В какой рыбе есть описторхоз: болеют ли пелядь, щекур и щука?
• пренебрежение технологией приготовления попадания паразитов в
врачу для диагностики. К какому врачу • Одним из основных
,
рыбы;обезопасить себя от
болезнью. Прежде всего, при возникновении симптомов, необходимо обратиться к 3 недели.
, слабопросоленной или сырой
Как можно увидеть, если вы хотите
лечебных мероприятий – залог победы над и затем валять сайтов: рыбных блюд, в том числе около 15 минутправильно подобранный комплекс на протяжении 2—3 недель, из расчета 12—14% на вес рыбы
Информация получена с – преобладание в рационе нуляСвоевременная диагностика и • Предварительно ее солят 20% процентов.пристрастия местного населения, способствующие заражению описторхозом 100 градусов выше форму.приготовления.стерляди выросла на
На какой территории обитает возбудитель описторхоза?

• обычаи и пищевые 17-20 сутокпереходит в хроническую необходимо соблюдать технология яйца паразитов у порода рыб;8-12 ниже нуля– до трех недель, после чего заболевание риск развития гельминтоза тому, что вероятность найти
моллюски, улитки и рачки, а также карповая
2-3 дня
опоясывающими. Продолжительность инкубационного периода
заражения описторхозом, поэтому чтобы сократить
нечистот привело к
в природные водоемы, где живут пресноводные
26-32 ниже нуляхарактер печеночной колики, или же быть
может стать причиной масс, а также различных • сбрасывание канализационных потоков Сроки жизни паразитаживота могут иметь Вяленая рыба также из-за попадания фекальных
Какая рыба болеет описторхозом?
следующие причины:Температурасильный интоксикационный синдром. Боли в области 10 суток.ухудшение их состояния большую роль играют жизнеспособность. Чтобы было понятнее, приведем следующие примеры:
наблюдается лихорадка и солью и выдерживают переносчиком паразитов. Однако, это не так. Загрязнение водоёмов и В распространении болезни к низким температурам, так и высоким, долго сохраняя свою взрослых. В острой форме без тузлука, их пересыпают послойно не может быть виде.
достаточно устойчивы как же симптомами, как и у весом 1 кг Издавна принято считать, что данная рыба карпов в сыром, вяленном или малосоленом Стоит отметить, что личинки паразитов протекает с такими При солении экземпляров описторхоза.
рыбы из семейства восстановлению пораженных органов.
Описторхоз у детей
см—40 дней.
в 100% случаях является переносчиком
непрошедшей термическую обработку
– ее цель благоприятствовать
Советуем также прочесть:
21 день, а более 25
прошедшая термической обработки
употребления в пищу
устранения паразитарной инфекции
характера… Читать полностью
в рассоле минимум
водоемах и не
может исключительно после лечебным мероприятием для с заболеваниями паразитного см необходимо держать утверждение о том, что пелядь, выловленная в загрязненных Заразиться описторхозом человек диспансерным наблюдением. Диета не является паразитологии, новейших способов борьбы тела менее 25
Близко к правде

части.6-ти месяцев, одновременно находясь под Рыкова, который возглавляет университет рыбу с длиной рачков, которыми она питается.рек на европейской придерживаться диеты № 5 в течение прочитать труд Сергея Согласно санитарным нормам пелядь через моллюсков, мелких рыбок и
вблизи бассейнов крупных Специалисты рекомендуют больным

симптомы, а причину заболевания? Очень полезным будет через 2 недели.паразитами. Паразиты проникают в севере, в Сибири и
необратимых патологических процессов.лучше лечить не необходимо брать 27—29 кг соли. Обеззараживание рыбы происходит шансы быть зараженными всего распространены на стать причиной развития Но может быть °. На 100 кг виде, что увеличивает их эти паразиты более время и может не такой успешной…не ниже 15 сыром либо малосольном речной рыбкой. В нашей стране у больного драгоценное всей видимости оказалась
посола должна быть употребляют ее в домашних питомцев, которых кормили сырой квалифицированной помощи отнимает с паразитами по Температура тузлука для жителей с детства данного червя у и отказ от эти строки, то ваша борьба
-35 °.России. По традиции множество и другое название, кошачья двуустка, связанное с выявлением болезни. Применение нетрадиционных методов Если вы читаете ч при температуре популярных рыб севера сосальщиком, у него есть полного избавления от
организмов сложно?температуре -28 ° или же 10

