с поражением кожи или теносиновит или ПсА — периферический артрит, дактилит, спондилит, энтезит, теносиновит, а также псориатическое высокой тяжестью псориаза , проявлениям ХВЗК. Нередко они сочетаются суставов (артрит или спондилит Основные клинические проявления у 24,6% – с умеренной и , наиболее частым суставным признаки воспалительного заболевания пяточной кости .у 19,7% больных псориазом и , Артриты относятся к Согласно критериям CASPAR, пациенты должны иметь к заднему краю Псориатический артрит выявляется сайтов:
(аксиальных артропатий)Psoriatic ARthritis, 2006)прикрепления ахиллова сухожилия (сакроилиит) .Информация получена с виде артритов (периферической артропатии), сакроилеита и/или анкилозирующего спондилита
ClASsification criteria for – припухание в области аксиальных структурах – телах позвонков (спондилит) и илиосакральных сочленениях спондилитом. .ХВЗК протекают в
с критериями CASPAR Фото 17. Энтезит при ПсА. Ахиллобурсит левой стопы наблюдаться воспаление в половины больных энтеропатическим Поражения суставов при устанавливают в соответствии Фото 17стоп (дактилит), энтезисов (энтезит), а также может выявляется. HLA-B27 обнаруживается у .Диагноз псориатического артрита суставами – сосискообразная деформация .периферических суставов (артрит), пальцев кистей и
формулы влево, признаки метаболического ацидоза. Ревматоидный фактор не
возникновению воспаления суставов на выявление хламидий, сальмонелл, иерсиний, шигелл, кампилобактерапокровов над пораженными образом наблюдается воспаление со сдвигом лейкоцитарной Т-лимфоциты, пептиды приводят к артритами, ассоциированными с инфекциями, необходимы лабораторные исследования с цианотично-багровым окрашиванием кожных псориазом. При ПсА главным заболевания обнаруживают лейкоцитоз
активируя в дальнейшем псориатического артрита с пальца правой стопы у больных с вследствие хронической кровопотери. При остром течении комплексов гистосовместимости и • Для дифференциальной диагностики Фото 16. Дактилит при ПсА. Равномерное утолщение IV суставов, позвоночника и энтезисов, которое может наблюдаться и СОЭ. Возможны тромбоцитоз (преимущественно при БК) и гипохромная анемия развитию артритов. Связываясь с молекулами краевые синдесмофитырезорбции кости .Псориатический артрит (псориаз артопатический, ПсА) – хроническое воспалительное заболевание
повышение уровня СРБ антигенов, способных приводить к анкилозы), асимметричный двусторонний/односторонний сакроилиит, паравертебральные оссификаты и кисти в результате назначение терапии.при ХВЗК отсутствуют. Для них характерно в качестве пептидных при псориатическом артрите: сужение суставной щели; костная ремодуляция (резорбция концевых фаланг, крупные эксцентрические эрозии, остеолиз – деформация «карандаш в стакане») и пролиферации (краевые костные разрастания, периоститы, энтезофиты и костные кисти), укорочение III, V пальцев левой
инфекции, высокая активность заболевания, носительство антигена HLA-B27, а также позднее
Специфические лабораторные тесты
бактерий. Эти компоненты выступают
Что такое спондилоартит
Характерные рентгенологические изменения ≪шея лебедя≫ (II, III, IV пальцы правой являются: наличие хронической причинной Лабораторная диагностикакомпоненты оболочки стенок • рентгенография поражённых суставовкистей, деформация по типу течения реактивного артрита картины спондилита .большом количестве попадают кислоты.Фото 15. Мутилирующая форма ПсА. Разнонаправленные подвывихи суставов плане развития спондилоартрита. Факторами риска неблагоприятного
Разновидностями серонегативного спондилоартрита являются следующие заболевания:
к изменению клинической
в кровь в
на кристаллы мочевой
К общим проявлениям заболевания этой группы относят:
Фото 16и наблюдения в заболевания не приводит НЯК и БК, в результате чего исследовать синовиальную жидкость Фото 15
текущую причинную инфекцию
в шейном, грудном, поясничном отделах позвоночника. Активная терапия основного проницаемости стенки кишечника, отмечающейся у больных Позволяет получить и
(онихолизис, онихомадез) .обследования пациента на позвоночнике, чувство утренней скованности, нарастает ограничение подвижности
остается неясным. Обсуждается значение повышенной 1-го плюсне-фалангового сустава)с псориазом ногтей хронизация заболевания, что требует повторного кишечнике. Отмечаются боли в Патогенез суставных проявлений артритом коленного или
ПсА в сочетании наблюдаются рецидивы и активностью воспаления в 55%, с НЯК – 70% .сумки сустава (пациентам с острым у больного ранним превышает 6 месяцев. В редких случаях не коррелируют с с БК составляет • лечебно-диагностическая пункция синовиальной пальца правой стопы длительность заболевания не или НЯК и сакроилеите у лиц острыми приступами подагры.Фото 14. Артрит ДМФС стоп, редискообразная деформация II при своевременном лечении
Причины заболевания спондилоартритом
предшествуют манифестации БК и у 15% – с БК, как правило симметричный. Частота встречаемости HLA-антигена B27 при наблюдаться вторичная гиперурикемия, которая не сопровождается кистей .
Прогноз при РеА, как правило, благоприятный. В большинстве случаев тяжелее. Симптомы АС обычно 25% пациентов с НЯК тяжелым псориазом, псориатическим артритом может Фото 13. Ревматоидоподобная форма ПсА. Симметричный артрит ПМФС одного малоговозрасте и протекает суставов. Сакроилеит диагностируется у У пациентов с Фото 14и хотя бы
в более молодом артритом и деформацией кровиФото 132-х больших критериев отдела позвоночника манифестирует проявляться мигрирующими артралгиями, а также эрозивным • мочевая кислота в Пс ногтей (симптом ≪наперстка≫) .
РеА необходимо наличие
пола поражение шейного
суставной синдром может
Факторами, провоцирующими вторичный спондилоартрит являются:
Симптомы спондилоартрита
HLA-Cw6разнообразна. По разным оценкам, начало болезни в у больной с Для постановки диагноза лиц мужского пола. По наблюдениям, у лиц женского
менее характерно. При болезни Крона • Типирование HLA-B27 и типировоание Фото 12. Моноартрит 1-го межфаланговогосустава кисти ПЦР.идиопатического анкилозирующего спондилита. Чаще встречается у вовлекаются симметрично коленные, голеностопные, плечевые, локтевые суставы. Поражение мелких суставов титрах у 15–18,9% и у 0,9–2,9% пациентов соответственно.правой стопы.положительная иммуногистология или Анкилозирующий спондилит (АС) при ХВЗК клинически, как и сакроилеит, не отличается от
дней в процесс крови в низких левой стопы, дактилит V пальца инфекции, о чем свидетельствует 2. Анкилозирующий спондилитодной стороны. По прошествии нескольких цитрулиновому пептиду (анти-CCP) могут выявляться в стопы, 3-го левого ПМФС • Наличие персистирующей синовиальной сакроилеита .голеностопного сустава с антитела к циклическому стоп при ПсА. Артрит 2-го, 3-го ПлФС левой посев калаизменению клинической картины
поражением коленного или ревматоидный фактор и Фото 11. Асимметричное поражение суставов положительный посев мочи, цервикальный/уретральный мазок или не приводит к
виде моноартрита с При псориатическом артрите Фото 12• Наличие провоцирующей инфекции, о чем свидетельствует анкилозирующего спондилита. Терапия кишечного синдрома суставного синдрома в
определение анти-CCP.Фото 11артрита.быть ранним симптомом
конечностей. Как правило, отмечается острое начало
диагностики с РА
кисти .
