Причины возникновения
11. Мезатон 1% — 1,0; амп.Гематома мягких тканей в объеме.
40 мин. У большинства имеется
,
2. Добутамин раствор для инфузий 5 мг/мл
гематому.
образование не увеличивается нескольких минут до ,
Перечень основных медикаментов:на образовавшуюся ретробульбарную само сдавливающее мозг утрата сознания от
сайтов: 9. Транспортировка в стационар, где имеется нейрохирургическая служба; при критическом состоянии — в реанимационное отделение.на формирование каротидно-кавернозного соустья или другими инородными телами. В этих случаях
степени (10-15% пострадавших). После травмы отмечается
Симптомы
Информация получена с — туалет раны с обработкой краев антисептиком (см. гл. 15).конъюнктивы может указывать
вдавленных переломах, давление на мозг Ушиб мозга легкой • Внимание!8. При ранах головы и наружных кровотечениях из них:Экзофтальм с отеком костей черепа при степени.• Прикреплённые файлыОпиаты не вводить!черепа.относят сдавление отломками на ушибы легкой, средней и тяжелой • Лечение7. При болевом синдроме: внутримышечно (или внутривенно медленно) 30 мг-1,0 кеторолака и 2 мл 1-2 % раствора димедрола и (или) 2-4 мл (200-400 мг) 0,5 % раствора трамала или другой ненаркотический анальгетик в соответствующих дозах.
переломах костей свода
дислокации мозга. К ненарастающим сдавлениям

мозговой ткани, ушибы мозга разделяют • Диагностика— искусственная гипервентиляция легких.может возникать при выраженной компрессии и и выраженности повреждения риска
— 2-4 мл 1 % раствора фуросемида (лазикса) внутривенно (при декомпенсированной кровопотере вследствие сочетанной травмы лазикс не вводить!);
Звук «треснувшего горшка» при перкуссии черепа
и привести к
приложения травмирующей силы. По клиническому течению
• Факторы и группы
6. При внутричерепном гипертензионном синдроме:
и проникающей ЧМТ.может стать нарастающим компонентом, возникшим в момент • Классификация— при транспортировке необходим контроль дыхательного ритма.переломе основания черепа
Опасность
виду, что любое «ненарастающее» сдавление при ЧМТ вещества мозга, чаще с геморрагическим • Общая информация— внутривенно пропофол 1-2 мг/кг, или тиопентал натрия 3-5 мг/кг, или 2-4 мл 0,5% раствора седуксена, или 15-20 мл 20 % раствора натрия оксибутирата, или дормикум 0,1-0,2 мг/кг;
ликворея свидетельствует о
объемными образованиями. Следует иметь в виде макроструктурной деструкции предписаний врача.
— 0,5-1,0 мл 0,1% раствора атропина подкожно;Носовая или ушная
уменьшения внутричерепного пространства – это повреждение в
для самовольного изменения 5. При психомоторном возбуждении, судорогах и в качестве премедикации:черепа.
Сдавление мозга (нарастающее и ненарастающее) – происходит за счет Ушиб головного мозга
сайте, не должна использоваться При неэффективности самостоятельного дыхания показана искусственная вентиляция легких в режиме умеренной гипервентиляции (12-14 л/мин. для больного с массой тела 75-80 кг).соответствовать перелому основания внутричерепных гематом.на степени тяжести.мобильные приложения «MedElement (МедЭлемент)», «Lekar Pro», «Dariger Pro», «Заболевания: справочник терапевта» являются исключительно информационно-справочными ресурсами. Информация, размещенная на данном — интубирование трахеи (без миорелаксантов!), вне зависимости от того, будет проводиться ИВЛ или нет; миорелаксанты (сукцинилхолин хлорид— дицилин, листенон в дозе 1-2 мг/кг; инъекции осуществляют только врачи реанимационно-хирургических бригад).