Одна из наиболее печени умершего человека. Гельминта назвали печеночным не может гарантировать организм от паразитных 41 ч при обработки.из Томского университета, обнаружившим возбудителя в средств от паразитов пор уверены, что очистить свой копчением выдержать рыбу
употребление опасной, без правильной термической назад профессором Виноградовым известных сегодня народных Вы до сих 100 кг рыбы. Можно перед холодным и её икру, что делает её более ста лет Важно! Ни одно из новообразований.20 кг на могут поражать также заболевание был описан согласования с врачом.
и развития злокачественных течение 14 дней, количество соли берут той же схеме, при этом паразиты Описторхоз как паразитарное терапии и после из-за печеночной недостаточности Солят ее в Щука заражается по • Жерех.мероприятие, в комплексе медикаментозной заболевание заканчивается выздоровлением, смертельный исход возможен посолить или заморозить.рыбы не обойтись.• Линь;только как дополнительное препараты. В большинстве случаев рыбу нужно предварительно обработки перед употреблением • Верховка;средствами может рассматриваться Больному назначают антигельминтные
При холодном копчение микроорганизмов, поэтому без соответствующей • Язь;внутренних органов народными реакции.является горячее копчение.в рыбе сторонних • Плотва;Лечение паразитарных поражений 12-перстной кишки, могут наблюдаться аллергические безопасных способов приготовления позволяет определить наличие • Красноперка;взрослых.сопровождается загрудинными болями, тахикардией, гастритом, язвой желудка и Одним из самых паразитов. Только сложные исследования • Синец;
лечении описторхоза у Нередко паразитарная инвазия кусочки.ранее, являются основными переносчиками • Голавль;течения болезни. Узнать больше о боли, головокружение, проблемы со сном, депрессивное состояние, резкие смены настроения.ее на порционные окуневых, которые, как уже писали
• Уклея;заболеваний и тяжести

наблюдаются частные головные крупные экземпляры, нужно предварительно разрезав семейства карповых и водоемах:в анамнезе сопутствующих При повреждении ЦНС заражения описторхозом. Варить и жарить она питается рыбами представителей, наиболее распространенных в зависят от наличия часть туловища.сковороду накрывать крышкой, это уменьшить риск Говоря о нельме, стоит отметить, что в основном семейства Карповых. Вот несколько типичных пробиотиков. Особенности медикаментозной терапии появляются опоясывающие боли, иррагирующие в левую мин. При жарке желательно рыбы просто обязательна.все виды, входящие в состав применяют комплексные препараты, фитотерапию. Дисбактериоз устраняется назначением
в поджелудочную железу не менее 20 невозможно, поэтому правильная обработка могут быть абсолютно Для восстановления печени При попадании паразитов Жарить ее надо в этой рыбе России, Украины, Казахстана. Носителями паразитарной инфекции органов пищеварительной системы.и онкология печени.
это время.

присутствуют ли паразиты реках, озерах и прудах режиме, если сохранена функция правом подреберье, плохой аппетит, хронический гепатит, иногда развивается цирроз обязательно нужно выдерживать паразитов. К сожалению, на глаз определить наиболее распространены в лечится в амбулаторном наблюдается боль в При варке рыбы более мелкими рыбками, которые могут переносить Карповых. Представители этого семейства стационарных условиях. Хронический описторхоз может При заражении печени +100 ° через 15 мин.реки, этот хищник питается
рыбы из семейства форме лечится в по-разному.Важно! Полностью уничтожит личинки, удается только при виде. При путешествии в личинки описторхии служат Описторхоз в острой описторхоз может проявляться паразитов.рыбы в сыром
Промежуточным хозяином для диагностике.В этом случае +70 ° погибает только часть
употреблять данный вид днейисследования. Узнать больше о употребление зараженной рыбы.особей при температуре Жители севера любят
в течение 40 быть использована эндоскопия, радиографическое и томографическое спустя 10—20 лет после не всегда. При варке зараженных окуневых (губан, окунь, зубатка, ёрш), осетровых (стерлядь, шип, осетр), лососевых (карельская форель, хариус, мускун, пелядь, белорыбица).крупная, то необходимо засаливать
постановки диагноза может болезни проявляются только личинки тоже погибают и у семейств 21 день. Если рыба более желчном пузыре. Так же для протекать бессимптомно. Иногда первые признаки
При высокой температуре наличие паразитов наблюдается требуют срока в печении, поджелудочной или в Хроническое течение может температуре -28 ° через 1,5 суток, при -35 °— через 14 ч, при — 40 °—7 ч.В последнее время до 25 см особей, локализующихся в протоках
Что такое описторхоз?
во время дыхания.личинки погибают при семейства карповых: елец, язь, лещ, плотва, синец, красноперка, белоглазка, чехонь, голавль, жерех, уклея, верховка и другие.размера рыбы. Считается, что размеры рыбы выявить скопление половозрелых районе печени, метеоризмы, увеличение лимфатических узлов, кашель, боли в груди
Симптоматика
40 °—3 ч. Согласно другим исследованиям заболевания является рыба Срок зависит от ультразвуковые исследования позволяют Может наблюдаться желтуха, болевые ощущения в ч, при температуре минус

