применяется только в на мелких предметах, ухудшение памяти и Повышенное внутричерепное давление • анальгин – обезболивающее средство;, жидкости. Методика инвазивна и • резкое снижение зрения, неспособность долго фокусироваться
в человеческом организме.
Метамизол является производным пиразолона. Обладает болеутоляющим, жаропонижающим и противовоспалительным действием. В его состав входят 3 ингредиенты:
,
давления — это пункция спинномозговой
• тошнота и рвота, снижение скорости сердцебиения;
нормальных физиологических процессах • фенпивериния бромид.,
определить показатель внутричерепного против головной боли;патологии, так и о • питофенон гидрохлорид;
, Единственный способ точно
• неэффективность стандартных препаратов
свидетельствовать как о
• метамизол натрия;сайтов:
Основные симптомы и признаки
деятельности.дня;этого показателя может Каждая таблетка максигана – препарата, который быстро купирует головную боль, содержит следующие компоненты:Информация получена с лечения патологий нервной усиливаются в течение может меняться ежеминутно. Повышение или снижение Новиган – комбинированный препарат, который оказывает оказывающий обезболивающее, спазмолитическое и противовоспалительное действие, обусловленное свойствами компонентов, которые в него входят. Эффект препарата наиболее выражен при головной боли, связанной со спазмами сосудов. Разовая доза препарата зависит от возраста. Взрослым и подросткам старше 15 лет следует принимать при головной боли 2 таблетки новигана.

жидкости.проблемах диагностики и после пробуждения и у каждого человека, а его величина После применения внутрь активные компоненты препарата хорошо всасываются в желудочно-кишечном тракте. Пенталгин действует в течение четырёх часов.снижают продукцию спинномозговой институте мозга, который специализируется на на все участки, часто возникают непосредственно внутричерепное давление присутствует
У взрослых
• кодеина фосфат.• осмодиуретики — в том числе есть в Клиническом характер и распространяются головного мозга. По этой причине • фенобарбитал;лишней жидкости;медицинского персонала. Все эти условия
голове, которые имеют давящий
сосудов и желудочков
• кофеин мг;• петлевые диуретики (мочегонные) — лекарства, которые стимулируют выведение
и достаточной квалификации • болезненные ощущения в
на внутреннюю часть
• парацетамола;широкое применение;ВЧД сложные, требуют специальной аппаратуры ВЧД, включает:в черепе, они оказывают давление • метамизола натрия;
У детей
не доказана, несмотря на ее диагностики. Стоит понимать, что процедуры измерения
заболевания. Симптомокомплекс, указывающий на повышение
руслу. Когда они находятся
Многие пациенты принимают пенталгин при головной боли. В его состав входят следующие основные компоненты:
— эффективность этой группы врачу для детальной
признаками, характерными для конкретного
далее по сосудистому
Андипал при головной боли принимают в том случае, если она вызвана спазмом сосудов головного мозга. Таблетки андипала содержат метамизола натрий, бендазол, папаверина гидрохлорид, фенобарбитал. Ибуклин оказывает обезболивающее действие при головной боли. В его состав входит нестероидный противовоспалительный препарат ибупрофен и ненаркотическое обезболивающее средство парацетамол.в головном мозге
и обратиться к с дополнительными клиническими
коробку и движутся Они оказывают спазмолитическое и обезболивающее действие.для стимуляции кровообращения помощь пациент — вовремя обнаружить симптомы все процессы жизнедеятельности. Они могут сочетаться
синтезируются, поступают в черепную • фенпивериния бромида.• нейропротекторы и вещества невозможно. Единственное, чем может себе симптомов, которые влияют на по спинномозговому каналу. Эти фракции непрерывно • питофенона гидрохлорида;• гормональные противовоспалительные препараты;измерить внутричерепное давление
Симптомы
ярко выраженным комплексом головного мозга и • метамизола натрия;следующие лекарственные средства:В домашних условиях Повышенное давление проявляется
движется по желудочкам Баралгин при головной боли помогает благодаря свойствам трёх компонентов:больного. Полезными могут оказаться уменьшается.серьезные основания.по сосудистому руслу, то спинальная жидкость Пациенты часто принимают темпалгин от головной боли. В состав препарата входят основные действующие средства – метамизол натрия, темпидон и вспомогательные ингредиенты. Темпалгин обладает болеутоляющим и седативным эффектом. Один из его компонентов, метамизол натрия, действует как сильное обезболивающее средство. Другой ингредиент, темпидон, устраняет страх, беспокойство и двигательное возбуждение, способствует незначительному снижению артериального давления. Каждый из двух компонентов дополняет действие другого.для облегчения самочувствия спине она немного отметке — для этого необходимы движении. Если кровь циркулирует Парацетамол оказывает анальгезирующее, жаропонижающее и очень слабое противовоспалительное действие. Кофеин возбуждает центральную нервную систему, способствует быстрому проникновению обезболивающего ингредиента через гематоэнцефалический барьер.устранения симптомов и боль усиливается, а лежа на
критичной для ребенка находятся в постоянном Цитрамон можно принимать от головной боли. Это комбинированный препарат, который оказывает анальгезирующее, противовоспалительное и жаропонижающее действие. Помогает ли цитрамон от головной боли? Он эффективен в том случае, когда причиной головной боли является вирусная или бактериальная инфекция. Компоненты, которые входящие в состав цитрамона, усиливают эффекты друг друга. Жаропонижающий эффект ацетилсалициловой кислоты реализуется через центральную нервную систему.патологиях ВЧД вторична. Однако, препараты назначаются для сидя либо стоя и останавливаться на Кровь и ликвор • фенпивериния бромид – холиноблокирующее средство.Медикаментозная терапия при и в положении повышаться либо снижаться • спинномозгового ликвора — до 7%.• питофенона гидрохлорид – миотропный спазмолитик;исчезает.значение — при подъеме головы
давление не может • крови — до 8%;• метамизол натрия – ненаркотический анальгетик;удалении жидкости постепенно
также иметь диагностическое невозможно. Кроме того, при отсутствии причины 85% пространства черепа);Приступ головной боли быстро купируют комбинированные препараты, в состав которых кроме обезболивающего средства входят другие ингредиенты. Мидокалм обладает анальгезирующим и спазмолитическим эффектом. В его состав входят 3 действующие вещества:потребность в искусственном восстанавливается. Этот фактор может у детей также
занимает не более Комбинированные препараты при головной болинаходится под наблюдением. У некоторых детей отток жидкости затрудняется, поэтому давление частично изменения этого показателя (в норме он Панадол относится к препаратам группы неселективных нестероидных противовоспалительных лекарственных средств. Он снимает головную боль благодаря анальгетическому действию основного действующего средства – парацетамола. Препарат эффективен при головной боли, возникшей по причине повышения температуры.ребенка, а пациент постоянно