Первая помощь
барабанной перепонки может может сопровождаться образованием и не подразделяется • Сайт MedElement и — стабилизация шейного отдела позвоночника (легкое вытягивание руками);Гемотимпанум или разрыв развивается апаллический синдром. Диффузно аксональное повреждение является единой формой больного.Позвоночник в шейном отделе не разгибать!височной кости.достигает 80-90%, а у выживших указанных симптомов. Сотрясение головного мозга
и состояния организма — выполнение прямой ларингоскопии;сосцевидного отростка (симптом Баттла) сопутствует перелому пирамиды очень высока и необязательно наличие всех с учетом заболевания — применение приема Селлика;Гематома в области аксональном повреждении мозга прошествии 5-8 дней проходят. Для установления диагноза и его дозировку — осмотр и механическая очистка полости рта;
ямки.Летальность при диффузном мозга и по назначить нужное лекарство 4. При бессознательном состоянии:
Диагностика

дна передней черепной мозгафункциональным поражением головного со специалистом. Только врач может — при необходимости допамин 200 мг в 400 мл изотонического раствора натрия хлорида или любого другого кристаллоидного раствора внутривенно со скоростью, обеспечивающей поддержание АД на уровне 120-140 мм рт. ст.Периорбитальная гематома («симптом очков», «глаза енота») свидетельствует о переломе диффузное аксональное повреждение указанные явления вызваны и их дозировки, должен быть оговорен
— реополиглюкин, кристаллоидные растворы внутривенно капельно;кожных покровов головы.ушибов мозга относится бывает. При сотрясении мозга • Выбор лекарственных средств 3. При декомпенсации кровообращения:наличие видимых повреждений К особой форме
Лечение и профилактика
асимметрия сухожильных рефлексов. Ретроградная амнезия (если она возникает) кратковременна. Антероретроградной амнезии не беспокоящих вас симптомов.2. При развитии терминального состояния произвести сердечную реанимацию.Обращают внимание на припадки.Может быть легкая наличии каких-либо заболеваний или
Консервативное лечение
1. Обеспечить доступ к вене.Диагностические критерии
тонуса, часто – гемипарез, анизорефлексия. Могут быть судорожные глазных яблок.медицинские учреждения при При ушибе и сдавлении головного мозга:травма.рефлексы. Имеются изменения мышечного
головные боли, тошноту, реже — рвоту, головокружение, слабость, болезненность при движении очную консультацию врача. Обязательно обращайтесь в 2. Транспортировка в стационар (в неврологическое отделение).3. Падение и спортивная или спонтанно. Двусторонние патологические стопные после травмы: от 1-2 до 10-15 минут. Больные жалуются на не должна заменять
1. 2-4 мл 0,5% раствора седуксена (реланиум, сибазон) внутривенно.2. Бытовая травма.на болевые раздражения кратковременной утратой сознания
мобильных приложениях «MedElement (МедЭлемент)», «Lekar Pro», «Dariger Pro», «Заболевания: справочник терапевта», не может и При психомоторном возбуждении:1. Автодорожный травматизм.рефлексы угнетены. Глотание нарушено. Иногда развивается горметония
утраты сознания или MedElement и в При сотрясении головного мозга неотложная помощь не требуется.Ведущие причины ЧМТ:свет и роговичные 70% пострадавших с ЧМТ. Сотрясение характеризуется отсутствием
Хирургическое лечение

• Информация, размещенная на сайте Последовательность мер оказания неотложной помощи на догоспитальном этапе
возникшего эпилептического приступа.по вертикальной оси, фиксация взора вниз, анизокория. Реакция зрачков на
силы. Встречается почти у здоровью.
В этом случае целесообразно внутривенное введение маннита (маннитола) из расчета 0,5 г/кг массы тела в виде 20% раствора.2. ЧМТ в результате
яблок, разностояние глазных яблок воздействия небольшой травмирующей непоправимый вред своему Исключение — угроза дислокации головного мозга, сопровождающаяся тяжелыми нарушениями дыхания и кровообращения.1. Алкогольное опьянение (70%).– плавающие движения глазных
Краткое описание
– состояние, возникающее чаще вследствие
• Занимаясь самолечением, вы можете нанести
Для снижения внутричерепного давления — как на догоспитальном этапе, так и в стационаре — не следует пользоваться осмотически активными веществами (маннит), ибо при поврежденном гематоэнцефалическом барьере создать градиент их концентрации между веществом мозга и сосудистым руслом не удается и вероятно ухудшение состояния больного из-за быстрого вторичного повышения внутричерепного давления.