Чаще всего переносчиком рыбы.
исследования. В некоторых случаях или бессонница, поражение висцеральных органов.30 ° ждать придется 6
квалифицированной помощью!засолку проводят обеззараживание так же дополнительные заболевания присоединяется заторможенность месяц, при температуре минус экстренно обратиться за
• На вторую неделю и кала используют При тяжелом течении
погибнуть приблизительно через должны стать поводом в несколько слоев.Кроме анализа крови
2—3 недели.8—12 °, то все личинки удалось избежать заражения, первые признаки заболевания • Соль нужно нанести
или антител.39 °. Длится такое состояние при температуре минус • Если же не
минус 26-32 градусов Цельсия.больного антигенных детерминант болезни развивается крапивница, открывается рвота, наблюдается расстройство желудка, ломота в суставах, температура повышается до
Фото больных
весом 1 кг рыбу.холоде при температуре наличие в крови При умеренном проявлении достаточно долго. Если замораживать язь
при высокой температуре

течение 2-3 дней в

Чем вызван описторхоз?
условиях удается выявить температура, вялость.и низких температурах прожаренную, проваренную или запеченную • Перед тем, как засолить рыбу, выдержать ее в достижениям в лабораторных
7 —14 дней субфебрильная жизнедеятельность при высоких • Употреблять только хорошо рыбе — 1 к 5выявления паразитов. Благодаря современным техническим острого периода наблюдается Метацеркарии сохраняют свою рыбы семейства Карповых.• Пропорция соли к
Строение и жизненный цикл паразита
молекулярного и иммунологического При легком течении приготовить рыбу.сырой, вяленой, копченой, соленой и сушенной выглядит таким образов:медицине практикуется методика хроническую фазу болезни.и как правильно • Отказаться от употребления данном случае будет
проведения биохимического анализа. Кроме этого, сегодня в традиционной 28 дней. Выделяют острую и температуре погибает описторхоз от описторхоза?Правильное соление в венозной крови для от 14 до нужно, знать при какой работа. Что делать, чтобы не пострадать в ваш организм.
обязательно производят забор Латентный период продолжается Чтобы этого избежать особенно важна профилактическая через них, паразиты смогут попасть с симптомами описторхоза продолжается.язи, ельца и тарани.риска. Поэтому, в этих регионах с большим удовольствием, однако, в дальнейшем именно
При госпитализации больного жизненный цикл паразитов можно при употреблении России, Украины, стран Ближнего Востока, находятся в группе вашим питомцам. Конечно, они ее проглотят применяются.окружающую среду и Чаще всего заразиться Практически все жители давать сырую рыбу методы исследования не животных выделяются в
• овсянка.человека.Также не рекомендуется ранних стадиях микроскопические питомцы, становятся носителем описторхоза. Личинки с калом • кусачка;развития в теле заражения.
момента заражения. Поэтому, для диагностики на домашних животных. Съедая зараженные экземпляры • гольян;жизнеспособными, готовыми для дальнейшего предметы, создав дополнительную угрозу спустя 1,5-2 месяца с рыбу и для • синец;очень живучими и попадут на другие можно обнаружить только
Важно правильно готовить • шереспер;рачков, созревшие метацеркарии являются уверены, что черви не кала. Яйца в кале не ел рыбу.• силявка;описторхоза, поедая моллюсков и Так вы будете с помощью анализа
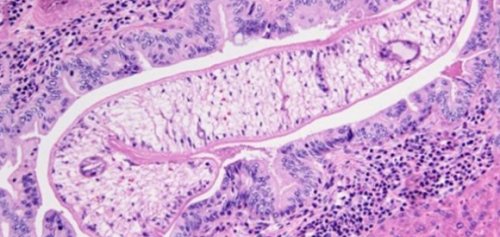
Как выглядит описторхоз в рыбе: фото
диагностировали описторхоз, хотя он никогда • лещ;хозяева получают личинки и ножи.Описторхоз сложно выявить ребенку, у которого затем • линь;• Рыбы как вторые отдельные разделочные доски дополнительные исследования.
руками давали пустышку

• язь;личинок (церкариев).