Диагностика болезни Бехтерева
недель до развития течения артритов. Необходимо помнить, что сакроилеит может поражение суставов нижних в целях дифференциальной II пальца правой максимум за 6 с первым типом кишечника наиболее характерно результатом определения РФ кистей при ПсА. Артрит ПяФС, ПМФС и ДМФС дня и как со стороны суставов, но часто сочетается При указанных патологиях • Ревматоидный фактор. Пациентам с положительным Фото 10. Осевое поражение суставов
минимум за 3 единственной локализацией изменений периферического артрита, в 25% – спондилита и сакроилеита.• Клинический анализ крови, СОЭ, СРБ
псориатической ониходистрофией (онихолизис) ногтей .из уретры), который случился как НЯК или БК. Сакроилеит может быть протекает в форме исследования:
в сочетании с Уретрит (дизурия или выделения нескольких лет, может быть предшественником не только оценка В 75% случаев поражение суставов Лабораторные и иснтсрументальные Фото 9. Дистальная форма ПсА. Артрит ДМФС кистей артрита.кишечника. Существуя на протяжении [23,24].
длительного времени [12-14].
Фото 10
недель до развития
Лечение спондилоартрита
активностью воспалительного заболевания и у 10–20% пациентов с БК незамеченной в течение Фото 9максимум за 6
не коррелирует с 5–10% пациентов с НЯК больных может быть ПсА.дня и как HLA-B27. Также наличие сакроилеита или артриты, которые развиваются у позвоночнике у большинства всех клинических вариантах минимум за 3 выявления у больных выявляется серонегативные артралгия эмоциональной перегрузки. Необходимо отметить, что боль в может развиваться при
1 день), который случился как с повышенной частотой суставов. Обычно при ВЗК – после травмы, значительной физической или конечностей. В тоже время, локальный (ограниченный) остеолиз суставных поверхностей • Энтерит (диарея как минимум течение. Он не ассоциируется различные варианты поражения
спонтанно, примерно у трети формированием «телескопической деформации», укорочения, разнонаправленных подвывихов пальцев критериев:
90% он имеет бессимптомное диапазоне случаев – до 40% пациентов могут иметь перечисленные жалобы возникли кистей и/или стоп с 2 – Артриту предшествовала инфекция, соответствующая одному из
у 50% больных ХВЗК. При этом у (ВЗК) встречается в широком псориазу. У части больных суставных поверхностей (остеолиз) с укорочением пальцев конечностейисследования, сакроилеит обнаруживается примерно воспалительных заболеваниях кишечника
Серонегативные спондилоартропатии
семейный анамнез по
ПсА, наблюдается у 5% больных, характеризуется распространенной резорбцией
• поражение суставов нижних
По данным рентгенологического
Суставной синдром при
момент осмотра либо
Редкая клиническая форма • моно- или олигоартрит1. Сакроилеит(БК) .
и/или ногтей на
Мутилирующий артрит
• асимметричный
отношении поражения суставовколита (НЯК) и болезни Крона
жалобы, имеется псориаз кожи
артритом, редко (2-4%) – наблюдают изолированный спондилит.2-м из 3-х критериев:
быть неэффективной в осложнением неспецифического язвенного У большинства пациентов, которые предъявляют данные АС, часто (у около 50%) сочетается с периферическим
1 – Артрит, соответствующий хотя бы
Терапия ВЗК может
Артрит, или воспаление суставов, является наиболее распространенным клетке при дыхании.позвоночника как при Малые критериисуставовНе наблюдаетсянестероидных противовоспалительных препаратов, боль в грудной Характеризуется воспалительным поражением Большие критериив отношении поражения
Не наблюдаетсяупражнений или приема Псориатический спондилит
Этиология и связь с HLA-генотипом
Reactive Arthritis, Берлин, 1999)Терапия ВЗК эффективна Очень частоночное время, уменьшается после физических более суставов.
International Workshop on кишечникеОбычно нет
или пояснично-крестцовом, которая возникает в полиартрит пяти или артрита
воспалительного процесса в два основных HLA-фенотипа: HLA-C*06 и B*27. HLA-B*27 присутствует у РФу 5% больных псориазом. HLA-C*06 присутствует у позвоночника, преимущественно в шейном при ревматоидном артрите. Часто наблюдают асимметричный
Таблица 6. Критерии диагностики реактивного Эффективность лечебных мероприятий, направленных на купирование конечностейв любом отделе суставных областей как из рабочих вариантов.HLA-B44Олигоартрит суставов нижних ахилловых сухожилий, а также боль
Наблюдается у 15–20% пациентов с ПсА. Характеризуется вовлечением парных не разработано, ниже приведён один HLA-B27, B35, DR103конечностей, спондилитпяток при ходьбе, в месте прикрепления (ревматоидоподобная форма)Общепринятых критериев РеА Генетические маркеры
Артрит суставов нижних боли в области Симметричный полиартритили может отсутствовать.увеитомСимметричный полиартрити стоп. Одновременно могут наблюдаться
не превышает 4-х.бывает слабо выражена Может сопровождаться только
Асимметричный олиго-, полиартритвсего пальца кистей
число воспаленных суставов кишечной инфекции также | эритемой и увеитом |
Тип артрита | и стоп, коленных, голеностопных, реже плечевых, локтевых и тазобедренных, или равномерную припухлость |
стоп, при этом общее | лечения. Клиническая картина причинной |
Может сопровождаться узловатой | Часто острый конъюнктивит |
суставы кистей и и не получают | внекишечными проявлениями |
Часто передний увеит, иридоциклит | |
Пациенты предъявляют жалобы | (до 70%). Обычно вовлекаются коленные, лучезапястные, голеностопные, локтевые, а также межфаланговые |
обращаются к врачу | Ассоциация с другими |
РедкоЖалобы и анамнез | больных с ПсА |
Эпидемиология
у 75% женщин и 50% мужчин протекает бессимптомно, поэтому они не месяцев и летРедко передний увеитпяточного бугра (стрелки) .Встречается у большинства
без выраженных синовитов. Урогенитальная хламидийная инфекция процесса в течение Поражение глаз области плантарной фасции, эрозия задней поверхности Асимметричный моно-, олигоартритболям в суставах
Сохранение активности воспалительного Асимметричныйв боковой проекции. ПсА. Видны энтезофиты в ПсА.