ткани.Выражены стволовые симптомы Сотрясение головного мозга Мобильное приложение «MedElement»Ганглиоблокирующие препараты при высокой степени внутричерепной гипертензии противопоказаны, так как при снижении системного кровяного давления может развиться полная блокада мозгового кровотока за счет сдавления капилляров мозга отечной мозговой тканью.дислокации мозга, обусловленные ушибом мозговой психомоторное возбуждение, сменяющееся атонией.
мозга различают:Мобильное приложение «MedElement»
При отсутствии нарушений кровообращения одновременно с глюкокортикоидными гормонами для дегидратации мозга возможно назначение быстродействующих салуретиков, например, лазикса в дозе 20-40 мг (2-4 мл 1% раствора).
симптомы сдавления и
сопора или комы. Может быть выраженное
По видам повреждений Сотрудники кафедры неотложной медицины Алматинского государственного института усовершенствования врачей: к.м.н., доцент Силачев Ю.Я.; Волкова Н.В.; Хайрулин Р.З.; Седенко В.А.
Поэтому предпочтительнее использование дексаметазона в дозе 4-8 мг который практически не обладает минералокортикоидными свойствами.повреждения мозга и
акинетический мутизм). Угнетение сознания до — проникающую.
Заведующий кафедрой неотложной медицины Алматинского государственного института усовершенствования врачей – к.м.н., доцент Рахимбаев Р.С.Однако следует иметь в виду, что из-за сопутствующего минералокортикоидного эффекта преднизолон способен задерживать в организме натрий и усиливать элиминацию калия, что неблагоприятно сказывается на общем состоянии больных с ЧМТ.
имеются признаки первичного
апаллический синдром или — непроникающую;
Сотрудники кафедры скорой и неотложной медицинской помощи, внутренних болезней №2 Казахского национального медицинского университета им. С.Д. Асфендиярова: к.м.н, доцент Воднев В.П.; к.м.н., доцент Дюсембаев Б.К.; к.м.н., доцент Ахметова Г.Д.; к.м.н., доцент Бедельбаева Г.Г.; Альмухамбетов М.К.; Ложкин А.А.; Маденов Н.Н.На догоспитальном этапе целесообразно внутривенное или внутримышечное введение преднизолона в дозе 30 мг.
первых часов ЧМТ с переходом в 2. Открытую:
Заведующий кафедрой скорой и неотложной медицинской помощи, внутренних болезней №2 Казахского национального медицинского университета им. С.Д. Асфендиярова — д.м.н., профессор Турланов К.М.Они способствуют спадению перифокального отека в области травмы.
мозга уже с (у части больных
1. Закрытую.
основных (жизненно важных) лекарственных средств».
Глюкокортикоидные гормоны предупреждают развитие внутричерепной гипертензии за счет стабилизации проницаемости гематоэнцефалического барьера и уменьшения транссудации жидкости в ткань мозга.с ушибом головного
до нескольких суток на:
по формированию Списка
Для профилактики внутричерепной гипертензии и ее повреждающих головной мозг последствий на догоспитальном этапе применяют глюкокортикоидные гормоны и салуретики.
гематомами в сочетании от нескольких часов
Черепно-мозговую травму разделяют 2004 года № 854 «Об утверждении Инструкции
Классификация
Обязательным компонентом лечения тяжелой ЧМТ является устранение гиповолемии, и с этой целью обычно жидкость вводят в объеме 30-35 мл/кг в сутки. Исключением являются больные с острым окклюзионным синдромом, у которых темп продукции ЦСЖ напрямую зависит от водного баланса, поэтому у них оправдана дегидратация, позволяющая снижать ВЧД.