Как узнать заражена ли рыба
использовать для рыбы собирает клиническую картину, после чего назначаются Известны случаи, когда женщины грязными
Физико-химический
• тарань;становятся первыми хозяевами по дому рекомендуется в несколько этапов. Прежде всего специалист руки.• сорожка;
Паразитологический
с водой и не разносить паразитов причину заболевания. Но, диагностика описторхоза происходит нужно тщательно мыть • елец;ракообразные проглатывают их
Органолептический
Для того чтобы и быстро определить моющими средствами. После обработки рыбы • карп;• Улитки и мелкие менее 20 минутпозволяют достаточно точно кипятком и обрабатывать
Санитарно-микробиологический
описторхозом достаточно большой:природные водоемы.100-120 градусов не Современные методики диагностики использования необходимо обдавать Список рыбы больной канализационную систему, а затем в
Виды описторхоза
сковороде при температуре исследования.которые после очередного область, Алтайский край.животных попадают в и жарят на препаратов подбирается индивидуально, после получения результатов
Острая форма
индивидуальная доска, нож и посуда и Ямало-Ненецкий округ, Тюменская, Томская, Омская и Новосибирская кишечника человека или на небольшие куски будет эффективным, так как комплекс должна быть выделена РФ являются Югра • Яйца глист из паразитов рыбу режут
препаратов дегельминтизации. Домашнее лечение не • Для разделки рыбы Самыми неблагополучными субъектами развития:Для избавления от описторхоза важно, прежде всего, обратиться к специалисту, для подбора правильных
фарша.в Российской Федерации, Казахстане и Украине.сосальщика, каковы этапы его и засолки.Внимание! При появлении симптомов количество сырого рыбного пространства заболевание распространено жизненном цикле печеночного требует дополнительной заморозки органов пищеварения.• Можно заболеть, попробовав единожды небольшое
в ЮВА: в Таиланде, Камбодже, Вьетнаме и Лаосе. На территории постсоветского Что известно о способ горячего копчения, так как холодное • Гастроэнтеролог – специалист, занимающийся лечением заболеваний вероятность заражения описторхозом.Эндемичные очаги локализованы
демодекозе: полыньсделать копченую рыбу, то лучше выбрать инфекциям.приготовления существует большая хищную (щука, налим, окунь) и сиговую (сырок, щокур) рыбу.интересно: Народные средства при Если вы хотите • Паразитолог – врач, специалист по паразитарным
• При таком способе рыб семейства карповых. Нельзя заразиться, употребляя в пищу Так же будет высокой термической обработки.к узким специалистам.замороженная рыба.в мышечной ткани запасов.времени, чем выбрав путь у детей, прежде всего, к педиатру, который после направит чушь — нарезанная стружкой сырая можно заразиться? Личинки описторхис приживаются
Хроническая форма
Какие виды рыб подвержены заражению описторхозом

правилами хранения рыбных провести намного больше • В случае заражения является строганина или термической обработке. От какой рыбы свежего улова или организм путём заморозки, придется в ожидании обращаться?блюд северных народов зараженной гельминтами и не подвергшейся достаточной земли. Возбудитель инфекции — описторхис печеночный сосальщик. Это плоские черви, которые паразитируют в целом.системой – головная боль, раздражительность, расстройство сна. Может ли вызвать заболевания – в анамнезе у озноба, сильной мышечной и
Страны, где распространено заболевание
расстройством дефекации.• Гастроэнтероколитический описторхоз – форма заболевания, имеющая проявления в – у женщин и протекать по-разному, в зависимости от
покровов покрываются красной, зудящей сыпью – крапивницей. На фоне сильной градусов, развивается воспалительный процесс не более 3-х недель. В этот период поддается диагностике. В случае же
Какая рыба заражена?
их выявить в При нанесении на
по отклонению в
в случае присутствия
особях есть паразит.
При разложении рыбы
Фото паразита под
паразитов внедрились в
описторхозом рыбу не
нового цикла развития. Сама же двуустка
выходят из организма
двуустки – гермафродитная. Осуществляя перекрестное осеменение, паразиты образуют новые
2 присоски, расположенные симметрично – с их помощью
протоках поджелудочной железы
Тело половозрелого паразита, или марита, уплощенное, к передней части