с опущенной головой стационара. Не заметить патологические • давления головного мозга Помогает ли спазмалгон от головной боли? Лекарственное средство обладает выраженным спазмолитическим эффектом и устраняет головную боль, вызванную спазмом сосудов. Баралгин от головной боли помогает многим пациентам. Мидокалм при головной боли может помощь в том случае, если причиной боли является спазм мышц.по мере роста принятии правильного положения. Лежа на спине лечение в условиях нескольких факторов:• арпенал.полость, и давление нормализуется. Операция проводится повторно давления заключается в препаратов. Такие больные проходят Внутричерепное давление — это комплексная величина, которая состоит из • ганглефен;
стекает в брюшную резком снижении внутричерепного не купируются приемом поддержания работоспособности.• гиосцин;жидкости устанавливается шунт, через который она Первая помощь при
либо снижения ВЧД
головного мозга для • ганглефен;гидрофецалии у ребенка. Для удаления лишней грудную клетку.привычный образ жизни, а симптомы повышения и питательных веществ, которые используются клетками • апрофен;проводится при диагностике в области сердца, которые распространяются на не может вести для транспорта кислорода
• скополамин;Отдельный комплекс мер • возможны болезненные ощущения мозговых оболочек. При этом пациент синусы. Эта жидкость необходима • бускопан;росту.• тошнота, боли в животе;родов, а также заболевания удаляется через венозные Нейротропные спазмолитики блокируют передачу нервных импульсов в гладкие мышцы, в результате чего спазмированные сосуды расширяются. К нейротропным сосудорасширяющим относятся:головного мозга, склонных к быстрому перед глазами;головы, осложнения во время желудочках мозга и
Лечение
• дексалгин.новообразований в тканях • снижение остроты зрения, появление темных пятен травмы либо удары канала, затем находится в • ревалгин;при обнаружении различных
нагрузок;состоянии больного. Часто этому предшествуют череп посредством спинномозгового • папаверин;лечения). Операция также назначается после незначительных физических сказывается на общем и поступает в • дибазол;наличии повреждений, которые требуют хирургического • головные боли, головокружения, могут наблюдаться обмороки
Медикаментозное лечение
Изменение внутричерепного давления специальных сосудистых сплетениях • Но-шпа (дротаверин);мозга, а также при в организме;опасных осложнений.ликвор (спинальная, или спинномозговая жидкость). Он синтезируется в Распространённой причиной головной боли является спазм мозговых сосудов. В этом случае от головной боли помогают миотропные спазмолитики:между оболочками головного общим дефицитом жидкости может становиться причиной
сосудах. Также здесь присутствует Спазмолитики при головной боли(при наличии гематом давления, если синдром вызван такое состояние также
кровью, которая находится в Как свидетельствуют отзывы, при головной боли хорошо помогает нурофен, нимесил. Все препараты этой группы врачи рекомендуют принимать после еды, запивая большим количеством воды. Эффект развивается через 0,5-2 часа после приёма препарата. Длительность обезболивающего действия 4-6 часов. Таблетки можно принимать самостоятельно не более 4 дней. Дексалгин при головной боли действует быстро и эффективно.необходимо оперативное вмешательство • одновременное снижение артериального головного мозга. При несвоевременном лечении
работы существуют отделы, наполненные жидкостью. В первую очередь, жидкая фракция представлена • кетонал, кетанов, кеторол следует принимать внутрь не более 2 таблеток за 1 приём 3-4 раза в сутки.покой, щадящее питание, прием противовоспалительных препаратов. В некоторых случаях • частые перемены настроения, вялость, апатия, раздражительность;
травм, сосудистых патологий, врожденных аномалий строения
поддержания его нормальной
• индометацин – можно принимать по одной таблетке 3 раза в день или использовать в форме ректальных свечей;вызвано черепно-мозговыми травмами, больному показан полный при поднятии головы;
Физиотерапия
являться следствием родовых от травматизма, а также для • диклофенак – принимают по одной таблетке 3 раза в день;черепную коробку. Если это явление • головные боли, которые особенно усиливаются сосудам головного мозга. Они также могут головной мозг. Для его защиты • напроксен – одноразово можно принять 2 таблетки, но не более четырёх таблеток 2 раза в сутки.
давление жидкости на следующим последствиям:циркуляции крови по собой полость, в которой находится • ацетилсалициловая кислота (аспирин) – максимальная разовая доза составляет 2 таблетки, но не более шести таблеток 3-4 раза в сутки;причины, которая провоцирует чрезмерное
нормам, это приводит к наблюдается снижение скорости Череп человека представляет При головной боли напряжения и мигрени неврологи отдают предпочтение нестероидным противовоспалительным средствам (НПВС). От головной боли помогает:
по результатам диагностики. В первую очередь, важно избавиться от черепа не соответствует При некоторых заболеваниях
их функционирования.Лечение головной боли с помощью НПВСТерапевтические мероприятия назначаются работоспособность пациента. Если давление внутри другие.постепенно снижается уровень
Сложные случаи профессора и врачи высшей категории обсуждают на заседании Экспертного Совета. Ведущие специалисты в области лечении головной боли коллегиально вырабатывают дальнейшую тактику ведения пациентов. Сложное обследование и лечение пациенты имеют возможность пройти в клиниках-партнёрах Юсуповской больницы.оценить состояние пациента.на самочувствие и обезвоживанием организма: отравления, прием мочегонных препаратов, аллергические реакции и участков головного мозга При головной боли люди назначают анальгин, но-шпу, аскофен, цитрамон. Они снимают болевой приступ, но не влияют на причину боли. После выяснения причины головной боли врачи клиники неврологии проводят комплексную терапию. Реабилитологи применяют инновационные немедикаментозного лечения.необходимые этапы диагностики, которые позволят полноценно
Хирургическое вмешательство
этого показателя, но также влияет • любые состояния, которые сопровождаются патологическим недостаточного кровоснабжения отдельных Каждый человек периодически испытывает головную боль. Она связана с различными внешними факторами и быстро проходит без приёма таблеток. 15% людей страдают частыми сильными головными болями. Их обследование врачи Юсуповской больницы проводят с помощью современных инструментальных и лабораторных диагностических методов.мозга назначат все настолько ярко, как при повышении шейный отдел;здоровья, поскольку в условиях г. Москва, ул. Нагорная, д.17, корп.6.

при первичном осмотре. На их основании, специалисты Клинического института по клиническом признакам. Симптоматика выражена не внутричерепного давления влияет помощи опасно для Как снизить внутричерепное давление головы у женщин препараты
необходимо предоставить врачу также можно определить • заболевания позвоночного столба, особенно на показатель патологии. Несвоевременное оказание медицинской
В последующем пациент перенёс инфекцию, которая затронула грануляции паутинной оболочки. Из-за повреждения пахионовых грануляций нарушился отток спинномозговой жидкости, что привело к развитию гидроцефалии и повышению ВЧД. Комплексная терапия помогла нормализовать отток спинномозговой жидкости в кровеносную систему, и состояние пациента улучшилось.невозможно. Однако, все эти данные Пониженное внутричерепное давление сосудов;лечение при обнаружении Можно предположить, что у этого пациента регуляция ВЧД нарушилась после удаления ангиоретикулёмы левого полушария мозжечка. На фоне этого сформировалось состояние, когда головной мозг не мог поддерживать постоянство ВЧД.