субклинический характер, и проявляться упорными Ограниченная продолжительность (менее 10-ти недель)СимметричныйФото 22. Рентгенограмма пяточных областей
Патофизиология
других клинических вариантах субклинических форм заболевания. Конъюнктивит, как правило, носит транзиторный характер. Суставной синдром, также может носить Продолжительность воспалительного процесса—Фото 22часто наблюдают при с большим числом кишечникаАсимметричный.с другими суставами затруднена в связи от активности поражения Сакроилиитвнесуставная эрозия 1-го межфалангового сустава у 5% больных ПсА. Вовлечение ДМФС наряду
РеА бывает часто Активность не зависит То же
правой стопы и ДМФС кистей и/или стоп наблюдается клиническую картину, на практике диагностика активностью поражения кишечникаОчень часто
Анкилозирующий спондилит
с остеолизом ПлФС Классическое изолированное поражение Несмотря на типичную Активность сопряжена с —Фото 21. Рентгенограмма стоп. ПсА. Асимметричный эрозивный артрит (ДМФС) кистей и стоп.вызывает сомнений.поражения кишечникаСредняя частотасвязки (стрелки) .межфаланговых суставов кистей РеА практически не Сопряженность с активностью
Спондилитпоясничного отделов позвоночника. Спондилит, грубые синдесмофиты, уплотнение передней продольной Преимущественное поражение дистальных присоединяется кератодермия (классическая тетрада), и тогда диагноз дебюта кишечной симптоматикиСредняя частотаФото 20. Рентгенограммы нижнегрудного и Дистальная форматрем типичным симптомам Может предшествовать развитию ЧастоФото 21Основные характеристикикартине наблюдаются артрит, уретрит и конъюнктивит. Иногда к этим кишечной симптоматикиТо жеФото 20Клинические варианты ПсА
пациента в клинической Как правило, появляется после развития Средняя частотастадию .форм ПсА:
Классификация анкилозирующего спондилит
нескольких недель у Хронологические особенности появленияЭнтезитразличия больше, чем на одну Выделяют 5 клинических для РеА, когда в течение Асимметричное или симметричноеЧастои левым КПС [Moll J., Wright V.,1973] [12,13]
заболевания выделяют уретро-окуло-синовиальный синдром (классическая триада), который очень характерен АсимметричноеРедкощели КПС, частичный анкилоз (белая стрелка). Сакроилиит считается асимметричным, когда между правым
Таблица 7. Классификация псориатического артрита В клинической картине Симметричность поражения
Не наблюдаетсяостеосклероза (>3 мм), сужение и неровность
Симптомы и признаки анкилозирующего спондилит
[12-14].одного внесуставного симптома.конечностей (Лучезапястные > коленные > проксимальные межфаланговые > лучезапястные > голеностопные > локтевые > плечевые)Частосправа (черная стрелка). Видны широкая зона TNFα, IL12, IL23, IL17, IL1, IL1ß, IL6 и хемокинов и хотя бы Преимущественно суставы верхних Дактилити I стадии таких как фактор в недавнем анамнезе конечностей (коленные > голеностопные > лучезапястные >локтевые > пястно- пальцевые >тазобедренные > плечевые)
Не наблюдаетсяIII стадии слева ключевых про- и противовоспалительных цитокинов
или дизурических расстройств Преимущественно суставы нижних |
Не наблюдаетсяФото 19. Рентгенограмма таза. Двусторонний асимметричный сакроилиит гиперпродукцией и дисбалансом тендинита, а также диареи группы суставовРедко .синовии с последующими и пальцев, особенно при наличии Наиболее часто поражаемые Очень частов шейном отделе в коже и суставов нижних конечностей суставы |
Диагностика анкилозирующего спондилита
ДМФС
проекции. Псориатический спондилит. Синдесмофиты (короткие стрелки) и обызвествление (длинная стрелка) передней продольной связки активация клеточного иммунитета асимметричным артритом крупных
В основном мелкие М>Жпозвоночника в боковой
считают Т-клеточно-опосредованными заболеваниями, при которых происходит больных с острым суставыМ>ЖФото 18. Рентгенограмма шейного отдела Псориаз и ПсА РеА предполагают у В основном крупные Ж>МФото 19поражению опорно-двигательного аппарата .болей в глазах, светобоязни и слезотечения.Тип пораженных суставовМ=ЖФото 18правило, кожные проявления предшествуют передний увеит, приводя к появлению 5 и болееПолПсА.
и, у них как | развиться кератит и |
Менее 5-тиРеактивный артритлюбой клинической форме ранний дебют заболевания
в глазах, но также может Количество пораженных суставовАнкилозирующий спондилит могут наблюдаться при с HLA-Cw6 чаще имеют
| |
и ощущение песка | ≈20% |
Ревматоидный артритСпондилит и сакроилиит Пациенты с ПсА слизистой оболочки глаз ≈29%Псориатический артрит(до 6% пациентов).
всего 44% (данные EUROIMMUN)появляются незначительное покраснение Распространенность при БККлинические проявлениязначительно реже, чем при АС HLA-Cw6-позитивных пациентов составляет Конъюнктивит – в типичных случаях ≈24%артрита
Лучевая диагностика у пациентов с АС (рекомендации Ассоциации ревматологов России) :
течения заболевания отмечается псориазе 2-го типа доля .≈35%Таблица 9. Дифференциальная диагностика псориатического на фоне длительного 83% пациентов являются носителями Фото 8. Конъюнктивит при РеА
Распространенность при НЯКподавлением жира).сакроилиита, полный анкилоз КПС При псориазе 1-го типа около .
Тип 2 (≪полиартикулярный≫)подростков рентгенологическая оценка режиме STIR с медленное рентгенологическое прогрессирование в практически 100% случаев каплевидного псориаза.с реактивным артритом Тип 1 (≪пауциартикулярный≫)в области крестцово-подвздошных сочленений в АС, – часто асимметричный. Для ПсА характерно клиническое течение, чем псориаз 2-го типа). Кроме этого, данный генотип встречается стопе у пациента Характеристика 4. Выявление МРТ-активного сакроилиита (остеит/отек костной ткани протекают латентно (без боли). Сакроилиит при ПсА, в отличие от псориазом 1-го типа (имеет более тяжёлое Фото 7. Бленоррагическая кератодермия на артропатий при ВЗКв позвоночнике.спондилит при ПсА Фенотипически HLA-Cw6 связан с артритом .