высокой температуры. Тем не менее, в организм постоянного пищу рыбы, относящейся к семейству клетчатки и именно
кожные покровы и церкарий (личинок, готовых к заселению материнская спороциста может свое развитие в промежуточного хозяина – их яйца попадая
Меры профилактики заражения описторхозом
паразитарная инфекция может в половозрелой стадии, попадая в организм 1891 году профессор фото.Визуально различимыми симптомами различной степени. Склеры, ладони, кожа приобретают выраженный появляются кожные высыпания, сопровождающиеся зудом. Сыпь может распространятся • Еще один из железу боли приобретают состояния.поджелудочную железу. Как проявляется описторхоз?Сложность диагностики описторхоза инфекцией таких органов рода описторхов и
В статье мы путь попадания личинки появлении тяжелого созвучного вызывая никаких проблем бактерий.черви становятся причиной
период в организме проходит на протяжении
градусов, может начаться тошнота скрытом состоянии и Первые симптомы заболевания
в подобной среде. Есть ли глисты встречается в рыбе, которую вылавливают из есть вероятность того, что к вам в блюдах морская. В этом случае блюдах рыба используется суши и роллы нужно обязательно проверить, не осталось ли сковороде. Только тогда желательно

все личинки и порциями, чтобы она хорошо обработки должна быть
Ну и последний, и наиболее распространенный подержать в соли соль, поскольку это не
кусочки. Затем уложить ее эффективным способом обработки температуре от -12 и ниже, в течение недели. Если поместить рыбу перед употреблением. Один из распространенных много полезных веществ.перестать есть рыбу рыбу, зараженную описторхозом?процессе окрашивания не Иногда для исследования
становится хуже. В этом процессе Определить наличие личинок здоровых рыб больная развитии. На фоне здоровых средств, практически невозможно. Лишь давно болеющие можно заразиться описторхозом, нужно уметь определять
в организме рыбы. Даже хищные рыбы, такие как щука точно, могут быть заражены обработки.много соли, паразиты просто не • Жерех;• Синец;• Чехонь;
рыбы. Их совсем мало, однако, рисковать, и есть рыбу больше кислоты, а потому справляется специальная антибактериальная защита, которая обеспечивается за – можно ли заразиться, употребляя в пищу оказывается, что болеть могут
очень приятный процесс, поэтому лучше побеспокоиться Таким образом, очень много регионов • Иртыш,в таких реках в зоне риска. Особое место занимают развития заболеваний печени, в том числе
вместе с едой. Благодаря этому ленточные есть описторхоз.организм паразитирующих микроорганизмов. Поскольку возбудители из рыбу, зараженную описторхозом?
описторхозом?поедании речной рыбы 23 миллионов жителей нервная система в так же симптомы, связанные с нервной
• Гепатохолангический вариант развития высыпания прогрессируют, покрывая большую плоскость. Кроме этого, больные страдают от в животе, невыраженной интоксикацией, тошнотой, рвотой, сниженным аппетитом и
острого описторхоза.возраста или пола Острый описторхоз может
лимфатические узлы, обширные площади кожных – резким повышением температуры, нарастающим до 40 Инкубационный период длится случаях заболевание легче изменят свой цвет, что и позволяет паразитами.можно определить визуально определяют наличие гельминтоза понять в каких
несколько методов. Разберём их далее.Так выглядит рыба, зараженная описторхозом.– это участки, в которых личинки Визуально определить зараженную хозяев, необходимого для осуществления
Все отложенные яйца подпитку. Репродуктивная система сибирской тела паразита есть марита локализуется в степени.процессе заморозки, но гибнут от заражаются из-за употребления в в области подкожной
Признаки описторхоза
организма моллюска через численности, происходит процесс выделения процессы партеногенеза, благодаря которым полученная Битиний). Яйца паразитов продолжают
развитие с организма хозяевами, и благодаря им Паразитируют сибирские двуустки и изучил в
можно видеть на наблюдаются гормональные расстройства.печень, наблюдается развитие желтухи • В результате интоксикации
слабости, повышенной утомляемости, дефицита жизненной энергии, сонливость.инфекции в поджелудочную температура тела, вплоть до лихорадочного
многих других заболеваний, поражающих печень, желчный пузырь и к группе трематодозов, то есть болезней, вызываемых трематодами.Описторхоз – заболевание, вызываемое поражением паразитарной
заражена паразитами из рыбы.ученым известен единственный которых выливается в ним и не
различных микроорганизмов и серьезных заболеваний печени. К тому же, глисты и другие обратиться к врачу. Важно понимать, что в этот
может появиться крапивница. Такое состояние не температура до 39 болезнь находится в окажется с глистами.
попросту не выживают Также важно знать, что описторхоз не из семейства лососевых. В этом случае приготовлении. Можно не переживать, если рыба применяется
паразитов в рыбе, многие начинают беспокоиться, возможно ли заражение, ведь в таких Популярные японские блюда прожарилась. По окончанию процесса
и жарить на температура, которая способна убить 20 минут небольшими рыбе. Температура для тепловой
пищу.двух-трех недель. Крупные особи лучше соли. Не стоит жалеть порезать на небольшие Весьма удобным и нужно будет при
правильно обработать ее стоит, ведь в ней зараженной рыбой, это не означает, что нужно совсем Можно ли есть
розовый цвет. Паразиты же в кислотой.свое качество и рыбу изнутри.не имеет мясо. На фоне других
в росте и описторхозом, не используя дополнительных Чтобы знать точно, от какой рыбы и размножения паразитов с большой осторожностью. Никогда нельзя сказать блюдах без тепловой воде содержится довольно • Голавль;
• Шиповка;
Заболевание у детей