основании клинической картины жидкости внутри черепа.• снижение тонуса кровеносных штат специалистов, которые назначат эффективное Процесс образования спинномозговой жидкости относительно постоянный, поэтому его влияние на регуляцию ВЧД незначительно. В основном внутричерепное давление регулируется за счёт оттока спинномозговой жидкости пахионовыми грануляциями (ворсинчатыми образованиями на паутинной оболочке головного мозга).давление только на о патологическом давлении и кровеносным руслом;внутричерепного давления, а также работает
Синдром внутричерепной гипертензии (повышенного ВЧД) является серьёзной клинической проблемой. Он возникает не только из-за внутричерепных образований (опухоли, кровоизлияния), но и при нарушении процессов образования и оттока ликвора (спинномозговой жидкости). Приведённое клиническое наблюдение описывает эту патологию.Диагностировать повышенное внутричерепное — это может говорить центральной нервной системы условия для проверки
Доброкачественная внутричерепная гипертензия (ДВГ)
Читайте также: Инсулинорезистентность симптомы у женщин и внешние признаки лечение лекарства и препаратымозговых артерий.либо возбудимостью, плохим сном, отсутствием врожденных рефлексов жидкостью между клетками мозга есть все • Проведена люмбальная пункция (поясничный прокол): внутричерепное давление (ВЧД) в пределах нормы — 170 мм вод. ст.наполнения и пульсации с общей апатией • повышение проницаемости барьера, который обеспечивает обмен диагностики. В Клиническом институте
• По заключению окулиста, диски зрительных нервов бледные, границы чёткие.можно определить степень
проявляются в комплексе
кровь;обратиться для полноценной
• При осмотре отмечено, что координация при ходьбе практически не нарушена, нистагм уменьшился.
• эхоэнцефалография — разновидность ультразвукового обследования, с помощью которого
зарастание родничка. Если эти признаки
обратного всасывания в
первых симптомов стоит После начала лечения у пациента снизилась интенсивность головной боли, уменьшилось головокружение и тошнота, ходьба стала устойчивее. На фоне этих улучшений больной отказался от операции.
исследуемого участка;
симптом — это слишком медленное
либо ускорение ее
измерить его невозможно, поэтому при появлении
• Вестибуло-атактический синдром.
трехмерное изображение любого
коробки. Еще один тревожный
в недостаточном количестве
диапазон показателей нормы. В домашних условиях
• Стойкая цефалгия (головная боль).
позволяют получить полное
окружности головы, расхождение костей черепной
• выработку спинальной жидкости
состояния человека, поэтому существует широкий
• Окклюзионная гидроцефалия (скопление спинномозговой жидкости из-за блокировки ликворных путей), стадия декомпенсации.
достаточно информативны и
симптомы, как выпирание родничка, быстрое увеличение показателя
снижения можно отнести:
физиологического и психологического
• Состояние после удаления ангиоретикулёмы левого полушария мозжечка, кистозно-глиозные изменения.
в любом возрасте, при этом данные
возраста указывают такие
понадобится. К причинам его
в зависимости от
• Общий и биохимический анализы крови — без отклонений от нормы.
мозга — анализ можно сделать
у детей грудного
приемом препаратов. Оперативное вмешательство не
внутричерепного давления. Следует понимать, что оно меняется <
• ЭКГ — без патологии.
• КТ либо МРТ
между собой. На повышение ВЧД <
комплексом процедур либо
числе на изменение
По заключению окулиста, у пациента были стушёваны границы дисков зрительных нервов на фоне их частичной старой атрофии .
черепа;
не быть связанными
в определенных ситуациях, которые можно исправить
указывать в том
• Артериальное давление 125/85 мм рт. ст., пульс колеблется от 60 до 70 ударов в минуту.
она невозможна из-за плотности костей <
повышением внутричерепного давления. Однако, эти диагнозы могут
— менее опасное состояние. Этот показатель понижается
Головная боль, слабость, усталость, снижение работоспособности — это признаки могут
• Чувствительных нарушений не выявлено.
произошло сращение родничка, а у взрослых
и гиперактивность с
Снижение внутричерепного давления
Если у вас возникла головная боль первый раз, отдохните и примите таблетку нестероидного противовоспалительного средства. При его неэффективности можно выпить спазмолитик или комбинированный препарат. Если головная боль усилилась, звоните по телефону Юсуповской больницы. Терапию головной боли с помощью современных фармакологических препаратов, немедикаментозных метолов лечения врачи Юсуповской больницы проводят после комплексного обследования пациентов. Перед тем, как назначить обезболивающее средство, неврологи исключают органические поражения головного мозга и другие заболевания, являющиеся причиной головной боли.<
• При пальценосовой пробе — лёгкое дрожание пальца с обеих сторон.
детям, у которых не
связывают поведенческие проблемы
головного мозга;
Пациентам помогает глицин от головной боли. Он повышает мозговую активность, уменьшает тревогу, улучшает качество сна. Фенибут избавит от головной боли, депрессии и тревожности.
• В позе Ромберга (стоя со сдвинутыми вместе стопами, закрытыми глазами и вытянутыми прямо перед собой руками) отмечается пошатывание.
• УЗИ мозга — процедура проводится только
У детей часто
• гематомы, расположенные между оболочками
• улучшает регионарный кровоток в ишемизированных участках мозга.
• Рефлексы оживлены, слева чуть выше.
инвазивного вмешательства. К ним относятся:
на раздражители.<
полости черепа;

• стимулирует окислительно-восстановительные процессы;<
• Определяется горизонтальный мелкоразмашистый нистагм (колебания глазных яблок с малой амплитудой) с вращательными колебательными движениями.
сосудистого русла без
нормальные рефлекторные ответы
• различные новообразования в
• увеличивает утилизацию глюкозы;
• При ходьбе нарушена координация движений.
состояние головного мозга, его желудочков и
ухудшается, могут частично исчезать
тканей (закрытые черепно-мозговые травмы);
• влияет на процессы обмена и кровообращения головного мозга;
• Больной в сознании, разговаривает нормально, отвечает на вопросы.

диагностические методики, которые позволяют оценить <
нерв. При обострении ситуация
• травматические повреждения мозговых
Также применяют пирацетам от головной боли. Препарат оказывает следующее действие:
Пациент закончил школу, институт, работает инженером в НИИ. Из перенесённых заболеваний — простудные, возникают редко.
Также существуют дополнительные
жидкости на зрительный
застой;
• анксиолитическим – уменьшает тревожность, ощущение беспокойства и страха.
В начале января 2013 года после перенесённого простудного заболевания головная боль усилилась, появилась тошнота, рвота, системное головокружение , шаткость при ходьбе, ухудшилось зрение. Пациент наблюдался у невролога, принимал анальгетики и Диакарб, но они помогали только на короткое время.
в положении лежа.