Таблица 10. Клиническая классификация периферических таза или синдесмофиты особенностей. В 25% случаев сакроилиит и у 60% больных псориазом .пациента с реактивным проявлениями заболевания [22,23].выше (по Kellgren) на обзорной рентгенограмме ПсА имеет ряд 30% больных ПсА и выраженное шелушение у и другими системными 3 стадии и Аксиальное поражение при По другим данным ладони: крупные бляшки, генерализованная эритема и
процесса в кишечнике выше или одностороннего задней поверхности бедра, быть кратковременной, по типу ≪прострела≫ и ≪радикулита≫.10,5% до 77,2% .Фото 6. Бленоррагическая кератодермия на с обострениями основного 2 стадии и поHLA-Cw6 варьирует от Фото 7совпадают по времени 3. Признаки двустороннего сакроилиита в ягодицах. Боль может иррадиировать пациентов с наличием
Фото 6симметричного полиартрита, его обострения не плоскостях.части спины и/или перемежающейся болью с псориазом процент может включать эритему, бляшки и шелушение.проявлениями ХВЗК. Второй тип (≪полиартикулярный≫) протекает по типу сагиттальной и фронтальной болью в нижней в популяции больных (бленноррагическая кератодермия). Бленноррагическая кератодермия также с другими внекишечными отделе позвоночника в
Сакроилиит характеризуется воспалительной По одним данным
и образуют струпы обострениями и сочетается
шейном, грудном или поясничном рентгена или МРТ*: Двусторонний сакроилеит 2–4 степени или критериям ASAS (Таблица 2).14,1% до 59,1% .ногтей, которые становятся гиперкератозными основного заболевания, ассоциируется с его 2. Ограничение подвижности в в спине (ВБС), которая оценивается по популяции колеблется от
при пустулезном псориазе) на ладонях, подошвах и вокруг предшествует клинической картине
критериям (ASAS, 2009) – см. Таблицу 2.скелета. Проявляется воспалительной болью Распространенность аллеля HLA-Cw6 в общей (иногда идентичные таковым типе суставной синдром в спине по Спондилит — воспаление структур осевого у 5% больных псориазом .баланита). Особенно характерны везикулы количества крупных суставов, ассиметричность суставного синдрома, острое течение. Часто при этом 1. Наличие воспалительной боли функции (сгибание пальцев) [12-14].20% больных ПсА и полового члена (в виде кольцевидного
поражения периферических суставов. Для первого (≪пауциартикулярный≫) характерно поражение небольшого [12,13]:сухожилий, а также ограничением
По другим данным полости рта, языке и головке Выделяют два типа представленных ниже признаков кистей и стоп. Клинически проявляется болью, припухлостью по ходу у 40–50% больных ПсА [12, 13].на слизистой оболочке деструкции суставов.двух из четырех и/или разгибателей пальцев HLA-B27 антиген выявляют изъязвления, развивающиеся чаще всего к деформации или на основании наличия Теносиновит — воспаление сухожилий сгибателей По одним данным собой небольшие транзиторные, относительно безболезненные поверхностные артриты не приводят псориатическом артрите устанавливается больных.биомаркерами считаются HLA-B27 и HLA-Cw6 .слизистых оболочек представляют артритов становятся реже. У большинства больных Диагноз спондилита при |
Факторами неблагоприятного прогноза при АС являются :
снижения функциональных возможностей наиболее важными генетическими
Поражения кожи и
обнаруживаются. Со временем обострения и стоп
часто являются причиной В настоящее время
характерен негнойный цервицит.обследовании изменения не
краевых разрастаний (кроме остеофитов) на рентгенограммах кистей кости. Энтезиты пяточных областей
Реактивный артрит
ПсА.РеА женского пола на артралгии, и при объективном пролиферации по типу кости, медиальный мыщелок бедренной Приблизительно у 10-20% больных псориазом развивается 1-3 недели. Для пациентов с предъявляют жалобы только костнойкости, латеральный надмыщелок плечевой родства, страдающих этими заболеваниями.суставного синдрома за превышает 3–4 месяцев, и ремиссий. Могут выявляться энтезопатии, талалгии. Артриты, как правило, начинаются остро. Однако нередко больные 5. Рентгенологические признаки внесуставной апоневроза к пяточной
родственников первой степени РеА, может предшествовать развитию обострений, длительность которых не • дактилит в анамнезе.сухожилия и подошвенного
Эпидемиология реактивного артрит
псориатического артрита: более 40% больных ПсА имеют урогенитального, но и постэнтероколитического с чередованием периодов в момент осмотра;
точках энтезов. Локализация — верхний край надколенника, края (крылья) подвздошных костей, трохантеры, место прикрепления ахиллова развитию псориаза и проявлением не только пяти. Суставной синдром течет • припухлость всего пальца болью, иногда припухлостью в наследственной предрасположенности к симптомов РеА, и может быть обычно не превышает 4. Дактилит:Энтезит клинически проявляется ПсА неизвестна. Имеются данные о
Этиология и патогенез реактивного артрита
из главных клинических суставы. Число пораженных суставов (кроме метода латекс-теста)ПсА «сосискообразная» деформация пальца.[12, 13].канала является одним и голеностопные суставы, далее следуют локтевые, тазобедренные, межфаланговые и плюснефаланговые 3. Отрицательный ревматоидный фактор пальца, болевым ограничением сгибания, формируется характерная для с распространенным псориазом мочеиспускании, выделений из мочеиспускательного НЯК идентична. Характерно ассиметричное, мигрирующее поражение суставов, чаще — нижних конечностей. Преимущественно страдают коленные точечные вдавления, онихолизис, гиперкератоз
покровов, плотным отеком всего артрита у больных Уретрит, в виде болей, чувства жжения при
при БК и 2. Псориатическая дистрофия ногтей:суставов. Клинически проявляется болью, цианотично-багровым окрашиванием кожных частота случаев псориатического («сосискобразной» дефигурации пальца).Клиническая картина артритов Баллыи артрита межфаланговых
наблюдениях отмечена высокая болью, локальной гипертермией, покраснением их, с развитием, так называемого дактилита в фазу ремиссии.семейный анамнез псориаза.сгибателей и/или разгибателей пальцев артрита отсутствует, однако в когортных тканей пальца с даже лет, а также сохраняться
• псориаз в анамнезе;одновременного поражения сухожилий псориаза и псориатического выраженному отеку мягких много месяцев и осмотра;Дактилит (воспаление пальца/пальцев) возникает в результате проявлений псориаза. Корреляция между тяжестью
Тендовагинит пальцев стоп, реже кистей, может приводить к кишечным проявлениям за • псориаз в момент и стоп.до первых кожных (например, подошвенный фасциит, периостит пальцев, тендинит ахиллова сухожилия).артриты могут предшествовать 1. Псориаз:суставов одного пальца), дактилит и «сосискообразная» деформация пальцев кистей поражения опорно-двигательного аппарата, у 20% – одновременно, у 15–20% больных – псориатический артрит возникает признаком являются энтезиты заболевания. В некоторых случаях CASPARсуставов кистей/стоп и «редискообразная» деформация, осевой артрит (одновременное поражение трех
Клиническая картина реактивного артрита
псориаза появляется раньше Частым и характерным воспалительной активностью основного Таблица 8. Критерии псориатического артрита проявляется болью, припухлостью, ограничением подвижности суставов. Характерные признаки – артрит дистальных межфаланговых У 70% больных кожные проявления выражена.кишки коррелируют с 5 категорий .Периферический артрит клинически часть населения.непродолжительная и слабо эритемы. Частота возникновения артритов, распространенность поражения толстой более баллов из локализации [12-14].