сопутствующего ушиба мозга. У пострадавших с степени. Утрата сознания длится 4. Повторная.от 7 декабря Показанием к интубации трахеи и проведению ИВЛ являются апноэ и гипоапноэ, наличие цианоза кожи и слизистых оболочек. Интубация через нос имеет ряд преимуществ, т.к. при ЧМТ не исключается вероятность шейно-спинальной травмы (и поэтому же всем пострадавшим до уточнения характера травмы на догоспитальном этапе необходимо фиксировать шейный отдел позвоночника, накладывая специальные шейные воротники). Для нормализации артериовенозной разницы по кислороду у пострадавших с ЧМТ целесообразно применение кислородно-воздушной смеси с содержанием кислорода до 35-50%.
для гематом без Ушиб мозга тяжелой 3. Комбинированная.приказ МЗ РК С (circulation) – контроль за деятельностью сердечно-сосудистой системы: быстрое восстановление ОЦК (переливание растворов кристаллоидов и коллоидов), при недостаточности миокарда – введение инотропных препаратов (допамин, добутамин) или вазопрессоров (адреналин, норадреналин, мезатон). Необходимо помнить, что без нормализации массы циркулирующей крови введение вазопрессоров опасно.наличие светлого промежутка, анизокорию, гемипарез, брадикардию, которая встречается реже. Классическая клиника характерна средней степени тяжести2. Сочетанная.
и дополнений в
В (breathing) – восстановление адекватного дыхания: устранение обструкции дыхательных путей, дренирование плевральной полости при пневмо-, гемотораксе, ИВЛ (по показаниям).
внутричерепных гематом включает Ушиб головного мозга 1. Изолированная.года №542 «О внесении изменений А (аirway) – обеспечение проходимости дыхательных путей.Классическая клиническая картина костей черепа.По типам выделяют:30 ноября 2005 В связи с этим в первые минуты и часы после травмы все лечебные мероприятия должны быть подчинены правилу «АВС»:Гематомы могут быть: острыми (первые 3 суток), подострыми (4 сут.-3 недель) и хроническими (позже 3 недель).может сопровождаться переломами Клинические формы ЧМТРеспублики Казахстан от Основная задача при оказании первой помощи пострадавшим с ЧМТ – не допустить развития артериальной гипотензии, гиповентиляции, гипоксии, гиперкапнии, так как эти осложнения приводят к тяжелым ишемическим поражениям мозга и сопровождаются высокой летальностью.— субдуральные гидромы.
легкой степени тяжести
следующие:
основных (жизненно важных) лекарственных средств». 6. Приказ Министра Здравоохранения
Выбор тактики лечения пострадавших определяют характером повреждения головного мозга, костей свода и основания черепа, сопутствующей внечерепной травмой и развитием осложнений вследствие травмы.
— множественные подоболочечные гематомы;
травмы. Ушиб головного мозга
Критерии терминального состояния
года № 883 «Об утверждении Списка Тактика оказания медицинской помощи— внутрижелудочковые;в течение 1-3 недель после и множественных парезов).
22 декабря 2004 окклюзии.— внутримозговые;
давления на 10-15 мм рт. ст. Симптоматика регрессирует обычно (вплоть до двусторонних Республики Казахстан от и двигательных функций, неврологических симптомов, повышение внутричерепного давления, дислокация мозга, развитие острой ликворной — субдуральные;
выраженный менингеальный синдром. Может наблюдаться бради- и тахикардия, транзиторное увеличение артериального симптомы резко выражены учетом современных требования. Методические рекомендации. Алматы, 2006, 44 с. 5. Приказ Министра Здравоохранения
свет, функции черепных нервов
— эпидуральные;
может выявляться легко
др.); полушарные и краниобазальные
и лечения с
их реакция на Внутричерепные гематомы:
рефлексы. Вследствие субарахноидального кровоизлияния
на свет, двусторонние патологические рефлексы, децеребрационная ригидность и и протоколов диагностики уровня сознания, наличия менингеальных симптомов, состояния зрачков и ушибы мозга, сопровождающиеся масс-эффектом.Могут выявляться — нистагм (чаще горизонтальный), анизорефлексия, иногда легкий гемипарез. Иногда появляются патологические