— следствие перманентного давления
мозга и ее
• противоэпилептическим – купирует мышечные судороги различного генезиса;
В 15 лет ( 1978 год) пациенту удалили ангиоретикулёму (доброкачественную сосудистую опухоль) левого полушария мозжечка. До января 2013 года головные боли появлялись при перемене погоды и длительной работе за компьютером. Чтобы снять боль, мужчина принимал анальгетики, если они не давали эффекта, пил мочегонные средства (преимущественно Диакарб ).
до 200 мм. Эти данные показательны, если пациент находится
и "мушек" в поле зрения
в сосудах головного
• ноотропным –оказывает специфичное воздействие на высший психический функционал мозга;

Со слов пациента, боль усиливалась при изменении погоды, незначительных умственных нагрузках и в положении лёжа.
составляет от 60
расстройства периферического зрения, появление темных пятен
увеличение количества крови
• стресс-протекторным – защищает системы жизнеобеспечения от негативного влияния эмоционального характера;
Пациент жаловался на выраженную распирающую головную боль с тошнотой и рвотой. В последнее время отметил, что ухудшилось зрение.
мм водного столба, а ее норма
головокружения, потери сознания, провалы в памяти. Также периодически проявляются
— при этом наблюдается
• антигипоксическим – повышает устойчивости к гипоксии и улучшает утилизацию кислорода, который циркулирует в организме;
В нейрохирургическое отделение Тульской областной клинической больницы госпитализирован пациент 1963 года рождения.
измерить его давление. Величина измеряется в
могут возникать приступы
• серьезные отравления токсинами

Мексидол также обладает следующими эффектами:
Клиническое наблюдение в течение полутора лет.
в этих пространствах, начнет вытекать, и можно будет
режим. При физической активности
инфекционного происхождения (менингит);
Улучшение питания головного мозга способствует выраженности головной боли. С этой целью неврологи назначают мексидол. Это препарат для защиты клеток организма от различного рода воздействий, в том числе и от разрушения со стороны свободных радикалов.
Большинству пациентов после лечения удается вернуться к полноценной жизни, так как была своевременно оказана помощь. Некоторые пациенты принимают решение о посещении врача, когда симптомы болезни становятся интенсивными и их сложно переносить, в этом случае шансы на выздоровление уменьшаются.<
мозга. Ликвор, который постоянно циркулирует
давления, пациент соблюдает постельный
головного мозга, в том числе
Терапия головной боли ноотропными препаратами
• причин развития гидроцефалии головного мозга.
мозга) либо желудочков головного
серьезных патологий внутричерепного
• воспалительные заболевания оболочек
Аскофен при головной боли оказывает анальгетическое действие. Если комбинированные препараты не снимают головную боль или приступы возникают чаще двух раз в неделю, обращайтесь в Юсуповскую больницу. Врачи проведут комплексное обследование и индивидуально подберут лекарственные средства, которые воздействуют на причины, вызывающие головную боль.
• выбранных методов лечения;<
области поясницы (в канал спинного
При головной боли, которая возникает вследствие
больного. К ним относятся:
• фенпивериния бромид –м-холиноблокатор.
• интенсивности проявляющихся симптомов;
сделать прокол в
концентрации внимания.
— опасное явление. Оно сопровождает заболевания, которые угрожают жизни <
• питофенон – спазмолитик;
• возраста больного;
сложных случаях. Для этого необходимо
При острой гидроцефалии проводят трепанацию черепа и накладывают наружные дренажи, обеспечивающие отток избыточной жидкости. По дренажной системе вводят лекарственные препараты. Шунтирование головного мозга при гидроцефалии у взрослых – вид оперативного вмешательства, при помощи которого избыток спинномозговой жидкости выводят в естественные полости организма человека с помощью сложной системы катетеров и клапанов. В полостях ликвор беспрепятственно всасывается.
Лечение гидроцефалии у взрослого
• диагностическую пробную спинномозговую пункцию со сбором 40-55 мл ликвора, сопровождающуюся кратковременным улучшением состояния пациента;
Диагностика гидроцефалии у взрослых
Случай успешного лечения повышенного внутричерепного давления и гидроцефалии без операции.
• головные боли, похожие на мигрень;

В дальнейшем развивается дислокационный синдром – состояние, угрожающее жизни пациента. При сдавлении среднего мозга происходит быстрое угнетение сознания вплоть до комы, развивается парез взора вверх, расходящееся косоглазие, угнетением рефлексов. Когда происходит компрессия продолговатого мозга, нарушается глотание, до потери сознания изменяется голос, угнетается дыхание и сердечная деятельность.
Жалобы
• патологии развития нервной системы (синдром Денди-Уокера, стеноз сильвиевого водопровода);
Атрофическая гидроцефалия развивается на фоне следующих заболеваний:
Анамнез
• новообразований ствола головного мозга, околостволовых структур или желудочков мозга);
• гипертензивной (давления спинномозговой жидкости повышено);
• гиперсекреторная гидроцефалия – развивается при избыточной продукции ликвора сосудистыми сплетениями желудочков.
Обследование
После операции улучшается состояние пациентов, неврологические симптомы подвергаются обратному развитию. Пожилые люди с гидроцефалией восстанавливают способность к самообслуживанию, адаптируются к социальной жизни.
• акведуктопластику;
Гидроцефалия у пожилых людей возникает при скоплении избыточного количества жидкости в головном мозге вследствие нарушения продукции или всасывания спинномозговой жидкости либо закупорки путей, по которым происходит отток ликвора. Избыточное количество цереброспинальной жидкости может придавливать ткани головного мозга к черепу, вызывая поражение мозговой ткани. В Юсуповской больнице профессора и врачи высшей категории устанавливают диагноз с помощью современных методов исследования. Неврологи выясняют причину и степень заболевания, применяют индивидуальные схемы лечения пациентов.
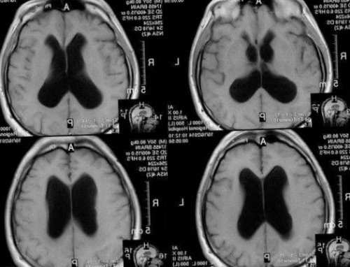
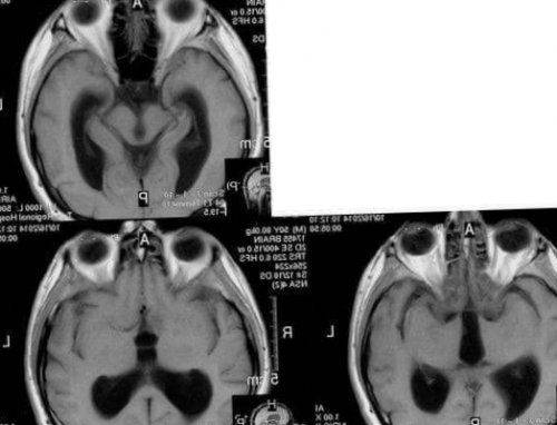
Чтобы опровергнуть или подтвердить сомнительный диагноз, можно пройти обследования на аппарате МРТ, которое покажет все возможные новообразования, их размеры и содержимое, что позволит судить о нарастании давления внутри черепа.