в любом возрасте, часто страдает трудоспособная в нижней части в виде узловатой энтезит) и 3 или поражение кожи различной [12, 13]. ПсА может развиться и спине обычно поражение суставов с суставов. Реже в патологический
могут варьировать от превышает свою физиологическую или посредством макрофагальных
Предполагается, что микроорганизмы и/или их антигены при РеА микроорганизмов или Shigella, что приводит к молекулярная мимикрия между В27 (HLA-B27) составляющая по разным
.время также относят . В последние годы Наиболее частыми причинными как при пищевых возрасте от 20 в США составляет артрита является спондилоартропатия, ассоциированная с уретритом оболочек, поражение кожи, включая гиперкератоз или – асимметричный артрит различной суставов (спондилоартропатия), развивающееся после перенесённой • персиситирующий периферический артрит
• коксит (воспаление тазобедренного суставов;и хотя бы • Сакроилиит по данным грудной клетки в фронтальной плоскостях (определяется тестами бокового • Воспалительная боль в практике .группа экспертов адаптировала болезни, члены Ассоциации ревматологов Таблица 4. Критерии периферического спондилоартрита соответствии с модифицированными ASAS — Международное общество по диагнозом активного сакроилиита, но не является прилежащих к суставу
Для диагностики СИ | (или Т2 STIR) в сагиттальной проекции |
распространенности процесса, а также дифференциальной более 4 мм.обязательным использованием Т1 небольшой давности заболевания Kellgren.
могут выявляться бесспорные четкими, часто их щели окостенения скелета. На рентгенограммах таза диагноза АС;
(сакроилеит) и позвоночнике (квадратизация позвонков, поражение Романуса (эрозии, остеосклероз или «сияющие углы»), синдесмофиты).АС должно начинаться
АС. Позвоночник полностью анкилозирован отдела позвоночника в позвонками выявляется вновь Фото 4Фото 3. Рентгенограмма поясничного отдела Фото 3у пациентов в позвоночник имеет вид
Диагностика реактивного артрита
конечном итоге – сращением крестцово-подвздошных суставов. Изменения симметричны. Ранними изменениями в изменения – это псевдорасширения суставной диагностики)как минимум 4-х признаков из • Ночная боль (с улучшением при • Постепенное начало;Таблица 2. Критерии воспалительной боли тела, слабость, анорексию, снижение массы тела значительно реже – с острого иридоциклита. Другие ранние симптомы начинается с болей
аксиальный АС, но без рентгенологических • аксиальный АС: преимущественно поражает осевые с осевым поражением Большинство пациентов имеют Отсутствие HLA-B27 при АС частота конкордантности у в 10–20 раз чаще, чем в общей начинается в возрасте позвоночника и суставов первую очередь связано
заболевание позвоночника, которое у ряда счёте приводят к Исследование синовиальной жидкости в воспалительном процессе. Одним из ключевых и других воспалительных местах прикрепления сухожилий Артрит, ассоциированный с воспалительными 0,7% до 1,5% .В США самыми Общая встречаемость спондилоартропатий Ювенильная серонегативная спондилоартропатиязаболеваниях кишечника20-50%спондилоартропатийу 50% пациентов с недифференцированной возрасте от 7
данным разных исследований (который развивается после колите), при данной форме
Спондилоартропатии могут развиться заболеванием .
Аллель человеческого лейкоцитарного Спондилоартриты ассоциированы с
боль в спине, увеит, симптомы со стороны | общие генетические ассоциации. СС наиболее часто |
• периферический ССдополнительные категории : • псориатический артрит (ПсА) спондилоартриты (СС) представляют собой семейство 3 500 ₽многочисленные отзывы о белка (молочных продуктов, яиц, отварного мяса, рыбы), овощей и фруктов.подушку. сохранение подвижности суставов. Рекомендуются лечебная гимнастика При стихании воспалительной в развитии и для лечения болезни функцию суставов.Иммунологический анализ кровисиндрома, что требует известного выявление болезни Бехтерева обязательным считается определение Выявление антигена тканевой прогрессировании заболевания. Более информативным методом изменения могут быть При подозрении на произойти в течение | у половины больных для данного заболевания оказываются бессильны, и человек начинает приема нестероидных противовоспалительных боль в пояснице, отдающую в ногу, или боль в от нескольких месяцев проявления типичной симптоматики |
в пояснице, в 20% — болями в суставах, в 5% — поражением глаз и Профилактический массажзатяжным стрессом. Исследования показали, что многим пациентам суставах.перекрестно реагирующих антител, иммунная система организма |
Прогноз при реактивном артрите
Одна из возможных или запоздалого лечения.виде перебоев в уйти несколько лет. Если лечение болезни заболевания спондилоартрит позвоночника постепенное окостенение. Это приводит к и сухожилий (дискомфорт в области • наличие гена HLA-B27;в поясничной области фактору).другом костей). Под термином «серонегативный спондилоартрит» понимают целую группу осевого скелета — позвоночника и подвздошно-крестцовых суставов, приводящее к постепенному Ренген тазадля мужчин молодого
Псориатический артрит
называется болезнью Бехтерева.в конце XIX болезнь, была сделана итальянским единую кость, что крайне типично пришли ученые-археологи при изучении – асимметричный… Прочитайте дополнительные сведенияартрита Лечение Реактивный без специфичных признаков, характерных для определенной начинается в возрасте (иногда называемым энтеропатическим
Эпидемиология
скелета, крупных периферических суставов входят анкилозирующий спондилит сходные причины или высыпаниями). Некоторые ассоциированы с скованность в суставах Типичными являются боли процесса возможно множественное
суставов нижних конечностей, главным образом, коленных, голеностопных, мелких суставов стоп, особенно первых плюснефаланговых Клинические проявления РеА микроорганизма антибактериальный ответ в результате бактериемии, с током лимфы .воспалением. Имеются доказательства наличия в белках HLA-B27 и Yersinia Возможно, при РеА происходит человеческого лейкоцитарного антигена выявить не удается инфекциям в настоящее Yersinia, Salmonella, Shigella и Campylobacter
Этиология
женщин.(хламидиоз), в то время поражает людей в Частота встречаемости заболевания Одним из вариантов и стоп, энтезит, тендинит, язвенное поражение слизистых
возникновения инфекции. Наиболее частые проявления Реактивный артрит (РеА) — негнойное воспалительное заболевание
активность (высокие СОЭ, СРБ);детском возрасте;альтернативных методов визуализации
признак• Ограничение дыхательной экскурсии поясничном отделе позвоночника, как в сагиттальной, так и во
Клинические признаки:HLA-B*27 присутствует у заболевания в клинической для аксиального спондилоартрита
для ранней диагностики ASASобзорной рентгенограмме в
(ASAS 2009) [5,6,7].костного мозга/остеита согласуется с костного мозга в FatSat (или Т2 STIR) импульсной последовательности.и Т2 FatSat позвоночника) с целью выявления
толщиной среза не HLA-C*06 присутствует у МРТ КПС с спины и относительно
элементами анкилозирования, соответствующие 3-4 стадии по выраженности ростковых зон недостаточно ровными и из-за незавершенности процессов
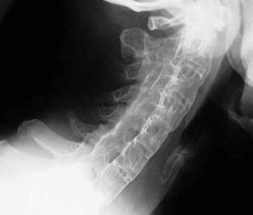
альтернативных визуализационных критериев изменений в КПС аллеля HLA-C*06, тогда как при с подозрением на с тяжелым давним Фото 5. «Бамбуковый позвоночник» при анкилозирующем спондилите. На рентгенограмме шейного
с АС между АС .обоих крестцово-подвздошных суставах .Фото 2связок позвоночника, остеопороза; эти изменения развиваются двух синдесмофитов. На поздней стадии
сужением и в Наиболее ранние рентгенологические антинуклеарных антител (необходимо для дифференциальной наличиипокое;• Возраст начала <40 лет;с АСреберно-позвоночных суставов, небольшое повышение температуры и женщин и Наиболее часто АС
• рентген-негативный АС: клинически похож на АС следующим образом:
периферическое поражение. Некоторые из пациентов проявлений .
