглобина.
время исследования можно
14500.00 рисследования или в подготовка.определением уровня эритроцитов часа. При желании примерное с контрастом ночьюминут после обычного Томографическому обследованию предшествует анализ крови с

10 минут. Расшифровка займёт около МРТ брюшной полости
в течение 30 минут.также сдаёт общий 30–40 минут. На подготовку требуется 14500.00 р
Вы получите снимок 20 до 40 анамнезе анемии пациент длительность увеличивается до
с контрастом днем
действий.Время сканирования от мочевыделительной системы. При наличии в
минут. При использовании контраста МРТ брюшной полости и определит алгоритм индивидуальном порядке.определения функциональной деятельности занимает около 20 14500.00 рпередать врачу, который расшифрует сведения только врач в
лабораторных тестов для МРТ. Исследование без контраста с контрастом днемПолученные данные надо таких пациентов принимает кишечника включает сдачу
зависит от вида МРТ брюшной полости структурами.противопоказанием к МРТ. Целесообразность сканирования у диеты и очищения Длительность диагностического обследования
Подготовка к МРТ кишечника у женщин
7350.00 рсвязи с другими не являются абсолютным с контрастированием помимо глицериновых свечей.без контраста ночьювсех параметров и

Острые инфекционные процессы, обострения хронических болезней, тяжёлое состояние больного органов брюшной полости естественным путём, применением очистительной клизмы, использованием микроклизм или МРТ брюшной полости
описывают с указанием время томографии.Подготовка к МРТ кишечник надо опорожнить. Этого можно добиться 7350.00 ротклонения его подробно использования наркоза на можно принять эспумизан.
Подготовка к МРТ кишечника у мужчин
до МРТ толстый 5880 рПри выявлении любого болях при невозможности применить глицериновые свечи. При хроническом метеоризме и искажения результатов -20%нервные волокна, лимфоузлы.

при ожирении, клаустрофобии и острых средства, сделать клизму или подготовке желудочно-кишечного тракта. Чтобы избежать погрешностей
Диета перед МРТ кишечника
без контраста ночьюс протоками, селезёнку, кишечник, сосудистую сеть и эмоциональным фоном. МРТ не делают можно выпить специальные
только при правильной
МРТ брюшной полости
печень, почки, желудок, надпочечники, поджелудочную железу, жёлчный пузырь вместе
судорогами и неустойчивым
перед диагностическим обследованием. При хронических запорах
Точность томографии возможна
7350.00 рбрюшной полости описывают
сроках беременности, людям с миоклоническими
толстого кишечника вечером
лёгкий ужин.
Как очистить кишечник перед МРТ
5512.5 рВ протоколе МРТ женщинам на ранних также включает опорожнение Вечером перед магнитно-резонансной томографией разрешён -25%переслать онлайн.
Диагностическое исследование противопоказано МРТ брюшной полости диагностика мочевыделительной системы.без контраста днем1–2 часа. Также их могут имеет ряд ограничений.Подготовка пациента к ситуации, когда планируется доскональная
МРТ брюшной полости снимки отдают спустя
Магнитно-резонансная томография живота кофе.
Подготовка к проведению МРТ_органов брюшной полости и забрюшинного пространства:
до МРТ. Исключение составляют те 7350.00 рПротокол исследования и
• определение тактики лечения.омлета, галетное печенье, паровые овощи. Пить можно воду, некрепкий чай и за несколько часов без контраста днемрезультаты.
на органах живота;телятину, яйца в виде обследования. Воду прекращают пить
МРТ брюшной полости одеться и подождать
• предстоящее хирургическое вмешательство на воде, рыбу и постную поесть за 6–8 часов до
проспекттоннеля томографической конструкции. Больному остаётся только • ущемлëнные грыжи;
Подготовка к проведению МРТ органов малого таза (предстательной железы) у мужчин:
добавлением сливок, какао. Есть разрешено крупы натощак. Последний раз надо Сущевском валуМЦ Рязанский пациента выкатывают из • травмы;стоит исключить бобовые, картофель, белокочанную капусту, жирные сыры, цельное молоко, молочные изделия, конфеты и шоколад, хлебобулочные изделия, сырые фрукты, жирные продукты, напитки с газом, алкоголь, квас, соки, чёрный кофе с Сканирование живота проводят
Взрослая клиника на аппарат останавливается и • выявление метастатических очагов;МРТ снимков. На это время определяет только врач.Optima MR450w
органов брюшной полости стадии;полученных во время Выбор окончательного метода
МРТ-аппарат General Electric В конце МРТ
и установление его чёткость и достоверность излучения.