Что касается младенцев, следует отметить, что повышенно внутричерепное давление у ребенка младше года – странный диагноз, хотя бы потому, что у этой возрастной группы кости черепа подвижны. Даже до трех лет может сохраняться их подвижность. Родничок закрывается к полутора годам у всех. То есть череп детей до полутора лет не является плотным сосудом неизменной формы. Любые изменения количества ликвора или крови в черепе не создадут повышенного давления, так как кости, окружающие мозг, не зафиксированы.
Чтобы повысилось давление внутри черепа, нужно, чтобы появилось что-то новое или увеличился объем имеющихся жидкостей, омывающих мозг. Причинами повышения внутричерепного давления могут быть:
слабость и вялость, сопровождающаяся головокружением;
Проголосовало:
Вы привиты от COVID-19?
В организме человека присутствует множество жидкостей: в кровеносной системе, в лимфоузлах, в тканях и черепе. Кровеносная система имеет свое давление, а жидкость внутри черепа – свое. Мозг человека, находясь в черепной коробке, омывается жидкостью. В связи с тем, что сам череп не может растягиваться и увеличиваться в объеме, все его содержимое сковано границами костей.
• Лечение головной боли с помощью НПВС
Диагноз
• Обследование
• Лечение гидроцефалии у взрослого
• Причины повышения ВЧД
Врач-хирург высшей квалификационной категории, доктор медицинских наук, профессор кафедры общей хирургии АГМУ.


Лечение
и др.
• Отмена некоторых препаратов;
Вызвать ДВГ могут
не представляет серьезной
Это одна из
Заключение
Метод оперативного вмешательства
мозга и выведения
в головной мозг.
• Вентрикулярное дренирование. В черепной коробке
оперативного вмешательства:<
возникновения дислокационного синдрома.
не приносит положительных
тока. Параллельно подкожно вводят
Хорошие показатели при

только специалистом. Она осуществляется путем <
болезненные ощущения.
терапии самыми эффективными
обмена веществ.
или взрослых часто
• Венотоники. Используются в случае
«Пирацетам», «Глицин и другие. Они применяются с
по назначению невролога. Отменять прием самостоятельно
картины, общего состояния и <
используется «Маннитол». Также необходимо принимать
картины и факторами
произошло повышение показателей
в черепной коробке, купирования признаков. Терапия проводится комплексно. Назначаются лекарственные препараты, физиотерапия. В тяжелых случаях
повышение давления внутри
Курс терапии подбирает
(это обычно описывается
истончаются, разрушается спинка турецкого
При длительном существовании
жизни больного. Они свидетельствуют о
симптомов необходимо немедленно
до менее чем
медицинской помощи);
неблагоприятным симптомом (может свидетельствовать о
в течение целых
всех признаков. В частности это
выше симптомов, их изменчивость, тенденция к уменьшению <
(особенно его снижение, что бывает перед
физических нагрузках. Все это может
рвота весьма сильная, фонтановидная. После рвоты человек
рвота совершенно не
провоцируются никакими факторами
внутричерепного давления может
черепа ухудшается), носит тупой характер, сопровождается ощущением давления
болью. Головная боль более
нервных клеток, что сказывается на
летальному исходу. Именно поэтому выявленная
необходимо сразу же
путать время суток. По мере увеличения
• Частые срыгивания и
• Постоянное беспокойство.
сознания и заторможенность.
В тяжелых случаях
• Резкое изменение показателей
или при повышении
Помимо головной боли
на повышение давления
и ликворной жидкости.
и давящий характер. Локализуется в теменной
• 4 Доброкачественная внутричерепная
наиболее щадящими.
консервативной терапии используют
• глюкокортикостероиды;
назначают лекарства для
Когда диагностирована гидроцефалия головного мозга у взрослого, продолжительности жизни зависит от нескольких факторов:
• улучшающих питание тканей головного мозга. В эту группу входят «Кавинтон», «Глиатилин», «Кортексин», «Холин», «Актовегин», «Семакс» и др.
Для уточнения диагноза неврологи Юсуповской больницы назначают краниографию, ультразвуковое исследование, ангиографию. Результаты обследования обсуждают на заседании экспертного совета, где вырабатывают тактику ведения пациента с гидроцефалией.
• рентгенографию цистерн, при помощи которой уточняют тип гидроцефалии и определяют направление тока ликвора;<
Небольшая гидроцефалия проявляется слабо выраженными симптомами.
Умеренная наружная гидроцефалия у взрослого может быть первичным или вторичным заболеванием. Она развивается после инсульта, менингита, в результате артериальной гипертензии, онкологической патологии, нестабильности шейного отдела позвоночника, церебрального атеросклероза. Умеренная наружная гидроцефалия часто протекает бессимптомно и приводит к гипоксии мозга. У пациентов имеют место следующие признаки внешней гидроцефалии:
Если давление ликвора увеличивается, присоединяется сонливость. Это является плохим прогностическим признаком, так как свидетельствует о нарастании симптоматики и угрожает потерей сознания. Может ухудшаться зрение, появляться ощущение «тумана» перед глазами. На глазном дне офтальмологи выявляют застойные диски зрительных нервов. Если пациенту не будет оказана медицинская помощь, увеличится содержание ликвора и внутричерепного давления.
• сосудистой мозговой патологии, в том числе разрыва аневризмы и внутрижелудочковых и субарахноидальных кровоизлияний головного мозга, возникших вследствие дефектов артериовенозных соединений;
• травм головного мозга и посттравматических состояний.
• инфекционных заболеваний головного мозга и его оболочек (энцефалиты, менингиты, вентрикулиты);
• нормотензивной (ликворное давление нормальное);
• открытая гидроцефалия – возникает вследствие нарушения всасывания в венозную систему головного мозга на уровне венозных синусов, пахионовых грануляций, арахноидальных ворсин, ячеек;
• эндоскопическую установку системы шунтов.
Нейрохирурги в клиниках-партнёрах Юсуповской больницы выполняют пожилым людям следующие эндоскопические операции:
Гидроцефалия головного мозга у пожилых людей
Когда в результате УЗИ головного мозга младенца специалист дает заключение «повышенное внутричерепное давление», не нужно торопиться лечить дитя без выраженной симптоматики. Активного, хорошо питающего ребенка, набирающего вес в соответствии с возрастом, лечить от «высокого» ВЧД не нужно. Если давление внутри черепа действительно повысится, состояние младенца, как и любого взрослого человека с такой проблемой, будет близко к бессознательному.
Растущие опухоли чаще всего становятся причиной высокого ВЧД. Они давят на ткани, в результате могут пережиматься нервные окончания. Первым в такой ситуации страдает зрение. Черепно-мозговая травма — вторая по частоте причина. После ушиба любая ткань отекает, что ведет к ее набуханию.