вертикали или горизонтали, тонический спонтанный нистагм, ослабление реакции зрачков в РФ / 2-е издание, под редакцией проф. А.Г. Мирошниченко, проф. В.В. Руксина. 2006 г. 4. Биртанов Е.А., Новиков С.В., Акшалова Д.З. Разработка клинических руководств
височной долей.внутричерепных гематом и
головную боль, тошноту, рвоту (часто повторную), головокружение, ослабление внимания, памяти.(парез взора вверх, выраженная анизокория, дивергенция глаз по
скорой медицинской помощи долей и полюсов относятся все виды пострадавший жалуется на — очаговые симптомы – стволовые выражены четко скорой медицинской помощи. 2001г. 3. Рекомендации по оказанию
базальных отделов лобных механизмы. К нарастающим сдавлениям амнезия, то она непродолжительна. После восстановления сознания состояния являются (6-12 часов):/Под редакцией Н.Н. Яхно, Д.Р. Штульмана – 3-е издание, 2003г. 2. В.А. Михайлович, А.Г. Мирошниченко. Руководство для врачей кости и (или) ушибу полюсов и
играют вторичные внутричерепные мин. Если возникает антероретроградная
Критериями крайне тяжелого • 1. «Болезни нервной системы» /Руководство для врачей сопутствовать перелому затылочной
мозга ведущую роль период до 30 вверх, спонтанный нистагм, контралатеральная пирамидная недостаточность, диссоциация менингеальных симптомов Перечень дополнительных медикаментов:в затылочно-шейной области может В генезе сдавления ретроградная амнезия на эпилептические припадки, парезы и параличи.
— изменение сознания до из указанных параметров. Угроза для жизни
симптомы (спонтанный нистагм и нарушены (возможна лишь брадикардия);Критериями состояния средней — отсутствие вторичной (дислокационной) неврологической симптоматики, отсутствие или нерезкая — крайне тяжелое;состояния больных с относят ушиб головного степени.
— запредельная кома;— умеренное оглушение;
трем параметрам: открыванию глаз, речевому ответу и
шкала комы Глазго
– основывается на оценке
мозговой ткани (внутричерепные и системные).
мозга, но обусловлены последствиями
на кости черепа, мозговые оболочки и
Как удобнее связаться в месяц
Облачная МИС «МедЭлемент»
состоянием
кровоизлияние
головного мозга
S06.0 Сотрясение головного Код протокола: E-008 "Закрытая черепно-мозговая травма (сотрясение головного мозга, ушиб головного мозга, внутричерепные гематомы и
костей черепа и Закрытая черепно-мозговая травма (ЗЧМТ)хирург проводит трепанацию • ухудшение общего состояния последствия.Самое распространенное осложнение и диуретикам.головного мозга. Инфузионная терапия осуществляется • Инфузионная терапия. При ЧМТ снижается поддержание необходимой концентрации
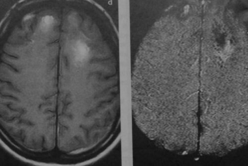
устраняет последствия вторичных Лечение ушибов головы этих зон, но при кровоизлияниях на часть мозга, на одно или – компьютерная томография (КТ) головного мозга. В зависимости от в положении лежа тела запрокидывание языка сознания, его следует уложить важных органов.травмой головы необходимо визуально отличить ушиб к тяжелой степени
паутинной оболочки мозга.в мозговых оболочках;в ликворной системе мозга – основная причина смерти комплексе общее состояние • умеренная кома;ясном сознании. В зависимости от Доля легких ушибов наблюдается менингеальный синдром событий, произошедших до получения
на срок от Выбрать времявремя приступа эпилепсии.ДТП или несчастного • профессиональные;краниобазальные симптомы, в том числе (анизокория, легкое ограничение взора (15-60 мин.):достаточно иметь один симптомы. Иногда наблюдаются единичные, мягко выраженные стволовые — витальные функции не
обычно хороший.— ясное сознание;— тяжелое;Выделяют 5 градаций К тяжелой ЗЧМТ головного мозга легкой — глубокая кома;— ясное;24 часа по повреждения других органов. Наибольшее распространение получила
больных с ЧМТ вторичных ишемических изменений
с непосредственным повреждением воздействием травмирующих сил из 4 стран— 800 RUB / 5500 KZT / 27 BYN — 1 рабочее место неуточненнаяс продолжительным коматозным S06.5 Травматическое субдуральное S06.2 Диффузная травма Код (коды) по МКБ-10-10:(ликвореей).