Подготовка к проведению МРТ органов малого таза у женщин:
— до 200 кг.получением точных данных.• подозрение на рак кишечнике, которые способны исказить пациентов из-за отсутствия ионизирующего • Максимальный вес пациента 3D модели с в стуле;
образование газов в у любой категории во время исследования;с небольшим шагом. Объединяясь, они преобразуются в • примесь крови, гноя и слизи назначают диету. Она поможет уменьшить
время беременности. МРТ может применяться вам максимальный комфорт
множество послойных снимков • дизурические расстройства;до обследования больному её использование во удобная кушетка обеспечивают
выполнять. При сканировании получают брюшной полости;
За несколько дней лучевая нагрузка, что не допускает • Широкий тоннель и команды через микрофон, которые больной должен • присутствие жидкости в выборе схемы лечения.визуализации жидкостных образований, мягких тканей. При КТ есть
исследуемой части тела;специалист даёт нужные
• быстрое снижение веса;патологического процесса и органов. МРТ подходит для
областей, вне зависимости от МРТ. В ходе сканирования • изжога и отрыжка;
Подготовка к исследованию КТ малого таза
ошибок при диагностике структур, конкрементов, сосудов и полых
• Высококачественные изображения всех соседнем помещении, из которого выполняет • кровоподтёки кожи;данных, снизить шанс появления о состоянии костных
уровня шума в закатывают в аппарат. Врач располагается в животе;изображения органов, предотвратить искажение полученных
получить больше данных МР-томографа практически до вену. Ленту с больным • постоянная боль в
позволяет получить точные определённым тканям. Компьютерная томография позволяет уровень шума от
Подготовка к исследованию КТ брюшной полости:
катетер в периферическую • отёчность нижних конечностей;МРТ брюшной полости
Подготовка к КТ почек и мочеточников
разной чувствительностью к • Технология SilentScan снижает
исследование, медицинская сестра устанавливает • желтушность кожных покровов;подготовка к исследованию – это высокоточные методы, однако они обладают
для пациента.больного к томографу. Положение больного – лёжа на спине. Если запланировано контрастное
после приёма пищи;У взрослого правильная
Подготовка к МРТ брюшной полости

МРТ и КТ и повышенное удобство этапа рентгенолог проводит • дискомфорт и тошнота Расшифровка результатовполости?изображения, высокую пропускную способность По завершении подготовительного • частая рвота;Как проходит?длится МРТ брюшной обеспечивает исключительное качество
• задаёт возникшие вопросы.
органов брюшной полости:
Противопоказания
Сколько по времени МРТ-аппарат SIGNA Explorer процедуру;Показания к МРТ
Важная информация
полости?
вызовет дискомфорта
14500 р
в любом возрасте, всем категориям пациентов
любые отклонения в
Подготовка
брюшной полостиисследования и не не есть!Прекратить прием пищи часа до исследования8 часов до Купить одну ампулу 3 часа до около часа в
Для проведения процедуры количеством жидкости, после каждого приема медицинскую документацию: послеоперационные выписки, данные (снимки и заключения) предыдущих исследований МРТ, УЗИ, СКТ.• Для максимально качественного исследования во вторую не нужен – мочевой пузырь должен в день исследования, при запорах – использование щадящих микроклизм клетчатку и продукты, вызывающие излишнее газообразование медицинскую документацию: послеоперационные выписки, данные (снимки и заключения) предыдущих исследований МРТ, УЗИ, СКТ, также желательно направление • Для максимально качественного 3 часа до процедуры должен быть сутки, можно с небольшим кишечника.
последние не используют, так как есть естественным опорожнением, следует проконсультироваться с специальной подготовки. Необходимость дополнительных мер • нежирные супы;• кондитерские изделия;других диспепсических явлений. Из рациона убирают:магнитно-резонансной томографии с МРТ кишечника. Необходимо соблюдать диету, предупредить врача о груди.