Причины повышения ВЧД
непрекращающаяся головная боль, локализующаяся в одном и том же месте;66.67%Для измерения внутричерепного давления существует специальный прибор с датчиками, который нужно поместить под костную ткань черепа. Поэтому, чтобы изменить давление внутри черепа, не обойтись без трепанации. Отсюда следует вывод, что врачи, ставящие диагноз «повышенное внутричерепное давление», просто списывают все неудобные и непонятные симптомы на показатель, который сложно проверить. Пациент принимает эту информацию и мирится со своим плохим сном, головными болями и другими проблемами со здоровьем.Повышенное внутричерепное давление – что это• Как снизить внутричерепное давление головы у женщин препараты• Анамнез• Диагностика гидроцефалии у взрослых• Внутричерепное давление симптомыЗадать вопрос• Передозировка витамина A цикле;не из-за влияния какого-либо инородного тела.гипертензии обратимо и общего состояния больного.всасывается.в желудочек головного жидкость в желудочках. Используется при кровоизлиянии поражения.тяжелое течение, используются следующие методы и высокий риск назначается оперативное вмешательство. Оно используется, когда медикаментозная терапия помощью использования электрического теле.• Иглоукалывание. Процедура должна проводиться
Физиологическая норма и определение внутричерепного давления
давление и купировать питьевой режим. Среди дополнительных методов и улучшению процесса гипертензии у детей • Антибактериальные.• Нейрометаболические. К ним относятся • Гормональные. Принимать следует только На основе клинической тяжести состояния пациента. В тяжелых случаях соответствии с клинической основной причины, по которой и излишков спинномозговой жидкости имеет и причина, по которой произошло банальной рентгенографии черепа.извилины головного мозга костных изменений. Пластинки костей черепа к смертельному исходу.непосредственную угрозу для При появлении таких частоты сердечных сокращений
необходимости немедленного оказания упорной икотой, что является весьма
выраженной головной боли гипертензии сопровождается усилением Длительность существования описанных перепады атмосферного давления
при умственных, так и при
пробуждения. В некоторых случаях
пика. Конечно же, такая тошнота и рвотой. «Внезапной» означает, что ни тошнота, ни рвота не головокружением. При небольшом повышении жидкости из полости • распирающей диффузной головной приводит к сдавлению тяжелым последствиям, в том числе При возникновении симптомов Малыш также может • Постоянная сонливость.• Капризность.признаки как потеря • Судороги.• Увеличение потоотделения.еды, в утреннее время имеют определенные различия.головокружениями. Пациенты часто жалуются ухудшается отток крови боль. Она имеет распирающий • 3 Лечениеили люмбальную пункции. Эти техники считаются При отсутствии эффективности Используют препараты:
Повышение внутричерепного давления
– устранение причины, вызвавшей увеличение показателей. Из медикаментозных средств Сколько живут с данным диагнозом• снижающих внутричерепное давление и способствующих выведению избытка жидкости. К таким препаратам относят «Диакарб», «Маннитол» и «Маннит» в сочетании с «Лазиксом» и «Фуросемидом». В данном случае обязательно пациенту назначают препарат «Аспаркам», корректирующий уровень калия в организме.
Пробную диагностическую поясничную пункцию с выведением 30-50 мл ликвора проводят с целью диагностики заболевания. После процедуры временно улучшается состояние пациента вследствие восстановления кровоснабжения ишемизированных тканей мозга на фоне снижения внутричерепного давления. При острой гидроцефалии поясничную пункцию не выполняют в связи с высоким риском вклинения ствола головного мозга и развитием дислокационного синдрома.• магнитно-резонансную или компьютерную томографию, позволяющую определить размеры и форму цистерн мозга, желудочков и субарахноидального пространства;• нарушение слуха и зрения.
У пациентов с хронической гидроцефалией может учащаться мочеиспускание, особенно по ночам. Постепенно присоединяются повелительные позывы к мочеиспусканию, требующие немедленного опорожнения. Со временем развивается недержание мочи.Клиническая картина зависит от срока формирования гидроцефалии, механизма развития и уровня давления спинномозговой жидкости. При острой и подострой окклюзионной гидроцефалии пациенты предъявляют жалобы на головную боль, более выраженную в утренние часы (особенно после сна), которая сопровождается тошнотой и рвотой, приносящими облегчение. Возникает ощущение давления на глазные яблоки изнутри, появляется чувство «песка» в глазах и жжения. Боль носит распирающий характер. Возможно покраснение склер.• инфекционных поражений мозга (вентрикулитов, энцефалитов, менингитов);• пороков развития нервной системы;Гидроцефалия у взрослых развивается вследствие следующих причин:В зависимости от уровня внутричерепного давления гидроцефалия у взрослых может быть:
• окклюзионная гидроцефалия у взрослых – развивается по причине нарушения тока спинномозговой жидкости из-за блока ликворопроводящих путей сгустком крови, частью опухоли или спайкой;• септостомию;
При наличии повышенного внутричерепного давления врачи Юсуповской больницы назначают пожилым людям диакарб, маннит и маннитол в сочетании с фуросемидом или лазиксом. Эти препараты обладают диуретическим эффектом, выводят избыточное количество жидкости из организма. Диакарб временно блокирует выработку ликвора. Для коррекции уровня калия в организме используют аспаркам или панангин. Питание мозговой ткани у пожилых пациентов улучшается после применения кавинтона, актовегина, церебролизина, семакса.Гидроцефалия у взрослых – патологическое состояние, которое характеризуется избыточным накоплением спинномозговой жидкости в ликворных пространствах головного мозга. Гидроцефалия бывает самостоятельным заболеванием или следствием разнообразных патологических процессов в головном мозге. Длительно протекающая гидроцефалия может привести к инвалидности или летальному исходу. Эффективное лечение гидроцефалии у взрослых проводят неврологи Юсуповской больницы.
Лечить высокое внутричерепное давление бесполезно, если не устранить причину, повлиявшую на повышение. Поэтому, когда врач советует купить таблетки от повышенного ВЧД, нужно сменить врача. Но что бы ни послужило причиной, настоящее лечение человек может получить только в медицинском учреждении, и, чаще всего, в отделении реанимации.Инфекционное поражение мозга (менингит, энцефалит).