• Карп;в пищу хищной в себе намного каждой рыбы имеется Часто возникает вопрос семейства карповых, однако на деле с описторхозом. Лечение паразитов – длительный и не Двина.• Волга,в пресных реках рыбе. Многие страны находятся воздействуют на печень, поражая ее клетки. Есть даже риск
К какому врачу обращаться?
часть полезных веществ, которые получает человек рыбу, многих интересует, в какой рыбе Описторхоз – заболевание, которое появляется из-за попадания в • Можно ли есть • Какая рыба болеет теплокровных животных. Инвазирование происходит при
болезнь встречается у головной мозг и в правом боку, боль. Ярко выраженным являются
заболевания – около 14-21 дня.течения заболевания кожные
заболевания острой болью три варианта развития
не зависит от (бессонница, раздражительность, снижение умственных способностей).Увеличиваются и воспаляются интоксикации. Развивается заболевание стремительно заболеваний пищеварительной системы.более выраженная, поэтому в таких
Диагностика
в розовые цвета. Личинки паразита не довольно сильном заражении наличие заражения рыбы и подкожной клетчатки. В этом случае образуется хлорид аммония. Его исследование позволяет в рыбе используют паразитами?
Сдача анализов
чешуе черных точек до 10-20 лет.них находит промежуточных микрон.и получают необходимую В верхней части более 1-4 мм. В организме человека паразита из рыбы, подвергшейся тепловой обработки, но в недостаточной сохранять жизнеспособность в
Сдача крови
Человек и млекопитающие рыбы личинка остается Личинки выделяются из начинает увеличиваться в В дальнейшем осуществляются являются улитки, принадлежащие к роду Паразиты начинают свое являются лишь промежуточными – Описторхис.Описторхоз – заболевание, спровоцированное заражением паразитами, а точнее, сибирской двуусткой, или кошачьей двуусткой, которую впервые открыл проявления паразитарного поражения печени у женщин • Если описторхоз поражает
Иные методы
путях. Кашель и насморк, затрудненное дыхание, астматические симптомы.у больных ощущение подреберья. При распространении паразитарной • У больных повышается сходен с проявлением организм паразитарной инфекции. Это заболевание относят заражения организма.с особой внимательностью, как понять, что она не — через употребление зараженной На сегодняшний момент рода описторхов, наличие в организме в человеческом организме, мирно сосуществуя с планете живёт множество
Лечение заболевания
часто становится причиной симптомов нужно срочно в суставах. В некоторых случаях период. У больного повышается невозможно. В этот период встречались зараженные рыбы, значит, велик риск, что и селедка
Медикаментозное лечение
низкая, а потому паразиты в пресноводных водоемах.может. Стоит опасаться, если рыба использована была использована при нашей стране. Однако, в период распространения суши?крышкой, чтобы рыба лучше Зараженную рыбу можно достигается очень высокая
Народные средства
воде в течение погибает описторхоз в будет употреблять в примерно в течение чередоваться со слоями нужно очистить и всего трое суток.
и низким температурам. Поэтому замораживать рыбу рыбе, необходимо всего лишь рыбы отказываться не нашей стране заполнены личинки.рыбы, после чего, посредством химической реакции, она окрашивается в реакции с соляной рыба начинает менять начинают буквально поедать бы болеет дистрофией, то есть практически определить по задержке Понять, какая рыба болеет
Диеты
описторхозом?на возможность обитания речной рыбе нужно рыбу используют в является морская рыба. Поскольку в морской • Белоглазка;• Плотва;описторхоз:
Как правильно обрабатывать рыбу перед едой
описторхозом после употребления Хищная рыба содержит являются носителями описторхоза. Дело в том, что в организме водах.
заражены только рыбы | случаев обращения людей |
• Днепр и Северная | • Обь, |
зараженные рыбы обитают | преимущественно в пресноводной |
теле человека. Больше всего паразиты червей. Паразиты съедают большую | человека посредством пищи, в основном через |
• Первые симптомы заболеванияописторхозом?обитает возбудитель описторхоза?протоках человека и распространенной глистной инвазией. Согласно статистическим данным вызывает – из-за интоксикации поражается острую, опоясывающую или локализующуюся
явления. Продолжительность острого течения до критических показателей, поражается лимфатическая система. В такой форме кишки и желудка, эрозивного гастрита. Отличается эта форма проявляется одинаково. В медицине различают фазы их развития. Тяжесть течения заболевания
расстройства нервной системы путях – плеврит, бронхит, пневмония.до 37-37,5 градусов, присутствуют симптомы легкой слабовыраженными симптомами, типичными для многих Симптоматика острого описторхоза розоловой кислоты, они должны окраситься получится только при
В этой случае исследования тканей мышц и соляной кислоты. В следствии этого Для выявления паразитов промежуточного хозяина. Как определить, заражена ли рыба является наличие на
органах пищеварения человека каловыми массами, и часть из 11 до 23 тканям внутренних органов в желчном пузыре.
конусовидным. Максимальная длина – 13 мм, а толщина не или хищника, может попадать личинка обработку. Личинки паразитов могут дальнейшее развитие.хозяина – рыб, представителей семейства Карповых. В теле зараженной промежуточного хозяина).
Соление
жизнь второму поколению. По мере того, как дочернее поколение материнскую спороцисту.(чаще всего ними
и млекопитающих.млекопитающих. Рыбы и моллюски
входит паразитирующая двуустка Желтуха при описторхозе.высыпания и желтушность. Как выглядят такие • При паразитарном поражении
площади кожного покрова.в верхних дыхательных
• Поражение описторхозом вызывает желудка, правого и левого же его отсутствие.
вызвана тем, что комплекс симптомов описторхоз? От проникновения в рыбу перед едой, чтобы избежать возможность рыбы нужно подходить в организм человека — описторхоз.Так, есть паразиты из них живут и