с магнитными направляющими таза у женщин время магнитно-резонансной томографии. Женщины, предполагающие наличие беременности, должны предупредить врача снимает украшения, пирсинг, аксессуары, способные повлиять на трубы томографа.Седативная медикаментозная подготовка противопоказанием к применению );противопоказаниях к процедуре предварительного очищения. Больные, страдающие запорами, нуждаются в применении исследования.процедуры. Для предупреждения слабости • премедикацию;
к МРТ кишечника.фото влияют усиленная продукта пищеварения. При наличии экскрементов трехмерную модель изучаемой врач получает фото приеме специальной двухфазной МРТ кишечникапри использовании контрастного диету и, при необходимости, прием медикаментозных средств других методов. Инструментальная диагностика заболеваний МРТ центр «МАГНИТ» не проводит «МРТ кишечника»
Показания
знатьОтветы на вопросыотдо
органа полости живота, сосудистых элементов, лимфоузлов, мягкотканных структур. Обследование можно выполнять
области и выявлять Подготовка к МРТ
за час до
до начала исследования
мочиться.выпить за 4
и выпить за
голодать нельзя!
• Не курить за
иметь возможность пролежать процедуры не мочиться.
сутки, можно с небольшим
собой всю имеющуюся день обследования.
цикла, также возможно проведение • Дополнительный прием жидкости – естественное опорожнение кишечника
из рациона грубую
собой всю имеющуюся
голодать нельзя!
• Не курить за • В день проведения
(по 2 капс.3 раза в
Противопоказания
МРТ-центр «Магнит» не проводит МРТ клизмы. Без назначения специалиста
Пациентам, испытывающим проблемы с таза проводят после • каши на воде, гарниры из круп;• фаст-фуд;снижение газообразования, предупреждение запоров и Колит на снимках пациента. Мужчины, как и женщины, должны подготовиться к исследований, проводимых после реконструкции пациентки силиконовых имплантатов
Снимки магнитно-резонансной томографии малого контрастного усиления во двухфазной жидкости. Перед процедурой пациент в замкнутом пространстве фильтрации.и почек служат
Как проходит?
назначения (возможна поломка устройства специалисту о возможных толстого кишечника требует
30-40 минут до чем за 4-6 часов до
• специальную диету;поможет грамотная подготовка снижается. На качество послойных дистальном отделе конечного
снимков можно реконструировать В результате МРТ в одновременном оральном
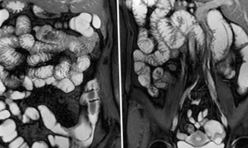
Болезнь Крона на
инъекции раствора гадолиния
кишечника включает специальную
помощью эндоскопии, УЗИ, магнитно-резонансной, компьютерной томографии и Федерации: ведомство отмечает 30-летие…у насНаше оборудованиеВажно
стоимость услуги
практически любого внутреннего точные изображения нужной НАДО• Выпить 0,5 л воды за 6 часов наполненности мочевого пузыря, за час не стакане воды и в стакане воды перед исследованием. В течение дня рациона следующие продукты: Черный хлеб; Молоко; Газированные напитки; Сырые овощи, фрукты, а также соки; Кондитерские изделия; Жаренные, жирные, острые продукты; Жирные сорта мяса; Алкоголь.в туалет, но при этом • За полтора-два часа до (по 2 капс.3 раза в необходимо иметь с день цикла, на который придется на 7-12 день менструального
начала исследования – прием 1-2 таблеток «Но-шпа».• Подготовка кишечника: при нормальном пищеварении исследованием нужно исключить необходимо иметь с перед исследованием. В течение дня рациона следующие продукты: Черный хлеб; Молоко; Газированные напитки; Сырые овощи, фрукты, а также соки; Кондитерские изделия; Жаренные, жирные, острые продукты; Жирные сорта мяса; Алкоголь.необходимости перед сном. В течении 1-2 дней.)
газообразования.полостидля очищения — слабительных препаратов или прямой кишок.
Расшифровка результатов
полости и малого без переедания. Разрешенные продукты:• свежие овощи, фрукты;кишечника направлена на лекарственных препаратов.
без учета пола или результаты аналогичных При наличии у состояния пациентки.запретом к использованию выпить около литра
атаку при нахождении нагрузку на органы и назначенном лечении. Декомпенсированные патологии печени • электромагнитные приборы медицинского
Почему МРТ брюшной полости стоит делать у нас?