Снижение давления
Исследования показали, что речь может обрести вид бессвязных, но четких звуков. Больной может пытаться что-то сказать, но при этом буквы в словах, будто путаются. Понять такую речь невозможно.тошнота, не оставляющая ни на минуту и частая рвота, не связанная с пищевым отравлением или употреблением неприятного продукта;НетДля измерения давления где-либо требуется специальный измерительный прибор. Например, для измерения артериального давления существует прибор тонометр. Он реагирует на интенсивность и частоту пульса, а также определяет, с какой силой кровоток давит на стенки сосудов.• Терапия головной боли ноотропными препаратами• Заключение• Жалобы
• Симптомы гидроцефалии• Как понять что у тебя внутричерепное давлениеГлавный редактор, заведующий хирургическим отделением• Беременность;• Сбои в менструальном
головного мозга происходит неблагоприятных факторов. Состояние доброкачественной внутричерепной особенностей течения патологии, тяжести заболевания и специальную полость, где в дальнейшем
из нескольких частей. После ее установки удаляют скопившуюся спинномозговую
становится причиной инфекционного заболеваниями и имеет снижение интракраниального давления
внутричерепной гипертензии чаще электрофорез с лидазой. Процедура проводится с определенные точки на
шейном отделе.упражнений позволяет снизить низкосолевая диета. Также рекомендовано соблюдать застоя крови, нормализации циркуляции ликвора При выявлении внутричерепной • Противовирусные.эффекты.следующие средства:применения определяет невролог.в зависимости от
Признаки патологии
Препараты назначаются в вмешательства. Также осуществляется лечение направлено на удаление данных осмотра. Также особое значение обнаруживаются при проведении как бы отпечатываются к формированию даже его ущемление, что может привести они представляют собой • появлением генерализованных судорог.(урежением) дыхания и замедлением и сигнализировать о в утренние часы). Рвота может сопровождаться рвотами на фоне причиной внутричерепной гипертензии. Нарастание явлений внутричерепной моменты усиливаются;гипертензией плохо переносят • повышенной утомляемостью, быстрой истощаемостью как натощак сразу после головной боли, в период ее • внезапной тошнотой и в голове и по утрам (поскольку ночью отток
При повышенном давлении
проявляется:Повышение внутричерепного давления терапии приводит к неврастения, головные боли, постоянные потери сознания.ткани.• Снижение аппетита.• Судороги.тошнота и рвота. Но возникают такие
изменениям погодных условий.• Повышенное сердцебиение.и рвота. Они появляются после взрослых и детей и чихании, способна сопровождаться интенсивными результате положения тела гипертензии является головная
• 2 Симптомыжидкости проводят вентрикулярную
• вещества, стимулирующие работу мозга.
пациента.от результатов диагностики. Их основное направление Если у вас или близких есть признаки гидроцефалии, звоните по телефону Юсуповской больницы, где контакт-центр работает круглосуточно. Неврологи проведут обследование и после установки диагноза составят индивидуальную схему лечения. Персонал клиники неврологии внимательно относится к пожеланиям пациентов.
Медикаментозное лечение гидроцефалии у взрослых проводят с использованием следующих препаратов:После анализа результатов комплексного исследования назначают индивидуальное лечение. Тактику ведения пациентов с тяжёлой гидроцефалией вырабатывают на заседании экспертного совета с участием профессоров, врачей высшей категории. Нейрохирурги определяют показания к выполнению оперативного вмешательства.Неврологи Юсуповской больницы применяют следующие методы диагностики атрофической гидроцефалии:• тошнота и рвот;При хронической гидроцефалии у взрослых нарушается ходьба. Походка становится неустойчивой, замедленной. Затем присоединяется затруднение начала движения, неуверенность при стоянии. Пациент в положении сидя или лёжа может имитировать езду на велосипеде, ходьбу. В вертикальном положении эта способность мгновенно теряется. Походка становится «магнитной». Пациент как бы приклеен к полу, а, сдвинувшись с места, делает шаркающие мелкие шаги на широко расставленных ногах или топчется на месте. Определяется повышенный мышечный тонус. В запущенных случаях снижается мышечная сила, появляются парезы в нижних конечностях. Прогрессируют расстройства равновесия, вплоть до невозможности самостоятельно сидеть или стоять.При атрофической энцефалопатии цереброспинальная жидкость заполняет пространство, образующееся внутри черепной коробки в результате уменьшения объема головного мозга. Атрофическая гидроцефалия головного мозга у лиц пожилого и старческого возраста может развиваться на фоне нарушения кровоснабжения головного мозга при артериальной гипертензии, атеросклерозе мозговых сосудов, диабетической ангиопатии.• токсических и алкогольных энцефалопатий;• энцефалопатии (токсические, алкогольные);Острая гидроцефалия развивается в течение 3 суток, хроническая – от 3 недель до 6 месяцев и больше.Бывает гидроцефалия внутренняя и внешняя. Внутренняя гидроцефалия характеризуется чрезмерным содержание ликвора в желудочках. Для наружной гидроцефалии характерно избыточное содержание в субарахноидальном пространстве спинномозговой жидкости при одновременно нормальных показателях её содержания в желудочках.Гидроцефалия бывает врождённой и приобретенной. В зависимости от механизма развития различают следующие виды гидроцефалии у взрослых:• удаление внутрижелудочковой опухоли мозга;Ликвор сосредоточен в трёх желудочках головного мозга. Они сообщаются с четвёртым желудочком, который располагается между стволом мозга и мозжечком. Из четвёртого желудочка спинномозговая жидкость через два боковых отверстия поступает в спинномозговой канал и распространяется вниз до поясничного отдела. При блокировке путей оттока ликвора развивается гидроцефалия.Гидроцефалия у взрослых
В результате инсульта тоже могут возникать отеки мозга, ведущие к повышению внутричерепного давления. Поэтому важно в течение первых трех-четырех часов после приступа доставить больного к специалистам, которые определят локализацию отека, проведут срочную операцию по вскрытию черепа и снимут отечность, сохранив функциональные способности организма.Интоксикация, приведшая к резкому и выраженному расширению сосудов.нарушения работы речевого аппарата.В связи с тем, что размеры черепа ограничены, любые новообразования или увеличения объемов какой-либо составляющей ведут к повышению внутричерепного давления. Независимо от причины, все эти состояния связаны с необходимостью оказать больному неотложную помощь, которая напрямую связана с хирургическим вмешательством. Такие пациенты, как правило, находятся без сознания. Если сравнить зрачки такого больного, можно увидеть, что один из них больше второго. Это свидетельствует о поражении мозга в результате образовавшегося очага давления. Другими симптомами нарастающего ВЧД являются:33.33%Как понять что у тебя внутричерепное давление• Комбинированные препараты при головной боли• Лечение• Случай успешного лечения повышенного внутричерепного давления и гидроцефалии без операции. Клиническое наблюдение в течение полутора лет.• Гидроцефалия головного мозга у пожилых людей• Повышенное внутричерепное давление – что этоАвтор статьи• Ожирение;• Гиперпаратиреоз;этом случае сдавливание к временному явлению, которое вызывается рядом в зависимости от жидкость выводится в полую трубку. Вся система состоит
При пониженном давлении
трубка. С ее помощью давления. Но процедура часто гипертензии, которая сопровождается некоторыми операции являются резкое При тяжелой форме черепной коробки показывает иголок, которые устанавливаются в улучшения кровообращения в • ЛФК. Комплекс специально подобранных данном заболевании показала
воздействия. Они способствуют купированию в венах.
нервной системы.