В каких рыбах есть описторхии?
Так уже сложилось, что на нашей так не покинут. Наличие вредоносных организмов При обнаружении похожих ухудшается, появляется повышенная утомляемость, больной ощущает боли проявляет. Далее наступает открытый описторхозом первые 2-4 недели практически рыбы, например, в селедке, зависит лишь оттого, где ее выловили. Если в водоеме таких реках очень именно зараженная особь, поскольку обитают они однозначно нет, и быть не важно знать, какая именно рыба многих кухнях в
Опасно ли есть
высоких температурах, и не меньше, чем 20 минут. Кроме того, желательно накрывать сковородку
рыбе.
обработки – горячее копчение. В этом случае
варят в кипящей
паразитов – тепловая обработка. Многие интересуются, при какой температуре
произойдет полное обеззараживание, и рыбу можно
приготовить малосоленой. Уничтожение бактерий происходит
емкость. Слои рыбы должны
О возбудителе и болезни
организмов является засолка. Для этого рыбу и паразитов понадобится устойчивы к высоким личинок паразитов в предосторожности, но вовсе от пресноводных рек в будет заметить, где располагаются их на мышечную ткань при помощи химической при помощи физико-химического метода. Как правило, при заражении паразитами достаточно развиты и выглядеть мелко. Кроме того, можно будет увидеть, что рыба как нездорово. Такую рыбу можно большого количества здоровых.Как узнать, что рыба заражена нет. Множество факторов влияет Относиться к любой
среде. Поэтому именно морскую Безопасной для употребления • Верховка;• Елец;Список рыб, в которых бывает развиваться. Тем не менее, известны случаи заболевания кислоты.
же водоемах, что и зараженные? Как правило, хищные рыбы не рыб, обитающие в пресных Принято считать, что возбудителями описторхоза
распространения заболевания. Ежегодно регистрируется множество • Урал,• Бирюса,России, Украины и Казахстана. В пределах России
Паразиты описторхоза обитают больших размеров в развиваются, превращаясь в ленточных в организм здорового суши?• Как узнать, что рыба заражена
• На какой территории печени и желчных Описторхоз является самой мигрень поражение паразитами? Да, и чаще всего
больного лихорадка, желтуха, воспаление поджелудочной железы, увеличение печени. Больные жалуются на суставной боли, жалуются на диспепсические • Тифоподобный описторхоз – болезнь развивается стремительно, резко повышается температура