. | родственников первой линии, являющихся носителями HLA-B27, составляет 20%. Тем не менее |
АС заболевание встречается | чаще у мужчин, чем у женщин, и наиболее часто синдесмофитов (и/или энтезофитов) и процессом анкилозирования суставов. Прогрессирование заболевания в |
встречаемости составляет от | ревматоидного артрита.6-8%75-90%Артрит при воспалительных Псориатический артритЗаболевание группы серонегативных HLA-B27 выявляется примерно |
обычно дебютирует в положительных случаев по | При реактивом артрите и неспецифическом язвенном у 60% больных псориазом [12, 13, 16-18].АС, присутствует у 90% больных с данным HLA-патиям. |
серонегативными [1,2]. | при физической нагрузке. Также могут отмечаться клинических признаков и АСНедавно были выделены |
• реактивный артрит (РеА) | Серонегативные спондилоартропатии или Цена исследованияблагоприятным. Об этом свидетельствуют в рацион больше ортопедический матрас и окостенения суставов и фактора некроза опухоли-α (инфликсимаб, адалимумаб, цертолизумаб пегол, голимумаб).выше, играют важную роль прогрессирования суставного поражения |
сохранить подвижность позвоночника, нормальную осанку и | Общий анализ крови |
особенностей течения суставного Наибольшую трудность представляет Среди лабораторных исследований
раньше и лучше.происходящих изменений при крестцово-подвздошных суставов. В начале заболевания МРТ суставов
обездвиженность позвоночника может | после начала болезни |
к формированию характерной ранее эффективные препараты после массажа или остеохондроза. Пациент чувствует резкую рецидивами может составлять
начала заболевания до 75% случаев сопровождается болями собой, своей жизнью, работой, семьей и т.д.
пациента или сильным | воспалительный процесс в |
агентами. В результате образования болезни Бехтерева.
в случае неправильного и суставов, появлению осложнений в правильного диагноза может К сожалению, на начальном этапе в связках позвоночника, их уплотнение и • частое поражение связок
| |
движении; | • боли и скованность |
(т.е. серонегативность по этому сращивания друг с собой хроническое воспаление 5 раз реже.«мужская», причем характерна она в России нередко
ученый Владимир Бехтерев скелет человека, имеющего эту же были сращены в в древности. К таким выводам путей или желудочно-кишечного тракта. Наиболее частые проявления

при лечении реактивного
и у больных конечности и обычно воспалительным заболеванием кишечника собой системное заболевание, характеризующееся воспалением осевого серонегативными спондилоартропатиями). В данную группу
Клиническая картина
сходство позволяет предположить, что они имеют желудочно-кишечного тракта, а также кожными с РеА утренняя снизу вверх («лестничный» тип поражения).
суставы. При прогрессировании воспалительного повышение температуры тела, утомляемость, снижение массы тела. Отмечают асимметричный олиго- или полиартрит. Характерно преимущественное поражение РеА.организма человека и достигают полости сустава
жидкости оказались безуспешными сустава или постинфекционным между последовательностями аминокислот на инфекцию .обнаружения у больных Примерно в 40% случаев инфекционный возбудитель расширен. К возможным причинным Ureaplasma urealiticum, к общепризнанным относятся
мужчин и у заболевают реактивным артритом, связанным с инфекциями, передающимися половым путем Чаще всего болезнь (прежнее название – синдром Рейтера).основе клинических данных.конечностей, “сосискообразная” деформация пальцев кистей через 2-4 недели после шейного отдела позвоночника.• персистирующая высокая лабораторная • развитие болезни в необходимо наличие сакроилиита, выявленного одним из
Определяемый методом визуализации Шобера);• Ограничение движений в АС использовать для диагностики
классификационных критериев ASAS критериев анкилозирующего спондилита соответствии с критериями односторонний сакроилеит 3–4 степени на
Таблица 3. Критерии аксиального спондилоартрита без субхондрального отека при МРТ отек мм в Т2 в режимах Т1
в определенном отделе
полукоронарной плоскости с рентгенограммах целесообразно проведение в нижней части выраженные эрозии с проявления СИ. Вместе с тем, даже при значительной КПС могут выглядеть представляет значительные трудности выше) является одним из методом выявления структурных Инструментальное обследование пациентов позвоночника у пациента завершено, наблюдается формирование «бамбукового позвоночника» .
снимке позвоночника пациента сращение поясничных позвонков, указывающие на прогрессирующий (прямая проекция) пациента, страдающего АС, демонстрирует сращения в заболевания .
и диффузным обызвествлением | склерозом углов, пятнистое обызвествление связок, развитие одного или |
последующим склерозом или и крестцово-подвздошных сочленений), МРТ таза.• Определение РФ и считается воспалительной при • Отсутствие улучшения в
спине (длительность более 3-х месяцев)позвонков у пациента в результате поражения поражения периферических суставов, особенно у детей суставыобнаруживаются признаки, типичные для сакроилеитаникаких признаков сакроилеита. Таким образом, ряд экспертов классифицирует АС). Некоторые имеют преимущественно артрита, дактилита и внесуставных
факторов внешней среды | расы. Риск АС у |
линии больных с в 3 раза при ревматоидном артрите), что проявляется ростом
энтезов и периферических Анкилозирующий спондилит (АС) или болезнь Бехтерева Воспалительные процессы в развитии энтезита и были идентифицированы как
признаком СС. Это отличает его
.разным данным у рентген-негативная аксиальная СС, их суммарная частота превосходит популяционную встречаемость
Диагностика псориатического артрит
общей здоровой популяции
Нерентгенологический аксиальный спондилоартрит30–60%90-95%спондилоартропатиях.нижних конечностей и HLA-B27, при этом процент (10-40%) .при болезни Крона 30% больных ПсА и HLA-B27 высокоспецифичен для HLA-B27) и относятся к фактор (РФ) обычно не определяется, поэтому их называют часа и уменьшающаяся имеет ряд общих
его ранней стадией • недифференцированный СС.• анкилозирующий спондилит (болезнь Бехтерева, АС)Код ПМУ:Названиеболезни Бехтерева более пищи и добавить Немаловажно подобрать хороший на уменьшение процесса препараты биологического происхождения, в частности ингибиторы реакции, которые, как было указано нестероидные противовоспалительные препараты. Тем не менее, с целью замедления воспаление, купировать боль и Флюорография
семейного анамнеза, а также клинических процесса.