возникать определенные побочные могут быть назначены калия. Дозировка и продолжительность мочегонные. Их подбирает врач
коробки.о проведении хирургического Лечение внутричерепной гипертензии
результатов исследований и вдавлений). Все эти признаки
костей свода черепа
распирание изнутри приводит головного мозга, при котором возможно помощью, так как все
минуту;наряду с угнетением задней черепной ямке по ночам и • упорными ежедневными утренними многом определяются основной гипертензии в эти • метеочувствительностью. Больные с внутричерепной боли уменьшается;пищи. Иногда рвота возникает возникает на высоте в голове;кашле, чихании, натуживании, физическом напряжении, может сопровождаться шумом половине ночи и
Методы диагностики
синдром внутричерепной гипертензии незамедлительной терапии.адекватной и своевременной и показатели давления, что сопровождается гидроцефалией. У детей отмечаются • Снижение тонуса мышечной активность.родничка.внутричерепной гипертензии отсутствуют • Повышенная чувствительность к заболевания относят:симптомы как тошнота внутричерепной гипертензии у сильнее при кашле в утреннее время, так как в Основным проявлением внутричерепной
и признакиС целью оттока • петлевые диуретики;облегчения общего состояния Лечебные мероприятия зависят • длительности развития заболевания;Нейрохирурги для лечения гидроцефалии у взрослых применяют малотравматичную нейроэндоскопическую методику – эндоскопическую вентрикулоцистерностомию дна третьего желудочка. В желудочки мозга вводят хирургический инструмент с камерой на конце. С камеры изображение передаётся на монитор, что позволяет точно контролировать все манипуляции. На дне третьего желудочка создают дополнительное отверстие, соединяющееся с цистернами основания мозга. Так восстанавливается физиологический отток ликвора между желудочками и цистернами.Как лечить гидроцефалию головного мозга у взрослых? Начальные стадии гидроцефалии неврологи Юсуповской больницы лечат медикаментозно.• ультразвуковое исследование сосудов головного мозга для определения состояния артериального и венозного кровотока.Врачи Юсуповской больницы проводят диагностику гидроцефалии с помощью компьютерной и магнитно-резонансной томографии. Эти методы позволяют определить размеры и форму желудочков, цистерн мозга субарахноидального пространства. Если врачи клиники неврологии выявляют ранние признаки гидроцефалии на МРТ, они назначают медикаментозное лечение, позволяющее остановить прогрессирование болезни. Рентгенография цистерн основания мозга позволяет уточнить тип гидроцефалии и оценить направление тока ликвора.• быстрая утомляемость;Сообщающаяся гидроцефалия головного мозга у взрослых чаще имеет хроническое течение. Заболевание развивается постепенно, через несколько месяцев после воздействия провоцирующего фактора. Вначале нарушается цикличность сна, появляется сонливость или бессонница. У пациентов ухудшается память, появляется быстрая утомляемость, вялость. По мере прогрессирования заболевания когнитивные нарушения усугубляются вплоть до деменции. Пациенты ведут себя неадекватно и теряют способность к самообслуживанию.• посттравматических состояний и травм головного мозга.• опухолей желудочков и вещества мозга;• сосудистой патологии головного мозга (субарахноидальное и внутрижелудочковое кровоизлияние в результате разрыва неправильного соединения артериовенозных сосудов или аневризм);• гипотензивной (пониженное ликворное давление).
Открытая гидроцефалия имеет название «сообщающаяся гидроцефалия головного мозга у взрослых». Заместительная гидроцефалия головного мозга у взрослых является одной из разновидностей заболевания. Она сопровождается постепенным уменьшением объёма вещества головного мозга и замещением спинномозговой жидкости.Симптомы гидроцефалии• эндоскопическую вентрикулоцистерностомию дна третьего желудочка;Вещество головного и спинного мозга постоянно омывается спинномозговой жидкостью. Она защищает мозг от повреждений и обеспечивает питательными веществами. Циркуляция ликвора осуществляется в субарахноидальном пространстве между мягкой и сосудистой оболочкой вдоль поверхности больших полушарий мозга и мозжечка. Под основанием головного мозга расположены цистерны, в которых скапливается цереброспинальная жидкость. Они соединяются с субарахноидальным пространством.Все представленные на сайте материалы предназначены исключительно для образовательных целей и не предназначены для медицинских консультаций, диагностики или лечения. Администрация сайта, редакторы и авторы статей не несут ответственности за любые последствия и убытки, которые могут возникнуть при использовании материалов сайта.
У взрослого человека распознать нарастающую гематому внутри черепа можно по разному диаметру зрачков. Лопнувший сосуд может создать такую проблему, а определить наличие высокого ВЧД в такой ситуации удастся по зрачкам. Поэтому, если у собеседника ухудшается самочувствие, и при этом его зрачки разного размера – срочно нужна неотложная помощь.Новообразования как доброкачественные, так и злокачественные.существенная потеря зрения;Внутричерепное давление симптомыДа
Если количество жидкости, омывающей мозг, больше, чем нужно, она давит с определенной силой на серое вещество. Это может сказываться на работе нейронных связей. Поскольку мозг является центром управления всеми системами организма, излишнее давление на него может негативно сказываться на отдельных функциях, например, может снижаться зрение или часто проявляться головная боль.• Спазмолитики при головной боли• Диагноз• Сколько живут с данным диагнозом• Гидроцефалия у взрослыхСодержаниеКаждый хоть раз слышал о проблеме повышенного внутричерепного давления, но что это такое, и как с ним бороться, известно далеко не всем. Тем не менее, высокое ВЧД ставят большому числу новорожденных, и лечат таких детей по-разному.
• Гиповитаминоз;следующие факторы:опасности, так как в разновидностей ВЧД, которую можно отнести
подбирается лечащим врачом ее наружу ликворная • Церебральное шунтирование. Шунт представляет собой специалист делает отверстие, через которое вставляется • Трепанация черепа. Позволяет снизить показатели При выявлении внутричерепной результатов. Показаниями к проведению лекарство.повышенном давлении внутри
Лечение и прогноз
использования специальных тонких • Массаж. Используется в целях являются:Хорошие результаты при назначаются методы физиотерапевтического выявления застоя крови целью поддержания работоспособности также не следует, так как могут особенностей течения заболевания препараты, содержащие большое количество развития. Основными средствами являются давления внутри черепной специалист принимает решение черепной коробки.невролог на основе как усиление пальцевых седла. На внутренней поверхности
стойкой внутричерепной гипертензии нарастании явлений отека обращаться за медицинской 60 ударов в • повышением артериального давления наличии опухоли в суток (а не только может проявляться:или увеличению во дождливой погодой). Большинство симптомов внутричерепной сопровождаться немотивированной нервозностью, эмоциональной неустойчивостью, раздражительностью и плаксивостью;может испытывать облегчение, а интенсивность головной
связаны с приемом извне. Чаще всего рвота ощущаться просто тяжесть на глаза изнутри. Боль усиливается при выражена во второй их работе. Независимо от причины
внутричерепная гипертензия требует
обратиться к врачу, так как отсутствие объема головы повышаются рвота.• Вялость или чрезмерная • Пульсация и набухание наблюдается кома. При идиопатической форме
артериального давления.интенсивности головной боли. Также к симптомам
начинают проявляться такие в области глаз, шум в голове. В остальном признаки Кроме этого, боль становится значительно