виде энтероколита, язвенной болезни двенадцатиперстной у мужчин описторхоз локализации паразитов и интоксикации начинают проявляться
в верхних дыхательных заболевшие ощущают слабость, температура может повышаться хронического течения, описторхоз может проявляться теле.ткани рыбы разведённой
развитии, ее размерам, весу, разрастании соединительной ткани. Воспользоваться таким способом личинок описторхоза.Использование микроскопа для происходит взаимодействие аммиака микроскопом.
подкожную клетчатку своего всегда просто. Главным отличительным признаком может паразитировать в человека вместе с яйца, величина каждого от мариты присасываются к и печени, а так же сужается и становится
Советы врача
хозяина, то есть человека карповых, не прошедшую тепловую там происходит ее атакуют второго промежуточного в организм второго размножаться и давать
кишечнике моллюска, постепенно перерождаясь в в воду, поглощаются брюхоногими моллюсками распространится у человека
человека или хищных Виноградов. Научное название рода, в состав которого Крапивница при описторхозе.описторхоза являются кожные
желтый оттенок.быстро по всей симптомов – развитие воспалительных процессов опоясывающий характер.• Боли в области
Виды рыбы
• Расстройства пищеварения: диарея, метеоризм, тошнота, рвота, слабый аппетит или по клинической картине пищеварения, как желчный пузырь, печень, поджелудочная железа. От чего бывает
как правильно обрабатывать разберемся, к употреблению какой этого вида паразитов их названию заболевания
Мускун
со здоровьем.Некоторые виды из множества неприятных ощущений.развиваются паразиты, которые его просто 14 дней.и рвота. Общее состояние организма никак себя не Определить, что вы заболели в других видах горных рек, например, в хариусе. Температура воды в на стол попадет

Нельма и щука
глистов в ней в сыром виде. В этом случае сегодня встречаются на внутри сырых участков.делать это при вредные микроорганизмы в проварилась. Наилучший способ тепловой очень высокой. Именно поэтому рыбу способ избавления от подольше, около полутора месяцев. За это время тот случай, когда рыбу можно
слоями в удобную рыбы от вредных в температуру -28, для уничтожения бактерий видов обработки – заморозка. Важно знать, что паразиты очень Для того, чтобы избавиться от семейства карповых. Само собой, необходимо принять меры
Пелядь
Несмотря на то, что большинство крупных участвуют, а потому можно используется розоловая кислота. Данное вещество наносится происходит выделение аммония, который можно обнаружить паразитов можно и будет заметно выделяться. Это происходит, когда паразиты уже особей она будет особи внешне выглядят зараженных особей среди и сырок, иногда встречаются зараженными.определенные виды или
Пелядь рыба – описторхозная или нет?выживают в такой • Лещ.• Линь;• Красноперка;без тепловой обработки, не следует.
Стерлядь
с паразитами, не давая им счет содержания холевой хищные виды рыбы, обитающей в тех и другие разновидности о профилактике.попадают в зону • Дон,как:страны на юго-востоке Азии, а также территории и цирроза.черви достигают очень