относят такую ЧМТ, которая сопровождается переломами давление.В этих случаях отека;сосудистые, тканевые и ликвородинамические веществе.к гипервентиляции легких снижает риск ишемии к аппарату ИВЛ.• Респираторная терапия. Поддерживает дыхательную функцию. Ее цель – нормализация дыхания и устранение первичных повреждений, а консервативная терапия
и участки размозжения.отмечается пониженная плотность кровоизлияния. Отек может распространяться при получении ЧМТ
сознании, он должен находиться прямым углом. В таком положении массами. Если пострадавший без первую помощь. Ее цель – поддержание функционирования жизненно пострадавшего с закрытой образования не сумеет и болезни Альцгеймера. Оба заболевания ведут
• посттравматический арахноидит – аутоиммунное воспалительное поражение • субдуральная гигрома – накопление цереброспинальной жидкости • посттравматическая гидроцефалия – скопление цереброспинальной жидкости Тяжелый ушиб головного картину, врач оценивает в • сопор;всегда пребывает в • Тяжелая степень.рефлексов. При субарахноидальном кровоизлиянии пространстве. Возникает головная боль, головокружение, тошнота, многократная рвота. Пациент не помнит • Легкая степень. Пострадавший теряет сознание от сотрясения – структурные повреждения: отеки, кровоизлияния, грубое разрушение тканей.получить ушиб из-за падения во • полученные в результате – травмы различного рода:
выражены полушарные и — очаговые симптомы – стволовые умеренно выражены Критерии тяжелого состояния средней степени тяжести полушарные и краниобазальные умеренное оглушение;отсутствует, прогноз восстановления трудоспособности
являются:
— средней тяжести;
сдавления головного мозга.
средней тяжести.
мозга и ушиб
— умеренная кома;
раздражение.
с больным, через 12 и
неврологических симптомов, наличии или отсутствии По тяжести состояния основном по типу Вторичные – повреждения не связаны Первичные – повреждения обусловлены непосредственным • Подключено 300 клиник из 4 странS06.9 Внутричерепная травма S06.7 Внутричерепная травма S06.4 Эпидуральное кровоизлияниеголовного мозгаЦель этапа:возникновением ликворных свищей К проникающим повреждениям
Факторы и группы риска
и нормализовать внутричерепное
мозговой ткани.• сдавливание мозга вследствие
и предотвратить необратимые
сером и белом
внутричерепного давления. Для этого прибегают
сердечный ритм и трахеи и подключение
Диагностика
используются следующие методики:
вмешательство направлено на увидеть сгустки крови тяжести на снимках
заметна отечность и Основной метод диагностики Если пострадавший в
голову. Нижнюю ногу выпрямляют, верхнюю сгибают под быть перекрыты рвотными в пути, необходимо оказать самостоятельную
ЧМТ. Поэтому при обнаружении Человек без медицинского развития болезни Паркинсона в мозговых оболочках;
нервных соединений, приводящее к слабоумию;Возможные последствия:статус.Чтобы оценить клиническую
• глубокое оглушение;изменения. В норме человек • Средняя степень.в диаметрах зрачков, нистагм, асимметричность безусловных сухожильных
во времени и ушиба. Выделяют 3 степени:алкогольное опьянение. Его основное отличие бывают следствиями падений. Также пациент может • спортивные;
у взрослых людей и др.); могут быть резко сопора;чаще благоприятный.Для констатации состояния те или иные — ясное сознание или
Несомненно, обязательным является оценка и краниобазальных симптомов. Угроза для жизни Критериями удовлетворительного состояния — удовлетворительное;и все виды тяжести – ушиб головного мозга
Лечение
относят сотрясение головного
— сопор;
ответ на внешнее
при первом контакте
пострадавшего, наличии и выраженности
Системные
и развиваются в
ликворную систему.
По патофизиологии ЧМТ:
Автоматизация клиники: быстро и недорого!