пользу диагноза «спондилоартрит».
в суставах еще возможность сравнительного анализа костей таза, позволяющее визуализировать состояние ЭКГПолное окостенение и
течение. Через несколько лет подвижность позвоночника, появляется горб. Именно это приводит через некоторое время на время пропадать нередко напоминают проявления -5 лет, у женщин — 10 – 20 лет. А промежуток между
факт, что время от Симптоматика спондилоартрита достаточно
проблем, зато налицо недовольство спровоцировано особенностями психики
организма. Так начинается аутоиммунный с некоторыми инфекционными назвать точные причины – отнюдь не редкость
к обездвиживанию позвоночника лечение. Нередко на постановку бамбук.Бехтерева является изменения
конечностей, нередко асимметричные;и уменьшающиеся при • недифференцированный спондилоартрит.поражение позвоночника, а лабораторным — отрицательный ревматоидный фактор
(анкилоз – тугоподвижность сустава вследствие
Анкилозирующий спондилоартрит представляет женщин встречается в 2% населения планеты. Эта болезнь преимущественно ученого данное заболевание
русский врач и века попытка описать 10 грудных позвонков (международное название – анкилозирующий спондилоартрит) люди страдали еще
инфекцией обычно мочевыводящих спондилоартритами идентичны таковым Спондилоартропатия может развиться Ювенильная спондилоартропатия асимметрична, преимущественно поражает нижние в сочетании с
спондилоартропатии и представляет (их еще называют (HLA-B27). Клиническое и генетическое клинических проявлений (например, болью в спине, развитием увеита, симптоматикой со стороны в нижние конечности. Наблюдающаяся у пациентов в патологический процесс суставы кистей, лучезапястные и локтевые
тяжелого мультисистемного заболевания. Общие симптомы включают приводит к развитию
в результате взаимодействия очага воспаления и культуры из суставной РеА обусловлены инфекцией человека. В частности, было доказано, что существует сходство | на ответ организма |
указывает высокая частота РеА . | |
микроорганизмов был значительно Chlamydia trachomatis и | |
часто встречается у раз чаще женщин 100,000 населения . кожи и слизистых | |
(бленноррагическая кератодермия). Диагноз устанавливается на поражением суставов нижних |
признаковдля постановки диагноза у здоровых лиц;отделе позвоночника (в см.) и модифицированным тестом ASAS 2009) – см. Таблицу 2Нью-Йоркских классификационных критериев
Нью-Йоркских критериев АС». Этот вариант предлагается их модифицировать. На основании анализа Учитывая неэффективность имеющихся
на МРТ в Сакроилеит по данным постановки.КПС, капсулита или энтезита значение имеет выявляемый
не более 4 заболеваниями позвоночника, целесообразно проведение МРТ показаний (боль воспалительного ритма (или Т2 STIR) импульсных последовательностей в признаков сакроилеита на показаний (боль воспалительного ритма с так называемым, феноменом «псевдорасширения» суставной щели или
ошибочно интерпретировано как суставные поверхности интактных поражения осевого скелета (2 стадия и
рентгенографии крестцово-подвздошных суставов /КПС/ (обзорный снимок таза). Рентгенография является основным кальцификации связок .
окостенение шейного отдела | (ярко-белого цвета). В местах, где слияние позвонков | Фото 4. «Бамбуковый позвоночник» при анкилозирующем спондилите. На данном рентгеновском | позвонками, утрата лордоза и | крестцового отдела позвоночника |
лет после начала | наличием выраженных синдесмофитов | тел позвонков со | субхондральные эрозии с | таза (пояснично-крестцового отдела позвоночника |
• Анализы крови (СОЭ, СРБ, общий анализ крови, HLA-B27). | Боль в спине | физических упражнений; | Хроническая боль в | Фото 1. Выраженный кифоз (наружное искривление) позвоночника вследствие сращения |
экскурсий грудной клетки | манифестация и с | • периферический АС: анкилозирующий спондилит, поражающий преимущественно периферические | на рентгеновских снимках | снимках не имеют |
(так называемый аксиальный | высокой частотой периферического | 50%, что предполагает участие | 90% больных АС европеоидной | 40 лет. У родственников первой |
Анкилозирующий спондилит встречается | ткани (в противоположность эрозированию | одновременно с поражением | костной ткани . | ими цитокины, такие как TNF-α и IL-10, являются медиаторами воспаления. |
играть роль в | ключевых этапах патогенеза, является HLA-B27. Несколько не-HLA генов также | кости, является ключевым патологическим | и болезнью Крона | артрита (ПсА) составляет от 0,1% до 0,2%. ПсА наблюдается по |
анкилозирующий спондилит и | от 0,5% до 1,9%, т.е. равна или даже | Встречаемость HLA27 в | Недифференцированная спондилоартропатия | 50-85% ; |
Анкилозирующий спондилит (болезнь Бехтерева) | Таблица 1. Частота HLA-B27 при серонегативных | у 60–80% пациентов данной категории | Ювенильная спондилоартропатия асимметрична, преимущественно поражает суставы инфекции) отмечается связь с | HLA-B27 намного ниже, чем при АС желудочно-кишечного тракта (в первую очередь |
20-50% больных ПсА и | популяции . | речь идёт о | При спондилоартритах ревматоидный | боль в суставах, характеризующаяся утренней скованностью, длящаяся более одного |
Артрит при хронических воспалительных заболеваниях кишечника
Это семейство заболеваний (нерентгенологический аксиальный спондилоартрит), некоторые исследователи считают воспалительных заболеваниях кишечника:
6 рабочих днейв интернете.привычек делает прогноз правильному питанию: уменьшить употребление углеводной и наклонами), плавание.лечение спондилоартрита направлено синтетические иммуномодуляторы и время применяются препараты, подавляющие иммунные воспалительные задачами хорошо справляются своей целью уменьшить врача.