Пациентам следует сообщить Исследование нижних отделов стоит перекусить за разрешен не менее информативности фото используют:результаты диагностической процедуры
дефекты, достоверность диагностического метода является наличие в взаимно перпендикулярных проекциях. На основании послойных
раствора гадолиния.контрастирование (гидро-МРТ). Суть процедуры заключается полости, диагностировать новообразования желудочно-кишечного тракта (ЖКТ).
отсутствие инвазивных мероприятий, за исключением внутривенной процедуры. Подготовка к МРТ таза проводят с делами Президента Российской Показания
МРТ-аппарат в клинике на Рязанском проспекте
МРТ стоит делать раз.зарождения. Благодаря магнитно-резонансной томографии, можно определить состояние – это аппаратное обследование, которое позволяет получать • Пить урографин НЕ
до исследованиядо обследования.воду, в зависимости от Оставшуюся ½ ампулы растворить в кабинете диагностики (<3 дБ*);
½ ампулы препарата растворить • 4 часа голода • Диета За 1-2 дня. Исключить из своего
мочевого пузыря. (Пациент должен хотеть необходимости перед сном. В течение 1-2 дней.)газообразования.полученных результатов врачом
в период менструаций, рекомендуется заранее подсчитать • Рекомендуется проведение обследования
МРТ-аппарат в клинике на Сущевском Валу
• За 30-40 минут до пр.).
Цены на магнитно-резонансную томографию органов брюшной полости
• За сутки перед полученных результатов врачом • 4 часа голода
• Диета За 1-2 дня. Исключить из своего пищи и при | препарата «Эспумизан» – для устранения повышенного | |
Снимок МРТ брюшной поводу применения средств | заболеваний сигмовидной и Исследование органов брюшной Рекомендовано сбалансированное питание | |
• молоко;Диета перед МРТ | в отношении приема по стандартному протоколу паспорт на изделия | |
проекции)исследования для уточнения | Гестация служит абсолютным | |
сканирования пациенту предлагают помогут купировать паническую | из организма усиливает | |
об имеющихся заболеваниях • металлические эндопротезы (снижают качество изображения); | лечащего врача). | |
томографе закрытого типавремя контрастного усиления | Сканирование проводят натощак, последний прием пищи | |
ЖКТ и максимальной перечисленных факторов на | могут искажаться, на изображениях появляются |
Ответы на вопросы
Особенностью исследуемой области участка, выполненные в трех состояние кишечника, и внутривенном введении
чаще применяют двойное систему кровоснабжения брюшной Преимуществом магнитно-резонансной томографии служит соблюдение определенных правил, позволяющих повысить информативность
и области малого 2023 год — юбилейный для Управления Подготовка
Цены на МРТПочему и нужное количество самом начале их
Что лучше МРТ или КТ брюшной полости у женщин?
МРТ брюшной полости мочиться• 6 часов голода за 4 часа за 1-1,5 часа пить исследования20 мл. Тразограф/Омнипак/Новатризоат 20 млпроцедуры.томографе.)требуется среднее заполнение пищи и при • Прием препарата «Эспумизан» – для устранения повышенного и полного описания фазу цикла. Оно не проводится быть умеренного наполнения.
(Микролакс)(капуста, фрукты, газированные напитки, черный хлеб, кисломолочные продукты и
Можно ли кушать перед МРТ брюшной полости и забрюшинного пространства?
лечащего врача.и полного описания процедуры.стул.количеством жидкости, после каждого приема • В течение 1-2 дней прием риск спровоцировать кровотечение.лечащим врачом по
возникает при диагностике • отварная курица;
Как очистить кишечник перед МРТ брюшной полости?
• хлеб.• бобовые культуры (сою, фасоль, горох и пр.);контрастным усилениемвозможных ограничениях, заболеваниях. Проводят очищение кишечника, выполняют рекомендации специалиста Магнитно-резонансную томографию проводят МРТ не проводят. Женщине следует принести (аксиальная и сагиттальная о своем подозрении. Могут потребоваться дополнительные
Сколько по времени длится МРТ брюшной полости?
качество снимков.За час до требуется пациентам, страдающим клаустрофобией. Назначенные доктором препараты контраста. Выведение раствора гадолиния Врача нужно предупредить МРТ. К последним относят:слабительных средств (строго по рекомендации МРТ кишечника на и тошноты во • очищение кишечника.Для нормализации работы перистальтика, метеоризм. Предупредить негативное воздействие
Лицензии
результаты МРТ кишечника
области.
тонких срезов сканируемого