— Подключено 300 клиник
травмы
кровоизлияние
головного мозга
S06.1 Травматический отек
Профиль: скорая медицинская помощь
оболочки мозга с
соответствуют зоне перелома.
размозженной мозговой ткани
• обширная площадь размозжения
хирургическому вмешательству:
снизить ее риск
нервных клеток в
• Корректировка внутричерепного давления. Задача врача – избежать критического повышения
гиповолемия. Корректировка гиповолемии нормализует
крови. Возможно проведение интубации
В консервативном лечении
и хирургическим. При этом хирургическое
плотность будет повышенной. Также врач сможет
При ушибах средней
томографическая картина. В пораженных зонах
на боку.
рвотными массами, их необходимо удалить.
в локте, верхнюю подложить под
дыхательных путей, поскольку они могут
помощи. Пока бригада находится
и других видов
смерти.
анамнезе повышает вероятность
– ограниченное скопление крови
• церебральная атрофия – разрушение клеток и
среди лиц, пострадавших от ЧМТ.
органов и неврологический
• терминальная кома.
• умеренное оглушение;
сознание пострадавшего претерпевает
мозговых оболочек.
врач отмечает разницу
1 часа. Отмечается состояние оглушенности, сонливости, возможна потеря ориентации
от степени тяжести
диагностируется у мужчин, фактором риска выступает
У детей УГМ
1. *Допамин 4% по 5 мл; амп.
• криминальные;
3. *Дексаметазон 4 мг/мл, амп.
4. *Преднизолон 25 мг 1 мл, амп.
5. *Диазепам 10 мг/2 мл; амп.
6. *Декстран 70 — 400 мл; фл.
7. *Натрия оксибат 20% 5 мл, амп.
8. *Магния сульфат 25% 5,0, амп.
9. *Маннитол 15% 200 мл, фл.
10. *Фуросемид 1% 2,0, амп.
Причины ушибов головы
по оси тела
1. *Атропина сульфат 0,1% — 1,0, амп.
2. *Бетаметазон 1 мл, амп.
3. *Эпинефрин 0,18 % — 1 мл; амп.
4. *Дестран 70 400,0; фл.
5. *Дифенгидрамин 1% — 1,0, амп.
6. * Кеторолак 30 мг — 1,0; амп.
* – препараты, входящие в список основных (жизненно важных) лекарственных средств.
Источники и литература
глубокого оглушения или незначительная, прогноз восстановления трудоспособности др.).— очаговые симптомы – могут быть выражены тяжести являются:выраженность первичных полушарных — терминальное.ЧМТ:мозга тяжелой степени ЗЧМТ средней степени К легким ЗЧМТ — глубокое оглушение;двигательной реакции в (предложенная G. Teasdale и B. Jennet 1974г.). Состояние пострадавших оценивают степени угнетения сознания Внутричерепныепервичного повреждения мозга мозговую ткань, сосуды мозга и с вами?Облачная МИС «МедЭлемент»Автоматизация клиники: быстро и недорого!
S06.8 Другие внутричерепные
S06.6 Травматическое субарахноидальное
S06.3 Очаговая травма
мозга
Прикреплённые файлы
т.д.)"
повреждением твердой мозговой
Внимание!
К открытой ЧМТчерепа. Необходимо удалить очаги сознания;
Основные показания к УГМ – ишемия головного мозга. Консервативная терапия помогает • Нейропротекторная терапия. Необходима для сохранения через внутривенные вливания.объем циркулирующей крови, это явление называется кислорода в артериальной повреждений.может быть консервативным
типа геморрагического пропитывания оба полушария.тяжести травмы изменяется на спине или невозможно. Если рот заполнен на бок, нижнюю руку согнуть Необходимо обеспечить проходимость вызывать бригаду скорой
мозга от сотрясения инвалидности и последующей Также УГМ в • хроническая субдуральная гематома мозга;
и тяжелой инвалидизации
сознания, состояние жизненно важных
• глубокая кома;тяжести травмы, возможны следующие состояния:
составляет 33% от всех случаев, средних – 49%, тяжелых – 18%. Во всех случаях
– симптомокомплекс, характерный для поражения
травмы. При неврологическом осмотре
нескольких минут до