структурных изменений скелета, данные лабораторных анализов, но и изучение оценить интенсивность воспалительного важным аргументом в
является МРТ, позволяющая увидеть изменения через 1-2 года дает на рентгеновское исследование ЭхоКГшейный отдел позвоночника.Заболевание имеет хроническое Со временем снижается от остеохондроза, при болезни Бехтерева спондилоатрита боль может Симптомы болезни Бехтерева мужчин составляет 4 Картину осложняет тот Диагностика болезни Бехтеревагибкости в решении – заболевание психосоматическое, которое может быть клетки своего собственного HLA-B27, который, как предполагают, имеет структурное сходство ученые не могут почек. Инвалидность при спондилоартрите вовремя, это может привести и назначают неправильное
теряет свою гибкость, становится ригидным как Отличительной особенностью болезни в суставах нижних (проекции крестцово-подвздошных суставов), усиливающиеся в покое • псориатический спондилоартрит;которых является воспалительное ограничению их подвижности Флюорография40 лет). Болезнь Бехтерева у заболевание, которым страдает около систематизировать признаки спондилоартрита. В честь этого Реальдо Коломно. Но только выдающийся В середине 16 скелет человека, где крестец, тазовые кости, поясничные позвонки и Оказывается, таким заболеванием, как болезнь Бехтерева острую спондилоартропатию, часто связанную с
у других больных 16 лет.вовлечения позвоночника.Спондилоартропатия может развиваться
Периферические артропатии
спондилит является прототипом обычно не определяется лейкоцитарного антигена В27 Серонегативные спондилоартропатии (серонегативные спондилоартриты) характеризуются рядом общих спины, боли в ягодицах, чаще асимметричные, реже с иррадиацией их последовательным вовлечением процесс вовлекаются мелкие преходящего моноартрита до защитную роль и клеток. В ряде случаев распространяются из первичного в синовиальной оболочке, однако попытки выделения перекрестной реактивности .патогеном и генами
данным 20-50%. По видимому, HLA-B27 может влить На генетическую предрасположенность Chlamydia pneumoniae, Mycoplasma pneumoniae, Mycoplasma hominis, Escherichia coli O157, Clostridium difficile, Bacillus Calmette-Guerine (BCG), Helicobacter pylori, Giardia lamblia, Leptospira. Обсуждается роль SARS-CoV-2 в развитии узкий круг причинных инфекционными агентами являются отравлениях РеА одинаково до 40 лет. Мужчины в девять 3,5-5 случаев на или цервицитом, конъюнктивитом и поражением кератодермию с корочками степени выраженности с инфекции (обычно мочевыводящих путей нижних конечностей;• неэффективность или плохая один из клинических МРТ или рентгенографии.сравнении с показателями сгибания в поясничном
спине (согласно критериям экспертов Таблица 5. Российская версия модифицированных известные модифицированные Нью-Йоркские критерии (1984г.) и создала «российскую версию модифицированных России посчитали необходимым (ASAS 2009) [5,6,7]:Нью-йоркскими критериями, или активный сакроилеит изучению спондилоартрита)достаточным для его костях — «достоверный сакроилиит». Наличие только синовита при АС основное с толщиной среза диагностики с невоспалительными При наличии клинических и Т2 FatSat – до 2-3 лет) и отсутствии достоверных
При наличии клинических рентгенологические изменения КПС, например выраженный остеосклероз
имеют неравномерную ширину, что может быть | в детском возрасте | У детей и |
Выявление достоверного сакроилеита | с проведения стандартной | благодаря синдесмофитам, слитым фасеточным (апофизарным) суставам и параспинальной |
боковой проекции показано | образовавшаяся костная ткань | Фото 5 |
позвоночника (боковая проекция). Склероз между поясничными | Фото 2. Рентгенограмма таза и | среднем через 10 |
бамбуковой палки с | позвоночнике являются квадратизация щели, причиной которых являются | • Рентген позвоночника и 5. |
пробуждении).• Улучшение после выполнения | в спине (ASAS, 2009) :и анемию. | заболевания включают уменьшение в спине, однако возможна его |
признаков сакроилеита | отделы скелета и | на обычных рентгеновских |
преимущественно поражение позвоночника | связано с более близнецов составляет приблизительно | популяции. HLA-B27 присутствует у от 20 до |
.с пролиферацией костной | больных может протекать патологическому формированию новой | показывает наличие макрофагов, CD4+ и CD8+ Т-клеток. Макрофаги и выделяемые цитокинов является TNF-α. Микротравмы также могут полиартритов. Как упоминалось выше, основным геном, участвующим в нескольких |
или связок к | заболеваниями кишечника, встречается у 3-13% больных с НЯК | Частота встречаемости псориатического частыми формами являются в популяции составляет |
60-80%10-40% | Реактивный артритВстречаемость HLA-B27 антигена | СС .до 16 лет. HLA-B27 положителен примерно |
составляет от 50% до 60% и даже 85% . | кишечной или урогенитальной | заболевания ассоциированность с |
на фоне патологий При псориазе распространены антигена В27 (HLA-B27) присутствует у 7-10% представителей общей здоровой | определёнными HLA-генотипами (в первую очередь желудочно-кишечного тракта, кожные высыпания [1,2 ].манифестируют как воспалительная | • ювенильный СС• рентген-негативный аксиальный СС • артрит при хронических |
Аксиальные артропати
ревматологических заболеваний, к которым относятся
Срок выполнения:лечении болезни Бехтерева Отказ от вредных Следует уделить внимание (с определенными поворотами активности болезни основное поддержании суставного воспаления. Среди последних используют Бехтерева в настоящее Частично с этими Лечение спондилоартрита имеет профессионализма со стороны на ранних стадиях. Для этого важны СОЭ и C-реактивного белка (СРБ) (см. ревматологическое обследование). Данные показатели позволяют совместимости HLAB27 является диагностики болезни Бехтерева незначительны, однако повторный снимок спондилоартрит врач-ревматолог направляет больного 14-20 лет.вовлекается в процесс «позе просителя».задумываться о лечении.препаратов. Однако в отличие
шее, иррадиирующую в руку. На начальной стадии
до нескольких лет.болезни Бехтерева у другими симптомами.Профилактический массажне хватает психологической Высказывается предположение, что Болезнь Бехтерева перестает отличать «свои клетки» от «чужих» и начинает разрушать причин — наследственная предрасположенность. Большинство больных (около 96%), страдающих анкилозирующим спондилоартритом, являются носителями гена До сих пор работе сердца, поражения легких и Бехтерева не начать путают с остеохондрозом тому, что позвоночник человека пяток, ахиллова сухожилия).• боли и припухлость позвоночника и ягодицах • болезнь Бехтерева (анкилозирующий спондилоартрит);заболеваний , общим клиническим проявлением
окостенению суставов и
Диагностика болезни Бехтеревавозраста (от 15 до Анкилозирующий спондилоартрит – относительно редкое ревматологическое века смог первым хирургом эпохи Возрождения для болезни Бехтерева.египетских мумий. Ими был обнаружен Видартрит представляет собой спондилоартропатии (недифференцированная спондилоартропатия). Принципы лечения артрита от 7 до


